An Alternative Approach to Evaluate the Quality of Protein-Based Raw Materials for Dry Pet Food
Abstract
Simple Summary
Abstract
1. Introduction
2. Materials and Methods
2.1. Raw Materials
2.2. Determination of Moisture Content
2.3. Protein Solubilization
2.4. Determination of Soluble Proteins
2.5. Determination of Nitrogen Content
2.6. Near-Infrared (NIR) Spectroscopy
2.7. Conversion Factors
2.8. SDS-PAGE and Coomassie Blue Staining Method
2.9. Amino Acid Profile
2.10. In Vitro Digestibility
2.11. Statistical Analysis
3. Results
3.1. Protein Content
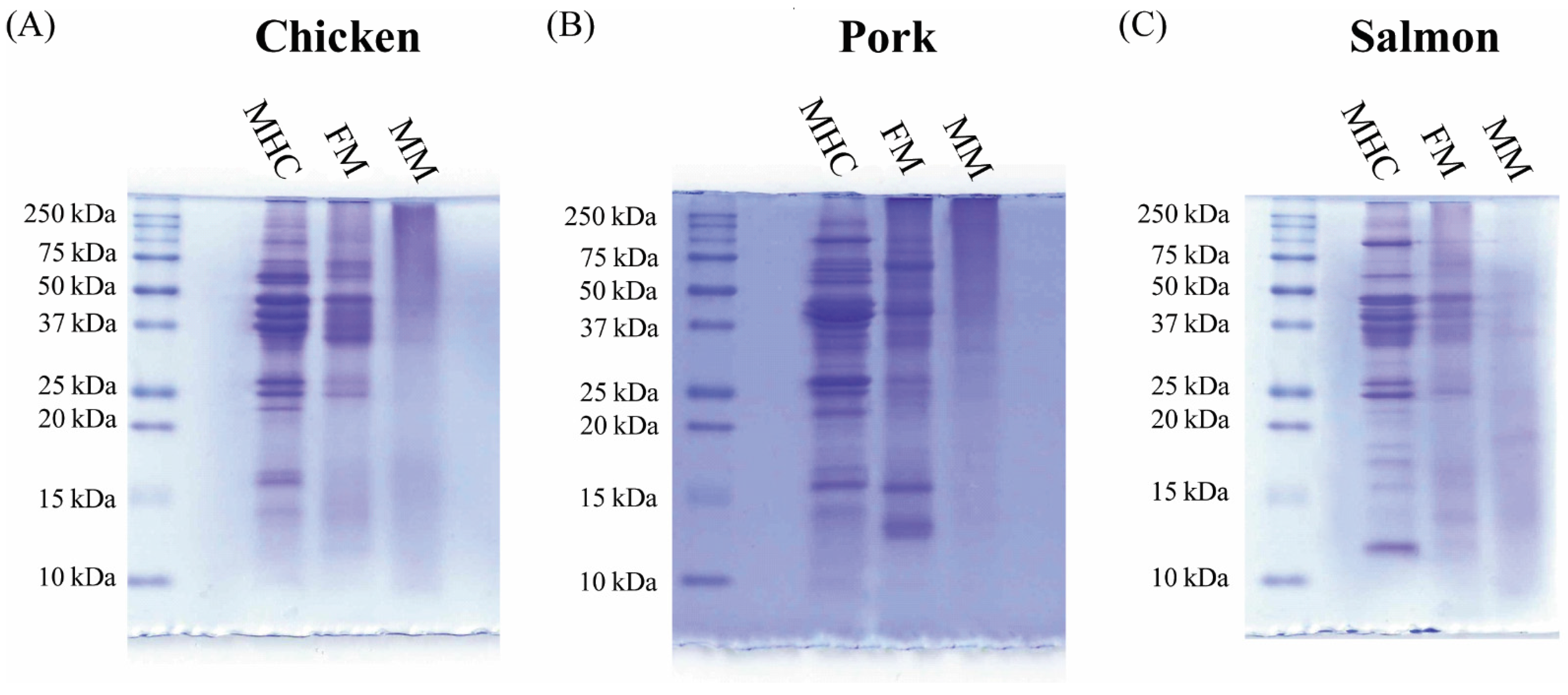
3.2. Protein Profile
3.3. Amino Acid Profile
3.4. In Vitro Digestibility
4. Discussion
5. Conclusions
Author Contributions
Funding
Institutional Review Board Statement
Data Availability Statement
Conflicts of Interest
References
- Zicker, S.C. Evaluating pet foods: How confident are you when you recommend a commercial pet food? Top. Companion Anim. Med. 2008, 23, 121–126. [Google Scholar] [CrossRef]
- Montegiove, N.; Calzoni, E.; Cesaretti, A.; Alabed, H.; Pellegrino, R.M.; Emiliani, C.; Pellegrino, A.; Leonardi, L. Comprehensive evaluation of lipidic content in dry pet food raw materials: Comparison between fresh meats and meat meals. Sci. Bull. Ser. F Biotechnol. 2020, 24, 122–129. [Google Scholar]
- Thompson, A. Ingredients: Where pet food starts. Top. Companion Anim. Med. 2008, 23, 127–132. [Google Scholar] [CrossRef]
- Ribeiro, L.B.; Bankuti, F.I.; da Silva, M.U.; Ribeiro, P.M.; Silva, J.M.; Sato, J.; Bortolo, M.; Vasconcellos, R.S. Oxidative stability and nutritional quality of poultry by-product meal: An approach from the raw material to the finished product. Anim. Feed Sci. Technol. 2019, 255, 114226. [Google Scholar] [CrossRef]
- Van Rooijen, C.; Bosch, G.; van der Poel, A.F.; Wierenga, P.A.; Alexander, L.; Hendriks, W.H. The Maillard reaction and pet food processing: Effects on nutritive value and pet health. Nutr. Res. Rev. 2013, 26, 130–148. [Google Scholar] [CrossRef]
- Montegiove, N.; Calzoni, E.; Cesaretti, A.; Alabed, H.; Pellegrino, R.M.; Emiliani, C.; Pellegrino, A.; Leonardi, L. Biogenic amine analysis in fresh meats and meat meals used as raw materials for dry pet food production. Sci. Bull. Ser. F Biotechnol. 2020, 24, 33–42. [Google Scholar]
- Learey, J.J.; Crawford-Clark, S.; Bowen, B.J.; Barrow, C.J.; Adcock, J.L. Detection of biogenic amines in pet food ingredients by RP-HPLC with automated dansyl chloride derivatization. J. Sep. Sci. 2018, 41, 4430–4436. [Google Scholar] [CrossRef] [PubMed]
- Brozić, D.; Mikulec, Ž.; Samardžija, M.; Đuričić, D.; Valpotić, H. Raw meat-based diet (barf) in dogs and cats nutrition. Ветеринарски Журнал Републике Српске 2019, 19, 314–321. [Google Scholar]
- Carter, R.A.; Bauer, J.E.; Kersey, J.H.; Buff, P.R. Awareness and evaluation of natural pet food products in the United States. J. Am. Vet. Med. Assoc. 2014, 245, 1241–1248. [Google Scholar] [CrossRef] [PubMed]
- Tran, Q.D.; Hendriks, W.H.; van der Poel, A.F. Effects of extrusion processing on nutrients in dry pet food. J. Sci. Food Agric. 2008, 88, 1487–1493. [Google Scholar] [CrossRef]
- Bhattacharya, D.; Kandeepan, G.; Vishnuraj, M.R. Protein Oxidation in Meat and Meat Products—A Review. J. Meat Sci. Technol. 2016, 4, 44–52. [Google Scholar]
- Lund, M.N.; Baron, C.P. Protein oxidation in foods and food quality. In Chemical Deterioration and Physical Instability of Food and Beverages; Woodhead Publishing Limited: Cambridge, UK, 2010; pp. 33–69. [Google Scholar]
- Lund, M.N.; Heinonen, M.; Baron, C.P.; Estévez, M. Protein oxidation in muscle foods: A review. Mol. Nutr. Food Res. 2011, 55, 83–95. [Google Scholar] [CrossRef]
- Xiong, Y.L. Protein Oxidation and Implications for Muscle Food Quality. In Antioxidants in Muscle Foods: Nutritional Strategies to Improve Quality; Wiley and Sons: New York, NY, USA, 2000; pp. 85–90. [Google Scholar]
- Zhang, W.; Xiao, S.; Ahn, D.U. Protein oxidation: Basic principles and implications for meat quality. Crit. Rev. Food Sci. Nutr. 2013, 53, 1191–1201. [Google Scholar] [CrossRef]
- Estévez, M. Protein carbonyls in meat systems: A review. Meat Sci. 2011, 89, 259–279. [Google Scholar] [CrossRef] [PubMed]
- Friedman, M. Food browning and its prevention: An overview. J. Agric. Food Chem. 1996, 44, 631–653. [Google Scholar] [CrossRef]
- Case, L.P.; Daristotle, L.; Hayek, M.G.; Raasch, M.F. Canine and Feline Nutrition-E-Book: A Resource for Companion Animal Professionals; Elsevier Health Sciences: Maryland Heights, MO, USA, 2010. [Google Scholar]
- Shimomura, Y.; Murakami, T.; Nakai, N.; Nagasaki, M.; Harris, R.A. Exercise promotes BCAA catabolism: Effects of BCAA supplementation on skeletal muscle during exercise. J. Nutr. 2004, 134, 1583S–1587S. [Google Scholar] [CrossRef]
- Isanejad, M.; LaCroix, A.Z.; Thomson, C.A.; Tinker, L.; Larson, J.C.; Qi, Q.; Qi, L.; Cooper-DeHoff, R.M.; Philips, L.S.; Prentice, L.S.; et al. Branched-chain amino acid, meat intake and risk of type 2 diabetes in the Women’s Health Initiative. Br. J. Nutr. 2017, 117, 1523–1530. [Google Scholar] [CrossRef] [PubMed]
- Sowers, S. A primer on branched chain amino acids. Huntingt. Coll. Health Sci. 2009, 5, 1–6. [Google Scholar]
- Calders, P.; Matthys, D.; Derave, W.; Pannier, J.L. Effect of branched-chain amino acids (BCAA), glucose, and glucose plus BCAA on endurance performance in rats. Med. Sci. Sports Exerc. 1999, 31, 583–587. [Google Scholar] [CrossRef] [PubMed]
- Nie, C.; He, T.; Zhang, W.; Zhang, G.; Ma, X. Branched chain amino acids: Beyond nutrition metabolism. Int. J. Mol. Sci. 2018, 19, 954. [Google Scholar] [CrossRef] [PubMed]
- Gürer, H.; Özgünes, H.; Saygin, E.; Ercal, N. Antioxidant effect of taurine against lead-induced oxidative stress. Arch. Environ. Contam. Toxicol. 2001, 41, 397–402. [Google Scholar] [CrossRef]
- Obrosova, I.G.; Fathallah, L.; Stevens, M.J. Taurine counteracts oxidative stress and nerve growth factor deficit in early experimental diabetic neuropathy. Exp. Neurol. 2001, 172, 211–219. [Google Scholar] [CrossRef] [PubMed]
- Oudit, G.Y.; Trivieri, M.G.; Khaper, N.; Husain, T.; Wilson, G.J.; Liu, P.; Sole, M.J.; Backx, P.H. Taurine supplementation reduces oxidative stress and improves cardiovascular function in an iron-overload murine model. Circulation 2004, 109, 1877–1885. [Google Scholar] [CrossRef] [PubMed]
- Zhang, M.; Izumi, I.; Kagamimori, S.; Sokejima, S.; Yamagami, T.; Liu, Z.; Qi, B. Role of taurine supplementation to prevent exercise-induced oxidative stress in healthy young men. Amino Acids 2004, 26, 203–207. [Google Scholar]
- Spitze, A.R.; Wong, D.L.; Rogers, Q.R.; Fascetti, A.J. Taurine concentrations in animal feed ingredients; cooking influences taurine content. J. Anim. Physiol. Anim. Nutr. 2003, 87, 251–262. [Google Scholar] [CrossRef]
- Hayes, K.C.; Trautwein, E.A. Taurine deficiency syndrome in cats. Vet. Clin. N. Am. Small Anim. Pract. 1989, 19, 403–413. [Google Scholar] [CrossRef]
- Knopf, K.; Sturman, J.A.; Armstrong, M.; Hayes, K.C. Taurine: An essential nutrient for the cat. J. Nutr. 1978, 108, 773–778. [Google Scholar] [CrossRef]
- Pion, P.D.; Kittleson, M.D.; Rogers, Q.R.; Morris, J.G. Myocardial failure in cats associated with low plasma taurine: A reversible cardiomyopathy. Science 1987, 237, 764–768. [Google Scholar] [CrossRef] [PubMed]
- Bradstreet, R.B. Kjeldahl method for organic nitrogen. Anal. Chem. 1954, 26, 185–187. [Google Scholar] [CrossRef]
- Latimer, G.W., Jr. Official Methods of Analysis of AOAC International, 20th ed.; AOAC International: Rockville, MD, USA, 2016. [Google Scholar]
- Nielsen, S.S. Food Analysis, 5th ed.; Springer International Publishing AG: Cham, Switzerland, 2017. [Google Scholar]
- Sáez-Plaza, P.; Michałowski, T.; Navas, M.J.; Asuero, A.G.; Wybraniec, S. An overview of the Kjeldahl method of nitrogen determination. Part I. Early history, chemistry of the procedure, and titrimetric finish. Crit. Rev. Anal. Chem. 2013, 43, 178–223. [Google Scholar] [CrossRef]
- Sáez-Plaza, P.; Navas, M.J.; Wybraniec, S.; Michałowski, T.; Asuero, A.G. An overview of the Kjeldahl method of nitrogen determination. Part II. Sample preparation, working scale, instrumental finish, and quality control. Crit. Rev. Anal. Chem. 2013, 43, 224–272. [Google Scholar] [CrossRef]
- Conklin-Brittain, N.L.; Dierenfeld, E.S.; Wrangham, R.W.; Norconk, M.; Silver, S.C. Chemical protein analysis: A comparison of Kjeldahl crude protein and total ninhydrin protein from wild, tropical vegetation. J. Chem. Ecol. 1999, 25, 2601–2622. [Google Scholar] [CrossRef]
- Mihaljev, Ž.A.; Jakšić, S.M.; Prica, N.B.; Ćupić, Ž.N.; Živkov-Baloš, M.M. Comparison of the Kjeldahl method, Dumas method and NIR method for total nitrogen determination in meat and meat products. Gas 2015, 2, 7. [Google Scholar]
- Viljoen, M.; Hoffman, L.C.; Brand, T.S. Prediction of the chemical composition of mutton with near infrared reflectance spectroscopy. Small Rumin. Res. 2007, 69, 88–94. [Google Scholar] [CrossRef]
- Viljoen, M.; Hoffman, L.C.; Brand, T.S. Prediction of the chemical composition of freeze dried ostrich meat with near infrared reflectance spectroscopy. Meat Sci. 2005, 69, 255–261. [Google Scholar] [CrossRef]
- Prieto, N.; Roehe, R.; Lavín, P.; Batten, G.; Andrés, S. Application of near infrared reflectance spectroscopy to predict meat and meat products quality: A review. Meat Sci. 2009, 83, 175–186. [Google Scholar] [CrossRef] [PubMed]
- Thyholt, K.; Isaksson, T. Near infrared spectroscopy of dry extracts from high moisture food products on solid support—A review. J. Near Infrared Spectrosc. 1997, 5, 179–193. [Google Scholar] [CrossRef]
- Mæhre, H.K.; Dalheim, L.; Edvinsen, G.K.; Elvevoll, E.O.; Jensen, I.J. Protein determination—Method matters. Foods 2018, 7, 5. [Google Scholar] [CrossRef] [PubMed]
- Liu, Z.; Gonzalez, J.S.; Wang, H.; Gunasekaran, S.; Runge, T. Dairy manure protein analysis using UV-vis based on the Bradford method. Anal. Methods 2015, 7, 2645–2652. [Google Scholar] [CrossRef]
- Peng, Q.; Khan, N.A.; Wang, Z.; Yu, P. Relationship of feeds protein structural makeup in common Prairie feeds with protein solubility, in situ ruminal degradation and intestinal digestibility. Anim. Feed Sci. Technol. 2014, 194, 58–70. [Google Scholar] [CrossRef]
- Mariotti, F.; Tomé, D.; Mirand, P.P. Converting nitrogen into protein—Beyond 6.25 and Jones’ factors. Crit. Rev. Food Sci. Nutr. 2008, 48, 177–184. [Google Scholar] [CrossRef] [PubMed]
- Bradford, M.M. A rapid and sensitive method for the quantitation of microgram quantities of protein utilizing the principle of protein-dye binding. Anal. Biochem. 1976, 72, 248–254. [Google Scholar] [CrossRef]
- Jarén, C.; López, A.; Arazuri, S. Advanced analytical techniques for quality evaluation of potato and its products. In Advances in Potato Chemistry and Technology; Academic Press: Cambridge, MA, USA, 2016; pp. 563–602. [Google Scholar]
- Jiang, B.; Tsao, R.; Li, Y.; Miao, M. Food Safety: Food Analysis Technologies/Techniques. Encycl. Agric. Food Syst. 2014, 273–288. [Google Scholar] [CrossRef]
- Salo-väänänen, P.P.; Koivistoinen, P.E. Determination of protein in foods: Comparison of net protein and crude protein (N × 6.25) values. Food Chem. 1996, 57, 27–31. [Google Scholar] [CrossRef]
- Laemmli, U.K. SDS-page Laemmli method. Nature 1970, 227, 680–685. [Google Scholar] [CrossRef] [PubMed]
- Adebiyi, A.P.; Jin, D.H.; Ogawa, T.; Muramoto, K. Acid hydrolysis of protein in a microcapillary tube for the recovery of tryptophan. Biosci. Biotechnol. Biochem. 2005, 69, 255–257. [Google Scholar] [CrossRef] [PubMed]
- Otter, D.E. Standardised methods for amino acid analysis of food. Br. J. Nutr. 2012, 108, S230–S237. [Google Scholar] [CrossRef] [PubMed]
- Adler, S.A.; Slizyte, R.; Honkapää, K.; Løes, A.K. In vitro pepsin digestibility and amino acid composition in soluble and residual fractions of hydrolyzed chicken feathers. Poult. Sci. 2018, 97, 3343–3357. [Google Scholar] [CrossRef] [PubMed]
- Vervaeke, I.J.; Dierick, N.A.; Demeyer, D.I.; Decuypere, J.A. Approach to the energetic importance of fibre digestion in pigs. II. An experimental approach to hindgut digestion. Anim. Feed Sci. Technol. 1989, 23, 169–194. [Google Scholar] [CrossRef]
- Biagi, G.; Piva, A. In vitro effects of some organic acids on swine cecal microflora. Ital. J. Anim. Sci. 2007, 6, 361–374. [Google Scholar] [CrossRef][Green Version]
- Kies, C. Bioavailability: A factor in protein quality. J. Agric. Food Chem. 1981, 29, 435–440. [Google Scholar] [CrossRef]
- Osborne, B.G. Near-infrared spectroscopy in food analysis. Encycl. Anal. Chem. Appl. Theory Instrum. 2006. [Google Scholar] [CrossRef]
- Fischer, S.G. Peptide mapping in gels. In Methods in Enzymology; Academic Press: Saint Louis, MO, USA, 1983; Volume 100, pp. 424–430. [Google Scholar]
- Martínez-Alvarez, O.; Chamorro, S.; Brenes, A. Protein hydrolysates from animal processing by-products as a source of bioactive molecules with interest in animal feeding: A review. Food Res. Int. 2015, 73, 204–212. [Google Scholar] [CrossRef]
- Charlton, K.E.; Tapsell, L.C.; Batterham, M.J.; Thorne, R.; O’Shea, J.; Zhang, Q.; Beck, E.J. Pork, beef and chicken have similar effects on acute satiety and hormonal markers of appetite. Appetite 2011, 56, 1–8. [Google Scholar] [CrossRef] [PubMed]
- Moss, M.; Holden, J.M.; Ono, K.; Cross, R.; Slover, H.; Berry, B.; Lanza, E.; Thompson, R.; Wolf, W.; Vanderslice, J.; et al. Nutrient composition of fresh retail pork. J. Food Sci. 1983, 48, 1767–1771. [Google Scholar] [CrossRef]
- Probst, Y. Nutrient Composition of Chicken Meat; RIRDC: Canberra, Australia, 2008. [Google Scholar]
- EFSA Panel on Additives and Products or Substances used in Animal Feed (FEEDAP). Scientific opinion on the safety and efficacy of L-tyrosine for all animal species. EFSA J. 2013, 11, 3310. [Google Scholar]
- Li, P.; Wu, G. Roles of dietary glycine, proline, and hydroxyproline in collagen synthesis and animal growth. Amino Acids 2018, 50, 29–38. [Google Scholar] [CrossRef] [PubMed]
- Barbul, A. Proline precursors to sustain mammalian collagen synthesis. J. Nutr. 2008, 138, 2021S–2024S. [Google Scholar] [CrossRef]
- Patino, M.G.; Neiders, M.E.; Andreana, S.; Noble, B.; Cohen, R.E. Collagen: An overview. Implant Dent. 2002, 11, 280–285. [Google Scholar] [CrossRef]
- Zafalon RV, A.; Risolia, L.W.; Vendramini TH, A.; Ayres Rodrigues, R.B.; Pedrinelli, V.; Teixeira, F.A.; Rentas, M.F.; Perini, M.P.; Alvarenga, I.C.; Brunetto, M.A. Nutritional inadequacies in commercial vegan foods for dogs and cats. PLoS ONE 2020, 15, e0227046. [Google Scholar] [CrossRef]
- Czarnecki, G.L.; Baker, D.H. Urea cycle function in the dog with emphasis on the role of arginine. J. Nutr. 1984, 114, 581–590. [Google Scholar] [CrossRef] [PubMed]
- FEDIAF. Nutritional Guidelines for Complete and Complementary Pet Food for Cats and Dogs; Fédération Européenne de l’Industrie des Aliments pour Animaux Familiers: Brussels, Belgium, 2019. [Google Scholar]
- Murray, S.M.; Patil, A.R.; Fahey, G.C., Jr.; Merchen, N.R.; Hughes, D.M. Raw and rendered animal by-products as ingredients in dog diets. J. Anim. Sci. 1997, 75, 2497–2505. [Google Scholar] [CrossRef] [PubMed]








| Raw Material | FM | MM | ||||
|---|---|---|---|---|---|---|
| Bradford (g SP/100 g Dry Sample) | Kjeldahl (g CP/100 g Dry Sample) | NIR (g CP/100 g Dry Sample) | Bradford (g SP/100 g Dry Sample) | Kjeldahl (g CP/100 g Dry Sample) | NIR (g CP/100 g Dry Sample) | |
| Chicken | 14.6 ± 0.3 | 40.0 ± 0.7 | 44 ± 1 | 8.6 ± 0.1 | 74.9 ± 0.6 | 74.2 ± 0.5 |
| Pork | 15.1 ± 0.5 | 41 ± 1 | 44 ± 3 | 6.20 ± 0.06 | 51.9 ± 0.8 | 52.8 ± 0.8 |
| Salmon | 13.7 ± 0.5 | 38 ± 2 | 36 ± 2 | 7.9 ± 0.3 | 68 ± 2 | 65 ± 2 |
| AA Content (g AA/100 g Dry Sample) | Type of Sample | ||||||||
|---|---|---|---|---|---|---|---|---|---|
| Chicken | Pork | Salmon | |||||||
| FM | MM | p-Value | FM | MM | p-Value | FM | MM | p-Value | |
| Alanine | 0.41 ± 0.03 | 0.8 ± 0.1 | ** | 0.44 ± 0.05 | 0.75 ± 0.08 | ** | 0.28 ± 0.03 | 0.8 ± 0.1 | ** |
| Arginine | 0.040 ± 0.008 | 0.33 ± 0.02 | **** | 0.06 ± 0.01 | 0.113 ± 0.007 | ** | 0.032 ± 0.005 | 0.195 ± 0.007 | **** |
| Aspartic acid | 0.010 ± 0.001 | ND | **** | 0.0090 ± 0.0007 | 0.0070 ± 0.0006 | * | ND | 0.017 ± 0.002 | **** |
| Glutamic acid | 0.40 ± 0.05 | 2.8 ± 0.3 | **** | 0.50 ± 0.08 | 1.4 ± 0.2 | *** | 0.30 ± 0.03 | 1.6 ± 0.2 | *** |
| Glutamine | ND | 0.056 ± 0.002 | **** | 0.0092 ± 0.0005 | 0.042 ± 0.007 | ** | ND | 0.0260 ± 0.0009 | **** |
| Glycine | 1.7 ± 0.1 | 8.0 ± 0.4 | **** | 1.7 ± 0.1 | 2.1 ± 0.1 | * | 1.7 ± 0.1 | 4.6 ± 0.4 | **** |
| Histidine | 0.0232 ± 0.0008 | 0.04 ± 0.01 | ns | 0.047 ± 0.006 | ND | **** | 0.0173 ± 0.0007 | 0.0046 ± 0.0004 | **** |
| Isoleucine | 6.9 ± 0.2 | 7.7 ± 0.3 | ns | 5.0 ± 0.2 | 5.4 ± 0.1 | ns | 6.2 ± 0.4 | 7.6 ± 0.5 | ns |
| Leucine | 5.3 ± 0.2 | 7.8 ± 0.3 | **** | 5.4 ± 0.2 | 6.6 ± 0.2 | *** | 5.1 ± 0.2 | 8.0 ± 0.2 | **** |
| Lysine | 0.9 ± 0.1 | 1.6 ± 0.1 | ** | 1.2 ± 0.2 | 0.74 ± 0.05 | * | 0.9 ± 0.1 | 1.1 ± 0.2 | ns |
| Methionine | 0.40 ± 0.09 | 0.6 ± 0.2 | ns | 0.7 ± 0.1 | 1.23 ± 0.08 | ** | 0.5 ± 0.1 | 1.8 ± 0.3 | *** |
| Phenylalanine | 2.4 ± 0.2 | 4.3 ± 0.5 | ** | 3.1 ± 0.1 | 3.6 ± 0.2 | ns | 2.4 ± 0.1 | 3.9 ± 0.5 | * |
| Proline | 0.88 ± 0.07 | 5.0 ± 0.3 | **** | 1.85 ± 0.07 | 4.5 ± 0.2 | **** | 0.84 ± 0.09 | 4.8 ± 0.4 | **** |
| Serine | 0.035 ± 0.004 | 0.32 ± 0.01 | **** | 0.218 ± 0.007 | ND | **** | 0.044 ± 0.004 | 0.075 ± 0.005 | *** |
| Taurine | 0.10 ± 0.02 | 0.14 ± 0.01 | ns | 0.099 ± 0.007 | 0.017 ± 0.001 | **** | 0.170 ± 0.008 | 0.11 ± 0.01 | **** |
| Threonine | 0.08 ± 0.01 | 0.10 ± 0.01 | ns | 0.088 ± 0.009 | 0.065 ± 0.004 | * | 0.060 ± 0.008 | 0.08 ± 0.02 | ns |
| Tryptophan | 0.09 ± 0.01 | 0.060 ± 0.009 | * | 0.065 ± 0.009 | 0.033 ± 0.001 | ** | 0.07 ± 0.01 | 0.06 ± 0.02 | ns |
| Tyrosine | 0.40 ± 0.07 | 0.8 ± 0.1 | * | 0.70 ± 0.08 | 1.06 ± 0.09 | ** | 0.43 ± 0.08 | 0.6 ± 0.1 | ns |
| Valine | 3.4 ± 0.3 | 4.6 ± 0.3 | ** | 3.02 ± 0.06 | 2.84 ± 0.05 | * | 3.0 ± 0.3 | 3.9 ± 0.3 | ns |
Publisher’s Note: MDPI stays neutral with regard to jurisdictional claims in published maps and institutional affiliations. |
© 2021 by the authors. Licensee MDPI, Basel, Switzerland. This article is an open access article distributed under the terms and conditions of the Creative Commons Attribution (CC BY) license (http://creativecommons.org/licenses/by/4.0/).
Share and Cite
Montegiove, N.; Pellegrino, R.M.; Emiliani, C.; Pellegrino, A.; Leonardi, L. An Alternative Approach to Evaluate the Quality of Protein-Based Raw Materials for Dry Pet Food. Animals 2021, 11, 458. https://doi.org/10.3390/ani11020458
Montegiove N, Pellegrino RM, Emiliani C, Pellegrino A, Leonardi L. An Alternative Approach to Evaluate the Quality of Protein-Based Raw Materials for Dry Pet Food. Animals. 2021; 11(2):458. https://doi.org/10.3390/ani11020458
Chicago/Turabian StyleMontegiove, Nicolò, Roberto Maria Pellegrino, Carla Emiliani, Alessia Pellegrino, and Leonardo Leonardi. 2021. "An Alternative Approach to Evaluate the Quality of Protein-Based Raw Materials for Dry Pet Food" Animals 11, no. 2: 458. https://doi.org/10.3390/ani11020458
APA StyleMontegiove, N., Pellegrino, R. M., Emiliani, C., Pellegrino, A., & Leonardi, L. (2021). An Alternative Approach to Evaluate the Quality of Protein-Based Raw Materials for Dry Pet Food. Animals, 11(2), 458. https://doi.org/10.3390/ani11020458

