Biochemical and Histopathological Alterations in Different Tissues of Rats Due to Repeated Oral Dose Toxicity of Cymoxanil
Abstract
Simple Summary
Abstract
1. Introduction
2. Materials and Methods
2.1. Ethical Statement
2.2. Chemical
2.3. Animals
2.4. Animal Treatment
2.5. Histopathological Examination
2.6. Biochemical Determinations
2.7. Statistical Analysis
3. Results
3.1. Histopathological Changes
3.1.1. Clinical Signs and Postmortem Examination
3.1.2. Histopathological Changes in the Liver
3.1.3. Histopathological Changes in the Kidney
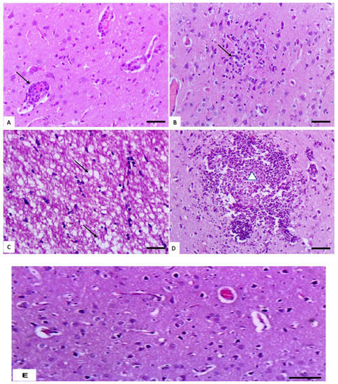
3.1.4. Histopathological Changes in the Brain
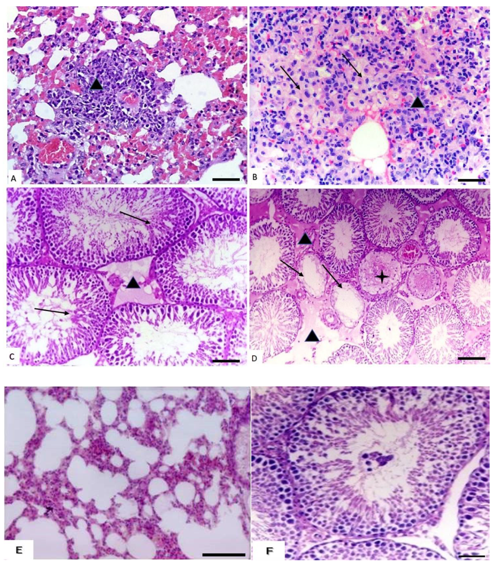
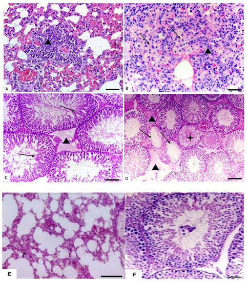
3.1.5. Histopathological Changes in the Lungs
3.1.6. Histopathological Changes in the Testis
3.2. Biochemical Analysis
3.2.1. Effects on Liver Enzymes
3.2.2. Effects on Kidney Functions
3.2.3. Effects on Brain Function
4. Discussion
5. Conclusions
Author Contributions
Funding
Acknowledgments
Conflicts of Interest
References
- Sun, S.; Hu, R.; Zhang, C.; Shi, G. Do farmers misuse pesticides in crop production in China? Evidence from a farm household survey. Pest Manag. Sci. 2019, 75, 2133–2141. [Google Scholar] [CrossRef]
- Fantke, P.; Juraske, R. Variability of pesticide dissipation half-lives in plants. Environ. Sci. Technol. 2013, 47, 3548–3562. [Google Scholar] [CrossRef]
- Liu, X.; Yang, Y.; Cui, Y.; Zhu, H.; Li, X.; Li, Z.; Zhang, K.; Hu, D. Dissipation and residue of metalaxyl and cymoxanil in pepper and soil. Environ. Monit. Assess. 2014, 186, 5307–5313. [Google Scholar] [CrossRef]
- Han, Y.; Mo, R.; Yuan, X.; Zhong, D.; Tang, F.; Ye, C.; Liu, Y. Pesticide residues in nut-planted soils of China and their relationship between nut/soil. Chemosphere 2017, 180, 42–47. [Google Scholar] [CrossRef]
- Álvarez-Martín, A.; Sánchez-Martín, M.J.; Pose-Juan, E.; Rodríguez-Cruz, M.S. Effect of different rates of spent mushroom substrate on the dissipation and bioavailability of cymoxanil and tebuconazole in an agricultural soil. Sci. Total Environ. 2016, 550, 495–503. [Google Scholar] [CrossRef]
- Huang, J.; Ye, Q.; Wan, K.; Wang, F. Residue behavior and risk assessment of cymoxanil in grape under field conditions and survey of market samples in Guangzhou. Environ. Sci. Pollut. Res. 2019, 26, 3465–3472. [Google Scholar] [CrossRef]
- Cheng, B.; Zhang, H.; Hu, J.; Peng, Y.; Yang, J.; Liao, X.; Liu, F.; Guo, J.; Hu, C.; Lu, H. The immunotoxicity and neurobehavioral toxicity of zebrafish induced by famoxadone-cymoxanil. Chemosphere 2020, 247, 125870. [Google Scholar] [CrossRef]
- Cha, E.S.; Jeong, M.; Lee, W.J. Agricultural pesticide usage and prioritization in South Korea. J. Agromedicine 2014, 19, 281–293. [Google Scholar] [CrossRef]
- Gereslassie, T.; Workineh, A.; Atieno, O.J.; Wang, J. Determination of occurrences, distribution, health impacts of organochlorine pesticides in soils of central China. Int. J. Environ. Res. Public Health 2019, 16, 146. [Google Scholar] [CrossRef]
- He, B.; Ni, Y.; Jin, Y.; Fu, Z. Pesticides-induced energy metabolic disorders. Sci. Total Environ. 2020, 729, 139033. [Google Scholar] [CrossRef]
- Fazilat, N.; Vazirzadeh, A.; Banaee, M.; Farhadi, A. Separate and combined effects of Dimethoate pesticide and bio-fertilizer on the activity of enzymes involved in anaerobic pathway, neurotransmission and protein metabolism in common carp, Cyprinus carpio (Teleostei: Cyprinidae). Iran. J. Ichthyol. 2017, 4, 352–360. [Google Scholar]
- Bavol, D.; Zima, J.; Barek, J.; Dejmkova, H. Voltammetric determination of cymoxanil and famoxadone at different types of carbon electrodes. Electroanalysis 2016, 28, 1029–1034. [Google Scholar] [CrossRef]
- Fayette, J.; Roberts, P.D.; Pernezny, K.L.; Jones, J.B. The role of cymoxanil and famoxadone in the management of bacterial spot on tomato and pepper and bacterial leaf spot on lettuce. Crop Prot. 2012, 31, 107–112. [Google Scholar] [CrossRef]
- Álvarez, M.G.; Noguerol-Pato, R.; González-Barreiro, C.; Cancho-Grande, B.; Simal-Gándara, J. Changes of the sensorial attributes of white wines with the application of new anti-mildew fungicides under critical agricultural practices. Food Chem. 2012, 130, 139–146. [Google Scholar] [CrossRef]
- Malek, D.E. Subchronic Oral Toxicity: 90-Day Study with DPXT3217-107 (Cymoxanil) Feeding and Neurotoxicity Study in Rats; Revision no. 1; Report no. HLR 370-91 GLP not published N DuPont; E.I. du Pont de Nemours and Company Haskell Laboratory for Toxicology and Industrial Medicine: Washington, DC, USA, 1992. [Google Scholar]
- Tompkins, E.C. Subchronic Oral Toxicity: 90-Day Study with DPXT3217-113 (Cymoxanil) Feeding Study in Dogs; Report No. HLO 797-92 GLP not published N DuPont; WIL Research Laboratories, Inc.: Cincinnati, OH, USA, 1993. [Google Scholar]
- Huang, Y.; Chen, Z.; Meng, Y.; Wei, Y.; Xu, Z.; Ma, J.; Zhong, K.; Cao, Z.; Liao, X.; Lu, H. Famoxadone-cymoxanil induced cardiotoxicity in zebrafish embryos. Ecotoxicol. Environ. Saf. 2020, 205, 111339. [Google Scholar] [CrossRef] [PubMed]
- Pesticide Properties DataBase. University Hertfordshire. 2019. Available online: https://sitem.herts.ac.uk/aeru/ppdb/en/ (accessed on 30 October 2020).
- United States Pesticides Environmental Protection Agency. Cymoxanil Pesticide Fact Sheet. 1998. Available online: https://www3.epa.gov/pesticides/chem_search/reg_actions/registration/fs_PC-113202_01-Jul-03.pdf (accessed on 6 November 2020).
- Herrero-Hernández, E.; Andrades, M.S.; Marín-Benito, J.M.; Sánchez-Martín, M.J.; Rodríguez-Cruz, M.S. Field-scale dissipation of tebuconazole in a vineyard soil amended with spent mushroom substrate and its potential environmental impact. Ecotoxicol. Environ. Saf. 2011, 74, 1480–1488. [Google Scholar] [CrossRef]
- Korsrud, G.O.; Grice, H.C.; McLaughlan, J.M. Sensitivity of several serum enzymes in detecting carbon tetrachloride-induced liver damage in rats. Toxicol. Appl. Pharmacol. 1972, 22, 474–483. [Google Scholar] [CrossRef]
- Bancroft, J.D. Theory and Practice of Histological Techniques, 6th ed.; Churchill Livingstone: London, UK; Elsevier: Amsterdam, The Netherlands, 2008. [Google Scholar]
- Barham, D.; Trinder, P. A colorimetric methods for the determination of Creatinine in serum. Analyst 1972, 97, 142–145. [Google Scholar] [CrossRef]
- Reitman, S.; Frankel, S. A colorimetric method for the determination of serum glutamic oxalacetic and glutamic pyruvic transaminases. Am. J. Clin. Pathol. 1957, 28, 56–63. [Google Scholar] [CrossRef]
- Ellman, G.L.; Courtney, K.D.; Andres, V., Jr.; Featherstone, R.M. A new and rapid colorimetric determination of acetylcholinesterase activity. Biochem. Pharmacol. 1961, 7, 88–95. [Google Scholar] [CrossRef]
- Rahman, M.; Siddiqui, M.; Jamil, K. Inhibition of acetylcholinesterase and different ATPases by a novel phosphorothionate (RPR-II) in rat brain. Ecotoxicol. Environ. Saf. 2000, 47, 125–129. [Google Scholar] [CrossRef]
- Roganovic, Z.; Jordanova, M. Liver lesions in bleak (Alhurnus alburnus alborella Filippi) collected from some contaminated sites on lake Ohrid. A histopathological evidence. Ekol. Zast. Zivot. Sred 1998, 6, 11–18. [Google Scholar]
- Gokcimen, A.; Gulle, K.; Demirin, H.; Bayram, D.; Kocak, A.; Altuntas, I. Effects of diazinon at different doses on rat liver and pancreas tissues. Pestic. Biochem. Physiol. 2007, 87, 103–108. [Google Scholar] [CrossRef]
- Yehia, M.A.; El-Banna, S.G.; Okab, A.B. Diazinon toxicity affects histophysiological and biochemical parameters in rabbits. Exp. Toxicol. Pathol. 2007, 59, 215–225. [Google Scholar] [CrossRef]
- Guengerich, F.P.; Avadhani, N.G. Roles of cytochrome P450 in metabolism of ethanol and carcinogens. In Alcohol and Cancer; Springer: Berlin/Heidelberg, Germany, 2018; pp. 15–35. [Google Scholar]
- Finn, W.F. Renal response to environmental toxics. Environ. Health Perspect. 1977, 20, 15–26. [Google Scholar] [CrossRef] [PubMed]
- Kerem, M.; Bedirli, N.; GürbüZ, N.; Ekinci, O.; Bedirli, A.; Akkaya, T.; Şakrak, Ö.; Paşaoğlu, H. Effects of acute fenthion toxicity on liver and kidney function and histology in rats. Turk. J. Med Sci. 2007, 37, 281–288. [Google Scholar]
- Afshar, S.; Farshid, A.; Heidari, R.; Ilkhanipour, M. Histopathological changes in the liver and kidney tissues of Wistar albino rat exposed to fenitrothion. Toxicol. Ind. Health 2008, 24, 581–586. [Google Scholar] [CrossRef] [PubMed]
- Ahmed, M.S.; Massoud, A.H.; Derbalah, A.S.; Ismail, A.A. Pathological and Biochemical Assesment of the Fungicide (Metalaxyl) on Rats. Egypt. J. Comp. Pathol. Clin. Pathol. 2011, 24, 136–154. [Google Scholar]
- Eddleston, M.; Szinicz, L.; Eyer, P.; Buckley, N. Oximes in acute organophosphorus pesticide poisoning: A systematic review of clinical trials. QJM 2002, 95, 275–283. [Google Scholar] [CrossRef] [PubMed]
- Gunnell, D.; Fernando, R.; Hewagama, M.; Priyangika, W.; Konradsen, F.; Eddleston, M. The impact of pesticide regulations on suicide in Sri Lanka. Int. J. Epidemiol. 2007, 36, 1235–1242. [Google Scholar] [CrossRef] [PubMed]
- Savolainen, H. Superoxide dismutase and glutathione peroxidase activities in rat brain. Res. Commun. Chem. Pathol. Pharmacol. 1978, 21, 173–176. [Google Scholar] [PubMed]
- Stacey, R.; Morfey, D.; Payne, S. Secondary contamination in organophosphate poisoning: Analysis of an incident. QJM 2004, 97, 75–80. [Google Scholar] [CrossRef] [PubMed]
- Zuskin, E.; Mustajbegovic, J.; Schachter, E.N.; Kern, J.; Deckovic-Vukres, V.; Trosic, I.; Chiarelli, A. Respiratory function in pesticide workers. J. Occup. Environ. Med. 2008, 50, 1299–1305. [Google Scholar] [CrossRef] [PubMed]
- Hussain, A.M.; Sultan, S.T. Organophosphorus insecticide poisoning: Management in surgical intensive care unit. J. Coll. Physicians Surg. Pak. JCPSP 2005, 15, 100–102. [Google Scholar]
- Adamis, Z.; Tátrai, E.; Honma, K.; Ungváry, G. Effects of lead (II) nitrate and a dithiocarbamate fungicide on the rat lung. J. Appl. Toxicol. 1999, 19, 347–350. [Google Scholar] [CrossRef]
- Farag, A.T.; Eweidah, M.; El-Okazy, A. Reproductive toxicology of acephate in male mice. Reprod. Toxicol. 2000, 14, 457–462. [Google Scholar] [CrossRef]
- Khan, I.A.; Reddy, B.V.; Mahboob, M.; Rahman, M.F.; Jamil, K. Effects of phosphorothionate on the reproductive system of male rats. J. Environ. Sci. Health Part B 2001, 36, 445–456. [Google Scholar] [CrossRef]
- Uzunhisarcikli, M.; Kalender, Y.; Dirican, K.; Kalender, S.; Ogutcu, A.; Buyukkomurcu, F. Acute, subacute and subchronic administration of methyl parathion-induced testicular damage in male rats and protective role of vitamins C and E. Pestic. Biochem. Physiol. 2007, 87, 115–122. [Google Scholar] [CrossRef]
- Banaee, M.; Sureda, A.; Mirvaghefi, A.R.; Rafei, G.R. Effects of long-term silymarin oral supplementation on the blood biochemical profile of rainbow trout (Oncorhynchus mykiss). Fish Physiol. Biochem. 2011, 37, 885–896. [Google Scholar] [CrossRef]
- Celik, I.; Yilmaz, Z.; Turkoglu, V. Hematotoxic and hepatotoxic effects of dichlorvos at sublethal dosages in rats. Environ. Toxicol. Int. J. 2009, 24, 128–132. [Google Scholar] [CrossRef]
- Sayim, F. Dimethoate-induced biochemical and histopathological changes in the liver of rats. Exp. Toxicol. Pathol. 2007, 59, 237–243. [Google Scholar] [CrossRef]
- Morowati, M. Inhalation toxicity studies of thimet (phorate) in male Swiss albino mouse, Mus musculus: I. Hepatotoxicity. Environ. Pollut. 1997, 96, 283–288. [Google Scholar] [CrossRef]
- Agrahari, S.; Pandey, K.C.; Gopal, K. Biochemical alteration induced by monocrotophos in the blood plasma of fish, Channa punctatus (Bloch). Pestic. Biochem. Physiol. 2007, 88, 268–272. [Google Scholar] [CrossRef]
- Ogutcu, A.; Suludere, Z.; Kalender, Y. Dichlorvos-induced hepatotoxicity in rats and the protective effects of vitamins C and E. Environ. Toxicol. Pharmacol. 2008, 26, 355–361. [Google Scholar] [CrossRef] [PubMed]
- Kaya, H.; Çelik, E.Ş.; Yılmaz, S.; Tulgar, A.; Akbulut, M.; Demir, N. Hematological, serum biochemical, and immunological responses in common carp (Cyprinus carpio) exposed to phosalone. Comp. Clin. Pathol. 2015, 24, 497–507. [Google Scholar] [CrossRef]
- Kassirer, J.P. Clinical evaluation of kidney function: Glomerular function. N. Engl. J. Med. 1971, 285, 385–389. [Google Scholar] [CrossRef]
- Varley, H. Practical clinical biochemistry. J. Chem. Educ. 1963, 40, A834. [Google Scholar] [CrossRef]
- Siddiqui, M.; Rahman, M.; Mustafa, M. Target enzyme inhibition by novel thion analogues of monocrotophos: An acute in vivo study in the rat. Bull. Environ. Contam. Toxicol. 1993, 51, 409–415. [Google Scholar] [CrossRef]
- Hazarika, A.; Sarkar, S.; Hajare, S.; Kataria, M.; Malik, J. Influence of malathion pretreatment on the toxicity of anilofos in male rats: A biochemical interaction study. Toxicology 2003, 185, 1–8. [Google Scholar] [CrossRef]
- Timur, S.; Önal, S.; Karabay, N.Ü.; Sayim, F.; Zihnioğlu, F. In vivo effects of malathion on glutathione-S-transferase and acetylcholinesterase activities in various tissues of neonatal rats. Turk. J. Zool. 2003, 27, 247–252. [Google Scholar]




| Dose (mg/kg/bw) | ALT Activity | AST Activity | ALP Activity | ACHE Activity | Creatinine (mg/di) |
|---|---|---|---|---|---|
| 0.5 | 23.96 ± 1.68 c | 17.36 ± 1.13 c | 4.158 ± 0.48 c | 0.882 × 10−4 ± 0.015 a | 0.772 ± 0.007 b |
| 1 | 22.75 ± 1.34 bc | 18.25 ± 0.95 b | 4.542 ± 0.32 b | 0.752 × 10−4 ± 0.013 b | 0.780 ± 0.014 b |
| 2 | 33.28 ± 2.31 a | 25.51 ± 1.09 a | 5.360 ± 0.54 a | 0.369 × 10−4 ± 0.012 c | 0.957 ± 0.015 a |
| Control | 17.76 ± 0.94 d | 13.44 ± 1.45 d | 2.798 ± 0.30 d | 946 × 10−4 ± 17.34 a | 0.322 ± 0.013 c |
Publisher’s Note: MDPI stays neutral with regard to jurisdictional claims in published maps and institutional affiliations. |
© 2020 by the authors. Licensee MDPI, Basel, Switzerland. This article is an open access article distributed under the terms and conditions of the Creative Commons Attribution (CC BY) license (http://creativecommons.org/licenses/by/4.0/).
Share and Cite
Ahmed, M.S.; Massoud, A.H.; Derbalah, A.S.; Al-Brakati, A.; Al-Abdawani, M.A.; Eltahir, H.A.; Yanai, T.; Elmahallawy, E.K. Biochemical and Histopathological Alterations in Different Tissues of Rats Due to Repeated Oral Dose Toxicity of Cymoxanil. Animals 2020, 10, 2205. https://doi.org/10.3390/ani10122205
Ahmed MS, Massoud AH, Derbalah AS, Al-Brakati A, Al-Abdawani MA, Eltahir HA, Yanai T, Elmahallawy EK. Biochemical and Histopathological Alterations in Different Tissues of Rats Due to Repeated Oral Dose Toxicity of Cymoxanil. Animals. 2020; 10(12):2205. https://doi.org/10.3390/ani10122205
Chicago/Turabian StyleAhmed, Mohamed S., Ahmed H. Massoud, Aly S. Derbalah, Ashraf Al-Brakati, Mohsin A. Al-Abdawani, Hatim A. Eltahir, Tokuma Yanai, and Ehab Kotb Elmahallawy. 2020. "Biochemical and Histopathological Alterations in Different Tissues of Rats Due to Repeated Oral Dose Toxicity of Cymoxanil" Animals 10, no. 12: 2205. https://doi.org/10.3390/ani10122205
APA StyleAhmed, M. S., Massoud, A. H., Derbalah, A. S., Al-Brakati, A., Al-Abdawani, M. A., Eltahir, H. A., Yanai, T., & Elmahallawy, E. K. (2020). Biochemical and Histopathological Alterations in Different Tissues of Rats Due to Repeated Oral Dose Toxicity of Cymoxanil. Animals, 10(12), 2205. https://doi.org/10.3390/ani10122205

