A Partially Protective Vaccine for Fasciola hepatica Induced Degeneration of Adult Flukes Associated to a Severe Granulomatous Reaction in Sheep
Abstract
Simple Summary
Abstract
1. Introduction
2. Materials and Methods
2.1. Experimental Design
2.2. Liver Pathology
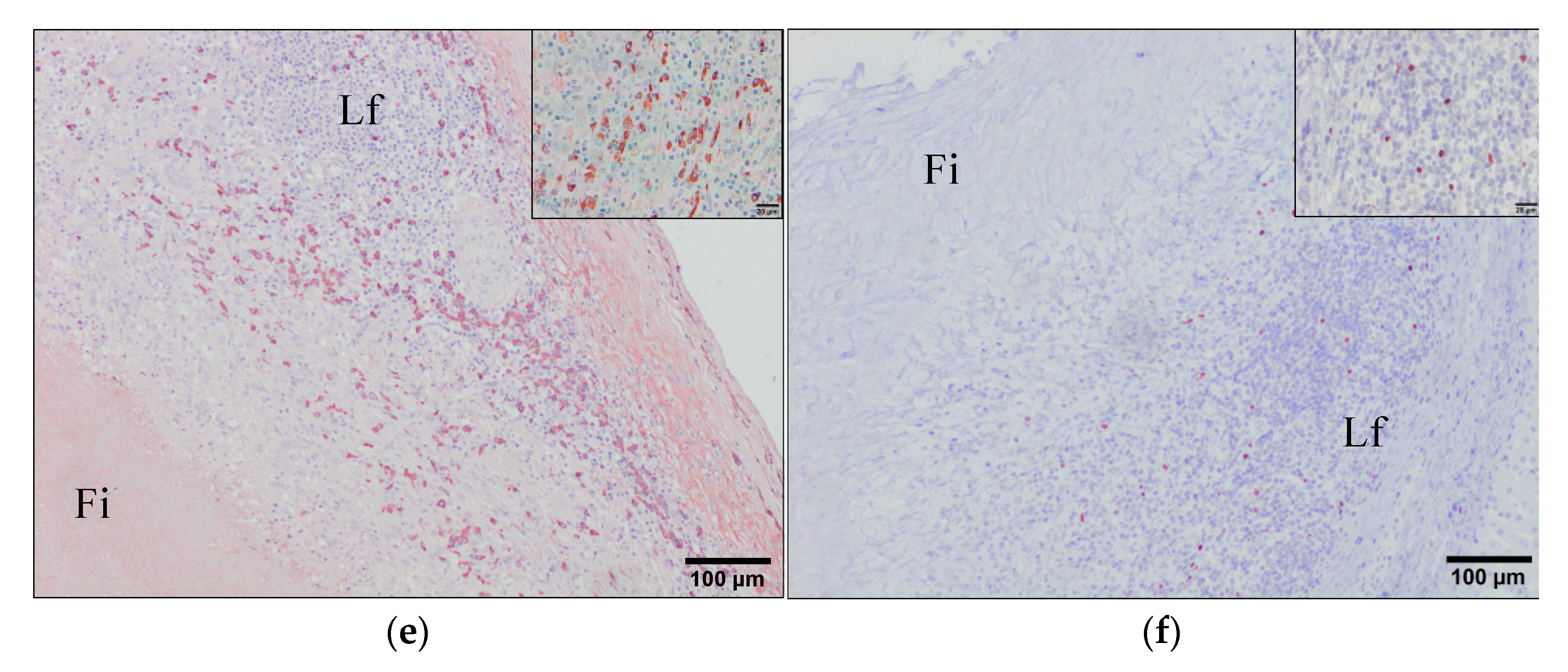
2.3. Immunohistochemistry
2.4. Cell Counting
2.5. Statistical Analysis
3. Results
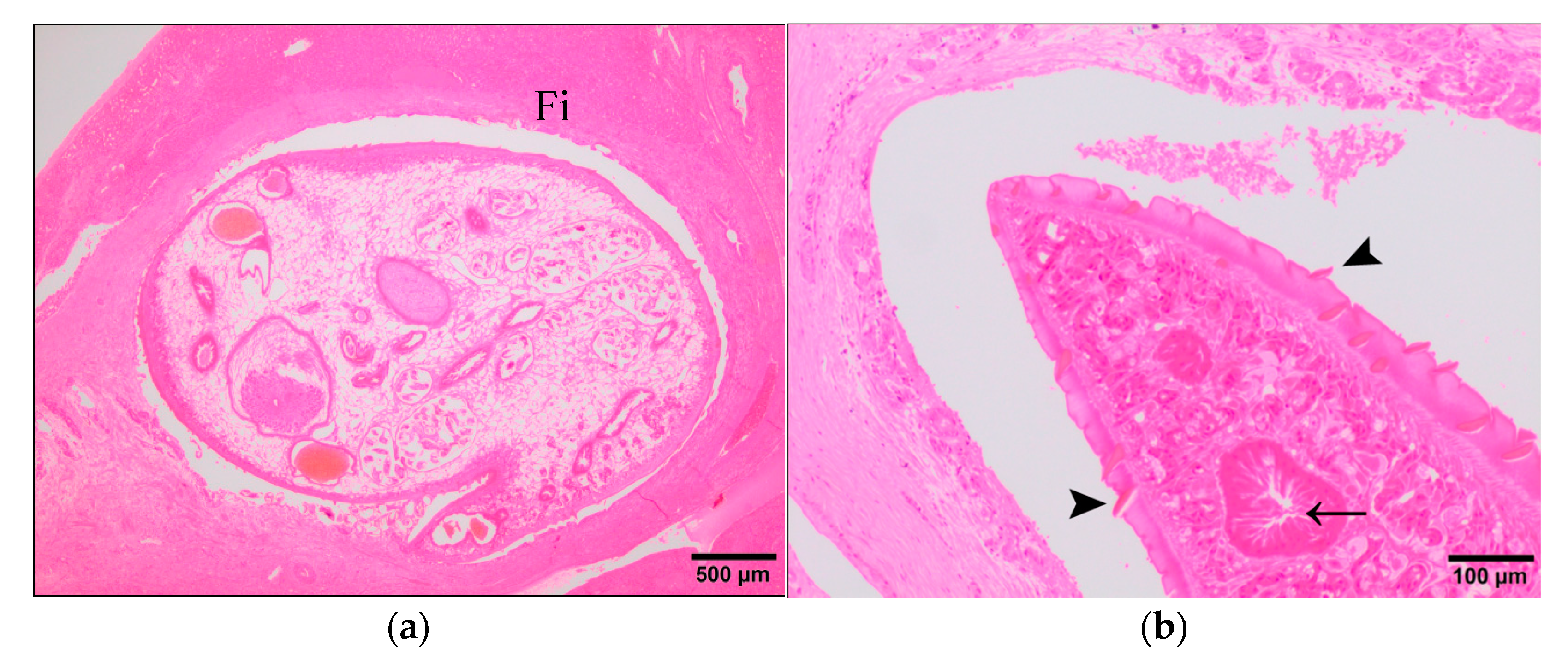
3.1. Histopathological Evaluation of Hepatic Lesions
3.2. Evaluation of F. Hepatica Morphology
4. Discussion
5. Conclusions
Author Contributions
Funding
Institutional Review Board Statement
Informed Consent Statement
Data Availability Statement
Acknowledgments
Conflicts of Interest
References
- Charlier, J.; Rinaldi, L.; Musella, V.; Ploeger, H.W.; Chartier, C.; Vineer, H.R.; Hinney, B.; von Samson-Himmelstjerna, G.; Băcescu, B.; Mickiewicz, M.; et al. Initial assessment of the economic burden of major parasitic helminth infections to the ruminant livestock industry in Europe. Prev. Vet. Med. 2020, 182, 105103. [Google Scholar] [CrossRef] [PubMed]
- Mas-Coma, S.; Valero, M.A.; Bargues, M.D. Facioliasis. Adv. Exp. Med. Biol. 2019, 1154, 71–103. [Google Scholar] [CrossRef] [PubMed]
- Molina-Hernández, V.; Mulcahy, G.; Pérez, J.; Martínez-Moreno, Á.; Donnelly, S.; O’Neill, S.M.; Dalton, J.P.; Cwiklinski, K. Fasciola hepatica vaccine: We may not be there yet but we’re on the right road. Vet. Parasitol. 2015, 208, 101–111. [Google Scholar] [CrossRef] [PubMed]
- Beesley, N.J.; Caminade, C.; Charlier, J.; Flynn, R.J.; Hodgkinson, J.E.; Martinez-Moreno, A.; Martinez-Valladares, M.; Perez, J.; Rinaldi, L.; Williams, D.J.L. Fasciola and fasciolosis in ruminants in Europe: Identifying research needs. Transbound Emerg. Dis. 2018, 65, 199–216. [Google Scholar] [CrossRef] [PubMed]
- Toet, H.; Piedrafita, D.M.; Spithill, T.W. Liver fluke vaccines in ruminants: Strategies, progress and future opportunities. Int. J. Parasitol. 2014, 44, 915–927. [Google Scholar] [CrossRef]
- Meemon, K.; Sobhon, P. Development of Fasciola vaccine in an animal model. Methods Mol. Biol. 2016, 1404, 123–133. [Google Scholar] [CrossRef]
- Buffoni, L.; Garza-Cuartero, L.; Pérez-Caballero, R.; Zafra, R.; Martínez-Moreno, F.J.; Molina-Hernández, V.; Pérez, J.; Martínez-Moreno, Á.; Mulcahy, G. Identification of protective peptides of Fasciola hepatica-derived cathepsin L1 (FhCL1) in vaccinated sheep by a linear B-cell epitope mapping approach. Parasit. Vectors 2020, 13, 1–13. [Google Scholar] [CrossRef]
- Garza-Cuartero, L.; Geurden, T.; Mahan, S.M.; Hardham, J.M.; Dalton, J.P.; Mulcahy, G. Antibody recognition of cathepsin L1-derived peptides in Fasciola hepatica-infected and/or vaccinated cattle and identification of protective linear B-cell epitopes. Vaccine 2018, 36, 958–968. [Google Scholar] [CrossRef]
- Pérez-Écija, R.A.; Mendes, R.E.; Zafra, R.; Buffonni, L.; Martínez-Moreno, A.; Pérez, J. Pathological and parasitological protection in goats immunised with recombinant cathepsin L1 and challenged with Fasciola hepatica. Vet. J. 2010, 185, 351–353. [Google Scholar] [CrossRef]
- Zafra, R.; Pérez-Écija, R.A.; Buffoni, L.; Pacheco, I.L.; Martínez-Moreno, A.; LaCourse, E.J.; Perally, S.; Brophy, P.M.; Pérez, J. Early hepatic and peritoneal changes and immune response in goats vaccinated with a recombinant glutathione transferase sigma class and challenged with Fasciola hepatica. Res. Vet. Sci. 2013, 94, 602–609. [Google Scholar] [CrossRef]
- Zafra, R.; Buffoni, L.; Pérez-Caballero, R.; Molina-Hernández, V.; Ruiz-Campillo, M.T.; Pérez, J.; Martínez-Moreno, Á.; Martínez-Moreno, F.J. Efficacy of a multivalent vaccine against Fasciola hepatica infection in sheep. Vet. Res. 2021, 52, 1–9. [Google Scholar] [CrossRef]
- Ruiz-Campillo, M.T.; Molina-Hernández, V.; Bautista, M.J.; Pacheco, I.L.; Zafra, R.; Buffoni, L.; Martínez-Moreno, F.J.; Martínez-Moreno, A.; Pérez, J. Characterization of dendritic cells and follicular dendritic cells in the hepatic lymph nodes and liver of sheep experimentally infected with Fasciola hepatica. Vet. Res. 2020, 51, 1–10. [Google Scholar] [CrossRef]
- Scarcella, S.; Hanna, R.E.B.; Brennan, G.P.; Solana, H.; Fairweather, I. Fasciola hepatica: Histological changes in the somatic and reproductive tissues of liver fluke following closantel treatment of experimentally-infected sheep. Vet. Parasitol. 2016, 215, 38–47. [Google Scholar] [CrossRef]
- Hanna, R.E.B.; Moffett, D.; Forster, F.I.; Trudgett, A.G.; Brennan, G.P.; Fairweather, I. Fasciola hepatica: A light and electron microscope study of the ovary and of the development of oocytes within eggs in the uterus provides an insight into reproductive strategy. Vet. Parasitol. 2016, 221, 93–103. [Google Scholar] [CrossRef] [PubMed]
- Raadsma, H.W.; Kingsford, N.M.; Suharyanta; Spithill, T.W.; Piedrafita, D. Host responses during experimental infection with Fasciola gigantica and Fasciola hepatica in Merino sheep. II. Development of a predictive index for Fasciola gigantica worm burden. Vet. Parasitol. 2008, 154, 250–261. [Google Scholar] [CrossRef] [PubMed]
- Zafra, R.; Buffoni, L.; Martínez-Moreno, A.; Pérez-Écija, A.; Martinez-Moreno, F.J.; Pérez, J. A Study of the Liver of Goats Immunized with a Synthetic Peptide of the Sm14 Antigen and Challenged with Fasciola hepatica. J. Comp. Pathol. 2008, 139, 169–176. [Google Scholar] [CrossRef]
- Mendes, R.E.; Zafra, R.; Pérez-Écija, R.A.; Buffoni, L.; Martínez-Moreno, Á.; Tendler, M.; Pérez, J. Evaluation of local immune response to Fasciola hepatica experimental infection in the liver and hepatic lymph nodes of goats immunized with Sm14 vaccine antigen. Mem. Inst. Oswaldo Cruz 2010, 105, 698–705. [Google Scholar] [CrossRef] [PubMed]
- Pérez-Caballero, R.; Siles-Lucas, M.; González-Miguel, J.; Martínez-Moreno, F.J.; Escamilla, A.; Pérez, J.; Martínez-Moreno, A.; Buffoni, L. Pathological, immunological and parasitological study of sheep vaccinated with the recombinant protein 14-3-3z and experimentally infected with Fasciola hepatica. Vet Immunol Immunopathol 2018, 202, 115–121. [Google Scholar] [CrossRef]
- Mendes, R.E.; Pérez-Écija, R.A.; Zafra, R.; Buffoni, L.; Martínez-Moreno, Á.; Dalton, J.P.; Mulcahy, G.; Pérez, J. Evaluation of hepatic changes and local and systemic immune responses in goats immunized with recombinant Peroxiredoxin (Prx) and challenged with Fasciola hepatica. Vaccine 2010, 28, 2832–2840. [Google Scholar] [CrossRef]
- Hanna, R.E.B.; Edgar, H.; Moffett, D.; McConnell, S.; Fairweather, I.; Brennan, G.P.; Trudgett, A.; Hoey, E.M.; Cromie, L.; Taylor, S.M.; et al. Fasciola hepatica: Histology of the testis in egg-producing adults of several laboratory-maintained isolates of flukes grown to maturity in cattle and sheep and in flukes from naturally infected hosts. Vet. Parasitol. 2008, 157, 222–234. [Google Scholar] [CrossRef]
- Hanna, R.E.B.; Moffett, D.; Brennan, G.P.; Fairweather, I. Fasciola hepatica: A light and electron microscope study of sustentacular tissue and heterophagy in the testis. Vet. Parasitol. 2012, 187, 168–182. [Google Scholar] [CrossRef] [PubMed]
- Hanna, R.E.; Edgar, H.W.J.; McConnell, S.; Toner, E.; McConville, M.; Brennan, G.P.; Devine, C.; Flanagan, A.; Halferty, L.; Meaney, M.; et al. Fasciola hepatica: Histological changes in the reproductive structures of triclabendazole (TCBZ)-sensitive and TCBZ-resistant flukes after treatment in vivo with TCBZ and the related benzimidazole derivative, Compound Alpha. Vet. Parasitol. 2010, 168, 240–254. [Google Scholar] [CrossRef] [PubMed]
- Hanna, R. Fasciola hepatica: Histology of the reproductive organs and differential effects of triclabendazole on drug-sensitive and drug-resistant fluke isolates and on flukes from selected field cases. Pathogens 2015, 4, 431–456. [Google Scholar] [CrossRef] [PubMed]
- Pérez-Caballero, R.; Buffoni, L.; Martínez-Moreno, F.J.; Zafra, R.; Molina-Hernández, V.; Pérez, J.; Martínez-Moreno, Á. Expression of free radicals by peritoneal cells of sheep during the early stages of Fasciola hepatica infection. Parasit. Vectors 2018, 11, 1–11. [Google Scholar] [CrossRef] [PubMed]
- Pérez, J.; Ortega, J.; Moreno, T.; Morrondo, P.; López-Sández, C.; Martínez-Moreno, A. Pathological and immunohistochemical study of the liver and hepatic lymph nodes of sheep chronically reinfected with Fasciola hepatica, with or without triclabendazole treatment. J. Comp. Pathol. 2002, 127, 30–36. [Google Scholar] [CrossRef]
- Meeusen, E.; Lee, C.S.; Rickard, M.D.; Brandon, M.R. Cellular responses during liver fluke infection in sheep and its evasion by the parasite. Parasite Immunol. 1995, 17, 37–45. [Google Scholar] [CrossRef]
- Martínez-Moreno, A.; Jiménez-Luque, V.; Moreno, T.; Redondo, E.S.H.; De Las Mulas, J.M.; Pérez, J. Liver pathology and immune response in experimental Fasciola hepatica infections of goats. Vet. Parasitol. 1999, 82, 19–33. [Google Scholar] [CrossRef]
- Van Milligen, F.J.; Cornelissen, J.B.W.J.; Bokhout, B.A. Protection against Fasciola hepatica in the intestine is highly correlated with eosinophil and immunoglobulin G1 responses against newly excysted juveniles. Parasite Immunol. 1999, 21, 243–251. [Google Scholar] [CrossRef]
- Kesik, M.; Jedlina-Panasiuk, L.; Kozak-Cieszczyk, M.; Pucienniczak, A.; Wedrychowicz, H. Enteral vaccination of rats against Fasciola hepatica using recombinant cysteine proteinase (cathepsin L1). Vaccine 2007, 25, 3619–3628. [Google Scholar] [CrossRef]
- Cullen, J.M.; Stalker, M.J. Chapter 2—Liver and Biliary System. In Jubb, Kennedy & Palmer’s Pathology of Domestic Animals; Elsevier: Amsterdam, The Netherlands, 2016; Volume 2, pp. 258–352.e1. [Google Scholar] [CrossRef]
- Alvarez, J.I.; Londoo, D.P.; Alvarez, A.L.; Trujillo, J.; Jaramillo, M.M.; Restrepo, B.I. Granuloma formation and parasite disintegration in porcine cysticercosis: Comparison with human neurocysticercosis. J. Comp. Pathol. 2002, 127, 186–193. [Google Scholar] [CrossRef]
- Restrepo, B.I.; Alvarez, J.I.; Castaño, J.A.; Arias, L.F.; Restrepo, M.; Trujillo, J.; Colegial, C.H.; Teale, J.M. Brain granulomas in neurocysticercosis patients are associated with a Th1 and Th2 profile. Infect. Immun. 2001, 69, 4554–4560. [Google Scholar] [CrossRef]
- Giorgio, S.; Gallo-Francisco, P.H.; Roque, G.A.S.; Flóro e Silva, M. Granulomas in parasitic diseases: The good and the bad. Parasitol. Res. 2020, 119, 3165–3180. [Google Scholar] [CrossRef]
- Jaber, J.R.; Zafra, R.; Pérez, J.; Suárez-Bonnet, A.; González, J.F.; Carrascosa, C.; Andrada, M.; Arbelo, M.; Fernández, A. Immunopathological study of parasitic cholangitis in cetaceans. Res. Vet. Sci. 2013, 95, 556–561. [Google Scholar] [CrossRef]
- Turk, J.L.; Narayanan, R.B. The Origin, Morphology, and Function of Epithelioid Cells. Immunobiology 1982, 161, 274–282. [Google Scholar] [CrossRef]
- Yamashita, K.; Iwamoto, T. Immunohistochemical observation of lysozyme in macrophages and giant cells in human granulomas. Acta Path. Jap. 1978, 28, 689–695. [Google Scholar] [CrossRef] [PubMed]
- Spector, W.G. Epithelioid cells, giant cells, and sarcoidosis. Ann. N. Y. Acad. Sci. 1976, 278, 3–6. [Google Scholar] [CrossRef]
- Keshav, S.; Chung, P.; Milon, G.; Gordon, S. Lysozyme is an inducible marker of macrophage activation in murine tissues as demonstrated by in situ hybridization. J. Exp. Med. 1991, 174, 1049–1058. [Google Scholar] [CrossRef] [PubMed]
- Basika, T.; Muñoz, N.; Casaravilla, C.; Irigoín, F.; Batthyány, C.; Bonilla, M.; Salinas, G.; Pacheco, J.P.; Roth, J.; Durán, R.; et al. Phagocyte-specific S100 proteins in the local response to the Echinococcus granulosus larva. Parasitology 2012, 139, 271–283. [Google Scholar] [CrossRef] [PubMed][Green Version]
- Van Gorp, H.; Delputte, P.L.; Nauwynck, H.J. Scavenger receptor CD163, a Jack-of-all-trades and potential target for cell-directed therapy. Mol. Immunol. 2010, 47, 1650–1660. [Google Scholar] [CrossRef]
- Verreck, F.A.W.; de Boer, T.; Langenberg, D.M.L.; van der Zanden, L.; Ottenhoff, T.H.M. Phenotypic and functional profiling of human proinflammatory type-1 and anti-inflammatory type-2 macrophages in response to microbial antigens and IFN-γ- and CD40L-mediated costimulation. J. Leukoc. Biol. 2006, 79, 285–293. [Google Scholar] [CrossRef]
- Barros, M.H.M.; Hauck, F.; Dreyer, J.H.; Kempkes, B.; Niedobitek, G. Macrophage polarisation: An immunohistochemical approach for identifying M1 and M2 macrophages. PLoS ONE 2013, 8, 1–11. [Google Scholar] [CrossRef] [PubMed]
- Melzi, E.; Rocchi, M.S.; Entrican, G.; Caporale, M.; Palmarini, M. Immunophenotyping of Sheep Paraffin-Embedded Peripheral Lymph Nodes. Front. Immunol. 2018, 9, 2892. [Google Scholar] [CrossRef] [PubMed]
- Fernández, M.; Benavides, J.; Castaño, P.; Elguezabal, N.; Fuertes, M.; Muñoz, M.; Royo, M.; Ferreras, M.C.; Pérez, V. Macrophage Subsets Within Granulomatous Intestinal Lesions in Bovine Paratuberculosis. Vet. Pathol. 2017, 54, 82–93. [Google Scholar] [CrossRef] [PubMed]
- Cabanelas, E.; Panadero, R.; Fuertes, M.; Fernández, M.; Benavides, J.; López, C.; Pérez-Creo, A.; Díaz, P.; Morrondo, P.; Díez-Baños, P.; et al. Histological and immunohistochemical characterization of Hypoderma lineatum (Diptera: Oestridae) warbles. Vet. Parasitol. 2015, 212, 361–367. [Google Scholar] [CrossRef]
- Adler, L.N.; Jiang, W.; Bhamidipati, K.; Millican, M.; Macaubas, C.; Hung, S.C.; Mellins, E.D. The other function: Class II-restricted antigen presentation by B cells. Front. Immunol. 2017, 8, 1–14. [Google Scholar] [CrossRef]
- ten Broeke, T.; Wubbolts, R.; Stoorvogel, W. MHC class II antigen presentation by dendritic cells regulated through endosomal sorting. Cold Spring Harb. Perspect Biol. 2013, 5, 1–21. [Google Scholar] [CrossRef]
- Romero-Palomo, F.; Risalde, M.A.; Molina, V.; Sánchez-Cordón, P.J.; Pedrera, M.; Gómez-Villamandos, J.C. Immunohistochemical Detection of Dendritic Cell Markers in Cattle. Vet. Pathol. 2013, 50, 1099–1108. [Google Scholar] [CrossRef]
- De Saint-Vis, B.; Vincent, J.; Vandenabeele, S.; Vanbervliet, B.; Pin, J.J.; Aït-Yahia, S.; Patel, S.; Mattei, M.G.; Banchereau, J.; Zurawski, S.; et al. A novel lysosome-associated membrane glycoprotein, DC-LAMP, induced upon DC maturation, is transiently expressed in MHC class II compartment. Immunity 1998, 9, 325–336. [Google Scholar] [CrossRef]
- Escamilla, A.; Zafra, R.; Pérez, J.; McNeilly, T.N.; Pacheco, I.L.; Buffoni, L.; Martínez-Moreno, F.J.; Molina-Hernández, V.; Martínez-Moreno, A. Distribution of Foxp3+ T cells in the liver and hepatic lymph nodes of goats and sheep experimentally infected with Fasciola hepatica. Vet. Parasitol. 2016, 230, 14–19. [Google Scholar] [CrossRef]
- Pacheco, I.L.; Abril, N.; Zafra, R.; Molina-Hernández, V.; Morales-Prieto, N.; Bautista, M.J.; Ruiz-Campillo, M.T.; Pérez-Caballero, R.; Martínez-Moreno, A.; Pérez, J. Fasciola hepatica induces Foxp3 T cell, proinflammatory and regulatory cytokine overexpression in liver from infected sheep during early stages of infection. Vet. Res. 2018, 49, 1–10. [Google Scholar] [CrossRef]
- McNeilly, T.N.; Rocchi, M.; Bartley, Y.; Brown, J.K.; Frew, D.; Longhi, C.; McLean, L.; McIntyre, J.; Nisbet, A.J.; Wattegedera, S.; et al. Suppression of ovine lymphocyte activation by Teladorsagia circumcincta larval excretory-secretory products. Vet. Res. 2013, 44, 70. [Google Scholar] [CrossRef] [PubMed]










| Antibody 1, Clon or Ref, Source | Expression | Dilution | Retrieval Method |
|---|---|---|---|
| CD163 mAb, EdHu-1, BioRad | Mac. (M2) | 1:400 | TC pH6 Autocl. 2 |
| Lysozyme pAb, A0099, Dako | Mac. | 1:200 | TC pH6 MW 3 |
| S100 pAb, Z0311, Dako | Mac., DC | 1:200 | None |
| CD68 mAb, EBM11, Dako | Mac. | 1:50 | Pronase 4 |
| CD3 pAb, A0452, Dako | Pan T lymp. | 1:200 | TC pH6 MW 3 |
| Lambda light chains pAb, A0193, Dako | B cells | 1:1000 | Pronase 4 |
| FoxP3 mAb, FJK-16s, eBiosciences | T reg | 1:100 | TC pH6 Autocl. 5 |
| HLA-DR mAb, TAL.1B5, Dako | MHC-II APC | 1:50 | TC pH6 MW 3 |
| CD208 (DC-LAMP) mAb, 1010E1.01, Dendritics | Mature DC | 1:100 | TC pH6 Autocl. 2 |
| Ki67 mAb, MIB-1, Dako | Proliferating cells | 1:100 | TC pH6 Autocl. 2 |
| Cytokeratin mAb, AE1/AE3, Dako | Epithelial cells | 1:50 | TC pH6 Autocl. 2 |
| Antibody | Cellular Expression | Score 1 |
|---|---|---|
| CD163 | Mac. (M2) | Severe |
| Lysozyme | Mac. | Severe |
| S100 | Mac., DC | Severe |
| CD68 | Mac. | Mild |
| CD3 | Pan T lymp. | Very severe |
| Lambda light chains | B cells | Moderate |
| FoxP3 | T reg | Mild |
| HLA-DR | MHC-II APC | Moderate |
| CD208 (DC-LAMP) | Mature DC | Mild |
| Ki6 | Proliferating cells | Mild |
| Cytokeratin (AE1/AE3) | Epithelial cells | Mild |
Publisher’s Note: MDPI stays neutral with regard to jurisdictional claims in published maps and institutional affiliations. |
© 2021 by the authors. Licensee MDPI, Basel, Switzerland. This article is an open access article distributed under the terms and conditions of the Creative Commons Attribution (CC BY) license (https://creativecommons.org/licenses/by/4.0/).
Share and Cite
Molina-Hernández, V.; Ruiz-Campillo, M.T.; Martínez-Moreno, F.J.; Buffoni, L.; Martínez-Moreno, Á.; Zafra, R.; Bautista, M.J.; Escamilla, A.; Pérez-Caballero, R.; Pérez, J. A Partially Protective Vaccine for Fasciola hepatica Induced Degeneration of Adult Flukes Associated to a Severe Granulomatous Reaction in Sheep. Animals 2021, 11, 2869. https://doi.org/10.3390/ani11102869
Molina-Hernández V, Ruiz-Campillo MT, Martínez-Moreno FJ, Buffoni L, Martínez-Moreno Á, Zafra R, Bautista MJ, Escamilla A, Pérez-Caballero R, Pérez J. A Partially Protective Vaccine for Fasciola hepatica Induced Degeneration of Adult Flukes Associated to a Severe Granulomatous Reaction in Sheep. Animals. 2021; 11(10):2869. https://doi.org/10.3390/ani11102869
Chicago/Turabian StyleMolina-Hernández, Verónica, María T. Ruiz-Campillo, Francisco J. Martínez-Moreno, Leandro Buffoni, Álvaro Martínez-Moreno, Rafael Zafra, María J. Bautista, Alejandro Escamilla, Raúl Pérez-Caballero, and José Pérez. 2021. "A Partially Protective Vaccine for Fasciola hepatica Induced Degeneration of Adult Flukes Associated to a Severe Granulomatous Reaction in Sheep" Animals 11, no. 10: 2869. https://doi.org/10.3390/ani11102869
APA StyleMolina-Hernández, V., Ruiz-Campillo, M. T., Martínez-Moreno, F. J., Buffoni, L., Martínez-Moreno, Á., Zafra, R., Bautista, M. J., Escamilla, A., Pérez-Caballero, R., & Pérez, J. (2021). A Partially Protective Vaccine for Fasciola hepatica Induced Degeneration of Adult Flukes Associated to a Severe Granulomatous Reaction in Sheep. Animals, 11(10), 2869. https://doi.org/10.3390/ani11102869

