The Role of Transcription Factors in Gonad Development and Sex Differentiation of a Teleost Model Fish—Guppy (Poecilia reticulata)
Abstract
Simple Summary
Abstract
1. Introduction
2. Materials and Methods
2.1. Animals
2.2. Histological Samples Collection
2.3. Histological Analysis
2.4. Immunohistochemical Analysis
2.5. Microscopic Observations
2.6. Western Blot Analysis
3. Results
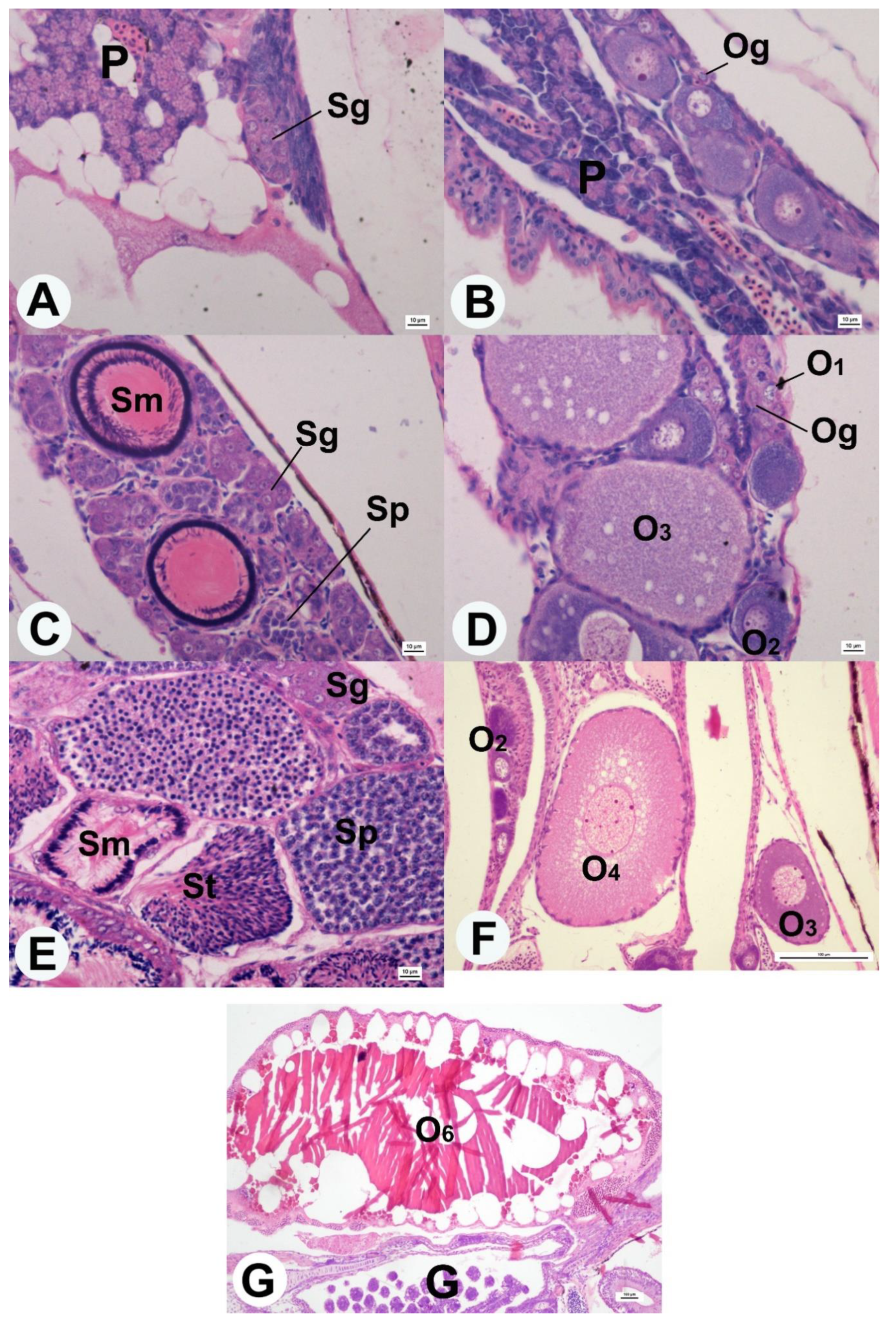
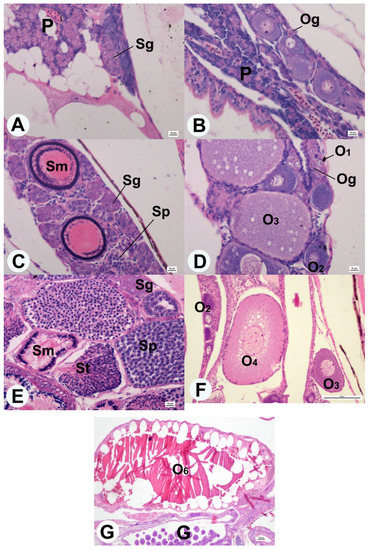
3.1. Gonadal Differentiation
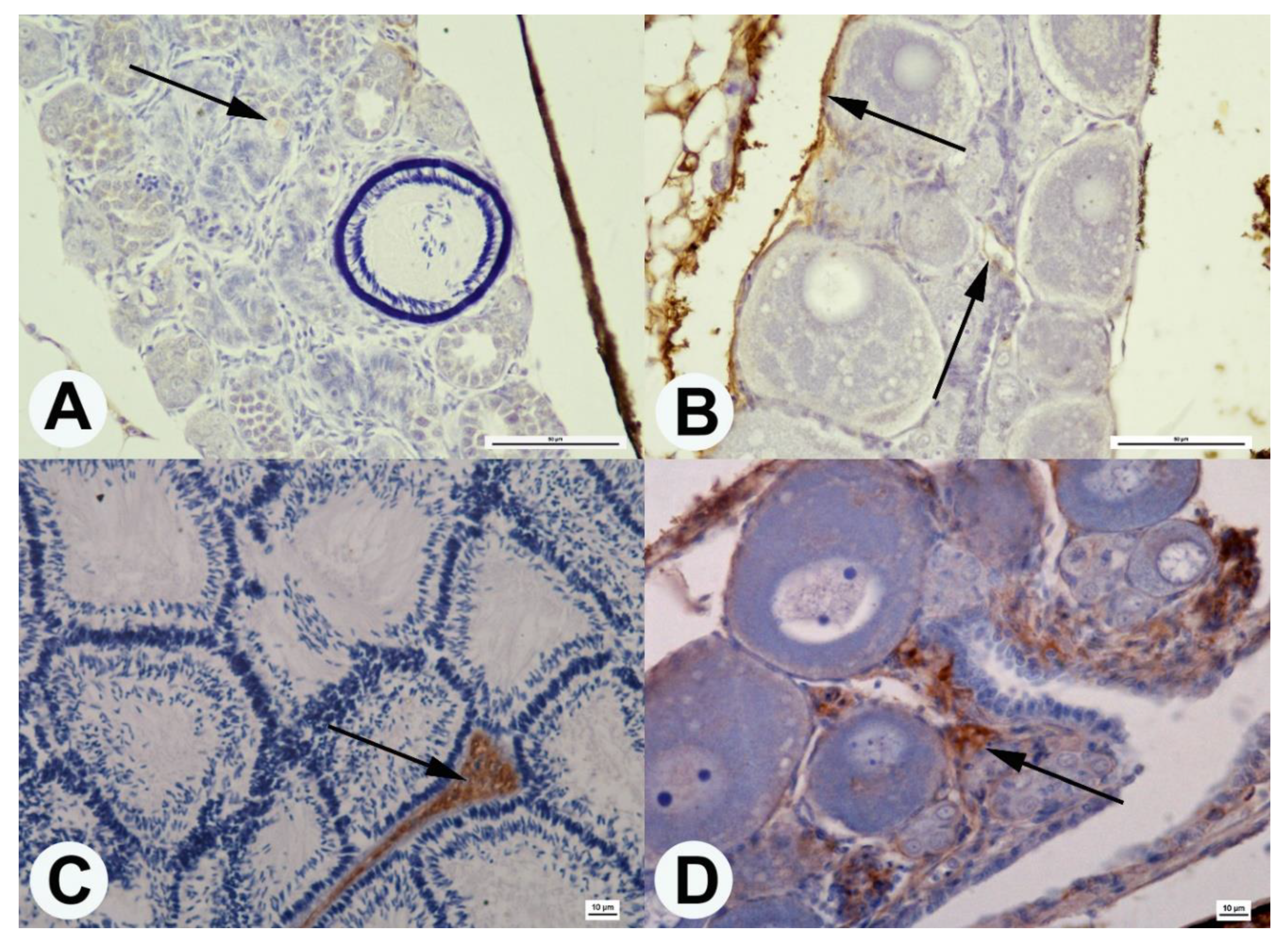
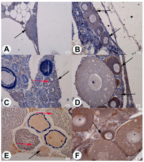
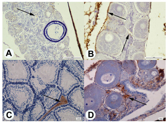
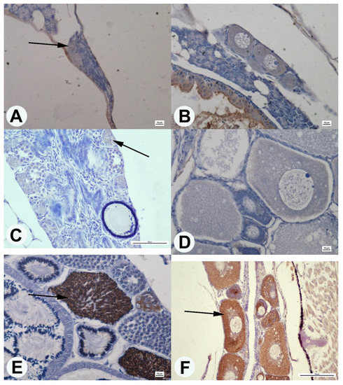
3.2. Immunohistochemistry Detection of Transcription Factors Regulating Gonad Development
3.3. Western Blot Analysis
4. Discussion
5. Conclusions
Author Contributions
Funding
Conflicts of Interest
References
- Knight, J.D.M. Invasive ornamental fish: A potential threat to aquatic biodiversity in peninsular India. J. Threat. Taxa 2010, 2, 700–704. [Google Scholar] [CrossRef]
- Lindholm, A.K.; Breden, F.; Alexander, H.J.; Chan, W.K.; Thakurta, S.G.; Brooks, R. Invasion success and genetic diversity of introduced populations of guppies Poecilia reticulata in Australia. Mol. Ecol. 2005, 14, 3671–3682. [Google Scholar] [CrossRef]
- Shafique, M.; Lopes, S.; Doum, D.; Keo, V.; Sokha, L.; Sam, B.; Vibol, C.; Alexander, N.; Bradley, J.; Liverani, M.; et al. Implementation of guppy fish (Poecilia reticulata), and a novel larvicide (Pyriproxyfen) product (Sumilarv 2MR) for dengue control in Cambodia: A qualitative study of acceptability, sustainability and community engagement. PLoS Negl. Trop. Dis. 2019, 13, e0007907. [Google Scholar] [CrossRef]
- El-Sabaawi, R.W.; Frauendorf, T.C.; Marques, P.S.; Mackenzie, R.A.; Manna, L.R.; Mazzoni, R.; Phillip, D.A.T.; Warbanski, M.L.; Zandonà, E. Biodiversity and ecosystem risks arising from using guppies to control mosquitoes. Biol. Lett. 2016, 12, 20160590. [Google Scholar] [CrossRef]
- Baatrup, E.; Junge, M. Antiandrogenic pesticides disrupt sexual characteristics in the adult male guppy (Poecilia reticula). Environ. Health Perspect. 2001, 109, 1063–1069. [Google Scholar] [CrossRef]
- Aich, A.; Goswami, A.R.; Roy, U.S.; Mukhopadhyay, S.K. Ecotoxicological assessment of tannery effluent using guppy fish (Poecilia reticulata) as an experimental model: A biomarker study. J. Toxicol. Environ. Health Part A Curr. Issues 2015, 78, 278–286. [Google Scholar] [CrossRef]
- Nakajima, M.; Taniguchi, N. Genetics of the guppy as a model for experiment in aquaculture. Genetica 2001, 111, 279–289. [Google Scholar] [CrossRef]
- Bayley, M.; Junge, M.; Baatrup, E. Exposure of juvenile guppies to three antiandrogens causes demasculinization and a reduced sperm count in adult males. Aquat. Toxicol. 2002, 56, 227–239. [Google Scholar] [CrossRef]
- Tian, H.; Li, Y.; Wang, W.; Zhao, F.; Gao, S.; Ru, S. Sexual characteristics of male guppies Poecilia reticulata serve as effect biomarkers of estrogens. J. Oceanol. Limnol. 2018, 36, 1392–1400. [Google Scholar] [CrossRef]
- Bayley, M.; Larsen, P.F.; Bækgaard, H.; Baatrup, E. The Effects of Vinclozolin, an Anti-Androgenic Fungicide, on Male Guppy Secondary Sex Characters and Reproductive Success. Biol. Reprod. 2003, 69, 1951–1956. [Google Scholar] [CrossRef]
- Karayücel, İ.; Kırıkoğlu, O.; Dernekbaşı, S. Effect of Tributyltin on the Sex Ratio in Guppy (Poecilia reticulata). Aquat. Sci. Eng. 2019, 34, 1–6. [Google Scholar] [CrossRef]
- Devlin, R.H.; Nagahama, Y. Sex determination and sex differentiation in fish: An overview of genetic, physiological, and environmental influences. Aquaculture 2002, 208, 191–364. [Google Scholar] [CrossRef]
- Karayücel, I.; Ak, O.; Karayücel, S. Effect of temperature on sex ratio in guppy Poecilia reticulata (Peters 1860). Aquac. Res. 2006, 37, 139–150. [Google Scholar] [CrossRef]
- Koya, Y.; Fujita, A.; Niki, F.; Ishihara, E.; Miyama, H. Sex Differentiation and Pubertal Development of Gonads in the Viviparous Mosquitofish, Gambusia affinis. Zool. Sci. 2003, 20, 1231–1242. [Google Scholar] [CrossRef]
- Keyvanshokooh, S.; Gharaei, A. A review of sex determination and searches for sex-specific markers in sturgeon. Aquac. Res. 2010, 41, 1–7. [Google Scholar] [CrossRef]
- Kavumpurath, S.; Pandian, T.J. Mawulinization of Poecilia reticulata by dietary administration of synthetic or natural androgen to gravid females. Aquaculture 1993, 116, 83–89. [Google Scholar] [CrossRef]
- Kamaszewski, M.; Gosk, A.; Skrobisz, M.; Ostaszewska, T. Change in Sox9 protein localization through gonad development in Russian sturgeon (Acipenser gueldenstaedtii). Aquac. Res. 2017, 48, 3111–3120. [Google Scholar] [CrossRef]
- Webster, K.A.; Schach, U.; Ordaz, A.; Steinfeld, J.S.; Draper, B.W.; Siegfried, K.R. Dmrt1 is necessary for male sexual development in zebrafish. Dev. Biol. 2017, 422, 33–46. [Google Scholar] [CrossRef]
- Nanda, I.; Kondo, M.; Hornung, U.; Asakawa, S.; Winkler, C.; Shimizu, A.; Shan, Z.; Haaf, T.; Shimizu, N.; Shima, A.; et al. A duplicated copy of DMRT1 in the sex-determining region of the Y chromosome of the medaka, Oryzias latipes. Proc. Natl. Acad. Sci. USA 2002, 99, 11778–11783. [Google Scholar] [CrossRef]
- Kopp, A. Dmrt genes in the development and evolution of sexual dimorphism. Trends Genet. 2012, 28, 175–184. [Google Scholar] [CrossRef]
- Björnström, L.; Sjöberg, M. Mechanisms of estrogen receptor signaling: Convergence of genomic and nongenomic actions on target genes. Mol. Endocrinol. 2005, 19, 833–842. [Google Scholar] [CrossRef]
- Lambert, J.G.D. The ovary of the guppy Poecilia reticulata. Gen. Comp. Endocrinol. 1970, 15, 464–476. [Google Scholar] [CrossRef]
- Koya, Y.; Inoue, M.; Naruse, T.; Sawaguchi, S. Dynamics of oocyte and embryonic development during ovarian cycle of the viviparous mosquitofish Gambusia affinis. Fish. Sci. 2000, 66, 63–70. [Google Scholar] [CrossRef]
- Kamaszewski, M.; Wójcik, M.; Krawczyńska, A.; Ostaszewska, T. The influence of diet containing wheat gluten supplemented with dipeptides or amino acids on the morphology of white muscle of yellow perch (Perca flavescens). Animals 2020, 10, 388. [Google Scholar] [CrossRef]
- Siegfried, K.R. In search of determinants: Gene expression during gonadal sex differentiation. J. Fish Biol. 2010, 76, 1879–1902. [Google Scholar] [CrossRef]
- Imiuwa, M.E. Induction of gonadal sex reversal in adult gonochorist teleost by chemical treatment: An examination of the changing paradigm. J. Basic Appl. Zool. 2020, 81, 1–7. [Google Scholar] [CrossRef]
- Pettersson, L.B.; Ramnarine, I.W.; Becher, S.A.; Mahabir, R.; Magurran, A.E. Sex ratio dynamics and fluctuating selection pressures in natural populations of the Trinidadian guppy, Poecilia reticulata. Behav. Ecol. Sociobiol. 2004, 55, 461–468. [Google Scholar] [CrossRef]
- Tian, H.; Li, Y.; Wang, W.; Wu, P.; Ru, S. Exposure to monocrotophos pesticide during sexual development causes the feminization/demasculinization of the reproductive traits and a reduction in the reproductive success of male guppies (Poecilia reticulata). Toxicol. Appl. Pharmacol. 2012, 263, 163–170. [Google Scholar] [CrossRef]
- Kashimada, K.; Koopman, P. Sry: The master switch in mammalian sex determination. Development 2010, 137, 3921–3930. [Google Scholar] [CrossRef]
- Pask, A.J.; Calatayud, N.E.; Shaw, G.; Wood, W.M.; Renfree, M.B. Oestrogen blocks the nuclear entry of SOX9 in the developing gonad of a marsupial mammal. BMC Biol. 2010, 8, 1–11. [Google Scholar] [CrossRef]
- Winkler, C.; Hornung, U.; Kondo, M.; Neuner, C.; Duschl, J.; Shima, A.; Schartl, M. Developmentally regulated and non-sex-specific expression of autosomal dmrt genes in embryos of the Medaka fish (Oryzias latipes). Mech. Dev. 2004, 121, 997–1005. [Google Scholar] [CrossRef]
- Brunner, B.; Hornung, U.; Shan, Z.; Nanda, I.; Kondo, M.; Zend-Ajusch, E.; Haaf, T.; Ropers, H.H.; Shima, A.; Schmid, M.; et al. Genomic organization and expression of the doublesex-related gene cluster in vertebrates and detection of putative regulatory regions for DMRT1. Genomics 2001, 77, 8–17. [Google Scholar] [CrossRef]
- Bagheri-Fam, S.; Sinclair, A.H.; Koopman, P.; Harley, V.R. Conserved regulatory modules in the Sox9 testis-specific enhancer predict roles for SOX, TCF/LEF, Forkhead, DMRT, and GATA proteins in vertebrate sex determination. Int. J. Biochem. Cell Biol. 2010, 42, 472–477. [Google Scholar] [CrossRef]
- Matson, C.K.; Murphy, M.W.; Sarver, A.L.; Griswold, M.D.; Bardwell, V.J.; Zarkower, D. DMRT1 prevents female reprogramming in the postnatal mammalian testis. Nature 2011, 476, 101–105. [Google Scholar] [CrossRef]
- Johnsen, H.; Seppola, M.; Torgersen, J.S.; Delghandi, M.; Andersen, Ø. Sexually dimorphic expression of dmrt1 in immature and mature Atlantic cod (Gadus morhua L.). Comp. Biochem. Physiol. B Biochem. Mol. Biol. 2010, 156, 197–205. [Google Scholar] [CrossRef]
- Ankley, G.T.; Johnson, R.D.; Toth, G.; Folmar, L.C.; Detenbeck, N.E.; Bradbury, S.P. Development of a research strategy for assessing the ecological risk of endocrine disruptors. Rev. Toxicol. 1997, 1, 71–106. [Google Scholar]
- Lange, I.G.; Hartel, A.; Meyer, H.H.D. Evolution of oestrogen functions in vertebrates. J. Steroid Biochem. Mol. Biol. 2002, 83, 219–226. [Google Scholar] [CrossRef]
- Socorro, S.; Power, D.M.; Olsson, P.E.; Canario, A.V.M. Two estrogen receptors expressed in the teleost fish, sparus aurata: cDNA cloning, characterization and tissue distribution. J. Endocrinol. 2000, 166, 293–306. [Google Scholar] [CrossRef]
- Venkatesh, B.; Tan, C.H.; Lam, T.J. Steroid hormone profile during gestation and parturition of the guppy (Poecilia reticulata). Gen. Comp. Endocrinol. 1990, 77, 476–483. [Google Scholar] [CrossRef]
- Tompsett, A.R.; Park, J.W.; Zhang, X.; Jones, P.D.; Newsted, J.L.; Au, D.W.T.; Chen, E.X.H.; Yu, R.; Wu, R.S.S.; Kong, R.Y.C.; et al. In situ hybridization to detect spatial gene expression in medaka. Ecotoxicol. Environ. Saf. 2009, 72, 1257–1264. [Google Scholar] [CrossRef]
- Zhang, X.; Hecker, M.; Park, J.W.; Tompsett, A.R.; Newsted, J.; Nakayama, K.; Jones, P.D.; Au, D.; Kong, R.; Wu, R.S.S.; et al. Real-time PCR array to study effects of chemicals on the Hypothalamic-Pituitary-Gonadal axis of the Japanese medaka. Aquat. Toxicol. 2008, 88, 173–182. [Google Scholar] [CrossRef]
- Berbejillo, J.; Martinez-Bengochea, A.; Bedó, G.; Vizziano-Cantonnet, D. Expression of dmrt1 and sox9 during gonadal development in the Siberian sturgeon (Acipenser baerii). Fish Physiol. Biochem. 2013, 39, 91–94. [Google Scholar] [CrossRef]






| Age and Sex | Body Mass (g) | Total Length (mm) |
|---|---|---|
| Average | Average | |
| 1 dph, both sexes | 0.007 ± 0.001 | 8.82 ± 0.69 |
| 60 dph, both sexes | 0.043 ± 0.02 | 15.34 ± 2.32 |
| 360 dph, male | 0.084 ± 0.039 | 21.96 ± 2.65 |
| 360 dph, female | 0.15 ± 0.11 | 23.861 ± 5 |
| Primary Antibodies | Catalog Number, Manufacturer | Dilution | Incubation Conditions |
|---|---|---|---|
| Sox9 (H-90), rabbit, polyclonal | sc-20095, Santa Cruz Biotechnology, Dallas, TX, USA. | 1:200 | 4 °C Overnight incubation |
| Estrogen receptor β (Er β), mouse, monoclonal | NCL-ER-beta, Leica Biosystems, Nussloch, Germany | 1:200 | 4 °C Overnight incubation |
| Dmrt1 (A-9), mouse, monoclonal | sc-377167, Santa Cruz Biotechnology, Dallas, TX, USA. | 1:200 | 4 °C Overnight incubation |
Publisher’s Note: MDPI stays neutral with regard to jurisdictional claims in published maps and institutional affiliations. |
© 2020 by the authors. Licensee MDPI, Basel, Switzerland. This article is an open access article distributed under the terms and conditions of the Creative Commons Attribution (CC BY) license (http://creativecommons.org/licenses/by/4.0/).
Share and Cite
Kamaszewski, M.; Skrobisz, M.; Wójcik, M.; Kawalski, K.; Szczepański, A.; Bujarski, P.; Szudrowicz, H.; Herman, A.P.; Martynow, J. The Role of Transcription Factors in Gonad Development and Sex Differentiation of a Teleost Model Fish—Guppy (Poecilia reticulata). Animals 2020, 10, 2401. https://doi.org/10.3390/ani10122401
Kamaszewski M, Skrobisz M, Wójcik M, Kawalski K, Szczepański A, Bujarski P, Szudrowicz H, Herman AP, Martynow J. The Role of Transcription Factors in Gonad Development and Sex Differentiation of a Teleost Model Fish—Guppy (Poecilia reticulata). Animals. 2020; 10(12):2401. https://doi.org/10.3390/ani10122401
Chicago/Turabian StyleKamaszewski, Maciej, Marek Skrobisz, Maciej Wójcik, Kacper Kawalski, Adrian Szczepański, Patryk Bujarski, Hubert Szudrowicz, Andrzej Przemysław Herman, and Jakub Martynow. 2020. "The Role of Transcription Factors in Gonad Development and Sex Differentiation of a Teleost Model Fish—Guppy (Poecilia reticulata)" Animals 10, no. 12: 2401. https://doi.org/10.3390/ani10122401
APA StyleKamaszewski, M., Skrobisz, M., Wójcik, M., Kawalski, K., Szczepański, A., Bujarski, P., Szudrowicz, H., Herman, A. P., & Martynow, J. (2020). The Role of Transcription Factors in Gonad Development and Sex Differentiation of a Teleost Model Fish—Guppy (Poecilia reticulata). Animals, 10(12), 2401. https://doi.org/10.3390/ani10122401

