Reproductive Potential of Stone Moroko (Pseudorasbora parva, Temminck et Schlegel, 1846) (Teleostei: Cypriniformes: Gobionidae) Inhabiting Central Europe
Abstract
Simple Summary
Abstract
1. Introduction
2. Materials and Methods
2.1. Location and Sampling
2.2. Physicochemical Parameters of Water
2.3. Histological Slide Preparation and Fecundity
2.4. Statistical Analysis
3. Results
3.1. Physicochemical Parameters of Water
3.2. Length, Weight, CF, Gonad Weight, GSI
3.2.1. Female
3.2.2. Male
3.3. Sexual Cycle
3.3.1. Female
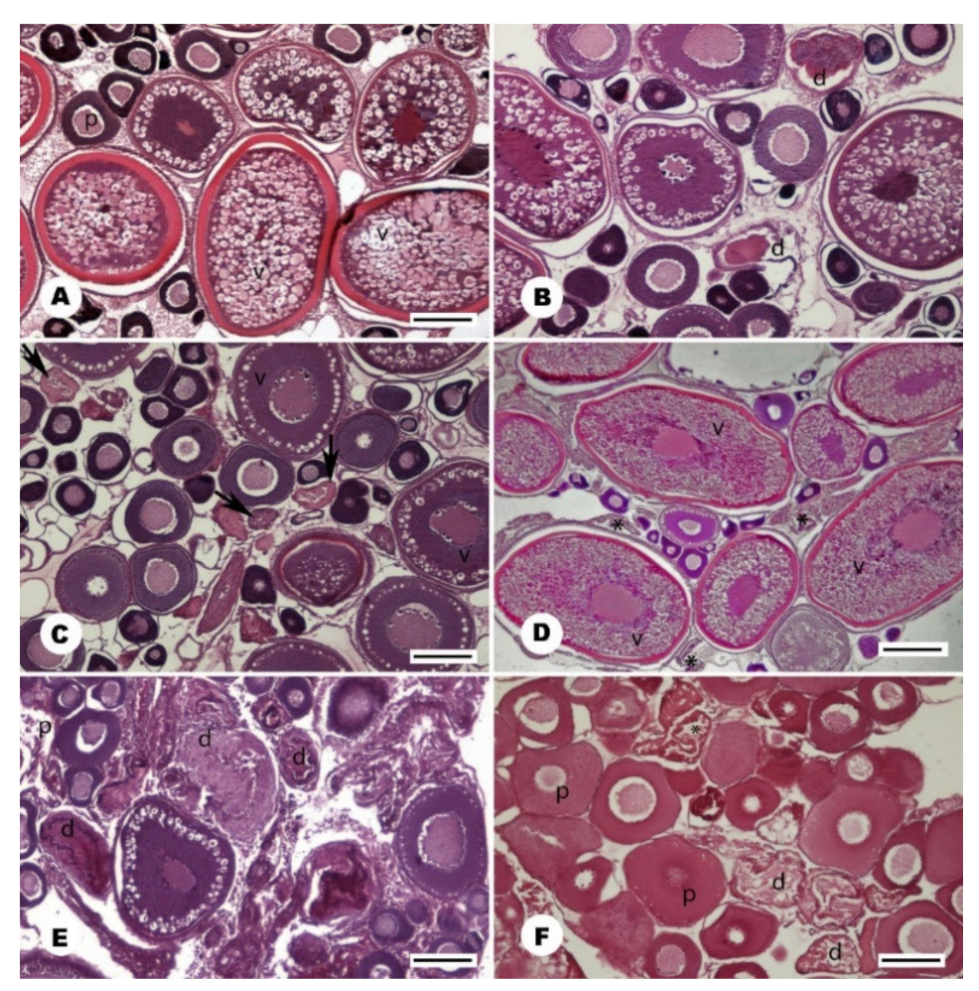
Oocyte Appearance and Size
Fecundity
3.3.2. Male
4. Discussion
5. Conclusions
Author Contributions
Funding
Institutional Review Board Statement
Informed Consent Statement
Data Availability Statement
Acknowledgments
Conflicts of Interest
References
- Billard, R. Les Poissons D’Eau Douce des Rivières de France. Identification, Inventaire et Répartition des 83 Espèces; Delachaux & Niestlé: Lausanne, Switzerland, 1997; p. 192. [Google Scholar]
- Kottelat, M.; Freyhof, J. Handbook of European Freshwater Fishes; Publications Kottelat: Cornol, Switzerland, 2007; p. 646. [Google Scholar]
- Rosecchi, E.; Crivelli, A.; Catsadorakis, G. The Establishment and Impact of Pseudorasbora parva, an Exotic Fish Species Introduced into Lake Mikri Prespa (Northwest-Ern Greece). Aquat. Conserv. Mar. Freshw. Ecosyst. 1993, 3, 223–231. [Google Scholar] [CrossRef]
- Gozlan, R.E.; Andreou, D.; Asaeda, T.; Beyer, K.; Bouhadad, R.; Burnard, D.; Caiola, N.; Cakic, P.; Djikanovic, V.; Esmaeil, H.R.; et al. Pan-Continental Invasion of Pseudorasbora parva: Towards a Better Understanding of Freshwater Fish Invasions. Fish Fish. 2010, 11, 315–340. [Google Scholar] [CrossRef]
- Bănărescu, P.; Nalbant, T. Studies on the Systematics of Gobioninae (Pisces: Cyprinidae). Rev. Roum. de Biol. Ser. de Zool. 1965, 10, 219–229. [Google Scholar]
- Knezevič, B.; Vukovič, T.; Kavarič, M. Pseudorasbora parva New Species in Ichthyofauna of Yugoslavia. Rib. Jugosl. 1978, 33, 140–142. (In Serbian) [Google Scholar]
- Beyer, K. Escapees of Potentially Invasive Fishes from an Ornamental Aquaculture Facility: The Case of Topmouth Gudgeon Pseudorasbora parva. J. Fish. Biol. 2004, 65, 326–327. [Google Scholar] [CrossRef]
- Pollux, B.J.A.; Korosi, A. On the Occurrence of the Asiatic Cyprinid Pseudorasbora parva in The Netherlands. J. Fish. Biol. 2006, 69, 1575–1580. [Google Scholar] [CrossRef]
- Copp, G.H.; Vilizzi, L.; Gozlan, R.E. Fish Movements: The Introduction Pathway for Topmouth Gudgeon Pseudorasbora parva and Other Non-Native Fishes in the UK. Aquatic Conserv. Mar. Freshw. Ecosyst. 2010, 20, 269–273. [Google Scholar] [CrossRef]
- Witkowski, A. Pseudorasbora parva (Cyprinidae, Gobioninae) A New Component of the Polish Ichthyofauna. Przegl. Zool. 1991, 35, 323–331, (In Polish with English summary). [Google Scholar]
- Witkowski, A. On the Expansion and Occurrence of an Invasive Species-Pseudorasbora parva (Teleostei: Cyprinidae: Gobioninae) in Poland. Fragm. Faun. 2009, 52, 25–32. [Google Scholar] [CrossRef][Green Version]
- Grabowska, J.; Kotusz, J.; Witkowski, A. Alien Invasive Fish Species in Polish Waters: An Overview. Folia Zool. 2010, 59, 73–85. [Google Scholar] [CrossRef]
- Kakareko, T.; Grabowska, J.; Mazurska, K. Harmonia+PL–Procedure for Negative Impact Risk Assessment for Invasive Alien Species and Potentially Invasive Alien Species in Poland. Available online: http://projekty.gdos.gov.pl/files/artykuly/127056/Eragrostis-albensis_milka-polabska_EN_icon_3.pdf (accessed on 10 June 2021).
- Froese, R.; Pauly, D.; FishBase. World Wide Web Electronic Publication. Available online: www.fishbase.org (accessed on 8 June 2021).
- Šebela, M.; Wohlgemuth, E. Některá pozorováni Pseudorasbora parva (Pisces, Cyprinidae) v chovu. Časopis Morav. M. 1984, 69, 187–194. [Google Scholar]
- Pinder, A.C.; Gozlan, R.E.; Britton, J.R. Dispersal of the Invasive Topmouth Gudgeon, Pseudorasbora parva in UK: A Vector for an Emergent Infectious Disease. Fish. Manage. Ecol. 2005, 12, 411–414. [Google Scholar] [CrossRef]
- Britton, J.R.; Davies, G.D.; Brazier, M.; Pinder, A.C. A Case Study on the Population Ecology of a Topmouth Gudgeon (Pseudorasbora parva) Population in the UK and the Implications for Native Fish Communities. Aquatic Conserv. Mar. Freshw. Ecosyst. 2007, 17, 749–759. [Google Scholar] [CrossRef]
- Kozlov, V.I. Amurskij čebačok-Pseudorasbora parva (Schl.)-novyj vid ichtiofauny bassejna Dnestra. Vestn. Zool. 1974, 1, 77–78. [Google Scholar]
- Movčan, Y.V.; Kozlov, V.I. Morfologičeskaja charakteristika i nekotoryje čerty ekologii amurskogo čebačka (Pseudorasbora parva (Schlegel)) v vodojemach Ukrainy. Gidrobiol. Žurnal 1978, 14, 42–48. [Google Scholar]
- Giurca, R.; Angelescu, N. Consideration Concerning the Biology and Distribution Area of the Cyprinid Fish Pseudorasbora parva (Schlegel) in the Romanian Waters. Bul. Cercet. Piscic. 1971, 30, 99–109. [Google Scholar]
- Xie, S.; Cui, Y.; Li, Z. Dietary-Morphological Relationships of Fishes in Liangzi Lake, China. J. Fish. Biol. 2001, 58, 1714–1729. [Google Scholar] [CrossRef]
- Winfield, I.J.; Durie, N.C. Fish Introductions and Their Management in the English Lake District. Fish. Manag. Ecol. 2004, 11, 195–201. [Google Scholar] [CrossRef]
- Musil, J.; Adámek, Z. Piscivorous Fishes Diet Dominated by the Asian Cyprinid Invader, Topmouth Gudgeon (Pseudorasbora parva). Biol. Bratisl. 2007, 62, 488–490. [Google Scholar] [CrossRef]
- Rybczyk, A.; Czerniejewski, P.; Keszka, S.; Janowicz, M.; Brysiewicz, A.; Wawrzyniak, W. First Data of Age, Condition, Growth Rate and Diet of Invasive Neogobius melanostomus (Pallas, 1814) in the Pomeranian Bay, Poland. J. Water Land Dev. 2020, 47, 142–149. [Google Scholar] [CrossRef]
- Welcomme, R.L. International Introductions of Inland Aquatic Species. FAO Fish. Tech. Pap. 1988, 294, 318. [Google Scholar]
- Asahina, K.; Hirose, H.; Hibiya, T. Annual Reproductive Cycle of the Topmouth Gudgeon Pseudorasbora parva in the Tama River. Nippon. Suisan Gakk. 1990, 56, 243–247. [Google Scholar] [CrossRef]
- Yan, Y.Z.; Chen, Y.F. Variations in Reproductive Strategies Between One Invasive Population and Two Native Populations of Pseudorasbora parva. Curr. Zool. 2009, 55, 56–60. [Google Scholar] [CrossRef]
- Zhu, D.; Yang, K.; Gul, Y.; Song, W.; Zhang, X.; Wang, W. Effect of Photoperiod on Growth and Gonadal Development of Juvenile Topmouth Gudgeon Pseudorasbora parva. Environ. Biol. Fish. 2014, 97, 147–156. [Google Scholar] [CrossRef]
- Záhorská, E.; Kováč, V. Reproductive Parameters of Invasive Topmouth Gudgeon Pseudorasbora parva (Temminck and Schlegel, 1846) from Slovakia. J. Appl. Ichthyol. 2009, 25, 466–469. [Google Scholar] [CrossRef]
- Katano, O.; Maekawa, K. Reproductive Regulation in the Female Japanese Minnow, Pseudorasbora parva (Cyprinidae). Environ. Biol. Fish. 1997, 49, 197–205. [Google Scholar] [CrossRef]
- Kim, D.H.; Lee, K.-J.; Kim, S.; Deung, Y.-K. A Study on the Oogenesis of False Dace (Pseudorasbora parva). Korean J. Electron. Microsc. 2007, 37, 65–72. [Google Scholar]
- Záhorská, E.; Kováč, V. Environmentally Induced Shift in Reproductive Traits of a Long-Term Established Population of Topmouth Gudgeon (Pseudorasbora parva). J. Appl. Ichthyol. 2013, 29, 218–220. [Google Scholar] [CrossRef]
- Steinmetz, B.; Müller, R. An Atlas of Fish Scales and Other Bony Structures Used for Age Determination: Non-Salmonid Species Found in European Fresh Waters; Samara Publishing Ltd.: Cambridge, UK, 1991; p. 51. [Google Scholar]
- Domagała, J.; Kirczuk, L.; Pilecka-Rapacz, M. Annual Development Cycle of Gonads of Eurasian Ruffe (Gymnocephalus cernuus L.) Females From Lower Odra River Sections Differing in the Influence of Cooling Water. J. Fresh. Ecol. 2013, 28, 423–437. [Google Scholar] [CrossRef]
- Domagała, J.; Dziewulska, K.; Kirczuk, L.; Pilecka-Rapacz, M. Sexual Cycle of White Bream, Blicca bjoerkna (Actinopterygii, Cypriniformes, Cyprinidae), From Three Sites of the Lower Oder River (NW Poland) Differing in Temperature Regimes. Acta Ichthyol. Piscat. 2015, 45, 285–298. [Google Scholar] [CrossRef]
- Holčík, J.; Hensel, K. Handbook of Ichthyology; Obzor: Bratislava, Czechoslovakia, 1972; p. 220. [Google Scholar]
- Kjesbu, O.; Holm, J. Oocyte Recruitment in First-Time Spawning Atlantic Cod (Gadus morhua) in Relation to Feeding Regime. Can. J. Fish. Aquat. Sci. 1994, 51, 1893–1898. [Google Scholar] [CrossRef]
- Sokal, R.R.; Rohlf, F.J. Biometry the Principles and Practice of Statistics in Biological Research, 3rd ed.; W.H. Freeman and Co.: New York, NY, USA, 1995. [Google Scholar]
- Czerniejewski, P.; Zatoń, K.; Kasowska, N.; Brysiewicz, A. Age Structure, Condition and Length Increase of the Top-Mouth Gudgeon (Pseudorasbora parva Schlegel 1842) In Non-Native Populations of Small Rivers of Poland. J. Water Land Dev. 2019, 40, 113–118. [Google Scholar] [CrossRef][Green Version]
- Záhorská, E.; Kováč, V.; Katina, S. Age and Growth in a Newly-Established Invasive Population of Topmouth Gudgeon. Cent. Eur. J. Biol. 2010, 5, 256–261. [Google Scholar] [CrossRef]
- Beyer, K. Ecological Implications of Introducing Leucaspius delineates and Pseudorasbora parva into Inland Waters in England. Ph.D. Thesis, University of Hull, Hull, UK, 2008. [Google Scholar]
- Britton, J.R.; Brazier, M.; Davies, G.D.; Chare, S.I. Case Studies on Eradicating the Asiatic Cyprinid Pseudorasbora parva from Fishing Lakes in England to Prevent Their Riverine Dispersal. Aquatic Conserv. Mar. Freshw. 2008, 18, 867–876. [Google Scholar] [CrossRef]
- Rochet, M.-J. Short-Term Effects of Fishing on Life History Traits of Fishes. ICES J. Mar. Sci. 1998, 55, 371–391. [Google Scholar] [CrossRef]
- Kotusz, J.; Witkowski, A. Morphometrics of Pseudorasbora parva (Schlegel, 1842) (Cyprinidae: Gobioninae), a Species Introduced into the Polish Waters. Acta Ichthyol. Piscat. 1998, 28, 3–14. [Google Scholar] [CrossRef]
- Asadollah, A.; Soofiani, N.M.; Keivany, Y.; Shadkhast, M. Reproduction of Capoeta damascina (Valenciennes, 1842), a cyprinid fish, in Zayandeh-Roud River. Iran. J. Applied. Ichthyol. 2011, 27, 1061–1066. [Google Scholar] [CrossRef]
- Hamalosmanoğlu, M. Growth and Reproduction Features of Vimba (Vimba vimba L. 1758) and White Bream (Blicca bjoerkna L. 1758) Living in Sapanca Lake. Ph.D. Thesis, Gazi University, Ankara, Turkey, 2003. (In Turkish). [Google Scholar]
- Okgerman, H.; Elp, M.; Yardimci, C.H. Growth, the Length-Weight Relationship, and Reproduction in Vimba (Vimba vimba L. 1758) Sampled from an Oligo-Mesotrophic Lake in Northwest Anatolia (Turkey). Turk. J. Zool. 2011, 35, 87–96. [Google Scholar]
- Okgerman, H.C.; Elp, M.; Atasagun, S. The Growth and Reproduction of White Bream (Blicca bjoerkna L. 1758) in an Oligo-Mesotrophic Lake in Northwest Anatolia (Sapanca, Turkey). Turk. J. Biol. 2012, 36, 125–134. [Google Scholar] [CrossRef]
- Domagała, J.; Dziewulska, K.; Kirczuk, L.; Pilecka-Rapacz, M. Sexual Cycle of the Blue Bream (Ballerus ballerus) from the Lower Oder River and Dąbie Lake (NW Poland). Turk. J. Fish. Aquat. Sci. 2016, 16, 819–829. [Google Scholar] [CrossRef]
- Domagała, J.; Kirczuk, L.; Dziewulska, K.; Pilecka-Rapacz, M. The Annual Reproductive Cycle of Rudd, Scardinius erythrophthalmus (Cyprinidae) from the Lower Oder River and Lake Dąbie, (NW Poland). Fol. Biol. 2020, 68, 23–33. [Google Scholar] [CrossRef]
- Karabanowicz, J.; Kompowski, A. On Biology of Reproduction of Blue Bream, Abramis ballerus [L., 1758], in the Lower Part of River Odra, Lake Dabie and Szczecin Lagoon. Acta Ichthyol. Piscat. 1994, 2, 77–92. [Google Scholar] [CrossRef][Green Version]
- Altindað, A.; Shah, S.L.; Yiğit, S. The Growth Features of Tench (Tinca tinca L., 1758) in Baindir Dam Lake, Ankara, Turkey. Turk. J. Zool. 2002, 26, 385–391. [Google Scholar]
- Tarkan, A.S. Reproductive Ecology of Two Cyprinid Fishes in an Oligotrophic Lake Near the Southern Limits of Their Distribution Range. Ecol. Fresh. Fish. 2006, 15, 131–138. [Google Scholar] [CrossRef]
- Koç, H.T.; Erdogan, Z.; Tinkci, M.; Treer, T. Age, Growth and Reproductive Characteristics of Chub, Leuciscus cephalus (L., 1758) in the Ikizcetepeler Dam Lake (Balikesir), Turkey. J. Appl. Ichthyol. 2007, 23, 19–24. [Google Scholar] [CrossRef]
- Yılmaz, S.; Yazıcıoğlu, O.; Erbaşaran, M.; Esen, S.; Zengin, M.; Polat, N. Length-Weight Relationship and Relative Condition Factor of White Bream, Blicca bjoerkna (L., 1758), from Lake Ladik, Turkey. J. Black Sea Mediterr. Environ. 2012, 18, 380–387. [Google Scholar]
- Yılmaz, S.; Yazıcıoğlu, O.; Yazici, R.; Polat, N. Relationships Between Fish Length and Otolith Size for Five Cyprinid Species from Lake Ladik, Samsun, Turkey. Turk. J. Zool. 2015, 39, 438–446. [Google Scholar] [CrossRef]
- Vatandoust, S.; Nejati, M.; Anvarifar, H.; Mousavi-Sabeth, H. Morphological Differentiation of Vimba persa (Pisces: Cyprinidae) along the Southern Caspian Sea Basin, Iran. Europ. J. Zool. Res. 2014, 3, 94–102. [Google Scholar]
- Baruš, V.; Kux, Z.; Libosvárský, J. On Pseudorasbora parva (Pisces) in Czechoslovakia. Folia Zool. 1984, 33, 5–18. [Google Scholar]
- Yalçın-Özdilek, Ş.; Kırankaya, Ş.G.; Ekmekçi, F.G. Feeding Ecology of the Topmouth Gudgeon Pseudorasbora parva (Temminck and Schlegel, 1846) in the Gelingüllü Reservoir, Turkey. Turk. J. Fish. Aquat. Sci. 2013, 13, 87–94. [Google Scholar] [CrossRef]
- Zerunian, S.; Luigi Valentini, L.; Gibertini, G. Growth and Reproduction of Rudd and Red-Eye Roach (Pisces, Cyprinidae) in Lake Bracciano. Ital. J. Zool. 1986, 53, 91–95. [Google Scholar] [CrossRef]
- Papageorgiou, N.; Neophytou, C. Age, Growth and Fecundity of the Rudd (Scardinius erythrophthalmus L.) in Lake Kastoria. Thalassographica 1982, 2, 5–15. [Google Scholar]
- Kennedy, M.; Fitzmaurice, P. The Biology of the Bream Abramis brama (L.) in Irish Waters. Irish Waters Proc. R. Ir. Acad. 1974, 67, 95–157. [Google Scholar]
- Mukchatcheva, V.A. On the Biology of the Amur Cyprinid (Pseudorasbora parva Schlegel.). Tr. Amur. Ikhtiol. Eksped. 1950, 1, 365–374. (In Russian) [Google Scholar]
- Juchno, D.; Jagusztyn, B.; Boron, A. Reproduction Biology of Common Nase Chondrostoma nasus (Pisces, Cyprinidae). In Proceedings of the XVI European Congress of Ichthyology, Lausanne, Switzerland, 2–6 September 2019. [Google Scholar] [CrossRef]
- Keith, P.; Allardi, J. Atlas des poissons d’eau douce de France. Muséum Natl. D’histoire Nat. Patrim. Nat. 2001, 47, 1–387. [Google Scholar]
- Kompowski, A.; Błaszczyk, P. Reproduction and Fecundity of Blue Bream Abramis ballerus L., 1758 in Międzyodrze. Acta Ichthyol. Piscat. 1997, 27, 57–77. [Google Scholar] [CrossRef][Green Version]
- Kyritsi, S.; Kokkinakis, A. Age Growth, Reproduction and Fecundity of Roach Rutilus rutilus from Volvi Lake, Northern Greece. Turk. J. Fish. Aquat. Sci. 2020, 20, 717–726. [Google Scholar] [CrossRef]
- Záhorská, E.; Kováč, V.; Falka, I.; Beyer, K.; Katina, S.; Copp, G.H.; Gozlan, R.E. Morphological Variability of the Asiatic Cyprinid, Topmouth Gudgeon Pseudorasbora parva, in Its Introduced European Range. J. Fish. Biol. 2009, 74, 167–185. [Google Scholar] [CrossRef]
- Wohlgemuth, E.; Šebela, M. Topmouth Gudgeon, New Species of European Ichthyofauna. Živa 1987, 35, 25–27. (In Czech) [Google Scholar]
- Domagała, J.; Kirczuk, L.; Pilecka-Rapacz, M. Annual Development Cycle of Gonads of Bream (Abramis brama L.) Females from Lower Oder River Sections Influenced Differently by the Heated Effluents from a Power Station. J. Appl. Ichthyol. 2015, 31, 41–48. [Google Scholar] [CrossRef]
- Domagała, J.; Dziewulska, K.; Pilecka-Rapacz, M. Annual cycle of gonad development in bream males (Abramis brama L.) from lower Oder River sections differing in the influence of cooling water. In Proceedings of the 5th International Workshop on the Biology of Fish Gametes, Ancona, Italy, 7–11 September 2015. [Google Scholar]
- Kopiejewska, W.; Terlecki, J.; Chybowski, L. Cyclic Development of Sex Cells in Artificially Bred Rudd Scardinius erythrophtalmus (L.). Acta Sci. Pol. Piscaria 2004, 3, 43–48. [Google Scholar]
- Devlin, R.H.; Nagahama, Y. Sex Determination and Sex Differentiation in Fish: An Overview of Genetic, Physiological, and Environmental Influences. Aquaculture 2002, 208, 191–364. [Google Scholar] [CrossRef]
- Hiroi, O.; Yamamoto, K. Studies on the Maturation of Salmonid Fishes-II. Changes in the Testis of the Chum Salmon, Oncorhynchus keta, during Anadromous Migration. Bull. Fac. Fish. Hokkaido Univ. 1970, 20, 252–263. [Google Scholar]
- O’Farrell, M.M.; Peirce, R.E. The Occurrence of a Gynandromorphic Migratory Trout, Salmo trutta L. J. Fish. Biol. 1989, 34, 327. [Google Scholar] [CrossRef]
- Dziewulska, K. Spermatogenesis in the sea trout (Salmo trutta m. trutta L.) Parr in Western Pomerania. Ph.D. Thesis, Szczecin University, Szczecin, Poland, 2001. [Google Scholar]
- Johnstone, R.; Simpson, T.H.; Youngson, A.F.; Whitehead, C. Sex Reversal in Salmonid Culture. Part II. The Progeny of Sex-Reversed Rainbow Trout. Aquaculture 1979, 18, 13–19. [Google Scholar] [CrossRef]
- Selmoni, O.M.; Maitre, D.; Roux, J.; Wilkins, L.G.E.; da Cunha, L.M.; Oliver, M.; Vermeirssen, E.R.M.; Knörr, S.; Robinson-Rechavi, M.; Wedekind, C. Sex Reversal in Salmonid Culture. Part II. The Progeny of Sex-Reversed Rainbow Trout (Salmonidae). BMC Genom. 2019, 20, 583. [Google Scholar] [CrossRef]








| Sex | Month | ||||||||||||
|---|---|---|---|---|---|---|---|---|---|---|---|---|---|
| I | II | III | IV | V | VI | VII | VIII | IX | X | XI | XII | ||
| Number of Fish | Total | ||||||||||||
| ♀ | 8 | 13 | 10 | 14 | 49 | 49 | 13 | 20 | 24 | 13 | 12 | 9 | 234 |
| ♂ | 14 | 43 | 20 | 16 | 59 | 63 | 38 | 48 | 19 | 13 | 14 | 21 | 368 |
| Sex | Total Length (mm) | Standard Length (mm) | Fish Weight (g) | CF | GSI * | GSI ** |
|---|---|---|---|---|---|---|
| ♀Female n = 234 | 55.6 ± 14.6 30.0–93.0 | 46.2 ± 12.4 25.0–78.0 | 1.85 ± 1.66 0.20–8.29 | 1.44 ± 0.23 0.62–2.29 | 0.09–31.55 | 0.08–25.68 |
| ♂Male n = 368 | 63.4 ± 16.4 31.0–104.0 | 52.9 ± 14.1 28.0–87.0 | 3.30 ± 2.72 0.20–11.43 | 1.44 ± 0.24 0.25–3.24 | 0.07–6.98 | 0.06–6.93 |
| Size Oocytes (µm) | ||||
|---|---|---|---|---|
| Beginning of Previtellogenesis | Finally, Previtellogenesis | Beginning of Vacuolisation | First Occurrence of the Yolk | Completed Vitellogenesis |
| 116.90 ± 17.75 a 67.50–145 | 229.70 ± 39.57 b 166.53–298.13 | 402.32 ± 51.57 c 315.21–495.12 | 668.47 ± 29.82 d 575.13–720.32 | 1026.87 ± 182.12 e 795.24–1725.01 |
| Age | |||||
|---|---|---|---|---|---|
| 1+ | 2+ | 3+ | 4+ | 5+ | Total |
| absolute fecundity | |||||
| 886 ± 506 a 225–2841 | 1538 ± 808 a 600–2952 | 3360 ± 1741 b 1443–6620 | 2945 ± 1341 a 1937–3649 | 3610 ± 363 c 3027–5220 | 1372 ± 1164 225–6620 |
| relative fecundity | |||||
| 1733 ± 778 a 268–4543 | 2241 ± 1307 a 1067–4119 | 1512 ± 518 a 1098–2390 | 1200 ± 503 a 697–1703 | 826 ± 118 a 707–988 | 1691 ± 832 268–4543 |
Publisher’s Note: MDPI stays neutral with regard to jurisdictional claims in published maps and institutional affiliations. |
© 2021 by the authors. Licensee MDPI, Basel, Switzerland. This article is an open access article distributed under the terms and conditions of the Creative Commons Attribution (CC BY) license (https://creativecommons.org/licenses/by/4.0/).
Share and Cite
Kirczuk, L.; Dziewulska, K.; Czerniejewski, P.; Brysiewicz, A.; Rząd, I. Reproductive Potential of Stone Moroko (Pseudorasbora parva, Temminck et Schlegel, 1846) (Teleostei: Cypriniformes: Gobionidae) Inhabiting Central Europe. Animals 2021, 11, 2627. https://doi.org/10.3390/ani11092627
Kirczuk L, Dziewulska K, Czerniejewski P, Brysiewicz A, Rząd I. Reproductive Potential of Stone Moroko (Pseudorasbora parva, Temminck et Schlegel, 1846) (Teleostei: Cypriniformes: Gobionidae) Inhabiting Central Europe. Animals. 2021; 11(9):2627. https://doi.org/10.3390/ani11092627
Chicago/Turabian StyleKirczuk, Lucyna, Katarzyna Dziewulska, Przemysław Czerniejewski, Adam Brysiewicz, and Izabella Rząd. 2021. "Reproductive Potential of Stone Moroko (Pseudorasbora parva, Temminck et Schlegel, 1846) (Teleostei: Cypriniformes: Gobionidae) Inhabiting Central Europe" Animals 11, no. 9: 2627. https://doi.org/10.3390/ani11092627
APA StyleKirczuk, L., Dziewulska, K., Czerniejewski, P., Brysiewicz, A., & Rząd, I. (2021). Reproductive Potential of Stone Moroko (Pseudorasbora parva, Temminck et Schlegel, 1846) (Teleostei: Cypriniformes: Gobionidae) Inhabiting Central Europe. Animals, 11(9), 2627. https://doi.org/10.3390/ani11092627

