Clostridium butyricum and Its Culture Supernatant Alleviate the Escherichia coli-Induced Endometritis in Mice
Abstract
Simple Summary
Abstract
1. Introduction
2. Materials and Methods
2.1. Animals
2.2. Materials
2.3. Preparation of the Culture Supernatants of C. butyricum
2.4. Uterine Infusion
2.5. Experimental Design
2.6. Body Temperature and Weight Measurement
2.7. Histopathological Examination of the Uterine Tissues
2.8. Uterine Bacterial Loads Examination
2.9. ELISA Assay
2.10. Evaluation of Mice Reproductive Outcomes
2.11. Western Blotting Assay
2.12. Statistical Analysis
3. Results
3.1. Body Temperature and Body Weight Analysis
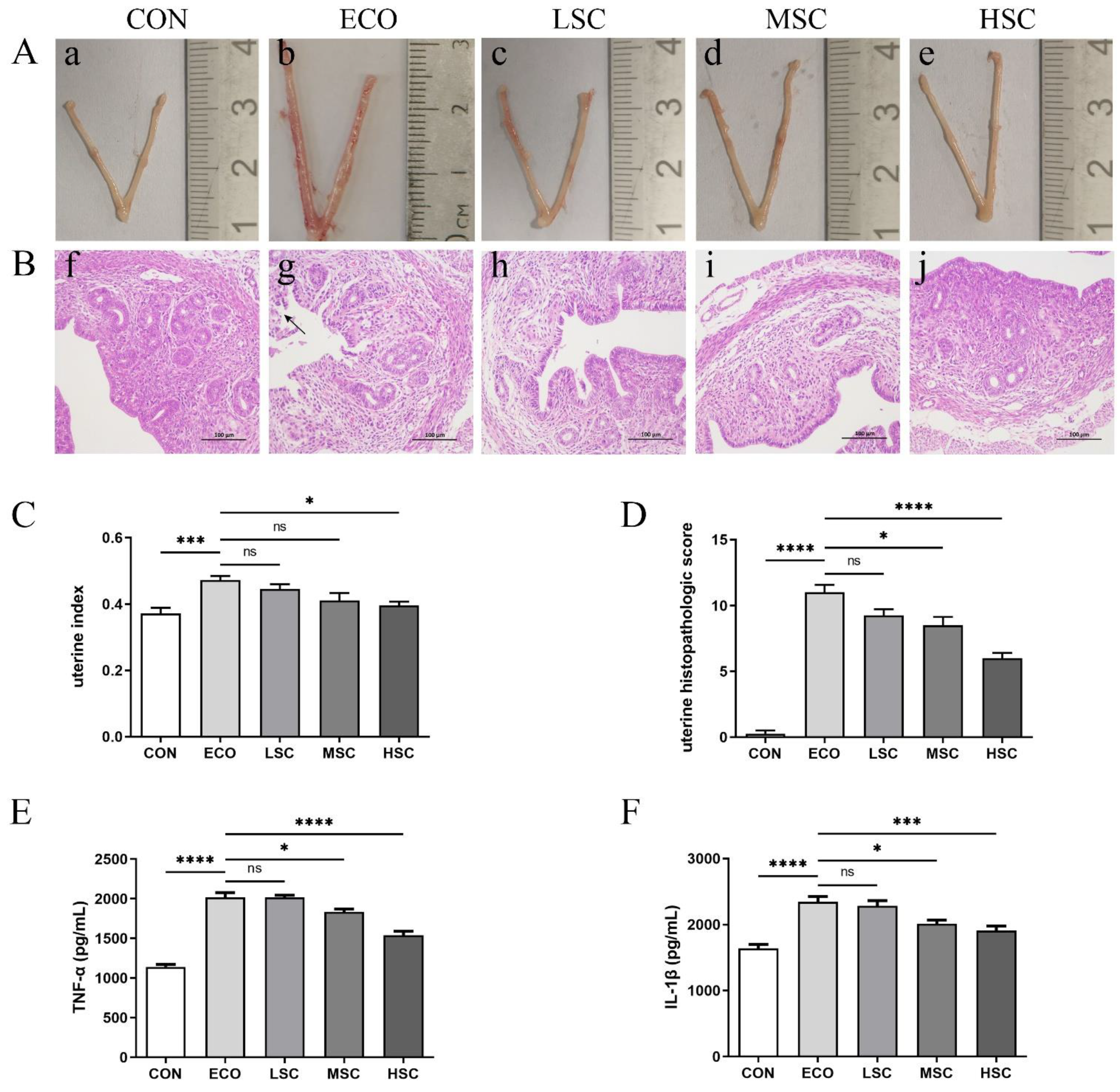
3.2. C. butyricum and Its Culture Supernatant Alleviated Inflammatory Response of the Uterine Tissues Induced by E. coli
3.3. C. butyricum and Its Culture Supernatant Alleviated Pro-Inflammatory Cytokines of the Uterine Tissues Induced by E. coli
3.4. C. butyricum and Its Culture Supernatant Reduced the Bacterial Load of the Mouse Uterus
3.5. C. butyricum and Its Culture Supernatant Restore Reproduction Outcome in E. coli-Induced Endometritis Mice
3.6. C. butyricum Culture Supernatant Attenuates E. coli-Induced Endometritis in a Concentration-Dependent Manner
3.7. C. butyricum and Its Culture Supernatant Inhibited the Activation of the NF-κB Signaling Pathway Induced by E. coli
4. Discussion
5. Conclusions
Supplementary Materials
Author Contributions
Funding
Institutional Review Board Statement
Informed Consent Statement
Data Availability Statement
Conflicts of Interest
References
- Ravel, J.; Moreno, I.; Simón, C. Bacterial Vaginosis and Its Association with Infertility, Endometritis, and Pelvic Inflammatory Disease. Am. J. Obstet. Gynecol. 2021, 224, 251–257. [Google Scholar] [CrossRef] [PubMed]
- Sheldon, I.M.; Cronin, J.G.; Bromfield, J.J. Tolerance and Innate Immunity Shape the Development of Postpartum Uterine Disease and the Impact of Endometritis in Dairy Cattle. Annu. Rev. Anim. Biosci. 2019, 7, 361–384. [Google Scholar] [CrossRef] [PubMed]
- Wang, M.-L.; Liu, M.-C.; Xu, J.; An, L.-G.; Wang, J.-F.; Zhu, Y.-H. Uterine Microbiota of Dairy Cows With Clinical and Subclinical Endometritis. Front. Microbiol. 2018, 9, 2691. [Google Scholar] [CrossRef] [PubMed]
- Pascottini, O.B.; Van Schyndel, S.J.; Spricigo, J.F.; Rousseau, J.; Weese, J.S.; LeBlanc, S.J. Dynamics of Uterine Microbiota in Postpartum Dairy Cows with Clinical or Subclinical Endometritis. Sci Rep 2020, 10, 12353. [Google Scholar] [CrossRef] [PubMed]
- Wagener, K.; Grunert, T.; Prunner, I.; Ehling-Schulz, M.; Drillich, M. Dynamics of Uterine Infections with Escherichia Coli, Streptococcus Uberis and Trueperella Pyogenes in Post-Partum Dairy Cows and Their Association with Clinical Endometritis. Vet. J. 2014, 202, 527–532. [Google Scholar] [CrossRef] [PubMed]
- Paiano, R.B.; Bonilla, J.; Moreno, A.M.; Baruselli, P.S. Clinical Endometritis with Trueperella Pyogenes Reduces Reproductive Performance and Milk Production in Dairy Cows. Reprod Domest. Anim. 2021, 56, 1536–1542. [Google Scholar] [CrossRef] [PubMed]
- Galvão, K.N.; Bicalho, R.C.; Jeon, S.J. Symposium Review: The Uterine Microbiome Associated with the Development of Uterine Disease in Dairy Cows. J. Dairy Sci. 2019, 102, 11786–11797. [Google Scholar] [CrossRef]
- Hu, X.; Wang, M.; Pan, Y.; Xie, Y.; Han, J.; Zhang, X.; Niayale, R.; He, H.; Li, Q.; Zhao, T.; et al. Anti-Inflammatory Effect of Astragalin and Chlorogenic Acid on Escherichia Coli-Induced Inflammation of Sheep Endometrial Epithelium Cells. Front. Vet. Sci. 2020, 7, 201. [Google Scholar] [CrossRef]
- Lima, F.S.; Vieira-Neto, A.; Vasconcellos, G.S.F.M.; Mingoti, R.D.; Karakaya, E.; Solé, E.; Bisinotto, R.S.; Martinez, N.; Risco, C.A.; Galvão, K.N.; et al. Efficacy of Ampicillin Trihydrate or Ceftiofur Hydrochloride for Treatment of Metritis and Subsequent Fertility in Dairy Cows. J. Dairy Sci. 2014, 97, 5401–5414. [Google Scholar] [CrossRef]
- Microdilution Antimicrobial Susceptibilities of Selected Gram-Negative Veterinary Bacterial Isolates. Available online: https://journals.sagepub.com/doi/epdf/10.1177/104063879300500407 (accessed on 29 September 2022).
- Lehtolainen, T.; Shwimmer, A.; Shpigel, N.Y.; Honkanen-Buzalski, T.; Pyörälä, S. In Vitro Antimicrobial Susceptibility of Escherichia Coli Isolates from Clinical Bovine Mastitis in Finland and Israel. J. Dairy Sci. 2003, 86, 3927–3932. [Google Scholar] [CrossRef]
- Credille, B.C.; Giguère, S.; Vickroy, T.W.; Fishman, H.J.; Jones, A.L.; Mason, M.E.; DiPietro, R.O.; Ensley, D.T. Disposition of Ampicillin Trihydrate in Plasma, Uterine Tissue, Lochial Fluid, and Milk of Postpartum Dairy Cattle. J. Vet. Pharmacol. Ther. 2015, 38, 330–335. [Google Scholar] [CrossRef]
- Drillich, M.; Beetz, O.; Pfützner, A.; Sabin, M.; Sabin, H.-J.; Kutzer, P.; Nattermann, H.; Heuwieser, W. Evaluation of a Systemic Antibiotic Treatment of Toxic Puerperal Metritis in Dairy Cows. J. Dairy Sci. 2001, 84, 2010–2017. [Google Scholar] [CrossRef]
- Dubuc, J.; Fauteux, V.; Villettaz-Robichaud, M.; Roy, J.-P.; Rousseau, M.; Buczinski, S. Short Communication: Efficacy of a Second Intrauterine Cephapirin Infusion for the Treatment of Purulent Vaginal Discharge and Endometritis in Postpartum Dairy Cows. J. Dairy Sci. 2021, 104, 3559–3563. [Google Scholar] [CrossRef]
- Heppelmann, M.; Volland, J.; Pfarrer, C.; Kietzmann, M.; Bäumer, W.; Merbach, S.; Schoon, H.-A.; Wellnitz, O.; Schmicke, M.; Hoedemaker, M.; et al. Effects of Oxytocin and PGF2α on Uterine Contractility in Cows with and without Metritis—An in-Vitro Study. Anim. Reprod. Sci. 2018, 188, 144–154. [Google Scholar] [CrossRef]
- Homayouni Rad, A.; Aghebati Maleki, L.; Samadi Kafil, H.; Abbasi, A. Postbiotics: A Novel Strategy in Food Allergy Treatment. Crit. Rev. Food Sci. Nutr. 2021, 61, 492–499. [Google Scholar] [CrossRef]
- Celiberto, L.S.; Bedani, R.; Rossi, E.A.; Cavallini, D.C.U. Probiotics: The Scientific Evidence in the Context of Inflammatory Bowel Disease. Crit. Rev. Food Sci. Nutr. 2015, 57, 1759–1768. [Google Scholar] [CrossRef]
- Genís, S.; Cerri, R.L.A.; Bach, À.; Silper, B.F.; Baylão, M.; Denis-Robichaud, J.; Arís, A. Pre-Calving Intravaginal Administration of Lactic Acid Bacteria Reduces Metritis Prevalence and Regulates Blood Neutrophil Gene Expression After Calving in Dairy Cattle. Front. Vet. Sci. 2018, 5, 135. [Google Scholar] [CrossRef]
- Genís, S.; Bach, À.; Fàbregas, F.; Arís, A. Potential of Lactic Acid Bacteria at Regulating Escherichia Coli Infection and Inflammation of Bovine Endometrium. Theriogenology 2016, 85, 625–637. [Google Scholar] [CrossRef]
- Stoeva, M.K.; Garcia-So, J.; Justice, N.; Myers, J.; Tyagi, S.; Nemchek, M.; McMurdie, P.J.; Kolterman, O.; Eid, J. Butyrate-Producing Human Gut Symbiont, Clostridium Butyricum, and Its Role in Health and Disease. Gut Microbes 2021, 13, 1907272. [Google Scholar] [CrossRef]
- Ariyoshi, T.; Hagihara, M.; Tomono, S.; Eguchi, S.; Minemura, A.; Miura, D.; Oka, K.; Takahashi, M.; Yamagishi, Y.; Mikamo, H. Clostridium Butyricum MIYAIRI 588 Modifies Bacterial Composition under Antibiotic-Induced Dysbiosis for the Activation of Interactions via Lipid Metabolism between the Gut Microbiome and the Host. Biomedicines 2021, 9, 1065. [Google Scholar] [CrossRef]
- Hagihara, M.; Kuroki, Y.; Ariyoshi, T.; Higashi, S.; Fukuda, K.; Yamashita, R.; Matsumoto, A.; Mori, T.; Mimura, K.; Yamaguchi, N.; et al. Clostridium Butyricum Modulates the Microbiome to Protect Intestinal Barrier Function in Mice with Antibiotic-Induced Dysbiosis. iScience 2020, 23, 100772. [Google Scholar] [CrossRef]
- Li, Y.; Liu, M.; Liu, H.; Sui, X.; Liu, Y.; Wei, X.; Liu, C.; Cheng, Y.; Ye, W.; Gao, B.; et al. The Anti-Inflammatory Effect and Mucosal Barrier Protection of Clostridium Butyricum RH2 in Ceftriaxone-Induced Intestinal Dysbacteriosis. Front. Cell. Infect. Microbiol. 2021, 11, 647048. [Google Scholar] [CrossRef]
- Melaku, M.; Zhong, R.; Han, H.; Wan, F.; Yi, B.; Zhang, H. Butyric and Citric Acids and Their Salts in Poultry Nutrition: Effects on Gut Health and Intestinal Microbiota. IJMS 2021, 22, 10392. [Google Scholar] [CrossRef]
- Zhang, W.; Li, A.; Pan, Y.; Wang, F.; Li, M.; Liang, Y.; Yao, X.; Song, J.; Song, M.; Jiang, G. Tetrabromobisphenol A Induces THR β-Mediated Inflammation and Uterine Injury in Mice at Environmentally Relevant Exposure Concentrations. J. Hazard. Mater. 2021, 407, 124859. [Google Scholar] [CrossRef]
- Suez, J.; Zmora, N.; Segal, E.; Elinav, E. The Pros, Cons, and Many Unknowns of Probiotics. Nat. Med. 2019, 25, 716–729. [Google Scholar] [CrossRef]
- Melara, E.G.; Avellaneda, M.C.; Valdivié, M.; García-Hernández, Y.; Aroche, R.; Martínez, Y. Probiotics: Symbiotic Relationship with the Animal Host. Animals 2022, 12, 719. [Google Scholar] [CrossRef]
- Bordalo Tonucci, L.; Dos Santos, K.M.O.; De Luces Fortes Ferreira, C.L.; Ribeiro, S.M.R.; De Oliveira, L.L.; Martino, H.S.D. Gut Microbiota and Probiotics: Focus on Diabetes Mellitus. Crit. Rev. Food Sci. Nutr. 2017, 57, 2296–2309. [Google Scholar] [CrossRef]
- Peter, S.; Gärtner, M.A.; Michel, G.; Ibrahim, M.; Klopfleisch, R.; Lübke-Becker, A.; Jung, M.; Einspanier, R.; Gabler, C. Influence of Intrauterine Administration of Lactobacillus Buchneri on Reproductive Performance and Pro-Inflammatory Endometrial MRNA Expression of Cows with Subclinical Endometritis. Sci. Rep. 2018, 8, 5473. [Google Scholar] [CrossRef]
- Liu, M.; Wu, Q.; Wang, M.; Fu, Y.; Wang, J. Lactobacillus Rhamnosus GR-1 Limits Escherichia Coli-Induced Inflammatory Responses via Attenuating MyD88-Dependent and MyD88-Independent Pathway Activation in Bovine Endometrial Epithelial Cells. Inflammation 2016, 39, 1483–1494. [Google Scholar] [CrossRef]
- Deng, Q.; Odhiambo, J.F.; Farooq, U.; Lam, T.; Dunn, S.M.; Ametaj, B.N. Intravaginal Lactic Acid Bacteria Modulated Local and Systemic Immune Responses and Lowered the Incidence of Uterine Infections in Periparturient Dairy Cows. PLoS ONE 2015, 10, e0124167. [Google Scholar] [CrossRef]
- Ariyoshi, T.; Hagihara, M.; Takahashi, M.; Mikamo, H. Effect of Clostridium Butyricum on Gastrointestinal Infections. Biomedicines 2022, 10, 483. [Google Scholar] [CrossRef] [PubMed]
- Armengol, R.; Fraile, L. Comparison of Two Treatment Strategies for Cows with Metritis in High-Risk Lactating Dairy Cows. Theriogenology 2015, 83, 1344–1351. [Google Scholar] [CrossRef] [PubMed]
- Hu, X.; Guo, J.; Xu, M.; Jiang, P.; Yuan, X.; Zhao, C.; Maimai, T.; Cao, Y.; Zhang, N.; Fu, Y. Clostridium Tyrobutyricum Alleviates Staphylococcus Aureus-Induced Endometritis in Mice by Inhibiting Endometrial Barrier Disruption and Inflammatory Response. Food Funct. 2019, 10, 6699–6710. [Google Scholar] [CrossRef] [PubMed]
- Bicalho, M.L.S.; Santin, T.; Rodrigues, M.X.; Marques, C.E.; Lima, S.F.; Bicalho, R.C. Dynamics of the Microbiota Found in the Vaginas of Dairy Cows during the Transition Period: Associations with Uterine Diseases and Reproductive Outcome. J. Dairy Sci. 2017, 100, 3043–3058. [Google Scholar] [CrossRef] [PubMed]
- Hayashi, A.; Nagao-Kitamoto, H.; Kitamoto, S.; Kim, C.H.; Kamada, N. The Butyrate-Producing Bacterium Clostridium Butyricum Suppresses Clostridioides Difficile Infection via Neutrophil- and Antimicrobial Cytokine-Dependent but GPR43/109a-Independent Mechanisms. J. Immunol. 2021, 206, 1576–1585. [Google Scholar] [CrossRef] [PubMed]
- LeBlanc, S.J. Postpartum Uterine Disease and Dairy Herd Reproductive Performance: A Review. Vet. J. 2008, 176, 102–114. [Google Scholar] [CrossRef]
- Meimandipour, A.; Shuhaimi, M.; Soleimani, A.F.; Azhar, K.; Hair-Bejo, M.; Kabeir, B.M.; Javanmard, A.; Muhammad Anas, O.; Yazid, A.M. Selected Microbial Groups and Short-Chain Fatty Acids Profile in a Simulated Chicken Cecum Supplemented with Two Strains of Lactobacillus. Poult Sci. 2010, 89, 470–476. [Google Scholar] [CrossRef]
- Hsiao, Y.-P.; Chen, H.-L.; Tsai, J.-N.; Lin, M.-Y.; Liao, J.-W.; Wei, M.-S.; Ko, J.-L.; Ou, C.-C. Administration of Lactobacillus Reuteri Combined with Clostridium Butyricum Attenuates Cisplatin-Induced Renal Damage by Gut Microbiota Reconstitution, Increasing Butyric Acid Production, and Suppressing Renal Inflammation. Nutrients 2021, 13, 2792. [Google Scholar] [CrossRef]
- Mishiro, T.; Kusunoki, R.; Otani, A.; Ansary, M.M.U.; Tongu, M.; Harashima, N.; Yamada, T.; Sato, S.; Amano, Y.; Itoh, K.; et al. Butyric Acid Attenuates Intestinal Inflammation in Murine DSS-Induced Colitis Model via Milk Fat Globule-EGF Factor 8. Lab. Investig. 2013, 93, 834–843. [Google Scholar] [CrossRef]
- Liu, J.; Guo, S.; Jiang, K.; Zhang, T.; Zhiming, W.; Yaping, Y.; Jing, Y.; Shaukat, A.; Deng, G. MiR-488 Mediates Negative Regulation of the AKT/NF-κB Pathway by Targeting Rac1 in LPS-induced Inflammation. J. Cell Physiol. 2020, 235, 4766–4777. [Google Scholar] [CrossRef]
- Yu, H.; Lin, L.; Zhang, Z.; Zhang, H.; Hu, H. Targeting NF-ΚB Pathway for the Therapy of Diseases: Mechanism and Clinical Study. Signal Transduct. Target. 2020, 5, 209. [Google Scholar] [CrossRef]
- Wang, F.; Chen, S.; Deng, L.; Chen, L.; Huang, Y.; Tian, M.; Li, C.; Zhou, X. Protective Effects of Astragaloside IV against LPS-Induced Endometritis in Mice through Inhibiting Activation of the NF-ΚB, P38 and JNK Signaling Pathways. Molecules 2019, 24, 373. [Google Scholar] [CrossRef]







Publisher’s Note: MDPI stays neutral with regard to jurisdictional claims in published maps and institutional affiliations. |
© 2022 by the authors. Licensee MDPI, Basel, Switzerland. This article is an open access article distributed under the terms and conditions of the Creative Commons Attribution (CC BY) license (https://creativecommons.org/licenses/by/4.0/).
Share and Cite
Mun, C.; Cai, J.; Hu, X.; Zhang, W.; Zhang, N.; Cao, Y. Clostridium butyricum and Its Culture Supernatant Alleviate the Escherichia coli-Induced Endometritis in Mice. Animals 2022, 12, 2719. https://doi.org/10.3390/ani12192719
Mun C, Cai J, Hu X, Zhang W, Zhang N, Cao Y. Clostridium butyricum and Its Culture Supernatant Alleviate the Escherichia coli-Induced Endometritis in Mice. Animals. 2022; 12(19):2719. https://doi.org/10.3390/ani12192719
Chicago/Turabian StyleMun, Cholryong, Jiapei Cai, Xiaoyu Hu, Wenlong Zhang, Naisheng Zhang, and Yongguo Cao. 2022. "Clostridium butyricum and Its Culture Supernatant Alleviate the Escherichia coli-Induced Endometritis in Mice" Animals 12, no. 19: 2719. https://doi.org/10.3390/ani12192719
APA StyleMun, C., Cai, J., Hu, X., Zhang, W., Zhang, N., & Cao, Y. (2022). Clostridium butyricum and Its Culture Supernatant Alleviate the Escherichia coli-Induced Endometritis in Mice. Animals, 12(19), 2719. https://doi.org/10.3390/ani12192719

