The Expression of Selected Wnt Pathway Members (FZD6, AXIN2 and β-Catenin) in Canine Oral Squamous Cell Carcinoma and Acanthomatous Ameloblastoma
Abstract
Simple Summary
Abstract
1. Introduction
2. Materials and Methods
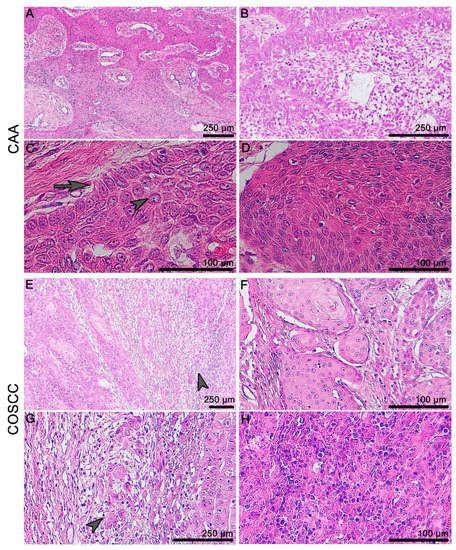
2.1. Canine Tissues
2.2. Immunohistochemical Analysis and Immunofluorescent Detection
3. Results
3.1. Expression of SOX2 and Ki-67 in COSCC and CAA of Dogs
3.2. Expression of FZD6 in CAA and COSCC
3.3. Expression of β-Catenin and AXIN2 in CAA and COSCC
4. Discussion
5. Conclusions
Author Contributions
Funding
Institutional Review Board Statement
Data Availability Statement
Acknowledgments
Conflicts of Interest
References
- Maxie, M.G. Jubb, Kennedy, and Palmer’s Pathology of Domestic Animals; Elsevier: St. Louis, MO, USA, 2015. [Google Scholar]
- Mikiewicz, M.; Pazdzior-Czapula, K.; Gesek, M.; Lemishevskyi, V.; Otrocka-Domagala, I. Canine and Feline Oral Cavity Tumours and Tumour-like Lesions: A Retrospective Study of 486 Cases (2015–2017). J. Comp. Pathol. 2019, 172, 80–87. [Google Scholar] [CrossRef] [PubMed]
- Munday, J.S.; Löhr Ch., V.; Kiupel, M. Tumors of the Alimentary Tract. In Tumors in Domestic Animals, 5th ed.; Meuten, D.J., Ed.; Wiley: Iowa, MI, USA, 2016; p. 410. [Google Scholar]
- Kuhnel, S.; Kessler, M. Prognosis of canine oral (gingival) squamous cell carcinoma after surgical therapy. A retrospective analysis in 40 patients. Tierarztl. Prax. Ausg. K Kleintiere Heimtiere 2014, 42, 359–366. [Google Scholar] [CrossRef] [PubMed]
- Thompson, L. World Health Organization classification of tumours: Pathology and genetics of head and neck tumours. Ear. Nose. Throat. J. 2006, 85, 74. [Google Scholar] [CrossRef]
- Pereira, M.C.; Oliveira, D.T.; Landman, G.; Kowalski, L.P. Histologic subtypes of oral squamous cell carcinoma: Prognostic relevance. J. Can. Dent. Assoc. 2007, 73, 339–344. [Google Scholar]
- Nemec, A.; Murphy, B.; Kass, P.H.; Verstraete, F.J. Histological subtypes of oral non-tonsillar squamous cell carcinoma in dogs. J. Comp. Pathol. 2012, 147, 111–120. [Google Scholar] [CrossRef]
- Liu, D.; Xiong, H.; Ellis, A.E.; Northrup, N.C.; Dobbin, K.K.; Shin, D.M.; Zhao, S. Canine spontaneous head and neck squamous cell carcinomas represent their human counterparts at the molecular level. PLoS Genet. 2015, 11, e1005277. [Google Scholar] [CrossRef] [PubMed]
- Cray, M.; Selmic, L.E.; Ruple, A. Demographics of dogs and cats with oral tumors presenting to teaching hospitals: 1996–2017. J. Vet. Sci. 2020, 21, e70. [Google Scholar] [CrossRef]
- Liptak, J.M.; Withrow, S. Oral tumors. In Small Animal Clinical Oncology; Withrow, S.J., Ed.; Elsevier Saunders: St. Louis, MI, USA, 2013; p. 381. [Google Scholar]
- Head, K.W. Histological Classification of Tumors of the Alimentary System of Domestic Animals; Armed Forces Institute of Pathology in cooperation with the American Registry of Pathology and the World Health Organiza-tion Collaborating Center for Worldwide Reference on Comparative Oncology: Washington, DC, USA, 2003. [Google Scholar]
- Grier, C.K.; Mayer, M.N. Radiation therapy of canine nontonsillar squamous cell carcinoma. Can. Vet. J. 2007, 48, 1189–1191. [Google Scholar]
- Yuasa, Y.; Kraegel, S.A.; Verstraete, F.J.; Winthrop, M.; Griffey, S.M.; Madewell, B.R. Amelogenin expression in canine oral tissues and lesions. J. Comp. Pathol. 1998, 119, 15–25. [Google Scholar] [CrossRef]
- Saffari, P.S.; Vapniarsky, N.; Pollack, A.S.; Gong, X.; Vennam, S.; Pollack, A.J.; Verstraete, F.J.M.; West, R.B.; Arzi, B.; Pollack, J.R. Most canine ameloblastomas harbor HRAS mutations, providing a novel large-animal model of RAS-driven cancer. Oncogenesis 2019, 8, 11. [Google Scholar] [CrossRef]
- Heikinheimo, K.; Kurppa, K.J.; Elenius, K. Novel targets for the treatment of ameloblastoma. J. Dent. Res. 2015, 94, 237–240. [Google Scholar] [CrossRef]
- Abe, M.; Zong, L.; Abe, T.; Takeshima, H.; Ji, J.; Ushijima, T.; Hoshi, K. BRAF inhibitor: A novel therapy for ameloblastoma in mandible. Chin. J. Cancer Res. 2018, 30, 677–678. [Google Scholar] [CrossRef]
- Brown, N.A.; Betz, B.L. Ameloblastoma: A Review of Recent Molecular Pathogenetic Discoveries. Biomark. Cancer 2015, 7, 19–24. [Google Scholar] [CrossRef] [PubMed]
- Zhan, T.; Rindtorff, N.; Boutros, M. Wnt signaling in cancer. Oncogene 2017, 36, 1461–1473. [Google Scholar] [CrossRef]
- Klaus, A.; Birchmeier, W. Wnt signalling and its impact on development and cancer. Nat. Rev. Cancer 2008, 8, 387–398. [Google Scholar] [CrossRef]
- Mestrinho, L.A.; Pissarra, H.; Faisca, P.B.; Braganca, M.; Peleteiro, M.C.; Niza, M.M. p63 and E-cadherin Expression in Canine Oral Squamous Cell Carcinoma. Vet. Pathol. 2015, 52, 614–620. [Google Scholar] [CrossRef] [PubMed]
- Nagamine, E.; Hirayama, K.; Matsuda, K.; Okamoto, M.; Ohmachi, T.; Uchida, K.; Kadosawa, T.; Taniyama, H. Invasive Front Grading and Epithelial-Mesenchymal Transition in Canine Oral and Cutaneous Squamous Cell Carcinomas. Vet. Pathol. 2017, 54, 783–791. [Google Scholar] [CrossRef]
- Foschini, M.P.; Cocchi, R.; Morandi, L.; Marucci, G.; Pennesi, M.G.; Righi, A.; Tosi, A.L.; de Biase, D.; Pession, A.; Montebugnoli, L. E-cadherin loss and Delta Np73L expression in oral squamous cell carcinomas showing aggressive behavior. Head Neck 2008, 30, 1475–1482. [Google Scholar] [CrossRef] [PubMed]
- Hashimoto, T.; Soeno, Y.; Maeda, G.; Taya, Y.; Aoba, T.; Nasu, M.; Kawashiri, S.; Imai, K. Progression of oral squamous cell carcinoma accompanied with reduced E-cadherin expression but not cadherin switch. PLoS ONE 2012, 7, e47899. [Google Scholar] [CrossRef] [PubMed]
- Jho, E.H.; Zhang, T.; Domon, C.; Joo, C.K.; Freund, J.N.; Costantini, F. Wnt/beta-catenin/Tcf signaling induces the transcription of Axin2, a negative regulator of the signaling pathway. Mol. Cell. Biol. 2002, 22, 1172–1183. [Google Scholar] [CrossRef]
- Liu, W.; Dong, X.; Mai, M.; Seelan, R.S.; Taniguchi, K.; Krishnadath, K.K.; Halling, K.C.; Cunningham, J.M.; Boardman, L.A.; Qian, C.; et al. Mutations in AXIN2 cause colorectal cancer with defective mismatch repair by activating beta-catenin/TCF signalling. Nat. Genet. 2000, 26, 146–147. [Google Scholar] [CrossRef]
- Wu, Z.Q.; Brabletz, T.; Fearon, E.; Willis, A.L.; Hu, C.Y.; Li, X.Y.; Weiss, S.J. Canonical Wnt suppressor, Axin2, promotes colon carcinoma oncogenic activity. Proc. Natl. Acad. Sci. USA 2012, 109, 11312–11317. [Google Scholar] [CrossRef] [PubMed]
- Koch, A.; Hrychyk, A.; Hartmann, W.; Waha, A.; Mikeska, T.; Waha, A.; Schuller, U.; Sorensen, N.; Berthold, F.; Goodyer, C.G.; et al. Mutations of the Wnt antagonist AXIN2 (Conductin) result in TCF-dependent transcription in medulloblastomas. Int. J. Cancer 2007, 121, 284–291. [Google Scholar] [CrossRef]
- Wissmann, C.; Wild, P.J.; Kaiser, S.; Roepcke, S.; Stoehr, R.; Woenckhaus, M.; Kristiansen, G.; Hsieh, J.C.; Hofstaedter, F.; Hartmann, A.; et al. WIF1, a component of the Wnt pathway, is down-regulated in prostate, breast, lung, and bladder cancer. J. Pathol. 2003, 201, 204–212. [Google Scholar] [CrossRef]
- Kim, B.K.; Yoo, H.I.; Kim, I.; Park, J.; Kim Yoon, S. FZD6 expression is negatively regulated by miR-199a-5p in human colorectal cancer. BMB Rep. 2015, 48, 360–366. [Google Scholar] [CrossRef]
- Bengochea, A.; de Souza, M.M.; Lefrancois, L.; Le Roux, E.; Galy, O.; Chemin, I.; Kim, M.; Wands, J.R.; Trepo, C.; Hainaut, P.; et al. Common dysregulation of Wnt/Frizzled receptor elements in human hepatocellular carcinoma. Br. J. Cancer 2008, 99, 143–150. [Google Scholar] [CrossRef]
- Haider, A.S.; Peters, S.B.; Kaporis, H.; Cardinale, I.; Fei, J.; Ott, J.; Blumenberg, M.; Bowcock, A.M.; Krueger, J.G.; Carucci, J.A. Genomic analysis defines a cancer-specific gene expression signature for human squamous cell carcinoma and distinguishes malignant hyperproliferation from benign hyperplasia. J. Invest. Dermatol. 2006, 126, 869–881. [Google Scholar] [CrossRef]
- Bergin, I.L.; Smedley, R.C.; Esplin, D.G.; Spangler, W.L.; Kiupel, M. Prognostic evaluation of Ki67 threshold value in canine oral melanoma. Vet. Pathol. 2011, 48, 41–53. [Google Scholar] [CrossRef] [PubMed]
- Sierra Matiz, O.R.; Santilli, J.; Anai, L.A.; Da Silva, M.C.L.; Sueiro, F.A.; Sequeira, J.L.; Magalhaes, L.F.; Magalhaes, G.M.; Tinucci Costa, M.; Calazans, S.G. Prognostic significance of Ki67 and its correlation with mitotic index in dogs with diffuse large B-cell lymphoma treated with 19-week CHOP-based protocol. J. Vet. Diagn. Invest. 2018, 30, 263–267. [Google Scholar] [CrossRef] [PubMed]
- Woldemeskel, M.; Hawkins, I.; Whittington, L. Ki-67 protein expression and tumor associated inflammatory cells (macrophages and mast cells) in canine colorectal carcinoma. BMC Vet. Res. 2017, 13, 111. [Google Scholar] [CrossRef]
- Maglennon, G.A.; Murphy, S.; Adams, V.; Miller, J.; Smith, K.; Blunden, A.; Scase, T.J. Association of Ki67 index with prognosis for intermediate-grade canine cutaneous mast cell tumours. Vet. Comp. Oncol. 2008, 6, 268–274. [Google Scholar] [CrossRef] [PubMed]
- Mestrinho, L.A.; Pissarra, H.; Carvalho, S.; Peleteiro, M.C.; Gawor, J.; Niza, M. Comparison of Histological and Proliferation Features of Canine Oral Squamous Cell Carcinoma Based on Intraoral Location: 36 Cases. J. Vet. Dent. 2017, 34, 92–99. [Google Scholar] [CrossRef]
- Xie, S.; Liu, Y.; Qiao, X.; Hua, R.X.; Wang, K.; Shan, X.F.; Cai, Z.G. What is the Prognostic Significance of Ki-67 Positivity in Oral Squamous Cell Carcinoma? J. Cancer 2016, 7, 758–767. [Google Scholar] [CrossRef] [PubMed]
- Verma, R.; Singh, A.; Jaiswal, R.; Chandra, A.; Verma, R.; Tak, J. Association of Ki-67 antigen and p53 protein at invasive tumor front of oral squamous cell carcinoma. Indian J. Pathol. Microbiol 2014, 57, 553–557. [Google Scholar] [CrossRef] [PubMed]
- Yuan, J.P.; Wang, L.W.; Qu, A.P.; Chen, J.M.; Xiang, Q.M.; Chen, C.; Sun, S.R.; Pang, D.W.; Liu, J.; Li, Y. Quantum dots-based quantitative and in situ multiple imaging on ki67 and cytokeratin to improve ki67 assessment in breast cancer. PLoS ONE 2015, 10, e0122734. [Google Scholar] [CrossRef] [PubMed]
- Wright, J.M.; Vered, M. Update from the 4th Edition of the World Health Organization Classification of Head and Neck Tumours: Odontogenic and Maxillofacial Bone Tumors. Head Neck Pathol. 2017, 11, 68–77. [Google Scholar] [CrossRef] [PubMed]
- Sathi, G.A.; Tamamura, R.; Tsujigiwa, H.; Katase, N.; Lefeuvre, M.; Siar, C.H.; Matsuda, H.; Nagatsuka, H. Analysis of immunoexpression of common cancer stem cell markers in ameloblastoma. Exp. Ther. Med. 2012, 3, 397–402. [Google Scholar] [CrossRef] [PubMed]
- Jaafari-Ashkavandi, Z.; Geramizadeh, B.; Ranjbar, M.A. P63 and Ki-67 Expression in Dentigerous Cyst and Ameloblastomas. J. Dent. (Shiraz) 2015, 16, 323–328. [Google Scholar]
- Boumahdi, S.; Driessens, G.; Lapouge, G.; Rorive, S.; Nassar, D.; Le Mercier, M.; Delatte, B.; Caauwe, A.; Lenglez, S.; Nkusi, E.; et al. SOX2 controls tumour initiation and cancer stem-cell functions in squamous-cell carcinoma. Nature 2014, 511, 246–250. [Google Scholar] [CrossRef] [PubMed]
- Bass, A.J.; Watanabe, H.; Mermel, C.H.; Yu, S.; Perner, S.; Verhaak, R.G.; Kim, S.Y.; Wardwell, L.; Tamayo, P.; Gat-Viks, I.; et al. SOX2 is an amplified lineage-survival oncogene in lung and esophageal squamous cell carcinomas. Nat. Genet. 2009, 41, 1238–1242. [Google Scholar] [CrossRef]
- Kitamura, H.; Torigoe, T.; Hirohashi, Y.; Asanuma, H.; Inoue, R.; Nishida, S.; Tanaka, T.; Fukuta, F.; Masumori, N.; Sato, N.; et al. Prognostic impact of the expression of ALDH1 and SOX2 in urothelial cancer of the upper urinary tract. Mod. Pathol. 2013, 26, 117–124. [Google Scholar] [CrossRef]
- Silva, B.S.; Silva, L.R.; Lima, K.L.; Dos Santos, A.C.; Oliveira, A.C.; Dezzen-Gomide, A.C.; Batista, A.C.; Yamamoto-Silva, F.P. SOX2 and BCL-2 Expressions in Odontogenic Keratocyst and Ameloblastoma. Med. Oral. Patol. Oral. Cir. Bucal. 2020, 25, e283–e290. [Google Scholar] [CrossRef]
- Leethanakul, C.; Patel, V.; Gillespie, J.; Pallente, M.; Ensley, J.F.; Koontongkaew, S.; Liotta, L.A.; Emmert-Buck, M.; Gutkind, J.S. Distinct pattern of expression of differentiation and growth-related genes in squamous cell carcinomas of the head and neck revealed by the use of laser capture microdissection and cDNA arrays. Oncogene 2000, 19, 3220–3224. [Google Scholar] [CrossRef] [PubMed]
- Uraguchi, M.; Morikawa, M.; Shirakawa, M.; Sanada, K.; Imai, K. Activation of WNT family expression and signaling in squamous cell carcinomas of the oral cavity. J. Dent. Res. 2004, 83, 327–332. [Google Scholar] [CrossRef] [PubMed]
- Yu, F.; Rasotto, R.; Zhang, H.; Pei, S.; Zhou, B.; Yang, X.; Jin, Y.; Zhang, D.; Lin, D. Evaluation of expression of the Wnt signaling components in canine mammary tumors via RT(2) Profiler PCR Array and immunochemistry assays. J. Vet. Sci. 2017, 18, 359–367. [Google Scholar] [CrossRef]
- Gracanin, A.; Timmermans-Sprang, E.P.; van Wolferen, M.E.; Rao, N.A.; Grizelj, J.; Vince, S.; Hellmen, E.; Mol, J.A. Ligand-independent canonical Wnt activity in canine mammary tumor cell lines associated with aberrant LEF1 expression. PLoS ONE 2014, 9, e98698. [Google Scholar] [CrossRef] [PubMed][Green Version]
- Han, J.I.; Kim, D.Y.; Na, K.J. Dysregulation of the Wnt/beta-catenin signaling pathway in canine cutaneous melanotic tumor. Vet. Pathol. 2010, 47, 285–291. [Google Scholar] [CrossRef]
- Cantilena, S.; Pastorino, F.; Pezzolo, A.; Chayka, O.; Pistoia, V.; Ponzoni, M.; Sala, A. Frizzled receptor 6 marks rare, highly tumourigenic stem-like cells in mouse and human neuroblastomas. Oncotarget 2011, 2, 976–983. [Google Scholar] [CrossRef]
- Corda, G.; Sala, G.; Lattanzio, R.; Iezzi, M.; Sallese, M.; Fragassi, G.; Lamolinara, A.; Mirza, H.; Barcaroli, D.; Ermler, S.; et al. Functional and prognostic significance of the genomic amplification of frizzled 6 (FZD6) in breast cancer. J. Pathol. 2017, 241, 350–361. [Google Scholar] [CrossRef]
- He, J.; Shi, J.; Zhang, K.; Xue, J.; Li, J.; Yang, J.; Chen, J.; Wei, J.; Ren, H.; Liu, X. Sox2 inhibits Wnt-beta-catenin signaling and metastatic potency of cisplatin-resistant lung adenocarcinoma cells. Mol. Med. Rep. 2017, 15, 1693–1701. [Google Scholar] [CrossRef]
- Wei, Z.; Zhong, M.; Guo, Y.; Wang, Y.; Ren, M.; Wang, Z. Expression of beta-catenin and AXIN2 in ameloblastomas. Contemp. Oncol. (Pozn) 2013, 17, 250–256. [Google Scholar] [CrossRef]
- Zhao, G.; Kim, K.Y.; Zheng, Z.; Oh, Y.; Yoo, D.S.; Lee, M.E.; Chung, K.Y.; Roh, M.R.; Jin, Z. AXIN2 and SNAIL expression predict the risk of recurrence in cutaneous squamous cell carcinoma after Mohs micrographic surgery. Oncol. Lett. 2020, 19, 2133–2140. [Google Scholar] [CrossRef]
- Zhang, X.; Kim, K.Y.; Zheng, Z.; Kim, H.S.; Cha, I.H.; Yook, J.I. Snail and Axin2 expression predict the malignant transformation of oral leukoplakia. Oral. Oncol. 2017, 73, 48–55. [Google Scholar] [CrossRef] [PubMed]
- Drees, F.; Pokutta, S.; Yamada, S.; Nelson, W.J.; Weis, W.I. Alpha-catenin is a molecular switch that binds E-cadherin-beta-catenin and regulates actin-filament assembly. Cell 2005, 123, 903–915. [Google Scholar] [CrossRef]
- Yamada, S.; Pokutta, S.; Drees, F.; Weis, W.I.; Nelson, W.J. Deconstructing the cadherin-catenin-actin complex. Cell 2005, 123, 889–901. [Google Scholar] [CrossRef] [PubMed]
- Bankfalvi, A.; Krassort, M.; Buchwalow, I.B.; Vegh, A.; Felszeghy, E.; Piffko, J. Gains and losses of adhesion molecules (CD44, E-cadherin, and beta-catenin) during oral carcinogenesis and tumour progression. J Pathol 2002, 198, 343–351. [Google Scholar] [CrossRef]
- Demunter, A.; Libbrecht, L.; Degreef, H.; De Wolf-Peeters, C.; van den Oord, J.J. Loss of membranous expression of beta-catenin is associated with tumor progression in cutaneous melanoma and rarely caused by exon 3 mutations. Mod Pathol 2002, 15, 454–461. [Google Scholar] [CrossRef] [PubMed]
- Ebert, M.P.; Yu, J.; Hoffmann, J.; Rocco, A.; Rocken, C.; Kahmann, S.; Muller, O.; Korc, M.; Sung, J.J.; Malfertheiner, P. Loss of beta-catenin expression in metastatic gastric cancer. J Clin Oncol 2003, 21, 1708–1714. [Google Scholar] [CrossRef] [PubMed]
- Bankfalvi, A.; Krassort, M.; Vegh, A.; Felszeghy, E.; Piffko, J. Deranged expression of the E-cadherin/beta-catenin complex and the epidermal growth factor receptor in the clinical evolution and progression of oral squamous cell carcinomas. J Oral Pathol Med 2002, 31, 450–457. [Google Scholar] [CrossRef] [PubMed]
- Mahomed, F.; Altini, M.; Meer, S. Altered E-cadherin/beta-catenin expression in oral squamous carcinoma with and without nodal metastasis. Oral Dis 2007, 13, 386–392. [Google Scholar] [CrossRef]
- Kumar, R.; Bashyam, M.D. Multiple oncogenic roles of nuclear beta-catenin. J Biosci 2017, 42, 695–707. [Google Scholar] [CrossRef] [PubMed]
- Shang, S.; Hua, F.; Hu, Z.W. The regulation of beta-catenin activity and function in cancer: Therapeutic opportunities. Oncotarget 2017, 8, 33972–33989. [Google Scholar] [CrossRef] [PubMed]





| Primary Antibody | Company | Catalog No. | Pre-Treatment | Detection | Dilution | Secondary Antibody | 
|---|---|---|---|---|---|---|
| SOX2 | Cell Signaling Technology | 2748 | Citrate buffer (pH 6.0), 20 min, 98 °C in water bath | IH-P (DAB), Hematoxylin | 1:100 | VECTASTAIN ABC HRP Kit (Peroxidase, Rabbit IgG), Vector Laboratories, USA, cat. No. PK-4010 | 
| AXIN2 | Abcam | 32197 | Citrate buffer (pH 6.0), 20 min, 98 °C in water bath | IH-P (DAB), Hematoxylin | 1:200 | VECTASTAIN ABC HRP Kit (Peroxidase, Rabbit IgG), Vector Laboratories, USA, cat. No. PK-4010 | 
| β-Catenin PY 489 | DSHB | 10144551 | Citrate buffer (pH 6.0), 20 min, 98 °C in water bath | IH-P (DAB), Hematoxylin | 1:50 | VECTASTAIN ABC HRP Kit (Peroxidase, Mouse IgG), Vector Laboratories, USA, cat. No. PK-4002 | 
| Ki-67 | Cell Marque | 275-R-16 | Citrate buffer (pH 6.0), 20 min, 98 °C in water bath | IH-P (DAB), Hematoxylin | 1:200 | UltraView Universal DAB Detection Kit, Ventana, cat. No. 05269806001 | 
| Primary Antibody | Company | Catalog No. | Pre-Treatment | Detection | Dilution | Secondary Antibody | 
|---|---|---|---|---|---|---|
| FZD6 | Assay Biotechnology | G260 | Citrate buffer (pH 6.0), 20 min, 98 °C in water bath | IF (Alexa Fluor 488), DRAQ5 | 1:100 | Goat anti-Rabbit IgG (H+L) Cross-Adsorbed Secondary Antibody, Alexa Fluor 488, Thermo Fisher Scientific, USA, cat. No. A11008 | 
| pan Cytokeratin | Abcam | 961 | Citrate buffer (pH 6.0), 20 min, 98 °C in water bath | IF (Alexa Fluor 568), DRAQ5 | 1:1 | Goat anti-Mouse IgG (H+L) Cross-Adsorbed Secondary Antibody, Alexa Fluor 568; Thermo Fisher Scientific, USA, cat. No. A11004 | 
| Publisher’s Note: MDPI stays neutral with regard to jurisdictional claims in published maps and institutional affiliations. | 
© 2021 by the authors. Licensee MDPI, Basel, Switzerland. This article is an open access article distributed under the terms and conditions of the Creative Commons Attribution (CC BY) license (https://creativecommons.org/licenses/by/4.0/).
Share and Cite
Putnová, B.; Putnová, I.; Škorič, M.; Buchtová, M. The Expression of Selected Wnt Pathway Members (FZD6, AXIN2 and β-Catenin) in Canine Oral Squamous Cell Carcinoma and Acanthomatous Ameloblastoma. Animals 2021, 11, 1615. https://doi.org/10.3390/ani11061615
Putnová B, Putnová I, Škorič M, Buchtová M. The Expression of Selected Wnt Pathway Members (FZD6, AXIN2 and β-Catenin) in Canine Oral Squamous Cell Carcinoma and Acanthomatous Ameloblastoma. Animals. 2021; 11(6):1615. https://doi.org/10.3390/ani11061615
Chicago/Turabian StylePutnová, Barbora, Iveta Putnová, Miša Škorič, and Marcela Buchtová. 2021. "The Expression of Selected Wnt Pathway Members (FZD6, AXIN2 and β-Catenin) in Canine Oral Squamous Cell Carcinoma and Acanthomatous Ameloblastoma" Animals 11, no. 6: 1615. https://doi.org/10.3390/ani11061615
APA StylePutnová, B., Putnová, I., Škorič, M., & Buchtová, M. (2021). The Expression of Selected Wnt Pathway Members (FZD6, AXIN2 and β-Catenin) in Canine Oral Squamous Cell Carcinoma and Acanthomatous Ameloblastoma. Animals, 11(6), 1615. https://doi.org/10.3390/ani11061615
 
         
                                                


 
       