Comparative Research on Intestinal Functions of Wild and Cultured Hemibarbus maculatus in Jialing River
Abstract
Simple Summary
Abstract
1. Introduction
2. Materials and Methods
2.1. Animals
2.2. Gross Observation of the Hemibarbus Maculatus
2.3. Histology Preparation of the Tissues for Microscopic Observation
2.4. Morphological Measurement of the Gut
2.5. Measurement of Lymphocytes in the Villi
2.6. Goblet Cells Staining by AB-PAS
2.7. Observation of Argyrophil Cells: Silver Leaching Method of Longguikai
2.8. Determination of Gut Absorption Function
2.9. Observation of the Liver Morphology, Glycogen and Lipid: H.E, Periodic Acid-Schiff Stain (PAS) and Oil Red O Staining
2.10. Data Analysis
3. Results
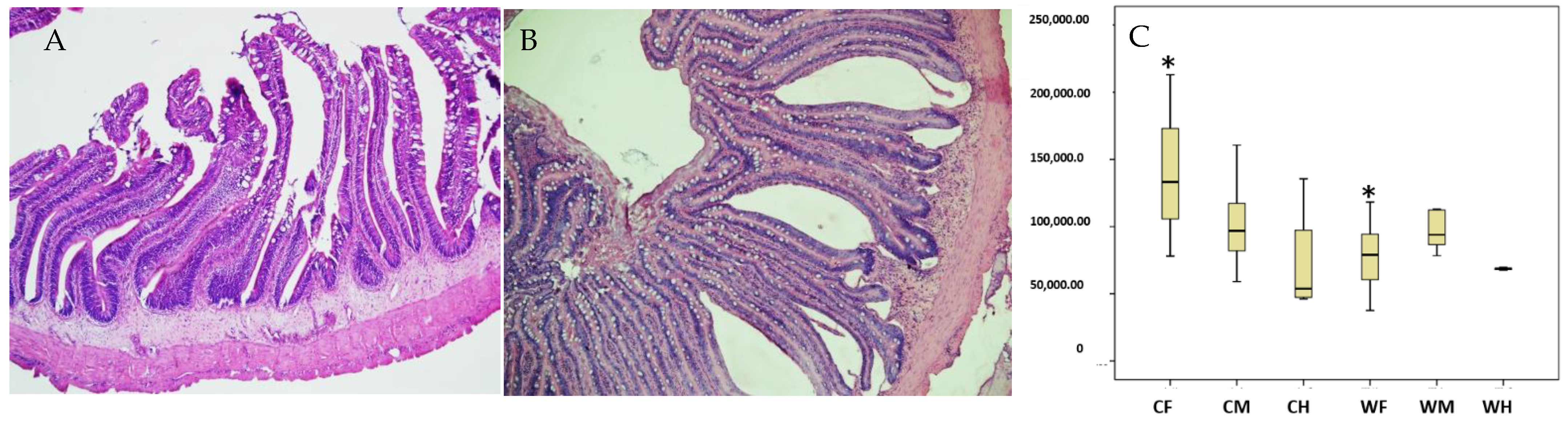
3.1. Intestinal Anatomy and Morphology
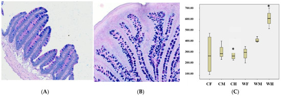
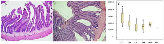
3.2. Intestinal Histological Structure
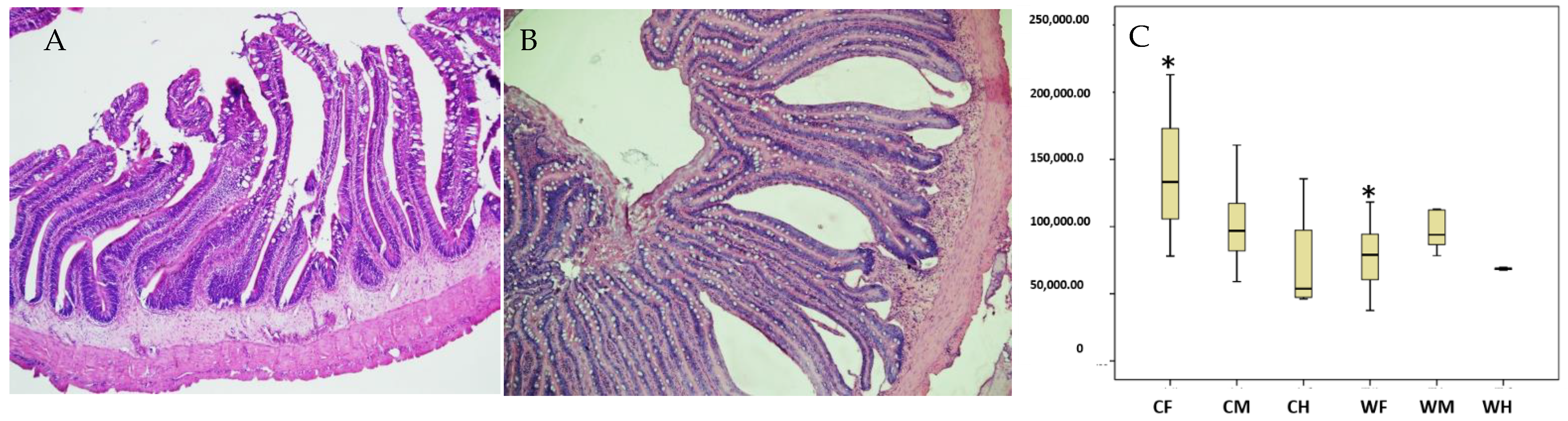
3.3. Intestinal Secretory Cells Argyrophil Cells and Goblet Cells
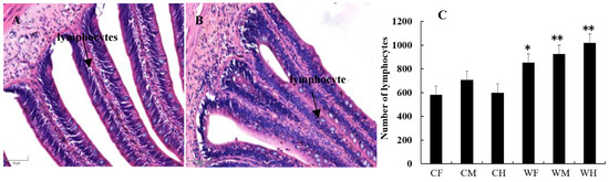
3.4. Lymphocyte Number
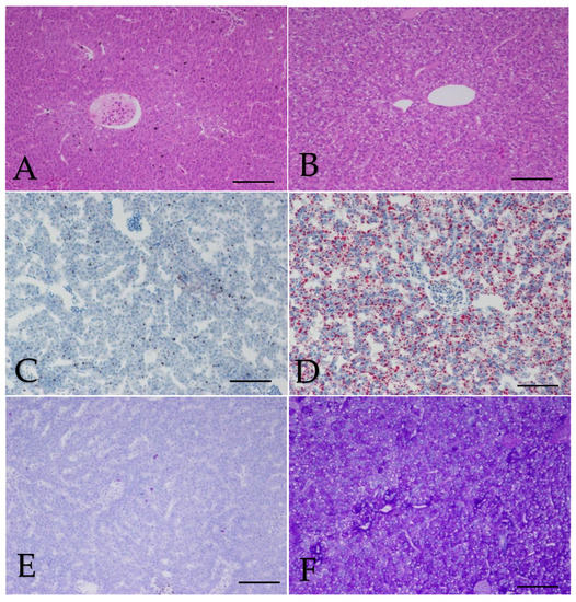
3.5. Hepatic Morphology, Glycogen and Lipid
4. Discussion
5. Conclusions
Author Contributions
Funding
Institutional Review Board Statement
Informed Consent Statement
Data Availability Statement
Acknowledgments
Conflicts of Interest
References
- Jiang, C.M. The Differential Comparison of Biologicalcharacteristics of Saurogobio Dabryi in the Jialing River; China West Normal University: Nanchong, China, 2017. [Google Scholar]
- Bakke, A.M.; Glover, C.; Krogdahl, A. Feeding, digestion and absorption of nutrients. Fish Physiol. 2010, 30, 57–110. [Google Scholar] [CrossRef]
- De Schryver, P.; Vadstein, O. Ecological theory as a foundation to control pathogenic invasion in aquaculture. ISME J. 2014, 8, 2360–2368. [Google Scholar] [CrossRef] [PubMed]
- Wilson, J.M. Morphological diversity of the gastrointestinal tract in fishes. Fish Physiol. 2010, 30, 1–55. [Google Scholar] [CrossRef]
- Banan Khojasteh, S.M. The morphology of the post-gastric alimentary canal in teleost fishes: A brief review. Int. J. Aqua. Sci. 2012, 3, 71–88. [Google Scholar] [CrossRef]
- Cinar, K.; Senol, N. Histological and histochemical characterization of the mucosa of the digestive tract in Flower Fish (Pseudophoxınus antalyae). Anat. Histol. Embryol. 2006, 35, 147–151. [Google Scholar] [CrossRef]
- Li, P.; Xu, D.D.; Peng, Z.G.; Zhang, Y.G. The complete mitochondrial genome of the spotted steed, Hemibarbus maculatus (Teleostei, Cypriniformes). Mitochondr. DNA 2012, 23, 34–36. [Google Scholar] [CrossRef]
- Han, M.; Wang, C.L.; Shen, C.N.; Shen, I.S. The complete mitochondrial genome of half-spined barbel Acrossocheilus hemispinus (Nichols) (Teleostei, Cyprinidae, Barbinae). Mitochondr. DNA 2015, 26, 133–134. [Google Scholar] [CrossRef]
- Lian, Q.P.; Mi, G.Q.; Hu, T.J.; Wang, Y.C.; Yao, Z.L.; Qin, D. Study on embryo development of crossbreed F1 by Hemibarbus maculates (♀) × Hemibarbus labeo (♂). Hubei Agric. Sci. 2012, 51, 131–135. [Google Scholar]
- Yun, T. Study on the morphological biology of Hemibarbus maculatus Bleeker in Yuanhe river. J. Anhui Agric. Sci. 2012, 40, 17605–17607. [Google Scholar] [CrossRef]
- Tuo, Y.; Xiao, T.Y. Analysis and discrimination of sexual dimorphism of Hemibarbus maculatus Bleeker by morphometry. Fisheries Sci. 2015, 34, 603–608. [Google Scholar]
- Zhu, Z.; Tianle, X.U.; Deng, S.; Chen, J.; Chen, R.; Xie, L.; Huang, Z.; Wu, S.H.; Wu, Y.Z. Isolation, identification and antimicrobial test in vitro of Aeromonas from Hemibarbus maculatus Bleeker. Agric. Sci. Tech. 2017, 18, 156–160. [Google Scholar] [CrossRef]
- Luo, L.; Zhao, Z.G.; Du, X.; Xu, Q.Y. Relationship between intestinal flora and immunity in fish. Chin. J. Fish. 2018, 31, 51–54. [Google Scholar] [CrossRef]
- Li, X.X.; Liu, W.; Tang, F.J. Analysis of feeding and nutritional level of three species of subfamilies in Harbin section of Songhua River. J. Fish. 2013, 26, 29–33. [Google Scholar] [CrossRef]
- Xia, X.; Guan, S.F.; Gong, S.Y. Fengxi river flower eating study. Jiangxi Aquat. Prod. Sci. Tech. 2011, 2, 24–29. [Google Scholar] [CrossRef]
- Song, L.; Wang, J.; Yang, K. Phytoplankton community structure and water quality assessment in Nanchong outbound section of Jialing River in autumn. J. China West Norm. Univ. 2021, 42, 215–224. [Google Scholar] [CrossRef]
- Fischer, A.H.; Jacobson, K.A.; Rose, J.; Zeller, R. Hematoxylin and eosin staining of tissue and cell sections. Csh. Protoc. 2008, 6, 415–417. [Google Scholar] [CrossRef]
- Wang, J.X.; Peng, K.M. Developmental morphology of the small intestine of African Ostrich chicks. Poult. Sci. 2008, 87, 2629–2635. [Google Scholar] [CrossRef]
- Kisielinski, K.; Willi, S.; Prescher, A.; Klosterhalfen, B.; Schumpelick, V. A simple new method to calculate small intestine absorptive surface in the rat. Clin. Exp. Med. 2002, 2, 131–135. [Google Scholar] [CrossRef]
- Chen, J.W.; Zhang, W.; Wang, T.W.; Cheng, J.; Luo, J.F. Application of AB-PAS staining after digestion in mucus staining. Int. J. Clin. Exp. Patho. 2017, 7, 112–113. [Google Scholar] [CrossRef]
- Miller, M.A.; Zachary, J.F. Mechanisms and morphology of cellular injury, adaptation, and death. Pathol. Basis Vet. Dis. 2017, 6, 2–43. [Google Scholar] [CrossRef]
- Zhang, S.Z.; Wu, X.B.; Chen, B.H.; Wang, R.P.; Wang, C.L.; Xie, W.S. Distribution and morphological observation of argyrophil cells in digestive tract of alligator sinensis. Chin. J. Zool. 1999, 34, 31–34. [Google Scholar]
- Norambuena, F.; Estevez, A.; Bell, G.; Carazo, I.; Duncan, N. Proximate and fatty acid compositions in muscle, liver and gonads of wild versus cultured broodstock of Senegalese sole (Solea senegalensis). Aquaculture 2012, 356, 176–185. [Google Scholar] [CrossRef]
- Yu, K.; Huang, K.; Tang, Z.; Huang, X.; Sun, L.; Pang, L.; Mo, C. Metabolism and antioxidation regulation of total flavanones from Sedum sarmentosum Bunge against high-fat diet-induced fatty liver disease in Nile tilapia (Oreochromis niloticus). Fish. Physiol. Biochem. 2021, 47, 1149–1164. [Google Scholar] [CrossRef]
- Goessling, W.; Sadler, K.C. Zebrafish: An important tool for liver disease research. Gastroenterology 2015, 149, 1361–1377. [Google Scholar] [CrossRef] [PubMed]
- Prisingkorn, W.; Prathomya, P.; Jakovlic, I.; Liu, H.; Zhao, Y.H.; Wang, W.M. Transcriptomics, metabolomics and histology indicate that high-carbohydrate diet negatively affects the liver health of blunt snout bream (Megalobrama amblycephala). BMC Genom. 2017, 18, 856. [Google Scholar] [CrossRef] [PubMed]
- Layman, J.I.; Pereira, D.L.; Chellan, N.; Huisamen, B.; Kotzé, S.H. A histomorphometric study on the hepatoprotective effects of a green rooibos extract in a diet-induced obese rat model. Acta Histochem. 2019, 121, 646–656. [Google Scholar] [CrossRef] [PubMed]
- Berdja, S.; Boudarene, L.; Smail, L.; Neggazi, S.; Boumaza, S.; Sahraoui, A.; Haffaf, E.I.; Kacimi, G.; Bouguerra, S.A. Scolymus hispanicus (golden thistle) ameliorates hepatic steatosis and metabolic syndrome by reducing lipid accumulation, oxidative stress, and inflammation in rats under hyperfatty diet. eCAM 2021, 14, 5588382–5588395. [Google Scholar] [CrossRef]
- Grosell, M.; Farrell, A.P.; Brauner, C.J. (Eds.) Fish Physiology: The Multifunctional Gut of Fish, 1st ed.; Academic Press: Cambridge, MA, USA, 2011; Volume 30. [Google Scholar] [CrossRef]
- Wang, Y.Z.; Sun, J.F.; Lv, A.J.; Zhang, S.L.; Sung, Y.Y.; Shi, H.Y.; Hu, X.C.; Chen, S.J.; Xing, K.Z. Histochemical distribution of four types of enzymes and mucous cells in the gastrointestinal tract of reared half-smooth tongue sole Cynoglossus semilaevis. J. Fish. Biol. 2018, 92, 3–16. [Google Scholar] [CrossRef]
- Day, R.D.; German, D.P.; Manjakasy, J.M.; Farr, I.; Hansen, M.J.; Tibbetts, I.R. Enzymatic digestion in stomachless fishes: How a simple gut accommodates both herbivory and carnivory. J. Comp. Physiol. B. 2011, 181, 603–613. [Google Scholar] [CrossRef]
- Lingrel, J.B.; Kuntzweiler, T. Na+-K+-ATPase. J. Biol. Chem. 1994, 269, 19659–19662. [Google Scholar] [CrossRef]
- Le, H.T.M.D.; Shao, X.; Krogdahl, A.; Kortner, T.M. Intestinal function of the stomachless fish, Ballan Wrasse (Labrus bergylta). Front. Mar. Sci. 2019, 6, 1–15. [Google Scholar] [CrossRef]
- Van der Klis, J.; Jansman, A. Optimising nutrient digestion, absorption and gut barrier function in monogastrics: Reality or illusion. In Nutrition and Health of the Gastrointestinal Tract; Wageningen Academic Publishers: Wageningen, The Netherlands, 2002; pp. 15–36. [Google Scholar]
- Madara, J.L. Functional Morphology of Epithelium of the Small Intestine. Comprehensive Physiology; John Wiley & Sons, Inc.: Hoboken, NJ, USA, 2011. [Google Scholar] [CrossRef]
- Israeli, E. Goblet cells deliver luminal antigen to CD103+ dendritic cells in the small intestine. Isr. Med. Assoc. J. 2012, 483, 345–349. [Google Scholar] [CrossRef]
- Melo-Gonzalez, G.; Felipe, T.M. Investigating the Role of the Intestinal Barrier in Regulation of Immune Homeostasis in the Gut; The University of Manchester: Manchester, UK, 2016. [Google Scholar]
- Kober, O. The Role of Mucus in the Cross Talk between Gut Bacteria and the Host; University of East Anglia: Norwich, UK, 2013. [Google Scholar]
- Robertson, S.; Bradley, J.E.; MacColl, A.D.C. Measuring the immune system of the three-spined stickleback—Investigating natural variation by quantifying immune expression in the laboratory and the wild. Mol. Ecol. Resour. 2015, 16, 701–713. [Google Scholar] [CrossRef] [PubMed]







| Ingredient | Content (%) | Ingredient | Content (%) |
|---|---|---|---|
| Entrance fish meal | 25 | Rapeseed oil | 1.5 |
| Soybean meal | 15 | Soybean oil | 1.5 |
| Rapeseed meal | 16 | Vitamin | 0.5 |
| Corn | 10 | Ca(H2PO4)2 | 2.2 |
| Wheat middling | 17 | Econazole | 0.1 |
| Soybean meal fermenting | 6 | Barren rock powder | 2 |
| Diggested tankage | 2.7 | mineral | 0.5 |
| Food Species | Representative Food | Occurrence Rates (%) |
|---|---|---|
| Aquatic insects | Tendipes larva | 72.24 |
| Alga | - | 58.47 |
| Hydrophyte | - | 32.62 |
| Mussels | - | 27.26 |
| oligochaete | aquatic worms | 33.80 |
| protozoan | Vorticellidae | 26.98 |
| Gastropoda | - | 16.78 |
| decapod | - | 6.53 |
| Variety | Weight of Fish (g) | Weight of Total Gut (g) | Weight of Foregut (g) | Weight of Midgut (g) | Weight of Hindgut (g) |
| Wild | 43.544 ± 1.221 | 0.824 ± 0.1196 | 0.398 ± 0.0652 | 0.168 ± 0.0287 | 0.182 ± 0.020 |
| Cultured | 44.822 ± 1.358 | 0.896 ± 0.1771 | 0.382 ± 0.0719 | 0.202 ± 0.0455 | 0.246 ± 0.038 |
| Variety | Length of full gut (cm) | Length of foregut (cm) | Length of Midgut (cm) | Length of Hindgut (cm) | Unit weight |
| Wild | 13.26 ± 1.212 | 3.67 ± 0.2048 | 2.984 ± 0.149 | 6.408 ± 0.279 | 0.062 ± 0.010 |
| Cultured | 13.134 ± 1.552 | 3.224 ± 0.3606 | 3.234 ± 0.244 | 6.524 ± 0.470 | 0.066 ± 0.013 |
| Villus Height (μm) | Villus Width (μm) | Crypt Depth (μm) | Thickness of Muscle Layer (μm) | Tube Radius (μm) | ||
|---|---|---|---|---|---|---|
| Cultured | foregut | 386.51 ± 53.51 | 110.24 ± 21.58 * | 58.26 ± 6.93 | 51.47 ± 9.61 | 995.38 ± 31.56 |
| midgut | 426.79 ± 69.06 | 62.70 ± 9.20 | 62.70 ± 9.54 | 86.16 ± 14.73 | 803.24 ± 77.24 | |
| hindgut | 293.51 ± 34.35 | 63.84 ± 11.32 | 47.54 ± 6.55 | 36.95 ± 5.64 | 559.60 ± 20.37 | |
| Wild | foregut | 445.05 ± 48.17 | 50.47 ± 4.86 * | 66.01 ± 7.89 | 92.05 ± 22.36 | 1004.43 ± 126.35 |
| midgut | 541.01 ± 31.21 | 56.43 ± 4.34 | 61.08 ± 6.42 | 67.42 ± 5.67 | 969.88 ± 75.23 | |
| hindgut | 305.86 ± 80.26 | 52.52 ± 1.68 | 49.23 ± 3.59 | 38.78 ± 4.53 | 565.26 ± 64.50 |
Disclaimer/Publisher’s Note: The statements, opinions and data contained in all publications are solely those of the individual author(s) and contributor(s) and not of MDPI and/or the editor(s). MDPI and/or the editor(s) disclaim responsibility for any injury to people or property resulting from any ideas, methods, instructions or products referred to in the content. |
© 2023 by the authors. Licensee MDPI, Basel, Switzerland. This article is an open access article distributed under the terms and conditions of the Creative Commons Attribution (CC BY) license (https://creativecommons.org/licenses/by/4.0/).
Share and Cite
Wu, B.; Lei, H.; Zhen, J.; Zhao, L.; Song, B.; Zeng, Y. Comparative Research on Intestinal Functions of Wild and Cultured Hemibarbus maculatus in Jialing River. Animals 2023, 13, 189. https://doi.org/10.3390/ani13020189
Wu B, Lei H, Zhen J, Zhao L, Song B, Zeng Y. Comparative Research on Intestinal Functions of Wild and Cultured Hemibarbus maculatus in Jialing River. Animals. 2023; 13(2):189. https://doi.org/10.3390/ani13020189
Chicago/Turabian StyleWu, Bangyuan, Hong Lei, Jie Zhen, Limin Zhao, Baolin Song, and Yu Zeng. 2023. "Comparative Research on Intestinal Functions of Wild and Cultured Hemibarbus maculatus in Jialing River" Animals 13, no. 2: 189. https://doi.org/10.3390/ani13020189
APA StyleWu, B., Lei, H., Zhen, J., Zhao, L., Song, B., & Zeng, Y. (2023). Comparative Research on Intestinal Functions of Wild and Cultured Hemibarbus maculatus in Jialing River. Animals, 13(2), 189. https://doi.org/10.3390/ani13020189

