Androgen and Estrogen Receptor Expression in Different Types of Perianal Gland Tumors in Male Dogs
Abstract
Simple Summary
Abstract
1. Introduction
2. Materials and Methods
2.1. Study Material
2.2. Immunohistochemistry
2.3. ER and AR Expression Evaluation
2.4. Statistical Analysis
3. Results
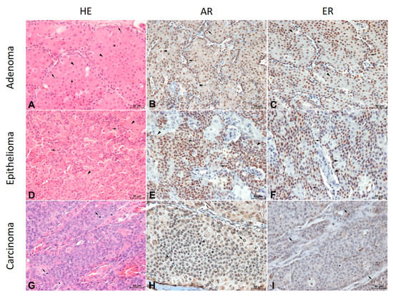
3.1. Dog Population and Histopathology
3.2. Expression of Androgen Receptors in Basaloid and Hepatoid Cells in Different Types of Neoplastic Lesions
3.3. Expression of Estrogen Receptors in Basaloid and Hepatoid Cells in Different Types of Neoplastic Lesions
4. Discussion
5. Conclusions
Author Contributions
Funding
Institutional Review Board Statement
Data Availability Statement
Acknowledgments
Conflicts of Interest
References
- Turek, M.M.; Withrow, S.J. Perianal tumors. In Small Animal Clinical Oncolog, 5th ed.; Withrow, S.J., MacEwen, E.G., Page, R.L., Eds.; Elsevier Saunders: St. Louis, MO, USA, 2013; pp. 423–431. [Google Scholar]
- Brodzki, A.; Sobczyńska-Rak, A.; Brodzki, P.; Tatara, M.R.; Silmanowicz, P. Occurrence, etiology and antihormonal treatment of perianal gland tumors in male dogs. Med. Weter. 2014, 70, 638–643. [Google Scholar]
- Maita, K.; Ishida, K. Structure and development of the perianal gland of the dog. Jpn. J. Vet. Sci. 1975, 37, 349–356. [Google Scholar] [CrossRef]
- Isitor, G.N.; Weinman, D.E. Origin and early development of canine circumanal glands. Am. J. Vet. Res. 1979, 40, 487–492. [Google Scholar] [PubMed]
- Hayes, H.M., Jr.; Wilson, G.P. Hormone-dependent neoplasms of the canine perianal gland. Cancer Res. 1977, 37, 2068–2071. [Google Scholar]
- Millán, Y.; Guil-Luna, S.; Reymundo, C.; Sánchez-Céspedes, R.; de las Mulas, J.M. Sex steroid hormones and tumors in domestic animals. In Insights from Veterinary Medicine; Payan Carreira, R., Ed.; IntechOpen: London, UK, 2013; pp. 191–214. [Google Scholar]
- Withrow, S.J.; MacEwen, E.G. Small Animal Clinical Oncology, 3rd ed.; W.B Saunders Company: Philadelphia, PA, USA, 2001; pp. 346–353. [Google Scholar]
- Goldschmidt, M.H.; Shofer, F.S. Skin Tumors of the Dog and Cat; Pergamon Press: Oxford, UK, 1992; p. 66. [Google Scholar]
- Nielsen, S.W.; Aftosmins, J. Canine perianal gland tumors. JAVMA 1964, 144, 127–135. [Google Scholar]
- Wilson, G.P.; Hayes, H.M. Castration for the treatment of perianal gland neoplasms in the dog. JAVMA 1979, 174, 1301–1303. [Google Scholar]
- Pisani, G.; Millanta, F.; Lorenzi, D.; Vannozzi, I.; Poli, A. Androgen receptor expression in normal, hyperplastic and neoplastic hepatoid glans in the dog. Res. Vet. Sci. 2006, 81, 231–236. [Google Scholar] [CrossRef]
- Goldschmidt, M.H.; Dunstan, R.W.; Stannard, A.A.; Tscharner, C.; Walder, E.J.; Yager, J.A. Histological Classification of Epithelial and melanocytic tumors of the skin of domestic animals. In World Heatlh Organization International Histological Classification of Tumors of Domestic Animals, 2nd ed.; Armed Forces Institute of Pathology: Washington, DC, USA, 1998; Volume III. [Google Scholar]
- Nadji, M.; Morales, A.R. Immunoperoxidase Techniques, a Practical Approach to Tumor Diagnosis; American Society for Clinical Pathology: Chicago, IL, USA, 1986. [Google Scholar]
- Di Cataldo, S.; Ficarra, E.; Macii, E. Computer-aided techniques for chromogenic immunohistochemistry: Status and directions. Comput. Biol. Med. 2012, 42, 1012–1025. [Google Scholar] [CrossRef]
- Zieliński, K.W. Principles of histomorphometry in pathomorphological studies. Pol. J. Pathol. 1994, 45, 18–23. [Google Scholar]
- Remmele, W.; Stegner, H.E. Recommendation for uniform definition of animmunoreactive score (IRS) for immunohistochemical estrogen receptordetection (ER-ICA) in breast cancer tissue. Pathology 1987, 8, 138–140. [Google Scholar]
- Burdzińska, A.; Idziak, M. Circumanal gland tumors in dogs. Mag. Wet. 2008, 16, 1130–1134. [Google Scholar]
- Kim, S.H.; Seung, B.J.; Cho, S.H.; Lim, H.Y.; Hwang, J.H.; Sur, J.H. Expression of Oestrogen Receptor, Progesterone Receptor and Akt in Canine Circumanal Gland Tumours. J. Comp. Pathol. 2018, 162, 59–65. [Google Scholar] [CrossRef]
- Husain, I.; Shukla, S.; Soni, P.; Husain, N. Role of androgen receptor in prostatic neoplasia versus hyperplasia. J. Cancer. Res. Ther. 2016, 12, 112–116. [Google Scholar]
- Zadeh, S.L.; Duska, L.R.; Mills, A.M. Androgen receptor expression in endometrial carcinoma. Int. J. Gynecol. Pathol. 2018, 37, 167–173. [Google Scholar] [CrossRef]
- Hui, H.; Zhang, H.; Kong, Q.; Jiang, Y. Mechanisms for estrogen receptor expression in human cancer. Exp. Hematol. Oncol. 2018, 7, 24. [Google Scholar] [CrossRef]
- Louie, M.C.; Sevigny, M.B. Steroid hormone receptors as prognostic mark-ers in breast cancer. Am. J. Cancer Res. 2017, 7, 1617–1636. [Google Scholar]
- Dunnwald, L.K.; Rossing, M.A.; Li, C.I. Hormone receptor status, tumor characteristics, and prognosis: A prospective cohort of breast cancer patients. Breast Cancer Res. 2007, 9, R6. [Google Scholar] [CrossRef]
- Jordan, V.C. Long-term adjuvant tamoxifen therapy for breast cancer. Breast Cancer Res. Treat. 1990, 15, 125–136. [Google Scholar] [CrossRef]
- Martin, P.M.; Cotard, M.; Mialot, J.P.; André, F.; Raynaud, J.P. Animal models for hormone-dependent human breast cancer. Cancer Chemother. Pharmacol. 1984, 12, 13–17. [Google Scholar] [CrossRef] [PubMed]
- Nieto, A.; Peña, L.; Pérez-Alenza, M.D.; Sánchez, M.A.; Flores, J.M.; Castaño, M. Immunohistologic Detection of Estrogen Receptor Alpha in Canine Mammary Tumors: Clinical and Pathologic Associations and Prognostic Significance. Vet. Pathol. 2000, 37, 239–247. [Google Scholar] [CrossRef] [PubMed]
- Guil-Luna, S.; Millán, Y.; De Andres, J.; Rollón, E.; Domingo, V.; García-Macías, J.; Sánchez-Céspedes, R.; Martín de Las Mulas, J. Prognostic impact of neoadjuvant aglepristone treatment in clinicopathological parameters of progesterone receptor-positive canine mammary carcinomas. Vet. Comp. Oncol. 2017, 15, 391–399. [Google Scholar] [CrossRef] [PubMed]
- Millanta, F.; Calandrella, M.; Vannozzi, I.; Poli, A. Steroid hormone receptors in normal, dysplastic and neoplastic feline mammary tissues and their prognostic significance. Vet. Rec. 2006, 158, 821–824. [Google Scholar] [CrossRef] [PubMed]



| Receptor Type | Type of Cells | Score | Adenoma n = 24 Mean Value ± SD | Epithelioma n = 12 Mean Value ± SD | Carcinoma n = 5 Mean Value ± SD |
|---|---|---|---|---|---|
| AR | Basaloid cells | PS | 2.33 ± 0.56 | 2.08 ± 0.66 | 1.40 ± 0.89 |
| ISS | 2.00 ± 0.66 a | 1.42 ± 0.51 ab | 1.00 ± 0.70 b | ||
| TS | 4.33 ± 1.00 a | 3.50 ± 0.67 ab | 2.40 ± 1.51 b | ||
| Hepatoid cells | PS | 1.67 ± 0.91 | 1.42 ± 1.08 | 1.00 ± 1.00 | |
| ISS | 1.50 ± 0.93 | 0.83 ± 0.58 | 0.80 ± 0.84 | ||
| TS | 3.16 ± 1.61 | 2.25 ± 1.54 | 1.80 ± 1.79 | ||
| TES | 7.50 ± 2.39 a | 5.75 ± 1.86 b | 4.20 ± 3.19 b | ||
| ER | Basaloid cells | PS | 2.12 ± 0.80 | 1.92 ± 0.67 | 1.20 ± 1.30 |
| ISS | 2.17 ± 0.70 a | 1.67 ± 0.78 ab | 0.80 ± 0.84 b | ||
| TS | 4.29 ± 1.20 a | 3.58 ± 1.38 ab | 2.00 ± 2.12 b | ||
| Hepatoid cells | PS | 0.83 ± 0.70 | 0.92 ± 0.79 | 0.20 ± 0.45 | |
| ISS | 0.83 ± 0.70 | 0.92 ± 0.80 | 0.20 ± 0.45 | ||
| TS | 1.67 ± 1.31 | 1.83 ± 1.53 | 0.40 ± 0.89 | ||
| TES | 5.96 ± 2.14 a | 5.42 ± 2.50 ab | 2.40 ± 2.88 b | ||
Publisher’s Note: MDPI stays neutral with regard to jurisdictional claims in published maps and institutional affiliations. |
© 2021 by the authors. Licensee MDPI, Basel, Switzerland. This article is an open access article distributed under the terms and conditions of the Creative Commons Attribution (CC BY) license (http://creativecommons.org/licenses/by/4.0/).
Share and Cite
Brodzki, A.; Łopuszyński, W.; Millan, Y.; Tatara, M.R.; Brodzki, P.; Kulpa, K.; Minakow, N. Androgen and Estrogen Receptor Expression in Different Types of Perianal Gland Tumors in Male Dogs. Animals 2021, 11, 875. https://doi.org/10.3390/ani11030875
Brodzki A, Łopuszyński W, Millan Y, Tatara MR, Brodzki P, Kulpa K, Minakow N. Androgen and Estrogen Receptor Expression in Different Types of Perianal Gland Tumors in Male Dogs. Animals. 2021; 11(3):875. https://doi.org/10.3390/ani11030875
Chicago/Turabian StyleBrodzki, Adam, Wojciech Łopuszyński, Yolanda Millan, Marcin R. Tatara, Piotr Brodzki, Katarzyna Kulpa, and Natalia Minakow. 2021. "Androgen and Estrogen Receptor Expression in Different Types of Perianal Gland Tumors in Male Dogs" Animals 11, no. 3: 875. https://doi.org/10.3390/ani11030875
APA StyleBrodzki, A., Łopuszyński, W., Millan, Y., Tatara, M. R., Brodzki, P., Kulpa, K., & Minakow, N. (2021). Androgen and Estrogen Receptor Expression in Different Types of Perianal Gland Tumors in Male Dogs. Animals, 11(3), 875. https://doi.org/10.3390/ani11030875

