Effects of N-acetylcysteine on Growth, Viability, and Ultrastructure of In Vitro Cultured Bovine Secondary Follicles
Abstract
Simple Summary
Abstract
1. Introduction
2. Material and Methods
2.1. Ovarian Collection
2.2. Isolation and Culture of Secondary Follicles
2.3. Evaluation of Secondary Follicle Morphology, Growth, and Antrum Formation
2.4. Assessment of Secondary Follicle Viability by Fluorescence Microscopy
2.5. Ultrastructural Analysis of Secondary Follicles
2.6. Statistical Analysis
3. Results
3.1. Effects of NAC on Follicle Growth, Morphology, and Antrum Formation
3.2. Effects of NAC on Follicular Viability
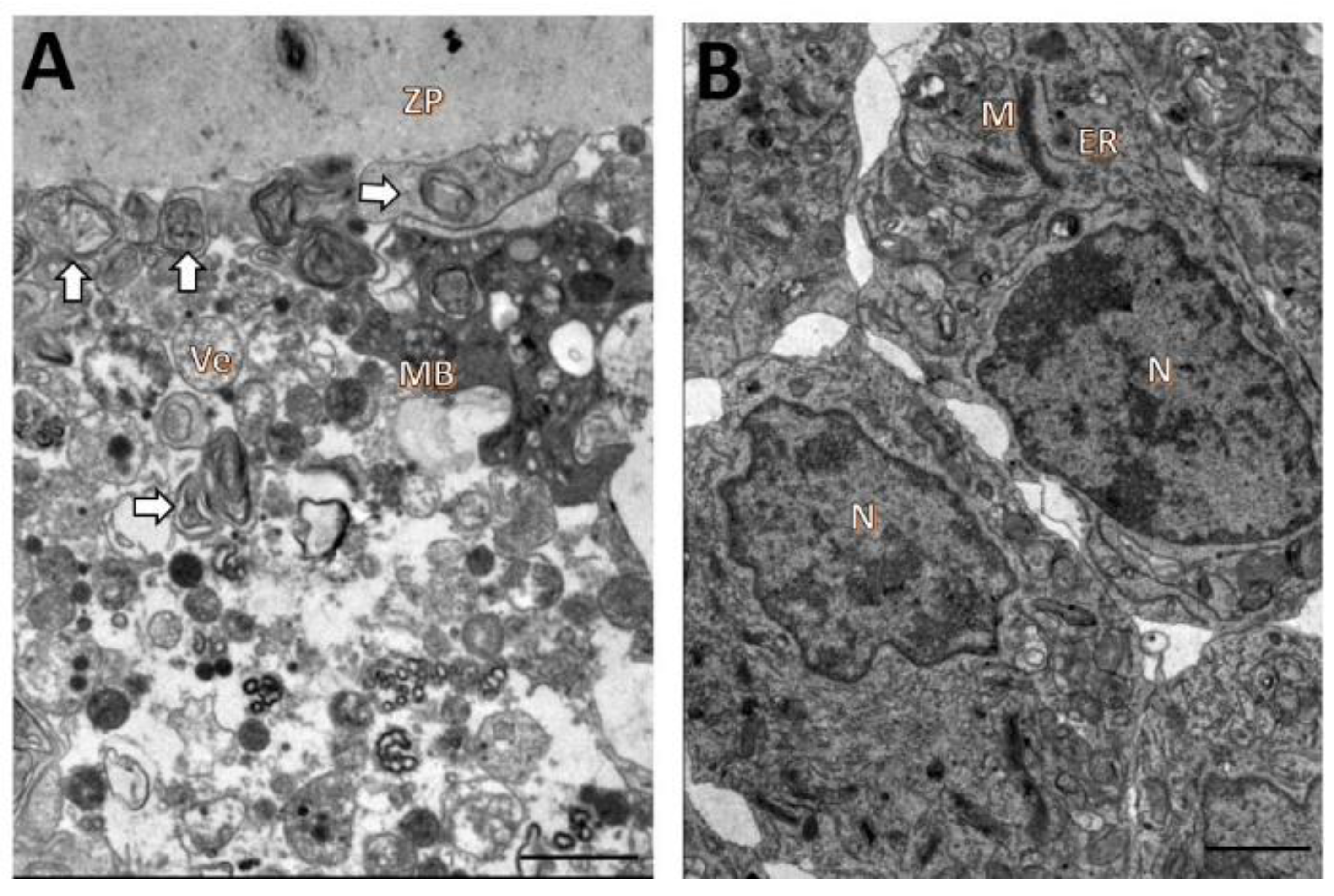
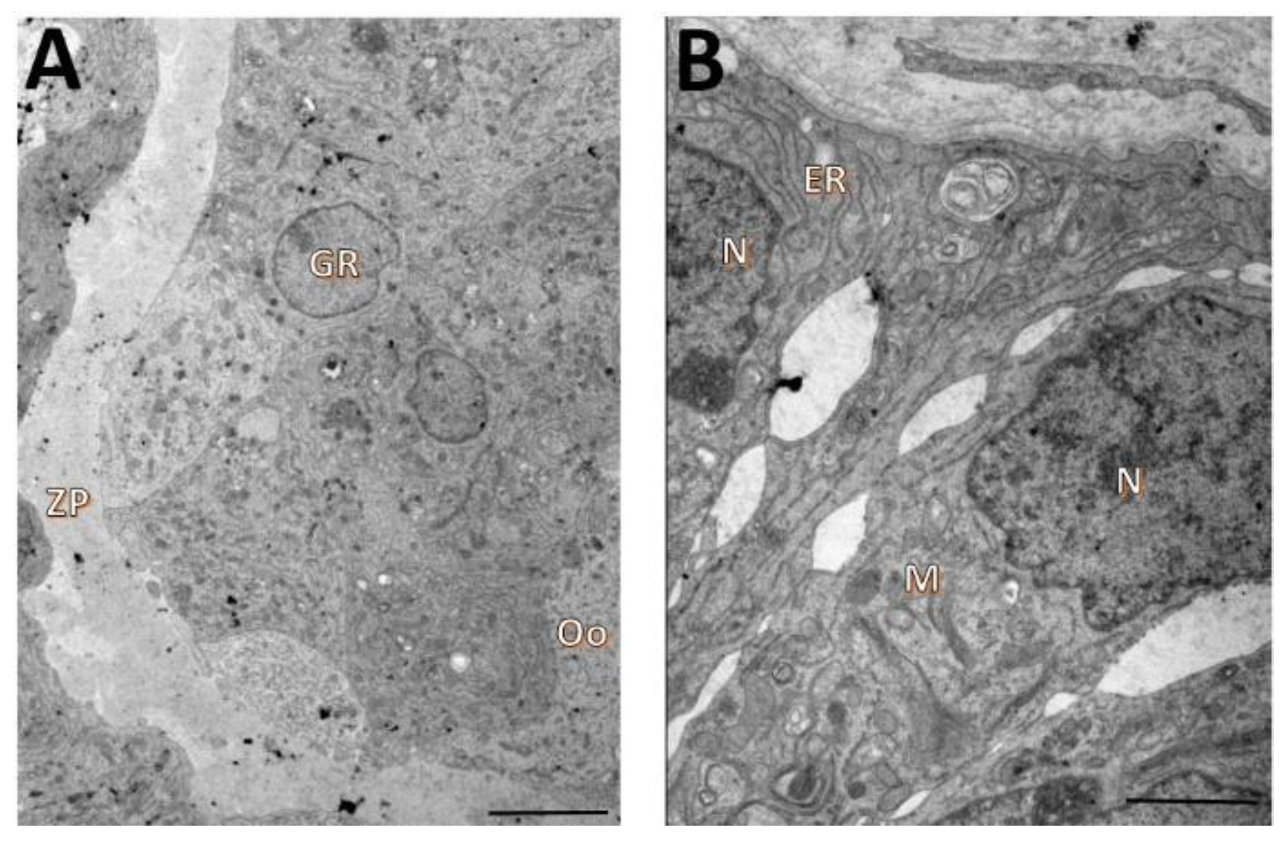
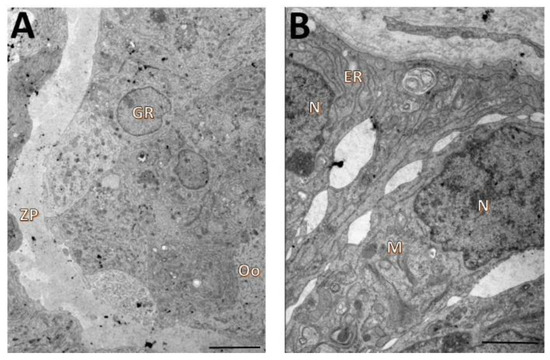
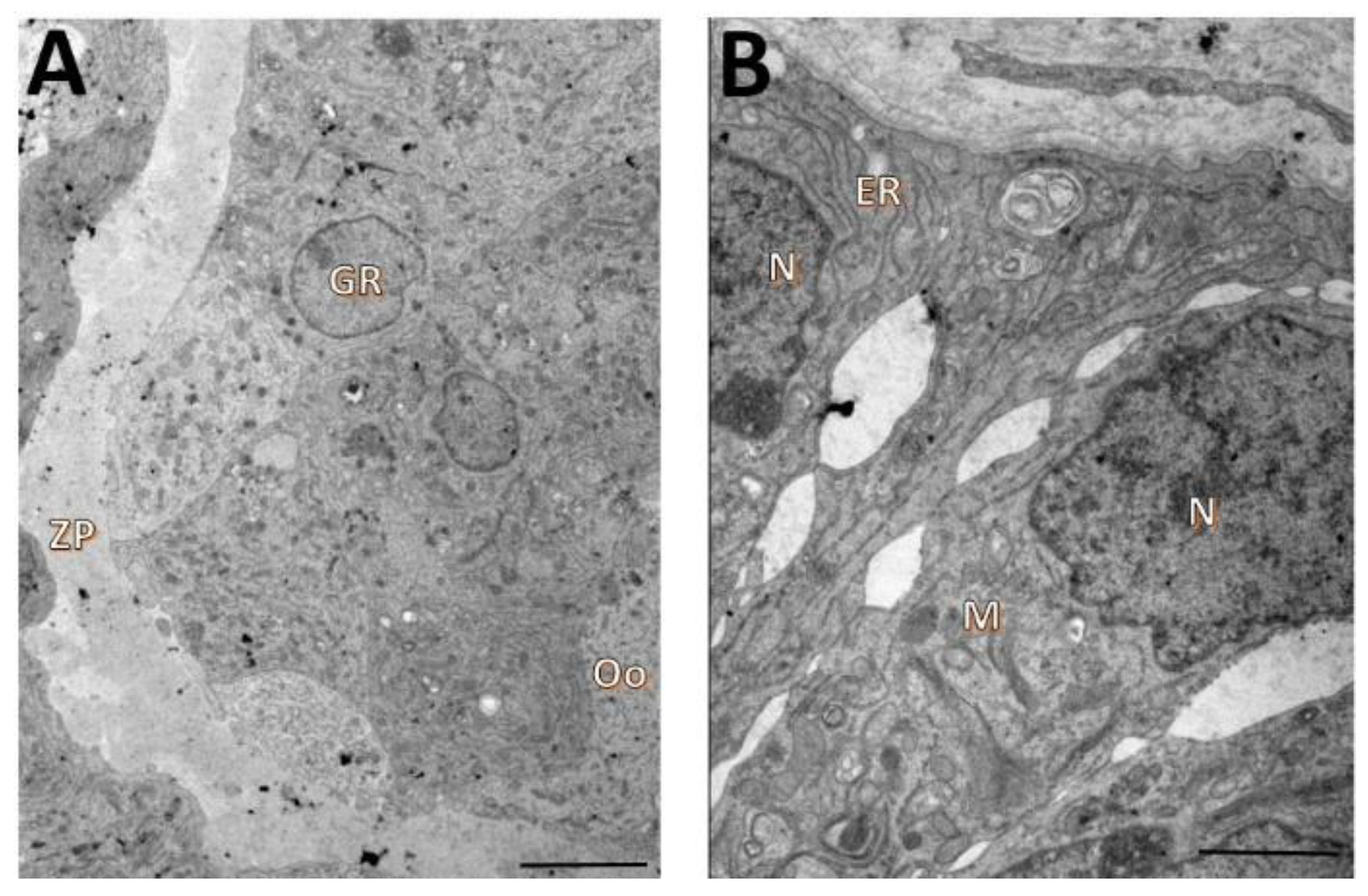
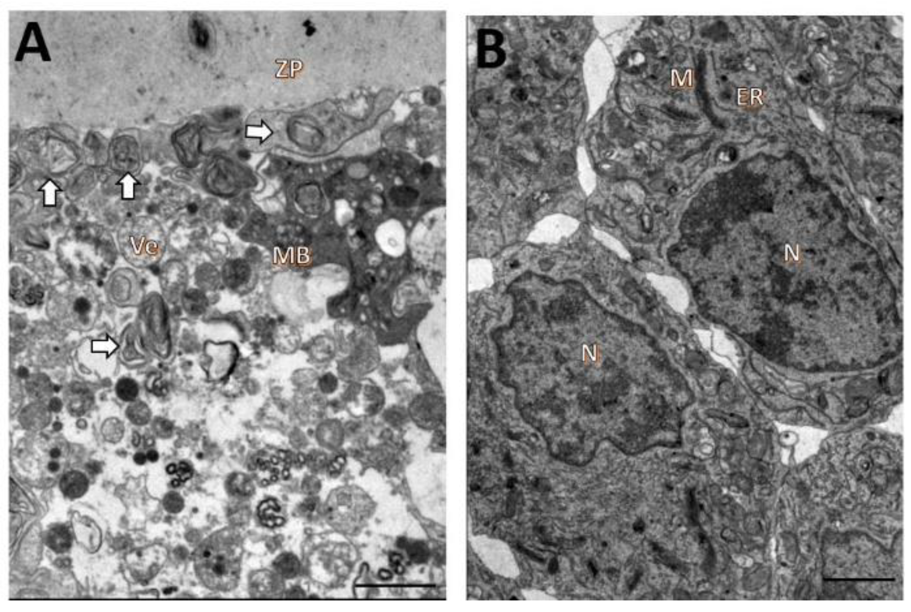
3.3. Ultrastructural Characteristics of Secondary Follicles
4. Discussion
5. Conclusions
Author Contributions
Funding
Institutional Review Board Statement
Data Availability Statement
Conflicts of Interest
References
- Araújo, V.R.; Gastal, M.O.; Figueiredo, J.R.; Gastal, E.L. In vitro culture of bovine preantral follicles: A review. Reprod. Biol. Endocrinol. 2014, 12, 1–14. [Google Scholar] [CrossRef] [PubMed]
- Ferreira, A.C.A.; Cadenas, J.; Sá, N.A.R.; Correia, H.H.V.; Guerreiro, D.D.; Lobo, C.H.; Alves, B.G.; Maside, C.; Gastal, E.L.; Rodrigues, A.P.R.; et al. In vitro culture of isolated preantral and antral follicles of goats using human recombinant FSH: Concentration-dependent and stage-specific effect. Anim. Reprod. Sci. 2018, 196, 120–129. [Google Scholar] [CrossRef] [PubMed]
- De Figueiredo, J.R.; Lima, L.F.; Silva, J.R.; Santos, R.R. Control of growth and development of preantral follicle: Insights from in vitro culture. Anim. Reprod. 2018, 15 (Suppl. 1), 648–659. [Google Scholar] [CrossRef] [PubMed]
- Figueiredo, J.R.; Cadenas, J.; de Lima, L.F.; Santos, R.R. Advances in in vitro folliculogenesis in domestic ruminants. Anim. Reprod. 2019, 16, 52. [Google Scholar] [CrossRef]
- Paulino, L.R.; Cunha, E.V.; Barbalho Silva, A.W.; Souza, G.B.; Lopes, E.P.F.; Donato, M.A.M.; Peixoto, C.A.; Matos-Brito, B.G.; van den Hurk, R.; Silva, J.R.V. Effects of tumour necrosis factor-alpha and interleukin-1 beta on in vitro development of bovine secondary follicles. Reprod. Domest. Anim. 2018, 53, 997–1005. [Google Scholar] [CrossRef]
- Paulino, L.R.; de Assis, E.I.; Azevedo, V.A.; Silva, B.R.; da Cunha, E.V.; Silva, J.R. Why is it so difficult to have competent oocytes from in vitro cultured preantral follicles? Reprod. Sci. 2022, 1–14. [Google Scholar] [CrossRef]
- da Cunha, E.V.; Melo, L.R.F.; Sousa, G.B.; Araújo, V.R.; Vasconcelos, G.L.; Silva, A.W.B.; Silva, J.R.V. Effect of bone morphogenetic proteins 2 and 4 on survival and development of bovine secondary follicles cultured in vitro. Theriogenology 2018, 110, 44–51. [Google Scholar] [CrossRef]
- Vasconcelos, E.M.; Costa, F.C.; Azevedo, A.V.N.; Barroso, P.A.A.; de Assis, E.I.T.; Paulino, L.R.F.M.; Silva, B.R.; Silva, A.W.B.; Souza, A.L.P.; Silva, J.R.V. Eugenol influences the expression of messenger RNAs for superoxide dismutase and glutathione peroxidase 1 in bovine secondary follicles cultured in vitro. Zygote 2021, 29, 301–306. [Google Scholar] [CrossRef]
- Lins, T.L.B.G.; Cavalcante, A.Y.P.; Santos, J.M.S.; Menezes, V.G.; Barros, V.R.P.; Barberino, R.S.; Bezerra, M.É.S.; Macedo, T.J.S.; Matos, M.H.T. Rutin can replace the use of three other antioxidants in the culture medium, maintaining the viability of sheep isolated secondary follicles. Theriogenology 2017, 89, 263–270. [Google Scholar] [CrossRef]
- Sies, H. Hydrogen peroxide as a central redox signaling molecule in physiological oxidative stress: Oxidative eustress. Redox Biol. 2017, 11, 613–619. [Google Scholar] [CrossRef]
- Sá, N.A.R.; Bruno, J.B.; Guerreiro, D.D.; Cadenas, J.; Alves, B.G.; Cibin, F.W.S.; Leal-Cardoso, J.H.; Gastal, E.L.; Figueiredo, J.R. Anethole reduces oxidative stress and improves in vitro survival and activation of primordial follicles. Braz. J. Med. Biol. Res. 2018, 51, e7129. [Google Scholar] [CrossRef] [PubMed]
- Yang, H.; Xie, Y.; Yang, D.; Ren, D. Oxidative stress-induced apoptosis in granulosa cells involves JNK, p53 and Puma. Oncotarget 2017, 8, 25310. [Google Scholar] [CrossRef] [PubMed]
- Shi, L.; Zhang, J.; Lai, Z.; Tian, Y.; Fang, L.; Wu, M.; Xiong, J.; Qin, X.; Luo, A.; Wang, S. Long-term moderate oxidative stress decreased ovarian reproductive function by reducing follicle quality and progesterone production. PLoS ONE 2016, 11, e0162194. [Google Scholar] [CrossRef] [PubMed]
- Barrozo, L.G.; Paulino, L.R.F.M.; Silva, B.R.; Barbalho, E.C.; Nascimento, D.R.; Neto, M.F.L.; Silva, J.R.V. N-acetyl-cysteine and the control of oxidative stress during in vitro ovarian follicle growth, oocyte maturation, embryo development and cryopreservation. Anim. Reprod. Sci. 2021, 231, 106801. [Google Scholar] [CrossRef]
- Pei, Y.; Liu, H.; Yang, Y.; Yang, Y.; Jiao, Y.; Tay, F.R.; Chen, J. Biological activities and potential oral applications of N-acetylcysteine: Progress and prospects. Oxidative Med. Cell. Longev. 2018, 2018, 2835787. [Google Scholar] [CrossRef]
- Whitaker, B.D.; Casey, S.J.; Taupier, R. The effects of N-acetyl-L-cysteine supplementation on in vitro porcine oocyte maturation and subsequent fertilisation and embryonic development. Reprod. Fertil. Dev. 2012, 24, 1048–1054. [Google Scholar] [CrossRef]
- Cheraghi, E.; Soleimani Mehranjani, M.; Shariatzadeh, S.M.A.; Nasr Esfahani, M.H.; Alani, B. N-acetylcysteine compared to metformin, improves the expression profile of growth differentiation factor-9 and receptor tyrosine kinase c-kit in the oocytes of patients with polycystic ovarian syndrome. Int. J. Fertil. Steril. 2018, 11, 270. [Google Scholar] [CrossRef]
- Bhardwaj, J.K.; Saraf, P. N-acetyl-l-cysteine mediated regulation of DNA fragmentation, an apoptotic event, against methoxychlor toxicity in the granulosa cells of ovarian antral follicles. Mutat. Res./Genet. Toxicol. Environ. Mutagen. 2020, 858, 503222. [Google Scholar] [CrossRef]
- Olesen, H.Ø.; Pors, S.E.; Jensen, L.B.; Grønning, A.P.; Lemser, C.E.; Nguyen Heimbürger, M.T.H.; Mamsen, L.S.; Getreu, N.; Christensen, S.T.; Andersen, C.Y.; et al. N-acetylcysteine protects ovarian follicles from ischemia-reperfusion injury in xenotransplanted human ovarian tissue. Hum. Reprod. 2021, 36, 429–443. [Google Scholar] [CrossRef]
- Fabbri, R.; Pasquinelli, G.; Montanaro, L.; Mozzanega, B.; Magnani, V.; Tamburini, F.; Venturoli, S.; Keane, D. Healthy early preantral follicle can be obtained in a culture of frozen-thawed human ovarian tissue of 32 weeks. Ultrastruct. Pathol. 2007, 31, 257–262. [Google Scholar] [CrossRef]
- Van Der Hoek, K.H.; Woodhouse, C.M.; Brännström, M.; Norman, R.J. Effects of interleukin (IL)-6 on luteinizing hormone- and IL-1β- induced ovulation and steroidogenesis in the rat ovary. Biol. Reprod. 1998, 58, 1266–1271. [Google Scholar] [CrossRef] [PubMed]
- Silva, E.; Greene, A.F.; Strauss, K.; Herrick, J.R.; Schoolcraft, W.B.; Krisher, R.L. Antioxidant supplementation during in vitro culture improves mitochondrial function and development of embryos from aged female mice. Reprod. Fertil. Dev. 2015, 27, 975–983. [Google Scholar] [CrossRef] [PubMed]
- Matilla, E.; Martín-Cano, F.E.; González-Fernández, L.; Sánchez-Margallo, F.M.; Álvarez, I.S.; MacÍas-García, B. N-acetylcysteine addition after vitrification improves oocyte mitochondrial polarization status and the quality of embryos derived from vitrified murine oocytes. BMC Vet. Res. 2019, 15, 31. [Google Scholar] [CrossRef] [PubMed]
- Yi, D.; Hou, Y.; Wang, L.; Long, M.; Hu, S.; Mei, H.; Yan, L.; Hu, C.A.A.; Wu, G. N-acetylcysteine stimulates protein synthesis in enterocytes independently of glutathione synthesis. Amino Acids 2016, 48, 523–533. [Google Scholar] [CrossRef] [PubMed]
- Mukherjee, A.; Malik, H.; Saha, A.P.; Dubey, A.; Singhal, D.K.; Boateng, S.; Saugandhika, S.; Kumar, S.; De, S.; Guha, S.K.; et al. Resveratrol treatment during goat oocytes maturation enhances developmental competence of parthenogenetic and hand-made cloned blastocysts by modulating intracellular glutathione level and embryonic gene expression. J. Assist. Reprod. Genet. 2014, 31, 229–239. [Google Scholar] [CrossRef]
- Kunnavatana, S.S.; Quan, S.Y.; Koch, R.J. Combined effect of hyberbaric oxygen and N-acetylcysteine on fibroblast proliferation. Arch. Otolaryngol.-Head Neck Surg. 2005, 131, 809–814. [Google Scholar] [CrossRef][Green Version]
- Xiong, L.; Sun, J.; Hirche, C.; Yang, J.; Yang, Y.; Xia, Y.; Lehnhardt, M.; Wang, R.; Fu, X. In vitro n-acetyl-l-cysteine promotes proliferation and suppresses interleukin-8 expression in adipose-derived stem cells. Aesthetic Plast. Surg. 2012, 36, 1260–1265. [Google Scholar] [CrossRef]
- Kim, E.C.; Meng, H.; Jun, A.S. N-Acetylcysteine increases corneal endothelial cell survival in a mouse model of Fuchs endothelial corneal dystrophy. Exp. Eye Res. 2014, 127, 20–25. [Google Scholar] [CrossRef]
- Terluk, M.R.; Ebeling, M.C.; Fisher, C.R.; Kapphahn, R.J.; Yuan, C.; Kartha, R.V.; Montezuma, S.R.; Ferrington, D.A. N-Acetyl-L-cysteine protects human retinal pigment epithelial cells from oxidative damage: Implications for age-related macular degeneration. Oxidative Med. Cell. Longev. 2019, 2019, 5174957. [Google Scholar] [CrossRef]
- Ding, H.; Yang, Y.; Wei, S.; Spicer, L.J.; Kenéz, Á.; Xu, W.; Liu, Y.; Feng, T. Influence of N-acetylcysteine on steroidogenesis and gene expression in porcine placental trophoblast cells. Theriogenology 2021, 161, 49–56. [Google Scholar] [CrossRef]
- Sun, W.S.; Jang, H.; Park, M.R.; Oh, K.B.; Lee, H.; Hwang, S.; Xu, L.J.; In-Sul, H.; Lee, J.W. N-acetyl-L-cysteine improves the developmental competence of in vitro cultured bovine oocytes and embryos, attenuating oxidative damage and apoptosis. Antioxidants 2021, 10, 860. [Google Scholar] [CrossRef] [PubMed]
- De Clerck, L.S.; Bridts, C.H.; Mertens, A.M.; Moens, M.M.; Stevens, W.J. Use of fluorescent dyes in the determination of adherence of human leucocytes to endothelial cells and the effect of fluorochromes on cellular function. J. Immunol. Methods 1994, 172, 115–124. [Google Scholar] [CrossRef]
- Oesch-Bartlomowicz, B.; Oesch, F. Mechanisms of toxification and detoxification which challenge drug candidates and drugs. Compr. Med. Chem. II 2008, 5, 193–214. [Google Scholar] [CrossRef]
- Pathak, D.; Bansal, N. Histoenzymic studies on the ovary of Indian buffalo during different reproductive stages. Buffalo Bull. 2019, 38, 19–33. [Google Scholar]
- Calvo, R.; Espinosa, M.; Figueroa, D.; Pozo, L.M.; Conget, P. Assessment of cell viability of fresh osteochondral allografts in N-acetylcysteine-enriched medium. Cartilage 2020, 11, 117–121. [Google Scholar] [CrossRef]
- Sanfilippo, S.; Canis, M.; Ouchchane, L.; Botchorishvili, R.; Artonne, C.; Janny, L.; Brugnon, F. Viability assessment of fresh and frozen/thawed isolated human follicles: Reliability of two methods (Trypan blue and Calcein AM/ethidium homodimer-1). J. Assist. Reprod. Genet. 2011, 28, 1151–1156. [Google Scholar] [CrossRef]
- Finn, N.A.; Kemp, M.L. Pro-oxidant and antioxidant effects of N-acetylcysteine regulate doxorubicin-induced NF-kappa B activity in leukemic cells. Mol. BioSyst. 2012, 8, 650–662. [Google Scholar] [CrossRef]
- Halliwell, B. The wanderings of a free radical. Free. Radic. Biol. Med. 2009, 46, 531–542. [Google Scholar] [CrossRef]
- Xanthis, V.; Fitsiou, E.; Voulgaridou, G.P.; Bogadakis, A.; Chlichlia, K.; Galanis, A.; Pappa, A. Antioxidant and cytoprotective potential of the essential oil pistacia lentiscus var. Chia and its major components myrcene and α-pinene. Antioxidants 2021, 10, 127. [Google Scholar] [CrossRef]
- Sagristá, M.L.; GarcÍa, A.F.; Africa De Madariaga, M.; Mora, M. Antioxidant and pro-oxidant effect of the thiolic compounds N-acetyl-L-cysteine and glutathione against free radical-induced lipid peroxidation. Free. Radic. Res. 2002, 36, 329–340. [Google Scholar] [CrossRef]
- Ates, B.; Abraham, L.; Ercal, N. Antioxidant and free radical scavenging properties of N-acetylcysteine amide (NACA) and comparison with N-acetylcysteine (NAC). Free. Radic. Res. 2008, 42, 372–377. [Google Scholar] [CrossRef] [PubMed]
- Sasaki, H.; Hamatani, T.; Kamijo, S.; Iwai, M.; Kobanawa, M.; Ogawa, S.; Miyado, K.; Tanaka, M. Impact of oxidative stress on age-associated decline in oocyte developmental competence. Front. Endocrinol. 2019, 10, 811. [Google Scholar] [CrossRef] [PubMed]
- Silva, J.R.V.; Báo, S.N.; Lucci, C.M.; Carvalho, F.C.A.; Andrade, E.R.; Ferreira, M.A.L.; Figueiredo, J.R. Morphological and ultrastructural changes occurring during degeneration of goat preantral follicles preserved in vitro. Anim. Reprod. Sci. 2001, 66, 209–223. [Google Scholar] [CrossRef][Green Version]
- Soto-Heras, S.; Paramio, M.-T. Impact of oxidative stress on oocyte competence for in vitro embryo production programs. Res. Vet. Sci. 2020, 132, 342–350. [Google Scholar] [CrossRef] [PubMed]
- Figueiredo, J.R.; Hulshof, S.C.J.; Van den Hurk, R.; Nusgens, B.; Bevers, M.M.; Ectors, F.J.; Beckers, J.F. Preservation of oocyte and granulosa cell morphology in bovine preantral follicles cultured in vitro. Theriogenology 1994, 41, 1333–1346. [Google Scholar] [CrossRef]
- Braw-Tal, R.; Yossefi, S. Studies in vivo and in vitro on the initiation of follicle growth in the bovine ovary. Reproduction 1997, 109, 165–171. [Google Scholar] [CrossRef]
- Rajakoski, E. The ovarian follicular system in sexually mature heifers with special reference to seasonal, cyclical, and left-right variations. Acta Endocrinol. 1960, 34 (Suppl. 3), S7–S68. [Google Scholar] [CrossRef]
- Rodgers, R.J.; Irving-Rodgers, H.F. Morphological classification of bovine ovarian follicles. Reproduction 2010, 139, 309. [Google Scholar] [CrossRef]
- Kassouri-Maouche, S.; Boukenaoui-Ferrouk, N.; Charallah, S.; Moudilou, E.; Chakhma, A.; Exbrayat, J.-M.; Amirat, Z.; Khammar, F. Atretic ovarian follicles morphology and immunolocalization of active caspase-3 in Algerian Bedouin goat (Capra hircus) ovaries. Kafkas Univ. Vet. Fak. Derg. 2018, 25, 147–156. [Google Scholar] [CrossRef]
- Meng, L.; Jan, S.Z.; Hamer, G.; van Pelt, A.M.; van der Stelt, I.; Keijer, J.; Teerds, K.J. Preantral follicular atresia occurs mainly through autophagy, while antral follicles degenerate mostly through apoptosis. Biol. Reprod. 2018, 99, 853–863. [Google Scholar] [CrossRef]
- Mizushima, N.; Komatsu, M. Autophagy: Renovation of cells and tissues. Cell 2011, 147, 728–741. [Google Scholar] [CrossRef] [PubMed]
- Gannon, A.M.; Stämpfli, M.R.; Foster, W.G. Cigarette smoke exposure leads to follicle loss via an alternative ovarian cell death pathway in a mouse model. Toxicol. Sci. 2012, 125, 274–284. [Google Scholar] [CrossRef] [PubMed]
- Furlong, H.C.; Stämpfli, M.R.; Gannon, A.M.; Foster, W.G. Cigarette smoke exposure triggers the autophagic cascade via activation of the AMPK pathway in mice. Biol. Reprod. 2015, 93, 1–10. [Google Scholar] [CrossRef] [PubMed]






| Treatments | Morphologically Normal Follicles | Antrum Formation | Growing Follicles |
|---|---|---|---|
| TCM-199+ | 97.97% (97/99) | 20.20% (20/99) | 62.63% (62/99) a |
| NAC 1.0 mM | 100.00% (101/101) | 29.70% (30/101) | 76.24% (77/101) b |
| NAC 5.0 mM | 100.00% (99/99) | 24.24% (24/99) | 54.55% (54/99) ac |
| NAC 25.0 mM | 98.98% (98/99) | 29.29% (29/99) | 47.47% (47/99) c |
| Treatments | Day 0 | Day 18 | Growth Day 0–18 | Daily Growth Average (μm) |
|---|---|---|---|---|
| TCM-199+ | 203.69 ± 3.52 a (n = 62) | 279.46 ± 8.21 b (n = 62) | 75.77 ± 7.46 | 4.21 ± 0.41 |
| NAC 1.0 mM | 201.76 ± 3.04 a (n = 77) | 280.77 ± 8.76 b (n = 77) | 82.80 ± 8.51 | 4.39 ± 0.43 |
| NAC 5.0 mM | 203.40 ± 3.41 a (n = 54) | 265.92 ± 8.17 b (n = 54) | 66.42± 8.41 | 3.46 ± 0.41 |
| NAC 25.0 mM | 210.95 ± 4.15 a (n = 47) | 271.18 ± 8.81 b (n = 47) | 60.24 ± 7.63 | 3.34 ± 0.42 |
Publisher’s Note: MDPI stays neutral with regard to jurisdictional claims in published maps and institutional affiliations. |
© 2022 by the authors. Licensee MDPI, Basel, Switzerland. This article is an open access article distributed under the terms and conditions of the Creative Commons Attribution (CC BY) license (https://creativecommons.org/licenses/by/4.0/).
Share and Cite
Nascimento, D.R.; Azevedo, V.A.N.; Barroso, P.A.A.; Barrozo, L.G.; Silva, B.R.; Silva, A.W.B.; Donato, M.A.M.; Peixoto, C.A.; Silva, J.R.V. Effects of N-acetylcysteine on Growth, Viability, and Ultrastructure of In Vitro Cultured Bovine Secondary Follicles. Animals 2022, 12, 3190. https://doi.org/10.3390/ani12223190
Nascimento DR, Azevedo VAN, Barroso PAA, Barrozo LG, Silva BR, Silva AWB, Donato MAM, Peixoto CA, Silva JRV. Effects of N-acetylcysteine on Growth, Viability, and Ultrastructure of In Vitro Cultured Bovine Secondary Follicles. Animals. 2022; 12(22):3190. https://doi.org/10.3390/ani12223190
Chicago/Turabian StyleNascimento, Danisvânia R., Venância A. N. Azevedo, Pedro A. A. Barroso, Laryssa G. Barrozo, Bianca R. Silva, Anderson W. B. Silva, Mariana A. M. Donato, Christina A. Peixoto, and José R. V. Silva. 2022. "Effects of N-acetylcysteine on Growth, Viability, and Ultrastructure of In Vitro Cultured Bovine Secondary Follicles" Animals 12, no. 22: 3190. https://doi.org/10.3390/ani12223190
APA StyleNascimento, D. R., Azevedo, V. A. N., Barroso, P. A. A., Barrozo, L. G., Silva, B. R., Silva, A. W. B., Donato, M. A. M., Peixoto, C. A., & Silva, J. R. V. (2022). Effects of N-acetylcysteine on Growth, Viability, and Ultrastructure of In Vitro Cultured Bovine Secondary Follicles. Animals, 12(22), 3190. https://doi.org/10.3390/ani12223190

