Characterization of Primary Cultures of Normal and Neoplastic Canine Melanocytes
Abstract
Simple Summary
Abstract
1. Introduction
2. Materials and Methods
2.1. Sample Collection
2.2. Primary Culture of Normal Melanocytes
2.3. Primary Culture of Neoplastic Melanocytes
2.3.1. Spontaneous Migration
2.3.2. Enzymatic Digestion
2.4. Histochemistry and Immunocytochemistry
3. Results
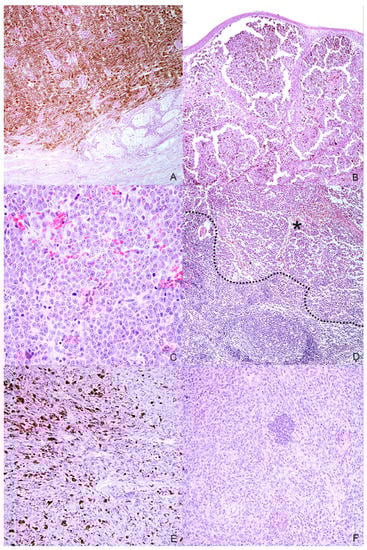
3.1. Sample Population and Histopathology
3.2. Primary Culture of Normal Melanocytes
3.3. Primary Culture of Neoplastic Melanocytes
3.4. Cell Cultures Characterization
4. Discussion
5. Conclusions
Author Contributions
Funding
Institutional Review Board Statement
Data Availability Statement
Acknowledgments
Conflicts of Interest
References
- Segaoula, Z.; Primot, A.; Lepretre, F.; Hedan, B.; Bouchaert, E.; Minier, K.; Marescaux, L.; Serres, F.; Galiègue-Zouitina, S.; André, C.; et al. Isolation and characterization of two canine melanoma cell lines: New models for comparative oncology. BMC Cancer 2018, 18, 1219. [Google Scholar] [CrossRef] [PubMed]
- Nishiya, A.T.; Massoco, C.O.; Felizzola, C.R.; Perlmann, E.; Batschinski, K.; Tedardi, M.V.; Garcia, J.S.; Mendonça, P.P.; Teixeira, T.F.; Zaidan Dagli, M.L. Comparative aspects of canine melanoma. Vet. Sci. 2016, 3, 7. [Google Scholar] [CrossRef] [PubMed]
- Porcellato, I.; Brachelente, C.; De Paolis, L.; Menchetti, L.; Silvestri, S.; Sforna, M.; Vichi, G.; Iussich, S.; Mechelli, L. FoxP3 and IDO in Canine Melanocytic Tumors. Vet. Pathol. 2019, 56, 189–199. [Google Scholar] [CrossRef] [PubMed]
- Prouteau, A.; André, C. Canine melanomas as models for human melanomas: Clinical, histological, and genetic comparison. Genes 2019, 10, 501. [Google Scholar] [CrossRef] [PubMed]
- Aktary, Z.; McMahon, M.; Larue, L. Animal Models of Melanoma. In Melanoma; Springer: New York, NY, USA, 2018; pp. 1–31. [Google Scholar] [CrossRef]
- Marconi, A.; Quadri, M.; Saltari, A.; Pincelli, C. Progress in melanoma modelling in vitro. Exp. Dermatol. 2018, 27, 578–586. [Google Scholar] [CrossRef] [PubMed]
- Hernandez, B.; Adissu, H.A.; Wei, B.R.; Michael, H.T.; Merlino, G.; Simpson, R.M. Naturally occurring canine melanoma as a predictive comparative oncology model for human mucosal and other triple wild-type melanomas. Int. J. Mol. Sci. 2018, 19, 394. [Google Scholar] [CrossRef] [PubMed]
- Tarone, L.; Barutello, G.; Iussich, S.; Giacobino, D.; Quaglino, E.; Buracco, P.; Cavallo, F.; Riccardo, F. Naturally occurring cancers in pet dogs as pre-clinical models for cancer immunotherapy. Cancer Immunol. Immunother. 2019, 68, 1839–1853. [Google Scholar] [CrossRef] [PubMed]
- Gillard, M.; Cadieu, E.; De Brito, C.; Abadie, J.; Vergier, B.; Devauchelle, P.; Degorce, F.; Dreano, S.; Primot, A.; Dorso, L.; et al. Naturally occurring melanomas in dogs as models for non-UV pathways of human melanomas. Pigment Cell Melanoma Res. 2014, 27, 90–102. [Google Scholar] [CrossRef] [PubMed]
- Simpson, R.M.; Bastian, B.C.; Michael, H.T.; Webster, J.D.; Prasad, M.L.; Conway, C.M.; Prieto, V.M.; Gary, J.M.; Goldschmidt, M.H.; Esplin, D.G.; et al. Sporadic naturally occurring melanoma in dogs as a preclinical model for human melanoma. Pigment Cell Melanoma Res. 2014, 27, 37–47. [Google Scholar] [CrossRef] [PubMed]
- Welte, Y.; Davies, C.; Schäfer, R.; Regenbrecht, C.R.A. Patient derived cell culture and isolation of CD133+ putative cancer stem cells from melanoma. J. Vis. Exp. 2013, 1–9. [Google Scholar] [CrossRef] [PubMed]
- Inoue, K.; Ohashi, E.; Kadosawa, T.; Hong, S.H.; Matsunaga, S.; Mochizuki, M.; Nishimura, R.; Sasaki, N. Establishment and Characterization of Four Canine Melanoma Cell Lines. J. Vet. Med. Sci 2004, 66, 1437–1440. [Google Scholar] [CrossRef] [PubMed]
- Touil, Y.; Segaoula, Z.; Thuru, X.; Galiegue-Zouitina, S.; Tierny, D.; Quesnel, B. Aggressiveness Potential of Spontaneous Canine Mucosal Melanoma Can Dictate Distinct Cancer Stem Cell Compartment Behaviors in Regard to Their Initial Size and Expansion Abilities. Stem Cells Dev. 2020. [Google Scholar] [CrossRef] [PubMed]
- Dawson-Baglien, E.M.; Winkler, P.A.; Bruewer, A.R.; Petersen-Jones, S.M.; Bartoe, J.T. Isolation and cultivation of canine uveal melanocytes. Vet. Ophthalmol. 2015, 18, 285–290. [Google Scholar] [CrossRef] [PubMed]
- Lin, W.; Modiano, J.F.; Ito, D. Stage-specific embryonic antigen: Determining expression in canine glioblastoma, melanoma, and mammary cancer cells. J. Vet. Sci. 2017, 18, 101–104. [Google Scholar] [CrossRef] [PubMed]
- Smedley, R.C.; Spangler, W.L.; Esplin, D.G.; Kitchell, B.E.; Bergman, P.J.; Ho, H.-Y.; Bergin, I.L.; Kiupel, M. Prognostic markers for canine melanocytic neoplasms: A comparative review of the literature and goals for future investigation. Vet. Pathol. 2011, 48, 54–72. [Google Scholar] [CrossRef] [PubMed]
- Wessels, D.; Lusche, D.F.; Voss, E.; Kuhl, S.; Buchele, E.C.; Klemme, M.R.; Russell, K.B.; Ambrose, J.; Soll, B.A.; Bossler, A.; et al. Melanoma cells undergo aggressive coalescence in a 3D Matrigel model that is repressed byanti-CD44. PLoS ONE 2017, 12, e0173400. [Google Scholar] [CrossRef] [PubMed]
- Wang, D.; Xu, X.; Ma, H.; Yue, X.; Li, C.; Zhu, W. Optimization of the method for the culture of melanocyte precursors from hair follicles and their activation by 1,25-dihydroxyvitamin D3. Exp. Ther. Med. 2013, 6, 967–972. [Google Scholar] [CrossRef][Green Version]
- Lourenço, S.V.; Bologna, S.B.; Hsieh, R.; Sangueza, M.; Fernandes, J.D.; Nico, M. Establishment and characterization of an oral mucosal melanoma cell line (MEMO) derived from a longstanding primary oral melanoma. Am. J. Dermatopathol. 2013, 35, 248–251. [Google Scholar] [CrossRef] [PubMed]
- Van der Weyden, L.; Brenn, T.; Patton, E.E.; Wood, G.A.; Adams, D.J. Spontaneously occurring melanoma in animals and their relevance to human melanoma. J. Pathol. 2020, 252, 4–21. [Google Scholar] [CrossRef]
- Esparza-López, J.; Martínez-Aguilar, J.F.; de Ibarra-Sánchez, M.J. Deriving Primary Cancer Cell Cultures for Personalized Therapy. Rev. Investig. Clin. 2019, 71, 369–380. [Google Scholar] [CrossRef]
- Pastor, D.M.; Poritz, L.S.; Olson, T.L.; Kline, C.L.; Harris, L.R., III; Koltun, W.A.; Chinchilli, V.M.; Irby, R.B. Primary cell lines: False representation or model system? A comparison of four human colorectal tumors and their coordinately established cell lines. Int. J. Clin. Exp. Med. 2010, 3, 69–83. [Google Scholar] [PubMed]
- Lin, J.J. Cancer Treatment. Caring Patients Across Cancer Care Contin. Essent. Prim. Care 2019, 6, 93–123. [Google Scholar]
- Kaur, G.; Dufour, J.M. Cell lines. Spermatogenesis 2012, 2, 1–5. [Google Scholar] [CrossRef] [PubMed]
- Tang, J.; Li, Q.; Cheng, B.; Jing, L. Primary culture of human face skin melanocytes for the study of hyperpigmentation. Cytotechnology 2014, 66, 891–898. [Google Scholar] [CrossRef] [PubMed]
- Julé, S.; Bossé, P.; Egidy, G.; Panthier, J.J. Establishment and characterization of a normal melanocyte cell line derived from pig skin. Pigment Cell Res. 2003, 16, 407–410. [Google Scholar] [CrossRef] [PubMed]
- Bao, J.; Wang, L.; Wang, G.; Liu, X.; Yang, F. Isolation and culture of melanocytes from the arctic fox (Alopex lagopus). Ital. J. Anim. Sci. 2015, 14, 578–582. [Google Scholar] [CrossRef]
- Dagnino, L.; Crawford, M. Isolation, Culture, and Motility Measurements of Epidermal Melanocytes from GFP-Expressing Reporter Mice. Skin Stem Cells Methods Mol. Biol. 2018, 243–256. [Google Scholar] [CrossRef]
- Miller, W.; Griffin, C.E.; Campbell, K.L. Muller and Kirk’s Small Animal Dermatology; Elsevier Inc.: Amsterdam, The Netherlands, 2013. [Google Scholar]
- Scott, G. Selective proliferation of normal human melanocytes in vitro in the presence of phorbol ester and cholera toxin by eisinger and marko. Exp. Dermatol. 2014, 23, 18–19. [Google Scholar] [CrossRef] [PubMed]
- Wood, E.A.; Lu, Z.; Jia, S.; Assumpção, A.L.F.V.; Van Hesteren, M.A.; Huelsmeyer, M.K.; Vail, D.M.; Pan, X. Pevonedistat targeted therapy inhibits canine melanoma cell growth through induction of DNA re-replication and senescence. Vet. Comp. Oncol. 2020, 18, 269–280. [Google Scholar] [CrossRef] [PubMed]
- Przeździecki, R.; Czopowicz, M.; Sapierzyński, R. Accuracy of routine cytology and immunocytochemistry in preoperative diagnosis of oral amelanotic melanomas in dogs. Vet. Clin. Pathol. 2015, 44, 597–604. [Google Scholar] [CrossRef] [PubMed]
- Höinghaus, R.; Mischke, R.; Hewicker-Trautwein, M. Use of immunocytochemical techniques in canine melanoma. J. Vet. Med. Ser. A Physiol. Pathol. Clin. Med. 2002, 49, 198–202. [Google Scholar] [CrossRef] [PubMed]




| Case | Dog | Tumor | Margins § | ||||||
|---|---|---|---|---|---|---|---|---|---|
| Breed | Age | Sex | Primary Site | Distant Metastases | Histologic Diagnosis | Dimensions (Range in cm) | Area (cm2) | Distance (cm) | |
| 1 | Mixed breed | 8 | M | Skin (interdigital) | No | CMC | 1.2–2 | 2 | 1.5 |
| 2 | English setter | 11 | F | Buccal mucosa | No | MM | 0.5–2 | 0.5 | 1 |
| 3 | German shepherd | 10 | M | SLabial mucosa | Yes | MM | NA | NA | NA |
| 4 | Dobermann | 9 | F | Skin-flank | No | CM | 1–2.6 | 1 | 1.5 |
| 5 | Mixed breed | 14 | F | Oral cavity | No | MM | NA | NA | NA |
Publisher’s Note: MDPI stays neutral with regard to jurisdictional claims in published maps and institutional affiliations. |
© 2021 by the authors. Licensee MDPI, Basel, Switzerland. This article is an open access article distributed under the terms and conditions of the Creative Commons Attribution (CC BY) license (http://creativecommons.org/licenses/by/4.0/).
Share and Cite
Sforna, M.; Chiaradia, E.; Porcellato, I.; Silvestri, S.; Moretti, G.; Mechelli, L.; Brachelente, C. Characterization of Primary Cultures of Normal and Neoplastic Canine Melanocytes. Animals 2021, 11, 768. https://doi.org/10.3390/ani11030768
Sforna M, Chiaradia E, Porcellato I, Silvestri S, Moretti G, Mechelli L, Brachelente C. Characterization of Primary Cultures of Normal and Neoplastic Canine Melanocytes. Animals. 2021; 11(3):768. https://doi.org/10.3390/ani11030768
Chicago/Turabian StyleSforna, Monica, Elisabetta Chiaradia, Ilaria Porcellato, Serenella Silvestri, Giulia Moretti, Luca Mechelli, and Chiara Brachelente. 2021. "Characterization of Primary Cultures of Normal and Neoplastic Canine Melanocytes" Animals 11, no. 3: 768. https://doi.org/10.3390/ani11030768
APA StyleSforna, M., Chiaradia, E., Porcellato, I., Silvestri, S., Moretti, G., Mechelli, L., & Brachelente, C. (2021). Characterization of Primary Cultures of Normal and Neoplastic Canine Melanocytes. Animals, 11(3), 768. https://doi.org/10.3390/ani11030768

