Intravenous Administration of Heat Shock-Treated MSCs Can Improve Neuroprotection and Neuroregeneration in Canine Spinal Cord Injury Model
Abstract
Simple Summary
Abstract
1. Introduction
2. Materials and Methods
2.1. Animal Selection
2.2. Isolation and Culture of MSCs
2.3. Green Fluorescent Protein (GFP) Labeling of the MSCs
2.4. Heat Shock Treatment
2.5. Real-Time Quantitative PCR (RT-qPCR)
2.6. Spinal Cord Injury Induction
2.7. Intravenous Administration of MSCs
2.8. Sample Preparation
2.9. Western Blot Analysis
2.10. Immunofluorescence Assessment
2.11. Histopathological Assessment
2.12. Behavioral Assessment
2.13. Statistical Analysis
3. Results
3.1. GFP Expression and Heat Shock Treatment Characteristics of MSCs
3.2. Histopathological Assessment
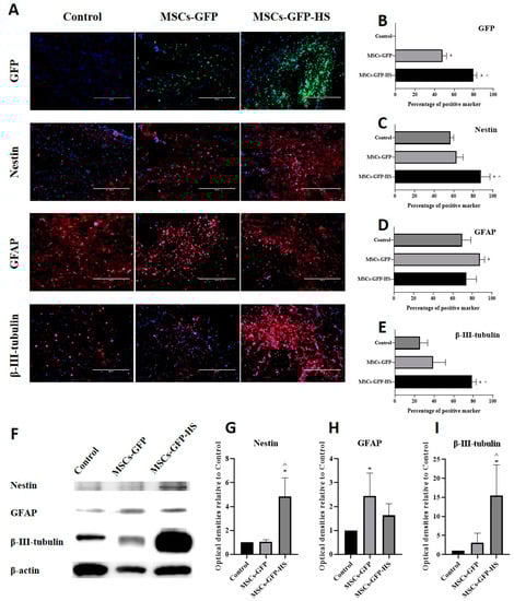
3.3. Immunohistochemical Assessments and Western Blot Analysis
3.4. Behavioral Observations
4. Discussion
5. Conclusions
Supplementary Materials
Author Contributions
Funding
Conflicts of Interest
References
- Mothe, A.J.; Tator, C.H. Review of transplantation of neural stem/progenitor cells for spinal cord injury. Int. J. Dev. Neurosci. 2013, 31, 701–713. [Google Scholar] [CrossRef] [PubMed]
- Zhu, Y.; Uezono, N.; Yasui, T.; Nakashima, K. Neural stem cell therapy aiming at better functional recovery after spinal cord injury. Dev. Dyn. 2018, 247, 75–84. [Google Scholar] [CrossRef]
- Sharma, K.; Selzer, M.E.; Li, S. Scar-mediated inhibition and CSPG receptors in the CNS. Exp. Neurol. 2012, 237, 370–378. [Google Scholar] [CrossRef] [PubMed]
- Schultz, S.S. Adult stem cell application in spinal cord injury. Curr. Drug Targets 2005, 6, 63–73. [Google Scholar] [CrossRef] [PubMed]
- Courtine, G.; Song, B.; Roy, R.R.; Zhong, H.; Herrmann, J.E.; Ao, Y.; Qi, J.; Edgerton, V.R.; Sofroniew, M.V. Recovery of supraspinal control of stepping via indirect propriospinal relay connections after spinal cord injury. Nat. Med. 2008, 14, 69–74. [Google Scholar] [CrossRef] [PubMed]
- Flynn, J.R.; Graham, B.A.; Galea, M.P.; Callister, R.J. The role of propriospinal interneurons in recovery from spinal cord injury. Neuropharmacology 2011, 60, 809–822. [Google Scholar] [CrossRef]
- Enomoto, M.; Wakabayashi, Y.; Qi, M.-L.; Shinomiya, K. Present situation and future aspects of spinal cord regeneration. J. Orthop. Sci. 2004, 9, 108–112. [Google Scholar] [CrossRef]
- Park, S.S.; Lee, Y.J.; Lee, S.H.; Lee, D.; Choi, K.; Kim, W.H.; Kweon, O.K.; Han, H.J. Functional recovery after spinal cord injury in dogs treated with a combination of Matrigel and neural-induced adipose-derived mesenchymal Stem cells. Cytotherapy 2012, 14, 584–597. [Google Scholar] [CrossRef] [PubMed]
- Haider, H.K.; Ashraf, M. Bone marrow cell transplantation in clinical perspective. J. Mol. Cell. Cardiol. 2005, 38, 225–235. [Google Scholar] [CrossRef]
- Pasha, Z.; Wang, Y.; Sheikh, R.; Zhang, D.; Zhao, T.; Ashraf, M. Preconditioning enhances cell survival and differentiation of stem cells during transplantation in infarcted myocardium. Cardiovasc. Res. 2008, 77, 134–142. [Google Scholar] [CrossRef] [PubMed]
- Haider, H.K.; Ashraf, M. Strategies to promote donor cell survival: Combining preconditioning approach with stem cell transplantation. J. Mol. Cell. Cardiol. 2008, 45, 554–566. [Google Scholar] [CrossRef] [PubMed]
- Morimoto, R.I.; Tissières, A. The biology of heat shock proteins and molecular chaperones. Cold Spring Harb. Lab. Pressnew York 1994, vii, 609. [Google Scholar]
- Morimoto, R.I. Regulation of the heat shock transcriptional response: Cross talk between a family of heat shock factors, molecular chaperones, and negative regulators. Genes Dev. 1998, 12, 3788–3796. [Google Scholar] [CrossRef] [PubMed]
- Shahid, M.A.; Kim, W.H.; Kweon, O.-K. Cryopreservation of heat-shocked canine adipose-derived mesenchymal stromal cells with 10% dimethyl sulfoxide and 40% serum results in better viability, proliferation, anti-oxidation, and in-vitro differentiation. Cryobiology 2020, 92, 92–102. [Google Scholar] [CrossRef]
- Morimoto, R.I. Stress, Aging, and Neurodegenerative Disease. Mol Biol Cell 2004, 15, 657–664. [Google Scholar] [CrossRef]
- Forman, M.S.; Trojanowski, J.Q.; Lee, V.M. Neurodegenerative diseases: A decade of discoveries paves the way for therapeutic breakthroughs. Nat. Med. 2004, 10, 1055–1063. [Google Scholar] [CrossRef]
- Battersby, A.; Jones, R.D.; Lilley, K.S.; McFarlane, R.J.; Braig, H.R.; Allen, N.D.; Wakeman, J.A. Comparative proteomic analysis reveals differential expression of Hsp25 following the directed differentiation of mouse embryonic stem cells. Biochim. Et Biophys. Acta (Bba)-Mol. Cell Res. 2007, 1773, 147–156. [Google Scholar] [CrossRef][Green Version]
- Yang, J.; Oza, J.; Bridges, K.; Chen, K.Y.; Liu, A.Y.-C. Neural differentiation and the attenuated heat shock response. Brain Res. 2008, 1203, 39–50. [Google Scholar] [CrossRef]
- Imdad Ullah, K.; Yongseok, Y.; Wan Hee, K. Gelatin positively regulates the immunosuppressive capabilities of adipose-derived mesenchymal stem cells. Turk. J. Biol. 2017, 41, 969. [Google Scholar]
- Kuk, M.; Kim, Y.; Lee, S.H.; Kim, W.H.; Kweon, O.-K. Osteogenic ability of canine adipose-derived mesenchymal stromal cell sheets in relation to culture time. Cell Transplant. 2016, 25, 1415–1422. [Google Scholar] [CrossRef]
- Shaik, S.; Hayes, D.; Gimble, J.; Devireddy, R. Inducing heat shock proteins enhances the stemness of frozen–thawed adipose tissue-derived stem cells. Stem Cells Dev. 2017, 26, 608–616. [Google Scholar] [CrossRef] [PubMed]
- Livak, K.J.; Schmittgen, T.D. Analysis of relative gene expression data using real-time quantitative PCR and the 2−ΔΔCT method. Methods 2001, 25, 402–408. [Google Scholar] [CrossRef] [PubMed]
- Lim, J.H.; Jung, C.S.; Byeon, Y.E.; Kim, W.H.; Yoon, J.H.; Kang, K.S.; Kweon, O.K. Establishment of a canine spinal cord injury model induced by epidural balloon compression. J. Vet. Sci. 2007, 8, 89–94. [Google Scholar] [CrossRef] [PubMed]
- Song, R.B.; Basso, D.M.; da Costa, R.C.; Fisher, L.C.; Mo, X.; Moore, S.A. Adaptation of the Basso–Beattie–Bresnahan locomotor rating scale for use in a clinical model of spinal cord injury in dogs. J. Neurosci. Methods 2016, 268, 117–124. [Google Scholar] [CrossRef] [PubMed]
- Rabinowitz, R.S.; Eck, J.C.; Harper Jr, C.M.; Larson, D.R.; Jimenez, M.A.; Parisi, J.E.; Friedman, J.A.; Yaszemski, M.J.; Currier, B.L. Urgent surgical decompression compared to methylprednisolone for the treatment of acute spinal cord injury: A randomized prospective study in beagle dogs. Spine 2008, 33, 2260–2268. [Google Scholar] [CrossRef]
- Kim, Y.; Jo, S.-H.; Kim, W.H.; Kweon, O.-K. Antioxidant and anti-inflammatory effects of intravenously injected adipose derived mesenchymal stem cells in dogs with acute spinal cord injury. Stem Cell Res. Ther. 2015, 6, 229. [Google Scholar] [CrossRef]
- Pincus, D.W.; Keyoung, H.M.; Harrison-Restelli, C.; Goodman, R.R.; Fraser, R.A.; Edgar, M.; Sakakibara, S.I.; Okano, H.; Nedergaard, M.; Goldman, S.A. Fibroblast growth factor-2/brain-derived neurotrophic factor—Associated maturation of new neurons generated from adult human subependymal cells. Ann. Neurol. 1998, 43, 576–585. [Google Scholar] [CrossRef]
- Vescovi, A.L.; Snyder, E.Y. Establishment and properties of neural stem cell clones: Plasticity in vitro and in vivo. Brain Pathol. 1999, 9, 569–598. [Google Scholar] [CrossRef]
- Zompa, E.A.; Cain, L.D.; Everhart, A.W.; Moyer, M.P.; Hulsebosch, C.E. Transplant therapy: Recovery of function after spinal cord injury. J. Neurotrauma 1997, 14, 479–506. [Google Scholar] [CrossRef]
- Park, K.I.; Liu, S.; Flax, J.D.; Nissim, S.; Stieg, P.E.; Snyder, E.Y. Transplantation of neural progenitor and stem cells: Developmental insights may suggest new therapies for spinal cord and other CNS dysfunction. J. Neurotrauma 1999, 16, 675–687. [Google Scholar] [CrossRef]
- Fricker-Gates, R.A.; Winkler, C.; Kirik, D.; Rosenblad, C.; Carpenter, M.K.; Björklund, A. EGF infusion stimulates the proliferation and migration of embryonic progenitor cells transplanted in the adult rat striatum. Exp. Neurol. 2000, 165, 237–247. [Google Scholar] [CrossRef] [PubMed]
- Studer, L.; Tabar, V.; McKay, R. Transplantation of expanded mesencephalic precursors leads to recovery in parkinsonian rats. Nat. Neurosci. 1998, 1, 290–295. [Google Scholar] [CrossRef] [PubMed]
- McGinley, L.; McMahon, J.; Strappe, P.; Barry, F.; Murphy, M.; O’Toole, D.; O’Brien, T. Lentiviral vector mediated modification of mesenchymal stem cells & enhanced survival in an in vitro model of ischaemia. Stem Cell Res. Ther. 2011, 2, 1–18. [Google Scholar]
- Clément, F.; Grockowiak, E.; Zylbersztejn, F.; Fossard, G.; Gobert, S.; Maguer-Satta, V. Stem cell manipulation, gene therapy and the risk of cancer stem cell emergence. Stem Cell Investig. 2017, 4, 67. [Google Scholar] [CrossRef] [PubMed]
- Benjamin, I.J.; McMillan, D.R. Stress (heat shock) proteins: Molecular chaperones in cardiovascular biology and disease. Circ. Res. 1998, 83, 117–132. [Google Scholar] [CrossRef]
- Fan, G.-C. Role of heat shock proteins in stem cell behavior. Prog. Mol. Biol. Transl. Sci. 2012, 111, 305–322. [Google Scholar] [PubMed]
- Jäättelä, M. Heat shock proteins as cellular lifeguards. Ann. Med. 1999, 31, 261–271. [Google Scholar] [CrossRef]
- Latchman, D.S. Heat shock proteins and cardiac protection. Cardiovasc. Res. 2001, 51, 637–646. [Google Scholar] [CrossRef]
- Dasari, V.R.; Veeravalli, K.K.; Dinh, D.H. Mesenchymal stem cells in the treatment of spinal cord injuries: A review. World J. Stem Cells 2014, 6, 120. [Google Scholar] [CrossRef]
- Pekny, M.; Nilsson, M. Astrocyte activation and reactive gliosis. Glia 2005, 50, 427–434. [Google Scholar] [CrossRef]
- Badner, A.; Vawda, R.; Laliberte, A.; Hong, J.; Mikhail, M.; Jose, A.; Dragas, R.; Fehlings, M. Early intravenous delivery of human brain stromal cells modulates systemic inflammation and leads to vasoprotection in traumatic spinal cord injury. Stem Cells Transl. Med. 2016, 5, 991–1003. [Google Scholar] [CrossRef] [PubMed]
- Takahashi, Y.; Tsuji, O.; Kumagai, G.; Hara, C.M.; Okano, H.J.; Miyawaki, A.; Toyama, Y.; Okano, H.; Nakamura, M. Comparative study of methods for administering neural stem/progenitor cells to treat spinal cord injury in mice. Cell Transplant. 2011, 20, 727–739. [Google Scholar] [CrossRef] [PubMed]
- Satake, K.; Lou, J.; Lenke, L.G. Migration of mesenchymal stem cells through cerebrospinal fluid into injured spinal cord tissue. Spine 2004, 29, 1971–1979. [Google Scholar] [CrossRef] [PubMed]
- Lukovic, D.; Stojkovic, M.; Moreno-Manzano, V.; Jendelova, P.; Sykova, E.; Bhattacharya, S.S.; Erceg, S. Concise review: Reactive astrocytes and stem cells in spinal cord injury: Good guys or bad guys? Stem Cells 2015, 33, 1036–1041. [Google Scholar] [CrossRef] [PubMed]
- Cho, S.-R.; Suh, H.; Yu, J.H.; Kim, H.H.; Seo, J.H.; Seo, C.H. Astroglial activation by an enriched environment after transplantation of mesenchymal stem cells enhances angiogenesis after hypoxic-ischemic brain injury. Int. J. Mol. Sci. 2016, 17, 1550. [Google Scholar] [CrossRef] [PubMed]
- Erceg, S.; Ronaghi, M.; Oria, M.; Roselló, M.G.; Aragó, M.A.P.; Lopez, M.G.; Radojevic, I.; Moreno-Manzano, V.; Rodríguez-Jiménez, F.J.; Bhattacharya, S.S. Transplanted oligodendrocytes and motoneuron progenitors generated from human embryonic stem cells promote locomotor recovery after spinal cord transection. Stem Cells 2010, 28, 1541–1549. [Google Scholar] [CrossRef]
- Ek, C.J.; Habgood, M.D.; Callaway, J.K.; Dennis, R.; Dziegielewska, K.M.; Johansson, P.A.; Potter, A.; Wheaton, B.; Saunders, N.R. Spatio-temporal progression of grey and white matter damage following contusion injury in rat spinal cord. PLoS ONE 2010, 5, e12021. [Google Scholar] [CrossRef]
- Aquino, D.A.; Capello, E.; Weisstein, J.; Sanders, V.; Lopez, C.; Tourtellotte, W.W.; Brosnan, C.F.; Raine, C.S.; Norton, W.T. Multiple sclerosis: Altered expression of 70-and 27-kDa heat shock proteins in lesions and myelin. J. Neuropathol. Exp. Neurol. 1997, 56, 664–672. [Google Scholar] [CrossRef]
- Lukovic, D.; Valdés-Sanchez, L.; Sanchez-Vera, I.; Moreno-Manzano, V.; Stojkovic, M.; Bhattacharya, S.S.; Erceg, S. Brief report: Astrogliosis promotes functional recovery of completely transected spinal cord following transplantation of hESC-derived oligodendrocyte and motoneuron progenitors. Stem Cells 2014, 32, 594–599. [Google Scholar] [CrossRef]
- Romanyuk, N.; Amemori, T.; Turnovcova, K.; Prochazka, P.; Onteniente, B.; Sykova, E.; Jendelova, P. Beneficial effect of human induced pluripotent stem cell-derived neural precursors in spinal cord injury repair. Cell Transplant. 2015, 24, 1781–1797. [Google Scholar] [CrossRef]
- Tsuji, O.; Miura, K.; Okada, Y.; Fujiyoshi, K.; Mukaino, M.; Nagoshi, N.; Kitamura, K.; Kumagai, G.; Nishino, M.; Tomisato, S. Therapeutic potential of appropriately evaluated safe-induced pluripotent stem cells for spinal cord injury. Proc. Natl. Acad. Sci. USA 2010, 107, 12704–12709. [Google Scholar] [CrossRef] [PubMed]
- Ryu, H.H.; Byeon, Y.E.; Park, S.S.; Kang, B.J.; Seo, M.S.; Park, S.B.; Kim, W.H.; Kang, K.S.; Kweon, O.K. Immunohistomorphometric analysis of transplanted umbilical cord blood-derived mesenchymal stem cells and the resulting anti-inflammatory effects on nerve regeneration of injured canine spinal cord. J. Tissue Eng. Regen. Med. 2011, 8, 173–182. [Google Scholar]
- Jin, Y.; Fischer, I.; Tessler, A.; Houle, J.D. Transplants of fibroblasts genetically modified to express BDNF promote axonal regeneration from supraspinal neurons following chronic spinal cord injury. Exp. Neurol. 2002, 177, 265–275. [Google Scholar] [CrossRef] [PubMed]




| Target Gene (bp) (Accession Number) | Primer Sequence (5′-3′) | |
|---|---|---|
| Forward (Tm) | Reverse (Tm) | |
| GAPDH (105) (XM_025471882.2) | CATTGCCCTCAATGACCACT (58.16) | TCCTTGGAGGCCATGTAGAC (58.80) |
| OCT-4 (144) (XM_025418033.2) | AGCAGAAGAGGATCACCCTA (57.14) | GCCGCAGCTTACACATATTC (57.33) |
| SOX-2 (152) (XM_025451585.2) | AACCCCAAGATGCACAACTC (58.38) | CGGGGCCGGTATTTATAATC (55.84) |
| HSP-70 (125) (XM_025418242.2) | ACATCAGCCAGAACAAGCGA (59.96) | GAAGTCGATGCCCTCGAACA (60.11) |
| HSP-27 (199) (XM_025425872.2) | TAACTGGCAAGCACGAAGAG (58.20) | TCGAAGGTGACGGGAATAGT (58.16) |
| HO-1 (220) (XM_025461329.2) | CCAGTGCCACGAAGTTCAA (58.30) | TCTTGTGCTCTGCTGCCAAC (61.17) |
| IL-10 (120) (XM_025429742.2) | CCACGACCCAGACATCAAGAA (60.00) | TCCACCGCCTTGCTCTTATTC (60.41) |
| BDNF (244) (XM_025459817.2) | GCTGGCGGTTCATAAGGATA (57.46) | GTTTCCCTTCTGGTCATGGA (57.12) |
| CXCR-4 (127) (XM_025430622.2) | GAGCGGTTACCATGGAAGAG (58.06) | CGGTTGAAGTGAGCATTTTCC (58.07) |
| CCL7 (138) (XM_025466418.2) | CTCCGAACTGTGCCCTTCAG (60.67) | CCTGCGCCTCTCACATCT (59.10) |
| Score | Description |
|---|---|
| 0 | No observable hind limb (HL) movement |
| 1 | Slight movement of one or two joints |
| 2 | Extensive movement of one joint, or extensive movement of one joint and slight movement of one other joint |
| 3 | Extensive movement of two joints |
| 4 | Slight movement of all three joints of the HL |
| 5 | Slight movement of two joints and extensive movement of the third |
| 6 | Extensive movement of two joints and slight movement of the third |
| 7 | Extensive movement of all three joints in the HL |
| 8 | Plantar placement of the paw with no weight support |
| 9 | Plantar placement of the paw with weight support only when stationary, or occasional, frequent or consistent weight-supported dorsal stepping and no plantar stepping |
| 10 | Occasional weight-supported plantar steps; no FL–HL coordination |
| 11 | Frequent to consistent weight-supported plantar steps and no FL–HL coordination |
| 12 | Frequent to consistent weight-supported plantar steps and occasional FL–HL coordination |
| 13 | Frequent to consistent weight-supported plantar steps and frequent FL–HL coordination |
| 14 | Consistent weight-supported plantar steps, consistent FL–HL coordination, and predominant paw position is externally rotated when it makes initial contact as well as just before it is lifted off; or frequent plantar stepping, consistent FL–HL coordination, and occasional dorsal stepping |
| 15 | Consistent plantar stepping and consistent FL–HL coordination and no toe clearance or occasional toe clearance; predominant paw position is parallel to the body or internally rotated at initial contact |
| 16 | Consistent plantar stepping and consistent FL–HL coordination and toe clearance occurs frequently; predominant paw position is parallel or internally rotated at initial contact and externally rotated at liftoff |
| 17 | Consistent plantar stepping and consistent FL–HL coordination and toe clearance occurs frequently; predominant paw position is parallel or internal at initial contact and at liftoff |
| 18 | Consistent plantar stepping and consistent FL–HL coordination and toe clearance occurs consistently; predominant paw position is parallel or internal at initial contact and at liftoff. Trunk instability is present |
| 19 | Consistent plantar stepping and consistent FL–HL coordination and toe clearance occurs consistently during forward limb advancement; predominant paw position is parallel or internal at initial contact and at liftoff. Trunk instability is not observed |
| Item | Revised Scale | Modified Tarlov |
|---|---|---|
| Flaccid hind limbs | 1 | 1 |
| Tone in hind limbs | 2 | |
| Purposeful hind limb motion | 3 | 2 |
| Stands with assistance | 4 | |
| Stands unassisted | 5 | 3 |
| Limited ambulation | 6 | |
| Full ambulation | 7 | 4 |
| Climbs a 20° incline ramp halfway | 8 | |
| Climbs 20° incline ramp | 9 | 5 |
Publisher’s Note: MDPI stays neutral with regard to jurisdictional claims in published maps and institutional affiliations. |
© 2020 by the authors. Licensee MDPI, Basel, Switzerland. This article is an open access article distributed under the terms and conditions of the Creative Commons Attribution (CC BY) license (http://creativecommons.org/licenses/by/4.0/).
Share and Cite
Kim, W.K.; Kim, W.H.; Kweon, O.-K.; Kang, B.-J. Intravenous Administration of Heat Shock-Treated MSCs Can Improve Neuroprotection and Neuroregeneration in Canine Spinal Cord Injury Model. Animals 2020, 10, 2164. https://doi.org/10.3390/ani10112164
Kim WK, Kim WH, Kweon O-K, Kang B-J. Intravenous Administration of Heat Shock-Treated MSCs Can Improve Neuroprotection and Neuroregeneration in Canine Spinal Cord Injury Model. Animals. 2020; 10(11):2164. https://doi.org/10.3390/ani10112164
Chicago/Turabian StyleKim, Woo Keyoung, Wan Hee Kim, Oh-Kyeong Kweon, and Byung-Jae Kang. 2020. "Intravenous Administration of Heat Shock-Treated MSCs Can Improve Neuroprotection and Neuroregeneration in Canine Spinal Cord Injury Model" Animals 10, no. 11: 2164. https://doi.org/10.3390/ani10112164
APA StyleKim, W. K., Kim, W. H., Kweon, O.-K., & Kang, B.-J. (2020). Intravenous Administration of Heat Shock-Treated MSCs Can Improve Neuroprotection and Neuroregeneration in Canine Spinal Cord Injury Model. Animals, 10(11), 2164. https://doi.org/10.3390/ani10112164

