Effects and Safe Inclusion of Narbonne Vetch (Vicia narbonensis) in Rainbow Trout (Oncorhynchus mykiss) Diets: Towards a More Sustainable Aquaculture
Abstract
Simple Summary
Abstract
1. Introduction
2. Materials and Methods
2.1. Narbonne Vetch Seeds
2.2. Experimental Diets
2.3. In Vitro Inhibition of Rainbow Trout Digestive Protease Activity by Narbonne Vetch Meal and Experimental Feeds
2.3.1. Preparation of Enzyme Extracts
2.3.2. Inhibition of Intestinal Protease Activity by Narbonne Vetch Meal and Experimental Diets
2.4. Ethical Statement
2.5. Experimental Design and Rearing Conditions
2.6. Fish Sampling and Growth Performance Assessment
FBW and IBW are final body weight (g) and initial body weight (g), respectively.
2.7. Serum Biochemical Assays
2.8. Histopathological Analysis
2.9. Chemical Analyses
2.10. Statistical Analysis
3. Results
3.1. Inhibition of Intestinal Protease Activity by Narbonne Vetch Meal and Experimental Diets
3.2. Growth Performance Indexes and Fillet Nutritional Value
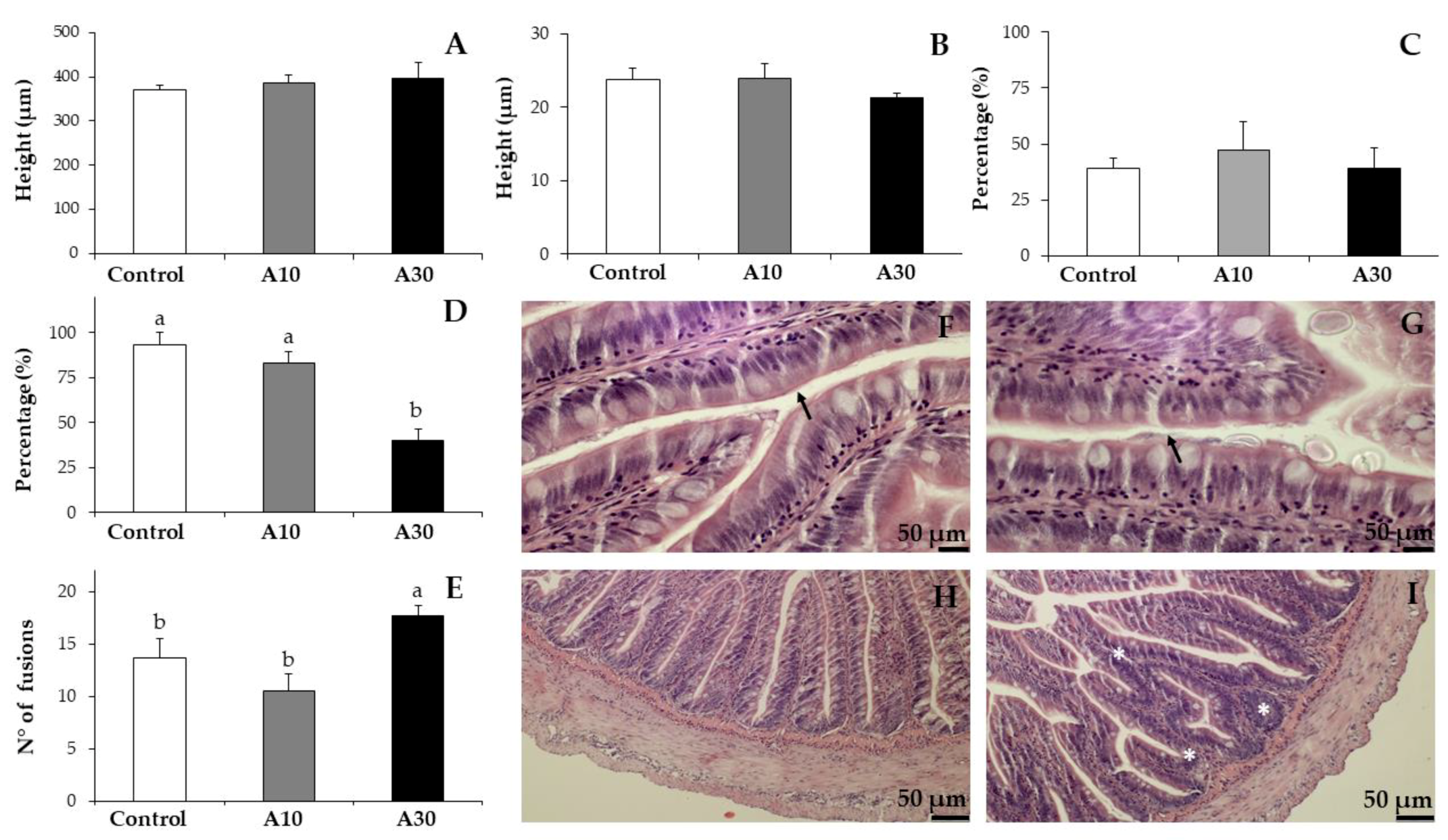
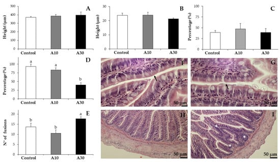
3.3. Histopathological Analysis
3.4. Blood Biochemistry Analysis
4. Discussion
5. Conclusions
Supplementary Materials
Author Contributions
Funding
Acknowledgments
Conflicts of Interest
References
- FAO. The State of World Fishery and Aquaculture 2020 (SOFIA); Food and Agriculture Organization of the United Nations: Rome, Italy, 2020. [Google Scholar] [CrossRef]
- Naylor, R.L.; Hardy, R.W.; Bureau, D.P.; Chiu, A.; Elliott, M.; Farrell, A.P.; Forster, I.; Gatlin, D.M.; Goldburg, R.J.; Hua, K.; et al. Feeding aquaculture in an era of finite resources. Proc. Natl. Acad. Sci. USA 2009, 106, 15103–15110. [Google Scholar] [CrossRef] [PubMed]
- Turchini, G.M.; Trushenski, J.; Glencross, B.D. Thoughts for the future of aquaculture nutrition: Realigning perspectives to reflect contemporary issues related to judicious use of marine resources in aquafeeds. N. Am. J. Aquac. 2018, 81, 13–39. [Google Scholar] [CrossRef]
- Glencross, B.D.; Baily, J.; Berntssen, M.H.; Hardy, R.; MacKenzie, S.; Tocher, D.R. Risk assessment of the use of alternative animal and plant raw material resources in aquaculture feeds. Rev. Aquac. 2019, 12, 703–758. [Google Scholar] [CrossRef]
- Hardy, R.W. Utilization of plant proteins in fish diets: Effects of global demand and supplies of fishmeal. Aquac. Res. 2010, 41, 770–776. [Google Scholar] [CrossRef]
- Dawood, M.A.; Koshio, S. Application of fermentation strategy in aquafeed for sustainable aquaculture. Rev. Aquac. 2019, 12, 987–1002. [Google Scholar] [CrossRef]
- Gatlin, D.M.; Barrows, F.T.; Brown, P.; Dabrowski, K.; Gaylord, T.G.; Hardy, R.W.; Herman, E.; Hu, G.; Krogdahl, Å.; Nelson, R.; et al. Expanding the utilization of sustainable plant products in aquafeeds: A review. Aquac. Res. 2007, 38, 551–579. [Google Scholar] [CrossRef]
- Kokou, F.; Fountoulaki, E. Aquaculture waste production associated with antinutrient presence in common fish feed plant ingredients. Aquaculture 2018, 495, 295–310. [Google Scholar] [CrossRef]
- Klinger, D.H.; Naylor, R. Searching for solutions in aquaculture: Charting a sustainable course. Annu. Rev. Environ. Resour. 2012, 37, 247–276. [Google Scholar] [CrossRef]
- Chung, I.-M.; Yu, B.-R.; Park, I.; Kim, S.-H. Isoflavone content and profile comparisons of cooked soybean-rice mixtures: Electric rice cooker versus electric pressure rice cooker. J. Agric. Food Chem. 2014, 62, 11862–11868. [Google Scholar] [CrossRef]
- Hemre, G.-I.; Amlund, H.; Aursand, M.; Bakke, A.M.; Olsen, R.E.; Ringø, E.; Svihus, B.; Bernhoft, A.; Jenssen, B.M.; Møretrø, T.; et al. Criteria for safe use of plant ingredients in diets for aquacultured fish. Eur. J. Nutr. Food Saf. 2018, 8, 240–242. [Google Scholar] [CrossRef]
- Chen, Y.; Ma, J.; Huang, H.; Zhong, H. Effects of the replacement of fishmeal by soy protein concentrate on growth performance, apparent digestibility, and retention of protein and amino acid in juvenile pearl gentian grouper. PLoS ONE 2019, 14, e0222780. [Google Scholar] [CrossRef] [PubMed]
- Yeşilayer, N.; Kaymak, I.E. Effect of partial replacement of dietary fish meal by soybean meal with betaine attractant supplementation on growth performance and fatty acid profiles of juvenile rainbow trout (Oncorhynchus mykiss). Aquac. Res. 2020, 51, 1533–1541. [Google Scholar] [CrossRef]
- De Visser, C.L.M.; Schreuder, R.; Stoddard, F. The EU’s dependency on soya bean import for the animal feed industry and potential for EU produced alternatives. OCL 2014, 21, D407. [Google Scholar] [CrossRef]
- Berger, J.; Robertson, L.; Cocks, P. Agricultural potential of Mediterranean grain and forage legumes: 2) Anti-nutritional factor concentrations in the genus Vicia. Genet. Resour. Crop. Evol. 2003, 50, 201–212. [Google Scholar] [CrossRef]
- Badrzadeh, M.; Zaragarzadeh, F.; Esmaielpour, B. Chemical composition of some forage Vicia spp. J. Food, Agric. Environ. 2008, 6, 178–180. [Google Scholar]
- El Moneim, A.M.A. Narbon Vetch (Vicia narbonensis L.): A potential feed legume crop for dry areas in West Asia. J. Agron. Crop. Sci. 1992, 169, 347–353. [Google Scholar] [CrossRef]
- Fırıncıoğlu, H.K.; Unal, S.; Pank, Z.; Beniwal, S.P.S. Growth and development of Narbon vetch (Vicia narbonensis L.) genotypes in the semi-arid central Turkey. Span. J. Agric. Res. 2012, 10, 430. [Google Scholar] [CrossRef]
- Aletor, V.; Goodchild, A.; El Moneim, A. Nutritional and antinutritional characteristics of selected Vicia genotypes. Anim. Feed Sci. Technol. 1994, 47, 125–139. [Google Scholar] [CrossRef]
- Del Pino-García, R.; Rico, D.; Martín-Diana, A.B. Evaluation of bioactive properties of Vicia narbonensis L. as potential flour ingredient for gluten-free food industry. J. Funct. Foods 2018, 47, 172–183. [Google Scholar] [CrossRef]
- Lahuta, L.B.; Ciak, M.; Rybiński, W.; Bocianowski, J.; Börner, A. Diversity of the composition and content of soluble carbohydrates in seeds of the genus Vicia (Leguminosae). Genet. Resour. Crop. Evol. 2017, 65, 541–554. [Google Scholar] [CrossRef]
- Enneking, D. The Toxicity of Vicia species and Their Utilisation as Grain Legumes. Ph.D. Thesis, Dept. of Plant Science, Biology, The University of Adelaide, Adelaide, Australia, 1994. [Google Scholar]
- Izquierdo, E.G.; Peña, E.D.M.D.L.; Fernández, J.G.; Almenar, C.T.; Fernández, E.G.; Sandin, A.V.; Elorrieta, M.M.; Pedrosa, M.M.; Nuez, P.L.; Górriz, M.; et al. Tolerancia a diferentes factores antinutritivos en lechones alimentados con guisantes de invierno (Pisum sativum) y alberjón (Vicia narbonensis) en la fase estárter. Inf. Tec. Econ. Agrar. 2018, 114, 243–258. [Google Scholar] [CrossRef]
- Eason, P.; Johnson, R.; Castleman, G. The effects of dietary inclusion of Narbon beans (Vicia narbonensis) on the growth of broiler chickens. Aust. J. Agric. Res. 1990, 41, 565. [Google Scholar] [CrossRef]
- Chiofalo, V.; Cavallaro, M.; Vasi, S.; Sanzarello, L.; Ordile, R.; Pecorino, B. Use of Narbonne vetch grain (Vicia narbonensis) in Charolaise bull feeding: Effect on in vitam and post mortem performances and on quality of meat. Ital. J. Anim. Sci. 2007, 6, 415–417. [Google Scholar] [CrossRef]
- Buyukcapar, H.M.; Mezdegi, M.I.; Kamalak, A. Nutritive value of narbon bean (Vicia narbonensis) seed as ingredient in practical diet for tilapia (Oreochromis niloticus) fingerlings. J. Appl. Anim. Res. 2010, 37, 253–256. [Google Scholar] [CrossRef]
- APROMAR. Aquaculture in Spain 2020. Informe de la Asociación Empresarial de Acuicultura de España. Ministerio de Agricultura y Pesca, Alimentación y Medioambiente, España, 2020; pp. 1–90. Available online: http://www.apromar.es/sites/default/files/2020/APROMAR%20Report%20AQUACULTURE%20IN%20SPAIN%202020_0.pdf (accessed on 8 November 2020). (In Spanish).
- Fish Oil Replacement and Alternative Lipid Sources in Aquaculture Feeds; Taylor & Francis Group: Boca Ratón, FL, USA, 2010; pp. 1–551.
- Turchini, G.M.; Hermon, K.M.; Francis, D.S. Fatty acids and beyond: Fillet nutritional characterisation of rainbow trout (Oncorhynchus mykiss) fed different dietary oil sources. Aquaculture 2018, 491, 391–397. [Google Scholar] [CrossRef]
- Twibell, R.; Johnson, R.; Hyde, N.; Gannam, A. Evaluation of Spirulina and plant oil in diets for juvenile steelhead (Oncorhynchus mykiss). Aquaculture 2020, 528, 735598. [Google Scholar] [CrossRef]
- Gisbert, E.; Skalli, A.; Fernández, I.; Kotzamanis, Y.; Zambonino-Infante, J.-L.; Fabregat, R. Protein hydrolysates from yeast and pig blood as alternative raw materials in microdiets for gilthead sea bream (Sparus aurata) larvae. Aquaculture 2012, 338, 96–104. [Google Scholar] [CrossRef]
- Overturf, K.; Barrows, F.T.; Hardy, R.W. Effect and interaction of rainbow trout strain (Oncorhynchus mykiss) and diet type on growth and nutrient retention. Aquac. Res. 2012, 44, 604–611. [Google Scholar] [CrossRef]
- Henry, M.; Gasco, L.; Piccolo, G.; Fountoulaki, E. Review on the use of insects in the diet of farmed fish: Past and future. Anim. Feed Sci. Technol. 2015, 203, 1–22. [Google Scholar] [CrossRef]
- Gamboa-Delgado, J.; Márquez-Reyes, J.M. Potential of microbial-derived nutrients for aquaculture development. Rev. Aquac. 2016, 10, 224–246. [Google Scholar] [CrossRef]
- Campos, I.; Matos, E.; Marques, A.; Valente, L.M.P. Hydrolyzed feather meal as a partial fishmeal replacement in diets for European seabass (Dicentrarchus labrax) juveniles. Aquaculture 2017, 476, 152–159. [Google Scholar] [CrossRef]
- Magalhães, R.; Sánchez-López, A.; Leal, R.S.; Martínez-Llorens, S.; Oliva-Teles, A.; Peres, H. Black soldier fly (Hermetia illucens) pre-pupae meal as a fish meal replacement in diets for European seabass (Dicentrarchus labrax). Aquaculture 2017, 476, 79–85. [Google Scholar] [CrossRef]
- Lazzarotto, V.; Médale, F.; Larroquet, L.; Corraze, G. Long-term dietary replacement of fishmeal and fish oil in diets for rainbow trout (Oncorhynchus mykiss): Effects on growth, whole body fatty acids and intestinal and hepatic gene expression. PLoS ONE 2018, 13, e0190730. [Google Scholar] [CrossRef] [PubMed]
- Sarker, P.K.; Kapuscinski, A.R.; Bae, A.Y.; Donaldson, E.; Sitek, A.J.; Fitzgerald, D.S.; Edelson, O.F. Towards sustainable aquafeeds: Evaluating substitution of fishmeal with lipid-extracted microalgal co-product (Nannochloropsis oculata) in diets of juvenile Nile tilapia (Oreochromis niloticus). PLoS ONE 2018, 13, e0201315. [Google Scholar] [CrossRef] [PubMed]
- Alarcón, F.J.; Moyano, F.; Díaz, M. Effect of inhibitors present in protein sources on digestive proteases of juvenile sea bream (Sparus aurata). Aquat. Living Resour. 1999, 12, 233–238. [Google Scholar] [CrossRef]
- Kilkenny, C.; Browne, W.J.; Cuthill, I.C.; Emerson, M.; Altman, D.G. Improving bioscience research reporting: The ARRIVE guidelines for reporting animal research. PLoS Biol. 2010, 8, e1000412. [Google Scholar] [CrossRef]
- Cho, C.; Slinger, S.; Bayley, H. Bioenergetics of salmonid fishes: Energy intake, expenditure and productivity. Comp. Biochem. Physiol. Part B Comp. Biochem. 1982, 73, 25–41. [Google Scholar] [CrossRef]
- Martoja, R.; Leland, C.G.; Martoja-Pierson, M. Técnicas de Histología Animal; Toray-Masson S.A.: Barcelona, Spain, 1970; pp. 1–350. [Google Scholar]
- Pearse, A.G.E. Histochemistry. Theoretical and Applied, 4th ed.; Analytical Technology, Churchill Livingstone: New York, NY, USA, 1985; Volume 2, pp. 1–624. [Google Scholar]
- Suvarna, S.K.; Layton, C.; Bancroft, J.D. Bancroft’s Theory and Practice of Histological Techniques; Elsevier BV: London, UK, 2019. [Google Scholar]
- Atkinson, J.L.; Hilton, J.W.; Slinger, S.J. Evaluation of acid-insoluble ash as an indicator of feed digestibility in rainbow trout (Salmo gairdneri). Can. J. Fish. Aquat. Sci. 1984, 41, 1384–1386. [Google Scholar] [CrossRef]
- AOAC. Official Methods of Analysis of the Association of Official Analytical Chemists, 15th ed.; Association of Official Analytical Chemists: Washington, DC, USA, 1990. [Google Scholar]
- OJEU. Laying down the Methods of Sampling and Analysis for the Official Control of Feed, Commision Regulation (EC) No 152/2009. 2009. Available online: http://data.europa.eu/eli/reg/2009/152/oj (accessed on 5 October 2020).
- Bligh, E.G.; Dyer, W.J. A rapid method of total lipid extraction and purification. Can. J. Biochem. Physiol. 1959, 37, 911–917. [Google Scholar] [CrossRef]
- Kumar, V.; Lee, S.; Cleveland, B.M.; Romano, N.; Lalgudi, R.S.; Benito, M.R.; McGraw, B.; Hardy, R.W. Comparative evaluation of processed soybean meal (EnzoMeal™) vs. regular soybean meal as a fishmeal replacement in diets of rainbow trout (Oncorhynchus mykiss): Effects on growth performance and growth-related genes. Aquaculture 2020, 516, 734652. [Google Scholar] [CrossRef]
- Bonaldo, A.; Di Marco, P.; Petochi, T.; Marino, G.; Parma, L.; Fontanillas, R.; Koppe, W.; Mongile, F.; Finoia, M.; Gatta, P. Feeding turbot juveniles Psetta maxima L. with increasing dietary plant protein levels affects growth performance and fish welfare. Aquac. Nutr. 2014, 21, 401–413. [Google Scholar] [CrossRef]
- Król, E.; Douglas, A.; Tocher, D.R.; Crampton, V.O.; Speakman, J.R.; Secombes, C.J.; Martin, S.A.M. Differential responses of the gut transcriptome to plant protein diets in farmed Atlantic salmon. BMC Genom. 2016, 17, 1–16. [Google Scholar] [CrossRef] [PubMed]
- STECF Scientific, Technical and Economic Committee for Fisheries. The Economic Performance of the EU Aquaculture Sector (STECF14–18); EUR 27033 EN, JRC 93169; Publications Office of the European Union: Luxembourg, 2014; pp. 1–451. [Google Scholar] [CrossRef]
- Francis, G.; Makkar, H.P.; Becker, K. Antinutritional factors present in plant-derived alternate fish feed ingredients and their effects in fish. Aquaculture 2001, 199, 197–227. [Google Scholar] [CrossRef]
- López, F.A.; Díaz, I.M.; López, M.D. Inhibition of digestive proteases by vegetable meals in three fish species; seabream (Sparus aurata), tilapia (Oreochromis niloticus) and African sole (Solea senegalensis). Comp. Biochem. Physiol. Part B Biochem. Mol. Biol. 1999, 122, 327–332. [Google Scholar] [CrossRef]
- Pasqualone, A.; Costantini, M.; Coldea, T.E.; Summo, C. Use of legumes in extrusion cooking: A review. Foods 2020, 9, 958. [Google Scholar] [CrossRef] [PubMed]
- Storebakken, T.; Shearer, K.; Roem, A. Growth, uptake and retention of nitrogen and phosphorus, and absorption of other minerals in Atlantic salmon Salmo salar fed diets with fish meal and soy-protein concentrate as the main sources of protein. Aquac. Nutr. 2000, 6, 103–108. [Google Scholar] [CrossRef]
- Walk, C.L.; Kühn, I.; Stein, H.H.; Kidd, M.T.; Rodehutscord, M. Phytate Destruction-Consequences for Precision Animal Nutrition; Wageningen Academic Publishers: Wageningen, The Netherlands, 2016; pp. 1–266. [Google Scholar]
- Santigosa, E.; Pérez-Sánchez, J.; Médale, F.; Kaushik, S.; Gallardo, M.Á. Modifications of digestive enzymes in trout (Oncorhynchus mykiss) and sea bream (Sparus aurata) in response to dietary fish meal replacement by plant protein sources. Aquaculture 2008, 282, 68–74. [Google Scholar] [CrossRef]
- Morales, G.A.; Moyano, F.J.; Márquez, L. In vitro assessment of the effects of phytate and phytase on nitrogen and phosphorus bioaccessibility within fish digestive tract. Anim. Feed Sci. Technol. 2011, 170, 209–221. [Google Scholar] [CrossRef]
- Martínez, F.P.; Bermúdez, L.; Aznar, M.J.; Moyano, F.J. Evaluation of enzyme additives on the nutritional use of feeds with a high content of plant ingredients for Mugil cephalus. Fishes 2019, 4, 56. [Google Scholar] [CrossRef]
- Enneking, D.; Wink, M. Towards the elimination of anti-nutritional factors in grain legumes. Link. Res. Mark. Oppor. Pulses 21st Century 2000, 34, 671–683. [Google Scholar] [CrossRef]
- Arias-Royo, M.; Tate, M.; Enneking, D. Narbon bean (Vicia narbonensis L.): Farmer’s dream or devil’s bean? Grain Legum. 2006, 47, 18–19. [Google Scholar]
- Knudsen, D.; Urán, P.; Arnous, A.; Koppe, A.W.; Frøkiær, H. Saponin-containing subfractions of soybean molasses induce enteritis in the distal intestine of Atlantic salmon. J. Agric. Food Chem. 2007, 55, 2261–2267. [Google Scholar] [CrossRef] [PubMed]
- Gisbert, E.; Ortiz-Delgado, J.B.; Sarasquete, C. Nutritional cellular biomarkers in early life stages of fish. Histol. Histopathol. 2008, 23, 1525–1539. [Google Scholar] [PubMed]
- Silva, P.F.; McGurk, C.; Knudsen, D.L.; Adams, A.; Thompson, K.D.; Bron, J.E. Histological evaluation of soya bean-induced enteritis in Atlantic salmon (Salmo salar L.): Quantitative image analysis vs. semi-quantitative visual scoring. Aquaculture 2015, 445, 42–56. [Google Scholar] [CrossRef]
- Knudsen, D.; Jutfelt, F.; Sundh, H.; Sundell, K.; Koppe, W.; Frøkiær, H. Dietary soya saponins increase gut permeability and play a key role in the onset of soyabean-induced enteritis in Atlantic salmon (Salmo salar L.). Br. J. Nutr. 2008, 100, 120–129. [Google Scholar] [CrossRef] [PubMed]
- Penn, M.H.; Bendiksen, E.Å.; Campbell, P.; Krogdahl, Å. High level of dietary pea protein concentrate induces enteropathy in Atlantic salmon (Salmo salar L.). Aquaculture 2011, 310, 267–273. [Google Scholar] [CrossRef]
- Venold, F.F.; Penn, M.H.; Krogdahl, Å.; Overturf, K. Severity of soybean meal induced distal intestinal inflammation, enterocyte proliferation rate, and fatty acid binding protein (Fabp2) level differ between strains of rainbow trout (Oncorhynchus mykiss). Aquaculture 2012, 281–292. [Google Scholar] [CrossRef]
- McCauley, H.A.; Guasch, G. Three cheers for the goblet cell: Maintaining homeostasis in mucosal epithelia. Trends Mol. Med. 2015, 21, 492–503. [Google Scholar] [CrossRef]
- Sitjà-Bobadilla, A.; Peña-Llopis, S.; Gómez-Requeni, P.; Médale, F.; Kaushik, S.; Pérez-Sánchez, J. Effect of fish meal replacement by plant protein sources on non-specific defense mechanisms and oxidative stress in gilthead sea bream (Sparus aurata). Aquaculture 2005, 249, 387–400. [Google Scholar] [CrossRef]
- Burbano, C.; Muzquiz, M.; Osagie, A.; Ayet, G.; Cuadrado, C. Determination of phytate and lower inositol phosphates in Spanish legumes by HPLC methodology. Food Chem. 1995, 52, 321–325. [Google Scholar] [CrossRef]
- Calder, P.C. Omega-3 polyunsaturated fatty acids and inflammatory processes: Nutrition or pharmacology? Br. J. Clin. Pharmacol. 2013, 75, 645–662. [Google Scholar] [CrossRef] [PubMed]
- Ghasemifard, S.; Turchini, G.M.; Sinclair, A.J. Omega-3 long chain fatty acid “bioavailability”: A review of evidence and methodological considerations. Prog. Lipid Res. 2014, 56, 92–108. [Google Scholar] [CrossRef] [PubMed]
- Torrecillas, S.; Robaina, L.; Caballero, M.; Montero, D.; Calandra, G.; Mompel, D.; Karalazos, V.; Kaushik, S.; Izquierdo, M. Combined replacement of fishmeal and fish oil in European sea bass (Dicentrarchus labrax): Production performance, tissue composition and liver morphology. Aquaculture 2017, 474, 101–112. [Google Scholar] [CrossRef]
- Sprague, M.; Dick, J.R.; Tocher, D.R. Impact of sustainable feeds on omega-3 long-chain fatty acid levels in farmed Atlantic salmon, 2006–2015. Sci. Rep. 2016, 6, 21892. [Google Scholar] [CrossRef] [PubMed]
- Haliloğlu, H.I.; Aras, N.M. Comparison of muscle fatty acids of three trout species (Salvelinus Alpinus, Salmo Trutta Fario, Oncorhynchus Mykiss) raised under the same conditions. Turk. J. Vet. Anim. Sci. 2002, 26, 1097–1102. [Google Scholar]
- Horrocksab, L.A.; Yeo, Y.K. Health benefits of docosahexaenoic acid (DHA). Pharmacol. Res. 1999, 40, 211–225. [Google Scholar] [CrossRef] [PubMed]
- Grigorakis, K.; Alexis, M.N.; Taylor, K.D.A.; Hole, M. Comparison of wild and cultured gilthead sea bream (Sparus aurata); composition, appearance and seasonal variations. Int. J. Food Sci. Technol. 2002, 37, 477–484. [Google Scholar] [CrossRef]
- Mustafa, O.Z.; Dikel, S. Comparison of body compositions and fatty acid profiles of farmed and wild rainbow trout (Oncorhynchus mykiss). Food Sci. Technol. 2015, 3, 56–60. [Google Scholar] [CrossRef][Green Version]
- Oztekin, A.; Yigit, M.; Kizilkaya, B.; Ucyol, N.; Yilmaz, S.; Tan, E.; Bulut, M.; Ergün, S.; Ayaz, A. Fatty acid profiles in wild axillary seabream (Pagellus acarne) versus cage-aggregated and cage-farmed fish with reference to nutritional contribution for human consumers. Aquac. Stud. 2018, 18, 29–38. [Google Scholar] [CrossRef]
- Huntingford, F.A.; Kadri, S. Welfare and Fish; Blackwell Publishing Ltd.: Hoboken, NJ, USA, 2008; pp. 19–31. [Google Scholar]
- Kaushik, S.J.; Covès, D.; Dutto, G.; Blanc, D. Almost total replacement of fish meal by plant protein sources in the diet of a marine teleost, the European seabass, Dicentrarchus labrax. Aquaculture 2004, 230, 391–404. [Google Scholar] [CrossRef]
- Song, Z.; Li, H.; Wang, J.; Li, P.; Sun, Y.; Zhang, L.M. Effects of fishmeal replacement with soy protein hydrolysates on growth performance, blood biochemistry, gastrointestinal digestion and muscle composition of juvenile starry flounder (Platichthys stellatus). Aquaculture 2014, 96–104. [Google Scholar] [CrossRef]
- Ostlund, R.E. Phytosterols and cholesterol metabolism. Curr. Opin. Lipidol. 2004, 15, 37–41. [Google Scholar] [CrossRef] [PubMed]


| Proximate Composition (% on Dry Matter) | |
| Moisture | 10.9 |
| Crude protein | 30.1 |
| Crude fat | 1.18 |
| Crude ash | 3.26 |
| Total carbohydrates | 65.3 |
| Amino Acid (g/100 g Ingredient) Content | |
| Asp | 2.65 |
| Thr | 0.79 |
| Ser | 1.30 |
| Glu | 4.43 |
| Gly | 1.03 |
| Ala | 1.10 |
| Cys | 0.07 |
| Val | 0.79 |
| Met | 0.16 |
| Ile | 0.53 |
| Leu | 1.31 |
| Tyr | 0.20 |
| Phe | 0.85 |
| His | 1.09 |
| Lys | 1.63 |
| Arg | 1.39 |
| Pro | 0.95 |
| Antinutritional Factors (g/100 g on Dry Matter) Content | |
| GEC * | 2.89 |
| Ingredients (g/100 g, on Wet Basis) | Diets | ||
| Control | A10 | A30 | |
| Fishmeal LT * | 35.9 | 35.9 | 35.9 |
| Narbonne vetch (Vicia narbonensis) | 0.0 | 10.0 | 30.0 |
| Wheat gluten | 12.0 | 11.7 | 12.7 |
| Wheat meal | 16.1 | 10.7 | 0.65 |
| Soybean protein concentrate | 15.5 | 11.2 | 0.0 |
| Fish oil | 13.0 | 13.0 | 13.0 |
| Soybean lecithin | 1.0 | 1.0 | 1.0 |
| Attractant ** | 2.0 | 2.0 | 2.0 |
| Vit & Min Premix | 2.0 | 2.0 | 2.0 |
| Binder (guar gum) | 2.0 | 2.0 | 2.0 |
| Methionine | 0.5 | 0.5 | 0.75 |
| Total | 100 | 100 | 100 |
| Proximate Composition (% on Dry Matter) | |||
| Moisture | 6.5 | 6.7 | 6.7 |
| Crude protein | 43.6 | 44.1 | 43.2 |
| Crude fat | 18.5 | 17.5 | 17.8 |
| Crude fiber | 1.25 | 1.38 | 1.56 |
| Ash | 7.6 | 7.1 | 6.7 |
| Antinutritional Factor (g/100 g on Dry Matter) Content | |||
| GEC *** | 0.0 | 0.26 | 0.64 |
| Total Protease Activity Inhibition by Narbonne Vetch Meal | |||
| µg Narbonne Vetch Meal/UA * | Inhibition (%) | ||
| 50 | 26.81 ± 8.92 b | ||
| 100 | 32.17 ± 0.70 b | ||
| 200 | 42.01 ± 4.53 a | ||
| 300 | 46.35 ± 3.04 a | ||
| 400 | 48.74 ± 2.14 a | ||
| Total Protease Activity Inhibition by Experimental Feeds | |||
| µg Feed/UA | Control | A10 | A30 |
| 165 | 1.65 ± 0.66 b | 6.24 ± 3.54 b | 12.01 ± 3.32 a |
| 330 | 3.30 ± 1.31 b | 14.30 ± 4.47 a | 17.69 ± 6.69 a |
| 495 | 4.96 ± 1.98 b | 18.52 ± 4.61 a | 26.99 ± 5.51 a |
| 660 | 6.61 ± 2.46 c | 20.52 ± 1.26 b | 37.60 ± 2.26 a |
| 990 | 9.91 ± 3.97 c | 27.47 ± 1.79 b | 45.86 ± 1.29 a |
| Days | Parameter | Control | A10 | A30 |
| 0 | IBW (g) | 26.81 ± 0.49 | 26.03 ± 1.29 | 27.46 ± 0.24 |
| ITL (cm) | 13.59 ± 0.26 | 13.15 ± 0.24 | 13.61 ± 0.36 | |
| 63 | FBW (g) | 137.24 ± 4.16 a | 125.04 ± 10.27 a | 96.33 ± 1.03 b |
| FTL (cm) | 21.85 ± 0.23 a | 21.14 ± 0.68 a | 19.23 ± 0.18 b | |
| CF | 1.32 ± 0.04 | 1.32 ± 0.02 | 1.35 ± 0.02 | |
| WG (%) | 411.90 ± 10.56 a | 380.16 ± 24.51 a | 250.83 ± 2.46 b | |
| SGR (%/day) | 2.59 ± 0.03 a | 2.49 ± 0.08 a | 1.96 ± 0.01 b | |
| FCR | 0.78 ± 0.01 c | 0.83 ± 0.02 b | 1.07 ± 0.00 a | |
| HSI (%) | 1.06 ± 0.09 b | 1.04 ± 0.09 b | 1.27 ± 0.09 a | |
| VSI (%) | 11.11 ± 0.91 | 10.34 ± 0.27 | 10.36 ± 1.42 | |
| Protein Apparent Digestibility (%) | ||||
| ADC Protein | 93.72 ± 0.39 a | 85.11 ± 3.83 a | 72.21 ± 6.15 b | |
| Proximate Analysis of Muscle (%; on Wet Weight Basis) | ||||
| Humidity | 74.78 ± 0.67 | 74.99 ± 0.17 | 75.77 ± 0.63 | |
| Protein | 17.98 ± 0.10 | 18.17 ± 0.34 | 18.12 ± 0.16 | |
| Fat | 4.70 ± 0.70 | 4.15 ± 0.81 | 3.39 ± 0.43 | |
| Fatty Acid | Control | A10 | A30 |
|---|---|---|---|
| C12:0 | 0.05 ± 0.01 | 0.05 ± 0.01 | 0.05 ± 0.01 |
| C13:0 | 0.08 ± 0.04 | 0.08 ± 0.02 | 0.09 ± 0.09 |
| C14:0 | 4.89 ± 0.11 a | 4.36 ± 0.16 b | 4.40 ± 0.07 b |
| C14:1 | 0.08 ± 0.07 | 0.08 ± 0.06 | 0.12 ± 0.07 |
| C15:0 | 0.56 ± 0.02 a | 0.49 ± 0.02 b | 0.46 ± 0.01 b |
| C15:1 | 0.07 ± 0.01 | 0.07 ± 0.01 | 0.08 ± 0.01 |
| C16:0 | 19.76 ± 0.27 a | 17.69 ± 0.95 b | 18.09 ± 0.29 b |
| C16:1 | 6.20 ± 0.13 | 6.02 ± 0.28 | 6.15 ± 0.12 |
| C17:0 | 0.49 ± 0.02 a | 0.43 ± 0.02 b | 0.39 ± 0.03 b |
| C17:1 | 0.39 ± 0.01 a | 0.37 ± 0.03 a,b | 0.34 ± 0.01 b |
| C18:0 | 4.06 ± 0.06 a | 3.55 ± 0.32 b | 3.63 ± 0.13 a,b |
| C18:1(n9) | 15.49 ± 0.34 b | 18.38 ± 0.27 a | 18.52 ± 0.25 a |
| C18:2(n6) | 8.79 ± 0.17 | 9.56 ± 1.22 | 9.52 ± 0.41 |
| C18:3(n3) | 1.50 ± 0.03 | 1.61 ± 0.21 | 1.73 ± 0.19 |
| C18:3(n6) | 0.09 ± 0.01 b | 0.11 ± 0.01 a | 0.10 ± 0.01 a,b |
| C20:0 | 0.22 ± 0.01 | 0.18 ± 0.01 | 0.18 ± 0.02 |
| C20:1(n9) | 4.36 ± 0.05 a | 3.95 ± 0.28 a,b | 3.82 ± 0.14 b |
| C20:2 | 0.62 ± 0.03 | 0.61 ± 0.03 | 0.60 ± 0.04 |
| C20:3n3 | 0.97 ± 0.01 a,b | 1.01 ± 0.02a | 0.94 ± 0.03 b |
| C20:3n6 | 0.22 ± 0.02 | 0.24 ± 0.02 | 0.23 ± 0.01 |
| C20:4n6 (ARA) | 0.2 ± 0.01 | 0.19 ± 0.01 | 0.19 ± 0.01 |
| C20:5n3 (EPA) | 7.19 ± 0.23 | 7.61 ± 0.31 | 7.36 ± 0.27 |
| C22:0 | 0.15 ± 0.01 | 0.13 ± 0.01 | 0.12 ± 0.03 |
| C22:1 (n9) | 4.54 ± 0.13 a | 3.72 ± 0.45 b | 3.58 ± 0.16 b |
| C22:6(n3) (DHA) | 0.50 ± 0.02 a | 0.42 ± 0.05 a,b | 0.41 ± 0.03 b |
| C24:0 | 18.36 ± 0.62 | 18.54 ± 0.45 | 18.28 ± 0.73 |
| C24:1 | 0.11 ± 0.19 | 0.55 ± 0.58 | 0.59 ± 0.51 |
| ∑ Saturated | 48.64 ± 0.24 a | 45.50 ± 1.11 b | 45.71 ± 0.74 b |
| ∑ Monounsaturated | 31.27 ± 0.50 b | 33.13 ± 0.88 a | 33.20 ± 0.18 a |
| ∑ Polyunsaturated | 20.08 ± 0.34 | 21.37 ± 1.79 | 21.09 ± 0.77 |
| n-3/n-6 | 1.02 | 0.99 | 0.98 |
Publisher’s Note: MDPI stays neutral with regard to jurisdictional claims in published maps and institutional affiliations. |
© 2020 by the authors. Licensee MDPI, Basel, Switzerland. This article is an open access article distributed under the terms and conditions of the Creative Commons Attribution (CC BY) license (http://creativecommons.org/licenses/by/4.0/).
Share and Cite
Tomás-Almenar, C.; Toledo-Solís, F.J.; Larrán, A.M.; de Mercado, E.; Alarcón, F.J.; Rico, D.; Martín-Diana, A.B.; Fernández, I. Effects and Safe Inclusion of Narbonne Vetch (Vicia narbonensis) in Rainbow Trout (Oncorhynchus mykiss) Diets: Towards a More Sustainable Aquaculture. Animals 2020, 10, 2175. https://doi.org/10.3390/ani10112175
Tomás-Almenar C, Toledo-Solís FJ, Larrán AM, de Mercado E, Alarcón FJ, Rico D, Martín-Diana AB, Fernández I. Effects and Safe Inclusion of Narbonne Vetch (Vicia narbonensis) in Rainbow Trout (Oncorhynchus mykiss) Diets: Towards a More Sustainable Aquaculture. Animals. 2020; 10(11):2175. https://doi.org/10.3390/ani10112175
Chicago/Turabian StyleTomás-Almenar, Cristina, Francisco Javier Toledo-Solís, Ana M. Larrán, Eduardo de Mercado, Francisco Javier Alarcón, Daniel Rico, Ana Belén Martín-Diana, and Ignacio Fernández. 2020. "Effects and Safe Inclusion of Narbonne Vetch (Vicia narbonensis) in Rainbow Trout (Oncorhynchus mykiss) Diets: Towards a More Sustainable Aquaculture" Animals 10, no. 11: 2175. https://doi.org/10.3390/ani10112175
APA StyleTomás-Almenar, C., Toledo-Solís, F. J., Larrán, A. M., de Mercado, E., Alarcón, F. J., Rico, D., Martín-Diana, A. B., & Fernández, I. (2020). Effects and Safe Inclusion of Narbonne Vetch (Vicia narbonensis) in Rainbow Trout (Oncorhynchus mykiss) Diets: Towards a More Sustainable Aquaculture. Animals, 10(11), 2175. https://doi.org/10.3390/ani10112175

