Radiographic Appearance of the Fore Digit and Carpal Joint in the Mule Foal from Birth to 3 Months of Age
Abstract
Simple Summary
Abstract
1. Introduction
2. Materials and Methods
2.1. Study Population
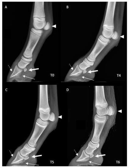
2.2. Radiographic Protocol
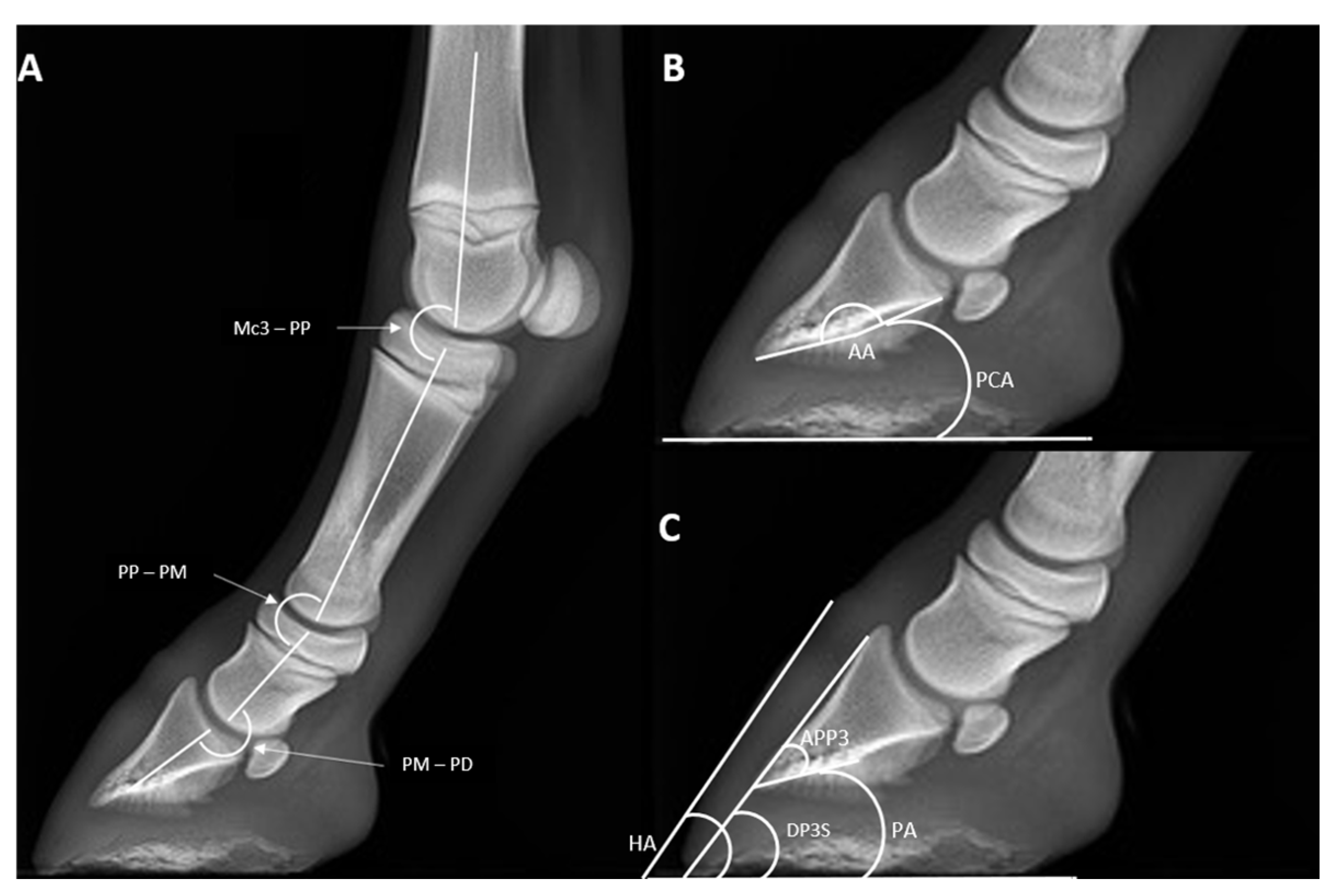
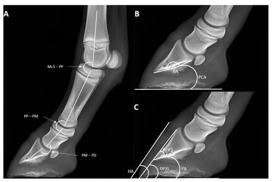
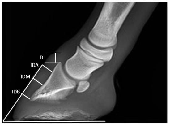
2.3. Radiological Parameters
2.4. Statistical Analysis
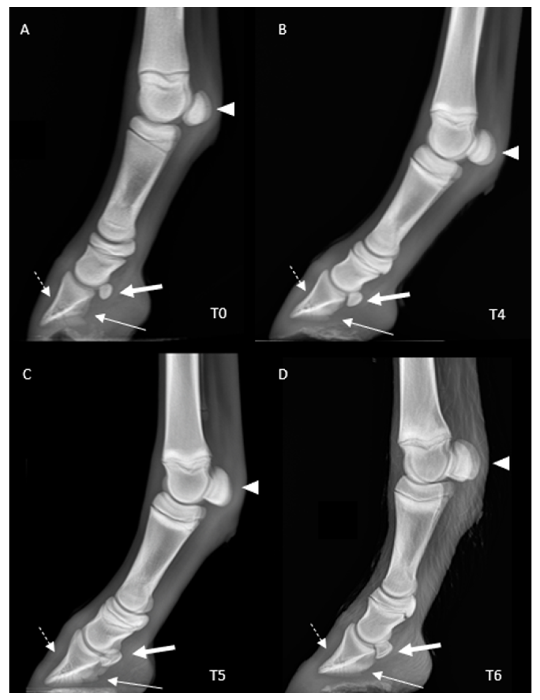
3. Results
4. Discussion
5. Conclusions
Author Contributions
Funding
Institutional Review Board Statement
Informed Consent Statement
Data Availability Statement
Conflicts of Interest
References
- Goodrich, E.L.; Behling-Kelly, E. Clinical pathology of donkeys and mules. Vet. Clin. Equine Pract. 2019, 35, 433–455. [Google Scholar] [CrossRef] [PubMed]
- Brosnahan, M.M. Genetics, evolution, and physiology of donkeys and mules. Vet. Clin. N. Am. Equine Pract. 2019, 35, 457–467. [Google Scholar] [CrossRef]
- Yilmaz, O.; Coşkun, F.; Ertuğrul, M. Some morphological characteristics of mules raised in Van Province in Turkey. Yuz. Yil Univ. J. Agric. Sci. 2013, 23, 31–35. [Google Scholar]
- McLean, A.K.; Wang, W.; Heartfield, A.; Rodrigues, J.B. Measuring conformation in mules, hinnies, and donkeys (Equus asinus) from Spanish and Portuguese populations. J. Equine Vet. Sci. 2015, 5, 426–427. [Google Scholar] [CrossRef]
- Hanot, P.; Herrel, A.; Guintard, C.; Cornette, R. Unravelling the hybrid vigor in domestic equids: The effect of hybridization on bone shape variation and covariation. BMC Evol. Biol. 2019, 19, 188. [Google Scholar] [CrossRef]
- Jordana, J.; Ferrando, A.; Miro, J.; Goyache, F.; Loarca, A.; Martínez López, O.R.; Canelón, J.L.; Stemmer, A.; Aguirre, L.; Lara, M.A.C.; et al. Genetic relationships among American donkey populations: Insights into the process of colonization. J. Anim. Breed. Genet. 2016, 133, 155–164. [Google Scholar] [CrossRef]
- Savory, T.H. The mule. Sci. Am. 1970, 223, 102–109. [Google Scholar] [CrossRef]
- Butler, J.A.; Colles, C.M.; Dyson, S.J.; Kold, S.E.; Poulos, P.W. Clinical Radiology of the Horse, 3rd ed.; John Wiley & Sons: Chichester, UK, 2017; pp. 55–148. [Google Scholar]
- Collins, S.N.; Dyson, S.J.; Murray, R.C. Radiological anatomy of the donkey foot: Objective characterization of the normal and laminitic donkey foot. Equine Vet. J. 2011, 43, 478–486. [Google Scholar] [CrossRef]
- Nocera, I.; Aliboni, B.; Puccinelli, C.; Pietrini, G.; Sgorbini, M.; Citi, S.; Ricardi, G. Radiographic parameters of the digit in a cohort population of Amiata donkeys. Open Vet. J. 2020, 10, 354–362. [Google Scholar] [CrossRef] [PubMed]
- Van Thielen, B.; Willekens, I.; Van der Schicht, A.; Pestieau, P.; Verhelle, F.; Goossens, P.; Decoster, R.; Jacqmot, O.; Delperdange, P.; Busoni, V.; et al. Radiography of the distal extremity of the manus in the donkey foal: Normal images and quantitative characterization from birth to 2 years of age: A pilot study. Anat. Histol. Embryol. 2018, 47, 71–83. [Google Scholar] [CrossRef] [PubMed]
- Crevier, N.; Denoix, J.M.; Collobert, C.; Perrot, P. Radiographie des membres chez le poulain de 0 à 6 mois—Images normales et pièges anatomiques. V—Pied et paturon. Prat. Vétérinaire Equine 1994, 26, 31–39. [Google Scholar]
- Luszczynski, J.; Pieszka, M.; Kosiniak-Kamysz, K. Effect of horse breed and sex on growth rate and radiographic closure time of distal radial metaphyseal growth plate. Livest. Sci. 2011, 141, 252–258. [Google Scholar] [CrossRef]
- Dos Santos, B.V.; de Mattos Guttmann, P.; Rusca, A.C.; da SILVA, K.M.; de Barros Macieira, D.; de ALENCAR, N.X.; Lessa, D.A.B. Evaluation of acquired passive immunity in mule foals up to 60 days of age. J. Equine Vet. Sci. 2020, 31, 1–4. [Google Scholar]
- Alonso, M.A.; Boakari, Y.L.; Riccio, A.V.; Belli, C.B.; Fernandes, C.B. Perinatal parameters of mule and equine foals: Similarities and differences. J. Vet. Behav. 2023, 63, 31–35. [Google Scholar] [CrossRef]
- Coleman, M.C.; Whitfield-Cargile, C. Orthopedic conditions of the premature and dysmature foal. Vet. Clin. N. Am. Equine Pract. 2017, 33, 289–297. [Google Scholar] [CrossRef] [PubMed]
- National Research Council. Donkeys and Other Equids. Nutrient Requirements of Horses; The National Academy Press: Washington, DC, USA, 2007. [Google Scholar]
- Santschi, E.M.; Prichard, M.A.; Whitman, J.L.; Strathman, T.A.; Batten, C.A.; Canada, N.C.; Morehead, J.P. Survey radiography of the carpus and tarsus in neonatal Thoroughbred foals and appearance at 6 months of age. J. Equine Vet. Sci. 2018, 63, 55–60. [Google Scholar] [CrossRef]
- Rogers, C.W.; Gee, E.K.; Dittmer, K.E. Growth and bone development in the horse: When is a horse skeletally mature? Animals 2021, 11, 3402. [Google Scholar] [CrossRef]
- Weaver, M.; Barakzai, S. Handbook of Equine Radiography; Elsevier Saunders: Amsterdam, The Netherlands, 2009; pp. 19–78. [Google Scholar]
- Aronoff, N. The donkey neonate. In Veterinary Care of Donkeys; Matthews, N.S., Taylor, T.S., Eds.; International Veterinary Information Service: Ithaca, NY, USA, 2010. [Google Scholar]
- Gabel, A.; Spencer, P.; Pipers, S. A study of correlation of closure of the distal radial physis with performance and injury in the standardbred. J. Am. Vet. Med. Assoc. 1977, 170, 188–194. [Google Scholar] [PubMed]
- Pasolini, M.P.; Meomartino, L.; Tesla, A.; Fatone, G.; Potena, A.; Rosa, G.; di Lamagna, F. Radiographic assessment of skeletal maturity in the racehorse: Statistical validation and correlation with orthopaedic injuries in the Standardbred. Ippologia 2007, 18, 15–19. [Google Scholar]
- Empel, W.; Lojek, J.; Wasowski, A. The effect of the breeder, year and month of birth and sex on the skeletal maturation of Thoroughbred horses. Annals of Warsaw Agricultural University. Vet. Anim. Sci. 1993, 29, 11–15. [Google Scholar]
- Dutton, D.M.; Watkins, J.P.; Walker, M.A.; Honnas, C.M. Incomplete ossification of the tarsal bones in foals: 22 cases (1988–1996). J. Am. Vet. Med. Assoc. 1998, 213, 1590–1594. [Google Scholar] [PubMed]
- Clothier, J.; Small, A.; Hinch, G.; Brown, W.Y. Prematurity and dysmaturity are associated with reduced height and shorter distal limb length in horses. J. Equine Vet. Sci. 2020, 91, 103129. [Google Scholar] [CrossRef] [PubMed]
- Crecan, C.; Morar, I.; Rus, M.; Pestean, C. Surgical management of a severe congenital deformity of the hind limb in a Shetland pony foal—A case report. Acta Vet. Brno 2021, 90, 391–397. [Google Scholar] [CrossRef]
- Anderson, S. Management of Angular Limb Deformities. In Equine Reproductive Procedures; Wiley: Hoboken, NJ, USA, 2021; pp. 735–738. [Google Scholar] [CrossRef]
- Lindegaard, C.; van Galen, G.; Aarsvold, S.; Berg, L.C.; Verwilghen, D. Haematogenous septic arthritis, physitis and osteomyelitis in foals: A tutorial review on pathogenesis, diagnosis, treatment and prognosis. Part 1. Equine Vet. Educ. 2021, 33, 659–672. [Google Scholar] [CrossRef]
- Lindegaard, C.; van Galen, G.; Aarsvold, S.; Berg, L.; Verwilghen, D. Haematogenous septic arthritis, physitis and osteomyelitis in foals: A tutorial review on pathogenesis, diagnosis, treatment and prognosis. Part 2. Equine Vet. Educ. 2022, 34, 37–48. [Google Scholar] [CrossRef]






| HA | DPDS | PA | PCA | AA | APPD | Mc3-PP | PP-PM | PM-PD | |
|---|---|---|---|---|---|---|---|---|---|
| T0 | 66.9 ± 5.4 | 62.1 ± 3.2 | 10.3 ± 6.5 | 33.6 ± 2.1 | 169.9 ± 2.5 | 38.3 ± 2.9 | 164.1 ± 2.4 | 169.9 ± 2.3 | 178.4 ± 10.7 |
| p-value | 0.54 | 0.35 | 0.25 | 0.71 | 0.99 | 0.80 | 0.72 | 0.63 | 0.97 |
| T1 | 64.6 ± 4.1 | 57.9 ± 5.6 | 4.9 ± 4.3 | 28.0 ± 9.6 | 169.1 ± 6.9 | 36.7 ± 2.4 | 156.3 ± 8.0 | 166.8 ± 4.1 | 179.7 ± 4.1 |
| p-value | 0.33 | 0.31 | 0.17 | 0.11 | 0.25 | 0.29 | 0.62 | 0.11 | 0.67 |
| T2 | 61.9 ± 5.1 | 55.5 ± 2.9 | 6.9 ± 2.0 | 24.2 ± 4.8 | 169.1 ± 5.2 | 36.3 (36.0–39.5) | 156.6 (147.9–165.3) | 165.8 ± 5.2 | 181.9 ± 5.6 |
| p-value | 0.45 | 0.74 | 0.13 | 0.63 | 0.41 | 0.01 | 0.03 | 0.36 | 0.75 |
| T3 | 60.2 ± 1.6 | 53.7 ± 2.1 | 5.5 ± 3.7 | 23.5 ± 6.2 | 171.4 ± 6.4 | 35.9 ± 1.7 | 155.0 ± 3.4 | 163.1 ± 1.9 | 177.7 ± 7.3 |
| p-value | 0.83 | 0.40 | 0.07 | 0.56 | 0.35 | 0.11 | 0.71 | 0.30 | 0.73 |
| T4 | 64.3 ± 1.8 | 52.9 ± 3.7 | 4.7 ± 0.8 | 24.6 ± 6.3 | 169.1 ± 4.0 | 36.8 ± 1.4 | 153.9 ± 1.3 | 162.6 ± 2.9 | 181.5 ± 3.3 |
| p-value | 0.63 | 0.76 | 0.94 | 0.50 | 0.20 | 0.70 | 0.96 | 0.87 | 0.58 |
| T5 | 57.6 ± 2.9 | 53.3 ± 3.6 | 3.2 ± 2.2 | 23.9 ± 5.8 | 171.5 ± 5.1 | 37.8 ± 1.7 | 158.2 ± 2.6 | 161.9 ± 2.0 | 177.9 ± 7.8 |
| p-value | 0.10 | 0.91 | 0.29 | 0.24 | 0.99 | 0.22 | 0.23 | 0.80 | 0.58 |
| T6 | 54.6 ± 3.8 | 51.2 (50.5–58.3) | 3.0 (2.8–6.0) | 25.7 ± 10.9 | 170.8 ± 4.7 | 36.6 ± 1.8 | 163.8 ± 2.3 | 164.7 ± 4.8 | 181.4 ± 13.8 |
| p-value | 0.43 | 0.02 | 0.01 | 0.29 | 0.86 | 0.07 | 0.90 | 0.09 | 0.12 |
| D | IDA | IDM | IDB | |
|---|---|---|---|---|
| T0 | 8.8 ± 1.7 | 9.8 ± 1.1 | 10.0 ± 1.2 | 6.6 ± 0.5 |
| p-value | 0.95 | 0.86 | 0.17 | 0.47 |
| T1 | 7.4 ± 1.4 | 10.5 (10–11) | 10.6 ± 1.1 | 6.9 ± 0.8 |
| p-value | 0.83 | 0.02 | 0.60 | 0.57 |
| T2 | 7.2 ± 1.6 | 11 (10.1–11) | 10.5 ± 1.2 | 7 (7–7.2) |
| p-value | 0.54 | 0.001 | 0.55 | 0.001 |
| T3 | 6.6 (6.2–7) | 11.0 ± 1.4 | 10.8 ± 1.1 | 7.5 ± 0.5 |
| p-value | 0.02 | 0.16 | 0.50 | 0.12 |
| T4 | 6.7 ± 1.1 | 11.5 ± 1.3 | 10.7 ± 1.9 | 8.8 ± 1.7 |
| p-value | 0.72 | 0.97 | 0.08 | 0.85 |
| T5 | 7.8 ± 0.9 | 12.0 ± 1.4 | 11.8 ± 1.5 | 9.5 (9–10) |
| p-value | 0.27 | 0.16 | 0.22 | 0.02 |
| T6 | 9.0 ± 0.8 | 12.5 ± 1.7 | 13.0 ± 0.8 | 11.3 ± 1.5 |
| p-value | 0.68 | 0.19 | 0.68 | 0.22 |
Disclaimer/Publisher’s Note: The statements, opinions and data contained in all publications are solely those of the individual author(s) and contributor(s) and not of MDPI and/or the editor(s). MDPI and/or the editor(s) disclaim responsibility for any injury to people or property resulting from any ideas, methods, instructions or products referred to in the content. |
© 2023 by the authors. Licensee MDPI, Basel, Switzerland. This article is an open access article distributed under the terms and conditions of the Creative Commons Attribution (CC BY) license (https://creativecommons.org/licenses/by/4.0/).
Share and Cite
Nocera, I.; Sorvillo, B.; Sgorbini, M.; Aliboni, B.; Citi, S. Radiographic Appearance of the Fore Digit and Carpal Joint in the Mule Foal from Birth to 3 Months of Age. Animals 2023, 13, 2417. https://doi.org/10.3390/ani13152417
Nocera I, Sorvillo B, Sgorbini M, Aliboni B, Citi S. Radiographic Appearance of the Fore Digit and Carpal Joint in the Mule Foal from Birth to 3 Months of Age. Animals. 2023; 13(15):2417. https://doi.org/10.3390/ani13152417
Chicago/Turabian StyleNocera, Irene, Benedetta Sorvillo, Micaela Sgorbini, Benedetta Aliboni, and Simonetta Citi. 2023. "Radiographic Appearance of the Fore Digit and Carpal Joint in the Mule Foal from Birth to 3 Months of Age" Animals 13, no. 15: 2417. https://doi.org/10.3390/ani13152417
APA StyleNocera, I., Sorvillo, B., Sgorbini, M., Aliboni, B., & Citi, S. (2023). Radiographic Appearance of the Fore Digit and Carpal Joint in the Mule Foal from Birth to 3 Months of Age. Animals, 13(15), 2417. https://doi.org/10.3390/ani13152417

