SDHB and SDHA Immunohistochemistry in Canine Pheochromocytomas
Simple Summary
Abstract
1. Introduction
2. Materials and Methods
2.1. Approval
2.2. Samples
2.3. Immunohistochemistry
2.4. Statistical Analysis
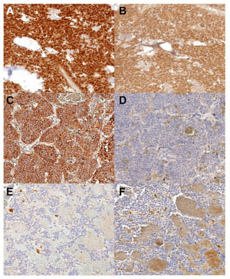
3. Results
4. Discussion
5. Conclusions
Author Contributions
Funding
Conflicts of Interest
References
- Comino-Mendez, I.; de Cubas, A.A.; Bernal, C.; Alvarez-Escola, C.; Sanchez-Malo, C.; Ramirez-Tortosa, C.L.; Pedrinaci, S.; Rapizzi, E.; Ercolino, T.; Bernini, G.; et al. Tumoral EPAS1 (HIF2A) mutations explain sporadic pheochromocytoma and paraganglioma in the absence of erythrocytosis. Hum. Mol. Genet. 2013, 22, 2169–2176. [Google Scholar] [CrossRef]
- Holt, D.E.; Henthorn, P.; Howell, V.M.; Robinson, B.G.; Benn, D.E. Succinate dehydrogenase subunit D and succinate dehydrogenase subunit B mutation analysis in canine phaeochromocytoma and paraganglioma. J. Comp. Pathol 2014, 151, 25–34. [Google Scholar] [CrossRef] [PubMed]
- Wilzen, A.; Rehammar, A.; Muth, A.; Nilsson, O.; Tesan Tomic, T.; Wangberg, B.; Kristiansson, E.; Abel, F. Malignant pheochromocytomas/paragangliomas harbor mutations in transport and cell adhesion genes. Int. J. Cancer 2016, 138, 2201–2211. [Google Scholar] [CrossRef] [PubMed]
- Barthez, P.Y.; Marks, S.L.; Woo, J.; Feldman, E.C.; Matteucci, M. Pheochromocytoma in dogs: 61 cases (19841–995). J. Vet. Intern. Med. 1997, 11, 272–278. [Google Scholar] [CrossRef] [PubMed]
- Blank, A.; Schmitt, A.M.; Korpershoek, E.; van Nederveen, F.; Rudolph, T.; Weber, N.; Strebel, R.T.; de Krijger, R.; Komminoth, P.; Perren, A. SDHB loss predicts malignancy in pheochromocytomas/sympathethic paragangliomas, but not through hypoxia signalling. Endocr. Relat. Cancer 2010, 17, 919–928. [Google Scholar] [CrossRef] [PubMed]
- Thompson, L.D. Pheochromocytoma of the Adrenal gland Scaled Score (PASS) to separate benign from malignant neoplasms: A clinicopathologic and immunophenotypic study of 100 cases. Am. J. Surg. Pathol. 2002, 26, 551–566. [Google Scholar] [CrossRef] [PubMed]
- Sako, T.; Kitamura, N.; Kagawa, Y.; Hirayama, K.; Morita, M.; Kurosawa, T.; Yoshino, T.; Taniyama, H. Immunohistochemical evaluation of a malignant phecochromocytoma in a wolfdog. Vet. Pathol. 2001, 38, 447–450. [Google Scholar] [CrossRef] [PubMed]
- Menara, M.; Oudijk, L.; Badoual, C.; Bertherat, J.; Lepoutre-Lussey, C.; Amar, L.; Iturrioz, X.; Sibony, M.; Zinzindohoue, F.; de Krijger, R.; et al. SDHD immunohistochemistry: A new tool to validate SDHx mutations in pheochromocytoma/paraganglioma. J. Clin. Endocrinol. Metab. 2015, 100, E287–E291. [Google Scholar] [CrossRef] [PubMed]
- Papathomas, T.G.; Oudijk, L.; Persu, A.; Gill, A.J.; van Nederveen, F.; Tischler, A.S.; Tissier, F.; Volante, M.; Matias-Guiu, X.; Smid, M.; et al. SDHB/SDHA immunohistochemistry in pheochromocytomas and paragangliomas: A multicenter interobserver variation analysis using virtual microscopy: A Multinational Study of the European Network for the Study of Adrenal Tumors (ENS@T). Mod. Pathol. 2015, 28, 807–821. [Google Scholar] [CrossRef] [PubMed]
- Rustin, P.; Munnich, A.; Rotig, A. Succinate dehydrogenase and human diseases: New insights into a well-known enzyme. Eur. J. Hum. Genet. 2002, 10, 289–291. [Google Scholar] [CrossRef] [PubMed]
- Korpershoek, E.; Dieduksman, D.; Grinwis, G.C.M.; Day, M.J.; Reusch, C.E.; Hilbe, M.; Fracassi, F.; Krol, N.M.G.; Uitterlinden, A.G.; de Klein, A.; et al. Molecular Alterations in Dog Pheochromocytomas and Paragangliomas. Cancers 2019, 11, 607. [Google Scholar] [CrossRef]
- Gill, A.J.; Benn, D.E.; Chou, A.; Clarkson, A.; Muljono, A.; Meyer-Rochow, G.Y.; Richardson, A.L.; Sidhu, S.B.; Robinson, B.G.; Clifton-Bligh, R.J. Immunohistochemistry for SDHB triages genetic testing of SDHB, SDHC, and SDHD in paraganglioma-pheochromocytoma syndromes. Hum. Pathol. 2010, 41, 805–814. [Google Scholar] [CrossRef] [PubMed]
- Van Nederveen, F.H.; Gaal, J.; Favier, J.; Korpershoek, E.; Oldenburg, R.A.; de Bruyn, E.M.; Sleddens, H.F.; Derkx, P.; Riviere, J.; Dannenberg, H.; et al. An immunohistochemical procedure to detect patients with paraganglioma and phaeochromocytoma with germline SDHB, SDHC, or SDHD gene mutations: A retrospective and prospective analysis. Lancet. Oncol. 2009, 10, 764–771. [Google Scholar] [CrossRef]
- Casey, R.T.; Ascher, D.B.; Rattenberry, E.; Izatt, L.; Andrews, K.A.; Simpson, H.L.; Challis, B.; Park, S.M.; Bulusu, V.R.; Lalloo, F.; et al. SDHA related tumorigenesis: A new case series and literature review for variant interpretation and pathogenicity. Mol. Genet. Genomic Med. 2017, 5, 237–250. [Google Scholar] [CrossRef] [PubMed]
- Pinato, D.J.; Ramachandran, R.; Toussi, S.T.; Vergine, M.; Ngo, N.; Sharma, R.; Lloyd, T.; Meeran, K.; Palazzo, F.; Martin, N.; et al. Immunohistochemical markers of the hypoxic response can identify malignancy in phaeochromocytomas and paragangliomas and optimize the detection of tumours with VHL germline mutations. Br. J. Cancer 2013, 108, 429–437. [Google Scholar] [CrossRef] [PubMed]
- Eng, C.; Kiuru, M.; Fernandez, M.J.; Aaltonen, L.A. A role for mitochondrial enzymes in inherited neoplasia and beyond. Nat. Rev. Cancer 2003, 3, 193–202. [Google Scholar] [CrossRef] [PubMed]
- Haller, F.; Moskalev, E.A.; Faucz, F.R.; Barthelmess, S.; Wiemann, S.; Bieg, M.; Assie, G.; Bertherat, J.; Schaefer, I.M.; Otto, C.; et al. Aberrant DNA hypermethylation of SDHC: A novel mechanism of tumor development in Carney triad. Endocr. Relat. Cancer 2014, 21, 567–577. [Google Scholar] [CrossRef] [PubMed]
- Letouze, E.; Martinelli, C.; Loriot, C.; Burnichon, N.; Abermil, N.; Ottolenghi, C.; Janin, M.; Menara, M.; Nguyen, A.T.; Benit, P.; et al. SDH mutations establish a hypermethylator phenotype in paraganglioma. Cancer Cell 2013, 23, 739–752. [Google Scholar] [CrossRef] [PubMed]



| Case | SDHA | SDHB | Invasion | Age | Sex | Breed |
|---|---|---|---|---|---|---|
| 1 | − | − | Caudal vena cava | 10 | M | Mixed Breed |
| 2 | − | − | None | 8 | M | Carolina Dog |
| 3 | − | − | Caudal vena cava | 14 | M | Mixed Breed |
| 4 | − | − | Caudal vena cava | 8 | M | Rhodesian Ridgeback |
| 5 | + | + | None | 11 | M | Terrier, Yorkshire |
| 6 | + | + | Caudal vena cava | 13 | F | Terrier, Scottish |
| 7 | + | + | Caudal vena cava | 14 | F | Mixed Breed |
| 8 | + | + | Phrenicoabdominal vein | 11 | F | Cocker Spaniel |
| 9 | + | + | None | 8 | F | Bassett Hound |
| 10 | + | − | Caudal vena cava, left external iliac | 9 | M | Mixed Breed |
| 11 | + | − | Caudal vena cava | 9 | M | Australian Shepherd |
| 12 | + | − | None | 11 | F | Schnauzer, Miniature |
| 13 | + | − | Caudal vena cava, left renal vein | 13 | F | Mixed Breed |
| 14 | + | − | Caudal vena cava | 8 | F | Rhodesian Ridgeback |
| 15 | + | − | Adhered to the dorsal body wall | 12 | M | Mixed Breed |
| 16 | + | − | None | 7 | F | Spaniel, Boykin |
| 17 | + | − | Phrenicoabdominal vein | 12 | M | Retriever, Golden |
| 18 | + | − | Adhered to the left pancreatic limb and the left kidney | 16 | M | Mixed Breed |
| 19 | + | − | Caudal vena cava, phrenicoabdominal vein | 9 | F | Miniature Schnauzer |
| 20 | + | − | Caudal vena cava, phrenicoabdominal vein | 12 | M | Jack Russell Terrier |
| 21 | + | − | None | 9 | M | Australian Blue Heeler |
| 22 | + | − | Caudal vena cava | 8.4 | M | Shetland Sheepdog |
| 23 | + | − | None | 8.5 | M | Rhodesian Ridgeback |
| 24 | + | − | Caudal vena cava, phrenicoabdominal vein | 8.1 | F | Doberman Pinscher |
| 25 | + | − | Phrenicoabdominal vein | 11.8 | M | Beagle |
| 26 | + | − | Caudal vena cava | 9.7 | M | Fox terrier |
| 27 | + | − | None | 13 | M | Dachshund |
| 28 | + | − | Mesenteric lymph node metastasis | 11 | M | Terrier, Boston |
| 29 | − | + | Renal vein | 15 | F | Retriever, Golden |
| 30 | + | − | None | 12 | M | Dachshund, Miniature |
| 31 | + | − | None | 10 | M | Rottweiler |
| 32 | + | − | Phrenicoabdominal vein | 7 | M | Schnauzer, Standard |
| 33 | + | − | No clinical information provided | |||
| 34 | + | − | Caudal vena cava | 5 | F | Mixed Breed |
| 35 | + | − | Caudal vena cava | 11 | M | Mixed Breed |
© 2020 by the authors. Licensee MDPI, Basel, Switzerland. This article is an open access article distributed under the terms and conditions of the Creative Commons Attribution (CC BY) license (http://creativecommons.org/licenses/by/4.0/).
Share and Cite
Abed, F.M.; Brown, M.A.; Al-Mahmood, O.A.; Dark, M.J. SDHB and SDHA Immunohistochemistry in Canine Pheochromocytomas. Animals 2020, 10, 1683. https://doi.org/10.3390/ani10091683
Abed FM, Brown MA, Al-Mahmood OA, Dark MJ. SDHB and SDHA Immunohistochemistry in Canine Pheochromocytomas. Animals. 2020; 10(9):1683. https://doi.org/10.3390/ani10091683
Chicago/Turabian StyleAbed, Firas M., Melissa A. Brown, Omar A. Al-Mahmood, and Michael J. Dark. 2020. "SDHB and SDHA Immunohistochemistry in Canine Pheochromocytomas" Animals 10, no. 9: 1683. https://doi.org/10.3390/ani10091683
APA StyleAbed, F. M., Brown, M. A., Al-Mahmood, O. A., & Dark, M. J. (2020). SDHB and SDHA Immunohistochemistry in Canine Pheochromocytomas. Animals, 10(9), 1683. https://doi.org/10.3390/ani10091683

