Pregnancy and Fetal Development: Cephalic Presentation and Other Descriptive Ultrasonographic Findings from Clinically Healthy Bottlenose Dolphins (Tursiops truncatus) under Human Care
Simple Summary
Abstract
1. Introduction
2. Materials and Methods
2.1. Study Animals
2.2. Ultrasonography: Instrumentation and Methodology
2.3. Statistical Analyses
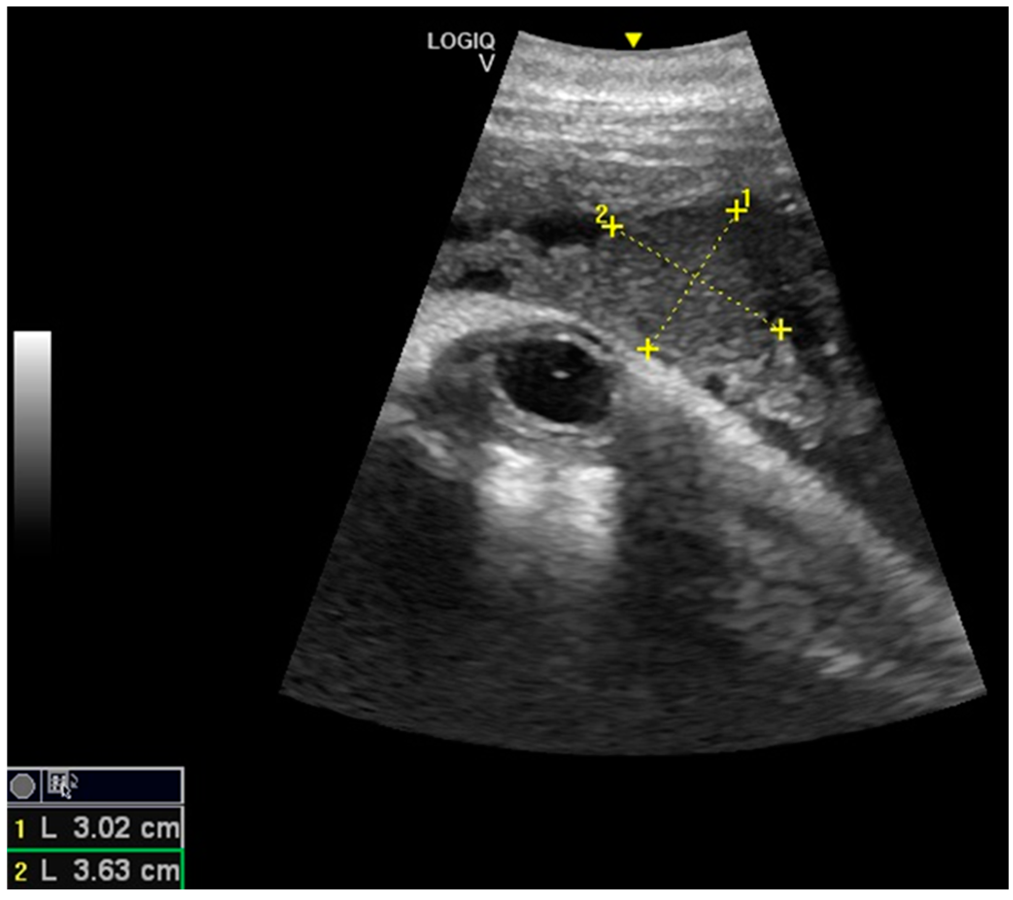
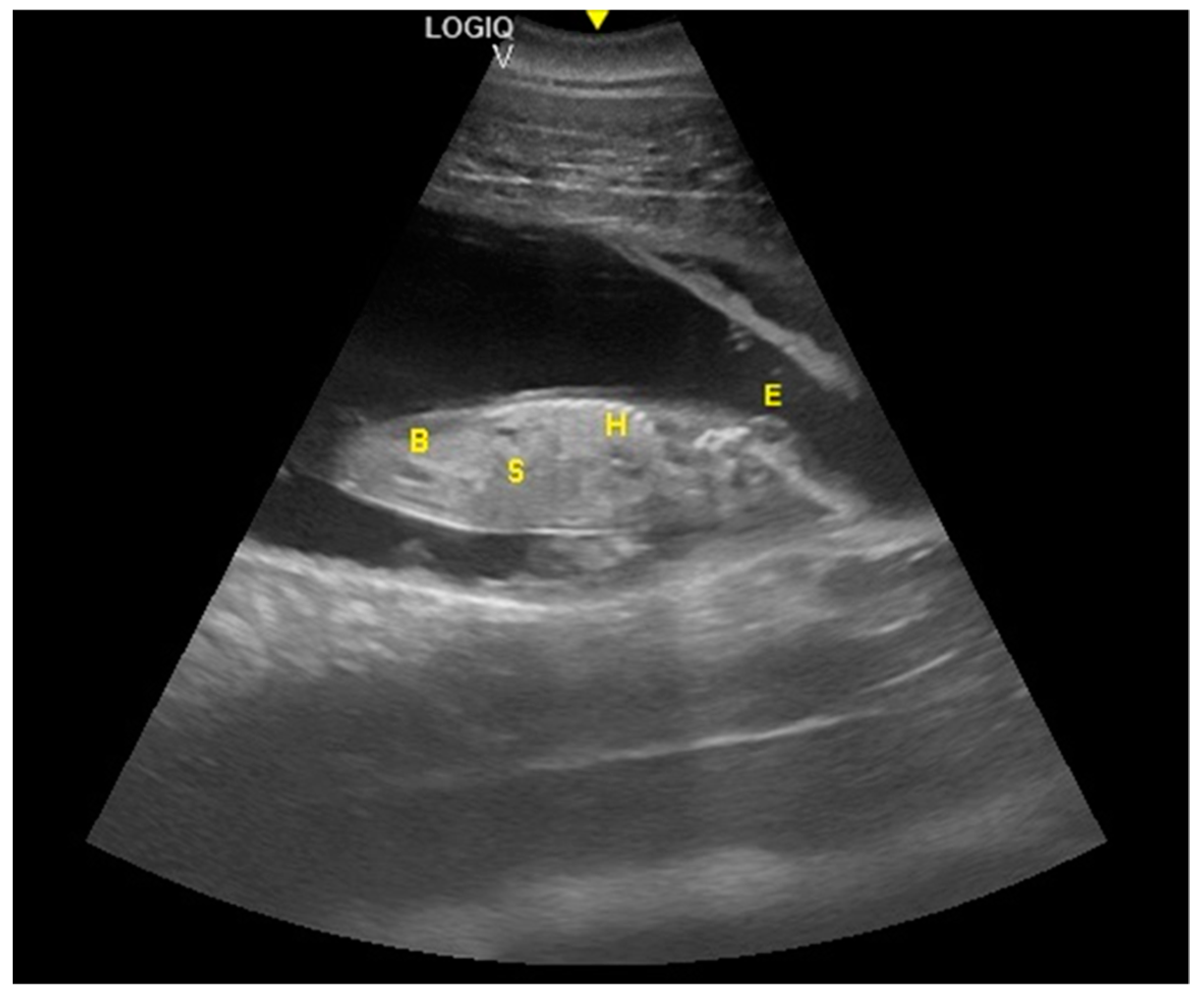
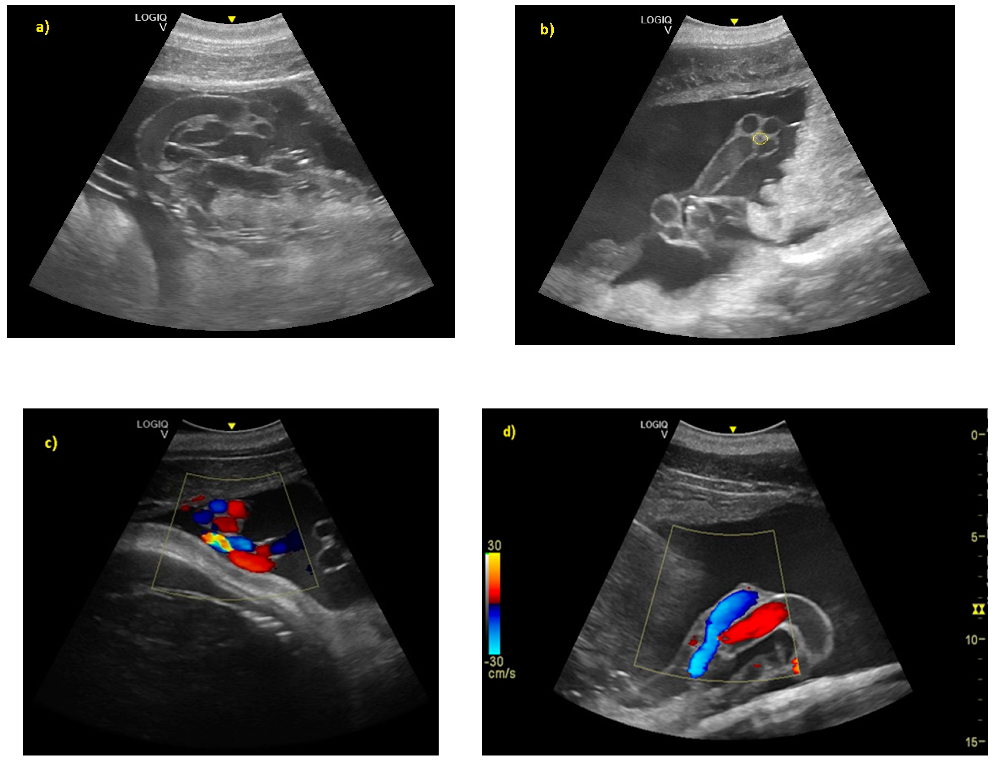
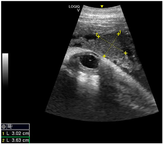
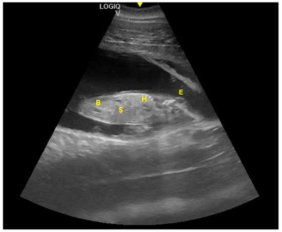
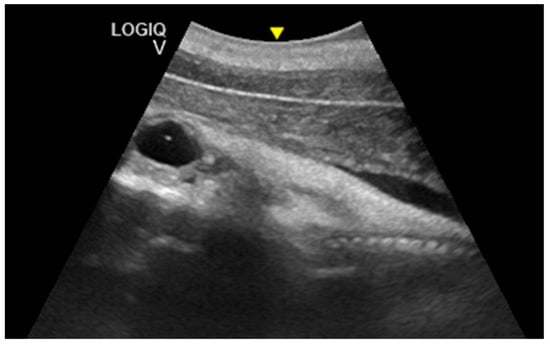
3. Results
4. Discussion
- (1)
- it must be conducted by an expert operator;
- (2)
- it depends on the features of the device;
- (3)
- animals must be trained for the voluntary medical behavior;
- (4)
- the animals must remain in water, which may not be safe for the instrumentation;
- (5)
- the external environment (and the light level, in particular) negatively affects results.
5. Conclusions
Author Contributions
Funding
Acknowledgments
Conflicts of Interest
References
- Instrumentation and Methodology. Available online: https://www.amazon.nl/Handbook-Ultrasonography-Dolphins-Abdomen-English-ebook/dp/B00BRXUSPG (accessed on 24 May 2020).
- Fiorucci, L.; García-Párraga, D.; Macrelli, R.; Grande, F.; Flanagan, C.; Rueca, F.; Busechian, S.; Bianchi, B.; Arbelo, M.; Saviano, P. Determination of the main reference values in ultrasound examination of the gastrointestinal tract in clinically healthy bottlenose dolphins (Tursiops truncatus). Aquat. Mamm. 2015, 41, 284–294. [Google Scholar] [CrossRef]
- England, G.C.W. Ultrasound evaluation of pregnancy and spontaneous embryonic resorption in the bitch. J. Small Anim. Pract. 1992, 33, 430–436. [Google Scholar] [CrossRef]
- England, G.C.W. Ultrasonographic Assessment of Abnormal Pregnancy. J. Small Anim. Pract. 1998, 28, 849–868. [Google Scholar] [CrossRef]
- England, G.C.W.; Russo, M. Ultrasonographic characteristic of early pregnancy failure in bitches. Theriogenology 2006, 66, 1694–1698. [Google Scholar] [CrossRef] [PubMed]
- Aissi, A.; Alloui, N.; Slimani, C.; Touri, S. Preliminary study of the early ultrasonographic diagnosis of pregnancy and fetal development in dog. J. Anim. Vet. Adv. 2008, 7, 607–611. [Google Scholar]
- Nyland, T.G.; Mattoon, J.S. Physical principles, instrumentation and safety of Diagnostic Ultrasound. In Veterinary Diagnostic Ultrasound; WB Saunders: Philadelphia, PA, USA, 1995; pp. 3–18. [Google Scholar]
- Root, K.M.V. Pregnancy diagnosis and abnormalities of pregnancy in the dog. Theriogenology 2005, 64, 755–765. [Google Scholar] [CrossRef]
- Luvoni, C.G.; Beccaglia, M. The prediction of parturition date in canine pregnancy. Reprod. Dom. Anim. 2006, 41, 27–32. [Google Scholar] [CrossRef]
- Lamm, C.G.; Makoloski, C.L. Current avances in gestation and parturition in cats and dogs. Vet. Clin. N. Am. Small Anim. Pract. 2012, 42, 445–456. [Google Scholar] [CrossRef]
- Davidson, A.P.; Baker, T.W. Reproductive ultrasound of the bitch and queen. Top. Companion Anim. Med. 2009, 24, 55–63. [Google Scholar] [CrossRef]
- Adams, G.P.; Plotka, E.D.; Asa, C.S.; Ginther, O.J. Feasibility of characterizing reproductive events in large, non-domestic species by transrectal ultrasonic imaging. Zoo Biol. 1991, 10, 247–253. [Google Scholar] [CrossRef]
- Harrison, R.J.; Ridgway, S.H. Gonadal activity in some bottlenose dolphins (Tursiops truncatus). J. Zool. 1971, 165, 355–366. [Google Scholar] [CrossRef]
- Brook, F.M. Ultrasonographic imaging of the reproductive organs of the female bottlenose dolphin, Tursiops truncatus aduncus. Reproduction 2001, 121, 419–428. [Google Scholar] [CrossRef] [PubMed]
- Neuenhoff, R.D.; Cowan, D.F.; Whitehead, H.; Marshall, C. Prenatal data impacts common bottlenose dolphin (Tursiops truncatus) growth parameters estimated by length-at-age curves. Mar. Mamm. Sci. 2011, 27, 195–216. [Google Scholar] [CrossRef]
- Kellar, N.M.; Speakman, T.R.; Smith, C.R.; Lane, S.M.; Balmer, B.C.; Trego, M.L.; Catelani, K.N.; Robbins, M.N.; Allen, C.D.; Wells, R.S.; et al. Low reproductive success rates of common bottlenose dolphins Tursiops truncatus in the northern Gulf of Mexico following the Deepwater Horizon disaster (2010–2015). Endanger. Species Res. 2017, 33, 143–158. [Google Scholar] [CrossRef]
- Wells, R.S.; Smith, C.R.; Sweeney, J.C.; Townsend, F.I.; Fauquier, D.A.; Stone, R.; Langan, J.; Schwacke, L.H.; Rowles, T.K. Fetal survival of common bottlenose dolphins (Tursiops truncatus) in Sarasota Bay, Florida. Aquat. Mamm. 2014, 40, 252. [Google Scholar] [CrossRef]
- Robeck, T.R.; Curry, B.E.; McBain, J.F.; Kraemer, D.C. Reproductive biology of the bottlenose dolphin (Tursiops truncatus) and the potential application of advanced reproductive technologies. J. Zoo Wildl. Med. 1994, 25, 321–336. [Google Scholar]
- Robeck, T.R.; Atkinson, S.K.C.; Brook, F. Reproduction. In CRC Handbook of Marine Mammals Medicine, 2th ed.; Dierauf, L.A., Gulland, F.M.D., Eds.; CRC Press: Baca Raton, FL, USA, 2001; pp. 193–236. [Google Scholar]
- Robeck, T.R.; Steinman, K.J.; Yoshioka, M.; Jensen, E.; O’Brien, J.K.; Katsumata, E.; Gili, C.; McBain, J.F.; Sweeney, J.; Monfort, S.L. Estrous cycle characterisation and artificial insemination using frozen-thawed spermatozoa in the Bottlenose dolphin (Tursiops Truncatus). Reproduction 2005, 129, 659–674. [Google Scholar] [CrossRef]
- Ivančič, M.; Gomez, F.M.; Musser, W.B.; Barratclough, A.; Meegan, J.M.; Waitt, S.M.; Llerenas, A.C.; Jensen, E.C.; Smith, C.R. Ultrasonographic findings associated with normal pregnancy and fetal well-being in the bottlenose dolphin (Tursiops truncatus). Vet. Radiol. Ultrasound 2020, 2020, 1–12. [Google Scholar]
- Barratclough, A.; Gomez, F.M.; Morey, J.S.; Deming, A.; Parry, C.; Meegan, J.M.; Carlin, K.P.; Schwacke, L.; Venn-Watson, S.; Jensen, E.D.; et al. Pregnancy profiles in the common bottlenose dolphin (Tursiops truncatus): Clinical biochemical and hematological variations during healthy gestation and a successful outcome. Theriogenology 2020, 142, 92–103. [Google Scholar] [CrossRef]
- Williamson, P.; Gales, N.J.; Lister, S. Use of real-timeB-mode ultrasound for pregnancy diagnosis and measurement of fetal growth rate in captive bottlenose dolphins (Tursiops truncatus). J. Reprod. Fertil. 1990, 88, 543–548. [Google Scholar] [CrossRef]
- Stone, L.R.; Johnson, R.L.; Sweeney, J.C.; Lewis, M.L. Fetal ultrasonography in dolphins with emphasis on gestational aging. In Zoo and Wild Animal Medicine: Current Therapy 4; Fowler, M.E., Miller., R.E., Eds.; WB Saunders: Philadelphia, PA, USA, 1999; pp. 501–506. [Google Scholar]
- Lacave, G.; Eggermont, M.; Verslycke, T.; Kinoshita, R. Prediction from ultrasonographic measurements of the expected delivery date in two species of bottlenose. Vet. Rec. 2004, 154, 228–233. [Google Scholar] [CrossRef] [PubMed]
- Sklansky, M. Fetal cardiovascular malformations and arrhythmias. In Creasy and Resnik’s Maternal-Fetal Medicine, 6th ed.; Creasy, R.K., Resnik, R., Iams, J.D., Lockwood, C.J., Moore, T.R., Eds.; Elsevier Saunders: Philadelphia, PA, USA, 2009; pp. 305–345. [Google Scholar]
- Sklansky, M.; Renner, M.; Clough, P.; Levine, G.; Campbell, M.; Stone, R.; Schmitt, T.; Chang, R.K.; Shannon-Rodriguez, J. Fetal Echocardiographic Evaluation of the Bottlenose Dolphin (Tursiops truncatus). J. Zoo Wildl. Med. 2010, 41, 35–43. [Google Scholar] [CrossRef] [PubMed]
- Rychik, J.; Ayres, N.; Cuneo, B.; Gotteiner, N.; Hornberger, L.; Spevak, P.; Van der Veld, M. American Society of Echocardiography guidelines and standards for performance of the fetal echocardiogram. J. Am. Soc. Echocardiogr. 2004, 17, 803–810. [Google Scholar] [CrossRef] [PubMed]
- Makikallio, K.; Räsänen, J.; Mäkikallio, T.; Vuolteenaho, O.; Huhta, J.C. Human fetal cardiovascular profile score and neonatal outcome in intrauterine growth restriction Ultrasound. Obstet. Gynecol. 2008, 31, 48–54. [Google Scholar]
- Powell, J.; Archibald, R.; Cross, C.; Rotstein, D.; Soop, V.; McFee, W. Multiple congenital cardiac abnormalities in an Atlantic bottlenose dolphin (Tursiops truncatus). J. Wildl. Dis. 2009, 45, 839–842. [Google Scholar] [CrossRef]
- García-Párraga, D.; Brook, F.; Crespo-Picazo, J.L.; Valls, M.; Penadés, M.; Ortega, J.; Corpa, J.M. Recurrent umbilical cord accidents in a bottlenose dolphin, Tursiops truncatus. Dis. Aquat. Org. 2014, 108, 177–180. [Google Scholar] [CrossRef]
- Smith, C.R.; Wong, S.K.; Jensen, E.D.; Venn-Watson, S.K. Fetal omphalocele in a common bottlenose dolphin (Tursiops truncatus). J. Zoo Wildl. Med. 2013, 44, 87–92. [Google Scholar] [CrossRef]
- Tanaka, M.; Izawa, T.; Kuwamura, M.; Ozaki, M.; Nakao, T.; Ito, S.; Yamate, J. A case of meconium aspiration syndrome in a bottlenose dolphin (Tursiops truncatus) calf. J. Vet. Med. Sci. 2014, 76, 81–84. [Google Scholar] [CrossRef]
- Brook, F.M. Ultrasound Diagnosis of Anencephaly in the Fetus of a Bottlenose Dolphin (Tursiops aduncas). J. Zoo Wildl. Med. 1994, 25, 569–574. [Google Scholar]
- Thewisen, J.G.M.; Heyning, J.E. Embryogenesis and development in Stenella atenuatta and other cetaceans. In Reproductive Biology and Phylogeny in Cetacea, Whales, Dolphins and Porpoises; Miller, D.L., Ed.; Science Publishers: Enflield, NH, USA, 2007; pp. 307–330. [Google Scholar]
- Reidenberg, J.S.; Laitman, J.T. Prenatal development in cetaceans. In Encyclopedia of Marine Mammals, 2nd ed.; Perrin, W.F., Würsig, B., Thewissen, J.G.M., Eds.; Academic Press: San Diego, CA, USA, 2009; pp. 220–230. [Google Scholar]
- Cozzi, B.; Huggenberger, S.; Oelschläger, H. Anatomy of Dolphins: Insights into Body Structure and Function; Academic Press: London, UK, 2017; pp. 1–438. [Google Scholar]
- Sterba, O.; Klima, M.; Schildger, B. Embryology of dolphins. Staging and ageing of embryos and fetuses of some cetaceans. Adv. Anat. Embryol. Cell Biol. 2000, 157, 1–133. [Google Scholar]
- Zarzosa, G.R.; Fernández, A.L.; Gomariz, F.M.; Cano, F.G.; Laguía, M.S.; Espinosa, A.A.; de los Ríos y Loshuertos, A.G. A Study of the Head during Prenatal and Perinatal Development of Two Fetuses and One Newborn Striped Dolphin (Stenella coeruleoalba) Using Dissections, Sectional Anatomy, CT, and MRI: Anatomical and Functional Implications in Cetaceans and Terrestrial Mammals. Animals 2019, 9, 1139. [Google Scholar]
- Michel, E.; Spörri, M.; Ohlerth, S.; Reichler, L. Prediction of parturition date in the bitch and queen. Reprod. Domest. Anim. 2011, 46, 926–932. [Google Scholar] [CrossRef] [PubMed]
- Sedmera, D.; Misek, I.; Milan, K.; Thompson, R.P. Heart Development in the Spotted Dolphin (Stenella attenuata). Anat. Rec. 2003, 273A, 687–699. [Google Scholar] [CrossRef] [PubMed]
- Adams-Brendemuehl, C.; Pipers, F.S. Antepartum evaluations of the equine fetus. J. Reprod. Fertil. 1987, 35, 565–573. [Google Scholar]
- Capellini, I.; Venditti, C.; Barton, R.A. Placentation and Maternal Investment in Mammals. Am. Nat. 2011, 177, 86–98. [Google Scholar] [CrossRef]
- Berta, A.; Sumich, J.L.; Kovacs, K.M. Cetacean evolution and systematics. In Marine Mammal Evolutionary Biology, 2nd ed.; Academic Press: San Diego, CA, USA, 2005; pp. 165–209. [Google Scholar]
- Smith, C.R.; Wong, S.K.; Jensen, E.D.; Ruiz, C.; Nollens, H. Overview of neonatal management techniques at the U.S. Navy Marine Mammal Program. Int. Assoc. Aquat. Anim. Med. Proc. Nassau. Bahamas 2006, 37, 164–167. [Google Scholar]
- Slijper, E.J. Functional morphology of the reproductive system in Cetacea. In Whales, Dolphins and Porpoises; Norris, K.S., Berkeley, L.A., Eds.; University of California Press: Berkeley, CA, USA, 1966; pp. 277–319. [Google Scholar]
- Deng, X.; Hao, Y.; Serres, A.; Wang, K.; Wang, D. Position at Birth and Possible Effects on Calf Survival in Finless Porpoises (Neophocaena asiaeorientalis). Aquat. Mamm. 2019, 45, 4. [Google Scholar] [CrossRef]
- Gol’din, P.E. Case of cephalic presentation of fetus in a harbor porpoise (Phocoena phocoena), with notes on other aquatic mammals. Vestn. zool. 2011, 45, 33–38. [Google Scholar]
- Essapian, F.K. Observations on Abnormalities of Parturition in Captive Bottle-Nosed Dolphins, Tursiops truncatus, and Concurrent Behavior of Other Porpoises. J. Mammal. 1963, 44, 405–414. [Google Scholar] [CrossRef]
- Hart, P.; Van der Kemp, J.S. Cephalic presentation observed in a white-beaked dolphin, Lagenorhynchus albirostris. Lutra 1999, 41, 21–24. [Google Scholar]
- Vladykov, V.D. Études sur les mammifères aquatiques. III. Chasse, biologie et valeur économique du marsouin blanc ou béluga (Delphinapterus leucas) du fleuve et du golfe du Saint-Laurent; Département des pêcheries de la province de Québec: Québec, QC, Canada, 1944; p. 194.
- Doan, K.H.; Douglas, C.W. Beluga of the Churchill region of Hudson Bay. Bull. Fish. Res. Board Can. 1953, 98, 1–27. [Google Scholar]
- Kleinenberg, S.E.; Yablokov, A.V.; Bel’kovich, V.M.; Tarasevich, M.N. Beluga: The Experience of Monographic Species Study; Nauka: Moscow, Russia, 1964; p. 456. [Google Scholar]
- Baker, J.R.; Martin, A.R. Causes of mortality and parasites and incidental lesions in harbour porpoises (Phocoena phocoena) from British waters. Vet. Rec. 1992, 130, 554–558. [Google Scholar] [CrossRef] [PubMed]













© 2020 by the authors. Licensee MDPI, Basel, Switzerland. This article is an open access article distributed under the terms and conditions of the Creative Commons Attribution (CC BY) license (http://creativecommons.org/licenses/by/4.0/).
Share and Cite
Saviano, P.; Fiorucci, L.; Grande, F.; Macrelli, R.; Troisi, A.; Polisca, A.; Orlandi, R. Pregnancy and Fetal Development: Cephalic Presentation and Other Descriptive Ultrasonographic Findings from Clinically Healthy Bottlenose Dolphins (Tursiops truncatus) under Human Care. Animals 2020, 10, 908. https://doi.org/10.3390/ani10050908
Saviano P, Fiorucci L, Grande F, Macrelli R, Troisi A, Polisca A, Orlandi R. Pregnancy and Fetal Development: Cephalic Presentation and Other Descriptive Ultrasonographic Findings from Clinically Healthy Bottlenose Dolphins (Tursiops truncatus) under Human Care. Animals. 2020; 10(5):908. https://doi.org/10.3390/ani10050908
Chicago/Turabian StyleSaviano, Pietro, Letizia Fiorucci, Francesco Grande, Roberto Macrelli, Alessandro Troisi, Angela Polisca, and Riccardo Orlandi. 2020. "Pregnancy and Fetal Development: Cephalic Presentation and Other Descriptive Ultrasonographic Findings from Clinically Healthy Bottlenose Dolphins (Tursiops truncatus) under Human Care" Animals 10, no. 5: 908. https://doi.org/10.3390/ani10050908
APA StyleSaviano, P., Fiorucci, L., Grande, F., Macrelli, R., Troisi, A., Polisca, A., & Orlandi, R. (2020). Pregnancy and Fetal Development: Cephalic Presentation and Other Descriptive Ultrasonographic Findings from Clinically Healthy Bottlenose Dolphins (Tursiops truncatus) under Human Care. Animals, 10(5), 908. https://doi.org/10.3390/ani10050908

