Next Article in Journal
Comparative Analysis of miRNA Expression Profiles in Skeletal Muscle of Bian Chickens at Different Embryonic Ages
Next Article in Special Issue
FTO Regulates Apoptosis in CPB2-Treated IPEC-J2 Cells by Targeting Caspase 3 Apoptotic Protein
Previous Article in Journal
Correction: Maskato et al. Prospective Feasibility and Revalidation of the Equine Acute Abdominal Pain Scale (EAAPS) in Clinical Cases of Colic in Horses. Animals 2020, 10, 2242
Previous Article in Special Issue
Porcine Intestinal Apical-Out Organoid Model for Gut Function Study
 
 
Font Type:
Arial Georgia Verdana
Font Size:
Aa Aa Aa
Line Spacing:
Column Width:
Background:
Article

Extruded Enzyme-Added Corn Improves the Growth Performance, Intestinal Function, and Microbiome of Weaning Piglets

Key Laboratory for Animal Disease-Resistance Nutrition of China Ministry of Education, Institute of Animal Nutrition, Sichuan Agricultural University, Chengdu 611130, China
*
Author to whom correspondence should be addressed.
Animals 2022, 12(8), 1002; https://doi.org/10.3390/ani12081002
Submission received: 7 March 2022 / Revised: 6 April 2022 / Accepted: 11 April 2022 / Published: 13 April 2022
(This article belongs to the Special Issue Gastrointestinal Tract Health in Pigs)

Abstract

Simple Summary

Energy feeds such as corn, wheat, and barley usually contain large amounts of raw starch, which is generally required to be extruded for animals. In addition, amylase preparations are widely added into the diet to degrade raw starch and promote its digestion in livestock animals. The in vitro degradation of corn starch could be a strategy for improving the starch digestion, as it is unknown whether the starch structure and its in vivo digestion could be improved by adding amylase during extrusion, regulating the extrusion moisture content. In this study, we aimed to investigate the effects of extruded corn with added amylase under different moisture conditions on the growth performance, intestinal function, and microbiome of weaning piglets.

Abstract

The objective of this study was to evaluate the effects of extruded corn with added amylase under different moisture conditions on the growth performance, intestinal function, and microbiome of weaning piglets. Fourty-eight 24-day-old weaning piglets (Duroc × Landrace × Yorkshire, weaned at 22 ± 1 d) with an initial body weight of 6.76 ± 0.15 kg were randomly assigned to one of four dietary treatments with six replicates per treatment and two pigs per replicate: (1) NL (adding 7.5% water before corn extrusion, negative treatment with low moisture); (2) NH (adding 15.0% water before corn extrusion, negative treatment with high moisture); (3) PL (adding 7.5% water and 4 kg/t α-amylase before corn extrusion, positive treatment with low moisture); and (4) PH (adding 15% water and 4 kg/t α-amylase before corn extrusion, positive treatment with high moisture). Results showed that amylase supplementation (4 vs. 0 kg/t) increased the contents of small molecular oligosaccharides of extruded corn (p < 0.05). Amylase supplementation significantly improved the average daily feed intake, apparent total tract digestibility (ATTD) of dry matter, crude protein, gross energy, crude fat, ash, phosphorus, and calcium, and also increased the activities of jejunal trypsin, α-amylase, lipase, sucrase, maltase, γ-glutamyl transferase and alkaline phosphatase activities, improved the duodenal, jejunal and ileal morphology, and increased the relative mRNA expressions of the ZO-1, OCLN, SGLT1, and GLUT2 genes in the jejunum (p < 0.05), whereas it decreased the contents of isobutyric acid in cecal digesta, as well as acetic acid and isobutyric acid in colonic digesta (p < 0.05). Moreover, the linear discriminant analysis effect size (LEfSe) showed that piglets fed extruded corn with added enzymes contained less intestinal pathogenic bacteria, such as Holdemanella and Desulfovibrio, compared with piglets fed just extruded corn. In summary, the results of the present study indicated that the supplementation of α-amylase during the conditioning and extruding process of corn increased the small molecular oligosaccharide content of corn starch. Moreover, piglets receiving extruded enzyme-added corn had better growth performance, which was associated with the improved intestinal digestive and absorptive function, as well as the intestinal microbiome.

1. Introduction

Raw starch, the main energy source of monogastric animals, widely exists in energy feed (corn, wheat, barely, etc.) and can be abruptly stressful in the digestion process of weaning piglets [1,2,3] because weaning stress has been associated with impaired intestinal digestive function [4,5]. Extrusion has been the most common pre-digestion process for raw starch in feed production [6]. The highly ordered structure of starch is destroyed and the gelatinization degree is increased after extrusion [7], which increases the efficiency of enzymatic starch hydrolysis by α-amylase in the small intestine, and further improves the digestibility of starch in weaning piglets [8].
Starch digestion occurs primarily in the piglets’ small intestine, where the pancreatic α-amylase hydrolyzes starch to maltose and larger oligosaccharides, which are further degraded to glucose by brush border membrane oligosaccharidases before absorption [9,10]. Previous research has shown that amylase supplementation in vivo could complement the deficiency of endogenous amylase, improving the digestibility of starch in cereal and enhancing the subsequent growth performance of weaning piglets [11,12,13].
Although the various functions of extrusion processes in vitro or amylase supplementation in vivo have received extensive attention in weaning piglets [1,2,3,4,5,6,7,8,9,10,11,12,13], there are few studies on the application of amylase in vitro during the extrusion of raw corn starch due to the high temperature of the process. However, the optimal reaction temperature of thermostable α-amylase is as high as 105 °C, which implicates the feasibility of in vitro degradation of corn starch via enzymatic hydrolysis during the extrusion process [6,7,8]. Therefore, the present experiment was designed to investigate the effects of extruded corn with added thermostable α-amylase under different moisture conditions on the growth performance, digestive capability, and intestinal microbiome of weaning pigs, which provided new insights into the applications of extruded corn with added enzymes for the pig industry.

2. Materials and Methods

All animal procedures associated with this study were approved by the Animal Care and Use committee, Sichuan Agricultural University (Ethic Approval Code: SICAUAC202106-1; Chengdu, China). The primary experiment was conducted at the Animal Experiment Center of Tongwei Co., Ltd., Chengdu, China.
The conditioner (MUTZ1610) and extruder (EXT155G) were provided by Jiangsu Speed Machinery Co., Ltd., Changzhou, China and Beijing Modern Yanggong Technology Development Co., Ltd., Beijing, China, respectively. In addition, the α-amylase (provided per gram of α-amylase units) was provided by Sainuo biological technology Co., Ltd., Baiyin, China.

2.1. Experimental Design and Animal Management

A total of 48 twenty-four-d-old pigs (Duroc × Landrace × Yorkshire, weaned at 22 ± 1 d and fed the basal diet for a 3-d adaptation period) with a body weight (BW) of 6.76 ± 0.15 kg were used in a 14-d experiment. At the beginning of the experiment, pigs were assigned to four treatments with six replicates (one male and one female per pen) on the basis of their initial BW and sex in a randomized complete block design. The four dietary treatment groups included: (1) NL (adding 7.5% water before corn extrusion); (2) NH (adding 15.0% water before corn extrusion); (3) PL (adding 7.5% water and 4 kg/t α-amylase before corn extrusion); and (4) PH (adding 15% water and 4 kg/t α-amylase before corn extrusion).
The corn meal was pretreated before conditioning and extruded according to the different treatments. Briefly, NL added water with 7.5% the mass of corn meal, NH added water with 15% the mass of corn meal, PL added water with 7.5% the mass of corn meal and supplemented with 4 kg/t α-amylase, and PH added water with 15% the mass of corn meal and supplemented with 4 kg/t α-amylase; following this, the pre-treated corn meal was prepared under the same conditioning at 90 °C, extruding at 105 °C, cooling at room temperature, and screening at 2.0 mm. The basal diet (Table 1) was formulated based on the NRC (2012) recommendations [14].
All weaning pigs were fed the diets three times per day at 08:00, 14:00, and 20:00 h, provided with water ad libitum, and housed in a temperature- (27 ± 1 °C) and relative-humidity-controlled (55% to 65%) room. All weaning pigs were weighed at the beginning and the end of the experiment after 12 h of fasting, and the average daily gain (ADG), average daily feed intake (ADFI), and feed conversion ratio (F/G) were calculated with feed intake (FI) per pen daily throughout the experiment.

2.2. Sampling

The dry basal diet samples and fresh fecal samples collected with a partial collection method per pen after immediate defecation from days 11 to 14 during the trial were collected for chemical analysis. Next, 10 mL of a 10% dilute sulfuric acid solution was added to each 100 g of plastic-bagged fecal sample for corrosion prevention and fixation of excreta nitrogen, which was stored at 20 °C. On day 14, one average BW weaning pig per pen was selected and euthanized with sodium pentobarbital according to a previous study [15], and gut sections were collected from the unfolded abdomen immediately. The complete small intestine was removed, cleaned, and cut into the duodenum, jejunum, and ileum in line with our previous study [16]. Subsequently, approximately 1-cm, 2-cm, and 3-cm segments of proximal duodenum, jejunum, and ileum, respectively, were obtained using the following three steps: immediate isolation, wash with 0.9% physiological saline, and preservation with 10% formaldehyde-phosphate buffer for histological analysis. A 10-cm section of proximal jejunum was gently emptied with gloved hands, carefully flushed with saline, softly placed on an icy surface, and the jejunal mucosa was gently scraped and stored at −80 °C for RNA extraction and activities of digestion-related and absorption-related enzymes. Additionally, for determining gut microbiome and metabolites, the digesta from the middle cecum (10 cm) and middle colon (10 cm) were collected and stored at −80 °C.

2.3. Diarrhea

During the experiment from d 1 to d 14, the same person observed and recorded the occurrence of diarrhea on two piglets per pen every morning and evening, and calculated an accumulative diarrhea score per treatment and day to calculate the diarrhea rate according to a previous study [17]. The diarrhea rate was calculated as follows: diarrhea rate (%) = D/(T × 14 d) × 100, in which D = total number of diarrheal pigs per pen and T = number of pigs per pen.

2.4. Moisture and Maltooligosaccharides Content in Extruded Corn

The extruded enzyme-added corn samples were analyzed for moisture content (method 930.15; AOAC, 1995) [18]. Moreover, the extruded enzyme-added corn was analyzed using high-performance anion exchange chromatography with pulsed amperometric detection (HPEAC-PAD, Thermo Scientific, Waltham, MA, USA) to detect the maltooligosaccharides content [Glucose (G1), maltose (G2), and maltotetraose through maltoheptaose (G4–G7)] according to the previous study by Ding et al. (2020) [19].

2.5. Apparent Digestibility of Nutrients and Enzyme Activities

The fresh feces from days 11 to 14 of each pen were mixed thoroughly with cleaned plastic bags, dried at 65 °C for 72 h, and ground with a small-scale mill to pass through a standard 40-mesh screen. Chromium trioxide (Cr2O3), as a digestibility indicator, was applied to measure the apparent total tract digestibility (ATTD) of nutrients, with an adaptation period of 4 days. The Cr2O3 in the diet and fecal samples was analyzed with a Chinese National Standard Method (GB/T 13088-2006) [20]. After the Cr2O3 analysis, all feed and fecal samples were analyzed for dry matter (method 930.15; AOAC, 1995), ash (method 923.03; AOAC, 1995), crude fat (method 920.39; AOAC, 1995), crude protein (method 990.03; AOAC, 1995), calcium (method 927.02; AOAC, 1995), and phosphorus (method 995.11; AOAC, 1995) [18]. A specific adiabatic oxygen bomb calorimetry (Parr Instrument Co., Moline, IL, USA) was used for the determination of gross energy. The ATTD was calculated as follows: ATTD (%) = {1 − [(A1 × F2)/(A2 × F1)]} × 100, in which A1 = dietary Cr2O3 content (% DM), A2 = fecal Cr2O3 content (% DM), F1 = dietary nutrient content (% DM), and F2 = fecal nutrient content (% DM).
The jejunal sample was per-treated before measuring the activity of digestion and absorption enzymes. Briefly, the jejunal mucosa sample was weighed with pre-cooled saline according to a mass volume ratio of 1:9 (g/mL), and the mixture was homogenized with an utrasonic homogenizer at 4000× g for 10 min at 4 °C to collect the supernatant solution. Subsequently, supernatant protein concentration, as well as the activities of trypsin, lipase, α-amylase, β-amylase, lactase, maltase, sucrase, γ-glutamyl transferase, Na+-K+-ATPase, alkaline phosphatase, and creatine kinase were analyzed using commercial kits (Nanjing Jiancheng Bioengineering Institute, Nanjing, China) according to the manufacturer’s instructions.

2.6. Intestinal Morphology

The jejunum morphology was measured as described previously [21]. Briefly, the jejunum preserved in the fixed solution was embedded in paraffin, made into 5-μm slices, flattened with warm water, and baked at 60 °C for 2 h, followed by staining with hematoxylin and eosin, dehydration with alcohol, and sealing with resin glue. An Olympus CK 40 microscope (Olympus Optical Company, Shenzhen, China) was applied to measure villus height and crypt depth. A minimum of 10 complete villi height, and the corresponding depth of 10 crypts, from each jejunal segment were measured.

2.7. Real-Time Quantitative PCR

Jejunum mucosal samples (approximately 0.1 g) were homogenized in 1 mL RNAiso Plus reagent (TaKaRa, Dalian, China), and total RNA was extracted and stored at −80 °C according to the instructions. The concentration and quality of total RNA were verified with a nucleic acid protein instrument that measured the corresponding optical density (OD)260:OD280 ratio, a qualified RNA sample of which should range from 1.8 to 2.0. Meanwhile, the synthesis of cDNA per sample was obtained using a PrimeScript™ reverse transcription reagent kit (TaKaRa, Dalian, China) following the manufacturer’s instructions.
Specific primers for the Sodium-glucose co transporter 1 (SGLT1), Glucose transporter 2 (GLUT2), Peptide transporter 1 (PePT1), Zonula occludens 1 (ZO-1), Occludin (OCLN), Claudin 1 (CLDN-1), and Mucin 1 (MUC1) were designed and purchased from Invitrogen (Shanghai, China), which are listed in Table 2. The real-time PCR reactions were performed on a CFX96 Real-Time PCR Detection System (Bio-Rad Laboratories, Inc., Hercules, CA, USA), using SYBR Green PCR reagents (TaKaRa, Dalian, China). After each real-time quantitative PCR test, a melting curve analysis was generated to check and verify the specificity and purity of all PCR products, and β-actin was chosen as the reference gene to normalize cDNA loading. After verifying that the primers amplified with an efficiency of approximately 100%, the results were analyzed using the 2−ΔΔCt method [22].

2.8. Gut Microbiome

The QIAamp DNA stool Mini Kit (Qiagen GmbH, Hilden, Germany) was used for the extraction of total genomic DNA from fresh fecal samples. The concentration (purity) and integrity of the extracted genomic DNA were measured using a NanoDrop ND-1000 Spectrophotometer (Nano-Drop Technologies Inc., Wilmington, DE, USA) and electrophoresis on 1% (w/v) agarose gels, respectively. Extracted fecal DNA samples were sent to Majorbio Bio-pharm Technology Co., Ltd. (Shanghai, China) to perform amplicon pyrosequencing on the Illumina MiSeq platforms (Illumina Inc., San Diego, CA, USA). The V3–V4 hypervariable region of the 16S rRNA gene was amplified by PCR with primers 338F (5′-ACTCCTACGGGAGGCAGCAG-3′) and 806R (5′-GGACTACHVGGTWTCTAAT-3′). The relative abundance of each operational taxonomic units (OTU) was examined at different taxonomic levels. Diversity within communities (Alpha diversity) calculations and taxonomic community assessments were performed by Mothur 1.30.2 (University of Michigan, Ann Arbor, MI, USA) and Qiime 1.9.1 (National Microbiology Data Center, Beijing, China). Principal coordinates analysis (PCoA) plots were produced using unweighted UniFrac metrics [23]. The linear discriminant analysis (LDA) effect size (LEfSe) method was performed to elucidate the difference among treatments.

2.9. Microbial Metabolites Analysis

Approximately 0.7 g of digesta samples from the cecum and colon were used to determine the concentration of volatile fatty acids (VFA) [15]. Briefly, the supernatants of digesta samples were centrifuged at 500× g for 10 min after adding 1:1 distilled water, then 2 mL of the supernatant was transferred to a sterile tube and centrifuged at 12,000× g for 10 min, after which 1 mL of the supernatant was transferred to a new sterile tube to which 0.2 mL of 25% metaphosphoric acid was added. This was left at room temperature for 30 min and then centrifuged at 12,000× g for 10 min. Next, 500 μL of the supernatant was transferred to another sterile tube, to which 500 μL of methanol was added and the mixture was centrifuged at 12,000× g for 10 min, with the resulting supernatant being stored at −20 °C until testing. A gas chromatographic system (VARIAN CP-3800, Varian, Palo Alto, CA, USA) was applied for the separation and quantification of the volatile fatty acids (acetic acid, propionic acid and butyric acid, isobutyric acid, valeric acid, and isovaleric acid).

2.10. Statistical Analysis

Moisture and maltooligosaccharides content in extruded corn data (n = 2) were analyzed by a t-test using the statistical program of SAS (SAS Inst. Inc., Cary, NC, USA). Moreover, the other data (n = 6) were analyzed by a two-way ANOVA using the Generalized Linear Models procedure of SAS 9.0 software (SAS, Raleigh, NC, USA), which included the effects of water content, enzyme addition, and the interaction between water content and enzyme addition. The results were presented as means and SEM. Duncan’s multiple-range test was used to determine statistical differences among treatment. For significance determination, the data results were significant with p < 0.05, and 0.05 < p < 0.1 was considered as a tendency.

3. Results

3.1. Moisture and Maltooligosaccharides Content in Extruded Corn

As shown in Table 3, compared with extruded corn group, the extruded corn with added enzymes group significantly increased the maltose, maltotriose, maltotetraose, maltopentaose, maltohexaose, and maltoheptaose contents in extruded corn (p < 0.05).

3.2. Growth Performance

As shown in Table 4, no deaths occurred among the four treatments throughout the trial. Enzyme supplementation significantly improved the ADFI of piglets (p < 0.05), and tended to have greater ADG (p < 0.10); however, there was no significant difference in other growth performance parameters among the four groups (p > 0.05).

3.3. Apparent Total Tract Digestibility

Table 5 presents the differences in ATTD among the 4 groups. Increasing moisture content tended to decrease the ATTD of crude protein in piglets (p < 0.10). Enzyme supplementation significantly improved the ATTD of dry matter, crude protein, gross energy, crude fat, ash, phosphorus, and calcium (p < 0.05), as well as tended to increase the ATTD of crude fiber in piglets (p < 0.10). In addition, enzyme and moisture treatments had significant interactive effects on the ATTD of ash and phosphorus (p < 0.05), and showed a trend for an interactive effect on the ATTD of crude protein nutrients in weaning piglets (p < 0.10).

3.4. Digestive and Absorptive Enzyme Activities

Table 6 represents the effects of different moisture contents (adding 7.5 vs. 15% water) and enzyme additions (adding 4 kg/t α-amylase or not) to extruded corn on digestive and absorptive enzyme activities in the jejunum of weaning piglets. Enzyme supplementation significantly improved jejunal trypsin, α-amylase, lipase, sucrase, maltase, γ-glutamyl transferase, and alkaline phosphatase activities (p < 0.05), whereas enzyme and moisture treatments had a significant interactive effect on γ-glutamyl transferase activity in the jejunum of weaning piglets (p < 0.05).

3.5. Intestinal Morphology

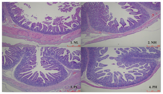
The status of intestinal morphology in weaning piglets is given in Table 7 and Figure 1. Enzyme treatment significantly increased the duodenal villus height, jejunal villus height, and villus height to crypt depth ratio, as well as the ileal villus height and villus height to crypt depth ratio of weaning piglets (p < 0.05), while also showing a trend to reduce the ileal crypt depth of weaning piglets (p < 0.10). In addition, there was a trend interaction effect on the jejunal crypt depth between moisture and enzyme treatment (p < 0.10).

3.6. mRNA Levels of Barrier- and Absorptive-Related Genes

The effects of different moisture contents (adding 7.5 vs. 15% water) and enzyme additions (adding 4 kg/t α-amylase or not) to extruded corn on the mRNA levels of jejunal barrier-function-related genes in weaning piglets are presented in Figure 2. The enzyme treatment significantly increased the relative mRNA expressions of the ZO-1 and OCLN genes in the jejunum of weaning piglets (p < 0.05). Meanwhile, increasing the moisture content (adding 7.5 vs. 15% water) tended to increase the relative mRNA expression of the MUC1 gene in the jejunum of weaning piglets (p < 0.10).
As shown in Figure 3, the addition of enzymes significantly increased the relative mRNA expressions of the SGLT-1 and GLUT-2 genes in the jejunum of weaning piglets (p < 0.05), and tended to increase the relative mRNA expression of the PePT1 gene in the jejunum of weaning piglets (p < 0.10).

3.7. Gut Microbiome

From the Venn analysis of OTUs, 430, 202, 130, and 99 unique OTUs were identified in the NL, NH, PL, and PH groups, respectively (Figure 4).
As shown in Table 8, dietary treatments did not markedly affect the observed species, nor the Shannon, Simpson, Chao 1, and ACE indexes (p > 0.10).
The relative abundances at the phylum level among the treatments are presented in Figure 5A, suggesting that the top nine dominated phyla were Firmicutes, Bacteroidota, Proteobacteria, Campylobacterota, Cyanobacteria, Spirochaetota, Euryarcharota, Actinobacteriota, and Desulfobacterota. The abundance of Firmicutes tended to decrease in the enzyme treatment group (p = 0.086). At the genus level, the top 10 dominated genera are shown in Figure 5B, which were Lactobacillus, Sarcina, Succinivibrio, Prevotella, Escherichia-Shigella, Alloprevotella, Megasphaera, Bacteroides, Anaerovibrio, and Roseburia.
LEfSe was used to analyze microbial community from the phylum to genus level. The biomarker with statistical difference among the groups was selected with the condition that the set value of the LDA score was 3. As shown in Figure 6, at the genus level, there were significant differences on Staphylococcus, CAG-873, Mitsuokella, Romboutsia, Aeriscardovia, Christensenellaceae-R-7-group, Eubacterium-ruminantium-group, Holdemanella, and Desulfovibrio, in which the LDA values of Staphylococcus, Mitsubishi, and Aeriscardovia ranked first, second, and third, respectively.

3.8. Microbial Metabolites

As shown in Table 9, the addition of enzymes significantly reduced the contents of isobutyric acid in the cecal digesta, acetic acid and isobutyric acid in the colonic digesta of weaning piglets (p < 0.05), and tended to reduce the content of isovaleric acid in the colonic digesta of weaning piglets (p < 0.10). Meanwhile, water significantly decreased the contents of valeric acid in the cecal digesta, butyric acid and valeric acid in the colonic digesta of weaning piglets (p < 0.05), and tended to reduce the content of butyric acid in the cecal digesta of weaning piglets (p < 0.10).

4. Discussion

Previous studies have shown that the moisture content of corn meal during conditioning could affect the maltooligosaccharides content in extruded corn [24,25]. The present study found that enzyme treatment increased the content of small molecular sugars, especially the oligosaccharides composed of 6–7 glucose molecules, which was consistent with the previous study [26,27] that reported that the addition of amylase during the conditioning and extruding process could increase the content of maltooligosaccharides.
The moisture content of raw materials, as a medium of α-amylase action, has a synergistic effect on enzymatic hydrolysis, which plays a key role in the extrusion with added enzymes [28]. A low moisture content of raw materials could be detrimental to the enzymatic reaction, and an excessive moisture content of raw materials made against the extrusion effect and subsequent processing [29,30]. In the present study, it was found that enzyme treatment significantly increased animal feed intake and further improved the daily weight gain of animals. However, the increase of moisture content from 7.5% to 15% had no significant effect on animal growth performance, and there was no interaction effect between the moisture and enzyme treatments.
During the post-weaning period, piglets often suffer from social (maternal and littermate separation), environmental (transportation), and dietary (abrupt change in diets) stressors [31,32]. Weaning stress was associated with destroyed intestinal morphology [33], impaired intestinal barrier, lower activities of epithelial brush border enzyme, decreased digestibility of nutrients, and a subsequently reduced performance [34,35,36]. The present study found that the enzyme treatment improved the intestinal morphology of weaning piglets. We supposed that positive results observed in the study herein may be owing to the following reasons: the low feed intake during the period of weaning resulted in a decrease in villus height and an increase in crypt depth [37]; and extrusions with added enzymes significantly increased the feed intakes of weaning pigs and improved the digestibility of corn starch in the first two weeks, as it was reported that the high feed intakes after weaning could improve the morphology of the small intestine in weaning piglets [33].
In the present study, it was found that enzyme treatment significantly improved the ATTD of nutrients in weaning piglets, while moisture content had no significant effect. This was consistent with growth performance, indicating that the pre-digestion effect of α-amylase on corn starch during extrusion was the main reason to improve the nutrients’ digestibility. The enzyme activity in the digestive tract was considered to be a key factor affecting intestinal health and nutrient digestibility [38]. In addition, many previous studies have shown that the exogenous addition of amylase or improvement of starch gelatinization can promote the activity of digestive enzymes in weaning piglets [39,40]. The present study found that the enzymatic hydrolysis of starch in the process of extrusion in vitro can significantly improve the jejunal trypsin and α-amylase, lipase, sucrase, maltase, γ-glutamine transferase, and alkaline phosphatase activities. Recent studies showed that SGLT1, GLUT2, and PePT1 were extensively located at the intestinal mucosa, where they serve as the main transporters, respectively, for glucose, glucose, and amino acids [41]. We found that enzyme treatment significantly increased the relative mRNA expressions of the SGLT-1 and GLUT-2 genes in the jejunum of weaning piglets, which was consistent with the results reported by other studies, where starch that was hydrolyzed in vitro by α-amylase could significantly increase the mRNA expressions of SGLT-1 and GLUT-2 genes in IPEC-J2 cell [42].
The integrity of the intestinal barrier played an important role in the proper functioning of the epithelial cells, which could reduce the increment of pathogenic bacteria [43]. However, weaning stress contributed to impaired intestinal barrier function and enhanced intestinal permeability [36]. The intestinal tight junction protein family (CLDN, OCLN, ZO, etc.) determined endothelial and epithelial paracellular barrier functions, which prevented the paracellular diffusion of intestinal bacteria and other antigens across the epithelium [44,45]. The present study found that the enzyme treatment significantly increased the relative mRNA expressions of the ZO-1 and OCLN genes in the jejunum of weaning piglets, a possible reason for which might owned to the improvement of small molecular oligosaccharides by α-amylase action during the conditioning and extruding process, which may contain some oligosaccharides with intestinal regulation function, such as Isomaltooligosaccharides. It was found that the addition of Isomaltooligosaccharide could increase the relative mRNA expression of the OCLN gene in intestinal epithelial cells, increasing the intestinal barrier function of weaning piglets [46].
The intestine microorganisms are associated with digestive and absorptive functions, as well as the subsequent gut health [47]. In our study, 16S rRNA sequencing was used to investigate the gut microbiome responses to moisture contents (adding 7.5 vs. 15% water) and enzyme additions (adding 4 kg/t α-amylase or not) to extruded corn in weaning piglets. Our results showed that moisture content and enzyme treatment reduced the number of OTUs of the fecal microbiome, but there was no significant difference in the results of the alpha diversity analysis of the fecal microbiome. At the phylum level, the abundance of Firmicutes tended to decrease in the enzyme treatment group, suggesting that the enzyme treatment may reduce the polysaccharide fermentation of hindgut flora, and further reducing the production of volatile fatty acids (VFAs).
In the present study, piglets fed NL diets increased Aeriscardovia and Christensenlace-r-7-group. The previous study found that the Christensenlace-r-7-group was significantly negatively correlated with metabolic diseases such as body index and inflammation [48]. Aeriscardovia could synthesize a variety of enzymes, amino acids, and vitamins by itself and metabolize acetic acid, lactic acid, and so on [49]. The dominant bacteria in the NH group were Holdemanella and Desulfovibrio. Holdemanella was a harmful bacterium associated with intestinal inflammation [50], and studies have shown that Desulfovibrio belong to desulfobacterate, and its role might be related to the occurrence of some inflammatory intestinal diseases and colon cancer [51]. The dominant bacteria in the PL group were Staphylococcus and Cag-873. Staphylococcus is a gram-positive cocci, which might have a negative effect on intestinal health [52]. Cag-873 was a genus of Bacteroidetes, which was related to hindgut energy homeostasis and had the ability to degrade cellulose, hemicellulose, and lignin [53]. In addition, the dominant bacteria in the PH group were Mitsuokella and Romboutsia, where Mitsuokella mediates the positive regulation of cell-growth-related genes through the metabolism of acetic acid, and may inhibit the growth of intestinal Salmonella [54].
The change of gut microbiome composition contributes to the variation in microbial metabolites. The VFAs are not only positive in providing energy for intestinal epithelial cells, but also promote the formation of cells, improving intestinal morphology [55]. Among VFAs, acetic acid, propionic acid, and butyric acid are the most important VFAs, and the change of their composition and proportion can, in turn, affect the change of the gut microbiome. Butyric acid was the energy substrate of colonic epithelial cells and can inhibit colonic cell apoptosis [56]. Acetic acid had the highest concentration among VFAs, accounting for about 60%, followed by propionic acid and butyric acid; in addition, acetic acid is a potential precursor of cholesterol and fatty acids, which can be used as a substrate for the de novo synthesis of fatty acids [57]. While propionic acid could participate in gluconeogenesis, and valeric acid and isobutyric acid are the products of bacterial fermentation proteins, marking the catabolism of intestinal proteins [58]. Meanwhile, isobutyric acid could enhance intestinal permeability, which may have a negative impact on intestinal health [59]. The present study found that the enzyme treatment significantly reduced the contents of isobutyric acid in the cecal digesta, as well as acetic acid and isobutyric acid in the colonic digesta of weaning piglets, and tended to reduce the total VFAs in the colon digesta; a possible reason these results might be related to the higher digestibility of starch and protein, subsequently lowering the fermentation substrate of hindgut flora when supplemented with α-amylase.

5. Conclusions

In summary, the results of the present study showed that supplementation of α-amylase during the conditioning and extruding process of corn meal increased the proportion of small molecular oligosaccharides. Piglets receiving extruded corn with added enzymes had better growth performance, which was associated with improved intestinal digestive function and intestinal microbiome. Therefore, our results suggest that extruded corn with added enzymes could be a potential feeding processing method for enhancing the health and growth of weaning pigs.

Author Contributions

Conceptualization, D.Z.; data curation, D.Z.; formal analysis, D.Z.; funding acquisition, D.Z. and L.C.; investigation, D.Z. and L.C.; methodology, D.Z. and B.Y.; project administration, D.Z. and D.C.; resources, D.Z. and D.C.; software, D.Z. and D.C.; supervision, D.Z. and D.C; validation, D.C.; visualization, D.Z.; writing—original draft, D.Z.; writing—review and editing, D.Z. and D.C. All authors have read and agreed to the published version of the manuscript.

Funding

This study was supported by National Natural Science Foundation of China (31730091) and the National Key Research and Development Program of China (2017YFD0500503).

Institutional Review Board Statement

Experimental procedure and animal care were accomplished in accordance with the guide for the care and use of laboratory animals provided by the Institutional Animal Care Advisory Committee for Sichuan Agricultural University. This experiment was conducted at the Animal Experiment Center of Tongwei Co., Ltd., Chengdu, China (Approval number: SICAUAC202106-1).

Informed Consent Statement

Not applicable, as this study did not involve any humans.

Data Availability Statement

The datasets used to support the findings of this study are available from the corresponding author upon request.

Conflicts of Interest

The authors declare no conflict of interest.

References

  1. Mahajan, P.; Bera, M.B.; Panesar, P.S.; Chauhan, A. Millet starch: A review. Int. J. Biol. Macromol. 2021, 180, 61–79. [Google Scholar] [CrossRef] [PubMed]
  2. Li, Z.; Wei, C. Morphology, structure, properties and applications of starch ghost: A review. Int. J. Biol. Macromol. 2020, 163, 2084–2096. [Google Scholar] [CrossRef] [PubMed]
  3. Chakraborty, R.; Kalita, P.; Sen, S. Natural Starch in Biomedical and Food Industry: Perception and Overview. Curr. Drug Discov. Technol. 2019, 16, 355–367. [Google Scholar] [CrossRef] [PubMed]
  4. Tan, F.P.Y.; Beltranena, E.; Zijlstra, R.T. Resistant starch: Implications of dietary inclusion on gut health and growth in pigs: A review. J. Anim. Sci. Biotechnol. 2021, 12, 124. [Google Scholar] [CrossRef]
  5. Gao, J.; Yin, J.; Xu, K.; Li, T.; Yin, Y. What Is the Impact of Diet on Nutritional Diarrhea Associated with Gut Microbiota in Weaning Piglets: A System Review. Biomed Res. Int. 2019, 2019, 6916189. [Google Scholar] [CrossRef]
  6. Morales-Sánchez, E.; Cabrera-Ramírez, A.H.; Gaytán-Martínez, M.; Mendoza-Zuvillaga, A.L.; Velázquez, G.; Méndez-Montealvo, M.G.; Rodríguez-García, M.E. Heating-cooling extrusion cycles as a method to improve the physicochemical properties of extruded corn starch. Int. J. Biol. Macromol. 2021, 188, 620–627. [Google Scholar] [CrossRef]
  7. Zhu, L.; Jones, C.; Guo, Q.; Lewis, L.; Stark, C.R.; Alavi, S. An evaluation of total starch and starch gelatinization methodologies in pelleted animal feed. J. Anim. Sci. 2016, 94, 1501–1507. [Google Scholar] [CrossRef]
  8. Amornthewaphat, N.; Attamangkune, S. Extrusion and animal performance effects of extruded maize quality on digestibility and growth performance in rats and nursery pigs. Anim. Feed. Sci. Technol. 2008, 144, 292–305. [Google Scholar] [CrossRef]
  9. Hasjim, J.; Lavau, G.C.; Gidley, M.J.; Gilbert, R.G. In vivo and in vitro starch digestion: Are current in vitro techniques adequate? Biomacromolecules 2010, 11, 3600–3608. [Google Scholar] [CrossRef]
  10. Shirazi-Beechey, S.P.; Moran, A.W.; Bravo, D.; AlRammahi, M. Nonruminant nutrition symposium: Intestinal glucose sensing and regulation of glucose absorption: Implications for swine nutrition. J. Anim. Sci. 2011, 89, 1854–1862. [Google Scholar] [CrossRef]
  11. Butterworth, P.J.; Warren, F.J.; Ellis, P.R. Human α-amylase and starch digestion: An interesting marriage. Starch-Starke 2011, 63, 395–405. [Google Scholar] [CrossRef]
  12. Bornhorst, G.M.; Rutherfurd, S.M.; Roman, M.J.; Burri, B.J.; Moughan, P.J.; Singh, R.P. Gastric pH Distribution and Mixing of Soft and Rigid Food Particles in the Stomach using a Dual-Marker Technique. Food Biophys. 2014, 9, 292–300. [Google Scholar] [CrossRef]
  13. Freitas, D.; Le Feunteun, S. Oro-gastro-intestinal digestion of starch in white bread, wheat-based and gluten-free pasta: Unveiling the contribution of human salivary α-amylase. Food Chem. 2019, 274, 566–573. [Google Scholar] [CrossRef]
  14. NRC. Nutrient Requirements of Swine: Eleventh Revised Edition; National Academies Press: Washington, DC, USA, 2012. [Google Scholar]
  15. Chen, H.; Mao, X.; He, J.; Yu, B.; Huang, Z.; Yu, J.; Zheng, P.; Chen, D. Dietary fibre affects intestinal mucosal barrier function and regulates intestinal bacteria in weaning piglets. Br. J. Nutr. 2013, 110, 1837–1848. [Google Scholar] [CrossRef]
  16. Zhang, Y.; Zheng, P.; Yu, B.; He, J.; Yu, J.; Mao, X.B.; Wang, J.X.; Luo, J.Q.; Huang, Z.Q.; Cheng, G.X.; et al. Dietary spray-dried chicken plasma improves intestinal barrier function and modulates immune status in weaning piglets. J. Anim. Sci. 2016, 94, 173–184. [Google Scholar] [CrossRef][Green Version]
  17. Montagne, L.; Cavaney, F.S.; Hampson, D.J.; Lallès, J.P.; Pluske, J.R. Effect of diet composition on postweaning colibacillosis in piglets. J. Anim. Sci. 2004, 82, 2364–2374. [Google Scholar] [CrossRef]
  18. AOAC. Official Methods of Analysis, 16th ed.; Association of Official Analytical Chemists: Washington, DC, USA, 1995. [Google Scholar]
  19. Ding, N.; Zhao, B.; Ban, X.; Li, C.; Venkataram Prasad, B.V.; Gu, Z.; Li, Z. Carbohydrate-binding module and linker allow cold adaptation and salt tolerance of maltopentaose-forming amylase from marine bacterium Saccharophagus degradans 2-40T. Front. Microbiol. 2021, 12, 708480. [Google Scholar] [CrossRef]
  20. Standards Press of China. GB/T, Determination of Chromium in Feeds; Standards Press of China: Beijing, China, 2016; p. 13088.
  21. Pluske, J.R.; Thompson, M.J.; Atwood, C.S.; Bird, P.H.; Williams, I.H.; Hartmann, P.E. Maintenance of villus height and crypt depth, and enhancement of disaccharide digestion and monosaccharide absorption, in piglets fed on cows’ whole milk after weaning. Br. J. Nutr. 1996, 76, 409–422. [Google Scholar] [CrossRef]
  22. Livak, K.J.; Schmittgen, T.D. Analysis of relative gene expression data using real-time quantitative PCR and the 2−ΔΔCT method. Methods 2001, 25, 402–408. [Google Scholar] [CrossRef]
  23. Yatsunenko, T.; Federico, E.R.; Manary, M.J.; Trehan, I.; Dominguez-Bello, M.G.; Contreras, M.; Magris, M.; Hidalgo, G.; Baldassano, R.N.; Anokhin, A.P.; et al. Human gut microbiome viewed across age and geography. Nature 2012, 486, 222–227. [Google Scholar] [CrossRef]
  24. Lindemann, M.D.; Cornelius, S.G.; el Kandelgy, S.M.; Moser, R.L.; Pettigrew, J.E. Effect of age, weaning and diet on digestive enzyme levels in the piglet. J. Anim. Sci. 1986, 62, 1298–1307. [Google Scholar] [CrossRef] [PubMed]
  25. Owsley, W.F.; Orr, D.E., Jr.; Tribble, L.F. Effects of age and diet on the development of the pancreas and the synthesis and secretion of pancreatic enzymes in the young pig. J. Anim. Sci. 1986, 63, 497–504. [Google Scholar] [CrossRef] [PubMed]
  26. Pan, S.; Ding, N.; Ren, J.; Gu, Z.; Li, C.; Hong, Y.; Cheng, L.; Holler, T.P.; Li, Z. Maltooligosaccharide-forming amylase: Characteristics, preparation, and application. Biotechnol. Adv. 2017, 35, 619–632. [Google Scholar] [CrossRef] [PubMed]
  27. Seung, D.; Smith, A.M. Starch granule initiation and morphogenesis-progress in Arabidopsis and cereals. J. Exp. Bot. 2019, 70, 771–784. [Google Scholar] [CrossRef]
  28. Peisker, M. Influence of expansion on feed components. Feed Mix 1994, 2, 26–31. [Google Scholar]
  29. Akdogen, H. High moisture food extrusion. Int. J. Food Sci. Technol. 1999, 34, 195–200. [Google Scholar] [CrossRef]
  30. Vasanthan, T.; Yeung, J.; Hoover, R. Dextrinization of starch in barley flours with thermostable alpha-Amylase by extrusion cooking. Starch-Staerke 2001, 53, 616–622. [Google Scholar] [CrossRef]
  31. Madec, F.; Bridoux, N.; Bounaix, S.; Jestin, A. Measurement of digestive disorders in the piglet at weaning and related risk factors. Prev. Vet. Med. 1998, 35, 53–72. [Google Scholar] [CrossRef]
  32. Lallès, J.P.; Boudry, G.; Favier, C.; Le Floc’h, N.; Le Huërou-Luron, I.; Montagne, L.; Oswald, I.P.; Pié, S.; Piel, C.; Sève, B. Gut function and dysfunction in young pigs: Physiology. Anim. Res. 2004, 53, 301–316. [Google Scholar] [CrossRef]
  33. Spreeuwenberg, M.A.; Verdonk, J.M.; Gaskins, H.R.; Verstegen, M.W. Small intestine epithelial barrier function is compromised in pigs with low feed intake at weaning. J. Nutr. 2001, 131, 1520–1527. [Google Scholar] [CrossRef]
  34. Carey, H.V.; Hayden, U.L.; Tucker, K.E. Fasting alters basal and stimulated ion transport in piglet jejunum. Am. J. Physiol. 1994, 267, R156–R163. [Google Scholar] [CrossRef]
  35. Moeser, A.J.; Ryan, K.A.; Nighot, P.K.; Blikslager, A.T. Gastrointestinal dysfunction induced by early weaning is attenuated by delayed weaning and mast cell blockade in pigs. Am. J. Physiol. Gastrointest. Liver Physiol. 2007, 293, G413–G421. [Google Scholar] [CrossRef]
  36. Wijtten, P.J.; van der Meulen, J.; Verstegen, M.W. Intestinal barrier function and absorption in pigs after weaning: A review. Br. J. Nutr. 2011, 105, 967–981. [Google Scholar] [CrossRef]
  37. Pluske, J.R.; Williams, I.H.; Aherne, F.X. Maintenance of villous height and crypt depth in piglets by providing continuous nutrition after weaning. Anim. Sci. 1996, 62, 131–144. [Google Scholar] [CrossRef]
  38. Yagami, K.; Takada, R. Dietary rice improves growth performance, mucosal enzyme activities and plasma urea nitrogen in weaning piglets. Anim. Sci. J. 2017, 88, 2010–2015. [Google Scholar] [CrossRef]
  39. Durmic, Z.; Pethick, D.W.; Mullan, B.P.; Schulze, H.; Accioly, J.M.; Hampson, D.J. Extrusion of wheat or sorghum and/or addition of exogenous enzymes to pig diets influences the large intestinal microbiota but does not prevent development of swine dysentery following experimental challenge. J. Gen. Appl. Microbiol. 2000, 89, 678–686. [Google Scholar] [CrossRef]
  40. Vicente, B.; Valencia, D.G.; Pérez-Serrano, M.; Lázaro, R.; Mateos, G.G. The effects of feeding rice in substitution of corn and the degree of starch gelatinization of rice on the digestibility of dietary components and productive performance of young pigs. J. Anim. Sci. 2008, 86, 119–126. [Google Scholar] [CrossRef]
  41. Thongsong, B.; Wiyaporn, M.; Kalandakanond-Thongsong, S. Blood glucose, amino acid profiles and nutrient transporter gene expressions in the small intestine of low and normal birthweight piglets during the early suckling period. Vet. J. 2019, 247, 1–7. [Google Scholar] [CrossRef]
  42. Xiang, Z.T. Effects of Different Starch Sources on Intestinal Microflora and Intestinal Health of Weaned Piglets. Ph.D. Thesis, Sichuan Agricultural University, Ya’an, China, 2011. [Google Scholar]
  43. Smith, F.; Clark, J.E.; Overman, B.L.; Tozel, C.C.; Huang, J.H.; Rivier, J.E.; Blikslager, A.T.; Moeser, A.J. Early weaning stress impairs development of mucosal barrier function in the porcine intestine. Am. J. Physiol. Gastrointest. Liver Physiol. 2010, 298, G352–G363. [Google Scholar] [CrossRef]
  44. Ulluwishewa, D.; Anderson, R.C.; McNabb, W.C.; Moughan, P.J.; Wells, J.M.; Roy, N.C. Regulation of tight junction permeability by intestinal bacteria and dietary components. J. Nutr. 2011, 141, 769–776. [Google Scholar] [CrossRef]
  45. Muza-Moons, M.M.; Schneeberger, E.E.; Hecht, G.A. Enteropathogenic Escherichia coli infection leads to appearance of aberrant tight junctions strands in the lateral membrane of intestinal epithelial cells. Cell Microbiol. 2004, 6, 783–793. [Google Scholar] [CrossRef] [PubMed]
  46. Ratan, C.; Cicily, K.D.D.; Nair, B.; Nath, L.R. MUC Glycoproteins: Potential Biomarkers and Molecular Targets for Cancer Therapy. Curr. Cancer Drug Targets 2021, 21, 132–152. [Google Scholar] [CrossRef] [PubMed]
  47. Savage, D.C. Gastrointestinal microflora in mammalian nutrition. Annu. Rev. Nutr. 1986, 6, 155–178. [Google Scholar] [CrossRef] [PubMed]
  48. Waters, J.L.; Ley, R.E. The human gut bacteria Christensenellaceae are widespread, heritable, and associated with health. BMC Biol. 2019, 17, 83. [Google Scholar] [CrossRef]
  49. Kim, G.; Deepinder, F.; Morales, W.; Hwang, L.; Weitsman, S.; Chang, C.; Gunsalus, R.; Pimentel, M. Methanobrevibacter smithii is the predominant methanogen in patients with constipation-predominant IBS and methane on breath. Dig. Liver Dis. 2012, 57, 3213–3218. [Google Scholar] [CrossRef]
  50. Peng, C.; Xu, X.; Li, Y.; Li, X.; Yang, X.; Chen, H.; Zhu, Y.; Lu, N.; He, C. Sex-specific association between the gut microbiome and high-fat diet-induced metabolic disorders in mice. Biol. Sex Differ. 2020, 11, 5. [Google Scholar] [CrossRef]
  51. Hagiya, H.; Kimura, K.; Nishi, I.; Yamamoto, N.; Yoshida, H.; Akeda, Y.; Tomono, K. Desulfovibrio desulfuricans bacteremia: A case report and literature review. Anaerobe 2018, 49, 112–115. [Google Scholar] [CrossRef]
  52. Battisti, A.; Franco, A.; Merialdi, G.; Hasman, H.; Iurescia, M.; Lorenzetti, R.; Feltrin, F.; Zini, M.; Aarestrup, F.M. Heterogeneity among methicillin-resistant Staphylococcus aureus from Italian pig finishing holdings. Vet. Microbiol. 2010, 142, 361–366. [Google Scholar] [CrossRef]
  53. Rismani-Yazdi, H.; Carver, S.M.; Christy, A.D.; Yu, Z.; Bibby, K.; Peccia, J.; Tuovinen, O.H. Suppression of methanogenesis in cellulose-fed microbial fuel cells in relation to performance, metabolite formation, and microbial population. Bioresour. Technol. 2013, 129, 281–288. [Google Scholar] [CrossRef]
  54. Levine, U.Y.; Bearson, S.M.; Stanton, T.B. Mitsuokella jalaludinii inhibits growth of Salmonella enterica serovar Typhimurium. Vet. Microbiol. 2012, 159, 115–122. [Google Scholar] [CrossRef]
  55. Burns, C.P.; Rozengurt, E. Extracellular Na+ and initiation of DNA synthesis: Role of intracellular pH and K+. J. Cell Biol. 1984, 98, 1082–1089. [Google Scholar] [CrossRef] [PubMed]
  56. Hass, R.; Busche, R.; Luciano, L.; Reale, E.; Engelhardt, W.V. Lack of butyrate is associated with induction of Bax and subsequent apoptosis in the proximal colon of guinea pig. Gastroenterology 1997, 112, 875–881. [Google Scholar] [CrossRef]
  57. Holscher, H.D. Dietary fiber and prebiotics and the gastrointestinal microbiota. Gut Microbes 2017, 8, 172–184. [Google Scholar] [CrossRef]
  58. Blaut, M. Gut microbiota and energy balance: Role in obesity. Proc. Nutr. Soc. 2015, 74, 227–234. [Google Scholar] [CrossRef]
  59. Chai, L.; Luo, Q.; Cai, K.; Wang, K.; Xu, B. Reduced fecal short-chain fatty acids levels and the relationship with gut microbiota in IgA nephropathy. BMC Nephrol. 2021, 22, 209. [Google Scholar] [CrossRef]
Figure 1. Comparison of jejunal microscopical photographs with histological staining of weaning piglets. NL, adding 7.5% water before corn extrusion; NH, adding 15.0% water before corn extrusion; PL, adding 7.5% water and 4 kg/t α-amylase before corn extrusion; PH, adding 15% water and 4 kg/t α-amylase before corn extrusion.
Figure 1. Comparison of jejunal microscopical photographs with histological staining of weaning piglets. NL, adding 7.5% water before corn extrusion; NH, adding 15.0% water before corn extrusion; PL, adding 7.5% water and 4 kg/t α-amylase before corn extrusion; PH, adding 15% water and 4 kg/t α-amylase before corn extrusion.
Animals 12 01002 g001
Figure 2. Effects of different moisture contents (adding 7.5 vs. 15% water) and enzyme additions (adding 4 kg/t α-amylase or not) to extruded corn on the mRNA levels of jejunal barrier-function-related genes in weaning piglets. Each column represents the mean expression level with six independent replications. Letters above the bars (a, b) indicate statistical significance (p < 0.05) of gene expression among the four treatments. NL, adding 7.5% water before corn extrusion; NH, adding 15.0% water before corn extrusion; PL, adding 7.5% water and 4 kg/t α-amylase before corn extrusion; PH, adding 15% water and 4 kg/t α-amylase before corn extrusion; ZO-1, Zonula occludens 1; OCLN, Occludin; CLDN-1, Claudin 1; MUC1, Mucin 1.
Figure 2. Effects of different moisture contents (adding 7.5 vs. 15% water) and enzyme additions (adding 4 kg/t α-amylase or not) to extruded corn on the mRNA levels of jejunal barrier-function-related genes in weaning piglets. Each column represents the mean expression level with six independent replications. Letters above the bars (a, b) indicate statistical significance (p < 0.05) of gene expression among the four treatments. NL, adding 7.5% water before corn extrusion; NH, adding 15.0% water before corn extrusion; PL, adding 7.5% water and 4 kg/t α-amylase before corn extrusion; PH, adding 15% water and 4 kg/t α-amylase before corn extrusion; ZO-1, Zonula occludens 1; OCLN, Occludin; CLDN-1, Claudin 1; MUC1, Mucin 1.
Animals 12 01002 g002
Figure 3. Effects of different moisture contents (adding 7.5 vs. 15% water) and enzyme additions (adding 4 kg/t α-amylase or not) to extruded corn on the mRNA levels of jejunal absorption-related genes in weaning piglets. Each column represents the mean expression level with six independent replications. Letters above the bars (a, b) indicate statistical significance (p < 0.05) of genes expression among the four treatments. NL, adding 7.5% water before corn extrusion; NH, adding 15.0% water before corn extrusion; PL, adding 7.5% water and 4 kg/t α-amylase before corn extrusion; PH, adding 15% water and 4 kg/t α-amylase before corn extrusion; SGLT1, Sodium-glucose co transporter 1; GLUT2, Glucose transporter 2; PePT1, Peptide transporter 1.
Figure 3. Effects of different moisture contents (adding 7.5 vs. 15% water) and enzyme additions (adding 4 kg/t α-amylase or not) to extruded corn on the mRNA levels of jejunal absorption-related genes in weaning piglets. Each column represents the mean expression level with six independent replications. Letters above the bars (a, b) indicate statistical significance (p < 0.05) of genes expression among the four treatments. NL, adding 7.5% water before corn extrusion; NH, adding 15.0% water before corn extrusion; PL, adding 7.5% water and 4 kg/t α-amylase before corn extrusion; PH, adding 15% water and 4 kg/t α-amylase before corn extrusion; SGLT1, Sodium-glucose co transporter 1; GLUT2, Glucose transporter 2; PePT1, Peptide transporter 1.
Animals 12 01002 g003
Figure 4. Effects of different moisture contents (adding 7.5 vs. 15% water) and enzyme additions (adding 4 kg/t α-amylase or not) to extruded corn on the gut microbiome structure in weaning piglets. Venn diagram showing the unique and shared OTUs in the different groups. NL, adding 7.5% water before corn extrusion; NH, adding 15.0% water before corn extrusion; PL, adding 7.5% water and 4 kg/t α-amylase before corn extrusion; PH, adding 15% water and 4 kg/t α-amylase before corn extrusion.
Figure 4. Effects of different moisture contents (adding 7.5 vs. 15% water) and enzyme additions (adding 4 kg/t α-amylase or not) to extruded corn on the gut microbiome structure in weaning piglets. Venn diagram showing the unique and shared OTUs in the different groups. NL, adding 7.5% water before corn extrusion; NH, adding 15.0% water before corn extrusion; PL, adding 7.5% water and 4 kg/t α-amylase before corn extrusion; PH, adding 15% water and 4 kg/t α-amylase before corn extrusion.
Animals 12 01002 g004
Figure 5. Effects of different moisture contents (adding 7.5 vs. 15% water) and enzyme additions (adding 4 kg/t α-amylase or not) to extruded corn on the relative abundances of gut microbiome phyla (A) and genus (B) in weaned piglets. The abundance is expressed in terms of a percentage. NL, adding 7.5% water before corn extrusion; NH, adding 15.0% water before corn extrusion; PL, adding 7.5% water and 4 kg/t α-amylase before corn extrusion; PH, adding 15% water and 4 kg/t α-amylase before corn extrusion.
Figure 5. Effects of different moisture contents (adding 7.5 vs. 15% water) and enzyme additions (adding 4 kg/t α-amylase or not) to extruded corn on the relative abundances of gut microbiome phyla (A) and genus (B) in weaned piglets. The abundance is expressed in terms of a percentage. NL, adding 7.5% water before corn extrusion; NH, adding 15.0% water before corn extrusion; PL, adding 7.5% water and 4 kg/t α-amylase before corn extrusion; PH, adding 15% water and 4 kg/t α-amylase before corn extrusion.
Animals 12 01002 g005
Figure 6. Effects of different moisture contents (adding 7.5 vs. 15% water) and enzyme additions (adding 4 kg/t α-amylase or not) to extruded corn on the phylotypes distribution in weaned piglets. LefSe bar representing differential abundant taxa in pig gut microbiome. NL, adding 7.5% water before corn extrusion; NH, adding 15.0% water before corn extrusion; PL, adding 7.5% water and 4 kg/t α-amylase before corn extrusion; PH, adding 15% water and 4 kg/t α-amylase before corn extrusion.
Figure 6. Effects of different moisture contents (adding 7.5 vs. 15% water) and enzyme additions (adding 4 kg/t α-amylase or not) to extruded corn on the phylotypes distribution in weaned piglets. LefSe bar representing differential abundant taxa in pig gut microbiome. NL, adding 7.5% water before corn extrusion; NH, adding 15.0% water before corn extrusion; PL, adding 7.5% water and 4 kg/t α-amylase before corn extrusion; PH, adding 15% water and 4 kg/t α-amylase before corn extrusion.
Animals 12 01002 g006
Table 1. Compositions and nutrient contents of the experiment basal diets 1 (air dry basis, %).
Table 1. Compositions and nutrient contents of the experiment basal diets 1 (air dry basis, %).
Item
Ingredients, %
Extruded corn66.485
Whole-fat milk powder15.00
Soy protein isolate10.00
Coconut oil5.00
Calcium carbonate0.45
Dicalcium phosphate0.90
Choline chloride0.05
L-Lysine HCl (98.5%)0.64
DL-Methionine0.27
L-Threonine0.245
L-Tryptophan0.075
L-Valine0.185
L-Arginine0.170
NaCl0.20
Vitamin premix 20.03
Mineral premix 30.30
Total100
Calculated Nutrients 4
DE (Mcal/kg)3.69
CP (%)18.34
Ca (%)0.49
TP (%)0.51
AP (%)0.30
STTDP (%)0.35
SID-Lysine1.36
SID-Met0.53
SID-Met + Cys0.75
SID-Thr0.81
SID-Trp0.25
1 DE, digestive energy; CP, crude protein; Ca, calcium; TP, total phosphorus; AP, available phosphorus; STTDP, standardized total tract digestibility phosphorus; SID, Standardized ileal digestibility. 2 Provided per kilogram of diet: vitamin A, 9000 IU; vitamin D3, 3000 IU; vitamin E, 20 IU; vitamin K3, 3.0 mg; vitamin B1, 1.5 mg; vitamin B2, 4.0 mg; vitamin B6, 3.0 mg; vitamin B12, 0.2 mg; nicotinic acid, 30 mg; pantothenic acid, 15 mg; folic acid, 0.75 mg; and biotin, 0.1 mg. 3 Provided per kilogram of diet: 120 mg Fe (FeSO4·7 H2O); 20 mg Cu (CuSO4·5H2O); 120 mg Zn (ZnSO4·7H2O); 15 mg Mn (MnSO4·H2O); 0.4 mg Se (Na2SeO3·5H2O); and 0.3 mg I (KI). 4 Values are calculated.
Table 2. Sequence of primers used for the real-time quantitative PCR analysis 1.
Table 2. Sequence of primers used for the real-time quantitative PCR analysis 1.
Genes 1Primer Sequences (5′–3′) 2Size (bp)AT 3, °CAccession Number
β-actinF: TCTGGCACCACACCTTCT11460DQ178122
R: TGATCTGGGTCATCTTCTCAC
SGLT1F: GCAACAGCAAAGAGGAGCGTAT13760NM_001164021.1
R: GCCACAAAACAGGTCATAGGTC
GLUT2F: GACACGTTTTGGGTGTTCCG14958NM_001097417.1
R: GAGGCTAG-CAGATGCCGTAG
PePT1F: GCCAAAGTCGTCAAGTGC10058.5NM_214347
R: GGTCAAACAAAGCCCAGA
ZO-1F: CTGAGGGAATTGGGCAGGAA10560XM_013993251.1
R: TCACCAAAGGACTCAGCAGG
OCLNF: CAGGTGCACCCTCCAGATTG11060XM_001163647.2
R: GGACTTTCAAGAGGCCTGGAT
CLDN-1F: GCCACAGCAAGGTATGGTAAC14062FJ873109.1
R: AGTAGGGCACCTCCCAGAAG
MUC1F: GTGCCGCTGCCCACAACCTG14161XM_001926883.5
R: AGCCGGGTACCCCAGACCCA
1SGLT1, Sodium-glucose co transporter 1; GLUT2, Glucose transporter 2; PePT1, Peptide transporter 1; ZO-1, Zonula occludens 1; OCLN, Occludin; CLDN-1, Claudin 1; MUC1, Mucin 1. 2 F = forward primer; R = reverse primer. 3 AT = annealing temperature.
Table 3. Effects of different enzymes (adding 4 kg/t α-amylase or not) being added to extruded corn on the moisture content and maltooligosaccharides contents of extruded corn 1.
Table 3. Effects of different enzymes (adding 4 kg/t α-amylase or not) being added to extruded corn on the moisture content and maltooligosaccharides contents of extruded corn 1.
ItemExtruded CornExtruded Enzyme-Added CornSEM 2p-Value
Moisture content, %10.5611.340.140.675
Glucose, unit8.538.890.100.871
Maltose, unit4.46 b6.42 a0.45<0.01
Maltotriose, unit0.43 b3.28 a0.32<0.01
Maltotetraose, unit0.24 b3.41 a0.31<0.01
Maltopentaose, unit0.16 b2.23 a0.24<0.01
Maltohexaose, unit0.15 b2.62 a0.17<0.01
Maltoheptaose, unit0.53 b3.46 a0.45<0.01
a,b Means in a row with different letter differ (p < 0.05). 1 Means represent n = 2. 2 Standard error of the means.
Table 4. Effects of different moisture contents (adding 7.5 vs. 15% water) and enzyme additions (adding 4 kg/t α-amylase or not) to extruded corn on the growth performance and diarrhea rate in weaning piglets 1.
Table 4. Effects of different moisture contents (adding 7.5 vs. 15% water) and enzyme additions (adding 4 kg/t α-amylase or not) to extruded corn on the growth performance and diarrhea rate in weaning piglets 1.
Item 2Enzyme−Enzyme+SEM 3p-Value 4
7.5%15%7.5%15%p *p +p #
Initial weight, kg6.766.746.786.770.15
Final weight, kg11.1610.8811.6511.330.280.460.250.96
ADG, g/d314.64295.60347.98325.9512.460.260.090.93
ADFI, g/d473.15 b451.19 b522.80 a494.05 a15.610.260.040.88
F/G1.511.541.501.520.030.570.730.83
Diarrhea rate0.110.110.090.110.010.410.620.62
a,b Means different letters in a row differ (p < 0.05). 1 Means represent n = 6. 2 ADG, average daily gain; ADFI, average daily feed intake; F/G, feed conversion ratio. 3 Standard error of the means. 4 p * Means moisture effect, p + Means enzyme effect, and p # Means water × enzyme interaction effect.
Table 5. Effects of different moisture contents (adding 7.5 vs. 15% water) and enzyme additions (adding 4 kg/t α-amylase or not) to extruded corn on the apparent total tract digestibility in weaning piglets 1.
Table 5. Effects of different moisture contents (adding 7.5 vs. 15% water) and enzyme additions (adding 4 kg/t α-amylase or not) to extruded corn on the apparent total tract digestibility in weaning piglets 1.
ItemEnzyme−Enzyme+SEM 2p-Value 3
7.5%15%7.5%15%p *p +p #
Dry matter88.65 b87.67 b89.90 a90.11 a0.420.37<0.010.18
Crude protein82.86 b80.84 b86.08 a86.23 a0.530.09<0.010.06
Gross energy88.46 b87.54 b89.75 a90.09 a0.390.47<0.010.12
Crude fiber50.7049.8859.6552.263.260.220.090.33
Crude fat69.82 b66.78 b73.87 a74.58 a1.470.440.010.22
Ash48.37 b39.47 b55.37 a60.50 a2.630.48<0.010.02
Phosphorus52.14 b46.17 b59.29 a63.24 a2.250.66<0.010.04
Calcium54.41 b48.70 b64.23 a66.24 a2.670.50<0.010.16
a,b Means different letters in a row differ (p < 0.05). 1 Means represent n = 6. 2 Standard error of the means. 3 p * Means moisture effect, p + Means enzyme effect, and p # Means water × enzyme interaction effect.
Table 6. Effects of different moisture contents (adding 7.5 vs. 15% water) and enzyme additions (adding 4 kg/t α-amylase or not) to extruded corn on the digestive and absorptive enzyme activities in the jejunum of weaning piglets 1.
Table 6. Effects of different moisture contents (adding 7.5 vs. 15% water) and enzyme additions (adding 4 kg/t α-amylase or not) to extruded corn on the digestive and absorptive enzyme activities in the jejunum of weaning piglets 1.
ItemEnzyme−Enzyme+SEM 2p-Value 3
7.5%15%7.5%15%p *p +p #
Trypsin, U/mgprot2168.48 b1670.54 c2889.76 a2672.38 a146.080.02<0.010.35
α-amylase, U/mgprot276.03 b260.21 b421.73 a391.03 a34.250.500.010.83
β-amylase, U/mgprot15.1616.0713.4812.442.430.290.980.69
Lipase, U/gprot248.89 b243.55 b418.13 a401.99 a52.630.84<0.010.92
Sucrase, U/mgprot109.67 c141.12 b162.66 a157.65 a15.560.410.030.26
Maltase, U/gprot285.53 b303.54 b399.00 a396.67 a35.840.83<0.010.78
Lactase, U/gprot144.37143.23139.09123.8543.690.850.780.87
γ-glutamyl transferase, U/L83.30 b125.65 a125.80 a122.07 a10.660.190.030.02
Na+-K+-ATPase, U/mgprot24.3714.2521.9429.305.160.790.240.11
Alkaline phosphatase, King U/gprot110.12 b99.37 b125.11 a129.59 a10.410.770.040.47
Creatine kinase, U/mgprot21.2422.9922.0920.331.420.210.680.34
a,b,c Means different letters in a row differ t (p < 0.05). 1 Means represent n = 6. 2 Standard error of the means. 3 p * Means water effect, p + Means enzyme effect, and p # Means water × enzyme interaction effect.
Table 7. Effects of different moisture contents (adding 7.5 vs. 15% water) and enzyme additions (adding 4 kg/t α-amylase or not) to extruded corn on the intestinal morphology of weaning piglets 1.
Table 7. Effects of different moisture contents (adding 7.5 vs. 15% water) and enzyme additions (adding 4 kg/t α-amylase or not) to extruded corn on the intestinal morphology of weaning piglets 1.
ItemEnzyme−Enzyme+SEM 2p-Value 3
7.5%15%7.5%15%p *p +p #
Duodenum
Villus height, μm647.87 c617.47 c815.40 a705.50 b57.680.240.040.50
Crypt depth, μm306.64297.35323.91308.9429.800.690.630.93
Villus to crypt ratio2.262.112.702.310.250.300.220.64
Jejunum
Villus height, μm434.29 b436.27 b555.31 a527.65 a48.830.800.040.77
Crypt depth, μm185.34225.15216.14179.2420.140.940.710.07
Villus to crypt ratio2.36 b2.06 b2.83 a2.94 a0.290.740.030.50
Ileum
Villus height, μm412.29 b447.57 b490.44 a465.72 a,b22.920.820.040.21
Crypt depth, μm186.16207.84157.97157.4620.400.610.060.59
Villus to crypt ratio2.37 b2.33 b3.15 a3.07 a0.250.80<0.010.94
a,b,c Means different letters in a row differ (p < 0.05). 1 Means represent n = 6. 2 Standard error of the means. 3 p * Means moisture effect, p + Means enzyme effect, and p # Means water × enzyme interaction effect.
Table 8. The alpha diversity in the fecal microbiome of weaning piglets 1.
Table 8. The alpha diversity in the fecal microbiome of weaning piglets 1.
ItemEnzyme−Enzyme+SEM 2p-Value 3
7.5%15%7.5%15%p *p +p #
Observed species729.80643.50624.50651.1797.290.4660.2380.174
Shannon5.205.325.345.360.490.7580.6960.826
Simpson0.910.920.930.920.030.8270.4880.488
Chao 1793.47702.61684.37707.10107.590.4560.2570.220
ACE818.87732.28698.86716.37114.180.4730.1660.284
1 Means represent n = 6. 2 Standard error of the means. 3 p * Means moisture effect, p + Means enzyme effect, and p # Means water × enzyme interaction effect.
Table 9. Effects of different moisture contents (adding 7.5 vs. 15% water) and enzyme additions (adding 4 kg/t α-amylase or not) to extruded corn on intestinal microbial metabolites (μmol/g of wet digesta) in the cecal and colonic digesta of weaning piglets 1.
Table 9. Effects of different moisture contents (adding 7.5 vs. 15% water) and enzyme additions (adding 4 kg/t α-amylase or not) to extruded corn on intestinal microbial metabolites (μmol/g of wet digesta) in the cecal and colonic digesta of weaning piglets 1.
ItemEnzyme−Enzyme+SEM 3p-Value 4
7.5%15%7.5%15%p *p +p #
Cecal digesta
Acetic acid4.113.913.743.710.550.6060.2260.722
Propanoic acid2.462.412.522.360.530.6380.9890.805
Butyric acid0.270.190.230.200.080.0910.6990.489
Isobutyric acid0.12 a0.10 a,b0.08 b0.07 b0.040.1970.0360.644
Valeric acid0.39 a0.20 b0.32 a0.23 b0.160.0410.7400.438
Isovaleric acid0.100.080.080.060.040.2760.2540.899
TVFAs 27.476.896.996.631.100.3260.4390.816
Colonic digesta
Acetic acid4.063.803.473.390.500.3760.0130.614
Propanoic acid2.372.162.282.160.410.3510.7890.802
Butyric acid0.23 a0.19 b0.23 a0.19 b0.040.0160.9970.844
Isobutyric acid0.12 a0.12 a0.09 b0.09 b0.030.6930.0130.968
Valeric acid0.35 a0.23 b0.32 a0.25 b0.100.0300.9580.531
Isovaleric acid0.110.110.090.090.030.5170.0740.977
TVFAs 27.256.606.486.170.890.1840.0980.635
a,b Means in a row with different letter differ (p < 0.05). 1 Means represent 6 pens with 2 pigs per pen (n = 6). 2 TVFAs, total volatile fatty acids. 3 Standard error of the means. 4 p * Means moisture effect, p + Means enzyme effect, and p # Means water × enzyme interaction effect.
Publisher’s Note: MDPI stays neutral with regard to jurisdictional claims in published maps and institutional affiliations.

Share and Cite

MDPI and ACS Style

Zhu, D.; Che, L.; Yu, B.; Chen, D. Extruded Enzyme-Added Corn Improves the Growth Performance, Intestinal Function, and Microbiome of Weaning Piglets. Animals 2022, 12, 1002. https://doi.org/10.3390/ani12081002

AMA Style

Zhu D, Che L, Yu B, Chen D. Extruded Enzyme-Added Corn Improves the Growth Performance, Intestinal Function, and Microbiome of Weaning Piglets. Animals. 2022; 12(8):1002. https://doi.org/10.3390/ani12081002

Chicago/Turabian Style

Zhu, Dan, Lianqiang Che, Bing Yu, and Daiwen Chen. 2022. "Extruded Enzyme-Added Corn Improves the Growth Performance, Intestinal Function, and Microbiome of Weaning Piglets" Animals 12, no. 8: 1002. https://doi.org/10.3390/ani12081002

APA Style

Zhu, D., Che, L., Yu, B., & Chen, D. (2022). Extruded Enzyme-Added Corn Improves the Growth Performance, Intestinal Function, and Microbiome of Weaning Piglets. Animals, 12(8), 1002. https://doi.org/10.3390/ani12081002

Note that from the first issue of 2016, this journal uses article numbers instead of page numbers. See further details here.

Article Metrics

Back to TopTop