A Preliminary Study on the Siphon Mechanism in Giraffe (Giraffa camelopardalis)
Abstract
Simple Summary
Abstract
1. Introduction
2. Materials and Methods
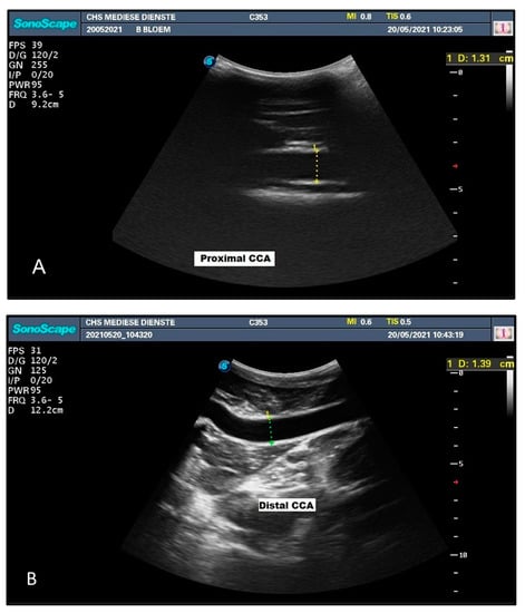
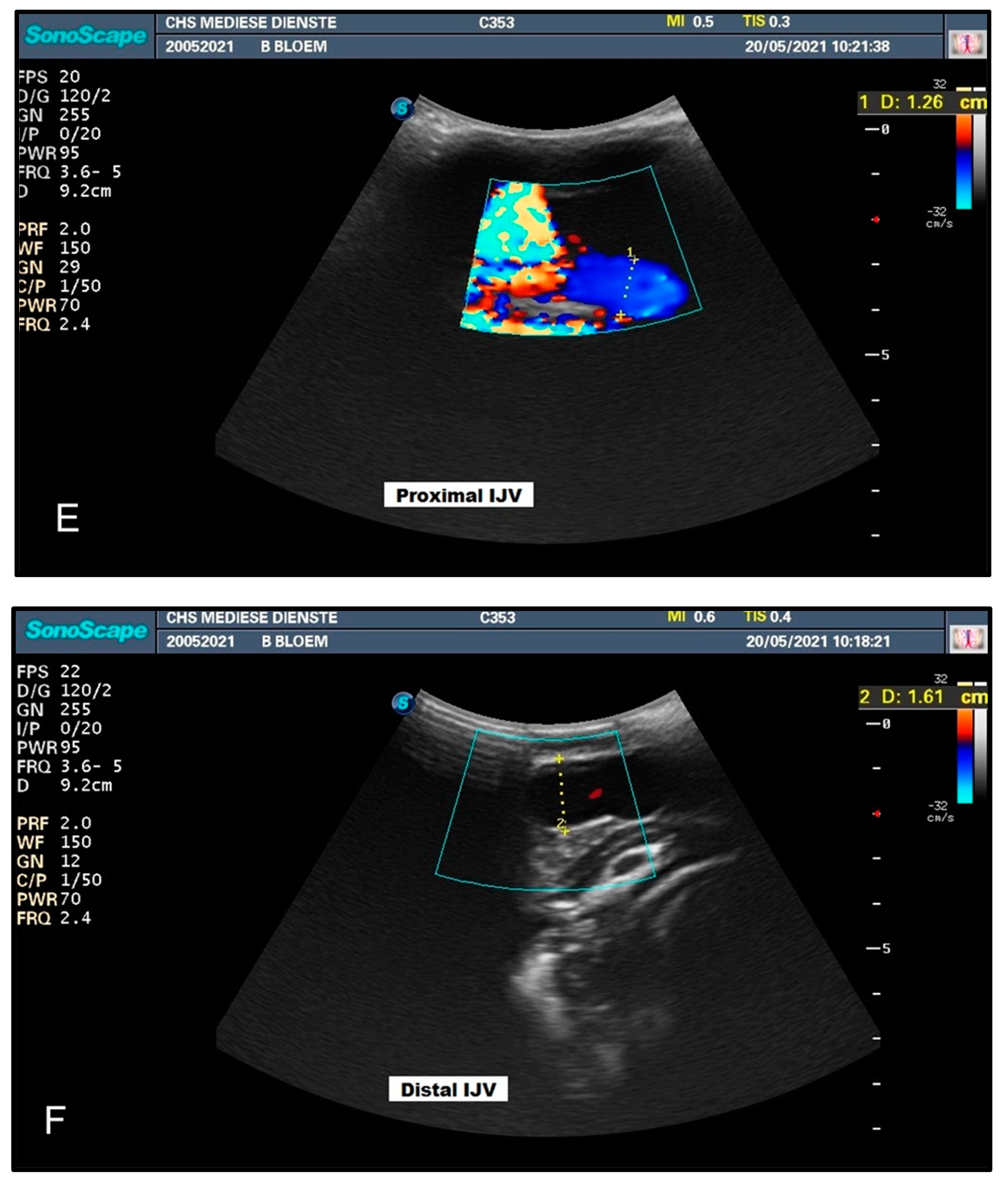
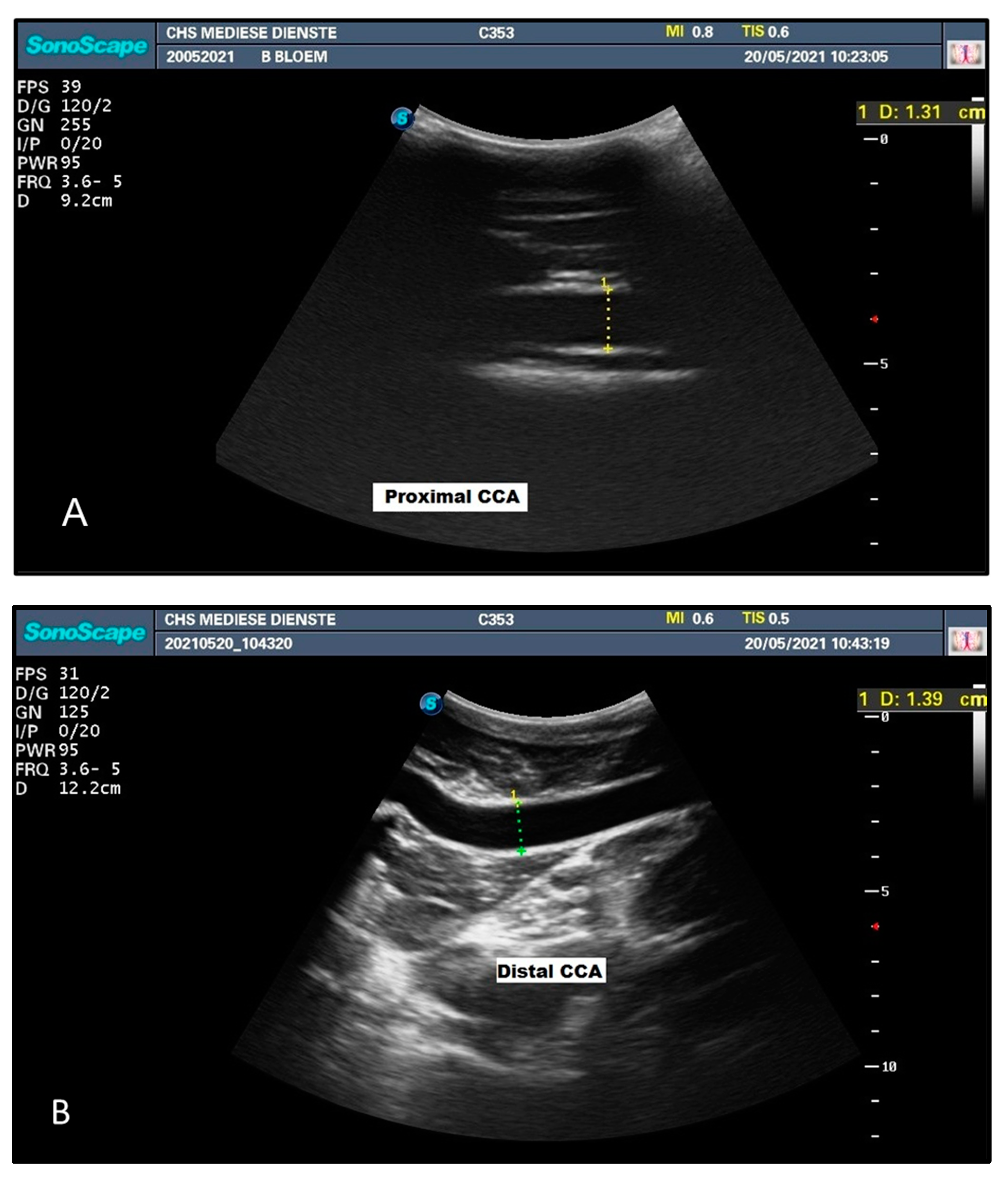
2.1. Experiment Part 1: Measurement of the Carotid Artery and Jugular Vein at Upright Posture
- Giraffes are highly susceptible to capture-related death;
- Restricted accessibility to highly sophisticated and expensive technological equipment to use in the field (none available for animal studies);
- Limited human cardiac radiologists available to operate the human, technical equipment in the field with large herbivores.
2.2. Experiment Part 2: Braincase Measurements
2.3. Experiment Part 3: Blood Flow Simulation
2.4. Statistics
3. Results
3.1. Experiment Part 1: Measurement of the Carotid Artery and Jugular Vein in an Upright Posture
3.2. Experiment Part 2: Braincase Measurements
3.3. Experiment 3: Blood Flow Simulation
4. Discussion
5. Conclusions
Supplementary Materials
Author Contributions
Funding
Institutional Review Board Statement
Informed Consent Statement
Data Availability Statement
Acknowledgments
Conflicts of Interest
References
- Choy DS, J.; Altman, P. The cardiovascular system of Barosaurus: An educated guess. Lancet 1992, 340, 534–536. [Google Scholar] [CrossRef] [PubMed]
- Mitchell, G.; Bobbit, J.P.; Devries, S. Cerebral perfusion pressure in giraffe: Modelling the effects of head-raising and -lowering. J. Theor. Biol. 2008, 252, 98–108. [Google Scholar] [CrossRef] [PubMed]
- Mitchell, G.; Maloney, S.K.; Mitchell, D.; Keegan, D.J. The origin of mean arterial and jugular venous blood pressures in Giraffes. J. Exp. Biol. 2006, 209, 2515–2524. [Google Scholar] [CrossRef] [PubMed]
- Mitchell, G.; Skinner, J.D. How giraffe adapt to their extraordinary shape. Trans. R. Soc. S. Afr. 1993, 48, 207–2108. [Google Scholar] [CrossRef]
- Brondum, E.; Hasenkam, J.M.; Secher, N.H.; Bertelsen, M.F.; Grondahl, C.; Peterson, K.K.; Buhl, R.; Aalkjaer, C.; Baandrup, U.; Nygaard, H.; et al. Jugular venous pooling during lowering of the head affects blood pressure of the anesthetised giraffe. Am J Physiol. Regul. Integr. Comp. Physiol. 2009, 297, R1058–R1065. [Google Scholar] [CrossRef]
- Hicks, J.W.; Munis, J.R. The siphon controversy counterpoint: The brain need not to be “baffling”. Am. J. Physiol. Regul. Integr. Comp. Physiol. 2005, 289, R629–R632. [Google Scholar] [CrossRef]
- Hicks, J.W.; Badeer, H.S. Gravity and the circulation: ‘open’ vs. ‘çlosed’ systems. Am. J. Physiol. 1992, 262, R725–R732. [Google Scholar] [CrossRef]
- Badeer, H.S. Does Gravitational Pressure of Blood Hinder Flow to The Brain of The Giraffe? Comp. Biohem. Physiol. 1986, 83A, 207–211. [Google Scholar] [CrossRef]
- Greenberg, M.S. Handbook of Neurosurgery, 6th ed.; Thieme Publishing: New York, NY, USA, 2006; p. 605. [Google Scholar]
- Lillywhite, H.B.; Seymour, R.S. Heart position in snakes: Response to “Phylogeny, Ecology, and Heart Position in Snakes”. Physiol. Biochem. Zool. 2011, 84, 102–106. [Google Scholar] [CrossRef]
- Seymour, R.S.; Arndt, J.O. Independent effects of heart-head distance and caudal blood pooling on blood pressure regulation in aquatic and terrestrial snakes. J. Exp. Biol. 2004, 207, 1305–1311. [Google Scholar] [CrossRef]
- White, C.R.; Seymour, R.C. The role of gravity in the evolution of mammalian blood pressure. Evolution 2013, 68, 901–908. [Google Scholar] [CrossRef] [PubMed]
- Gisolf, J.; van Lieshout, J.J.; van Heusden, K.; Pott, E.; Stok, W.J.; Karemker, J.M. Human cerebral venous outflow pathway depends on posture and central venous pressure. J. Physiol. 2004, 560, 317–327. [Google Scholar] [CrossRef] [PubMed]
- Hicks, J.W.; Badeer, H.S. Siphon mechanism in collapsible tubes: Application to circulation of giraffe head. Am. J. Physiol. 1989, 256, R567–R571. [Google Scholar] [CrossRef] [PubMed]
- Pedley TJBrook, B.S.; Seymour, R.S. Blood pressure and flow rate in the Giraffe jugular vein. Philos. Trans. Biol. Sci. 1996, 351, 855–866. [Google Scholar]
- Seymour, R.S.; Johansen, K. Blood flow uphill and downhill: Does a siphon facilitate circulation above the heart? Comp. Biochem. Physiol. A 1987, 88, 167–170. [Google Scholar] [CrossRef]
- Seymour, R.S.; Hargens, A.R.; Pedley, T.J. The heart works against gravity. Am. J. Physiol. 1993, 265, R715–R720. [Google Scholar] [CrossRef]
- Valdueza, J.M.; Von Munster, T.; Hoffman, O.; Schreiber, S.; Einhaupl, K.M. Postural dependency of the cerebral venous outflow. Lancet 2000, 355, 200–201. [Google Scholar] [CrossRef]
- Munis, J.R.; Lozada, T.J. Giraffes, siphons and starling resistors, Cerebral perfusion pressure revisited. J. Neurosurg. Anesthesiol. 2000, 1, 290–296. [Google Scholar] [CrossRef]
- Lassen, N.A. Cerebral blood flow and oxygen consumption in man. Physiol. Rev. 1959, 39, 183–238. [Google Scholar] [CrossRef]
- Vedel, G.A.; Holmgaard, F.; Rasmussen, L.S.; Paulson, O.B.; Thomsen, C.; Danielsen, E.R.; Langkilde, A.; Goetze, J.P.; Lange, T.; Nilsson, J.C. Perfusion Pressure Cerebral Infarct (PPCI) trail—The importance of mean arterial pressure during cardiopulmonary bypass to prevent cerebral complications after cardiac surgery: Study protocol for a randomised controlled trial. Trials 2016, 17, 247. [Google Scholar] [CrossRef]
- Sisson, S.; Grossman, J.D. The Anatomy of the Domestic Animals, 6th ed.; WB Saunders: Philadelphia, PA, USA, 1967. [Google Scholar]
- Hughes, S.; Barry, J.; Russel, J.; Bell, R.; Gurung, S. Neck length and mean arterial pressure in the sauropod dinosaurs. J. Exp. Biol. 2016, 219, 1154–1161. [Google Scholar] [CrossRef] [PubMed]
- Hargens, A.R.; Gershuni, D.H.; Danzig, L.A.; Millard, R.W.; Pettersson, K. Tissue Adaptations to gravitational stress: Newborn versus Adult Giraffes. Physiologist 1988, 31, S110–S113. [Google Scholar]
- Seymour, R.S.; Blaylock, A.J. The principle of LaPlace and scaling of ventricular wall stress and blood pressure in mammals and birds. Physiol. Biochem. Zool. 2000, 73, 389–405. [Google Scholar] [CrossRef] [PubMed]
- Bishop, C.M. Heart mass and maximum cardiac output of birds and mammals: Implications for estimating the maximum aerobic power input of flying animals. Philos. Trans. R. Soc. London. Ser. B Biol. Sci. 1997, 352, 447–456. [Google Scholar] [CrossRef]
- Frackowiak, H.; Jakubowski, H. Arterial vascularisation in the giraffe brain. Ann. Zool. Fenn. 2008, 45, 353–359. [Google Scholar] [CrossRef]
- O’Brien, H.D.; Gignac, P.M.; Hieronymus, T.L.; Witmer, L.M. A comparison of postnatal patterns in a growth series of giraffe (Artiodactyla: Giraffa Camelopardalis). Dev. Biol. Evol. Stud. Zool. PeerJ 2016, 4, e1696. [Google Scholar] [CrossRef]
- Albas, A.; Hoogland, P.V.J.M.; Kotze, S.H. A possible thermoregulatory role of the Internal Vertebra Venous plexus in Penguin, Spheniscus demersus. In Proceedings of the 37th Annual Congress of the Anatomical Society of Southern Africa (ASSA), Pretoria, South Africa, 1 April 2007. [Google Scholar]
- Seymour, R.S.; Lillywhite, H.B. Why vascular siphons with sub-atmospheric pressures are physiologically impossible in sauropod dinosaurs. J. Exp. Biol. 2016, 219, 2078–2079. [Google Scholar] [CrossRef]
- Kock, M.D.; Burroughs, R. Chemical and Physical restrain of Wild Animals: A Training and Field manual for African Species, 2nd ed.; IWVS: Greyton, South Africa, 2012. [Google Scholar]
- Deacon, F.; Daffue, W.; Nel, P.; Higgs, R. Effective field immobilisation and capture of giraffe (Giraffa camelopardalis). Animals 2022, 12, 1290. [Google Scholar] [CrossRef]
- Martinez RD, F.; Lamanna, M.C.; Novas, F.E.; Ridgely, R.C.; Casal, G.A.; Martinez, J.E.; Vita, J.R.; Witmer, L.M. A Basal Lithostrotian Titanosaur (Dinosauria: Sauropoda) with a Complete Skull: Implications for the Evolution and Paleobiology of Titanosauria. PLoS ONE 2016, 11, e0151661. [Google Scholar] [CrossRef]
- Ostergaard, K.H.; Bertelsen, M.F.; Brondum, E.T.; Alkjaer, C.; Hasenkam, J.M.; Smerup, M.; Wang, T.; Nyengaard, J.R.; Baandrup, U. Pressure profile and morphology of the arteries along the giraffe limb. J. Comp. Physiol. B 2011, 181, 691–698. [Google Scholar] [CrossRef]
- Peterson, K.K.; Horlyck, A.; Ostergaard, K.H.; Andresen, J.; Skovgaard, N.; Telinius, N.; Laher, I.; Bertelsel, M.F.; Grondahl, C.; Smerup, M.; et al. Protection against high intravascular pressure in giraffe legs. Am. J. Physiol. Regul. Integr. 2013, 305, R1021–R1030. [Google Scholar] [CrossRef] [PubMed]
- Dilenge, D.; Perey, B.; Geraud, G.; Nutik, S. Angiographic demonstration of cervical vertebral venous plexus in man. J. Can. Assoc. Radiol. 1975, 26, 77–81. [Google Scholar] [PubMed]
- Rushmer, R.F.; Beckman, R.L.; Lee, D. Protection of the cerebral circulation by cerebrospinal fluid under the influence of radial acceleration. Am. J. Physiol. 1948, 157, 355–365. [Google Scholar]
- Dawson, E.A.; Secher, N.H.; Dalsgaard, M.K.; Ogoh, S.; Yoshiga, C.C.; Gonzalez-Alonso, J.; Steensberg Aand Raven, P.B. Standing up to the challenge of standing: A siphon does not support cerebral blood flow in humans. Am. J. Physiol. Regul. Integr. Comp. Physiol. 2004, 287, R911–R914. [Google Scholar] [CrossRef] [PubMed]
- Kieltyka-Kurc, A.; Frackowiak, H.; Zdun, M.; Nabzdyk, M.; Kowalczyk, K.; Tokacz, M. The arteries on the base of the brain in the camelids (Camelidae). Ital. J. Zool. 2014, 81, 215–220. [Google Scholar] [CrossRef]
- Melnikov, V.V. The Arterial System of the Sperm Whale (Physeter macrocephalus). J. Morphol. 1997, 234, 37–50. [Google Scholar] [CrossRef]
- Badeer, H.S. Is the flow in the giraffe jugular vein a “free” fall? Comp. Biochem. Physiol. A 1997, 118, 573–576. [Google Scholar] [CrossRef]
- McCalden, T.A.; Borsook, D.; Mendelow, A.D.; Shimell, C.J.; Vos, V.D.; Pieterse, P.C.; Klerk, B.D. Autoregulation and hemodynamics of giraffe carotid blood-flow. S. Afr. J. Sci. 1977, 73, 278–279. [Google Scholar]
- Badeer, H.S.; Hicks, J.W. Circulation to the head of Barosaurus revisited: Theoretical considerations. Comp. Biohem. Physiol. 1996, 114A, 197–203. [Google Scholar] [CrossRef]
- Fukuta, L.; Kudo, H.; Sasaki, M.; Kiura, J.; Ismail Dahlan, B.; Endo, H. Absence of carotid rete mirabile in small tropical ruminants: Implication for the evolution of the arterial system in artiodactyls. J. Anat. 2007, 210, 112–116. [Google Scholar] [CrossRef]
- Aalkjaer, C.; Wang, T. The Remarkable Cardiovascular System of Giraffes. Annu. Rev. Physiol. 2021, 83, 1–15. [Google Scholar] [CrossRef] [PubMed]
- Smerup, M.; Damkjaer, M.; Brondum, E.; Baandrup, U.T.; Kristiansen, S.B.; Nygaard, H.; Funder, J.; Alkjaer, C.; Sauer, C.; Buchanan, R.; et al. The thick left ventricular wall of the giraffe heart normalises wall tension, but limits stroke volume and cardiac output. J. Exp. Biol. 2016, 219, 457–463. [Google Scholar] [CrossRef] [PubMed]
- Maloney, S.K. Thermoregulation in ratites: A review. Aust. J. Exp. Agric. 2008, 48, 1293–1301. [Google Scholar] [CrossRef]
- Corfield, J.R.; Wild, J.M.; Haubner, M.E.; Parsons, S.; Kubke, M.F. Evolution of brain size in the Palaeognath lineage, with an emphasis on New Zealand ratites. Brain Behaviour. Evol. 2008, 71, 87–99. [Google Scholar] [CrossRef]
- Lefebvre, L.; Reader, S.M.; Sol, D. Brains, Innovations and Evolution in Birds and Primates. Brain Behav. Evol. 2004, 63, 233–246. [Google Scholar] [CrossRef]
- Hu, Q.; Nelson, T.J.; Snelling, E.P.; Seymour, R.S. Femoral bone perfusion through the nutrient foramen during growth and locomotor development of western grey kangaroos (Macropus fuliginosus). J. Exp. Biol. 2018, 221, jeb168625. [Google Scholar] [CrossRef]
- Hurlburt, G.R. Relative Brain Size in Recent and Fossil Amniotes: Determination and Interpretation. Ph.D. Thesis, University of Toronto, Toronto, ON, Canada, 1996. [Google Scholar]
- Hopson, J.A. Relative Brain Size and Behaviour in Archosaurian Reptiles. Ann. Rev. Ecol. Syst. 1977, 8, 429–448. [Google Scholar] [CrossRef]
- Jerison, H.J. Brain Evolution and Dinosaur Brains. Am. Nat. 1969, 103, 575–588. [Google Scholar] [CrossRef]
- Lillywhite, H.B.; Donald, J.A. Neural regulation of arterial blood pressure in snakes. Physiol. Zool. 1994, 67, 1260–1283. [Google Scholar] [CrossRef]
- Mitchell, G.; Skinner, J.D. An allometric analysis of the giraffe cardiovascular system. Comp. Biochem. Physiol. Part A Mol. Integr. Physiol. 2009, 154, 523–529. [Google Scholar] [CrossRef]
- O’Brien, H.D. Cranial arterial patterns of the alpaca (Camelidae: Vicugna pacos). R. Soc. Open Sci. 2017, 4, 160967. [Google Scholar] [CrossRef] [PubMed]








| Head Position | Diameter (mm) CCA | Diameter (mm) IJV | ||
|---|---|---|---|---|
| Proximal | Distal | Proximal | Distal | |
| Head Up | 13.8 | 13.9 | 4.6 | 13.9 |
| Head Down | 13.1 | 13.3 | 12.6 | 16.1 |
| (A) | |||
|---|---|---|---|
| Collapsible Tube (L/s) | Non-Collapsible Tube (L/s) | Collapsible Tube with Siphon (L/s) | |
| 1 | 0.075741182 | 0.149476831 | 0.075675676 |
| 2 | 0.076294278 | 0.106253795 | 0.076427558 |
| 3 | 0.075390415 | 0.106415324 | 0.075692042 |
| 4 | 0.075536851 | 0.105389943 | 0.076611579 |
| 5 | 0.075374179 | 0.104963263 | 0.076444250 |
| 6 | 0.075569470 | 0.105948237 | 0.076004343 |
| 7 | 0.076053890 | 0.106788711 | 0.076227812 |
| 8 | 0.075520552 | 0.105932203 | 0.075091182 |
| 9 | 0.075447295 | 0.107874865 | 0.075163750 |
| 10 | 0.075520552 | 0.106756138 | 0.075309306 |
| (B) | |||
| Collapsible Tube (L/s) | Non-Collapsible Tube (L/s) | Collapsible Tube with Siphon (L/s) | |
| 1 | 0.021934635 | 0.085543199 | 0.031357792 |
| 2 | 0.025544648 | 0.083542189 | 0.031535793 |
| 3 | 0.025624131 | 0.080673044 | 0.033929524 |
| 4 | 0.025393601 | 0.084899939 | 0.032800712 |
| 5 | 0.021890049 | 0.079708495 | 0.033695966 |
| 6 | 0.029674848 | 0.087774295 | 0.033103187 |
| 7 | 0.030685604 | 0.085345038 | 0.031206812 |
| 8 | 0.033103187 | 0.083642012 | 0.031826862 |
| 9 | 0.023430178 | 0.084951456 | 0.031783509 |
| 10 | 0.031022868 | 0.085637387 | 0.031544320 |
| Df | Sumsq | Meansq | Statistic | p Value | |
|---|---|---|---|---|---|
| Species | 1 | 0.024 | 0.024 | 669.655 | ≈0 |
| Measure | 2 | 0.027 | 0.013 | 380.667 | ≈0 |
| Species: Measure | 2 | 0.001 | 0.001 | 19.5570 | ≈0 |
| Group 1 | Group 2 | p Value |
|---|---|---|
| Giraffe Non-Collapsible | Giraffe Collapsible | 0.000 |
| Giraffe Siphon | Giraffe Collapsible | 0.003 |
| Giraffe Siphon | Giraffe Non-Collapsible | 0.000 |
| Ostrich Collapsible | Giraffe Collapsible | 0.001 |
| Ostrich Non-Collapsible | Giraffe Non-Collapsible | 0.000 |
| Ostrich Non-Collapsible | Ostrich Collapsible | 0.001 |
| Ostrich Siphon | Ostrich Collapsible | 0.427 |
| Ostrich Siphon | Ostrich Non-Collapsible | 0.000 |
Publisher’s Note: MDPI stays neutral with regard to jurisdictional claims in published maps and institutional affiliations. |
© 2022 by the authors. Licensee MDPI, Basel, Switzerland. This article is an open access article distributed under the terms and conditions of the Creative Commons Attribution (CC BY) license (https://creativecommons.org/licenses/by/4.0/).
Share and Cite
van der Walt, M.S.; Daffue, W.; Goedhals, J.; van der Merwe, S.; Deacon, F. A Preliminary Study on the Siphon Mechanism in Giraffe (Giraffa camelopardalis). Animals 2022, 12, 3348. https://doi.org/10.3390/ani12233348
van der Walt MS, Daffue W, Goedhals J, van der Merwe S, Deacon F. A Preliminary Study on the Siphon Mechanism in Giraffe (Giraffa camelopardalis). Animals. 2022; 12(23):3348. https://doi.org/10.3390/ani12233348
Chicago/Turabian Stylevan der Walt, Marna Suzanne, Willem Daffue, Jacqueline Goedhals, Sean van der Merwe, and Francois Deacon. 2022. "A Preliminary Study on the Siphon Mechanism in Giraffe (Giraffa camelopardalis)" Animals 12, no. 23: 3348. https://doi.org/10.3390/ani12233348
APA Stylevan der Walt, M. S., Daffue, W., Goedhals, J., van der Merwe, S., & Deacon, F. (2022). A Preliminary Study on the Siphon Mechanism in Giraffe (Giraffa camelopardalis). Animals, 12(23), 3348. https://doi.org/10.3390/ani12233348

