Performance and Meat Quality of Intrauterine Growth Restricted Pigs
Abstract
Simple Summary
Abstract
1. Introduction
2. Materials and Methods
2.1. Animal Health Status and Nutrition
2.2. Study Protocol
2.3. Slaughter and Meat Sampling
2.4. Determination of Basic Chemical Composition and Energy Value
2.5. pH
2.6. Electrical Conductivity (EC)
2.7. Colour Parameters and Total Colour Differences
2.8. Drip Loss
2.9. Changes in Meat Weight during Brine Cure
2.10. Cooking Loss
2.11. Water Holding Capacity (WHC)
2.12. Textural Parameters of Meat after Cooking
2.13. Sensory Analysis
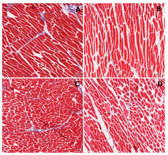
2.14. Histology Analysis
2.15. Statistical Analysis
3. Results
3.1. Pig Performance
3.2. Chemical Composition and Energy Value of Meat
3.3. Colour Parameters of Meat
3.4. pH, Eectrical Conductivity, and Drip Loss of Meat during Storage and Roasting
3.5. Textural Parameters of Meat after Cooking
3.6. Sensory Quality
3.7. Longissimus dorsi Ultrastructure
4. Discussion
5. Conclusions
Supplementary Materials
Author Contributions
Funding
Institutional Review Board Statement
Data Availability Statement
Acknowledgments
Conflicts of Interest
References
- Chevaux, E.; Sacy, A.; Le Treut, Y.; Martineau, G. Intrauterine growth retardation (IUGR): Morphological and behavioural description. In Proceedings of the 21st International Pig Veterinary Society (IPVS) Congress, Vancouver, BC, Canada, 18–21 July 2010; p. 209. [Google Scholar]
- Hales, J.; Moustsen, V.A.; Nielsen, M.B.; Hansen, C.F. Individual physical characteristics of neonatal piglets affect preweaning survival of piglets born in a noncrated system. J. Anim. Sci. 2013, 91, 4991–5003. [Google Scholar] [CrossRef] [PubMed]
- Amdi, C.; Krogh, U.; Flummer, C.; Oksbjerg, N.; Hansen, C.F.; Theil, P.K. Intrauterine growth restricted piglets defined by their head shape ingest insufficient amounts of colostrum. J. Anim. Sci. 2013, 91, 5605–5613. [Google Scholar] [CrossRef] [PubMed]
- Ferenc, K.; Pietrzak, P.; Godlewski, M.M.; Piwowarski, J.; Kiliańczyk, R.; Guilloteau, P.; Zabielski, R. Intrauterine growth retarded piglet as a model for humans–studies on the perinatal development of the gut structure and function. Reprod. Biol. 2014, 14, 51–60. [Google Scholar] [CrossRef] [PubMed]
- Hales, C.N.; Barker, D.J.P. Type-2 (non-insulin-dependent) diabetes mellitus: The thrifty phenotype hypothesis. Diabetologia 1992, 35, 595–601. [Google Scholar] [CrossRef] [PubMed]
- Mickiewicz, M.; Zabielski, R.; Grenier, B.; Le Normand, L.; Savary, G.; Holst, J.J.; Oswald, I.P.; Metges, C.C.; Guilloteau, P. Structural and functional development of small intestine in intrauterine growth retarded porcine offspring born to gilts fed diets with differing protein ratios throughout pregnancy. J. Physiol. Pharmacol. 2012, 63, 225–239. [Google Scholar] [PubMed]
- Ferenc, K.; Pilżys, T.; Skrzypek, T.; Garbicz, D.; Marcinkowski, M.; Dylewska, M.; Gładysz, P.; Skorobogatov, O.; Gajewski, Z.; Grzesiuk, E.; et al. Structure and function of enterocyte in intrauterine growth retarded pig neonates. Dis. Markers 2017, 2017, 5238134. [Google Scholar] [CrossRef] [PubMed]
- Ferenc, K.; Pietrzak, P.; Wierzbicka, M.; Matyba, P.; Grzesiuk, E.; Gajewski, Z.; Zabielski, R. Alterations in the liver of intrauterine growth retarded piglets may predispose to development of insulin resistance and obesity in later life. J. Physiol. Pharmacol. 2018, 69, 1–8. [Google Scholar] [CrossRef]
- Wang, J.; Chen, L.; Defa, L.; Yin, Y.; Wang, X.; Li, P.; Dangott, L.J.; Hu, W.; Wu, G. Intrauterine growth restriction affects the proteomes of the small intestine, liver, and skeletal muscle in newborn pigs. J. Nutr. 2008, 138, 60–66. [Google Scholar] [CrossRef]
- Bæk, O.; Sangild, P.T.; Thymann, T.; Nguyen, D.N. Growth restriction and systemic immune development in preterm piglets. Front. Immunol. 2019, 10, 2402. [Google Scholar] [CrossRef]
- Li, B.; Li, W.; Ahmad, H.; Zhang, L.; Wang, C.; Wang, T. Effects of choline on meat quality and intramuscular fat in intrauterine growth retardation pigs. PLoS ONE 2015, 10, e0129109. [Google Scholar] [CrossRef] [PubMed]
- Zhang, L.; Wang, Y.; Kong, Y.; Ahmad, H.; Yan, R.; Dong, L.; Zhang, J.; Wang, T. Effects of intrauterine growth retardation on growth, meat quality and muscle fiber composition of pigs. Pak. J. Zool. 2018, 50, 1137–1146. [Google Scholar] [CrossRef]
- Zhang, L.; Zhang, J.; Yan, E.; He, J.; Zhong, X.; Zhang, L.; Wang, C.; Wang, T. Dietary supplemented curcumin improves meat quality and antioxidant status of intrauterine growth retardation growing pigs via Nrf2 signal pathway. Animals 2020, 10, 539. [Google Scholar] [CrossRef] [PubMed]
- Commission Regulation (EC) No 1197/2006 of 7 August 2006 amending Regulation (EEC) No 2967/85 Laying down Detailed Rules for the Application of the Community Scale for Grading Pig Carcasses. Available online: https://eur-lex.europa.eu/legal-content/EN/TXT/?uri=CELEX%3A32006R1197 (accessed on 18 January 2021).
- Mokrzycki, W.S.; Tatol, M. Color difference ∆E-A survey. In Proceedings of the Machine Graphic & Vision, Warsaw, Poland, 8 October 2012. [Google Scholar]
- Grau, R.; Hamm, R. Eine einfache Methode zur Bestimmung der Wasserbindung in Fleisch. Fleischwirtsch 1952, 4, 295–297. (In German) [Google Scholar]
- Pohja, N.S.; Niinivaara, F.P. Die Bestimmung des Wasserbindung des Fleisches mittels der Konstantdrück methode. Fleischwirtschaft 1957, 9, 193–195. (In German) [Google Scholar]
- Baryłko-Pikielna, N.; Matuszewska, I. Sensoryczne Badania Żywności. Podstawy—Metody—Zastosowania; Wydawnictwo Naukowe PTTŻ: Krakow, Poland, 2009. (In Polish) [Google Scholar]
- Amdi, C.; Lynegaard, J.C.; Thymann, T.; Williams, A.R. Intrauterine growth restriction in piglets alters blood cell counts and impairs cytokine responses in peripheral mononuclear cells 24 days post-partum. Sci. Rep. 2020, 10, 4683. [Google Scholar] [CrossRef] [PubMed]
- Wu, G.; Bazer, F.W.; Wallace, J.M.; Spencer, T.E. Intrauterine growth retardation: Implications for the animal sciences. J. Anim. Sci. 2006, 84, 2316–2337. [Google Scholar] [CrossRef] [PubMed]
- Lynegaard, J.C.; Hansen, C.F.; Kristensen, A.R.; Amdi, C. Body composition and organ development of intra-uterine growth restricted pigs at weaning. Animals 2020, 14, 322–329. [Google Scholar] [CrossRef] [PubMed]
- O’Mahony, R.; Cowan, C.; Keane, M. Consumer preferences for pork chops with different levels of intramuscular fat. Food Qual. Prefer. 1991, 3, 229–234. [Google Scholar] [CrossRef]
- Ngapo, T.M.; Martin, J.-F.; Dransfield, E. International preferences for pork appearance: I. Consumer choices. Food Qual. Prefer. 2007, 18, 26–36. [Google Scholar] [CrossRef]
- Ngapo, T.M. Consumer preferences for pork chops in five Canadian provinces. Meat Sci. 2017, 129, 102–110. [Google Scholar] [CrossRef]
- Ngapo, T.M.; Rubio Lozano, M.S.; Braña Varela, D. Mexican consumers at the point of meat purchase. Pork choice. Meat Sci. 2018, 135, 27–35. [Google Scholar] [CrossRef] [PubMed]
- Chmiel, M.; Hać-Szymańczuk, E.; Adamczak, L.; Pietrzak, D.; Florowski, T.; Cegiełka, A. Quality changes of chicken breast meat packaged in a normal and in a modified atmosphere. J. Appl. Poultry Res. 2018, 27, 349–362. [Google Scholar] [CrossRef]
- Bowker, B.C.; Grant, A.L.; Forrest, J.C.; Gerrard, D.E. Muscle metabolism and PSE pork. J. Anim. Sci 2000, 79, 1–8. [Google Scholar] [CrossRef]
- Barbut, S.; Sosnicki, A.A.; Lonergan, S.M.; Knapp, T.; Ciobanu, D.C.; Gatcliffe, L.J.; Huff-Lonergan, E.; Wilson, E.W. Progress in reducing the pale, soft and exudative (PSE) problem in pork and poultry meat. Meat Sci. 2008, 79, 46–63. [Google Scholar] [CrossRef] [PubMed]
- Lindahl, G.; Henckel, P.; Karlsson, A.H.; Andersen, H.J. Significance of early postmortem temperature and pH decline on colour characteristics of pork loin from different crossbreeds. Meat Sci. 2006, 72, 613–623. [Google Scholar] [CrossRef] [PubMed]
- Chmiel, M.; Słowiński, M.; Dasiewicz, K.; Florowski, T. Use of computer vision system (CVS) for detection of PSE pork meat obtained from m. semimembranosus LWT. Food Sci. Technol. 2016, 65, 532–536. [Google Scholar] [CrossRef]
- Guardia, M.D.; Estany, J.; Balasch, S.; Oliver, M.A.; Gispert, M.; Diestre, A. Risk assessment of PSE condition due to pre-slaughter conditions and RYR1 gene in pigs. Meat Sci. 2004, 67, 471–478. [Google Scholar] [CrossRef]
- Florowski, T.; Pisula, A.; Kamyczek, M. Ocena wpływu wysokiej mięsności na jakość mięsa świń wolnych od genu RYR1T. Med. Weter 2007, 63, 326–329. (In Polish) [Google Scholar]
- Gajana, C.S.; Nkukwana, T.T.; Marume, U.; Muchenje, V. Effects of transportation time, distance, stocking density, temperature and lairage time on incidences of pale soft exudative (PSE) and the physico-chemical characteristics of pork. Meat Sci. 2013, 95, 520–525. [Google Scholar] [CrossRef]
- Vermeulen, L.; Van de Perre, V.; Permentier, L.; De Bie, S.; Verbeke, G.; Geers, R. Pre-slaughter handling and pork quality. Meat Sci. 2015, 100, 118–123. [Google Scholar] [CrossRef]
- Cannata, S.; Engle, T.E.; Moeller, S.J.; Zerby, H.N.; Radunz, A.E.; Green, M.D.; Bass, P.D.; Belk, K.E. Effect of visual marbling on sensory properties and quality traits of pork loin. Meat Sci. 2010, 85, 428–434. [Google Scholar] [CrossRef] [PubMed]
- Lee, S.H.; Choe, J.H.; Choi, Y.M.; Jung, K.C.; Rhee, M.S.; Hong, K.C.; Lee, S.K.; Ryu, Y.C.; Kim, B.C. The influence of pork quality traits and muscle fiber characteristics on the eating quality of pork from various breeds. Meat Sci. 2012, 90, 284–291. [Google Scholar] [CrossRef] [PubMed]

| Group | Water/Whey/Dry Feed (%) | Dry Matter (%) | Metabolizable Energy (MJ/kg) | Crude Protein (%) |
|---|---|---|---|---|
| Pregnant sows | 39.5/42.0/18.5 | 88.00 | 9.50 | 12.83 |
| Lactating sows | 36.8/40.0/23.2 | 88.00 | 9.84 | 16.04 |
| Creep feed | Dry feed | 92.76 | 10.99 | 19.43 |
| Pre-starter (<30 kg BW) | 72.4/27.6 a | 88.00 | 12.81 | 17.01 |
| Starter (30–60 kg BW) | 36.0/39.0/25.0 | 88.00 | 13.52 | 16.42 |
| Grower (60–90 kg BW) | 36.4/37.0/26.6 | 88.00 | 13.17 | 16.37 |
| Finisher (>90 kg BW) | 31.0/41.0/28.0 | 88.00 | 12.78 | 15.65 |
| Item | Normal | Intrauterine Growth Restricted | p-Value |
|---|---|---|---|
| Birth weight (kg) | 1.35 ± 0.19 | 0.65 ± 0.07 | 0.001 |
| Weaning weight (kg) | 5.13 ± 0.39 | 5.00 ± 0.86 | 0.651 |
| Transfer to fattening weight (kg) | 31.78 ± 4.39 | 27.96 ± 7.30 | 0.142 |
| Slaughter weight (kg) | 118.56 ± 9.0 | 99.32 ± 9.76 | 0.001 |
| Carcass wet weight (kg) | 92.48 ± 7.72 | 77.47 ± 7.61 | 0.001 |
| Meatiness (%) | 58.01 ± 3.22 | 57.72 ± 3.66 | 0.841 |
| Longissimus dorsi muscle surface area (cm2) | 59.4 ± 10.3 | 51.0 ± 9.7 | 0.071 |
| Parameter | Normal | Intrauterine Growth Restricted | p-Value |
|---|---|---|---|
| Water (%) | 73.38 ± 1.00 | 73.36 ± 0.74 | 0.851 |
| Protein (%) | 23.7 ± 0.5 | 23.4 ± 0.4 | 0.221 |
| Collagen (%) | 0.56 ± 0.06 | 0.64 ± 0.05 | 0.001 |
| Connective tissue (%) | 2.36 ± 0.27 | 2.75 ± 0.24 | 0.010 |
| Fat (%) | 2.31 ± 1.09 | 2.46 ± 0.80 | 0.723 |
| Asch % | 1.03 ± 0.03 | 1.04 ± 0.03 | 0.854 |
| Energy value (kcal) | 116 ± 9 | 116 ± 7 | 0.911 |
| Parameter | Normal | Intrauterine Growth Restricted | p-Value |
|---|---|---|---|
| Colour parameter L* | 52.88 ± 2.24 | 50.61 ± 3.16 | 0.070 |
| Colour parameter a* | 7.09 ± 0.53 | 6.42 ± 1.14 | 0.094 |
| Colour parameter b* | 4.93 ± 0.98 | 3.68 ± 0.54 | 0.002 |
| pH24h | 5.55 ± 0.07 | 5.66 ± 0.08 | 0.002 |
| EC24h (mS/cm) | 10.2 ± 0.7 | 9.4 ± 0.9 | 0.046 |
| Drip loss (%) | 4.3 ± 1.2 | 2.6 ± 0.8 | 0.001 |
| Weight gain during brining (%) | 2.2 ± 0.4 | 2.6 ± 0.7 | 0.108 |
| Cooking loss (%) | 46.0 ± 2.4 | 48.1 ± 3.7 | 0.117 |
| Parameter | Normal | Intrauterine Growth Restricted | p-Value |
|---|---|---|---|
| Shear force (N/cm2) | 46.0 ± 11.2 | 37.0 ± 8.7 | 0.055 |
| Penetration force (N) | 54.2 ± 9.7 | 57.2 ± 13.1 | 0.543 |
| Cohesiveness | 0.39 ± 0.05 | 0.39 ± 0.03 | 0.642 |
| Springiness | 0.61 ± 0.05 | 0.62 ± 0.03 | 0.579 |
| Hardness (N) | 51.1 ± 12.3 | 57.4 ± 10.5 | 0.300 |
| Chewiness (N) | 12.6 ± 4.0 | 13.9 ± 3.3 | 0.456 |
| Sensory: Colour (points) | 4.6 ± 0.2 | 4.7 ± 0.3 | 0.382 |
| Taste (points) | 4.1 ± 0.2 | 4.6 ± 0.3 | 0.001 |
| Smell (points) | 4.3 ± 0.2 | 4.7 ± 0.2 | 0.001 |
| Consistency (points) | 4.2 ± 0.2 | 4.7 ± 0.3 | 0.001 |
| Overall assessment (points) | 4.2 ± 0.2 | 4.7 ± 0.3 | 0.001 |
| Parameter | Normal | Intrauterine Growth Restricted | p-Value |
|---|---|---|---|
| Myocytes (%) | 65.7 ± 1.7 | 56.4 ± 10.8 | 0.121 |
| Connective tissue (%) | 4.7 ± 1.1 | 3.4 ± 1.5 | 0.200 |
| Adipocytes (%) | 4.5 ± 0.9 | 4.0 ± 1.4 | 0.433 |
| Split (%) | 22.7 ± 2.9 | 34.1 ± 10.4 | 0.041 |
| Connective tissue to myocytes ratio | 0.072 ± 0.025 | 0.066 ± 0.033 | 0.760 |
| Adipocytes to myocytes ratio | 0.069 ± 0.013 | 0.075 ± 0.032 | 0.707 |
| Myocyte: Perimeter (μm) | 282 ± 65 | 206 ± 55 | 0.026 |
| area (μm2) | 2024 ± 462 | 1882 ± 380 | 0.510 |
| length (μm) | 87.9 ± 12.2 | 76.1 ± 7.8 | 0.048 |
| width (μm) | 34.8 ± 2.4 | 35.8 ± 2.6 | 0.451 |
Publisher’s Note: MDPI stays neutral with regard to jurisdictional claims in published maps and institutional affiliations. |
© 2021 by the authors. Licensee MDPI, Basel, Switzerland. This article is an open access article distributed under the terms and conditions of the Creative Commons Attribution (CC BY) license (http://creativecommons.org/licenses/by/4.0/).
Share and Cite
Matyba, P.; Florowski, T.; Dasiewicz, K.; Ferenc, K.; Olszewski, J.; Trela, M.; Galemba, G.; Słowiński, M.; Sady, M.; Domańska, D.; et al. Performance and Meat Quality of Intrauterine Growth Restricted Pigs. Animals 2021, 11, 254. https://doi.org/10.3390/ani11020254
Matyba P, Florowski T, Dasiewicz K, Ferenc K, Olszewski J, Trela M, Galemba G, Słowiński M, Sady M, Domańska D, et al. Performance and Meat Quality of Intrauterine Growth Restricted Pigs. Animals. 2021; 11(2):254. https://doi.org/10.3390/ani11020254
Chicago/Turabian StyleMatyba, Piotr, Tomasz Florowski, Krzysztof Dasiewicz, Karolina Ferenc, Jarosław Olszewski, Michał Trela, Gilbert Galemba, Mirosław Słowiński, Maria Sady, Dominika Domańska, and et al. 2021. "Performance and Meat Quality of Intrauterine Growth Restricted Pigs" Animals 11, no. 2: 254. https://doi.org/10.3390/ani11020254
APA StyleMatyba, P., Florowski, T., Dasiewicz, K., Ferenc, K., Olszewski, J., Trela, M., Galemba, G., Słowiński, M., Sady, M., Domańska, D., Gajewski, Z., & Zabielski, R. (2021). Performance and Meat Quality of Intrauterine Growth Restricted Pigs. Animals, 11(2), 254. https://doi.org/10.3390/ani11020254

