Variation in Hypothalamic GnIH Expression and Its Association with GnRH and Kiss1 during Pubertal Progression in Male Rhesus Monkeys (Macaca mulatta)
Abstract
Simple Summary
Abstract
1. Introduction
2. Materials and Methods
2.1. Animals
2.2. Tissue Collection and Processing
2.3. Plasma Testosterone and Testicular Volume Measurement
2.4. Testicular Morphology
2.5. Fluorescence Immunocytochemistry
2.6. Microscopy
2.7. Real Time-Quantitative PCR
2.7.1. Isolation of RNA and cDNA Synthesis
2.7.2. Quantitative Real Time PCR
2.8. Statistical Analyses
3. Results
3.1. Body Weight, Plasma Testosterone, and Testicular Volume
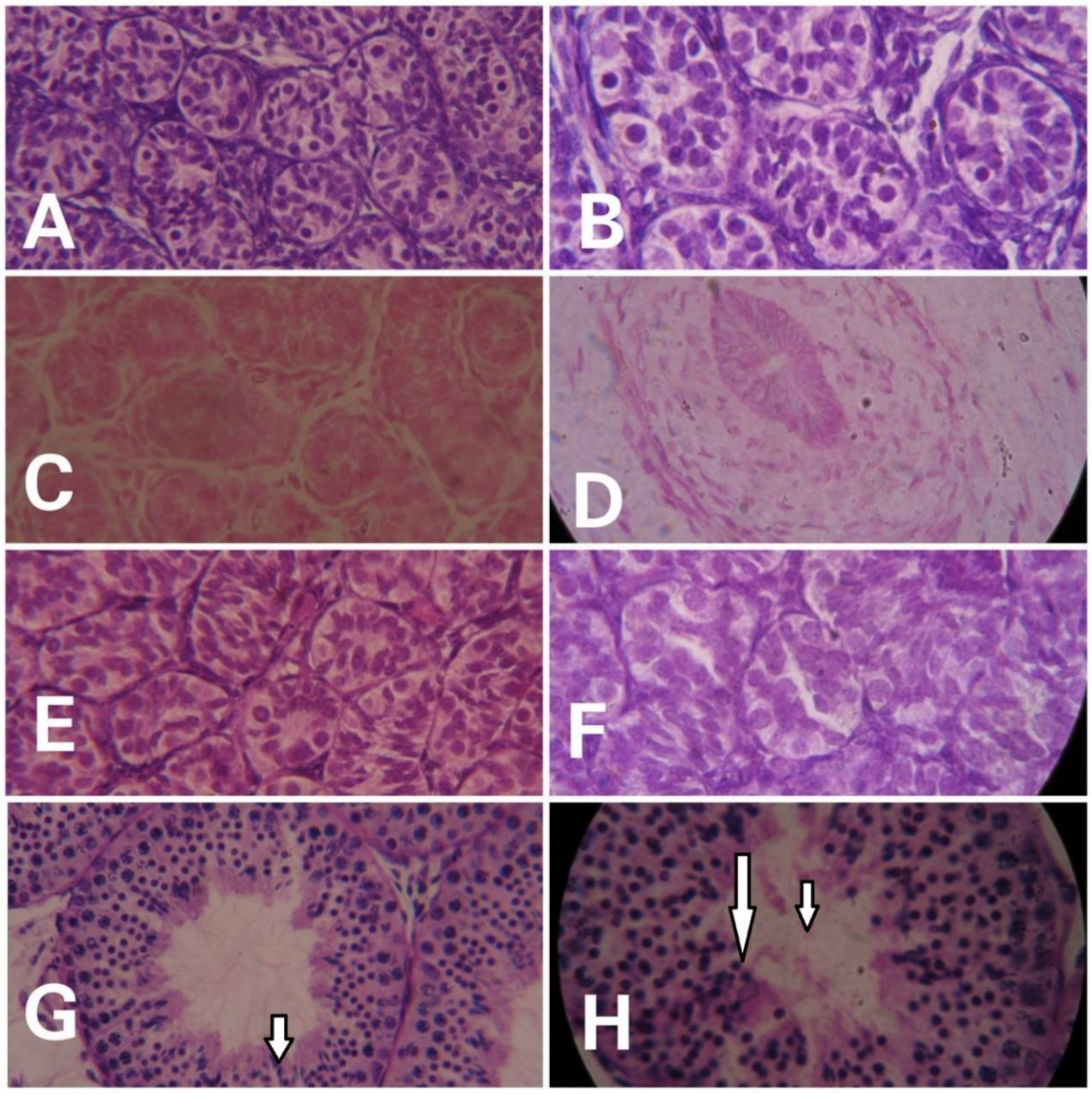
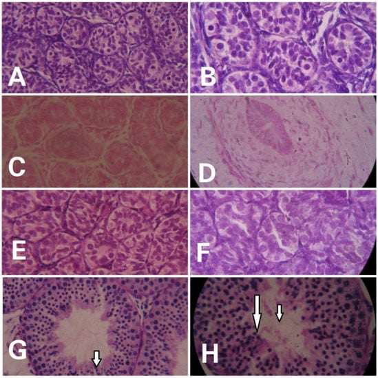
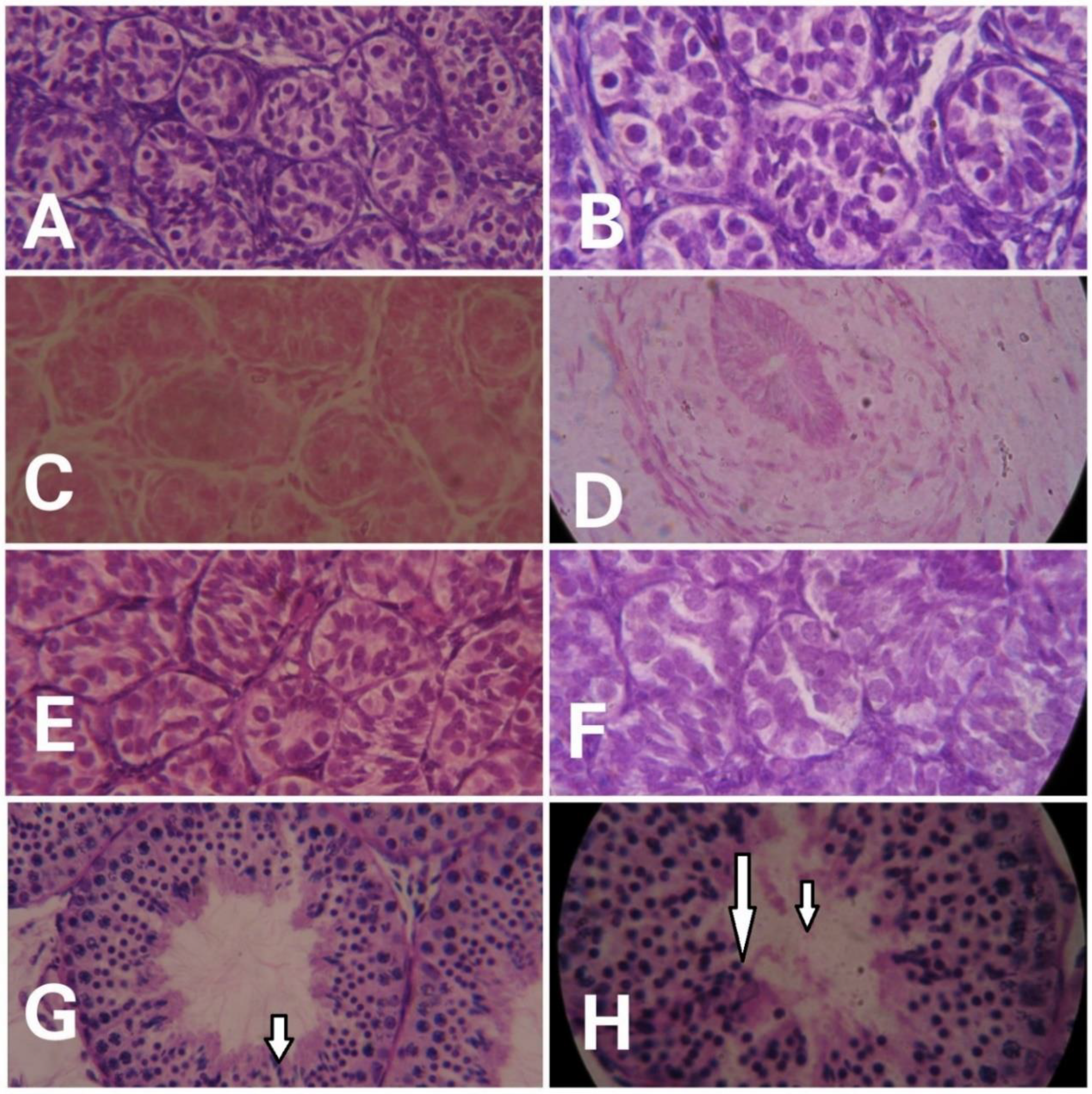
3.2. Testicular Morphology
3.3. Developmental Variation in Number of GnIH-ir Terminals Expression Fluorescence
3.4. Developmental Variation in Expression of GnIH-ir Fibers
3.5. RT-qPCR
4. Discussion
5. Conclusions
Author Contributions
Funding
Institutional Review Board Statement
Data Availability Statement
Acknowledgments
Conflicts of Interest
References
- Parent, A.-S.; Teilmann, G.; Juul, A.; Skakkebaek, N.E.; Toppari, J.; Bourguignon, J.-P. The timing of normal puberty and the age limits of sexual precocity: Variations around the world, secular trends, and changes after migration. Endocr. Rev. 2003, 24, 668–693. [Google Scholar] [CrossRef] [PubMed]
- Ojeda, S.R.; Skinner, M.K. Puberty in the rat. In Knobil and Neill’s Physiology of Reproduction; Elsevier: Amsterdam, The Netherlands, 2006; pp. 2061–2126. [Google Scholar]
- Ojeda, S.R.; Lomniczi, A.; Sandau, U.; Matagne, V. New concepts on the control of the onset of puberty. Pediatr. Neuroendocrinol. 2010, 17, 44–51. [Google Scholar]
- Tena-Sempere, M. Deciphering puberty: Novel partners, novel mechanisms. Eur. J. Endocrinol. 2012, 167, 733–747. [Google Scholar] [CrossRef] [PubMed]
- Plant, T.M. Neuroendocrine control of the onset of puberty. Front. Neuroendocrinol. 2015, 38, 73–88. [Google Scholar] [CrossRef] [PubMed]
- Terasawa, E.; Fernandez, D.L. Neurobiological mechanisms of the onset of puberty in primates. Endocr. Rev. 2001, 22, 111–151. [Google Scholar] [PubMed]
- Kuiri-Hänninen, T.; Sankilampi, U.; Dunkel, L. Activation of the hypothalamic-pituitary-gonadal axis in infancy: Minipuberty. Horm. Res. Paediatr. 2014, 82, 73–80. [Google Scholar] [CrossRef]
- Uenoyama, Y.; Inoue, N.; Nakamura, S.; Tsukamura, H. Central mechanism controlling pubertal onset in mammals: A triggering role of kisspeptin. Front. Endocrinol. 2019, 10, 312. [Google Scholar] [CrossRef]
- Ojeda, S.R.; Lomniczi, A.; Mastronardi, C.; Heger, S.; Roth, C.; Parent, A.-S.; Matagne, V.; Mungenast, A.E. Minireview: The neuroendocrine regulation of puberty: Is the time ripe for a systems biology approach? Endocrinology 2006, 147, 1166–1174. [Google Scholar] [CrossRef]
- Terasawa, E. Mechanism of pulsatile GnRH release in primates: Unresolved questions. Mol. Cell. Endocrinol. 2019, 498, 110578. [Google Scholar] [CrossRef]
- Rodríguez-Vázquez, E.; Tena-Sempere, M.; Castellano, J.M. Mechanisms for the metabolic control of puberty. Curr. Opin. Endocr. Metab. Res. 2020, 14, 78–84. [Google Scholar] [CrossRef]
- Fukusumi, S.; Fujii, R.; Hinuma, S. Recent advances in mammalian RFamide peptides: The discovery and functional analyses of PrRP, RFRPs and QRFP. Peptides 2006, 27, 1073–1086. [Google Scholar] [CrossRef]
- Plant, T.M.; Witchel, S.F. Puberty in nonhuman primates and humans. In Knobil and Neill’s Physiology of Reproduction; Elsevier: Amsterdam, The Netherlands, 2006; pp. 2177–2230. [Google Scholar]
- Terasawa, E.; Guerriero, K.A.; Plant, T.M. Kisspeptin and puberty in mammals. In Kisspeptin Signaling in Reproductive Biology; Springer: New York, NY, USA, 2013; pp. 253–273. [Google Scholar]
- Shahab, M.; Mastronardi, C.; Seminara, S.B.; Crowley, W.F.; Ojeda, S.R.; Plant, T.M. Increased hypothalamic GPR54 signaling: A potential mechanism for initiation of puberty in primates. Proc. Natl. Acad. Sci. USA 2005, 102, 2129–2134. [Google Scholar] [CrossRef]
- Garcia, J.P.; Keen, K.L.; Kenealy, B.P.; Seminara, S.B.; Terasawa, E. Role of kisspeptin and neurokinin B signaling in male rhesus monkey puberty. Endocrinology 2018, 159, 3048–3060. [Google Scholar] [CrossRef]
- Shahab, M.; Lippincott, M.; Chan, Y.-M.; Davies, A.; Merino, P.M.; Plummer, L.; Mericq, V.; Seminara, S. Discordance in the dependence on Kisspeptin signaling in mini puberty vs adolescent puberty: Human genetic evidence. J. Clin. Endocrinol. Metab. 2018, 103, 1273–1276. [Google Scholar] [CrossRef]
- Ramaswamy, S.; Guerriero, K.A.; Gibbs, R.B.; Plant, T.M. Structural interactions between kisspeptin and GnRH neurons in the mediobasal hypothalamus of the male rhesus monkey (Macaca mulatta) as revealed by double immunofluorescence and confocal microscopy. Endocrinology 2008, 149, 4387–4395. [Google Scholar] [CrossRef]
- Adachi, S.; Yamada, S.; Takatsu, Y.; Matsui, H.; Kinoshita, M.; Takase, K.; Sugiura, H.; Ohtaki, T.; Matsumoto, H.; Uenoyama, Y. Involvement of anteroventral periventricular metastin/kisspeptin neurons in estrogen positive feedback action on luteinizing hormone release in female rats. J. Reprod. Dev. 2007, 53, 367. [Google Scholar] [CrossRef]
- Huang, X.; Harlan, R.E. Absence of androgen receptors in LHRH immunoreactive neurons. Brain Res. 1993, 624, 309–311. [Google Scholar] [CrossRef]
- Han, S.-K.; Gottsch, M.L.; Lee, K.J.; Popa, S.M.; Smith, J.T.; Jakawich, S.K.; Clifton, D.K.; Steiner, R.A.; Herbison, A.E. Activation of gonadotropin-releasing hormone neurons by kisspeptin as a neuroendocrine switch for the onset of puberty. J. Neurosci. 2005, 25, 11349–11356. [Google Scholar] [CrossRef]
- Tsutsui, K.; Saigoh, E.; Ukena, K.; Teranishi, H.; Fujisawa, Y.; Kikuchi, M.; Ishii, S.; Sharp, P.J. A novel avian hypothalamic peptide inhibiting gonadotropin release. Biochem. Biophys. Res. Commun. 2000, 275, 661–667. [Google Scholar] [CrossRef]
- Kriegsfeld, L.J.; Mei, D.F.; Bentley, G.E.; Ubuka, T.; Mason, A.O.; Inoue, K.; Ukena, K.; Tsutsui, K.; Silver, R. Identification and characterization of a gonadotropin-inhibitory system in the brains of mammals. Proc. Natl. Acad. Sci. USA 2006, 103, 2410–2415. [Google Scholar] [CrossRef]
- Tsutsui, K.; Ukena, K. Hypothalamic LPXRF-amide peptides in vertebrates: Identification, localization and hypophysiotropic activity. Peptides 2006, 27, 1121–1129. [Google Scholar] [CrossRef] [PubMed]
- Clarke, I.J.; Sari, I.P.; Qi, Y.; Smith, J.T.; Parkington, H.C.; Ubuka, T.; Iqbal, J.; Li, Q.; Tilbrook, A.; Morgan, K. Potent action of RFamide-related peptide-3 on pituitary gonadotropes indicative of a hypophysiotropic role in the negative regulation of gonadotropin secretion. Endocrinology 2008, 149, 5811–5821. [Google Scholar] [CrossRef] [PubMed]
- Ubuka, T.; Lai, H.; Kitani, M.; Suzuuchi, A.; Pham, V.; Cadigan, P.A.; Wang, A.; Chowdhury, V.S.; Tsutsui, K.; Bentley, G.E. Gonadotropin-inhibitory hormone identification, cDNA cloning, and distribution in rhesus macaque brain. J. Comp. Neurol. 2009, 517, 841–855. [Google Scholar] [CrossRef] [PubMed]
- Ubuka, T.; Morgan, K.; Pawson, A.J.; Osugi, T.; Chowdhury, V.S.; Minakata, H.; Tsutsui, K.; Millar, R.P.; Bentley, G.E. Identification of human GnIH homologs, RFRP-1 and RFRP-3, and the cognate receptor, GPR147 in the human hypothalamic pituitary axis. PLoS ONE 2009, 4, e8400. [Google Scholar] [CrossRef] [PubMed]
- Tsutsui, K.; Bentley, G.; Kriegsfeld, L.; Osugi, T.; Seong, J.; Vaudry, H. Discovery and evolutionary history of gonadotrophin-inhibitory hormone and kisspeptin: New key neuropeptides controlling reproduction. J. Neuroendocrinol. 2010, 22, 716–727. [Google Scholar]
- Tsutsui, K.; Ubuka, T.; Bentley, G.E.; Kriegsfeld, L.J. Gonadotropin-inhibitory hormone (GnIH): Discovery, progress and prospect. Gen. Comp. Endocrinol. 2012, 177, 305–314. [Google Scholar] [CrossRef]
- Soga, T.; Kitahashi, T.; Clarke, I.J.; Parhar, I.S. Gonadotropin-inhibitory hormone promoter-driven enhanced green fluorescent protein expression decreases during aging in female rats. Endocrinology 2014, 155, 1944–1955. [Google Scholar] [CrossRef]
- Son, Y.L.; Ubuka, T.; Narihiro, M.; Fukuda, Y.; Hasunuma, I.; Yamamoto, K.; Belsham, D.D.; Tsutsui, K. Molecular basis for the activation of gonadotropin-inhibitory hormone gene transcription by corticosterone. Endocrinology 2014, 155, 1817–1826. [Google Scholar] [CrossRef]
- Teo, C.H.; Phon, B.; Parhar, I. The Role of GnIH in Biological Rhythms and Social Behaviors. Front. Endocrinol. 2021, 2, 1126. [Google Scholar] [CrossRef]
- Tsutsui, K.; Bentley, G.E.; Bedecarrats, G.; Osugi, T.; Ubuka, T.; Kriegsfeld, L.J. Gonadotropin-inhibitory hormone (GnIH) and its control of central and peripheral reproductive function. Front. Neuroendocrinol. 2010, 31, 284–295. [Google Scholar] [CrossRef]
- Tsutsui, K.; Ubuka, T. GnIH control of feeding and reproductive behaviors. Front. Endocrinol. 2016, 7, 170. [Google Scholar] [CrossRef]
- Ubuka, T.; Ukena, K.; Sharp, P.J.; Bentley, G.E.; Tsutsui, K. Gonadotropin-inhibitory hormone inhibits gonadal development and maintenance by decreasing gonadotropin synthesis and release in male quail. Endocrinology 2006, 147, 1187–1194. [Google Scholar] [CrossRef]
- Johnson, M.A.; Tsutsui, K.; Fraley, G.S. Rat RFamide-related peptide-3 stimulates GH secretion, inhibits LH secretion, and has variable effects on sex behavior in the adult male rat. Horm. Behav. 2007, 51, 171–180. [Google Scholar] [CrossRef]
- Ubuka, T.; Inoue, K.; Fukuda, Y.; Mizuno, T.; Ukena, K.; Kriegsfeld, L.J.; Tsutsui, K. Identification, expression, and physiological functions of Siberian hamster gonadotropin-inhibitory hormone. Endocrinology 2012, 153, 373–385. [Google Scholar] [CrossRef]
- Zhang, Y.; Li, S.; Liu, Y.; Lu, D.; Chen, H.; Huang, X.; Liu, X.; Meng, Z.; Lin, H.; Cheng, C.H. Structural diversity of the GnIH/GnIH receptor system in teleost: Its involvement in early development and the negative control of LH release. Peptides 2010, 31, 1034–1043. [Google Scholar] [CrossRef]
- Biswas, S.; Jadhao, A.G.; Pinelli, C.; Palande, N.V.; Tsutsui, K. GnIH and GnRH expressions in the central nervous system and pituitary of Indian major carp, Labeo rohita during ontogeny: An immunocytochemical study. Gen. Comp. Endocrinol. 2015, 220, 88–92. [Google Scholar] [CrossRef]
- Paullada-Salmerón, J.A.; Loentgen, G.H.; Cowan, M.; Aliaga-Guerrero, M.; del Carmen Rendón-Unceta, M.; Muñoz-Cueto, J.A. Developmental changes and day-night expression of the gonadotropin-inhibitory hormone system in the European sea bass: Effects of rearing temperature. Comp. Biochem. Physiol. Part A Mol. Integr. Physiol. 2017, 206, 54–62. [Google Scholar] [CrossRef]
- Di Yorio, M.P.; Sallemi, J.E.; Toledo Solís, F.; Pérez Sirkin, D.I.; Delgadin, T.H.; Tsutsui, K.; Vissio, P.G. Ontogeny of gonadotrophin-inhibitory hormone in the cichlid fish Cichlasoma dimerus. J. Neuroendocrinol. 2018, 30, e12608. [Google Scholar] [CrossRef]
- Kumar, P.; Wisdom, K.; Kumar, G.; Gireesh-Babu, P.; Nayak, S.K.; Nagpure, N.; Sharma, R. Ontogenetic and tissue-specific expression of gonadotropin-inhibitory hormone (GnIH) and its receptors in Catla catla. Mol. Biol. Rep. 2020, 47, 3281–3290. [Google Scholar] [CrossRef]
- Pinelli, C.; Jadhao, A.G.; Bhoyar, R.C.; Tsutsui, K.; D’Aniello, B. Distribution of gonadotropin-inhibitory hormone (GnIH)-like immunoreactivity in the brain and pituitary of the frog (Pelophylax esculentus) during development. Cell Tissue Res. 2020, 380, 115–127. [Google Scholar] [CrossRef]
- Poling, M.C.; Kauffman, A.S. Regulation and function of RFRP-3 (GnIH) neurons during postnatal development. Front. Endocrinol. 2015, 6, 150. [Google Scholar] [CrossRef] [PubMed]
- Semaan, S.J.; Kauffman, A.S. Daily successive changes in reproductive gene expression and neuronal activation in the brains of pubertal female mice. Mol. Cell. Endocrinol. 2015, 401, 84–97. [Google Scholar] [CrossRef] [PubMed]
- Pineda, R.; Garcia-Galiano, D.; Sanchez-Garrido, M.; Romero, M.; Ruiz-Pino, F.; Aguilar, E.; Dijcks, F.; Blomenrohr, M.; Pinilla, L.; Van Noort, P. Characterization of the potent gonadotropin-releasing activity of RF9, a selective antagonist of RF-amide-related peptides and neuropeptide FF receptors: Physiological and pharmacological implications. Endocrinology 2010, 151, 1902–1913. [Google Scholar] [CrossRef] [PubMed]
- Kelestimur, H.; Kacar, E.; Uzun, A.; Ozcan, M.; Kutlu, S. Arg-Phe-amide-related peptides influence gonadotropin-releasing hormone neurons. Neural Regen. Res. 2013, 8, 1714. [Google Scholar] [CrossRef] [PubMed]
- Smith, J.T.; Coolen, L.M.; Kriegsfeld, L.J.; Sari, I.P.; Jaafarzadehshirazi, M.R.; Maltby, M.; Bateman, K.; Goodman, R.L.; Tilbrook, A.J.; Ubuka, T. Variation in kisspeptin and RFamide-related peptide (RFRP) expression and terminal connections to gonadotropin-releasing hormone neurons in the brain: A novel medium for seasonal breeding in the sheep. Endocrinology 2008, 149, 5770–5782. [Google Scholar] [CrossRef]
- Plant, T.M.; Ramaswamy, S.; Simorangkir, D.; Marshall, G.R. Postnatal and pubertal development of the rhesus monkey (Macaca mulatta) testis. Ann. N. Y. Acad. Sci. 2005, 1061, 149–162. [Google Scholar] [CrossRef]
- Shibata, M.; Friedman, R.; Ramaswamy, S.; Plant, T. Evidence that down regulation of hypothalamic KiSS-1 expression is involved in the negative feedback action of testosterone to regulate luteinising hormone secretion in the adult male rhesus monkey (Macaca mulatta). J. Neuroendocrinol. 2007, 19, 432–438. [Google Scholar] [CrossRef]
- Steiner, R.A.; Bremner, W.J. Endocrine correlates of sexual development in the male monkey, Macaca fascicularis. Endocrinology 1981, 109, 914–919. [Google Scholar] [CrossRef]
- Livak, K.J.; Schmittgen, T.D. Analysis of relative gene expression data using real-time quantitative PCR and the 2−ΔΔCT method. Methods 2001, 25, 402–408. [Google Scholar] [CrossRef]
- Thayil, A.J.; Wang, X.; Bhandari, P.; Vom Saal, F.S.; Tillitt, D.E.; Bhandari, R.K. Bisphenol A and 17α-ethinylestradiol-induced transgenerational gene expression differences in the brain–pituitary–testis axis of medaka, Oryzias latipes. Biol. Reprod. 2020, 103, 1324–1335. [Google Scholar] [CrossRef]
- Terasawa, E.; Kurian, J.R. Neuroendocrine mechanism of puberty. In Handbook of Neuroendocrinology; Elsevier: Amsterdam, The Netherlands, 2012; pp. 433–484. [Google Scholar]
- Matsuo, H.; Baba, Y.; Nair, R.G.; Arimura, A.; Schally, A. Structure of the porcine LH-and FSH-releasing hormone. I. The proposed amino acid sequence. Biochem. Biophys. Res. Commun. 1971, 43, 1334–1339. [Google Scholar] [CrossRef]
- De Roux, N.; Genin, E.; Carel, J.-C.; Matsuda, F.; Chaussain, J.-L.; Milgrom, E. Hypogonadotropic hypogonadism due to loss of function of the KiSS1-derived peptide receptor GPR54. Proc. Natl. Acad. Sci. USA 2003, 100, 10972–10976. [Google Scholar] [CrossRef]
- Seminara, S.B.; Messager, S.; Chatzidaki, E.E.; Thresher, R.R.; Acierno, J.S., Jr.; Shagoury, J.K.; Bo-Abbas, Y.; Kuohung, W.; Schwinof, K.M.; Hendrick, A.G. The GPR54 gene as a regulator of puberty. N. Engl. J. Med. 2003, 349, 1614–1627. [Google Scholar] [CrossRef]
- Semple, R.; Achermann, J.; Ellery, J.; Farooqi, I.; Karet, F.; Stanhope, R.; O’Rahilly, S.; Aparicio, S. Two novel missense mutations in g protein-coupled receptor 54 in a patient with hypogonadotropic hypogonadism. J. Clin. Endocrinol. Metab. 2005, 90, 1849–1855. [Google Scholar] [CrossRef]
- Navarro, V.; Castellano, J.; Fernandez-Fernandez, R.; Barreiro, M.; Roa, J.; Sanchez-Criado, J.; Aguilar, E.; Dieguez, C.; Pinilla, L.; Tena-Sempere, M. Developmental and hormonally regulated messenger ribonucleic acid expression of KiSS-1 and its putative receptor, GPR54, in rat hypothalamus and potent luteinizing hormone-releasing activity of KiSS-1 peptide. Endocrinology 2004, 145, 4565–4574. [Google Scholar] [CrossRef]
- Takumi, K.; Iijima, N.; Ozawa, H. Developmental changes in the expression of kisspeptin mRNA in rat hypothalamus. J. Mol. Neurosci. 2011, 43, 138–145. [Google Scholar] [CrossRef]
- Keen, K.L.; Wegner, F.H.; Bloom, S.R.; Ghatei, M.A.; Terasawa, E. An increase in kisspeptin-54 release occurs with the pubertal increase in luteinizing hormone-releasing hormone-1 release in the stalk-median eminence of female rhesus monkeys in vivo. Endocrinology 2008, 149, 4151–4157. [Google Scholar] [CrossRef]
- Ramaswamy, S.; Dwarki, K.; Ali, B.; Gibbs, R.B.; Plant, T.M. The decline in pulsatile GnRH release, as reflected by circulating LH concentrations, during the infant-juvenile transition in the agonadal male rhesus monkey (Macaca mulatta) is associated with a reduction in kisspeptin content of KNDy neurons of the arcuate nucleus in the hypothalamus. Endocrinology 2013, 154, 1845–1853. [Google Scholar]
- De Vries, L.; Shtaif, B.; Phillip, M.; Gat-Yablonski, G. Kisspeptin serum levels in girls with central precocious puberty. Clin. Endocrinol. 2009, 71, 524–528. [Google Scholar] [CrossRef]
- Ukena, K.; Tsutsui, K. Distribution of novel RFamide-related peptide-like immunoreactivity in the mouse central nervous system. Neurosci. Lett. 2001, 300, 153–156. [Google Scholar] [CrossRef]
- Bentley, G.E.; Ubuka, T.; McGuire, N.L.; Chowdhury, V.S.; Morita, Y.; Yano, T.; Hasunuma, I.; Binns, M.; Wingfield, J.C.; Tsutsui, K. Gonadotropin-inhibitory hormone and its receptor in the avian reproductive system. Gen. Comp. Endocrinol. 2008, 156, 34–43. [Google Scholar] [CrossRef] [PubMed]
- Peng, W.; Cao, M.; Chen, J.; Li, Y.; Wang, Y.; Zhu, Z.; Hu, W. GnIH plays a negative role in regulating GtH expression in the common carp, Cyprinus carpio L. Gen. Comp. Endocrinol. 2016, 235, 18–28. [Google Scholar] [CrossRef] [PubMed]
- Bentley, G.E.; Jensen, J.P.; Kaur, G.J.; Wacker, D.W.; Tsutsui, K.; Wingfield, J.C. Rapid inhibition of female sexual behavior by gonadotropin-inhibitory hormone (GnIH). Horm. Behav. 2006, 49, 550–555. [Google Scholar] [CrossRef] [PubMed]
- Wu, M.; Dumalska, I.; Morozova, E.; van den Pol, A.; Alreja, M. Gonadotropin inhibitory hormone (GnIH) innervates, inhibits basal forebrain vGluT2-GnRH neurons via a direct postsynaptic mechanism. J. Physiol. 2009, 587, 1401–1411. [Google Scholar] [CrossRef] [PubMed]
- Ducret, E.; Anderson, G.M.; Herbison, A.E. RFamide-related peptide-3, a mammalian gonadotropin-inhibitory hormone ortholog, regulates gonadotropin-releasing hormone neuron firing in the mouse. Endocrinology 2009, 150, 2799–2804. [Google Scholar] [CrossRef] [PubMed]
- Elmquist, J.K.; Elias, C.F.; Saper, C.B. From lesions to leptin: Hypothalamic control of food intake and body weight. Neuron 1999, 22, 221–232. [Google Scholar] [CrossRef]
- Qu, N.; He, Y.; Wang, C.; Xu, P.; Yang, Y.; Cai, X.; Liu, H.; Yu, K.; Pei, Z.; Hyseni, I. A POMC-originated circuit regulates stress-induced hypophagia, depression, and anhedonia. Mol. Psychiatry 2020, 25, 1006–1021. [Google Scholar] [CrossRef]
- Ben-Jonathan, N.; Hnasko, R. Dopamine as a prolactin (PRL) inhibitor. Endocr. Rev. 2001, 22, 724–763. [Google Scholar] [CrossRef]
- Einarsson, S.; Brandt, Y.; Lundeheim, N.; Madej, A. Stress and its influence on reproduction in pigs: A review. Acta Vet. Scand. 2008, 50, 8. [Google Scholar] [CrossRef]
- Wahab, F.; Atika, B.; Shahab, M. Kisspeptin as a link between metabolism and reproduction: Evidences from rodent and primate studies. Metabolism 2013, 62, 898–910. [Google Scholar] [CrossRef]
- Shamas, S.; Khan, M.Y.; Shabbir, N.; Zubair, H.; Shafqat, S.; Wahab, F.; Shahab, M. Fasting induced kisspeptin signaling suppression is regulated by glutamate mediated cues in adult male rhesus macaque (Macaca mulatta). Neuropeptides 2015, 52, 39–45. [Google Scholar] [CrossRef]
- Shamas, S.; Khan, S.; Shahab, M. Expression of kisspeptin (KISS1), kisspeptin receptor (KISS1R), nmda receptor subunit (NR1) and gaba catalysing enzyme (GAD67) genes in the hypothalamus of male rhesus macaque: Correlative changes with seasonal breeding. Acta Endocrinol. 2015, 11, 18–25. [Google Scholar] [CrossRef]
- Aliberti, P.; Sethi, R.; Belgorosky, A.; Chandran, U.R.; Plant, T.M.; Walker, W.H. Gonadotrophin-mediated miRNA expression in testis at onset of puberty in rhesus monkey: Predictions on regulation of thyroid hormone activity and DLK1-DIO3 locus. MHR Basic Sci. Reprod. Med. 2019, 25, 124–136. [Google Scholar] [CrossRef]
- Wahab, F.; Khan, I.U.; Polo, I.R.; Zubair, H.; Drummer, C.; Shahab, M.; Behr, R. Irisin in the primate hypothalamus and its effect on GnRH in vitro. J. Endocrinol. 2019, 241, 175–187. [Google Scholar] [CrossRef]
- Zubair, H.; Shamas, S.; Ullah, H.; Nabi, G.; Huma, T.; Ullah, R.; Hussain, R.; Shahab, M. Morphometric and Myelin Basic Protein Expression Changes in Arcuate Nucleus Kisspeptin Neurons Underlie Activation of Hypothalamic Pituitary Gonadal-axis in Monkeys (Macaca Mulatta) during the Breeding Season. Endocr. Res. 2022, 47, 113–123. [Google Scholar] [CrossRef]
- Simorangkir, D.; Ramaswamy, S.; Marshall, G.; Roslund, R.; Plant, T. Sertoli cell differentiation in rhesus monkey (Macaca mulatta) is an early event in puberty and precedes attainment of the adult complement of undifferentiated spermatogonia. Reproduction 2012, 143, 513. [Google Scholar] [CrossRef]







| Gene | Accession# | Primer Sequence (5′ to 3′) | Product Length |
|---|---|---|---|
| GnRH | S- 75918 | Rev: TTTCCAGAGCTCCTTTCAGG | 134 |
| For: AGATGCCGAAAATTTGATGG | |||
| Kiss1 | XM-028852143.1 | Rev: TGACTCCTCTGGGGTCTGAA | 141 |
| For: GGACCTGCCGAACTACAACT | |||
| GnIH | NM-001033115.2 | Rev: ATTGGCACATGGTGAATGC | 118 |
| For: CCTCGTGAGACGGGTTCTTA | |||
| GAPDH | NM-001195426.1 | Rev: TTGATGACGAGCTTCCCGTT | 119 |
| For: TGTTGCCATCAATGACCCCT |
Publisher’s Note: MDPI stays neutral with regard to jurisdictional claims in published maps and institutional affiliations. |
© 2022 by the authors. Licensee MDPI, Basel, Switzerland. This article is an open access article distributed under the terms and conditions of the Creative Commons Attribution (CC BY) license (https://creativecommons.org/licenses/by/4.0/).
Share and Cite
Zubair, H.; Saqib, M.; Khan, M.N.; Shamas, S.; Irfan, S.; Shahab, M. Variation in Hypothalamic GnIH Expression and Its Association with GnRH and Kiss1 during Pubertal Progression in Male Rhesus Monkeys (Macaca mulatta). Animals 2022, 12, 3533. https://doi.org/10.3390/ani12243533
Zubair H, Saqib M, Khan MN, Shamas S, Irfan S, Shahab M. Variation in Hypothalamic GnIH Expression and Its Association with GnRH and Kiss1 during Pubertal Progression in Male Rhesus Monkeys (Macaca mulatta). Animals. 2022; 12(24):3533. https://doi.org/10.3390/ani12243533
Chicago/Turabian StyleZubair, Hira, Muhammad Saqib, Muhammad Noman Khan, Shazia Shamas, Shahzad Irfan, and Muhammad Shahab. 2022. "Variation in Hypothalamic GnIH Expression and Its Association with GnRH and Kiss1 during Pubertal Progression in Male Rhesus Monkeys (Macaca mulatta)" Animals 12, no. 24: 3533. https://doi.org/10.3390/ani12243533
APA StyleZubair, H., Saqib, M., Khan, M. N., Shamas, S., Irfan, S., & Shahab, M. (2022). Variation in Hypothalamic GnIH Expression and Its Association with GnRH and Kiss1 during Pubertal Progression in Male Rhesus Monkeys (Macaca mulatta). Animals, 12(24), 3533. https://doi.org/10.3390/ani12243533

