CYP24A1 and TRPC3 Gene Expression in Kidneys and Their Involvement in Calcium and Phosphate Metabolism in Laying Hens
Abstract
Simple Summary
Abstract
1. Introduction
2. Materials and Methods
2.1. Animals, Phenotypic Traits, and Sample Collection
- Feed intake was determined at the end of each 28-day period by dividing the amount of feed consumed in each experimental unit by the number of birds in the experimental units per day (corrected for mortality).
- Egg production was collected daily and measured as percentage and per hen housed. The average egg weight was obtained by dividing the total weight of eggs collected in the last 5 days of each of the 28-day periods by the number of eggs collected, per experimental unit.
- Egg mass was expressed in g per bird per day (g/bird/day) and obtained by multiplying the average egg weight in the period by the total number of eggs produced in the respective period, divided by the total number of birds on the days relating to that period.
- Feed conversion was obtained by dividing feed intake by the production in dozen of eggs (kg/dz), or the production in kg of eggs (kg/kg), in each period.
- To measure the egg components, the yolk, albumen, and shell were evaluated using six eggs from each replicate, collected randomly and daily from the total number of eggs collected in the last three days of each period. The eggs from each replicate and each day were weighed individually, broken, and their yolk and shell weighed. To separate the egg components (yolk, shell, and albumen), a conventional yolk separator was used.
- The shells were washed, left to dry, and weighed.
- The albumen weight was obtained as the difference between the total egg weight and the shell and yolk weights. The yolk, albumen, and shell weights were determined as percentages. The egg tester (DET6500; Nabel, Kyoto, Japan) was used to evaluate albumen height, yolk color, Haugh unit [33], shell strength, and shell thickness.
2.2. Kidney Histological Analysis
2.3. Tibia and Humerus Morphological and Physical Analysis
2.4. RNA Extraction, Quantification, and Complementary DNA (cDNA) Synthesis
2.5. Reference Gene Selection
2.6. Primer Design of Target Genes and Gene Expression Analysis
2.7. Statistical Analysis
3. Results
3.1. Phenotypic Traits
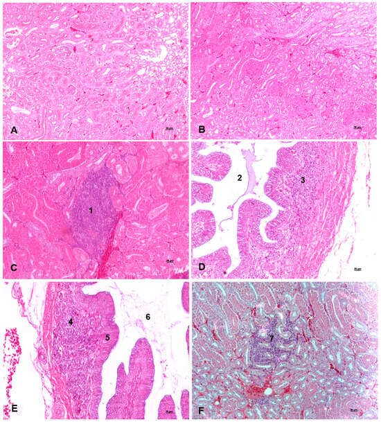
3.2. Kidney Histopathologic Analysis
3.3. Tibia and Humerus Morphological and Physical Analysis
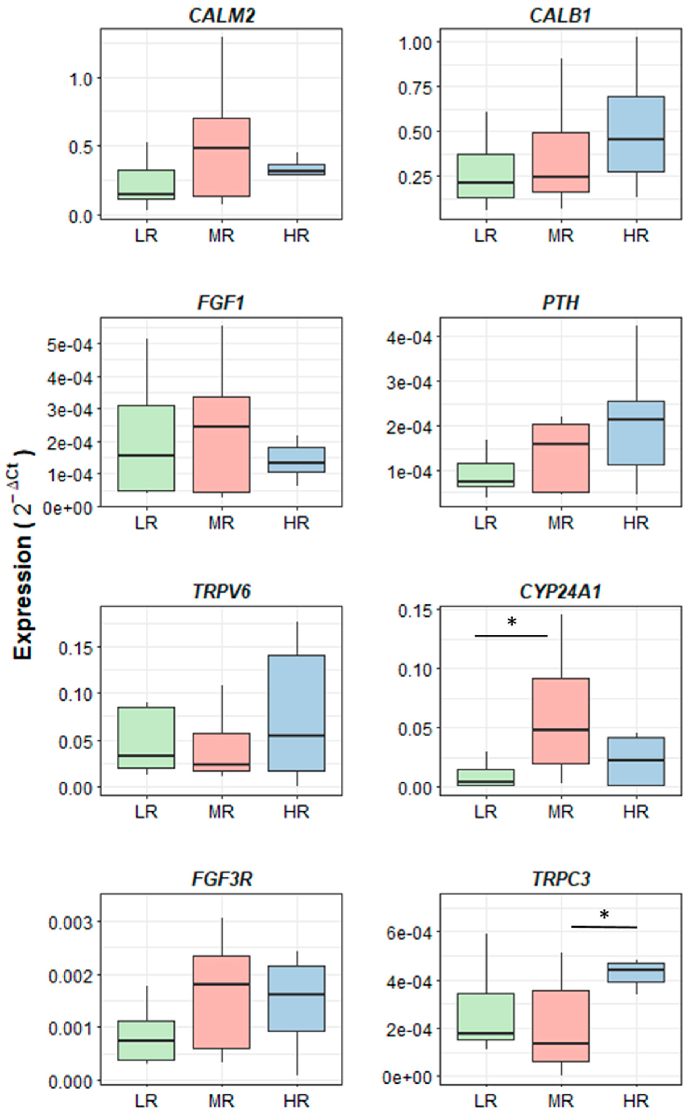
3.4. Gene Expression Analysis
4. Discussion
5. Conclusions
Supplementary Materials
Author Contributions
Funding
Institutional Review Board Statement
Informed Consent Statement
Data Availability Statement
Acknowledgments
Conflicts of Interest
References
- Ergin, O.; Isa, C.; Nuh, O.; Guray, E. Effects of dietary humic substances on egg production and egg shell quality of hens after peak laying period. Afr. J. Biotechnol. 2009, 8, 1155–1159. [Google Scholar]
- Bain, M.M.; Nys, Y.; Dunn, I.C. Increasing persistency in lay and stabilising egg quality in longer laying cycles. What are the challenges? Br. Poult. Sci. 2016, 57, 330–338. [Google Scholar] [CrossRef] [PubMed]
- Alves, S.P.; Da Silva, I.J.O.; Piedade, S.M.D.S. Laying hens welfare evaluation: Effects of rearing system and bioclimatic environment on performance and egg quality. Rev. Bras. Zootec. 2007, 36, 1388–1394. [Google Scholar] [CrossRef][Green Version]
- De Araujo, J.A.; da Silva, J.H.V.; de Amâncio, A.L.L.; Lima, C.B.; Oliveira, E.R.A. de Fontes De Minerais Para Poedeiras. Acta Vet. Bras. 2008, 2, 53–60. [Google Scholar]
- Abércio da Silva, C.; da Silva Agostini, P.; Callegari, M.A.; de Kássia Silva dos Santos, R.; Novais, A.K.; Pierozan, C.R.; Pereira Junior, M.; Alves, J.B.; Gasó, J.G. Fatores que afetam o desempenho de suínos nas fases de crescimento e terminação. Pesqui. Agropecu. Bras. 2016, 51, 1780–1788. [Google Scholar] [CrossRef][Green Version]
- Proszkowiec-Weglarz, M.; Angel, R. Calcium and phosphorus metabolism in broilers: Effect of homeostatic mechanism on calcium and phosphorus digestibility. J. Appl. Poult. Res. 2013, 22, 609–627. [Google Scholar] [CrossRef]
- San, J.; Zhang, Z.; Bu, S.; Zhang, M.; Hu, J.; Yang, J.; Wu, G. Changes in duodenal and nephritic Ca and P absorption in hens during different egg-laying periods. Heliyon 2021, 7, e06081. [Google Scholar] [CrossRef] [PubMed]
- Svihus, B. Function of the digestive system. J. Appl. Poult. Res. 2014, 23, 306–314. [Google Scholar] [CrossRef]
- Amerah, A.M.; Ravindran, V.; Lentle, R.G.; Thomas, D.G. Feed particle size: Implications on the digestion and performance of poultry. Worlds Poult. Sci. J. 2007, 63, 439–455. [Google Scholar] [CrossRef]
- Cufadar, Y.; Olgun, O.; Yildiz, A.Ö. The effect of dietary calcium concentration and particle size on performance, eggshell quality, bone mechanical properties and tibia mineral contents in moulted laying hens. Br. Poult. Sci. 2011, 52, 761–768. [Google Scholar] [CrossRef]
- Zaefarian, F.; Abdollahi, M.R.; Ravindran, V. Particle size and feed form in broiler diets: Impact on gastrointestinal tract development and gut health. Worlds Poult. Sci. J. 2016, 72, 277–290. [Google Scholar] [CrossRef]
- Englmaierová, M.; Skřivan, M.; Skřivanová, E.; Čermák, L. Limestone particle size and Aspergillus niger phytase in the diet of older hens. Ital. J. Anim. Sci. 2017, 16, 608–615. [Google Scholar] [CrossRef]
- Wang, S.; Chen, W.; Zhang, H.X.; Ruan, D.; Lin, Y.C. Influence of particle size and calcium source on production performance, egg quality, and bone parameters in laying ducks. Poult. Sci. 2014, 93, 2560–2566. [Google Scholar] [CrossRef] [PubMed]
- Bar, A.; Razaphkovsky, V.; Vax, E. Re-evaluation of calcium and phosphorus requirements in aged laying hens. Br. Poult. Sci. 2002, 43, 261–269. [Google Scholar] [CrossRef] [PubMed]
- Gutowska, M.S.; Parkhurst, R.T. Studies in Mineral Nutrition of Laying Hens. Poult. Sci. 1942, 21, 321–328. [Google Scholar] [CrossRef]
- DiMeglio, L.A.; Imel, E.A. Calcium and Phosphate: Hormonal Regulation and Metabolism. In Basic and Applied Bone Biology; Academic Press: Cambridge, MA, USA, 2019; pp. 257–282. [Google Scholar] [CrossRef]
- Wideman, R.F. Renal regulation of avian calcium and phosphorus metabolism. J. Nutr. 1987, 117, 808–815. [Google Scholar] [CrossRef] [PubMed]
- Chang, W.; Tu, C.; Chen, T.H.; Bikle, D.; Shoback, D. The extracellular calcium-sensing receptor (CaSR) is a critical modulator of skeletal development. Sci. Signal. 2008, 2, ra1. [Google Scholar] [CrossRef] [PubMed]
- Renkema, K.Y.; Alexander, R.T.; Bindels, R.J.; Hoenderop, J.G. Calcium and phosphate homeostasis: Concerted interplay of new regulators. Ann. Med. 2008, 40, 82–91. [Google Scholar] [CrossRef] [PubMed]
- Jeon, U.S. Kidney and calcium homeostasis. Electrolyte Blood Press 2008, 6, 68–76. [Google Scholar] [CrossRef]
- Adhikari, R.; White, D.; House, J.D.; Kim, W.K. Effects of additional dosage of vitamin D3, vitamin D2, and 25-hydroxyvitamin D3 on calcium and phosphorus utilization, egg quality and bone mineralization in laying hens. Poult. Sci. 2020, 99, 364–373. [Google Scholar] [CrossRef]
- Chen, C.; Turner, B.; Applegate, T.J.; Litta, G.; Kim, W.K. Role of long-term supplementation of 25-hydroxyvitamin D3 on egg production and egg quality of laying hen. Poult. Sci. 2020, 99, 6899. [Google Scholar] [CrossRef]
- Reyer, H.; Oster, M.; Ponsuksili, S.; Trakooljul, N.; Omotoso, A.O.; Iqbal, M.A.; Muráni, E.; Sommerfeld, V.; Rodehutscord, M.; Wimmers, K. Transcriptional responses in jejunum of two layer chicken strains following variations in dietary calcium and phosphorus levels. BMC Genom. 2021, 22, 485. [Google Scholar] [CrossRef] [PubMed]
- Wang, X.; Li, P.; Zhao, J.; Jiao, H.; Lin, H. The temporal gene expression profiles of calcium and phosphorus transporters in Hy-Line Brown layers. Poult. Sci. 2022, 101, 101736. [Google Scholar] [CrossRef]
- Jing, M.; Zhao, S.; Rogiewicz, A.; Slominski, B.A.; House, J.D. Assessment of the minimal available phosphorus needs of laying hens: Implications for phosphorus management strategies. Poult. Sci. 2018, 97, 2400–2410. [Google Scholar] [CrossRef] [PubMed]
- Park, W.; Rengaraj, D.; Kil, D.Y.; Kim, H.; Lee, H.K.; Song, K.D. RNA-seq analysis of the kidneys of broiler chickens fed diets containing different concentrations of calcium. Sci. Rep. 2017, 7, 11740. [Google Scholar] [CrossRef]
- Li, Q.; Zhao, X.; Wang, S.; Zhou, Z. Letrozole induced low estrogen levels affected the expressions of duodenal and renal calcium-processing gene in laying hens. Gen. Comp. Endocrinol. 2018, 255, 49–55. [Google Scholar] [CrossRef]
- Yang, J.H.; Zhao, Z.H.; Hou, J.F.; Zhou, Z.L.; Deng, Y.F.; Dai, J.J. Expression of TRPV6 and CaBP-D28k in the egg shell gland (uterus) during the oviposition cycle of the laying hen. Br. Poult. Sci. 2013, 54, 398–406. [Google Scholar] [CrossRef]
- Fan, Y.; Bi, R.; Densmore, M.J.; Sato, T.; Kobayashi, T.; Yuan, Q.; Zhou, X.; Erben, R.G.; Lanske, B. Parathyroid hormone 1 receptor is essential to induce FGF23 production and maintain systemic mineral ion homeostasis. FASEB J. 2016, 30, 428–440. [Google Scholar] [CrossRef] [PubMed]
- Li, X.; Zhang, D.; Bryden, W.L. Calcium and phosphorus metabolism and nutrition of poultry: Are current diets formulated in excess? Anim. Prod. Sci. 2017, 57, 2304–2310. [Google Scholar] [CrossRef]
- Gloux, A.; Le Roy, N.; Ezagal, J.; Même, N.; Hennequet-Antier, C.; Piketty, M.L.; Prié, D.; Benzoni, G.; Gautron, J.; Nys, Y.; et al. Possible roles of parathyroid hormone, 1.25(OH)2D3, and fibroblast growth factor 23 on genes controlling calcium metabolism across different tissues of the laying hen. Domest. Anim. Endocrinol. 2020, 72, 106407. [Google Scholar] [CrossRef]
- Rostagno, H.S.; Albino, L.T.; Donzele, J.L.; Gomes, P.C.; Oliveira, R.D.; Lopes, D.C.; Ferreira, A.S.; Barreto, S.D.T.; Euclides, R.F. Tabelas Brasileiras Para aves e Suínos: Composição de Alimentos e Exigências Nutricionais; Rostagno, H.S., Ed.; Departamento de Zootecnia: Viçosa, Brasil, 2017. [Google Scholar]
- Haugh, H. The Haugh Unit for Measuring Egg Quality. U.S. Egg Poult. Mag. 1937, 43, 552–555. [Google Scholar]
- Da Cruz, V.A.R.; Schenkel, F.S.; Savegnago, R.P.; Grupioni, N.V.; Stafuzza, N.B.; Sargolzaei, M.; Ibelli, A.M.G.; De Oliveira Peixoto, J.; Ledur, M.C.; Munari, D.P. Association of apolipoprotein B and adiponectin receptor 1 genes with carcass, bone integrity and performance traits in a paternal broiler line. PLoS ONE 2015, 10, e0136824. [Google Scholar] [CrossRef] [PubMed]
- Seedor, J.G.; Quartuccio, H.A.; Thompson, D.D. The bisphosphonate alendronate (MK-217) inhibits bone loss due to ovariectomy in rats. J. Bone Miner. Res. 1991, 6, 339–346. [Google Scholar] [CrossRef] [PubMed]
- Vandesompele, J.; De Preter, K.; Pattyn, F.; Poppe, B.; Van Roy, N.; De Paepe, A.; Speleman, F. Accurate normalization of real-time quantitative RT-PCR data by geometric averaging of multiple internal control genes. Genome Biol. 2002, 3, research0034.1. [Google Scholar] [CrossRef] [PubMed]
- Andersen, C.L.; Jensen, J.L.Ø.T. Normalization of Real-Time Quantitative Reverse Transcription-PCR Data: A Model-Based Variance Estimation Approach to Identify Genes Suited for Normalization, Applied to Bladder and Colon Cancer Data Sets. Cancer Res. 2004, 64, 5245–5250. [Google Scholar] [CrossRef] [PubMed]
- Pfaffl, M.W.; Tichopad, A.; Prgomet, C.; Neuvians, T. Determination of most stable housekeeping genes, differentially regulated target genes and sample integrity: BestKeeper. Biotechnol. Lett. 2004, 26, 509–515. [Google Scholar] [CrossRef]
- Pihur, V.; Datta, S.; Datta, S. Weighted rank aggregation of cluster validation measures: A Monte Carlo cross-entropy approach. Bioinformatics 2007, 23, 1607–1615. [Google Scholar] [CrossRef] [PubMed]
- Petry, B.; Savoldi, I.R.; Ibelli, A.M.G.; Paludo, E.; de Oliveira Peixoto, J.; Jaenisch, F.R.F.; de Córdova Cucco, D.; Ledur, M.C. New genes involved in the Bacterial Chondronecrosis with Osteomyelitis in commercial broilers. Livest. Sci. 2018, 208, 33–39. [Google Scholar] [CrossRef]
- Paludo, E.; Ibelli, A.M.G.; Peixoto, J.O.; Tavernari, F.C.; Lima-Rosa, C.A.V.; Pandolfi, J.R.C.; Ledur, M.C. The involvement of RUNX2 and SPARC genes in the bacterial chondronecrosis with osteomyelitis in broilers. Animal 2017, 11, 1063–1070. [Google Scholar] [CrossRef]
- Marciano, C.M.M.; Ibelli, A.M.G.; de Peixoto, J.O.; Savoldi, I.R.; do Carmo, K.B.; Fernandes, L.T.; Ledur, M.C. Stable reference genes for expression studies in breast muscle of normal and white striping-affected chickens. Mol. Biol. Rep. 2019, 47, 45–53. [Google Scholar] [CrossRef]
- Nascimento, C.S.; Barbosa, L.T.; Brito, C.; Fernandes, R.P.M.; Mann, R.S.; Pinto, A.P.G.; Oliveira, H.C.; Dodson, M.V.; Guimarães, S.E.F.; Duarte, M.S. Identification of suitable reference genes for real time quantitative polymerase chain reaction assays on Pectoralis major muscle in chicken (Gallus gallus). PLoS ONE 2015, 10, e0127935. [Google Scholar] [CrossRef] [PubMed]
- Okino, C.H.; Ibelli, A.M.G.; Brentano, L.; Zanella, R.; Groke Marques, M. Evaluation of candidate reference genes for investigation of the uterine tissue and corpus luteum of pigs on day 6 after artificial insemination. Anim. Reprod. Sci. 2018, 198, 202–209. [Google Scholar] [CrossRef] [PubMed]
- Ye, J.; Coulouris, G.; Zaretskaya, I.; Cutcutache, I.; Rozen, S.; Madden, T.L. Primer-BLAST: A tool to design target-specific primers for polymerase chain reaction. BMC Bioinform. 2012, 13, 134. [Google Scholar] [CrossRef] [PubMed]
- Livak, K.J.; Schmittgen, T.D. Analysis of relative gene expression data using real-time quantitative PCR and the 2(-Delta Delta C(T)) Method. Methods 2001, 25, 402–408. [Google Scholar] [CrossRef] [PubMed]
- Marchesi, J.A.P.; Ono, R.K.; Cantão, M.E.; Ibelli, A.M.G.; de Peixoto, J.O.; Moreira, G.C.M.; Godoy, T.F.; Coutinho, L.L.; Munari, D.P.; Ledur, M.C. Exploring the genetic architecture of feed efficiency traits in chickens. Sci. Rep. 2021, 11, 4622. [Google Scholar] [CrossRef] [PubMed]
- SAS Institute Inc. SAS/STAT® 14.1 User’s Guide The GLM Procedure; SAS Institute Inc.: Cary, NC, USA, 2015; pp. 3532–3707. [Google Scholar]
- R Core Team R: A Language and Environment for Statistical Computing. Available online: https://www.r-project.org (accessed on 6 April 2024).
- Adedokun, S.A.; Adeola, O. Calcium and phosphorus digestibility: Metabolic limits. J. Appl. Poult. Res. 2013, 22, 600–608. [Google Scholar] [CrossRef]
- Li, P.; Wang, R.; Jiao, H.; Wang, X.; Zhao, J.; Lin, H. Effects of dietary phosphorus level on the expression of calcium and phosphorus transporters in laying hens. Front. Physiol. 2018, 9, 627. [Google Scholar] [CrossRef]
- McDonald, M.W. Feed intake of laying hens. Worlds. Poult. Sci. J. 1978, 34, 209–221. [Google Scholar] [CrossRef]
- Vellasco, C.R.; Gomes, P.C.; Donzele, J.L.; Rostagno, H.S.; Calderano, A.A.; de Carvalho Mello, H.H.; Pastore, S.M. Níveis de Cálcio e Relação Cálcio: Fósforo em Rações Para Poedeiras Leves de 24 a 40 Semanas de Idade. Ciência Anim. Ciênc. Anim. Bras. 2016, 17, 206–216. [Google Scholar] [CrossRef]
- Williams, B.; Waddington, D.; Solomon, S.; Farquharson, C. Dietary effects on bone quality and turnover, and Ca and P metabolism in chickens. Res. Vet. Sci. 2000, 69, 81–87. [Google Scholar] [CrossRef]
- Regassa, A.; Adhikari, R.; Nyachoti, C.M.; Kim, W.K. Effects of 25-(OH)D3 on fecal Ca and P excretion, bone mineralization, Ca and P transporter mRNA expression and performance in growing female pigs. J. Environ. Sci. Health Part B 2015, 50, 293–299. [Google Scholar] [CrossRef] [PubMed]
- Zhang, L.H.; He, T.F.; Hu, J.X.; Li, M.; Piao, X.S. Effects of normal and low calcium and phosphorus levels and 25-hydroxycholecalciferol supplementation on performance, serum antioxidant status, meat quality, and bone properties of broilers. Poult. Sci. 2020, 99, 5663–5672. [Google Scholar] [CrossRef] [PubMed]
- Rama Rao, S.V.; Raju, M.V.L.N.; Reddy, M.R.; Pavani, P. Interaction between dietary calcium and non-phytate phosphorus levels on growth, bone mineralization and mineral excretion in commercial broilers. Anim. Feed Sci. Technol. 2006, 131, 135–150. [Google Scholar] [CrossRef]
- Abo El-Maaty, H.A.; EL-Khateeb, A.Y.; Al-Khalaifah, H.; El-Sayed, E.S.A.; Hamed, S.; El-Said, E.A.; Mahrose, K.M.; Metwally, K.; Mansour, A.M. Effects of ecofriendly synthesized calcium nanoparticles with biocompatible Sargassum latifolium algae extract supplementation on egg quality and scanning electron microscopy images of the eggshell of aged laying hens. Poult. Sci. 2021, 100, 675–684. [Google Scholar] [CrossRef] [PubMed]
- Brown, A.J.; Krits, I.; Armbrecht, H.J. Effect of age, vitamin D, and calcium on the regulation of rat intestinal epithelial calcium channels. Arch. Biochem. Biophys. 2005, 437, 51–58. [Google Scholar] [CrossRef]
- Bandyopadhyay, B.C.; Swaim, W.D.; Liu, X.; Redman, R.S.; Patterson, R.L.; Ambudkar, I.S. Apical localization of a functional TRPC3/TRPC6-Ca2+-signaling complex in polarized epithelial cells: Role in apical Ca2+ influx. J. Biol. Chem. 2005, 280, 12908. [Google Scholar] [CrossRef] [PubMed]
- Horinouchi, T.; Terada, K.; Higa, T.; Aoyagi, H.; Nishiya, T.; Suzuki, H.; Miwa, S. Function and regulation of endothelin type A receptor-operated transient receptor potential canonical channels. J. Pharmacol. Sci. 2011, 117, 295–306. [Google Scholar] [CrossRef]
- Liu, Y.; Thilo, F.; Kreutz, R.; Schulz, A.; Wendt, N.; Loddenkemper, C.; Jankowski, V.; Tepel, M. Tissue expression of TRPC3 and TRPC6 in hypertensive Munich Wistar Frömter rats showing proteinuria. Am. J. Nephrol. 2010, 31, 36–44. [Google Scholar] [CrossRef]
- Harks, E.G.A.; Peters, P.H.J.; Van Dongen, J.L.J.; Van Zoelen, E.J.J.; Theuvenet, A.P.R. Autocrine production of prostaglandin F2α enhances phenotypic transformation of normal rat kidney fibroblasts. Am. J. Physiol. Cell Physiol. 2005, 289, C130–C137. [Google Scholar] [CrossRef]
- Salido, G.M.; Sage, S.O.; Rosado, J.A. TRPC channels and store-operated Ca2+ entry. Biochim. Biophys. Acta Mol. Cell Res. 2009, 1793, 223–230. [Google Scholar] [CrossRef]
- Dernison, M.M.; Almirza, W.H.M.A.; Kusters, J.M.A.M.; van Meerwijk, W.P.M.; Gielen, C.C.A.M.; van Zoelen, E.J.J.; Theuvenet, A.P.R. Growth-dependent modulation of capacitative calcium entry in normal rat kidney fibroblasts. Cell. Signal. 2010, 22, 1044–1053. [Google Scholar] [CrossRef] [PubMed]
- Ibeh, C.L.; Yiu, A.J.; Kanaras, Y.L.; Paal, E.; Birnbaumer, L.; Jose, P.A.; Bandyopadhyay, B.C. Evidence for a regulated Ca2+ entry in proximal tubular cells and its implication in calcium stone formation. J. Cell Sci. 2019, 132, jcs225268. [Google Scholar] [CrossRef] [PubMed]
- Boadi, E.A.; Shin, S.; Yeroushalmi, S.; Choi, B.E.; Li, P.; Bandyopadhyay, B.C. Modulation of tubular ph by acetazolamide in a ca2+ transport deficient mice facilitates calcium nephrolithiasis. Int. J. Mol. Sci. 2021, 22, 3050. [Google Scholar] [CrossRef] [PubMed]
- Santillán, G.; Baldi, C.; Katz, S.; Vazquez, G.; Boland, R. Evidence that TRPC3 is a molecular component of the 1α,25(OH) 2D3-activated capacitative calcium entry (CCE) in muscle and osteoblast cells. J. Steroid Biochem. Mol. Biol. 2004, 89–90, 291–295. [Google Scholar] [CrossRef]
- Khayyat, N.H.; Tomilin, V.N.; Zaika, O.; Pochynyuk, O. Polymodal roles of TRPC3 channel in the kidney. Channels 2020, 14, 257–267. [Google Scholar] [CrossRef] [PubMed]
- Annalora, A.J.; Goodin, D.B.; Hong, W.X.; Zhang, Q.; Johnson, E.F.; Stout, C.D. Crystal structure of CYP24A1, a mitochondrial cytochrome P450 involved in Vitamin D metabolism. J. Mol. Biol. 2010, 396, 441–451. [Google Scholar] [CrossRef] [PubMed]
- Molin, A.; Lemoine, S.; Kaufmann, M.; Breton, P.; Nowoczyn, M.; Ballandonne, C.; Coudray, N.; Mittre, H.; Richard, N.; Ryckwaert, A.; et al. Overlapping Phenotypes Associated With CYP24A1, SLC34A1, and SLC34A3 Mutations: A Cohort Study of Patients With Hypersensitivity to Vitamin D. Front. Endocrinol. 2021, 12, 1207. [Google Scholar]
- De Paolis, E.; Scaglione, G.L.; De Bonis, M.; Minucci, A.; Capoluongo, E. CYP24A1 and SLC34A1 genetic defects associated with idiopathic infantile hypercalcemia: From genotype to phenotype. Clin. Chem. Lab. Med. 2019, 57, 1650–1667. [Google Scholar] [CrossRef] [PubMed]
- Chen, C.; White, D.L.; Marshall, B.; Kim, W.K. Role of 25-Hydroxyvitamin D3 and 1,25-Dihydroxyvitamin D3 in Chicken Embryo Osteogenesis, Adipogenesis, Myogenesis, and Vitamin D3 Metabolism. Front. Physiol. 2021, 12, 637629. [Google Scholar] [CrossRef]
- Yan, J.; Pan, C.; Liu, Y.; Liao, X.; Chen, J.; Zhu, Y.; Huang, X.; Yang, X.; Ren, Z. Dietary vitamin D3 deprivation suppresses fibroblast growth factor 23 signals by reducing serum phosphorus levels in laying hens. Anim. Nutr. 2022, 9, 23–30. [Google Scholar] [CrossRef]
- Valable, A.S.; Letourneau-Montminy, M.P.; Klein, S.; Lardic, L.; Lecompte, F.; Metayer-Coustard, S.; Meme, N.; Page, G.; Duclos, M.J.; Narcy, A. Early-life conditioning strategies to reduce dietary phosphorus in broilers: Underlying mechanisms. J. Nutr. Sci. 2020, 9, e28. [Google Scholar] [CrossRef] [PubMed]
- Park, S.Y.; Birkhold, S.G.; Kubena, L.F.; Nisbet, D.J.; Ricke, S.C. Review on the role of dietary zinc in poultry nutrition, immunity, and reproduction. Biol. Trace Elem. Res. 2004, 101, 147–163. [Google Scholar] [CrossRef] [PubMed]
- De Vargas, J.G.; Albino, L.F.T.; Rostagno, H.S.; Gomes, P.C.; Cupertino, E.S.; De Oliveira Carvalho, D.C.; Da Silva, M.A.; Pinto, R. Nutritional levels of calcium and available phosphorus for white-egg pullets and brown-egg pullets from 7 to 12 weeks of age. Rev. Bras. Zootec. 2004, 33, 1263–1273. [Google Scholar] [CrossRef][Green Version]


| Gene | Gene ID | Primers (5′-3′) |
|---|---|---|
| RPL30 1 | ENSGALG00000029897 | F: 5′-ATGATTCGGCAAGGCAAAGC-3′ |
| (Ribosomal Protein L30) | R: 5′- GTCAGAGTCACCTGGGTCAA-3′ | |
| RPL4 1 | ENSGALG00000174444 | F: 5′-TGTTTGCCCCAACCAAGACT-3′ |
| (Ribosomal Protein L4) | R: 5′-CTCCTCAATGCGGTGACCTT-3 | |
| HBMS 2 | ENSGALG00000042939 | F: 5′-ACTAGTTCACTTCGGCGAGC-3′ |
| (Hydroxymethylbilane Synthase) | R: 5′-CTCAGGAGCTGACCTATGCG-3′ | |
| GAPDH 3 | ENSGALG00000014442 | F: 5′-TGGGAAGCTTACTGGAATGG-3′ |
| (Glyceraldehyde 3 Phosphate Dehydrogenase) | R: 5′-ATCAGCAGCAGCCTTCACTAC-3′ | |
| MRPS30 4 | ENSGALG00000014874 | F: 5′-CCTGAATCCCGAGGTTAACTATT-3′ |
| (Mitochondrial Ribosomal Protein S30) | R: GAGGTGCGGCTTATCATCTATC-3′ | |
| MRPS27 4 | ENSGALG00000015002 | F: 5′-GCTCCCAGCTCTATGGTTATG-3′ |
| (Mitochondrial Ribosomal Protein S27) | R: 5′-ATCACCTGCAAGGCTCTATTT-3′ | |
| HPRT1 3 | ENSGALG000000006098 | F: 5′-TGGGGATGACCTCTCAACCT-3′ |
| (Hypoxanthine Phosphoribosyltransferase 1) | R: 5′-TCCAACAAAGTCTGGCCGAT-3′ | |
| RPLP1 3 | ENSGALG00000030878 | F: 5′-CCCTCATTCTCCACGACGAC-3′ |
| (Ribosomal Protein Lateral Stalk Subunit P1) | R: 5′-CCAGAGCCTTAGCAAAGAGAC-3′ | |
| RPL5 4 | ENSGALG00000005922 | F: 5′-AATATAACGCCTGATGGGATGG-3′ |
| (Ribosomal Protein L5) | R: 5′-CTTGACTTCTCTCTTGGGTTTCT-3′ | |
| TOP2B 5 | NM_205082.1 | F: 5′AAGGCCAAGAAGATGGAAACTG3′ |
| (DNA Topoisomerase II Beta) | R:5′TCTTGGATTTCTTGCATGGTGT3′ |
| Gene | Ensembl ID | Primer Sequence (5′-3′) | Amplicon Size (bp) |
|---|---|---|---|
| CYP24A1 | ENSGAL00000042279 | F: 5′-GCCCTGTGCTGGATCATTCG-3′ | 142 |
| (Cytochrome P450 family 24 subfamily A member 1) | R: 5′-GCCGTCATTAGTCAAGCTGC-3′ | ||
| FGFR3 | ENSGAL00000015708 | F: 5′-CCACTCAAGAGACAGGTAACAGTG-3′ | 179 |
| (Member of the basic fibroblast growth factor) | R: 5′-CCCAGGGTCAGGCGAGAA-3′ | ||
| PTH | ENSGAL00000061928 | F: 5′-CCATCTGCTGACATACCCCAA-3′ | 158 |
| (Parathyroid hormone) | R: 5′-TCACTCACCGATCTCTTCATCATTG-3′ | ||
| TRPV6 | ENSGAL00000014746 | F: 5′-TGGAGAGCCCAGATTGTTGC-3′ | 114 |
| (Transient receptor potential cation channel subfamily V member 6) | R: 5′-ATACCATCGGTCCCCTAGCC-3′ | ||
| FGF1 1 | ENSGALG00000007343 | F: 5′-CTGTATGGCTCGCAGCTACC-3′ R: 5′-CTGTTCCCGTTTTTCTTCAGCC-3′ | 134 |
| (Fibroblast growth factor 1) | |||
| TRPC3 | ENSGALG00000011875 | F: 5′- CGTGTAGCAGGCTTGGAAGA-3′ | 92 |
| (Transient receptor potential cation channel subfamily C member 3) | R: 5′-CACCAGCAGGCCTAGGAAAA-3′ | ||
| CALB1 2 (Calbindin 1) | ENSGALG00000015914 | F: 5′-GGCAGGCTTGGACTTAACAC-3′ R: 5′-GCTGCTGGCACCTAAAGAAC-3′ | 143 |
| CALM2 2 (Calmodumin 2) | ENSGALG00000010023 | F: 5′-CCACCATGGCTGATCAACTG-3′ R: 5′-GCCATTGCCATCAGCGTCTA-3′ | 192 |
| Traits | LR | MR | HR | ProbF |
|---|---|---|---|---|
| Albumen height, mm | 7.739 ± 0.092 | 7.855 ± 0.085 | 7.630 ± 0.102 | 0.2075 |
| Feed intake, g | 107.0 ± 1.79 | 106.8 ± 2.07 | 106.9 ± 1.59 | 0.9979 |
| Feed conversion rate (per dz of eggs) | 1.335 ± 0.021 | 1.371 ± 0.019 | 1.338 ± 0.013 | 0.0945 |
| Feed conversion rate (per egg mass) | 1.767 ± 0.019 | 1.805 ± 0.021 | 1.754 ± 0.017 | 0.1027 |
| Color | 4.223 ± 0.060 b | 4.507 ± 0.052 a | 4.626 ± 0.058 a | <0.0001 |
| Density, g/ml | 1083.1 ± 0.44 b | 1086.4 ± 0.51 a | 1087.7 ± 0.40 a | <0.0001 |
| Shell thickness, mm | 0.364 ± 0.003 b | 0.378 ± 0.003 a | 0.380 ± 0.002 a | 0.0008 |
| Egg mass (per hen housed) | 57.05 ± 2.13 ab | 55.33 ± 1.60 b | 60.64 ± 0.84 a | 0.0284 |
| Egg mass (per hen/day) | 60.54 ± 0.69 | 59.34 ± 1.08 | 61.65 ± 0.52 | 0.1576 |
| Egg number (per hen housed) | 90.73 ± 3.17 ab | 87.69 ± 2.33 b | 95.45 ± 1.24 a | 0.0140 |
| Egg number (per hen/day) | 96.21 ± 0.22 | 93.93 ± 1.53 | 97.01 ± 0.36 | 0.0535 |
| Egg weight, g | 62.87 ± 0.61 | 63.24 ± 0.36 | 63.81 ± 0.45 | 0.3896 |
| Intact eggs (per hen housed) | 89.83 ± 3.10 ab | 86.82 ± 2.31 b | 94.63 ± 1.29 a | 0.0113 |
| Intact eggs (per hen/day) | 95.28 ± 0.24 ab | 93.01 ± 1.55 b | 96.18 ± 0.42 a | 0.0521 |
| Eggshell, % | 9.162 ± 0.069 b | 9.604 ± 0.027 a | 9.513 ± 0.074 a | 0.0002 |
| Eggshell, g | 5.714 ± 0.057 b | 6.014 ± 0.021 a | 6.007 ± 0.053 a | 0.0007 |
| Eggshell strength, Kgf | 4.030 ± 0.081 b | 4.243 ± 0.080 ab | 4.458 ± 0.069 a | 0.0134 |
| Albumen weight, g | 39.80 ± 0.35 | 39.74 ± 0.14 | 40.01 ± 0.47 | 0.8505 |
| Albumen, % | 63.82 ± 0.20 | 63.39 ± 0.16 | 63.25 ± 0.32 | 0.0958 |
| Yolk, % | 27.02 ± 0.17 | 27.00 ± 0.16 | 27.24 ± 0.31 | 0.6120 |
| Yolk, g | 16.85 ± 0.13 b | 16.93 ± 0.15 ab | 17.23 ± 0.15 a | 0.0464 |
| Haugh unit | 87.03 ± 0.54 | 87.65 ± 0.58 | 86.32 ± 0.59 | 0.1630 |
| Bone Traits | Groups | ProbF | ||
|---|---|---|---|---|
| LR | MR | HR | ||
| Body weight (g) | 1728.9 ± 64.4 | 1836.5 ± 65.7 | 1836.3 ± 77.6 | 0.3047 |
| Tibia weight (g) | 8.261 ± 0.144 | 8.550 ± 0.179 | 8.165 ± 0.192 | 0.1161 |
| Tibia length (mm) | 116.1 ± 0.91 | 117.6 ± 0.76 | 116.4 ± 1.22 | 0.2914 |
| Tibia BS (kgf) | 15.13 ± 1.33 | 17.67 ± 1.15 | 14.58 ± 0.91 | 0.2462 |
| Tibia FLEX (kgf/mm) | 11.80 ± 0.99 | 12.53 ± 0.75 | 12.60 ± 1.09 | 0.7267 |
| Seedor Index (mg/mm) | 0.071 ± 0.001 | 0.075 ± 0.002 | 0.073 ± 0.003 | 0.3890 |
| Humerus weight (g) | 3.572 ± 0.218 | 3.485 ± 0.186 | 3.235 ± 0.363 | 0.8351 |
| Humerus length (mm) | 74.06 ± 0.59 ab | 75.69 ± 0.56 b | 73.23 ± 0.81 a | 0.0193 |
Disclaimer/Publisher’s Note: The statements, opinions and data contained in all publications are solely those of the individual author(s) and contributor(s) and not of MDPI and/or the editor(s). MDPI and/or the editor(s) disclaim responsibility for any injury to people or property resulting from any ideas, methods, instructions or products referred to in the content. |
© 2024 by the authors. Licensee MDPI, Basel, Switzerland. This article is an open access article distributed under the terms and conditions of the Creative Commons Attribution (CC BY) license (https://creativecommons.org/licenses/by/4.0/).
Share and Cite
Salmória, L.A.; Ibelli, A.M.G.; Tavernari, F.C.; Peixoto, J.O.; Morés, M.A.Z.; Marcelino, D.E.P.; Pinto, K.D.S.; Coldebella, A.; Surek, D.; Kawski, V.L.; et al. CYP24A1 and TRPC3 Gene Expression in Kidneys and Their Involvement in Calcium and Phosphate Metabolism in Laying Hens. Animals 2024, 14, 1407. https://doi.org/10.3390/ani14101407
Salmória LA, Ibelli AMG, Tavernari FC, Peixoto JO, Morés MAZ, Marcelino DEP, Pinto KDS, Coldebella A, Surek D, Kawski VL, et al. CYP24A1 and TRPC3 Gene Expression in Kidneys and Their Involvement in Calcium and Phosphate Metabolism in Laying Hens. Animals. 2024; 14(10):1407. https://doi.org/10.3390/ani14101407
Chicago/Turabian StyleSalmória, Letícia Alves, Adriana Mércia Guaratini Ibelli, Fernando Castro Tavernari, Jane Oliveira Peixoto, Marcos Antônio Zanella Morés, Débora Ester Petry Marcelino, Karine Daenquele Silva Pinto, Arlei Coldebella, Diego Surek, Vicky Lilge Kawski, and et al. 2024. "CYP24A1 and TRPC3 Gene Expression in Kidneys and Their Involvement in Calcium and Phosphate Metabolism in Laying Hens" Animals 14, no. 10: 1407. https://doi.org/10.3390/ani14101407
APA StyleSalmória, L. A., Ibelli, A. M. G., Tavernari, F. C., Peixoto, J. O., Morés, M. A. Z., Marcelino, D. E. P., Pinto, K. D. S., Coldebella, A., Surek, D., Kawski, V. L., & Ledur, M. C. (2024). CYP24A1 and TRPC3 Gene Expression in Kidneys and Their Involvement in Calcium and Phosphate Metabolism in Laying Hens. Animals, 14(10), 1407. https://doi.org/10.3390/ani14101407

