Imaging of Canine Neoplastic Reproductive Disorders
Abstract
Simple Summary
Abstract
1. Introduction
2. Female
2.1. Reproductive Anatomy
2.2. Imaging of the Ovaries
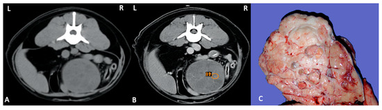
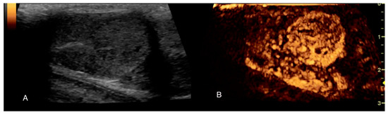
Imaging of Ovarian Neoplasia
2.3. Imaging of the Uterine Tube and Uterine Tube Neoplasia
2.4. Imaging of the Uterus
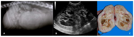
Imaging of Uterine Neoplasia
2.5. Imaging of the Vagina and Vaginal Neoplasia
3. Male
3.1. Imaging of the Prostate
Imaging of Prostatic Neoplasia
3.2. Imaging of the Testes
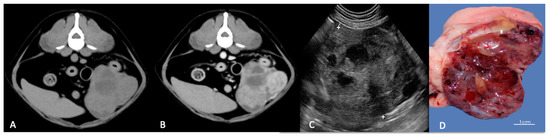
Imaging of Testicular Tumours
3.3. Imaging of the Penis
Imaging of Penile Neoplasia
Author Contributions
Funding
Institutional Review Board Statement
Data Availability Statement
Conflicts of Interest
References
- Davidson, A.P.; Baker, T.W. Reproductive ultrasound of the bitch and queen. Top. Companion Anim. Med. 2009, 24, 55–63. [Google Scholar] [CrossRef] [PubMed]
- Diez-Bru, N.; Garcia-Real, I.; Martinez, E.M.; Rollan, E.; Mayenco, A.; Llorens, P. Ultrasonographic appearance of ovarian tumors in 10 dogs. Vet. Radiol. Ultrasound 1998, 39, 226–233. [Google Scholar] [CrossRef]
- Nagashima, Y.; Hoshi, K.; Tanaka, R.; Shibazaki, A.; Fujiwara, K.; Konno, K.; Machida, N.; Yamane, Y. Ovarian and retroperitoneal teratomas in a dog. J. Vet. Med. Sci. 2000, 62, 793–795. [Google Scholar] [CrossRef]
- Coggeshall, J.D.; Franks, J.N.; Wilson, D.U.; Wiley, J.L. Primary ovarian teratoma and GCT with intra-abdominal metastasis in a dog. J. Am. Anim. Hosp. Assoc. 2012, 48, 424–428. [Google Scholar] [CrossRef]
- Kang, M.H.; Min, S.H.; Choi, Y.K.; Park, H.M. Management of ovarian dysgerminoma associated with pseudo-Meigs’s syndrome in a dog. Pak. Vet. J. 2017, 37, 111–113. [Google Scholar]
- Walter, B.; Coelfen, A.; Jäger, K.; Reese, S.; Meyer-Lindenberg, A.; Aupperle-Lellbach, H. Anti-Muellerian hormone concentration in bitches with histopathologically diagnosed ovarian tumours and cysts. Reprod. Dom. Anim. 2018, 53, 784–792. [Google Scholar] [CrossRef]
- Antonov, A.; Fasulkov, I.; Simeonov, R. A clinical case of unilateral ovarian dysgerminoma and pyometra in a bitch. Mac Vet. Rev. 2014, 37, 179–183. [Google Scholar] [CrossRef][Green Version]
- Podestá, F.S.; Caquias, D.I. Canine ovarian dysgerminoma. Cienc. Rural 2020, 50, e20180890. [Google Scholar] [CrossRef]
- Rowan, C.; Cuddy, L.; Bryan, J.; Shiel, R.; Hoey, S. Imaging diagnosis—Computed tomography findings in a case of metastatic ovarian adenocarcinoma in a dog. Vet. Radiol. Ultrasound 2017, 50, E60–E63. [Google Scholar] [CrossRef]
- Ajadi, A.T.; Antia, E.R.; Akang, E.F. Cystadenocarcinoma arising from ovary in a three year old doberman bitch. Int. J. Morphol. 2011, 29, 988–991. [Google Scholar] [CrossRef]
- Kim, H.; Choi, H.; Kim, H.; Choi, J. A Giant parovarian cyst in a dog with a granulosa cell tumor. J. Vet. Med. Sci. 2012, 74, 385–389. [Google Scholar] [CrossRef] [PubMed][Green Version]
- Pecile, A.; Groppetti, D.; Grieco, V.; Barella, G.; Moioli, M.; Faverzani, S. Asymptomatic unilateral ovarian leiomyoma in a German Shepherd bitch. Mac Vet. Rev. 2017, 40, 97–101. [Google Scholar] [CrossRef]
- Sehgal, N. Efficacy of color doppler ultrasonography in differentiation of ovarian masses. J. Midlife Health 2019, 10, 22–28. [Google Scholar] [CrossRef]
- Qiao, J.J.; Yu, J.; Yu, Z.; Li, N.; Song, C.; Li, M. Contrast-enhanced ultrasonography in differential diagnosis of benign and malignant ovarian tumors. PLoS ONE 2015, 10, e0118872. [Google Scholar] [CrossRef] [PubMed]
- Eker, K.; Salmanoğlu, M.R.; Vural, S.A. Unilateral leiomyoma in the mesosalpinx of a dog. J. Am. Anim. Hosp. Assoc. 2006, 42, 392–394. [Google Scholar] [CrossRef]
- Marino, G.; Quartuccio, M.; Cristarella, S.; Nicòtina, P.A.; Zanghì, A. Adenoma of the uterine tube in the bitch: Two case reports. Vet. Res. Comm. 2007, 31, 173–175. [Google Scholar] [CrossRef]
- Plagge, J.; Bali, M. Adenoma of the fallopian tube in a 12-year-old bitch. Kleintierpraxis 2018, 63, 272–277. [Google Scholar] [CrossRef]
- Marino, G.; Barna, A.; Rizzo, S.; Zanghì, A.; Catone, G. Endometrial polyps in the bitch: A retrospective study of 21 cases. J. Comp. Path 2013, 149, 410–416. [Google Scholar] [CrossRef]
- Patsikas, M.; Papazoglou, L.G.; Jakovljevic, S.; Papaioannou, N.G.; Papadopoulou, P.L.; Soultani, C.B.; Chryssogonidis, I.A.; Kouskouras, K.A.; Tziris, N.E.; Charitanti, A.A. Radiographic and ultrasonographic findings of uterine neoplasms in nine dogs. J. Am. Anim. Hosp. Assoc. 2014, 50, 330–337. [Google Scholar] [CrossRef]
- Cave, T.A.; Hine, R.; Howie, F.; Thompson, H.; Argyle, D.J. Uterine carcinoma in a 10-month-old golden retriever. J. Small Anim. Pract. 2002, 43, 133–135. [Google Scholar] [CrossRef] [PubMed]
- Tsioli, V.G.; Gouletsou, P.G.; Loukopoulos, P.; Zavlaris, M.; Galatos, A.D. Uterine leiomyosarcoma and pyometra in a dog. J. Small Anim. Pract. 2011, 52, 121–124. [Google Scholar] [CrossRef]
- Percival, A.; Singh, A.; zur Linden, R.A.; Watrous, G.; Patten, S.; Valverde, A.; Ratsep, E. Massive uterine lipoleiomyoma and leiomyoma in a miniature poodle bitch. Can. Vet. J. 2018, 59, 845–850. [Google Scholar]
- Kokkinos, P.; Ververidis, C.; Patsikas, M.; Kritsepi-Konstantinou, M.; Kazakos, G.M.; Psalla, D. Uterine stump adenocarcinoma in a bitch with an ovarian remnant: A case report. J. Hellenic. Vet. Med. Soc. 2019, 70, 1583–1588. [Google Scholar] [CrossRef]
- Schlafer, D.H.; Yeager, A.E.; Concannon, P.W. Theriogenology question of the month. Endometrial polyp in a beagle. J. Am. Vet. Med. Assoc. 1997, 210, 759–761. [Google Scholar]
- Chambers, B.A.; Laksito, M.A.; Long, F.; Yates, G.D. Unilateral uterine torsion secondary to an inflammatory endometrial polyp in the bitch. Aust. Vet. J. 2011, 89, 380–384. [Google Scholar] [CrossRef] [PubMed]
- Wenzlow, N.; Tivers, M.S.; Selmic, L.E.; Scurrell, E.J.; Baines, S.J.; Smith, K.C. Haemangiosarcoma in the uterine remnant of a spayed female dog. J. Small Anim. Pract. 2009, 50, 488–491. [Google Scholar] [CrossRef]
- Barozzi, M.C.M.; Saba, C.F.; Gendron, K.P. CT characteristics of uterine and vaginal mesenchymal tumours in dogs. J. Small Anim. Pract. 2021, 62, 293–299. [Google Scholar] [CrossRef] [PubMed]
- Weissman, A.; Jiménez, D.; Torres, B.; Cornell, K.; Holmes, S.P. Canine vaginal leiomyoma diagnosed by CT vaginourethrography. J. Am. Anim. Hosp. Assoc. 2013, 49, 394–397. [Google Scholar] [CrossRef]
- Sathya, S.; Linn, K. Regression of a vaginal leiomyoma after ovariohysterectomy in a dog: A case report. J. Am. Anim. Hosp. Assoc. 2014, 50, 424–428. [Google Scholar] [CrossRef]
- Nelissen, P.; White, R.A.S. Subtotal vaginectomy for management of extensive vaginal disease in 11 dogs. Vet. Surg. 2012, 41, 495–500. [Google Scholar] [CrossRef] [PubMed]
- Fuchsjager, M.; Shukla-Dave, A.; Akin, O.; Barentsz, J.; Hricak, H. Prostate cancer imaging. Acta Radiol. 2008, 49, 107–120. [Google Scholar] [CrossRef]
- Weaver, A.D. Fifteen cases of prostatic carcinoma in the dog. Vet. Rec. 1981, 109, 71–75. [Google Scholar] [CrossRef]
- Bradbury, C.A.; Westropp, J.L.; Pollard, R.E. Relationship between prostatomegaly, prostatic mineralization, and cytologic diagnosis. Vet. Radiol. Ultrasound 2009, 50, 167–171. [Google Scholar] [CrossRef]
- Russo, M.; Vignoli, M.; England, G.C.W. B-mode and contrast-enhanced ultrasonographic findings in canine prostatic disorders. Reprod. Domest. Anim. 2012, 47, 238–242. [Google Scholar] [CrossRef]
- Mahaffey, M.B.; Selcer, B.A.; Cartee, R.E. The reproductive system. In Practical Veterinary Ultrasound; Cartee, R.E., Selcer, B.A., Hudson, J.A., Eds.; Lea & Febiger: Philadelphia, PA, USA, 1995; pp. 236–265. [Google Scholar]
- Russo, M.; Vignoli, M.; Catone, G.; Rossi, F.; Attanasi, G.; England, G.C.W. Prostatic perfusion in the dog using contrast-enhanced doppler ultrasound. Reprod. Domest. Anim. 2009, 44, 334–335. [Google Scholar] [CrossRef]
- Vignoli, M.; Russo, M.; Catone, G.; Rossi, F.; Attanasi, G.; Terragni, R.; Saunders, J.H.; England, G.C.W. Assessment of vascular perfusion kinetics using contrast- enhanced ultrasound for the diagnosis of prostatic disease in dogs. Reprod. Domest. Anim. 2011, 46, 209–213. [Google Scholar] [CrossRef]
- Lee, K.J.; Shimizu, J.; Kishimoto, M.; Kadohira, M.; Iwasaki, T.; Miyake, Y.I.; Yamada, K. Computed tomography of the prostate gland in apparently healthy entire dogs. Small Anim. Pract. 2011, 52, 146–151. [Google Scholar] [CrossRef] [PubMed]
- Pasikowska, J.; Hebel, M.; Niżański, W.; Nowak, M. Computed Tomography of the Prostate Gland in Healthy Intact Dogs and Dogs with Benign Prostatic Hyperplasia. Reprod. Dom. Anim. 2015, 50, 776–783. [Google Scholar] [CrossRef] [PubMed]
- Tanaka, T.; Ashida, K.; Iimori, Y.; Yamazaki, H.; Mie, K.; Nishida, H.; Akiyoshi, H. Less enhancement and low apparent diffusion coefficient value on magnetic resonance imaging may be helpful to detect canine prostate adenocarcinoma in case series. Vet. Comp. Oncol. 2020, 18, 861–865. [Google Scholar] [CrossRef] [PubMed]
- Pugh, C.R.; Konde, L.J. Sonographic evaluation of canine testicular and scrotal abnormalities: A review of 26 case histories. Vet. Radiol. Ultrasound 1991, 32, 243–250. [Google Scholar] [CrossRef]
- Mantziaras, G. Imaging of the male reproductive tract: Not so easy as it looks like. Theriogenology 2020, 150, 490–497. [Google Scholar] [CrossRef]
- Pugh, C.R.; Konde, L.J.; Park, R.D. Testicular ultrasound in the normal dog. Vet. Radiol. 1990, 31, 195–199. [Google Scholar] [CrossRef]
- England, G.C. Ultrasonographic diagnosis of non-palpable Sertoli cell tumours in infertile dogs. J. Small Anim. Pract. 1995, 36, 476–480. [Google Scholar] [CrossRef] [PubMed]
- Mostachio, G.Q.; Apparício, M.; Vicente, W.R.R.; Cardilli, D.J.; Motheo, T.F.; Toniollo, G.H. Intraabdominal torsion of a neoplastic testicle and prostatic cyst in a cryptorchid dog. Schweiz Arch. Tierheilkd 2007, 149, 408–412. [Google Scholar] [CrossRef]
- Stokowski, S.; Ruth, J.; Lanz, O.; Ziglioli, V. Computed tomographic features in a case of bilateral neoplastic cryptorchidism with suspected torsion in a dog. Front. Vet. Sci. 2016, 3. [Google Scholar] [CrossRef] [PubMed]
- Bigliardi, E.; Denti, L.; de Cesaris, V.; Bertocchi, M.; di Ianni, F.; Parmigiani, E.; Bresciani, C.; Cantoni, A.M. Colour doppler ultrasound imaging of blood flows variations in neoplastic and non-neoplastic testicular lesions in dogs. Reprod. Domest. Anim. 2019, 54, 63–71. [Google Scholar] [CrossRef]
- Volta, A.; Manfredi, S.; Vignoli, M.; Russo, M.; England, G.C.; Rossi, F.; Bigliardi, E.; Di Ianni, F.; Parmigiani, E.; Bresciani, C.; et al. Use of contrast-enhanced ultrasonography in chronic pathologic canine testes. Reprod. Domest. Anim. 2014, 49, 202–209. [Google Scholar] [CrossRef] [PubMed]
- Hall, W.C.; Nielsen, S.W.; McEntee, K. Tumours of the prostate and penis. Bull. World Health Organ. 1976, 53, 247–265. [Google Scholar] [PubMed]
- Marolf, A.; Specht, A.; Thompson, M.; Castleman, W. Imaging diagnosis: Penile hemangiosarcoma. Vet. Radiol. Ultrasound 2006, 47, 474–475. [Google Scholar] [CrossRef]
- Fry, J.K.; Burney, D.; Hottinger, H.; Fabiani, M.; Feagin, C. Pollakiuria and stranguria in a Labrador retriever with penile HSA. J. Am. Anim. Hosp. Assoc. 2014, 50, 141–147. [Google Scholar] [CrossRef]





Publisher’s Note: MDPI stays neutral with regard to jurisdictional claims in published maps and institutional affiliations. |
© 2021 by the authors. Licensee MDPI, Basel, Switzerland. This article is an open access article distributed under the terms and conditions of the Creative Commons Attribution (CC BY) license (https://creativecommons.org/licenses/by/4.0/).
Share and Cite
Russo, M.; England, G.C.W.; Catone, G.; Marino, G. Imaging of Canine Neoplastic Reproductive Disorders. Animals 2021, 11, 1213. https://doi.org/10.3390/ani11051213
Russo M, England GCW, Catone G, Marino G. Imaging of Canine Neoplastic Reproductive Disorders. Animals. 2021; 11(5):1213. https://doi.org/10.3390/ani11051213
Chicago/Turabian StyleRusso, Marco, Gary C.W. England, Giuseppe Catone, and Gabriele Marino. 2021. "Imaging of Canine Neoplastic Reproductive Disorders" Animals 11, no. 5: 1213. https://doi.org/10.3390/ani11051213
APA StyleRusso, M., England, G. C. W., Catone, G., & Marino, G. (2021). Imaging of Canine Neoplastic Reproductive Disorders. Animals, 11(5), 1213. https://doi.org/10.3390/ani11051213

