Effect of Nutritional Restriction on the Hair Follicles Development and Skin Transcriptome of Chinese Merino Sheep
Simple Summary
Abstract
1. Introduction
2. Material and Methods
2.1. Study Design
2.2. Animal Feeding
2.3. Biochemical Examination of Blood
2.4. Histological Analysis of Wool Follicles
2.5. Transcriptome Sequencing
2.6. Data Processing
2.7. GO and KEGG Pathway Analysis
2.8. Validation of Transcriptome Data Using qRT-PCR
3. Results
3.1. Changes in Blood Biochemical Indexes
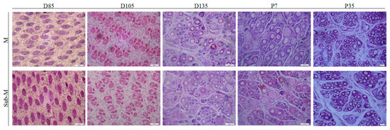
3.2. Morphogenesis and Development of Wool Follicles
3.3. The Density and S/P Ratios of Wool Follicles
3.4. DEGs Analysis
3.5. GO and KEGG Analysis of the DEGs
3.6. Changes in Signaling Pathway Genes Related to Wool Follicle Development
3.7. Identification of Key Genes for Secondary Follicles Development and Branching
3.8. Validation of DEGs by qRT-PCR
4. Discussion
4.1. Wool Follicle Morphogenesis and Development
4.2. Identification of Genes Related to Secondary Hair Follicle Branching
5. Conclusions
Supplementary Materials
Author Contributions
Funding
Acknowledgments
Conflicts of Interest
References
- Hardy, M.H.; Lyne, A.G. The histological development of the skin and wool in the Merino foetus. In Proceedings of the International Wool Textile Research Conference, Sydney, Australia, 1955; Commonwealth Scientific and Industrial Research Organization: Melbourne, Australia, 1955; pp. 26–31. [Google Scholar]
- Bai, Y.; Tian, K.; Tian, Y.; Xu, X.; Huang, X. Correlation analysis for wool fiber diameter and identification traits in Chinese Merino sheep (Xinjiang type). Mod. J. Anim. Husb. Vet. Med. 2015, 9, 6–12. [Google Scholar]
- Cordero, M.O.; Herrera, C.A.M.; García, J.M.V.; Stewart, C.A.; Nieto, C.A.R.; Alfaro, A.E.O.; Purvis, I.W.; Reyes, V.C.; Rangel, H.A.L.; Martin, G.B. Pregnancy and litter size, but not lamb sex, affect feed intake and wool production by Merino-type ewes. Animals 2019, 9, 214. [Google Scholar] [CrossRef]
- Rasmussen, P.V.; Børsting, C.F. Effects of variations in dietary protein levels on hair growth and pelt quality in mink (Mustela vison). Can. J. Anim. Sci. 2000, 80, 633–642. [Google Scholar] [CrossRef]
- Corbett, J.F. Hair conditioning. Cutis 1979, 23, 405–413. [Google Scholar]
- Gebreselassie, G.; Berihulay, H.; Jiang, L.; Ma, Y.H. Review on genomic regions and candidate genes associated with economically important production and reproduction traits in sheep (Ovies aries). Animals 2019, 10, 33. [Google Scholar] [CrossRef]
- Rishikaysh, P.; Dev, K.; Diaz, D.; Qureshi, W.M.; Filip, S.; Mokry, J. Signaling involved in hair follicle morphogenesis and development. Int. J. Mol. Sci. 2014, 15, 1647–1670. [Google Scholar] [CrossRef]
- Gao, Y.; Wang, X.; Yan, H.; Zeng, J.; Ma, S.; Niu, Y.; Jiang, Y.; Chen, Y. Comparative transcriptome analysis of fetal skin reveals key genes related to hair follicle morphogenesis in cashmere goats. PLoS ONE 2016, 11, e0151118. [Google Scholar] [CrossRef]
- Liu, Y.; Wang, L.; Li, X.; Han, W.; Yang, K.; Wang, H.; Zhang, Y.; Su, R.; Liu, Z.; Wang, R.; et al. High-throughput sequencing of hair follicle development-related micrornas in cashmere goat at various fetal periods. Saudi J. Biol. Sci. 2018, 25, 1494–1508. [Google Scholar] [CrossRef]
- Zhu, Y.B.; Wang, Z.Y.; Yin, R.H.; Jiao, Q.; Zhao, S.J.; Cong, Y.Y.; Xue, H.L.; Guo, D.; Wang, S.Q.; Zhu, Y.X.; et al. A lncRNA-H19 transcript from secondary hair follicle of Liaoning cashmere goat: Identification, regulatory network and expression regulated potentially by its promoter methylation. Gene 2018, 641, 78–85. [Google Scholar] [CrossRef]
- Bai, W.L.; Dang, Y.L.; Yin, R.H.; Jiang, W.Q.; Wang, Z.Y.; Zhu, Y.B.; Wang, S.Q.; Zhao, Y.Y.; Deng, L.; Luo, G.B.; et al. Differential expression of microRNAs and their regulatory networks in skin tissue of Liaoning cashmere goat during hair follicle cycles. Anim. Biotechnol. 2016, 27, 104–112. [Google Scholar] [CrossRef]
- Geng, R.; Wang, L.; Wang, X.; Chen, Y. Cyclic expression of Lhx2 is involved in secondary hair follicle development in cashmere goat. Gene Expr. Patterns 2014, 16, 31–35. [Google Scholar] [CrossRef] [PubMed]
- Schinckel, P.G. The post-natal development of the skin follicle population of a strain of Merino sheep. Aust. J. Agric. Res. 1955, 6, 215–224. [Google Scholar] [CrossRef]
- Fraser, A.S. Development of the skin follicle population in the Merino sheep. Aust. J. Agric. Res. 1954, 5, 737–744. [Google Scholar] [CrossRef]
- Edwards, J.H.; Birtles, M.J.; Harris, P.M.; Parry, A.L.; Paterson, E.; Wickham, G.A.; McCutcheon, S.N. Pre- and post-natal wool follicle development and density in sheep of five genotypes. J. Agric. Sci. 1996, 126, 363–370. [Google Scholar] [CrossRef]
- Wu, Y.; Yue, Y.; Guo, T.; Wang, T.; Guo, J.; Gui-ying, L.; Han, J.; Yang, M.; Liu, J.; Sun, X.; et al. Study on fetal skin hair follicle development and morphology of China super-fine Merino (Gansu type). Sci. Agric. Sin. 2013, 46, 1923–1931. [Google Scholar]
- Schinckel, P.G.; Short, B.F. The influence of nutritional level during pre-natal and early post-natal life on adult fleece and body characters. Aust. J. Agric. Res. 1961, 12, 176–202. [Google Scholar] [CrossRef]
- Shotr, B.F. Development of the secondary follicle population in sheep. Aust. J. Agric. Res. 1955, 6, 62–67. [Google Scholar]
- Kelly, R.W.; Greeff, J.C.; Macleod, I. Lifetime changes in wool production of Merino sheep following differential feeding in fetal and early life. Aust. J. Agric. Res. 2006, 57, 867–876. [Google Scholar] [CrossRef]
- Menzies, M.; Stockwell, S.; Brownlee, A.; Cam, G.; Ingham, A. Gene expression profiles of BMP4, FGF10 and cognate inhibitors, in the skin of foetal Merino sheep, at the time of secondary follicle branching. Exp. Dermatol. 2010, 18, 877–879. [Google Scholar] [CrossRef]
- Zhou, Y.; Kipps, T.J.; Zhang, S. Wnt5a signaling in normal and cancer stem cells. Stem Cells Int. 2017, 2017, 5295286. [Google Scholar]
- Tsai, S.Y.; Sennett, R.; Rezza, A.; Clavel, C.; Grisanti, L.; Zemla, R.; Najam, S.; Rendl, M. Wnt/β-catenin signaling in dermal condensates is required for hair follicle formation. Dev. Biol. 2014, 385, 179–188. [Google Scholar] [CrossRef]
- Kulessa, H.; Turk, G.; Hogan, B.L. Inhibition of Bmp signaling affects growth and differentiation in the anagen hair follicle. EMBO J. 2014, 19, 6664–6674. [Google Scholar] [CrossRef]
- Oshimori, N.; Fuchs, E. Paracrine TGF-β signaling counterbalances BMP-mediated repression in hair follicle stem cell activation. Cell Stem Cell 2012, 10, 63–75. [Google Scholar] [CrossRef]
- Reddy, S.; Andl, T.; Bagasra, A.; Min, M.L.; Epstein, D.J.; Morrisey, E.E.; Millar, S.E. Characterization of Wnt gene expression in developing and postnatal hair follicles and identification of Wnt5a as a target of Sonic hedgehog in hair follicle morphogenesis. Mech. Dev. 2001, 107, 69–82. [Google Scholar] [CrossRef]
- Guo, H.; Xing, Y.; Deng, F.; Yang, K.; Li, Y. Secreted Frizzled-related protein 4 inhibits the regeneration of hair follicles. PeerJ 2019, 6, e6153. [Google Scholar] [CrossRef]
- Chen, C.C.; Murray, P.J.; Jiang, T.X.; Plikus, M.V.; Chang, Y.T.; Lee, O.K.; Widelitz, R.B.; Chuong, C.M. Regenerative hair waves in aging mice and extra-follicular modulators follistatin, Dkk1, and Sfrp4. J. Investig. Dermatol. 2014, 134, 2086–2096. [Google Scholar] [CrossRef]
- Chen, C.C.; Chuong, C.M. Multi-layered environmental regulation on the homeostasis of stem cells: The saga of hair growth and alopecia. J. Dermatol. Sci. 2012, 66, 3–11. [Google Scholar] [CrossRef]
- Bai, J.; Liu, Z.; Xu, Z.; Ke, F.; Zhang, L.; Zhu, H.; Lou, F.; Wang, H.; Fei, Y.; Shi, Y.L. Epigenetic downregulation of SFRP4 contributes to epidermal hyperplasia in psoriasis. J. Immunol. 2015, 194, 4185–4198. [Google Scholar] [CrossRef]
- Maganga, R.; Giles, N.; Adcroft, K.; Unni, A.; Keeney, D.; Wood, F.; Fear, M.; Dharmarajan, A. Secreted Frizzled related protein-4 (sFRP4) promotes epidermal differentiation and apoptosis. Biochem. Biophys. Res. Commun. 2008, 377, 606–611. [Google Scholar] [CrossRef]
- Uren, A.; Reichsman, F.; Anest, V.; Taylor, W.G.; Muraiso, K.; Bottaro, D.P.; Cumberledge, S.; Rubin, J.S. Secreted frizzled-related protein-1 binds directly to Wingless and is a biphasic modulator of Wnt signaling. J. Biol. Chem. 2000, 275, 4374–4382. [Google Scholar] [CrossRef]
- Wang, J.S.; Infante, C.R.; Park, S.; Menke, D.B. PITX1 promotes chondrogenesis and myogenesis in mouse hindlimbs through conserved regulatory targets. Dev. Biol. 2017, 434, 186–195. [Google Scholar] [CrossRef]
- Song, X.; Zhao, C.; Jiang, L.; Lin, S.; Bi, J.; Wei, Q.; Yu, L.; Zhao, L.; Wei, M. High PITX1 expression in lung adenocarcinoma patients is associated with DNA methylation and poor prognosis. Pathol. Res. Pract. 2018, 214, 2046–2053. [Google Scholar] [CrossRef]
- Barut, F.; Udul, P.; Kokturk, F.; Kandemir, N.O.; Keser, S.H.; Ozdamar, S.O. Clinicopathological features and pituitary homeobox 1 gene expression in the progression and prognosis of cutaneous malignant melanoma. Kaohsiung J. Med. Sci. 2016, 32, 494–500. [Google Scholar] [CrossRef]
- Vidal, V.P.; Chaboissier, M.C.; Lützkendorf, S.; Cotsarelis, G.; Mill, P.; Hui, C.C.; Ortonne, N.; Ortonne, J.P.; Schedl, A. Sox9 is essential for outer root sheath differentiation and the formation of the hair stem cell compartment. Curr. Biol. 2005, 15, 1340–1351. [Google Scholar] [CrossRef] [PubMed]
- Yamamizu, K.; Schlessinger, D.; Ko, M.S. SOX9 accelerates ESC differentiation to three germ layer lineages by repressing SOX2 expression through P21 (WAF1/CIP1). Development 2014, 141, 4254–4266. [Google Scholar] [CrossRef] [PubMed]
- Song, L.; Cui, Y.; Yu, S.; Liu, P.; He, J. TGF-β and HSP70 profiles during transformation of yak hair follicles from the anagen to catagen stage. J. Cell. Physiol. 2019, 234, 15638–15646. [Google Scholar] [CrossRef]
- Tsuji, Y.; Denda, S.; Soma, T.; Raftery, L.; Momoi, T.; Hibino, T. A potential suppressor of TGF-β delays catagen progression in hair follicles. J. Investig. Dermatol. Symp. Proc. 2003, 8, 65–68. [Google Scholar] [CrossRef]
- Hibino, T.; Nishiyama, T. Role of TGF-beta2 in the human hair cycle. J. Dermatol. Sci. 2004, 35, 9–18. [Google Scholar] [CrossRef]
- Foitzik, K.; Paus, R.; Doetschman, T.; Dotto, G.P. The TGF-beta2 isoform is both a required and sufficient inducer of murine hair follicle morphogenesis. Dev. Biol. 1999, 212, 278–289. [Google Scholar] [CrossRef]
- Knight, C.; Simmons, D.; Gu, T.T.; Gluhak-Heinrich, J.; Pavlin, D.; Zeichner-David, M.; MacDougall, M. Cloning, characterization, and tissue expression pattern of mouse Nma/BAMBI during odontogenesis. J. Dent. Res. 2001, 80, 1895–1902. [Google Scholar] [CrossRef] [PubMed]
- Sulayman, A.; Tursun, M.; Sulaiman, Y.; Huang, X.; Tian, K.; Tian, Y.; Xu, X.; Fu, X.; Mamat, A.; Tulafu, H. Association analysis of polymorphisms in six keratin genes with wool traits in sheep. Asian Australas. J. Anim. Sci. 2018, 31, 775–783. [Google Scholar] [CrossRef]
- Wang, J.Q.; Hao, Z.Y.; Zhou, H.; Luo, Y.; Hu, J.; Liu, X.; Li, S.B.; Jonathan, H. A keratin-associated protein (KAP) gene that is associated with variation in cashmere goat fleece weight. Small Rumin. Res. 2018, 167, 104–109. [Google Scholar] [CrossRef]
- Li, S.B.; Zhou, H.T.; Gong, H.; Zhao, F.F.; Wang, J.Q.; Liu, X.; Hu, J.; Luo, Y.Z.; Hickford, J.G.H. Identification of the ovine keratin-associated protein 21-1 gene and its association with variation in wool traits. Animals 2019, 9, 450. [Google Scholar] [CrossRef] [PubMed]
- Bai, L.R.; Wang, J.; Zhou, H.T.; Gong, H.; Tao, J.Z.; Hickford, J.G.H. Identification of ovine KRTAP28-1 and its association with wool fibre diameter. Animals 2019, 9, 142. [Google Scholar] [CrossRef]
- Rogers, M.A.; Winter, H.; Langbein, L.; Wolf, C.; Schweizer, J. Characterization of a 300 kbp region of human DNA containing the type II hair keratin gene domain. J. Investig. Dermatol. 2000, 114, 464–472. [Google Scholar] [CrossRef]
- Tai, W.T.; Chen, Y.L.; Chu, P.Y.; Chen, L.J.; Hung, M.H.; Shiau, C.W.; Huang, J.W.; Tsai, M.H.; Chen, K.F. Protein tyrosine phosphatase 1B dephosphorylates PITX1 and regulates p120RasGAP in hepatocellular carcinoma. Hepatology 2016, 63, 1528–1543. [Google Scholar] [CrossRef] [PubMed]







| Time | Groups | Number | Primary Wool Follicles Density (mm2) | Secondary Wool Follicles Density(mm2) | Total Density (mm2) | Proportion of Secondary to Primary Wool Follicles |
|---|---|---|---|---|---|---|
| D85 | M | 3 | 84.15 ± 12.72 | 23.14 ± 14.10 | 107.30 ± 2.62 | 0.30 ± 0.13 |
| Sub-M | 3 | 82.83 ± 34.18 | 30.66 ± 9.11 | 113.49 ± 43.24 | 0.31 ± 0.07 | |
| D105 | M | 3 | 71.75 ± 9.84 | 144.89 ± 34.17 | 216.64 ± 40.31 | 2.02 ± 0.41 |
| Sub-M | 3 | 72.61 ± 9.25 | 114.14 ± 22.83 | 187.05 ± 14.01 | 1.60 ± 0.50 | |
| D135 | M | 3 | 28.56 ± 6.59 | 201.68 ± 33.89 a | 230.24 ± 39.97 a | 7.19 ± 0.71 a |
| Sub-M | 3 | 26.99 ± 3.72 | 139.34 ± 17.30 b | 166.33 ± 19.86 b | 5.25 ± 0.60 b | |
| P7 | M | 3 | 13.29 ± 1.71 | 113.75 ± 22.98 | 127.04 ± 24.69 | 8.62 ± 0.75 |
| Sub-M | 3 | 16.50 ± 3.19 | 154.50 ± 11.31 | 171.00 ± 14.50 | 9.59 ± 1.30 | |
| P35 | M | 3 | 6.67 ± 0.46 | 69.25 ± 11.19 | 91.53 ± 8.90 | 10.34 ± 1.03 |
| Sub-M | 3 | 9.88 ± 1.94 | 95.95 ± 24.67 | 105.82 ± 26.62 | 9.79 ± 0.50 |
| Gene | Description | log2 (Fold Change) | ||
|---|---|---|---|---|
| D135 vs. D105 | DR135 vs. D105 | DR135 vs. D135 | ||
| Wnt related | ||||
| SFRP2 | Secreted Frizzled Related Protein 2 | −2.40341 | −2.79309 | −0.38968 |
| SFRP4 | Secreted Frizzled Related Protein4 | −1.07911 | −2.10080 | −1.02169 |
| SFRP5 | Secreted Frizzled Related Protein5 | 1.45166 | 1.62546 | 0.17380 |
| WNT5A | Wnt Family Member 5A | −0.37882 | −0.51687 | −0.13805 |
| WNT2 | Wnt Family Member 2 | −1.14818 | −0.92800 | 0.22018 |
| DKK1 | Dickkopf-Related Protein 1 | −1.44226 | −1.56450 | −0.12224 |
| CCND1 | Cyclin D1 | −0.40895 | −0.70606 | −0.29711 |
| CSNK1E | Casein Kinase 1 Epsilon | 2.69495 | 2.67435 | −0.02060 |
| TGF-β/BMP | ||||
| BMP2 | Bone Morphogenetic Protein 2 | 1.10571 | 1.19215 | 0.08644 |
| BMP3 | Bone Morphogenetic Protein 3 | −0.57071 | −1.11402 | −0.54331 |
| BMP4 | Bone Morphogenetic Protein 4 | 0.78090 | 0.83946 | 0.05856 |
| BMP5 | Bone Morphogenetic Protein 5 | −2.48384 | −2.95107 | −0.46723 |
| TGF-β2 | Transforming Growth Factor Beta 2 | −0.73641 | −1.11444 | −0.37803 |
| TGF-β3 | Transforming Growth Factor Beta 3 | −0.33778 | −0.75208 | −0.41430 |
| BAMBI | BMP And Activin Membrane-Bound Inhibitor | 1.05036 | 1.55454 | 0.50418 |
| MYC | V-Myc Avian Myelocytomatosis Viral Oncogene Homolog | 0.57669 | 0.42712 | −0.14958 |
| Wool follicledevelopment and transcriptional regulator genes | ||||
| PITX1 | Paired Like Homeodomain 1 | −2.93483 | −0.74502 | 2.18981 |
| CAV3 | Caveolin 3 | −3.14244 | −2.48249 | 0.65995 |
| SIX4 | SIX Homeobox 4 | −2.38845 | −1.90240 | 0.48605 |
| SLURP1 | Secreted LY6/PLAUR Domain Containing 1 | 4.00780 | 3.56769 | −0.44011 |
| GATA3 | GATA Binding Protein 3 | 0.71200 | 0.40038 | −0.31162 |
| EDAR | Ectodysplasin A Receptor | −0.91182 | −1.05320 | −0.14137 |
| FOXN1 | Forkhead Box N1 | 2.21443 | 1.85361 | −0.36083 |
| HOXC13 | Homeobox C13 | 0.69009 | 0.73500 | 0.04492 |
| LGR5 | Leucine-Rich Repeat Containing G Protein-Coupled Receptor 5 | 0.85120 | 0.84652 | −0.00468 |
| MSX2 | Msh Homeobox 2 | 0.36489 | 0.65509 | 0.29020 |
| DNASE1L2 | Deoxyribonuclease 1 Like 2 | 1.55896 | 2.07115 | 0.51219 |
| VDR | Vitamin D Receptor | 1.10678 | 0.95640 | −0.15039 |
| IGFBP3 | Insulin-Like Growth Factor Binding Protein 3 | 0.17093 | −0.45424 | −0.62518 |
| Branching morphology related genes | ||||
| PITX2 | Paired Like Homeodomain 2 | −3.06724 | −3.39049 | −0.32325 |
| MMP12 | Matrix Metallopeptidase 12 | 3.74146 | 3.73938 | −0.00208 |
| IGF1 | Insulin-Like Growth Factor 1 | −0.71163 | −0.75344 | −0.04181 |
| SOX9 | SRY-Box 9 | 0.95372 | 0.63590 | −0.31782 |
| FOXA1 | Forkhead Box A1 | 2.24977 | 2.56852 | 0.31876 |
| Keratin differentiation-related genes | ||||
| KRT16 | Keratin 16 | 1.27650 | −1.44261 | −2.71911 |
| KRTAP8-1 | Keratin Associated Protein 8-1 | 4.37327 | 4.93892 | 0.56566 |
| KRT13 | Keratin 13 | −7.51172 | −6.59676 | 0.91496 |
| KRT78 | Keratin 78 | −2.72411 | −2.20584 | 0.51827 |
© 2020 by the authors. Licensee MDPI, Basel, Switzerland. This article is an open access article distributed under the terms and conditions of the Creative Commons Attribution (CC BY) license (http://creativecommons.org/licenses/by/4.0/).
Share and Cite
Lv, X.; Chen, L.; He, S.; Liu, C.; Han, B.; Liu, Z.; Yusupu, M.; Blair, H.; Kenyon, P.; Morris, S.; et al. Effect of Nutritional Restriction on the Hair Follicles Development and Skin Transcriptome of Chinese Merino Sheep. Animals 2020, 10, 1058. https://doi.org/10.3390/ani10061058
Lv X, Chen L, He S, Liu C, Han B, Liu Z, Yusupu M, Blair H, Kenyon P, Morris S, et al. Effect of Nutritional Restriction on the Hair Follicles Development and Skin Transcriptome of Chinese Merino Sheep. Animals. 2020; 10(6):1058. https://doi.org/10.3390/ani10061058
Chicago/Turabian StyleLv, Xuefeng, Lei Chen, Sangang He, Chenxi Liu, Bin Han, Zhilong Liu, Mayila Yusupu, Hugh Blair, Paul Kenyon, Stephen Morris, and et al. 2020. "Effect of Nutritional Restriction on the Hair Follicles Development and Skin Transcriptome of Chinese Merino Sheep" Animals 10, no. 6: 1058. https://doi.org/10.3390/ani10061058
APA StyleLv, X., Chen, L., He, S., Liu, C., Han, B., Liu, Z., Yusupu, M., Blair, H., Kenyon, P., Morris, S., Li, W., & Liu, M. (2020). Effect of Nutritional Restriction on the Hair Follicles Development and Skin Transcriptome of Chinese Merino Sheep. Animals, 10(6), 1058. https://doi.org/10.3390/ani10061058

