Oral Exposure to Genistein during Conception and Lactation Period Affects the Testicular Development of Male Offspring Mice
Simple Summary
Abstract
1. Introduction
2. Materials and Methods
2.1. Animal Ethics Statement
2.2. Animals and Treatments
2.3. Sample Collection
2.4. Histomorphology under Light Microscope
2.5. Transmission Electronic Microscopy
2.6. Spermatogenesis Analysis
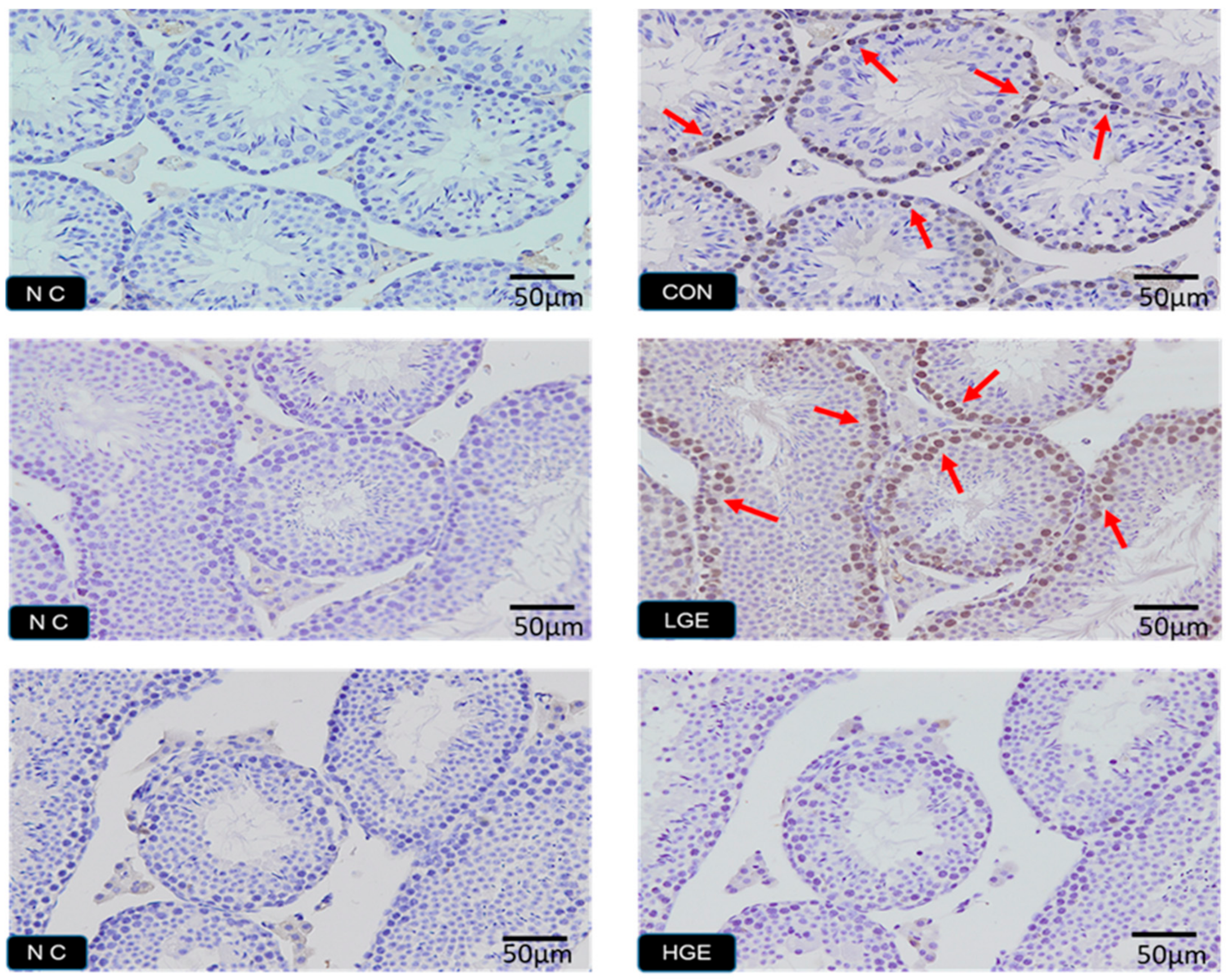
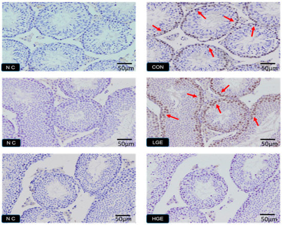
2.7. Immunohistochemistry
2.8. Apoptosis Assay
2.9. Serum Testosterone Measurement
2.10. RNA Extraction and Real-Time PCR
2.11. Statistical Analysis
3. Results
3.1. Growth Performance
3.2. Serum Concentrations of Testosterone
3.3. Testis Histology
3.4. Effects of GEN Exposure on ESR1, ESR2, CYP19A1, SOX9 and BRD7 Expression in the Testis of Mice at PND35
3.5. PCNA Detection, TUNEL Assay and Testis Scoring
4. Discussion
5. Conclusions
Supplementary Materials
Author Contributions
Funding
Acknowledgments
Conflicts of Interest
Abbreviations:
| GEN | Genistein |
| CON | Control group |
| LGE | Low dose of genistein diet |
| HE | High dose of genistein diet |
| PD | Pregnancy days |
| PND | Post-Natal days |
| T | Testosterone |
| ESR1 | Estrogen receptor 1 |
| ESR2 | Estrogen receptor 2 |
| CYP19A1 | Cytochrome P450 family 19 subfamily A member 1 |
| SOX9 | Sry-related HMG box 9 |
| BRD7 | Bromodomain-containing protein 7 |
| PCNA | Proliferating cell nuclear antigen |
| HE | Hematoxylin-eosin staining |
References
- Latendresse, J.R.; Bucci, T.J.; Olson, G.; Mellick, P.; Weis, C.C.; Thorn, B.; Newbold, R.R.; Delclos, K.B. Genistein and ethinyl estradiol dietary exposure in multigenerational and chronic studies induce similar proliferative lesions in mammary gland of male Sprague–Dawley rats. Reprod. Toxicol. 2009, 28, 342–353. [Google Scholar] [CrossRef] [PubMed]
- Rozman, K.K.; Bhatia, J.; Calafat, A.M.; Chambers, C.; Culty, M.; Etzel, R.A.; Flaws, J.A.; Hansen, D.K.; Hoyer, P.B.; Jeffery, E.H. NTP-CERHR expert panel report on the reproductive and developmental toxicity of genistein. Birth Defects Res. Part Bdev. Reprod. Toxicol 2006, 77, 485–638. [Google Scholar] [CrossRef] [PubMed]
- Jarić, I.; Živanović, J.; Miler, M.; Ajdžanović, V.; Blagojević, D.; Ristić, N.; Milošević, V.; Nestorović, N. Genistein and daidzein treatments differently affect uterine homeostasis in the ovary-intact middle-aged rats. Toxicol. Appl. Pharm. 2018, 339, 73–84. [Google Scholar] [CrossRef] [PubMed]
- Pasupuleti, V.R.; Sammugam, L.; Ramesh, N.; Gan, S.H. Honey, propolis, and royal jelly: A comprehensive review of their biological actions and health benefits. Oxidative Med. Cell. Longev. 2017, 2017, 21. [Google Scholar] [CrossRef] [PubMed]
- Soukup, S.T.; Helppi, J.; Müller, D.R.; Zierau, O.; Watzl, B.; Vollmer, G.; Diel, P.; Bub, A.; Kulling, S.E. Phase II metabolism of the soy isoflavones genistein and daidzein in humans, rats and mice: A cross-species and sex comparison. Arch. Toxicol. 2016, 90, 1335–1347. [Google Scholar] [CrossRef]
- Nikaido, Y.; Yoshizawa, K.; Danbara, N.; Tsujita-Kyutoku, M.; Yuri, T.; Uehara, N.; Tsubura, A. Effects of maternal xenoestrogen exposure on development of the reproductive tract and mammary gland in female CD-1 mouse offspring. Arch. Toxicol. 2004, 18, 803–811. [Google Scholar] [CrossRef]
- Montani, C.; Penza, M.; Jeremic, M.; Rando, G.; Ciana, P.; Maggi, A.; La Sala, G.; De Felici, M.; Di Lorenzo, D. Estrogen Receptor-mediated Transcriptional Activity of Genistein in the Mouse Testis. Ann. N. Y. Acad. Sci. 2009, 1163, 475–477. [Google Scholar] [CrossRef]
- Lv, Z.; Fan, H.; Zhang, B.; Xing, K.; Guo, Y. Dietary genistein supplementation for breeders and their offspring improves the growth performance and immune function of broilers. Sci. Rep. 2018, 8, 1–14. [Google Scholar] [CrossRef]
- Hamdard, E.; Lv, Z.; Jiang, J.; Wei, Q.; Shi, Z.; Malyar, R.M.; Yu, D.; Shi, F. Responsiveness expressions of bitter taste receptors against denatonium benzoate and genistein in the heart, spleen, lung, kidney, and bursa Fabricius of Chinese fast yellow chicken. Animals 2019, 9, 532. [Google Scholar] [CrossRef]
- Jefferson, W.N.; Doerge, D.; Padilla-Banks, E.; Woodling, K.A.; Kissling, G.E.; Newbold, R. Oral exposure to genistin, the glycosylated form of genistein, during neonatal life adversely affects the female reproductive system. Biol. Reprod. 2009, 117, 1883–1889. [Google Scholar] [CrossRef]
- Cassidy, A. Physiological effects of phyto-oestrogens in relation to cancer and other human health risks. Proc. Nutr. Soc. 1996, 55, 399–417. [Google Scholar] [CrossRef] [PubMed]
- Jefferson, W.; Newbold, R.; Padilla-Banks, E.; Pepling, M. Neonatal genistein treatment alters ovarian differentiation in the mouse: Inhibition of oocyte nest breakdown and increased oocyte survival. Biol. Reprod. 2006, 74, 161–168. [Google Scholar] [CrossRef] [PubMed]
- Newbold, R.R.; Banks, E.P.; Bullock, B.; Jefferson, W.N. Uterine adenocarcinoma in mice treated neonatally with genistein. Cancer Res. 2001, 61, 4325–4328. [Google Scholar] [PubMed]
- Chau, M.N.; El Touny, L.H.; Jagadeesh, S.; Banerjee, P.P. Physiologically achievable concentrations of genistein enhance telomerase activity in prostate cancer cells via the activation of STAT3. Carcinogenesis 2007, 28, 2282–2290. [Google Scholar] [CrossRef]
- Mehta, D.; Kim, Y.-S.; Dixon, D.; Jetten, A. Characterization of the expression of the retinoid-related, testis-associated receptor (RTR) in trophoblasts. Placenta 2002, 23, 281–287. [Google Scholar] [CrossRef]
- Hirose, T.; O’Brien, D.A.; Jetten, A.M. RTR: A new member of the nuclear receptor superfamily that is highly expressed in murine testis. Gene 1995, 152, 247–251. [Google Scholar] [CrossRef]
- Katz, D.; Niederberger, C.; Slaughter, G.R.; Cooney, A.J. Characterization of germ cell-specific expression of the orphan nuclear receptor, germ cell nuclear factor. Endocrinology 1997, 138, 4364–4372. [Google Scholar] [CrossRef]
- Zhang, Y.L.; Akmal, K.M.; Tsuruta, J.K.; Shang, Q.; Hirose, T.; Jetten, A.M.; Hee Kim, K.; O’Brien, D.A. Expression of germ cell nuclear factor (GCNF/RTR) during spermatogenesis. Mol. Reprod. Dev. 1998, 50, 93–102. [Google Scholar] [CrossRef]
- O’Shaughnessy, P.J. Hormonal control of germ cell development and spermatogenesis. Semin. Cell Dev. Biol. 2014. [Google Scholar] [CrossRef]
- Blake, C.; Hansen, T.; Simmons, T.C.; Lephart, E.D. Long time exposure to soy/isoflavone-rich diet enhances testicular and prostate health in Long-Evans rats. J. Funct. Foods 2013, 5, 1494–1501. [Google Scholar] [CrossRef]
- Heng, D.; Zhang, T.; Tian, Y.; Yu, S.; Liu, W.; Xu, K.; Liu, J.; Ding, Y.; Zhu, B.; Yang, Y. Effects of dietary soybean isoflavones (SI) on reproduction in the young breeder rooster. Anim. Reprod. Sci. 2017, 177, 124–131. [Google Scholar] [CrossRef] [PubMed]
- Nagao, T.; Yoshimura, S.; Saito, Y.; Nakagomi, M.; Usumi, K.; Ono, H. Reproductive effects in male and female rats of neonatal exposure to genistein. Reprod. Toxicol. 2001, 15, 399–411. [Google Scholar] [CrossRef]
- Dinsdale, E.C.; Ward, W.E. Early exposure to soy isoflavones and effects on reproductive health: A review of human and animal studies. Nutrients 2010, 2, 1156–1187. [Google Scholar] [CrossRef] [PubMed]
- Betancourt, A.; Mobley, J.A.; Wang, J.; Jenkins, S.; Chen, D.; Kojima, K.; Russo, J.; Lamartiniere, C.A. Alterations in the rat serum proteome induced by prepubertal exposure to bisphenol a and genistein. J. Proteome Res. 2014, 13, 1502–1514. [Google Scholar] [CrossRef]
- Doerge, D.R.; Churchwell, M.I.; Chang, H.C.; Newbold, R.R.; Delclos, K.B. Placental transfer of the soy isoflavone genistein following dietary and gavage administration to Sprague Dawley rats. Reprod. Toxicol. 2001, 15, 105–110. [Google Scholar] [CrossRef]
- Onishi, S.; Kawade, N.; Itoh, S.; Isobe, K.; Sugiyama, S. Postnatal development of uridine diphosphate glucuronyltransferase activity towards bilirubin and 2-aminophenol in human liver. Biochem. J. 1979, 184, 705–707. [Google Scholar] [CrossRef]
- Ball, E.R.; Caniglia, M.K.; Wilcox, J.L.; Overton, K.A.; Burr, M.J.; Wolfe, B.D.; Sanders, B.J.; Wisniewski, A.B.; Wrenn, C.C. Effects of genistein in the maternal diet on reproductive development and spatial learning in male rats. Horm. Behav. 2010, 57, 313–322. [Google Scholar] [CrossRef]
- Jedeon, K.; Berdal, A.; Babajko, A. Impact of three endocrine disruptors, Bisphenol A, Genistein and Vinclozolin on female rat enamel. Bull. Group. Int. Pour Rech. Sci. Stomatol. Odontol. 2016, 53, 28–32. [Google Scholar]
- Rago, V.; Romeo, F.; Giordano, F.; Malivindi, R.; Pezzi, V.; Casaburi, I.; Carpino, A. Expression of oestrogen receptors (GPER, ESR 1, ESR 2) in human ductuli efferentes and proximal epididymis. Andrology 2018, 6, 192–198. [Google Scholar] [CrossRef] [PubMed]
- Coban, N.; Gulec, C.; Ozsait-Selcuk, B.; Erginel-Unaltuna, N. CYP19A1, MIF and ABCA1 genes are targets of the RORα in monocyte and endothelial cells. Cell Biol. Int. 2017, 41, 163–176. [Google Scholar] [CrossRef] [PubMed]
- Nakamoto, M.; Shibata, Y.; Ohno, K.; Usami, T.; Kamei, Y.; Taniguchi, Y.; Todo, T.; Sakamoto, T.; Young, G.; Swanson, P. Ovarian aromatase loss-of-function mutant medaka undergo ovary degeneration and partial female-to-male sex reversal after puberty. Mol. Cell. Endocrinol. 2018, 460, 104–122. [Google Scholar] [CrossRef]
- Wang, H.; Zhao, R.; Guo, C.; Jiang, S.; Yang, J.; Xu, Y.; Liu, Y.; Fan, L.; Xiong, W.; Ma, J. Knockout of BRD7 results in impaired spermatogenesis and male infertility. Sci. Rep. 2016, 6, 1–13. [Google Scholar] [CrossRef] [PubMed]
- Zhou, J.; Ma, J.; Zhang, B.C.; Li, X.L.; Shen, S.R.; Zhu, S.G.; Xiong, W.; Liu, H.Y.; Huang, H.; Zhou, M. BRD7, a novel bromodomain gene, inhibits G1–S progression by transcriptionally regulating some important molecules involved in ras/MEK/ERK and RB/E2F pathways. J. Cell. Physiol. 2004, 200, 89–98. [Google Scholar] [CrossRef] [PubMed]
- Pihlajamaa, P.; Zhang, F.-P.; Saarinen, L.; Mikkonen, L.; Hautaniemi, S.; Jänne, O.A. The phytoestrogen genistein is a tissue-specific androgen receptor modulator. Endocrinology 2011, 152, 4395–4405. [Google Scholar] [CrossRef] [PubMed]
- Swart, A.C.; Johannes, I.D.; Sathyapalan, T.; Atkin, S.L. The Effect of Soy Isoflavones on Steroid Metabolism. Front. Endocrinol. 2019, 10, 229. [Google Scholar] [CrossRef]
- Taibi, N.; Dupont, J.; Bouguermouh, Z.; Froment, P.; Ramé, C.; Anane, A.; Amirat, Z.; Khammar, F. Expression of adenosine 5′-monophosphate—Activated protein kinase (AMPK) in ovine testis (Ovis Aries): In vivo regulation by nutritional state. Anim. Reprod. Sci. 2017, 178, 9–22. [Google Scholar] [CrossRef]
- Ham, S.; Brown, K.A.; Simpson, E.R.; Meachem, S.J. Immunolocalisation of aromatase regulators liver kinase B1, phosphorylated AMP-activated protein kinase and cAMP response element-binding protein-regulated transcription co-activators in the human testis. Reprod. Fertil. Dev. 2017, 29, 1029–1038. [Google Scholar] [CrossRef]
- Hwang, J.-T.; Park, I.-J.; Shin, J.-I.; Lee, Y.K.; Lee, S.K.; Baik, H.W.; Ha, J.; Park, O.J. Genistein, EGCG, and capsaicin inhibit adipocyte differentiation process via activating AMP-activated protein kinase. Biochem. Biophys. Res. Commun. 2005, 338, 694–699. [Google Scholar] [CrossRef]
- Cederroth, C.R.; Zimmermann, C.; Nef, S. Soy, phytoestrogens and their impact on reproductive health. Mol. Cell. Endocrinol. 2012, 355, 192–200. [Google Scholar] [CrossRef]
- Korejo, N.A.; Wei, Q.-w.; Shah, A.H.; Shi, F.-x. Effects of concomitant diabetes mellitus and hyperthyroidism on testicular and epididymal histoarchitecture and steroidogenesis in male animals. J. Zhejiang Univ. Sci. 2016, 17, 850–863. [Google Scholar] [CrossRef]
- Shi, Z.; Enayatullah, H.; Lv, Z.; Dai, H.; Wei, Q.; Shen, L.; Karwand, B.; Shi, F. Freeze-Dried Royal Jelly Proteins Enhanced the Testicular Development and Spermatogenesis in Pubescent Male Mice. Animals 2019, 9, 977. [Google Scholar] [CrossRef] [PubMed]
- Oakberg, E.F. A description of spermiogenesis in the mouse and its use in analysis of the cycle of the seminiferous epithelium and germ cell renewal. Am. J. Anatomy 1956, 99, 391–413. [Google Scholar] [CrossRef] [PubMed]
- Okano, T.; Onuma, M.; Ishiniwa, H.; Azuma, N.; Tamaoki, M.; Nakajima, N.; Shindo, J.; Yokohata, Y. Classification of the spermatogenic cycle, seasonal changes of seminiferous tubule morphology and estimation of the breeding season of the large Japanese field mouse (Apodemus speciosus) in Toyama and Aomori prefectures, Japan. J. Vet. Med. Sci. 2015, 77, 799–807. [Google Scholar] [CrossRef] [PubMed]
- Pallarés, M.E.; Adrover, E.; Baier, C.J.; Bourguignon, N.S.; Monteleone, M.C.; Brocco, M.A.; González-Calvar, S.I.; Antonelli, M.C. Prenatal maternal restraint stress exposure alters the reproductive hormone profile and testis development of the rat male offspring. Stress 2013, 16, 429–440. [Google Scholar] [CrossRef]
- Loh, B.; Maier, I.; Winar, A.; Janke, O.; Tzschentke, B. Prenatal development of epigenetic adaptation processes in poultry: Changes in metabolic and neuronal thermoregulatory mechanisms. Avian Poult. Biol. Rev. 2004, 15, 119–128. [Google Scholar] [CrossRef]
- Lv, Z.; Fan, H.; Song, B.; Li, G.; Liu, D.; Guo, Y. Supplementing genistein for breeder hens alters the fatty acid metabolism and growth performance of offsprings by epigenetic modification. Oxidative Med. Cell. Longev. 2019, 2019. [Google Scholar] [CrossRef]
- Zhang, Y.; Zhang, W.; Wang, Z.; Na, X.; Wang, C. Biomarker Identification of Maternal Genistein Exposure Induced Obesity by Metabonomics Analysis. Biol. Pharm. Bull. 2018, 41, 1581–1585. [Google Scholar] [CrossRef]
- Patel, S.; Peretz, J.; Pan, Y.-X.; Helferich, W.G.; Flaws, J.A. Genistein exposure inhibits growth and alters steroidogenesis in adult mouse antral follicles. Appl. Pharmacol. 2016, 293, 53–62. [Google Scholar] [CrossRef]
- Thurston, R.; Korn, N. Spermiogenesis in commercial poultry species: Anatomy and control. Poult. Sci 2000, 79, 1650–1668. [Google Scholar] [CrossRef]
- Adamsson, A.; Simanainen, U.; Viluksela, M.; Paranko, J.; Toppari, J. The effects of 2, 3, 7, 8-tetrachlorodibenzo-p-dioxin on foetal male rat steroidogenesis. Int. J. andrology 2009, 32, 575–585. [Google Scholar] [CrossRef]
- Atanassova, N.; McKinnell, C.; Turner, K.; Walker, M.; Fisher, J.; Morley, M.; Millar, M.; Groome, N.; Sharpe, R. Comparative effects of neonatal exposure of male rats to potent and weak (environmental) estrogens on spermatogenesis at puberty and the relationship to adult testis size and fertility: Evidence for stimulatory effects of low estrogen levels. Endocrinology 2000, 141, 3898–3907. [Google Scholar] [CrossRef] [PubMed]
- Mukund, V.; Mukund, D.; Sharma, V.; Mannarapu, M.; Alam, A. Genistein: Its role in metabolic diseases and cancer. Crit. Rev. Oncol. /Hematol. 2017, 119, 13–22. [Google Scholar] [CrossRef] [PubMed]
- Meena, R.; Supriya, C.; Reddy, K.P.; Reddy, P.S. Altered spermatogenesis, steroidogenesis and suppressed fertility in adult male rats exposed to genistein, a non-steroidal phytoestrogen during embryonic development. Food Chem. Toxicol. 2017, 99, 70–77. [Google Scholar] [CrossRef] [PubMed]
- Akingbemi, B.T.; Braden, T.D.; Kemppainen, B.W.; Hancock, K.D.; Sherrill, J.D.; Cook, S.J.; He, X.; Supko, J.G. Exposure to phytoestrogens in the perinatal period affects androgen secretion by testicular Leydig cells in the adult rat. Endocrinology 2007, 148, 4475–4488. [Google Scholar] [CrossRef]
- Zhang, L.-D.; Deng, Q.; Wang, Z.-M.; Gao, M.; Wang, L.; Chong, T.; Li, H.-C. Disruption of reproductive development in male rat offspring following gestational and lactational exposure to di-(2-ethylhexyl) phthalate and genistein. Biol. Res. 2013, 46, 139–146. [Google Scholar] [CrossRef]
- De Gregorio, C.; Marini, H.; Alibrandi, A.; Di Benedetto, A.; Bitto, A.; Adamo, E.B.; Altavilla, D.; Irace, C.; Di Vieste, G.; Pancaldo, D. Genistein supplementation and cardiac function in postmenopausal women with metabolic syndrome: Results from a pilot strain-echo study. Nutrients 2017, 9, 584. [Google Scholar] [CrossRef]
- Sherrill, J.D.; Sparks, M.; Dennis, J.; Mansour, M.; Kemppainen, B.W.; Bartol, F.F.; Morrison, E.E.; Akingbemi, B.T. Developmental exposures of male rats to soy isoflavones impact Leydig cell differentiation. Biol. Reprod. 2010, 83, 488–501. [Google Scholar] [CrossRef]
- Payne, A.H.; Hales, D.B. Overview of steroidogenic enzymes in the pathway from cholesterol to active steroid hormones. Endocr. Rev. 2004, 25, 947–970. [Google Scholar] [CrossRef]
- Sánchez, D.S.; Sigel, L.K.F.; Azurmendi, P.J.; Vlachovsky, S.G.; Oddo, E.M.; Armando, I.; Ibarra, F.R.; Silberstein, C. Estradiol stimulates cell proliferation via classic estrogen receptor-alpha and G protein-coupled estrogen receptor-1 in human renal tubular epithelial cell primary cultures. Biochem. Biophys. Res. Commun. 2019, 512, 170–175. [Google Scholar] [CrossRef]
- Khan, S.I.; Zhao, J.; Khan, I.A.; Walker, L.A.; Dasmahapatra, A.K. Potential utility of natural products as regulators of breast cancer-associated aromatase promoters. Reprod. Biol. Endocrin. 2011, 9, 91. [Google Scholar] [CrossRef]
- Yoon, K.; Kwack, S.J.; Kim, H.S.; Lee, B.-M. Estrogenic endocrine-disrupting chemicals: Molecular mechanisms of actions on putative human diseases. J. Toxicol. Environ. Health Part B 2014, 17, 127–174. [Google Scholar] [CrossRef] [PubMed]
- Nakamura, S.; Watakabe, I.; Nishimura, T.; Toyoda, A.; Taniguchi, Y.; Tanaka, M. Analysis of medaka SOX9 orthologue reveals a conserved role in germ cell maintenance. PLoS ONE 2012, 7, e29982. [Google Scholar] [CrossRef] [PubMed]
- Kidokoro, T.; Matoba, S.; Hiramatsu, R.; Fujisawa, M.; Kanai-Azuma, M.; Taya, C.; Kurohmaru, M.; Kawakami, H.; Hayashi, Y.; Kanai, Y. Influence on spatiotemporal patterns of a male-specific SOX9 activation by ectopic Sry expression during early phases of testis differentiation in mice. Dev. Biol. 2005, 278, 511–525. [Google Scholar] [CrossRef] [PubMed]







| Score | Criteria of Scoring Method |
|---|---|
| 5 | Complete spermatogenesis and perfect tubules |
| 4 | Spermatozoa present with disorganized spermatogenesis |
| 3 | No spermatozoa, but long spermatids present |
| 2 | No long spermatids present, but round spermatids present |
| 1 | No spermatids, but spermatocytes present |
| 0 | Only spermatogonia present |
| Index | CON | LGE | HGE | p-Value |
|---|---|---|---|---|
| Body weight (g) | 33.84 ± 0.63 b | 37.07 ± 0.75 a | 26.04 ± 0.65 c | <0.001 |
| Testis weight (g) | 0.098 ± 0.003 b | 0.120 ± 0.006 a | 0.074 ± 0.003 c | <0.05 |
| Epididymis (mg) | 0.031 ± 0.002 | 0.032 ± 0.001 | 0.027 ± 0.002 | 0.15 |
| Seminiferous epithelium height (μm) | 60.98 ± 3.52 b | 89.34 ± 4.51 a | 38.08 ± 4.86 c | <0.05 |
| Seminiferous tubules Diameter (μm) | 177.83 ± 2.41 a | 180.80 ± 2.08 a | 153.92 ± 5.98 b | <0.001 |
| Abnormal spermatids (%) | 8.1 ± 2.55 b | 9.28 ± 3.09 b | 50.20 ± 7.17 a | <0.001 |
| Testes scoring | 3.48 ± 1.07 b | 4.35 ± 0.11 a | 2.88 ± 0.26 c | <0.05 |
© 2020 by the authors. Licensee MDPI, Basel, Switzerland. This article is an open access article distributed under the terms and conditions of the Creative Commons Attribution (CC BY) license (http://creativecommons.org/licenses/by/4.0/).
Share and Cite
Shi, Z.; Lv, Z.; Hu, C.; Zhang, Q.; Wang, Z.; Hamdard, E.; Dai, H.; Mustafa, S.; Shi, F. Oral Exposure to Genistein during Conception and Lactation Period Affects the Testicular Development of Male Offspring Mice. Animals 2020, 10, 377. https://doi.org/10.3390/ani10030377
Shi Z, Lv Z, Hu C, Zhang Q, Wang Z, Hamdard E, Dai H, Mustafa S, Shi F. Oral Exposure to Genistein during Conception and Lactation Period Affects the Testicular Development of Male Offspring Mice. Animals. 2020; 10(3):377. https://doi.org/10.3390/ani10030377
Chicago/Turabian StyleShi, Zhicheng, Zengpeng Lv, Chenhui Hu, Qing Zhang, Zhe Wang, Enayatullah Hamdard, Hongjian Dai, Sheeraz Mustafa, and Fangxiong Shi. 2020. "Oral Exposure to Genistein during Conception and Lactation Period Affects the Testicular Development of Male Offspring Mice" Animals 10, no. 3: 377. https://doi.org/10.3390/ani10030377
APA StyleShi, Z., Lv, Z., Hu, C., Zhang, Q., Wang, Z., Hamdard, E., Dai, H., Mustafa, S., & Shi, F. (2020). Oral Exposure to Genistein during Conception and Lactation Period Affects the Testicular Development of Male Offspring Mice. Animals, 10(3), 377. https://doi.org/10.3390/ani10030377

