Nocardiosis in Free-Ranging Cetaceans from the Central-Eastern Atlantic Ocean and Contiguous Mediterranean Sea
Abstract
Simple Summary
Abstract
1. Introduction
2. Materials and Methods
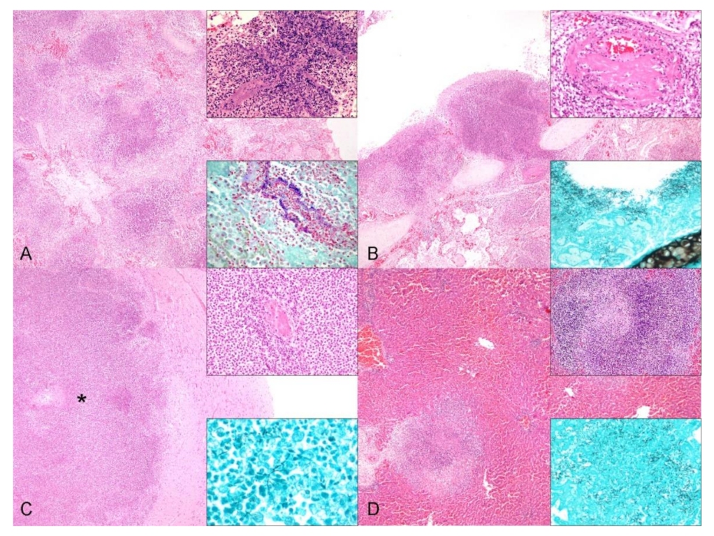
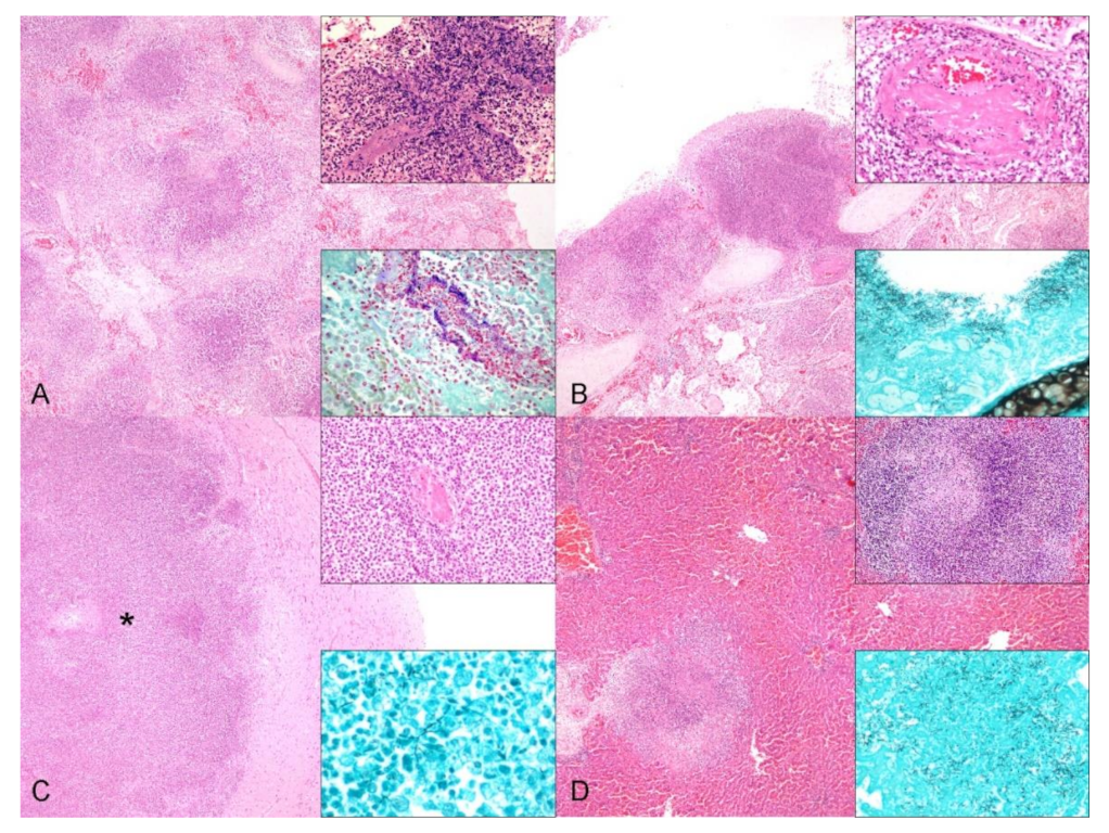
3. Results
4. Discussion
5. Conclusions
Author Contributions
Funding
Institutional Review Board Statement
Data Availability Statement
Acknowledgments
Conflicts of Interest
References
- Beaman, B.L.; Sugar, A.M. Nocardia in naturally acquired and experimental infections in animals. Epidemiol. Infect. 1983, 91, 393–419. [Google Scholar]
- Corti, M.E.; Fioti, M.E.V. Nocardiosis: A review. Int. J. Infect. Dis. 2003, 7, 243–250. [Google Scholar] [CrossRef]
- Parte, A.C.; Carbasse, J.S.; Meier-Kolthoff, J.P.; Reimer, L.C.; Goker, M. List of Prokaryotic names with Standing in Nomencla-ture (LPSN) moves to the DSMZ. Int. J. Syst. Evol. Microbiol. 2020, 70, 5607–5612. [Google Scholar] [CrossRef] [PubMed]
- Peters-Kennedy, J.M. Integumentary System. In Jubb, Kennedy and Palmer’s Pathology of Domestic Animals, 6th ed.; Maxie, M.G., Ed.; Elsevier: Maryland, MO, USA, 2016; pp. 511–580. [Google Scholar]
- Pier, A.C.; Fichtner, R.E. Distribution of serotypes of Nocardia asteroides from animal, human, and environmental sources. J. Clin. Microbiol. 1981, 13, 548–553. [Google Scholar] [CrossRef] [PubMed]
- Conville, P.S.; Brown-Elliott, B.A.; Smith, T.; Zelazny, A.M. The Complexities of Nocardia Taxonomy and Identification. J. Clin. Microbiol. 2018, 56, e01419-17. [Google Scholar] [CrossRef]
- Mehta, H.H.; Shamoo, Y. Pathogenic Nocardia: A diverse genus of emerging pathogens or just poorly recognized? PLoS Pathog. 2020, 16, e1008280. [Google Scholar] [CrossRef] [PubMed]
- Lenskaya, V.; DeChavez, V.; Kaufman, B.; Caplivski, D. Primary cutaneous nocardiosis caused by Nocardia nova with possible apremilast contribution. IDCases 2021, 24, e01078. [Google Scholar] [CrossRef] [PubMed]
- Lerner, P.I. Nocardiosis, In Clinical Infectious Diseases; Oxford University Press: Oxford, UK, 1996; Volume 22. [Google Scholar]
- Shapiro, P.E.; Grossman, M.E. Disseminated Nocardia asteroides with pustules. J. Am. Acad. Dermatol. 1989, 20, 889–892. [Google Scholar] [CrossRef]
- Maekawa, S.; Yoshida, T.; Wang, P.-C.; Chen, S.-C. Current knowledge of nocardiosis in teleost fish. J. Fish Dis. 2018, 41, 413–419. [Google Scholar] [CrossRef] [PubMed]
- St Leger, J.A.; Begeman, L.; Fleetwood, M.; Frasca, S., Jr.; Garner, M.M.; Lair, S.; Trembley, S.; Linn M., J.; Terio, K.A. Comparative pathology of nocardiosis in marine mammals. Vet. Pathol. 2009, 46, 299–308. [Google Scholar] [CrossRef] [PubMed]
- St. Leger, J.; Raverty, S.; Mena, A. Pathology of Wildlife and Zoo Animals; Terio, K.A., McAloose, D., St. Leger, J., Eds.; Academic Press: Cambridge, MA, USA, 2018; pp. 533–568. [Google Scholar]
- Degollada, E.; Domingo, M.; Alonso, J.M.; Alegre, F.; Tello, M.; Lopez, A.; Domínguez, L. Nocardiosis in a striped dolphin (Stenella coeruleoalba). In Proceedings of the third ECS workshop on Cetacean Pathology: Lung Pathology, ECS Newsletter n., Lisbon, Portugal, 14 March 1996; pp. 16–18. [Google Scholar]
- Ito, S.; Hirai, T.; Hamabe, S.; Subangkit, M.; Okabayashi, T.; Goto, Y.; Nishida, S.; Kurita, T.; Yamaguchi, R. Suppurative necrotizing bronchopneumonia caused by Nocardia cyriacigeorgica infection in a stranded striped dolphin (Stenella coeruleoalba) in Japan. J. Vet. Med Sci. 2021, 83, 146–150. [Google Scholar] [CrossRef] [PubMed]
- Pier, A.C.; Takayama, A.K.; Miyahara, A.Y. Cetacean Nocardiosis. J. Wildl. Dis. 1970, 6, 112–118. [Google Scholar] [CrossRef] [PubMed][Green Version]
- Martineau, D.; Lagacé, A.; Béland, P.; Higgins, R.; Armstrong, D.; Shugart, L. Pathology of stranded beluga whales (Delphinapterus leucas) from the St. Lawrence Estuary, Québec, Canada. J. Comp. Pathol. 1988, 98, 287–310. [Google Scholar] [CrossRef]
- Arbelo, M.; de Los Monteros, A.E.; Herráez, P.; Andrada, M.; Sierra, E.; Rodríguez, F.; Jepson, P.D.; Fernandez, A. Pathology and causes of death of stranded cetaceans in the Canary Islands (1999–2005). Dis. Aquat. Org. 2013, 103, 87–99. [Google Scholar] [CrossRef]
- Díaz-Delgado, J.; Fernández, A.; Sierra, E.; Sacchini, S.; Andrada, M.; Vela, A.I.; Óscar, Q.-C.; Paz, Y.; Zucca, D.; Groch, K.; et al. Pathologic findings and causes of death of stranded cetaceans in the Canary Islands (2006–2012). PLoS ONE 2018, 13, e0204444. [Google Scholar] [CrossRef]
- Kuiken, T.; García-Hartmann, M. Dissection techniques and tissue sampling. In Proceedings of the First ECS Workshop on Cetacean Pathology, Leiden, The Netherlands, 13–14 September 1991. [Google Scholar]
- Geraci, J.R.; Lounsbury, V.J. Marine Mammals Ashore: A Field Guide for Strandings, 2nd ed.; National Aquarium in Baltimore: Baltimore, MD, USA, 2005. [Google Scholar]
- Pérez-Sancho, M.; Cerdá, I.; Fernández-Bravo, A.; Domínguez, L.; Figueras, M.J.; Fernández-Garayzábal, J.F.; Vela, A.I. Limited performance of MALDI-TOF for identification of fish Aeromonas isolates at species level. J. Fish Dis. 2018, 41, 1485–1493. [Google Scholar] [CrossRef]
- Vela, A.I.; Collins, M.D.; Lawson, P.A.; García, N.; Domínguez, L.; Fernandez-Garayzabal, J.F. Uruburuella suis gen. nov., sp. nov., isolated from clinical specimens of pigs. Int. J. Syst. Evol. Microbiol. 2005, 55, 643–647. [Google Scholar] [CrossRef][Green Version]
- Yoon, S.-H.; Ha, S.-M.; Kwon, S.; Lim, J.; Kim, Y.; Seo, H.; Chun, J. Introducing EzBioCloud: A taxonomically united database of 16S rRNA gene sequences and whole-genome assemblies. Int. J. Syst. Evol. Microbiol. 2017, 67, 1613–1617. [Google Scholar] [CrossRef]
- Sierra, E.; Sanchez, S.; Saliki, J.T.; Blas-Machado, U.; Arbelo, M.; Zucca, D.; Fernández, A. Retrospective study of etiologic agents associated with nonsuppurative meningoencepha-litis in stranded cetaceans in the Canary Islands. J. Clin. Microbiol. 2014, 52, 2390–2397. [Google Scholar] [CrossRef]
- VanDevanter, D.R.; Warrener, P.; Bennett, L.; Schultz, E.R.; Coulter, S.; Garber, R.L.; Rose, T.M. Detection and analysis of diverse herpesviral species by consensus primer PCR. J. Clin. Microbiol. 1996, 34, 1666–1671. [Google Scholar] [CrossRef]
- Saubolle, M.A.; Sussland, D. Nocardiosis: Review of clinical and laboratory experience. J. Clin. Microbiol. 2003, 41, 4497–4501. [Google Scholar] [CrossRef] [PubMed]
- Fellows, G.A.; Kalsi, P.S.; Martin, A.J. Nocardia farcinica brain abscess in a patient without immunocompromise. Br. J. Neurosurg. 2007, 21, 301–303. [Google Scholar] [CrossRef]
- Greene, C. Actinomycosis and nocardiosis. In Infectious Diseases of Dog and Cat, 3rd ed.; Elsevier: St. Louis, MO, USA, 2006; pp. 451–461. [Google Scholar]
- Ribeiro, M.G.; Salerno, T.; De Mattos-Guaraldi, A.L.; Camello, T.C.F.; Langoni, H.; Siqueira, A.K.; Paes, A.C.; Fernandes, M.C.; Lara, G.H.B. Nocardiosis: An overview and additional report of 28 cases in cattle and dogs. Rev. Inst. Med. Trop. São Paulo 2008, 50, 177–185. [Google Scholar] [CrossRef]
- Soto, S.; González, B.; Willoughby, K.; Maley, M.; Olvera, A.; Kennedy, S.; Marco, A.; Domingo, M. Systemic Herpesvirus and Morbillivirus Co-Infection in a Striped Dolphin (Stenella coeruleoalba). J. Comp. Pathol. 2012, 146, 269–273. [Google Scholar] [CrossRef] [PubMed]
- Bawa, B.; Bai, J.; Whitehair, M.; Purvis, T.; Debey, B.M. Bovine abortion associated with Nocardia farcinica. J. Vet. Diagn. Investig. 2010, 22, 108–111. [Google Scholar] [CrossRef] [PubMed]
- Brown-Elliott, B.A.; Brown, J.M.; Conville, P.S.; Wallace, R.J. Clinical and Laboratory Features of the Nocardia spp. Based on Current Molecular Taxonomy. Clin. Microbiol. Rev. 2006, 19, 259–282. [Google Scholar] [CrossRef]
- Jiang, Y.; Huang, A.; Fang, Q. Disseminated nocardiosis caused by Nocardia otitidiscaviarum in an immunocompetent host: A case report and literature review. Exp. Ther. Med. 2016, 12, 3339–3346. [Google Scholar] [CrossRef]
- Liu, B.; Zhang, Y.; Gong, J.; Jiang, S.; Huang, Y.; Wang, L.; Xu, J.; Qiu, C. CT findings of pulmonary nocardiosis: A report of 9 cases. J. Thorac. Dis. 2017, 9, 4785–4790. [Google Scholar] [CrossRef]
- Engelbrecht, A.; Saad, H.; Gross, H.; Kaysser, L. Natural Products from Nocardia and Their Role in Pathogenicity. Microb. Physiol. 2021, 31, 217–232. [Google Scholar] [CrossRef]
- Derungs, T.; Leo, F.; Loddenkemper, C.; Schneider, T. Treatment of disseminated nocardiosis: A host–pathogen approach with adjuvant interferon gamma. Lancet Infect. Dis. 2021, 21, e334–e340. [Google Scholar] [CrossRef]


| Case | Case No. | Species | Stranding Location | Gender | Age | BC | DC | ND |
|---|---|---|---|---|---|---|---|---|
| 297_14 | 1 | SD | Almeria | F | adult | 3 | 2 | 19 March 2014 |
| 292_14 | 2 | SD | Cádiz | F | adult | 3 | 2 | 22 April 2014 |
| 34_16 | 3 | SD | Málaga | M | adult | 1 | 2 | 11 November 2015 |
| 148_01 | 4 | SD | Gran Canaria | M | adult | 4 | 2 | 26 November 2001 |
| 1103_20 | 5 | ABD | Gran Canaria | M | Calf | 1 | 2 | 14 June 2020 |
| Gross Findings | Af/Ev (%) |
|---|---|
| Pulmonary pyogranulomatous lymphadenitis (lymphadenomegaly) | 5/5 (100) |
| Pleural, pulmonary, and bronchial pyogranulomas | 5/5 (100) |
| Cerebral abscess | 3/5 (60) |
| Disseminated nodules across liver capsule and/or parenchyma | 3/5 (60) |
| Adrenal gland pyogranulomas | 3/5 (60) |
| Pyogranulomatous pericarditis | 2/5 (40) |
| Peritoneal (serosal) pyogranulomas | 3/5 (60) |
| Endotracheal mucosal pyogranulomas | 2/5 (40) |
| Pharyngeal (tonsil) pyogranulomas | 2/5 (40) |
| Splenic pyogranulomas | 2/5 (40) |
| Mesenteric, tracheobronchial pyogranulomatous lymphadenitis (lymphadenomegaly) | 2/5 (40) |
| Renal pyogranulomas | 2/5 (40) |
| Pancreatic pyogranulomas | 1/5 (25) |
| Hypophyseal pyogranulomas | 1/5 (25) |
| Microscopic Findings | Af/Ev (%) |
|---|---|
| Pyogranulomatous and necrotizing bronchopneumonia and pleuritis | 5/5 (100) |
| Pyogranulomatous and necrotizing pulmonary lymphadenitis | 5/5 (100) |
| Multiorgan vascular vasculitis/fibrinoid necrosis | 5/5 (100) |
| Intralesional filamentous bacteria | 5/5 (100) |
| Suppurative thromboembolic meningoencephalitis with necrosis | 3/5 (60) |
| Suppurative/pyogranulomatous cortical/medullar adrenalitis | 3/5 (60) |
| Pyogranulomatous and necrotizing hepatitis | 3/5 (60) |
| Necrosuppurative splenitis | 2/5 (40) |
| Pyogranulomatous and necrotizing nephritis | 2/5 (40) |
| Necrosuppurative pharyngeal tonsilitis | 2/5 (40) |
| Necrosuppurative pancreatitis | 2/5 (40) |
| Pyogranulomatous tracheobronchial/mesenteric lymphadenitis | 2/5 (40) |
| Fibrinosuppurative and necrotizing pericarditis | 2/5 (40) |
| Necrosuppurative hypophysitis | 1/5 (25) |
| Lymphocytic meningitis with perivascular cuffs and gliosis | 1/5 (25) |
| Pyogranulomatous mielitis | 1/5 (25) |
| Pyogranulomatous (aortic) arteritis | 1/5 (25) |
| Case No. | Lung | Pleura | Liver | Kidney | Spleen | Peritoneum (Serosae) | Heart | Pulmonary (LN) | Adrenal gland | Pharyngeal Tonsil | Pancreas | Trachea | Hypophysis | Brain | Other Lymph Nodes | Organism |
|---|---|---|---|---|---|---|---|---|---|---|---|---|---|---|---|---|
| 1 | +++ | ++ | ++ | ? | +++ | ++ | ++ | +++ | +++ | + | - | +++ | +++ | + | + (PS); + (MS) | N. farcinica |
| 2 | +++ | - | - | - | - | + | - | +++ | - | ++ | - | ++ | - | - | - | N. farcinica |
| 3 | +++ | - | ++ | ++ | - | - | - | ++ | ++ | - | - | - | - | - | - | Nocardia sp.* |
| 4 | +++ | ++ | + | +++ | ++ | + | ++a | +++ | ++ | - | +++ | - | - | +++ | - | N. otitidiscaviarum |
| 5 | +++ | - | - | - | - | - | - | +++ | - | - | - | - | - | +++ | +++ (TBr) | N. otitidiscaviarum |
Publisher’s Note: MDPI stays neutral with regard to jurisdictional claims in published maps and institutional affiliations. |
© 2022 by the authors. Licensee MDPI, Basel, Switzerland. This article is an open access article distributed under the terms and conditions of the Creative Commons Attribution (CC BY) license (https://creativecommons.org/licenses/by/4.0/).
Share and Cite
Díaz-Santana, P.; Fernández, A.; Díaz-Delgado, J.; Vela, A.I.; Domínguez, L.; Suárez-Santana, C.; Puig-Lozano, R.; Fernández-Maldonado, C.; Sierra, E.; Arbelo, M. Nocardiosis in Free-Ranging Cetaceans from the Central-Eastern Atlantic Ocean and Contiguous Mediterranean Sea. Animals 2022, 12, 434. https://doi.org/10.3390/ani12040434
Díaz-Santana P, Fernández A, Díaz-Delgado J, Vela AI, Domínguez L, Suárez-Santana C, Puig-Lozano R, Fernández-Maldonado C, Sierra E, Arbelo M. Nocardiosis in Free-Ranging Cetaceans from the Central-Eastern Atlantic Ocean and Contiguous Mediterranean Sea. Animals. 2022; 12(4):434. https://doi.org/10.3390/ani12040434
Chicago/Turabian StyleDíaz-Santana, Pablo, Antonio Fernández, Josue Díaz-Delgado, Ana Isabel Vela, Lucas Domínguez, Cristian Suárez-Santana, Raquel Puig-Lozano, Carolina Fernández-Maldonado, Eva Sierra, and Manuel Arbelo. 2022. "Nocardiosis in Free-Ranging Cetaceans from the Central-Eastern Atlantic Ocean and Contiguous Mediterranean Sea" Animals 12, no. 4: 434. https://doi.org/10.3390/ani12040434
APA StyleDíaz-Santana, P., Fernández, A., Díaz-Delgado, J., Vela, A. I., Domínguez, L., Suárez-Santana, C., Puig-Lozano, R., Fernández-Maldonado, C., Sierra, E., & Arbelo, M. (2022). Nocardiosis in Free-Ranging Cetaceans from the Central-Eastern Atlantic Ocean and Contiguous Mediterranean Sea. Animals, 12(4), 434. https://doi.org/10.3390/ani12040434

