Diffuse Alopecia and Thyroid Atrophy in Sheep
Abstract
Simple Summary
Abstract
1. Introduction
2. Materials and Methods
2.1. Animal Ethics
2.2. Animal Population Studied
2.3. Determination of Serum Thyroid Hormone Levels and Serum and Hepatic Mineral Concentrations
2.4. Pathology
3. Results
3.1. Clinical Evaluation
3.2. Serum Concentrations of Thyroid Hormones and Minerals
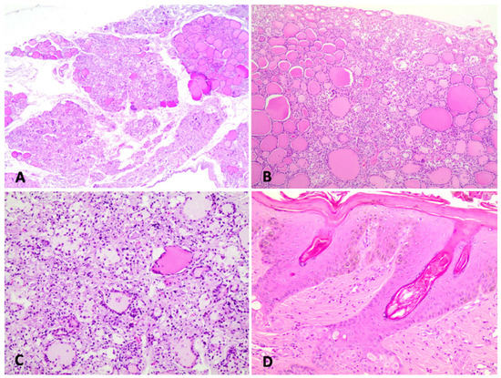
3.3. Pathologic Alterations
4. Discussion
5. Conclusions
Author Contributions
Funding
Institutional Review Board Statement
Informed Consent Statement
Conflicts of Interest
References
- Bassett, J.H.D.; Harvey, C.B.; Williams, G.R. Mechanisms of thyroid hormone receptor-specific nuclear and extra nuclear actions. Mol. Cell. Endocrinol. 2003, 213, 1–11. [Google Scholar] [CrossRef] [PubMed]
- Hall, J.E.; Guyton, A.C. Guyton & Hall Tratado de Fisiologia Médica, 13rd ed.; GEN Guanabara Koogan: Rio de Janeiro, Brasil, 2017. [Google Scholar]
- Knezevic, J.; Starchl, C.; Tmava Berisha, A.; Amrein, K. Thyroid-Gut-Axis: How Does the Microbiota Influence Thyroid Function? Nutrients 2020, 12, 1769. [Google Scholar] [CrossRef]
- Pop, V.; Krabbe, J.; Maret, W.; Rayman, M. Plasma mineral (selenium, zinc or copper) concentrations in the general pregnant population, adjusted for supplement intake, in relation to thyroid function. Brit. J. Nutr. 2021, 125, 71–78. [Google Scholar] [CrossRef]
- Beserra, J.B.; Morais, J.B.S.; Severo, J.S.; Cruz, K.J.C.; Oliveira, A.R.S.; Henriques, G.S.; Nascimento Marreiro, D. Relation Between Zinc and Thyroid Hormones in Humans: A Systematic Review. Biol. Trace Elem. Res. 2021, 199, 4092–4100. [Google Scholar] [CrossRef] [PubMed]
- Ventura, M.; Melo, M.; Carrilho, F. Selenium and thyroid disease: From pathophysiology to treatment. Intern. J. Endocrinol. 2017, 2017, 1297658. [Google Scholar] [CrossRef]
- Severo, J.S.; Morais, J.B.S.; de Freitas, T.E.C.; Andrade, A.L.P.; Feitosa, M.M.; Fontenelle, L.C.; de Oliveira, A.R.S.; Cruz, K.J.C.; do Nascimento Marreiro, D. The role of zinc in thyroid hormones metabolism. Int. J. Vitam. Nutr. Res. 2019, 89, 1–9. [Google Scholar] [CrossRef]
- Gupta, R.P.; Verma, P.C.; Garg, S.L. Effect of experimental zinc deficiency on thyroid gland in guinea-pigs. Ann. Nutr. Metab. 1997, 41, 376–381. [Google Scholar] [CrossRef]
- Safer, J.D. Thyroid hormone action on skin. Derm. Endocrinol. 2011, 3, 211–215. [Google Scholar] [CrossRef]
- Richelle, M.; Sabatier, M.; Steiling, H.; Williamson, G. Skin bioavailability of dietary vitamin E, carotenoids, polyphenols, vitamin C, zinc and selenium. Br. J. Nutr. 2006, 96, 227–238. [Google Scholar] [CrossRef] [PubMed]
- Grüngreiff, K.; Gottstein, T.; Reinhold, D. Zinc Deficiency—An independent risk factor in the pathogenesis of haemorrhagic stroke? Nutrients 2020, 12, 3548. [Google Scholar] [CrossRef]
- Prasad, A.S. Lessons learned from experimental human model of zinc deficiency. J. Immunol. Res. 2020, 2020, 9207279. [Google Scholar] [CrossRef]
- Kaneko, J.J.; Harvey, J.W.; Bruss, M.L. Clinical Biochemistry of Domestic Animals, 5th ed.; Academic Press: San Diego, CA, USA, 1997. [Google Scholar]
- Carvalho, W.F.; Alves, A.A.; Gândara, F.C.; Memória, H.Q.; Fernandes, F.É.P.; Pompeu, R.C.F.F.; Muir, J.P.; Costa, C.S.; Sousa, K.R.F.; Oliveira, D.S.; et al. Seasonal strategic feed supplements for sheep grazing Caatinga rangeland: Behavior and performance. Small Rumin. Res. 2021, 206, 106572. [Google Scholar] [CrossRef]
- Macedo, A.T.M.; Souto, R.C.; Mendonça, C.L.; Lima, L.B.; Soares, P.C.; Afonso, J.A.B. Serum levels of triiodothyronine (T3) and thyroxine (T4) in ewes diagnosed with pregnancy toxemia. Arch. Vet. Sci. 2015, 20, 49–55. [Google Scholar]
- Hui, W.A.N.G.; Liu, Y.M.; Qi, Z.M.; Wang, S.Y.; Liu, S.X.; Xia, L.I.; Wang, H.J.; Wang, X.L.; Xia, X.C.; Zhu, X.Q. The estimation of soil trace elements distribution and soil-plant-animal continuum in relation to trace elements status of sheep in Huangcheng area of Qilian Mountain grassland, China. J. Integr. Agric. 2014, 13, 140–147. [Google Scholar] [CrossRef]
- Solaiman, S.G.M.A.; Maloney, M.A.; Qureshi, G.; Davis, G.D.A.; D’Andrea, G. Effects of high copper supplements on performance, health, plasma copper and enzymes in goats. Small Rumin. Res. 2001, 41, 127–139. [Google Scholar] [CrossRef]
- Paulíková, I.; Seidel, H.; Nagy, O.; Tóthová, C.; Kováč, G. Concentrations of thyroid hormones in various age categories of ruminants and swine. Acta. Vet. 2011, 61, 489–503. [Google Scholar] [CrossRef]
- Nazifi, S.; Saeb, M.; Abangah, E.; Karimi, T. Studies on the relationship between thyroid hormones and some trace elements in the blood serum of Iranian fat-tailed sheep. Vet. Arh. 2008, 78, 159–165. [Google Scholar]
- Herdt, T.H.; Hoff, B. The use of blood analysis to evaluate trace mineral status in ruminant livestock. Vet. Clin. N. Am. Food Anim. 2011, 27, 255–283. [Google Scholar] [CrossRef] [PubMed]
- Silva, T.R.; Soares, P.C.; Dantas, A.F.; Marques, A.V.; Oliveira Filho, E.F.; Aguiar, G.M.N.; Marques, A.L.A.; Riet-Correa, F. Serum and liver copper, iron, molybdenum and zinc concentration in goats and sheep in the state of Paraíba, Brazil. Pesq. Vet. Bras. 2018, 38, 1313–1316. [Google Scholar] [CrossRef]
- Gheorghiu, M.L.; Badiu, C. Selenium involvement in mitochondrial function in thyroid disorders. Hormones 2020, 19, 25–30. [Google Scholar] [CrossRef] [PubMed]
- Lin, X.; Yang, T.; Li, H.; Ji, Y.; Zhao, Y.; He, J. Interactions between different selenium compounds and essential trace elements involved in the antioxidant system of laying hens. Biol. Trace Elem. Res. 2020, 193, 252–260. [Google Scholar] [CrossRef]
- Sales, P.; Halpern, A.; Cercato, C. O Essencial em Endocrinologia, 1st ed.; Roca: Rio de Janeiro, Brazil, 2018. [Google Scholar]
- Taylor, P.N.; Razvi, S.; Pearce, S.H.; Dayan, C.M. A review of the clinical consequences of variation in thyroid function within the reference range. J. Clin. Endocrinol. Metab. 2013, 98, 3562–3571. [Google Scholar] [CrossRef]
- Tsibulnikov, S.; Maslov, L.; Voronkov, N.; Oeltgen, P. Thyroid hormones and the mechanisms of adaptation to cold. Hormones 2020, 19, 329–339. [Google Scholar] [CrossRef]
- Sun, Z.Q.; Ojamaa, K.; Coetzee, W.A.; Artman, M.; Klein, I. Effects of thyroid hormone on action potential and repolarizing currents in rat ventricular myocytes. Am. J. Physiol. Endocrinol. Metab. 2000, 278, 302–307. [Google Scholar] [CrossRef]
- Olshausen, K.V.; Bischoff, S.; Kahaly, G.; Mohr-Kahaly, S.; Erbel, R.; Beyer, J.; Meyer, J. Cardiac arrhythmias and heart rate in hyperthyroidism. Am. J. Cardiol. 1989, 63, 930–933. [Google Scholar] [CrossRef]
- Isseroff, R.R.; Chun, K.T.; Rosenberg, R.M. Triiodothyronine alters the cornification of cultured human keratinocytes. Br. J. Dermatol. 1989, 120, 503–510. [Google Scholar] [CrossRef]
- Berra, B.; Rizzo, A.M. Zinc, Selenium and Skin Health: Overview of Their Biochemical and Physiological Functions. In Nutritional Cosmetics: Beauty from Within; Tabor, A., Blair, R.M., Eds.; William Andrew Publishing: Norwich, CT, USA, 2009; pp. 139–158. [Google Scholar]
- Ibrahim, H.S.; Rabeh, N.M.; Sharaf Elden, A.A. Effect of selenium and zinc supplementation on hypothyroidism in rats. J. Nutr. Growth 2016, 2, 16–27. [Google Scholar]
- Maxwell, C.; Volpe, S.L. Effect of zinc supplementation on thyroid hormone function. Ann. Nutr. Metab. 2007, 51, 188–194. [Google Scholar] [CrossRef] [PubMed]
- Ibiebele, T.I.; Pols, J.C.; Hughes, M.C.; Marks, G.C.; Williams, G.M.; Green, A.C. Dietary pattern in association with squamous cell carcinoma of the skin: A prospective study. Am. J. Clin. Nutr. 2007, 85, 1401–1408. [Google Scholar] [CrossRef]
- Betsy, A.; Binitha, M.P.; Sarita, S. Zinc deficiency associated with hypothyroidism: An overlooked cause of severe alopecia. Int. J. Trichol. 2013, 5, 40–42. [Google Scholar] [CrossRef]
- Ågren, M.S. Percutaneous absorption of zinc from zinc oxide applied topically to intact skin in man. Dermatology 1990, 180, 36–39. [Google Scholar] [CrossRef]
- Krametter-Froetscher, R.; Hauser, S.; Baumgartner, W. Zinc-responsive dermatosis in goats suggestive of hereditary malabsorption: Two field cases. Vet. Dermatol. 2005, 16, 269–275. [Google Scholar] [CrossRef]
- Singer, L.J.; Herron, A.; Altman, N. Zinc Responsive Dermatopathy in Goats: Two Field Cases. Contemp. Top. Lab. Anim. Sci. 2000, 39, 32–35. Available online: https://www.ingentaconnect.com/content/aalas/jaalas/2000/00000039/00000004/art00007?crawler=true (accessed on 10 July 2021). [PubMed]
- Suliman, H.B.; Abdelrahim, A.I.; Zaeia, A.M.; Shommein, A.M. Zinc deficiency in sheep: Field cases. Trop. Anim. Health Prod. 1988, 20, 47–51. [Google Scholar] [CrossRef] [PubMed]
- Arthur, J.R.; Beckett, G.J. Thyroid function. Br. Med. Bull. 1999, 55, 658–668. [Google Scholar] [CrossRef]
- Baltaci, A.K.; Mogulkoc, R.; Kul, A.; Bediz, C.S.; Ugur, A. Opposite effects of zinc and melatonin on thyroid hormones in rats. Toxicology 2004, 195, 69–75. [Google Scholar] [CrossRef] [PubMed]
- Baltaci, A.K.; Mogulkoc, R. Leptin, NPY, melatonin and zinc levels in experimental hypothyroidism and hyperthyroidism: The relation to zinc. Biochem. Genet. 2017, 55, 223–233. [Google Scholar] [CrossRef]
- Chen, S.M.; Kuo, C.D.; Ho, L.T.; Liao, J.F. Effect of hypothyroidism on intestinal zinc absorption and renal zinc disposal in five-sixths nephrectomized rats. Jpn. J. Physiol. 2005, 55, 211–219. [Google Scholar] [CrossRef] [PubMed]
- Abdel-Mageed, A.B.; Oehme, F.W. A review of the biochemical roles, toxicity and interactions of zinc, copper and iron: I. Zinc. Vet. Hum. Toxicol. 1990, 32, 34–39. [Google Scholar]
- Costa, H.; Saliba, E.; Bomfim, M.; Lana, Â.M.; Borges, A.L.; Landim, A.; Mota, C.; Tonucci, R.; Faciola, A.P. Sheep Methane Emission on Semiarid Native Pasture—Potential Impacts of Either Zinc Sulfate or Propylene Glycol as Mitigation Strategies. Animals 2020, 10, 395. [Google Scholar] [CrossRef]
- Lima, J.M.; Vale, R.G.; Sousa, R.D.S.; Nunes, T.L.; Gameleira, J.D.S.; Cavalcante, J.M.; Minervino, A.H.H.; Ortolani, E.L.; Barrêto Júnior, R.A. Seasonality Effects on the Mineral Profile of Goats Farmed in the Semiarid Region of Brazil. Vet. Sci. 2021, 8, 8. [Google Scholar] [CrossRef] [PubMed]
- Medeiros-Neto, G. Iodine nutrition in Brazil: Where do we stand? Arq. Bras. Endocrinol. Metabol. 2009, 53, 470–474. [Google Scholar] [CrossRef][Green Version]
- Asín, J.; Ramírez, G.A.; Navarro, M.A.; Nyaoke, A.C.; Henderson, E.E.; Mendonça, F.S.; Molín, J.; Uzal, F.A. Nutritional Wasting Disorders in Sheep. Animals 2021, 11, 501. [Google Scholar] [CrossRef]
- Gotardo, A.T.; Dipe, V.V.; Almeida, E.R.M.; Hueza, I.M.; Pfister, J.A.; Górniak, S.L. Potential toxic effects produced by L-mimosine in the thyroid and reproductive systems. Evaluation in male rats. Toxicon 2021, 203, 121–128. [Google Scholar] [CrossRef] [PubMed]
- Porto, M.R.; Moscardini, A.R.; Novais, E.P.; Cabral Filho, S.L.; Lima, E.M.; Castro, M.B. Natural and experimental Leucaena leucocephala poisoning in horses. Pesq. Vet. Bras. 2017, 37, 829–834. [Google Scholar] [CrossRef]
- Shelton, H.; Kerven, G.L.; Dalzell, S.A. An update on leucaena toxicity: Is inoculation with Synergistes jonesii necessary? Trop. Grassl. 2019, 7, 146–153. [Google Scholar] [CrossRef]
- Halliday, M.J.; Padmanabha, J.; McSweeney, C.; Kerven, G.; Shelton, H.M. Leucaena toxicity: A new perspective on the most widely used forage tree legume. Trop. Grassl. Forrajes Trop. 2013, 1, 1–11. Available online: https://www.tropicalgrasslands.info/index.php/tgft/article/view/32/5 (accessed on 24 September 2021). [CrossRef]


| Hormone (nmol/L) | Sheep | Normal [13,18,19] | ||||
|---|---|---|---|---|---|---|
| 1 | 2 | 3 | 4 | 5 | ||
| T3 | 2.23 | NA | 2.01 | 2.05 | 2.03 | 2.04–5.85 |
| T4 | 40.58 | NA | 40.55 | 45.08 | 41.03 | 49.68–146.46 |
| Minerals | Sheep | Normal [20] | ||||
|---|---|---|---|---|---|---|
| 1 | 2 | 3 | 4 | 5 | ||
| Cobalt (ng/mL) | 1.1 | NA | 1.4 | 1.2 | 0.7 | 0.18–2.0 |
| Copper (µg/mL) | 0.8 | NA | 0.99 | 1.3 | 0.8 | 0.75–1.7 |
| Iron (µg/mL) | 1.03 | NA | 1.35 | 1.43 | 1.55 | 0.9–2.7 |
| Molybdenum (ng/mL) | 3.04 | NA | 3.9 | 3.04 | 3.65 | 1.0–5.0 |
| Selenium (µg/mL) | 0.04 | NA | 0.05 | 0.02 | 0.025 | 0.06–0.2 |
| Zinc (µg/mL) | 0.35 | NA | 0.30 | 0.20 | 0.18 | 0.55–1.2 |
| Minerals (mg/kg) | Sheep | Normal [13,20,21] | ||||
|---|---|---|---|---|---|---|
| 1 | 2 | 3 | 4 | 5 | ||
| Copper | 168 | 187 | 194 | 233 | 124 | 135–500 |
| Iron | 288 | 302 | 204 | 244 | 344 | 181–380 |
| Selenium | NA | 0.3 | NA | NA | NA | 0.8–3.0 |
| Zinc | 34.6 | 55.4 | 60.0 | 32.1 | 29.8 | 101–200 |
Publisher’s Note: MDPI stays neutral with regard to jurisdictional claims in published maps and institutional affiliations. |
© 2021 by the authors. Licensee MDPI, Basel, Switzerland. This article is an open access article distributed under the terms and conditions of the Creative Commons Attribution (CC BY) license (https://creativecommons.org/licenses/by/4.0/).
Share and Cite
Sampaio, R.A.G.; Riet-Correa, F.; Barbosa, F.M.S.; de Gois, D.D.; Lima, R.C.; da Silva, I.G.; da Silva, V.M.; Oliveira, A.M.; Simões, S.V.D.; Lucena, R.B. Diffuse Alopecia and Thyroid Atrophy in Sheep. Animals 2021, 11, 3530. https://doi.org/10.3390/ani11123530
Sampaio RAG, Riet-Correa F, Barbosa FMS, de Gois DD, Lima RC, da Silva IG, da Silva VM, Oliveira AM, Simões SVD, Lucena RB. Diffuse Alopecia and Thyroid Atrophy in Sheep. Animals. 2021; 11(12):3530. https://doi.org/10.3390/ani11123530
Chicago/Turabian StyleSampaio, Rubia Avlade Guedes, Franklin Riet-Correa, Francisca Maria Sousa Barbosa, Daniela Dantas de Gois, Raquel Costa Lima, Iara Geovana da Silva, Vitória Maria da Silva, Alexandra Melo Oliveira, Sara Vilar Dantas Simões, and Ricardo Barbosa Lucena. 2021. "Diffuse Alopecia and Thyroid Atrophy in Sheep" Animals 11, no. 12: 3530. https://doi.org/10.3390/ani11123530
APA StyleSampaio, R. A. G., Riet-Correa, F., Barbosa, F. M. S., de Gois, D. D., Lima, R. C., da Silva, I. G., da Silva, V. M., Oliveira, A. M., Simões, S. V. D., & Lucena, R. B. (2021). Diffuse Alopecia and Thyroid Atrophy in Sheep. Animals, 11(12), 3530. https://doi.org/10.3390/ani11123530

