Molecular Characterization of Chelonid Alphaherpesvirus 5 in a Black Turtle (Chelonia mydas) Fibropapilloma from Baja California Sur, Mexico
Abstract
Simple Summary
Abstract
1. Introduction
2. Materials and Methods
2.1. Hematological Analysis
2.2. Molecular Analysis
2.3. Sequence Alignment and Phylogenetic Identification
2.4. Ethics Statement
3. Results and Discussion
3.1. Captures, Morphometrics, and Blood Values
3.2. Recapture, Clinical Evaluation, and Gross Pathology
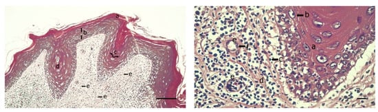
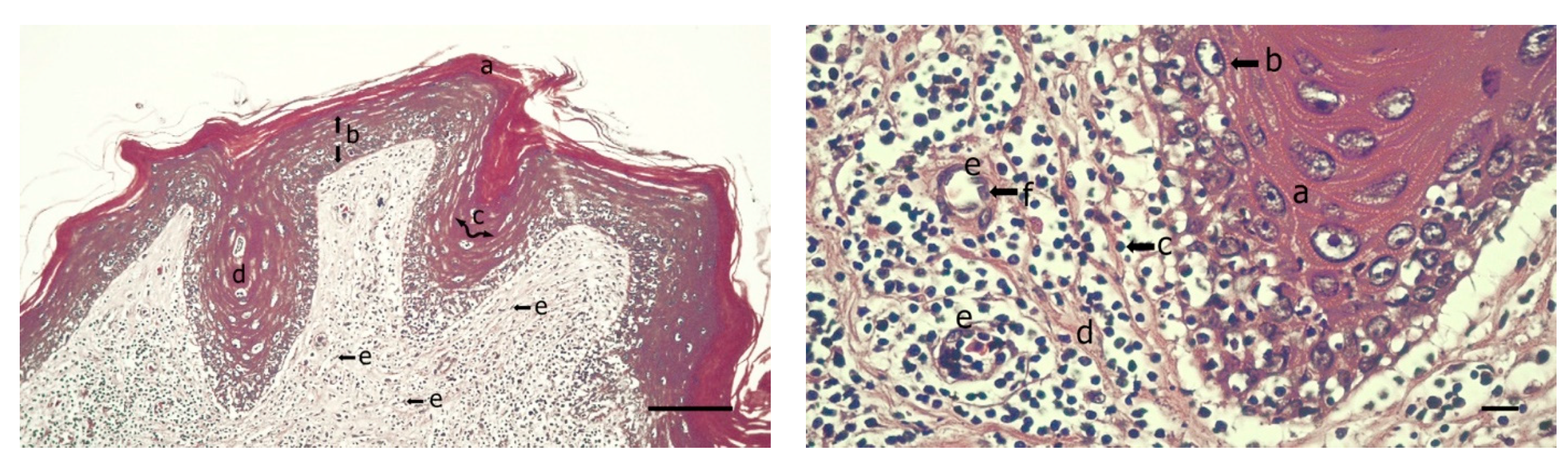
3.3. Histopathology
3.4. Hematology and Clinicopathological Analysis
3.5. Molecular Characterization of ChHV5
4. Conclusions
Author Contributions
Funding
Institutional Review Board Statement
Informed Consent Statement
Data Availability Statement
Acknowledgments
Conflicts of Interest
References
- Herbst, L.H.; Jacobson, E.R.; Klein, P.A.; Balazs, G.H.; Moretti, R.; Brown, T.; Sundberg, J.P. Comparative pathology and pathogenesis of spontaneous and experimentally induced fibropapillomas of green turtles (Chelonia mydas). Vet. Pathol. 1999, 36, 551–564. [Google Scholar] [CrossRef] [PubMed]
- Aguirre, A.A.; Lutz, P. Marine turtles as sentinels of ecosystem health: Is fibropapillomatosis an indicator? EcoHealth 2004, 1, 275–283. [Google Scholar] [CrossRef]
- Herbst, L.H.; Jacobson, E.R.; Moretti, R.; Brown, T.; Sundberg, J.P.; Klein, P.A. Experimental transmission of green turtle fibropapillomatosis using cell-free tumor extracts. Dis. Aquat. Org. 1995, 22, 1–12. [Google Scholar] [CrossRef]
- Lu, Y.; Wang, Y.; Yu, Q.; Aguirre, A.A.; Balazs, G.H.; Nerurkar, V.R.; Yanagihara, R. Detection of herpesviral sequences in tissues of green turtles with fibropapilloma by polymerase chain reaction. Arch. Virol. 2000, 145, 1885–1893. [Google Scholar] [CrossRef] [PubMed]
- Page-Karjian, A.; Gottdenker, N.L.; Whitfield, J.; Herbst, L.; Norton, T.M.; Ritchie, B. Potential Noncutaneous Sites of Chelonid Herpesvirus 5 Persistence and Shedding in Green Sea Turtles Chelonia mydas. J. Aquat. Anim. Health 2017, 29, 136–142. [Google Scholar] [CrossRef]
- Work, T.M.; Dagenais, J.; Weatherby, T.M.; Balazs, G.H.; Ackermann, M. In Vitro Replication of Chelonid Herpesvirus 5 in Organotypic Skin Cultures from Hawaiian Green Turtles (Chelonia mydas). J. Virol. 2017, 91, 1–17. [Google Scholar] [CrossRef]
- Work, T.; Balazs, G.H. Relating tumor score to hematology in green turtles with fibropapillomatosis in Hawaii. J. Wildl. Dis. 1999, 35, 804–807. [Google Scholar] [CrossRef]
- Aguirre, A.A.; Balazs, G.H. Blood biochemistry values of green turtles, Chelonia mydas, with and without fibropapillomatosis. Comp. Haematol. Int. 2000, 10, 132–137. [Google Scholar]
- de Deus Santos, M.R.; Martins, A.S.; Baptistotte, C.; Work, T.M. Health condition of juvenile Chelonia mydas related to fibropapillomatosis in southeast Brazil. Dis. Aquat. Org. 2015, 115, 193–201. [Google Scholar] [CrossRef]
- Reséndiz, E.; Flores-Ramírez, S.; Koch, V.; Cordero-Tapia, A. First record of fibropapillomatosis in a green turtle Chelonia mydas from the Baja California Peninsula. J. Aquat. Anim. Health 2016, 28, 252–257. [Google Scholar] [CrossRef]
- Cordero-Tapia, A.; Reséndiz, E. Reporte Médico y Forense de la Tortuga Amarilla (Caretta caretta) en Bahía de Ulloa, B.C.S. México. In Informe Final de Investigación del Estudio Sobre las Causas de muerte de la Tortuga Amarilla (Caretta caretta) en la Costa Occidental de Baja California Sur (Golfo de Ulloa); Uabcs, Cibnor, Cicimar, Y Conanp: Mexico City, Mexico, 2014; pp. 115, 122, 195. Available online: http://entorno.conanp.gob.mx/documentos/INFORME_FINAL_PROYECTO_MOR_T_AMARILLA_GOLFO_ULLOA1_CONANP_UABCS_CIBNOR_CICIMAR-JUNIO_2014.pdf (accessed on 5 September 2020).
- Reséndiz, E.; Fernández-Sanz, H.; Torres, D.S.B.; Vega-Bravo, J.A.; Lara-Uc, M.M. Gross examination and histopathology of fibropapillomas in Chelonia mydas and Lepidochelys olivacea from Baja California Sur, Mexico. J. Histol. Histopathol. 2019, 6, 1. [Google Scholar] [CrossRef]
- Deem, S.L.; Harris, H.S. Health assessments. In Sea Turtle Health and Rehabilitation; Manire, C.A., Norton, T.M., Stacy, B.A., Harms, C.A., Innis, C.J., Eds.; J. Ross Publishing: Plantation, FL, USA, 2017; pp. 945–957. [Google Scholar]
- Page-Karjian, A.; Perrault, J.R. Sea turtle health assessments: Maximizing turtle encounters to better understand health. In Sea Turtle Research and Conservation, Lessons from Working in the Field; Nahill, B., Ed.; Academic Press: San Diego, CA, USA, 2021; pp. 31–44. [Google Scholar]
- Bolten, A. Techniques for measuring sea turtles. In Research and Management Techniques for the Conservation of Sea Turtles; Eckert, K., Bjorndal, K., Abreu-Grobois, A., Donnelly, M., Eds.; IUCN/SSC Marine Turtle Specialist Group Publication no. 4: Washington, DC, USA, 1999. [Google Scholar]
- López-Castro, M.C.; Koch, V.; Mariscal-Loza, A.; Nichols, W.J. Long-term monitoring of black turtles Chelonia mydas at coastal foraging areas off the Baja California Peninsula. Endanger. Species Res. 2010, 11, 35–45. [Google Scholar] [CrossRef]
- Wyneken, J. The Anatomy of Sea Turtles; U.S. Department of Commerce NOAA Technical Memorandum NMFS-SEFSC: Miami, FL, USA, 2001; pp. 1–172.
- Owens, D.W.; Ruiz, G.J. New methods of obtaining blood and cerebrospinal fluid from marine turtles. Herpetologica 1980, 36, 17–20. [Google Scholar]
- Campbell, T.W. Clinical pathology of reptiles. In Reptile Medicine and Surgery, 2nd ed.; Madder, D.R., Ed.; Elsevier: Marathon, FL, USA, 2006; pp. 453–470. [Google Scholar]
- Balazs, G. Factores a Considerar en el Marcado de Tortugas marinas. In Research and Management Techniques for the Conservation of Sea Turtles; Eckert, K., Bjorndal, K., Abreu-Grobois, A., Donnelly, M., Eds.; IUCN/SSC Marine Turtle Specialist Group Publication no. 4: Washington, DC, USA, 1999. [Google Scholar]
- Mader, D.R. Normal hematology of reptiles. In Schalm’s Veterinary Hematology, 5th ed.; Feldman, B.V., Zinkl, J.G., Jain, N.C., Eds.; Lippincott Williams & Willkins: Philadelphia, PA, USA, 2000; pp. 1126–1132. [Google Scholar]
- Stacy, N.I.; Innis, C.J. Clinical pathology. In Sea Turtle Health and Rehabilitation; Manire, C.A., Norton, T.M., Stacy, B.A., Harms, C.A., Innis, C.J., Eds.; J. Ross Publishing: Plantation, FL, USA, 2017; pp. 147–207. [Google Scholar]
- Kang, K.I.; Torres-Velez, F.J.; Zhang, J.; Moore, P.A.; Moore, D.P.; Rivera, S.; Brown, C.C. Localization of fibropapilloma-associated turtle herpesvirus in green turtles (Chelonia mydas) by in-situ hybridization. J. Comp. Pathol. 2008, 139, 218–225. [Google Scholar] [CrossRef]
- Tamura, K.; Stecher, G.; Peterson, D.; Filipski, A.; Kumar, S. MEGA6: Molecular Evolutionary Genetics Analysis version 6.0. Mol. Biol. Evol. 2013, 30, 2725–2729. [Google Scholar] [CrossRef]
- Darriba, D.; Taboada, G.L.; Doallo, R.; Posada, D. jModelTest 2: More models, new heuristics and parallel computing. Nat. Methods 2012, 9, 772. [Google Scholar] [CrossRef]
- Ronquist, F.; Teslenko, M.; van der Mark, P.; Ayres, D.L.; Darling, A.; Hohna, S.; Larget, B.; Liu, L.; Suchard, M.A.; Huelsenbeck, J.P. MrBayes 3.2: Efficient Bayesian phylogenetic inference and model choice across a large model space. Syst. Biol. 2012, 61, 539–542. [Google Scholar] [CrossRef]
- Bjorndal, K.A.; Bolten, A.B.; Chaloupka, M.Y. Green turtle somatic growth model: Evidence for density dependence. Ecol. Appl. 2000, 10, 269–282. [Google Scholar] [CrossRef]
- Márquez, R. Las Tortugas marinas y nuestro tiempo. In Serie La Ciencia para Todos, 3rd ed.; Fondo de Cultura: Mexico City, Mexico, 1996; p. 144. [Google Scholar]
- Reséndiz, E.; Fernández-Sanz, H.; Lara-Uc, M.M. Baseline health indicators of Eastern Pacific green turtles (Chelonia mydas) from Baja California Sur, Mexico. Comp. Clin. Path. 2018, 27, 1309–1320. [Google Scholar] [CrossRef]
- Aguirre, A.A.; Spraker, T.R.; Chaves, A.; Toit, L.; Eure, W.; Balazs, G. Pathology of fibropapillomatosis in olive ridley turtles Lepidochelys olivacea nesting in Costa Rica. J. Aquat. Anim. Health 1999, 11, 283–289. [Google Scholar] [CrossRef]
- Work, T.M.; Dagenais, J.; Balazs, G.H.; Schettle, N.; Ackermann, M. Dynamics of virus shedding and in situ confirmation of chelonid herpesvirus 5 in Hawaiian green turtles with fibropapillomatosis. Vet. Pathol. 2015, 52, 1195–1201. [Google Scholar] [CrossRef]
- Trigo, T.F.J.; Valero, E.G.P. Patología genEral Veterinaria, 4th ed.; Universidad Nacional Autónoma de México: Mexico City, Mexico, 2004. [Google Scholar]
- Cheville, N.F. Ultrastructural Pathology an Introduction to Interpretation; IOWA State University Press/AMES: Ames, IA, USA, 1994; p. 946. [Google Scholar]
- Aguirre, A.A.; Balazs, G.H.; Spraker, T.R.; Gross, T.S. Adrenal and hematological responses to stress in juvenile green turtles (Chelonia mydas) with and without fibropapillomas. Physiol. Zool. 1995, 68, 831–854. [Google Scholar] [CrossRef]
- Patrício, A.R.; Herbst, L.H.; Duarte, A.; Velez-Zuazo, X.; Santos Loureiro, N.; Pereira, N.; Tavares, L.; Toranzos, G.A. Global phylogeography and evolution of chelonid fibropapilloma-associated herpesvirus. J. Gen. Virol. 2012, 93, 1035–1045. [Google Scholar] [CrossRef]
- Alfaro-Núñez, A.; Bojesen, A.M.; Bertelsen, M.F.; Wales, N.; Balazs, G.H.; Gilbert, M.T.P. Further evidence of Chelonid herpesvirus 5 (ChHV5) latency: High levels of ChHV5 DNA detected in clinically healthy marine turtles. Peer J. 2016, 4, e2274. [Google Scholar] [CrossRef]
- Alfaro-Núñez, A.; Gilbert, M.T.P. Validation of a sensitive PCR assay for the detection of Chelonid fibropapilloma-associated herpesvirus in latent turtle infections. J. Virol. Methods 2014, 206, 38–41. [Google Scholar] [CrossRef]
- Senko, J.; López-Castro, M.C.; Koch, V.; Nichols, W.J. Immature east pacific green turtles (Chelonia mydas) use multiple foraging areas off the Pacific coast of Baja California Sur, Mexico: First evidence from mark-recapture data. BioOne 2010, 64, 125–130. [Google Scholar] [CrossRef]



| Analyte | 1st Capture | Recapture with FP |
|---|---|---|
| Packed cell volume (L/L) | 0.35 | 0.34 |
| Red blood cells (1012/L) | 0.58 | 0.52 |
| Hemoglobin (g/L) | 120 | 118 |
| Mean cell volume (fl) | 603.45 | 653.85 |
| Mean corpuscular hemoglobin (pg) | 206.89 | 226.92 |
| Mean corpuscular hemoglobin concentration (g/L) | 342.9 | 347.1 |
| White blood cells (109/L) | 6.0 | 6.5 |
| Heterophils (109/L) | 4.20 | 3.92 |
| Lymphocytes(109/L) | 1.14 | 1.48 |
| Monocytes (109/L) | 0.12 | 0.29 |
| Eosinophils (109/L) | 0.54 | 0.81 |
| Basophils (109/L) | 0 | 0 |
| Thrombocytes | Adequate | Adequate |
Publisher’s Note: MDPI stays neutral with regard to jurisdictional claims in published maps and institutional affiliations. |
© 2021 by the authors. Licensee MDPI, Basel, Switzerland. This article is an open access article distributed under the terms and conditions of the Creative Commons Attribution (CC BY) license (http://creativecommons.org/licenses/by/4.0/).
Share and Cite
Reséndiz, E.; Fernández-Sanz, H.; Domínguez-Contreras, J.F.; Ramos-Díaz, A.H.; Mancini, A.; Zavala-Norzagaray, A.A.; Aguirre, A.A. Molecular Characterization of Chelonid Alphaherpesvirus 5 in a Black Turtle (Chelonia mydas) Fibropapilloma from Baja California Sur, Mexico. Animals 2021, 11, 105. https://doi.org/10.3390/ani11010105
Reséndiz E, Fernández-Sanz H, Domínguez-Contreras JF, Ramos-Díaz AH, Mancini A, Zavala-Norzagaray AA, Aguirre AA. Molecular Characterization of Chelonid Alphaherpesvirus 5 in a Black Turtle (Chelonia mydas) Fibropapilloma from Baja California Sur, Mexico. Animals. 2021; 11(1):105. https://doi.org/10.3390/ani11010105
Chicago/Turabian StyleReséndiz, Eduardo, Helena Fernández-Sanz, José Francisco Domínguez-Contreras, Amelly Hyldaí Ramos-Díaz, Agnese Mancini, Alan A. Zavala-Norzagaray, and A. Alonso Aguirre. 2021. "Molecular Characterization of Chelonid Alphaherpesvirus 5 in a Black Turtle (Chelonia mydas) Fibropapilloma from Baja California Sur, Mexico" Animals 11, no. 1: 105. https://doi.org/10.3390/ani11010105
APA StyleReséndiz, E., Fernández-Sanz, H., Domínguez-Contreras, J. F., Ramos-Díaz, A. H., Mancini, A., Zavala-Norzagaray, A. A., & Aguirre, A. A. (2021). Molecular Characterization of Chelonid Alphaherpesvirus 5 in a Black Turtle (Chelonia mydas) Fibropapilloma from Baja California Sur, Mexico. Animals, 11(1), 105. https://doi.org/10.3390/ani11010105

