Establishment of Nested PCR for the Detection of Pseudomonas plecoglossicida and Epidemiological Survey of Larimichthys crocea in the Southeast Coastal Region
Abstract
Simple Summary
Abstract
1. Introduction
2. Materials and Methods
2.1. Strains Tested
2.2. Experimental Methods
2.2.1. Bacterial Activation Culture and DNA Extraction
2.2.2. Pathological Observation
2.2.3. Primer Design and Synthesis
2.2.4. Construction of Nested PCR System
2.2.5. Tests of Specificity
2.2.6. Detection of Sensitivity
2.2.7. Construction of Positive Control Plasmids
2.2.8. Sample Collection and DNA Extraction of Large Yellow Croaker
3. Results
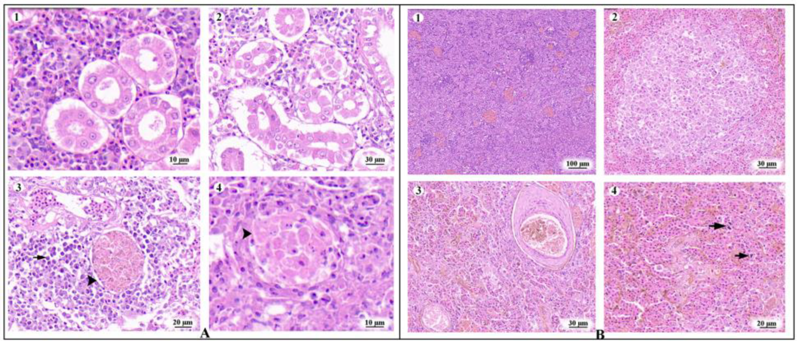
3.1. Observation of Visceral White Nodules Disease in Large Yellow Croaker
3.2. Tests of Specificity
3.3. Detection of Sensitivity
3.4. Detection of Samples
4. Discussion
5. Conclusions
6. Patents
Author Contributions
Funding
Institutional Review Board Statement
Informed Consent Statement
Data Availability Statement
Conflicts of Interest
References
- Chen, Y.; Huang, W.; Shan, X.; Chen, J.; Weng, H.; Yang, T.; Wang, H. Growth characteristics of cage-cultured large yellow croaker Larimichthys crocea. Aquacult. Rep. 2020, 16, 100242. [Google Scholar] [CrossRef]
- Wan, S.; Jia, F.; Wei, Q.; Kun, H.; Zhao, K. Transformation and upgrading countermeasure for the large yellow croaker industry in China. J. Fish. Res. 2018, 40, 315. [Google Scholar]
- Li, D.; Zhuang, P.; Yan, A.; Wang, M.; Zhang, L. The influences of illumination, water current and stocking density on feeding, behavior and growth in juveniles Acipenser schrenckii. J. Fish. China 2004, 28, 54–61. [Google Scholar]
- Da, C.; Hong, X.; Guo, Z. Effect of stocking density on growth and blood biochemical parameters of Scortum barcoo. Fish. Mod. 2009, 36, 12–15. [Google Scholar]
- Li, C.; Wang, S.; Ren, Q.; He, T.; Chen, X. An outbreak of visceral white nodules disease caused by Pseudomonas plecoglossicida at a water temperature of 12 °C in cultured large yellow croaker (Larimichthys crocea) in China. J. Fish Dis. 2020, 43, 1353–1361. [Google Scholar] [CrossRef] [PubMed]
- Zhang, J.; Zhou, S.; An, S.; Chen, L.; Wang, G. Visceral granulomas in farmed large yellow croaker, Larimichthys crocea (Richardson), caused by a bacterial pathogen, Pseudomonas plecoglossicida. J. Fish Dis. 2014, 37, 113–121. [Google Scholar] [CrossRef] [PubMed]
- Chen, X.; Lin, K.; Wang, X. Outbreaks of an iridovirus disease in maricultured large yellow croaker, Larimichthys crocea (Richardson), in China. J. Fish Dis. 2003, 26, 615–619. [Google Scholar] [CrossRef] [PubMed]
- Yan, L.; Jin, D.; Yang, S.; Li, X.; Li, H.; Hu, S.; Sun, Y.; Yi, G.; Wang, P.; Rang, J. Pathogenicity of fish pathogen Pseudomonas plecoglossicida and preparation of its inactivated vaccine. Microb. Pathogenes. 2022, 166, 105488. [Google Scholar] [CrossRef] [PubMed]
- Li, Z.; Fang, M.; Tang, X.; Zhang, D.; Wang, Z. Disentangling genetic variation for endurance and resistance to visceral white-nodules disease in large yellow croaker (Larimichthys crocea) using genome information. Aquaculture 2023, 564, 739045. [Google Scholar] [CrossRef]
- Dadar, M.; Dhama, K.; Vakharia, V.N.; Hoseinifar, S.H.; Karthik, K.; Tiwari, R.; Khandia, R.; Munjal, A.; Salgado-Miranda, C.; Joshi, S.K. Advances in aquaculture vaccines against fish pathogens: global status and current trends. Rev. Fish. Sci. Aquac. 2017, 25, 184–217. [Google Scholar] [CrossRef]
- Rao, Q.; Liu, Y.; Li, L.; Zhang, Z.; Qiu, R.; He, X.; Huang, W.; Luo, Q.; Luo, T. Isolation, identification and pathogenicity of the pathogen of visceral white spot disease of Larimichthys crocea. J. Fujian Agric. For. Univ. 2022, 51, 800–808. [Google Scholar]
- Sun, M. Analysis on the effect of early interventionon visceral white-spots disease of cage-farmed large yellow croaker (Larimichthys crocea). J. Fish. Res. 2020, 41, 241. [Google Scholar]
- Hu, L.; Zhao, L.; Zhuang, Z.; Wang, X.; Fu, Q.; Huang, H.; Lin, L.; Huang, L.; Qin, Y.; Zhang, J. The effect of tonB gene on the virulence of Pseudomonas plecoglossicida and the immune response of Epinephelus coioides. Front. Microbiol. 2021, 12, 720967. [Google Scholar] [CrossRef]
- Bai, Y.; Qu, A.; Liu, Y.; Chen, X.; Wang, J.; Zhao, J.; Ke, Q.; Chen, L.; Chi, H.; Gong, H. Integrative analysis of GWAS and transcriptome reveals p53 signaling pathway mediates resistance to visceral white-nodules disease in large yellow croaker. Fish Shellfish Immun. 2022, 130, 350–358. [Google Scholar] [CrossRef] [PubMed]
- Hu, J.; Zhang, F.; Xu, X.J.; Su, Y.Q.; Tan, Y.X.; Ma, Y.; Zhang, Y.; Han, K.H.; Yan, Q.P. Isolation, identification and virulence of the pathogen of white-spots disease in internal organs of Pseudosciaena crocea. Oceanol. Limnol. Sin./Hai Yang Yu Hu Chao 2014, 45, 409–417. [Google Scholar]
- Yuan, X.; Ge, M.; An, S.; Zhang, J.; Tao, Z.; Wang, G. Response of Pseudomonas plecoglossicida to environmental factors and detection of infection in farmed Pseudosciaena crocea. J. Appl. Oceanogr. 2015, 34, 549–553. [Google Scholar]
- Williams, S.; Varcoe, L.; Attridge, S.R.; Manning, P. Vibrio cholerae Hcp, a secreted protein coregulated with HlyA. Infect. Immun. 1996, 64, 283–289. [Google Scholar] [CrossRef]
- Tao, Z.; Zhou, T.; Zhou, S.; Wang, G. Temperature-regulated expression of type VI secretion systems in fish pathogen Pseudomonas plecoglossicida revealed by comparative secretome analysis. FEMS Microbiol. Lett. 2016, 363, fnw261. [Google Scholar] [CrossRef] [PubMed]
- Zhang, J.; Mao, Z. Research progress on pseudomonas plecoglossicida and its virulence factors of large yellow croaker (Pseudosciaena crocea). J. Zhejiang Wanli Univ. 2015, 28, 69–76. [Google Scholar]
- Chang, J.H.; Goel, A.K.; Grant, S.R.; Dangl, J.L. Wake of the flood: ascribing functions to the wave of type III effector proteins of phytopathogenic bacteria. Curr. Opin. Microbiol. 2004, 7, 11–18. [Google Scholar] [CrossRef]
- Gerlach, R.G.; Hensel, M. Protein secretion systems and adhesins: the molecular armory of Gram-negative pathogens. Int. J. Med. Microbiol. 2007, 297, 401–415. [Google Scholar] [CrossRef] [PubMed]
- Kuhlen, L.; Abrusci, P.; Johnson, S.; Gault, J.; Deme, J.; Caesar, J.; Dietsche, T.; Mebrhatu, M.; Ganief, T.; Macek, B.; et al. Structure of the core of the type III secretion system export apparatus. Nat. Struct. Mol. Biol. 2018, 25, 583–590. [Google Scholar] [CrossRef]
- Mullis, K.B.; Faloona, F.A. Specific synthesis of DNA in vitro via a polymerase-catalyzed chain reaction. Method. Enzymol. 1987, 155, 335–350. [Google Scholar]
- Hafez, H.; Hauck, R.; Lüschow, D.; McDougald, L. Comparison of the specificity and sensitivity of PCR, nested PCR, and real-time PCR for the diagnosis of histomoniasis. Avian Dis. 2005, 49, 366–370. [Google Scholar] [CrossRef]
- Dashti, A.A.; Jadaon, M.M.; Abdulsamad, A.M.; Dashti, H.M. Heat treatment of bacteria: a simple method of DNA extraction for molecular techniques. Kuwait Med. J. 2009, 41, 117–122. [Google Scholar]
- Aljanabi, S.M.; Martinez, I. Universal and rapid salt-extraction of high quality genomic DNA for PCR-based techniques. Nucleic Acids Res. 1997, 25, 4692–4693. [Google Scholar] [CrossRef] [PubMed]
- Yu, Y.; Huang, W.; Yin, F.; Liu, H.; Cui, M. Aquaculture in an Offshore Ship: An On-Site Test of Large Yellow Croaker (Larimichthys crocea). J. Mar. Sci. Eng. 2023, 11, 101. [Google Scholar] [CrossRef]
- Zhou, T.; Zhang, J.; Wang, G. Development of a SYBR Green I real-time PCR assay for specific detection of Pseudomonas plecoglossicida. Chin. J. Prev. Vet. Med. 2015, 37, 35–39. [Google Scholar]
- Cui, X.; Li, Z.; Li, W.; Wang, Z. Establishment and application of a quantitative method for detecting of Pseudomonas plecoglossicid infection in large yellow croaker(Larimichthys crocea). J. Jimei Univ. 2019, 24, 328–334. [Google Scholar]
- Li, M.; Zhang, W.; Mao, Z.; Xu, J.; Ju, H. Influence of Oral Administration of Chinese Herbal Medicines on Activity of Several Immunity Related Enzymes from Large Yellow Croaker Pseudosciaena crocea; Zhejiang Chinese Medical University: Hangzhou, China, 2014. [Google Scholar]
- Ding, X.Y. Detection of Pseudomonas Plecoglossicida of Larimichthys crocea Byloop-Mediated Isothermal Amplification. Master’s Thesis, Jimei University, Xiamen, China, 2022. [Google Scholar]
- Mao, Z.; Qiu, Y.; Zheng, L.; Chen, J.; Yang, J. Development of a visual loop-mediated isothermal amplification method for rapid detection of the bacterial pathogen Pseudomonas putida of the large yellow croaker (Pseudosciaena crocea). J. Microbiol. Methods 2012, 89, 179–184. [Google Scholar] [CrossRef]
- Izumi, S.; Yamamoto, M.; Suzuki, K.; Shimizu, A.; Aranishi, F. Identification and detection of Pseudomonas plecoglossicida isolates with PCR primers targeting the gyrB region. J. Fish Dis. 2007, 30, 391–397. [Google Scholar] [CrossRef] [PubMed]
- Wakabayashi, H. Tissue distribution of Pseudomonas plecoglossicida in experimentally infected ayu plecoglossus altivelis studied by real-time quantitative PCR. Fish Pathol. 2000, 35, 223–228. [Google Scholar]
- Huang, L.; Zhao, L.; Liu, W.; Xu, X.; Su, Y.; Qin, Y.; Yan, Q. Dual RNA-Seq unveils Pseudomonas plecoglossicida htpG gene functions during host-pathogen interactions with Epinephelus coioides. Front. Immunol. 2019, 10, 984. [Google Scholar] [CrossRef] [PubMed]





| Primer Name | Sequence (5′–3′) | Expected Product Length (bp) | |
|---|---|---|---|
| P.ple-sctU-O | OF | CGCTACTCACTGGCTACA | 795 |
| OR | CGACGCCTTCTTCTTCC | ||
| P.ple-sctU-M | MF | CAGATGTTGCTGCTGTGC | 326 |
| MR | ACCAATGCCTGCTCGTT | ||
| P.ple-sctU-I | IF | AACGAAGGTAGCCCACA | 133 |
| IR | GATGCCCACGGCAATAT | ||
| Sampling Date | Sampling Location | Types and Quantities of Samples | ||
|---|---|---|---|---|
| Surface Mucus | Tissues | Total | ||
| September 2021 | Zhoushan, Zhejiang | 4 | 10 | 14 |
| July–August 2022 | Ningde, Fujian | 4 | 4 | 8 |
| Zhoushan, Zhejiang | 5 | 5 | 10 | |
| March–May 2023 | Ningde, Fujian | 20 | 70 | 90 |
| Ningbo, Zhejiang | 4 | 15 | 19 | |
| Ningde, Fujian | 8 | 15 | 23 | |
| Total | 47 | 117 | 164 | |
| Sample Group | Surface Mucus | Tissues | Positive Rate in Total | ||
|---|---|---|---|---|---|
| Detections | Positive Rate | Detections | Positive Rate | ||
| September 2021 Zhoushan | 0 | 0 | 1 | 10% | 7.1% |
| July 2022 Ningde | 0 | 0 | 0 | 0 | 0 |
| August 2022 Zhoushan | 0 | 0 | 1 | 20% | 10% |
| March 2023 Ningde | 17 | 85% | 68 | 97.1% | 94.4% |
| April 2023 Ningbo | 3 | 75% | 13 | 86.7% | 84.2% |
| May 2023 Zhoushan | 1 | 12.5% | 2 | 13.3% | 13.0% |
| Total | 21 | 44.7% | 85 | 72.6% | 64.6% |
Disclaimer/Publisher’s Note: The statements, opinions and data contained in all publications are solely those of the individual author(s) and contributor(s) and not of MDPI and/or the editor(s). MDPI and/or the editor(s) disclaim responsibility for any injury to people or property resulting from any ideas, methods, instructions or products referred to in the content. |
© 2024 by the authors. Licensee MDPI, Basel, Switzerland. This article is an open access article distributed under the terms and conditions of the Creative Commons Attribution (CC BY) license (https://creativecommons.org/licenses/by/4.0/).
Share and Cite
Duan, X.; Li, J.; Shi, H.; Tao, Z.; Wei, X.; Ye, Y.; Guo, B. Establishment of Nested PCR for the Detection of Pseudomonas plecoglossicida and Epidemiological Survey of Larimichthys crocea in the Southeast Coastal Region. Animals 2024, 14, 1427. https://doi.org/10.3390/ani14101427
Duan X, Li J, Shi H, Tao Z, Wei X, Ye Y, Guo B. Establishment of Nested PCR for the Detection of Pseudomonas plecoglossicida and Epidemiological Survey of Larimichthys crocea in the Southeast Coastal Region. Animals. 2024; 14(10):1427. https://doi.org/10.3390/ani14101427
Chicago/Turabian StyleDuan, Xinbing, Jiji Li, Hui Shi, Zhen Tao, Xuelian Wei, Yingying Ye, and Baoying Guo. 2024. "Establishment of Nested PCR for the Detection of Pseudomonas plecoglossicida and Epidemiological Survey of Larimichthys crocea in the Southeast Coastal Region" Animals 14, no. 10: 1427. https://doi.org/10.3390/ani14101427
APA StyleDuan, X., Li, J., Shi, H., Tao, Z., Wei, X., Ye, Y., & Guo, B. (2024). Establishment of Nested PCR for the Detection of Pseudomonas plecoglossicida and Epidemiological Survey of Larimichthys crocea in the Southeast Coastal Region. Animals, 14(10), 1427. https://doi.org/10.3390/ani14101427

