Next Article in Journal
The Microbiome-Gut-Brain Axis and Resilience to Developing Anxiety or Depression under Stress
Previous Article in Journal
Metagenomic Analysis of the Respiratory Microbiome of a Broiler Flock from Hatching to Processing
 
 
Font Type:
Arial Georgia Verdana
Font Size:
Aa Aa Aa
Line Spacing:
Column Width:
Background:
Article

A Large Spatial Survey of Colistin-Resistant Gene mcr-1-Carrying E. coli in Rivers across Taiwan

1
Institute of Molecular Medicine, College of Medicine, National Cheng Kung University, Tainan 704, Taiwan
2
Institute of Basic Medical Sciences, College of Medicine, National Cheng Kung University, Tainan 704, Taiwan
3
Center of Infectious Disease and Signaling Research, National Cheng Kung University, Tainan 704, Taiwan
4
Department of Physical Examination Center, Kaohsiung Veterans General Hospital, Kaohsiung 813, Taiwan
5
Department of Nursing, Meiho University, Pingtung 912, Taiwan
6
Biodiversity Research Center, Academia Sinica, Taipei 115, Taiwan
7
Department of Pediatrics, Kaohsiung Veterans General Hospital, Kaohsiung 813, Taiwan
8
School of Medicine, National Yang-Ming University, Taipei 112, Taiwan
9
Department of Chemical Engineering, Institute of Biotechnology and Chemical Engineering, I-Shou University, Kaohsiung 840, Taiwan
10
Department of Nursing, Fooyin University, Kaohsiung 831, Taiwan
11
Department of Cosmetics and Fashion Styling, Cheng-Shiu University, Kaohsiung 833, Taiwan
12
Department of Internal Medicine, National Cheng Kung University Hospital, Tainan 704, Taiwan
13
Department of Medicine, College of Medicine, National Cheng Kung University, Tainan 704, Taiwan
*
Author to whom correspondence should be addressed.
These authors contributed equally to this work.
Microorganisms 2021, 9(4), 722; https://doi.org/10.3390/microorganisms9040722
Submission received: 10 March 2021 / Revised: 29 March 2021 / Accepted: 29 March 2021 / Published: 31 March 2021
(This article belongs to the Section Antimicrobial Agents and Resistance)

Abstract

Background: Colistin is one of the last-line antimicrobial agents against life-threatening infections. The distribution of the colistin resistance gene mcr-1 has been reported worldwide. However, most studies have focused on the distribution of mcr-1-positive bacteria in humans, animals, food, and sewage; few have focused on their distribution in natural environments. Method: We conducted a large spatial survey of mcr-1-positive Escherichia coli at 119 sites in 48 rivers, covering the entire island of Taiwan. We investigated the relationship between the livestock or poultry density in the surveyed riverine area and the number of mcr-1-positive E. coli in the river water. We then sequenced and characterized the isolated mcr-1-positive plasmids. Results: Seven mcr-1 positive E. coli were isolated from 5.9% of the sampling sites. The mcr-1-positive sites correlated with high chicken and pig stocking densities but not human population density or other river parameters. Four of the mcr-1-positive E. coli strains harbored epidemic IncX4 plasmids, and three of them exhibited identical sequences with a size of 33,309 bp. One of the plasmids contained identical 33,309 bp sequences but carried an additional 5711-bp transposon (Tn3 family). To our knowledge, this is the first demonstration that mcr-1-carrying IncX4 plasmids can contain an insertion of such transposons. All mcr-1-positive isolates belonged to phylogenetic group A and harbored few known virulence genes. Conclusion: This study showed a positive relationship between the number of mcr-1-positive sites and high livestock and poultry density. The sequencing analyses indicated that the epidemic plasmid in the mcr-1 isolates circulates not only in humans, animals, and food but also in the associated environments or natural habitats in Taiwan, suggesting that the surveillance of antibiotics-resistance genes for livestock or poultry farm quality control should include their associated environments.

1. Introduction

The rapid emergence and dissemination of antibiotic-resistant bacteria has become a serious threat to public health globally. Colistin is one of the last-line antimicrobial agents for treating life-threatening infections caused by multidrug-resistant bacteria. However, after the first report by Lui in China in 2015, the plasmid-mediated colistin resistance gene mcr-1 has been found to be widespread in five continents [1,2]. The marked increase in mcr-1-carrying bacterial isolates worldwide can be explained by the initial mobilization of mcr-1 by an ISApl1 transposon in the mid-2000s and its rapid mobilization onto other plasmids [3]. Escherichia coli is the most prevalent species among the mcr-1-positive isolates, and constitutes approximately 90% of the total mcr-1-carrying isolates [2]. Additionally, mcr-1 carrying isolates can be found in raw meat, livestock animals, infections, and healthy people [1,4]. A higher number or percentage of mcr-1 carriage in E. coli isolates has been found in raw meat and food animals than in human isolates [1]. Researchers suggest that mcr-1 resistance may have emerged in the animal sector due to the widespread use of colistin in food animals, including pig and poultry farms, in several areas [5]. Additionally, a study conducted in China found that 6% of human fecal samples carried the mcr-1 gene [6]. Colistin is prohibited as a growth promoter in Taiwan, but it can be used for disease treatment in veterinary treatment [7]. In Taiwan, mcr-1-positive E. coli has been found in 0.4% of asymptomatic adults [8] and 0.6% of clinical isolates [9]. Similar to studies in other countries, the rate of mcr-1 positive isolates from meat and swine/poultry diseases in Taiwan exceeds that in isolates from humans (retail meats: 8.7% in 2015; diseased swine: 33.3% in 2016) [7,10].
In addition to in food animals and humans, mcr-1 has been found in aquatic systems, particularly sewage or wastewater [11,12]. A recent literature review indicated that 18 publications have reported on plasmid-mediated colistin resistance in 2107 isolates from freshwater and seawater [13], though few have focused on mcr-1-positive isolates in natural habitats or associated environments [13]. In addition to China [5,14,15], mcr-1 has also been observed in freshwater environments in Malaysia [16], Italy [17], and Switzerland [18]. However, these studies have mainly focused on one or a few freshwater sites.
To gain a full picture of the distribution of mcr-1-positive E. coli in Taiwan’s freshwater system, an intensive survey in 52 rivers across the entire island of Taiwan was conducted in this study. Taiwan is a mountainous island, consisting of 268 mountains above 3000 m, with most of the rivers flowing in a steep descent from the center of the island to the surrounding sea [19]. In addition to comprehensively surveying mcr-1-positive E. coli, this survey allowed us to examine our hypothesis that the number of mcr-1 isolates in the river could be correlated with the livestock or poultry density in the riverine environment. Moreover, the plasmid sequences and their gene content in the positive E. coli provided more insight into the ecology of colistin-resistant genes in Taiwan and the Western Pacific region.

2. Materials and Methods

2.1. Water Sampling

Water samples were collected from different rivers from December 2015 to February 2016 (Figure 1). The Taiwan Environmental Protection Administration (TEPA) routinely examines river water in Taiwan to monitor the river pollution index and coliform bacteria population [20,21]. The river pollution index includes the concentrations of four parameters in water: dissolved oxygen (DO), biochemical oxygen demand (BOD5), suspended solids (SS), and ammonia nitrogen (NH3-N). Information regarding the livestock and poultry stocking numbers was obtained from the Council of Agriculture, Taiwan ((https://agrstat.coa.gov.tw/sdweb/public/book/Book.aspx) (accessed on 30 March 2021) and (https://www.naif.org.tw/main.aspx) (accessed on 30 March 2021). A total of 48 rivers and 119 sites were sampled in this study. We sampled each river site three times during the study period. Up to two isolates of E. coli were cultured from each sampling site. Therefore, a total of 537 E. coli isolates were obtained.
One-hundred milliliters of river water was sampled each time and analyzed following the standard procedures of the Environmental Analysis Laboratory of the TEPA [22]. Additionally, all of the sampling procedures followed the rules established by the Environmental Analysis Laboratory of the TEPA. TEPA method: River, Lake, Reservoir water quality sampling general rule, National Institute of Environmental Analysis (NIEA)W104.51C was used as the standard basis for sampling. The water samples were analyzed immediately after collection, and the time between sample collection to laboratory work completion was <24 h.
To conduct cluster sampling for each river and county, we randomly selected E. coli from samples collected at the 119 river stations in Taiwan. One water sample was collected and filtered to further isolate E. coli at each sampled station, following previously described methods [22]. We used E. coli CHROMagar (ECC) plates (CHROMagar, Paris, France) to screen E. coli, which was incubated at 37 °C for 24 h, and up to two E. coli colonies were selected per sample. mcr-1 PCR was conducted in E. coli isolates using the primers CLR5-F (5′-CGGTCAGTCCGTTTGTTC-3ʹ) and CLR5-R (5′-CTTGGTCGGTCTGTA GGG-3′), following previously described methods [1]. We used eight housekeeping gene sequences (adk, fumC, gyrB, icd, mdh, purA, and recA) according to the protocol on the MLST database website (http://mlst.warwick.ac.uk/mlst/dbs/Ecoli) (accessed on 30 March 2021), and the broth dilution method, to check the antimicrobial susceptibility of sulfamethoxazole and trimethoprim (STX-TMZ), ciprofloxacin, tetracycline, meropenem, azithromycin, nalidixic acid, cefotaxime, chloramphenicol, tigecycline, ceftazidime, colistin, ampicillin, and gentamicin (Clinical and Laboratory Standards Institute (CLSI), 2020). Colistin was defined as intermediate (MICs (minimum inhibitory concentrations) of ≤2 mg/L) or resistant (MICs ≥ 4 mg/L) according to the MIC interpretive criteria from the CLSI.

2.2. Conjugation Assays

Conjugation assays were conducted to determine whether the mcr-1 genes in the river isolates were harbored on conjugative plasmids. The E. coli strains MG1655 lacZ::Gm and MG1655 recA::Tet, which harbor gentamycin and tetracycline resistance, respectively, were used as recipients in the assays. The five colistin-resistant river isolates (EC1278, EC1279, EC1280, EC1281, and EC1283) served as donors. Based on the antibiotic resistance, MG1655 lacZ::Gm was used as the recipient in the conjugation experiment with EC1278, EC1279, EC1281, and EC1283, while MG1655 recA::Tet was used as the recipient of EC1280. The bacterial strains were grown overnight in Lysogeny broth (LB) medium containing appropriate antibiotics (2 mg/mL of colistin, 2 mg/mL of gentamycin, or 2 mg/mL of tetracycline) [23]. To remove antibiotics from the overnight cultures, the bacteria in 200 μL samples of the cultures were washed with 200 μL of fresh LB medium once by centrifugation at 1000× g for 3 min and then re-suspended in 20 μL of fresh LB medium. The resulting donor (20 μL) and recipient (20 μL) suspensions were mixed, and 10 μL of the mixture was dropped on an LB agar plate without any antibiotic. After incubation at 37 °C for 24 h, the bacteria on the plate were re-suspended in PBS and spread on LB plates containing colistin, gentamycin, or tetracycline, to select for colistin-resistant transconjugants. Colistin had the growth inhibition of the recipients, while gentamycin or tetracycline had the growth inhibition of the donors.

2.3. Purification, Sequencing, and Assembly of Plasmids

To determine plasmid patterns in bacteria, plasmids were isolated following the alkaline method of Kado and Liu [24] and subjected to agarose gel electrophoresis.
To sequence the colistin-resistant plasmids, the plasmids were purified from the responding transconjugants following the alkaline lysis method described previously [25]. The complete nucleotide sequences of the plasmids were determined by MiSeq sequencing (Illumina Inc., San Diego, CA, USA.). The plasmids were annotated using the DDBJ (DNA Data Bank of Japan) Fast Annotation and Submission Tool (DFAST) pipeline [26]. Insertion sequences (IS) were annotated using ISFinder (https://isfinder.biotoul.fr/) (accessed on 30 March 2021), as described previously [27]. For comparative analysis, plasmid sequences were aligned against the non-redundant database using the MegaBLAST algorithm (NCBI BLAST), with the default settings for the parameters.

2.4. PCR-Based Phylogenetic Typing and Genotyping

The phylogenetic types of the river colistin-resistant E. coli strains were determined using a triplex PCR-based method to detect the presence of the chuA and yiaA genes, and the DNA fragment TSPE4.C2, as described previously [28]. The presence of known virulence genes in E. coli was determined by PCR using previously described primers and conditions [29,30,31,32]. The RS218 and CFT073 pathogenic E. coli strains served as positive controls in the PCR analyses of ompT, ibeA, cnf1, sfaS, ireA, chuA, ihA, usp, sat, iroN, and hlyA. The clinical E. coli isolates A865, which had been previously identified as harboring afa/draBC [32,33,34], and EC586, which harbors hlyF, iutA, and iss (unpublished data), served as positive controls for the corresponding genes. Additionally, the MG1655 E. coli strain served as a negative control for all the genes, excluding ompT. An ompT-deletion strain of RS218 served as the negative control for ompT. The primer sequences used for the PCR analyses are listed in Supplementary Materials Table S1.

2.5. Accession Numbers

The sequences of EC1279, EC1280, EC1281, and EC1283 were deposited in GenBank under the accession numbers MW010025, MW010026, MW010024, and MW010027, respectively.

2.6. Statistical Analysis

All statistical analyses were conducted using SPSS version 20.0 for Windows (SPSS Inc., Armonk, NY, USA). Categorical variables were analyzed using the Chi-square or Fisher’s exact tests, and the continuous variables were analyzed by conducting an independent samples t-test. A p-value of <0.05 was considered statistically significant.

3. Results

3.1. Positive mcr-1 E. coli Sites

In the river environment, mcr-1-positive E. coli were found at 5.9% (7/119) of the water sampling sites in the rivers of Taiwan. The seven mcr-1-positive sites were distributed in central (n = 3, Wu, Shihwu, and Beigang Rivers), southern (n = 3, Ba-Chang, Gaoping, and Donggang Rivers), and eastern Taiwan (n = 1, Beinan River; Figure 1). No mcr-1-positive sites were identified in northern Taiwan in our survey. Excluding two sites (Wu and Beigang Rivers), most (71%; 5/7) mcr-1 positive isolates were collected from the downstream area of the river.
An example of an mcr-1-positive site in the downstream area (Gaoping River) is provided in Supplementary Figure S1. For the seven isolates, the antimicrobial drug susceptibility is shown in Table 1. Two of the seven isolates were susceptible to colistin in the broth dilution method. The MLST study identified different STs, including ST155, ST6732, ST877, ST7149, and ST3661 (n = 3).
The site characteristics regarding the distribution of mcr-1-positive and negative E. coli are shown in Table 2. The air and water temperature, river pollution index, PH, and other parameters, such as the number of coliforms in the mcr-1-positive and negative groups, are shown in Table 2. The pollution index was slightly higher at the mcr-1-positive sites, but this difference was not statistically significant in the t-test. The human population density, air/water temperature, pH, and coliform number were similar between the mcr-1-positive and negative groups. Using a continuous variable, the livestock stocking density was higher at the mcr-1-positive sites but did not reach statistical significance in the independent t-test.
The relationship between the mcr-1 positive sites and chicken and pig stocking densities is shown in Figure 2A (left) and Figure 2B (right).
According to the Chi-square test using categorical variables for analysis (Table 3), mcr-1-positive sites were more likely to occur in the category with chicken stocking densities of 1000–5000 and >5000 birds/km2 (42.9% vs. 27.7%; 42.9% vs. 12.5%; p = 0.028) than mcr-1-negative sites. Regarding pig density, mcr-1-positive sites were more likely to occur in the category with a stocking density of >1000 herds/km2 (28.6% vs. 3.6%; p = 0.012) than mcr-1-negative sites (Table 3). The distributions of mcr-1 positive and negative sites did not differ between the four pollution indices (unpolluted, negligible, moderately, and severely polluted) and human density (more or less than 1000 people/km2) categories (Table 3).

3.2. Capturing mcr-1-Carrying Conjugative Plasmids

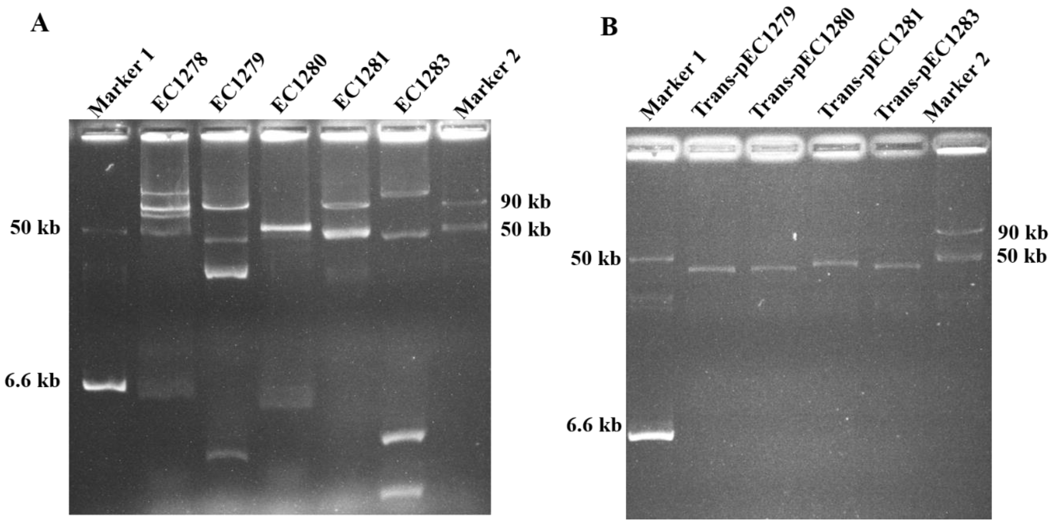
mcr-1 genes are often carried by conjugative plasmids. Therefore, plasmid patterns of the river colistin-resistant strains were investigated. As shown in Figure 3A, all five strains harbored multiple plasmids, and their plasmid patterns differed. The distinct plasmid patterns may reflect the distinct regions of the isolated strains.
To further investigate whether the mcr-1 genes in the river colistin-resistant strains were encoded in conjugative plasmids, conjugation experiments were conducted with the colistin-resistant strains as donors and E. coli MG1655-derived strains as recipients, selecting for colistin-resistant transconjugants. The colistin-resistant transconjugants were obtained from experiments with four river-born strains, including EC1279, EC1280, EC1281, and EC1283, which were denoted as Trans-1279, Trans-1280, Trans-1281, and Trans-1283, respectively, and the plasmid profiles of the transconjugants were investigated. As shown in Figure 3B, Trans-1279, Trans-1280, and Trans-1283 harbored plasmids with similar sizes, while Trans-1281 harbored a plasmid that was apparently larger than those in the other transconjugants. These results suggest that the mcr-1 genes in four of the river-borne colistin-resistant E. coli strains were encoded in conjugative plasmids.

3.3. Genetic Characterization of mcr-1-Carrying Plasmids

The colistin resistance-encoding plasmids were purified from the transconjugants and sequenced for further characterization. The plasmids derived from EC1279, EC1280, EC1281, and EC1283 were designated pEC1279, pEC1280, pEC1281, and pEC1283, respectively. pEC1279, pEC1280, and pEC1283 were 100% identical in sequence and size (33,309 bp). pEC1281 was 39,025 bp in size, which contained a 33,309 bp region identical to those of the above plasmids with the insertion of an additional 5716-bp fragment (Figure 4).
These plasmids are the IncX4 plasmids. Based on BLAST analysis, pEC1279, pEC1280, and pEC1283 aligned well with a group of IncX4 plasmids (>99.9% identity), which were characterized by harboring an mcr-1 gene with a downstream pap2 gene and insertion sequence IS26 located upstream of the mcr-1-pap2 element (Figure 4). The plasmids in this group were mainly carried by Enterobacteriaceae isolated from humans, animals, meat, and wastewater, and are distributed worldwide (Table 4). We designated these plasmids as being pEC1279-like. Notably, on the island of Taiwan, pEC1279-like plasmids were identified from bacteria isolated from humans and swine, such as pNG14043 (Salmonella from a human), pKP15450-MCR-1 (Klebsiella pneumoniae from a human), and pNCYU-24-74-6_MCR1 (E. coli from a swine; Table 4). This study demonstrates that such mcr-1-carrying plasmids have spread to the natural environment of the island, in addition to humans, animals, and foods.
The additional 5.7-kb fragment in pEC1281 was located between the mcr-1-pap2 element and IS26, which contained a transposon structure that encoded a transposase, resolvase, and potential ABC transporter with a 35-bp inverted repeat (IR) sequence at both ends (Figure 4). This transposon belongs to the Tn3 family [46], and has been identified in various plasmids, such as pCHL5009T-102k-mcr3 [46], pH226B [47], pNDM5-GZ04_A [48], and pV233-b [49]. However, to the best of our knowledge, this is the first demonstration of the insertion of a pEC1279-like mcr-1-carrying plasmid by this type of transposon.

3.4. Genetic Features of Colistin-Resistant River Isolates

To further investigate the genetic background of colistin-resistant river isolates, the phylogenetic types of EC1278, EC1297, EC1280, EC1281, and EC1283 were investigated. E. coli strains are primarily classified into four phylogenetic groups, designated A, B1, B2, and D [27,50]. Extraintestinal pathogenic E. coli (ExPEC) are mainly derived from phylogenetic groups B2 and D, while commensal E. coli are mainly derived from Groups A and B1 [51]. All of the strains identified here belonged to phylogenetic group A, suggesting that these river isolates may not have been pathogenic E. coli.
We further analyzed the virulence capability of the strains by determining the presence of 15 known E. coli virulence genes in the bacteria. The pathogenic roles of these virulence genes include adherence (afa/draBC, iha, and sfaS), invasion (ibeA), toxins (cnf1, hlyA, sat, and hlyF), iron uptake (chuA, ireA, iroN, and iutA), bacterial resistance to complement-mediated attack (iss), and miscellaneous pathogenic functions (ompT and usp). Excluding ompT, the known virulence genes were not detected in the five river isolates. ompT was identified in EC1278 and EC1283, but not in the other isolates. These findings indicate that these river isolates had low virulence, suggesting that these river colistin-resistant E. coli strains were non-pathogenic.

4. Discussion

This study demonstrated that the sites containing mcr-1 positive E. coli in rivers were positively correlated with the density of livestock and poultry in the riverine area of Taiwan. No correlations were detected between pH, temperature, pollution index, and human density. Although colistin-resistant genes were only distributed in a few rivers, Taiwan’s natural environment has been contaminated with mcr-1-positive bacteria. Natural habitats or human activity-associated environments that have not yet been considered may serve as hidden yet critical spaces for bacterial gene transfer and transmission of resistant genes. We suggest natural environment surveys should be conducted to monitor the dissemination of colistin-resistant genes.
Contamination of mcr-1 positive E. coli in rivers was likely due to anthropogenic activities, as the distribution of these bacteria was associated with high pig and poultry population densities (Figure 2). Colistin has been approved for animal use by the Council of Agriculture in Taiwan. It is likely that its use poses a selection advantage for mcr-1-positive E. coli that live in the intestines of livestock. Following population expansion, such bacteria may be released from the animals and reach and contaminate nearby rivers. Conventional livestock waste treatment processes cannot completely remove antibiotic-resistance genes, and result in contamination of water environments [52,53]. Some studies have reported the transmission of antimicrobial-resistant bacteria from pig manure to the environment [54], and these antibiotic-resistant bacteria may spread through water [55].
Our study showed that the mcr-1-positive sites were correlated with livestock density in river environments, and correlations between other antimicrobial resistance genes and livestock have been reported in the literature. Poultry production carries a high risk for antibiotic resistance emergence and consumes more antibiotics than the cultivation of other animals [56]. The size and scale of poultry farming are associated with the antimicrobial colonization rates [56]. Independent of antimicrobial drug usage, there is evidence of a relationship between chicken density and antimicrobial-resistant pathogens [57]. The results of the analysis of ESBL genes from chicken feces and upstream and downstream river water suggest that animal farm effluent could contribute to the spread of resistance genes [58]. A study conducted on swine feces and downstream water in China suggested that the effluent of animal farms contributes to the presence of ESBL-producing E. coli in river aquatic environments [59]. A recent study in Zhejiang, China also showed that these mcr-1 plasmids in the river are closely associated with E. coli strains with pig and human origins [60].
IncX4 plasmids are one of the three major types of mcr-1-carrying plasmids, including IncX4, IncI2, and IncHI2, and account for over 90% of the reported mcr-1 distributed worldwide [61]. It has been reported that IncX4 plasmids confer competitive fitness to host bacteria, are more transmissible at 30–42 °C [62], and can be stably maintained in host bacteria [41]. These features may be responsible for the significant role of IncX4 plasmids in mcr-1 dissemination. The cessation of colistin use as a feed additive for animals in China has significantly decreased the prevalence of mcr-1 in farmed pigs nationally, including IncX4 plasmid-carrying mcr-1, which may contribute to a concomitant decline of the distribution of mcr-1 in human carriers [63]. These findings indicate that antibiotic selection pressure is a major driving force of mcr-1 dissemination; thus, the withdrawal of colistin from animal feeds would be an effective strategy for controlling the dissemination of mcr-1 in humans, animals, and the natural environment.
In our mcr-1 positive E. coli, no known virulence factor was detected, excluding the ompT gene, and all were classified as phylogenetic group A, suggesting the low virulence potential of these bacteria. Although they have low potential to cause infections, these riverine strains could serve as an environmental reservoir of colistin resistance for future spread to pathogenic strains through conjugative horizontal transfer [64].
The insertion of the Tn3 family transposon in pEC1281 was first identified in the pEC1279-like IncX4 plasmids, suggesting that transposon insertion is a local gene transfer event that may have occurred recently; thus, the resulting plasmid has not yet been broadly spread. Whether the genes encoded in the transposon contribute to plasmid transmission and stability, and whether their presence confers advantages to bacterial survival in natural environments, are yet to be elucidated. Transposons and insertion sequences contribute to the mobilization of antibiotic resistance genes [65]. The new transposon insertion in the mcr-1-carrying plasmid may further potentiate the dissemination of colistin resistance.
The limitations of this study were that we only detected mcr-1 in E. coli isolates in the river and we did not determine the mcr-1 status of other pathogens. No selective primary isolation of colistin resistant E. coli was performed, and the real occurrence of mcr-1 carrying E. coli could be much more prevalent. Other limitations included that the sampling sizes of rivers may differ and we did not have water level data for each sampling site. The water level of rivers varies significantly between the wet and dry seasons. We do not know if the water level is a factor for the spread of mcr-1 positive E. coli. We did not conduct longitudinal surveillance of mcr-1-positive E. coli in the river. Some studies suggest that the surveillance of population-level antibiotic resistance prevalence could be informative as an early warning of human pathogens [66]. Real-time water quality monitoring systems and removed/relocated livestock may aid in reducing pollutants from agricultural areas [67].

5. Conclusions

The ecological analysis and plasmid sequences suggest the spread of mcr-1 plasmids between livestock and the riverine environment. The mcr-1-positive E. coli isolates belonged to phylogroup A, with low virulence potential. The presence of colistin-resistant strains in rivers may lead to the spread of mcr-1 among commensal E. coli strains in the aquatic environment and pose a further public health risk. There is an indispensable need for the survey of natural habitats or associated environments to better understand the dissimilation of colistin-resistance genes.

Supplementary Materials

The following are available online at https://www.mdpi.com/article/10.3390/microorganisms9040722/s1, Figure S1: mcr-1-positive site in the downstream area in Gaoping River, Table S1: Primers sequences used in this study.

Author Contributions

Conceptualization, C.-H.T., P.-C.W. and J.-L.W.; methodology, C.-H.T., Y.-C.C., P.-C.H. and J.-L.W.; validation, S.-L.T., M.-F.C., W.-C.K.; formal analysis, C.-H.T., P.-C.W. and J.-L.W.; investigation, C.-H.T., P.-C.W. and J.-L.W.; data curation, Y.-C.C., P.-C.H.; writing—original draft preparation, C.-H.T., P.-C.W. and J.-L.W.; writing—review and editing, S.-L.T. supervision, W.-C.K.; funding acquisition, C.-H.T. and J.-L.W. All authors have read and agreed to the published version of the manuscript.

Funding

This work was supported by research grants from the Ministry of Science and Technology, 106-2314-B-006-081-MY2, 109-2314-B-006-090, 108-2320-B-006-034-MY3 and 109-2314-B-006-090 and National Cheng Kung University Hospital, NCKUH-11002056.

Institutional Review Board Statement

Not applicable.

Informed Consent Statement

This study did not involve humans. Patient consent was waived.

Data Availability Statement

Please contact author for data request.

Acknowledgments

We thank the Center for Allergy and Clinical Immunology Research (ACIR), National Cheng Kung University, Tainan, Taiwan, for assisting with the publication of this study.

Conflicts of Interest

The authors declare no conflict of interest.

References

  1. Liu, Y.-Y.; Wang, Y.; Walsh, T.R.; Yi, L.-X.; Zhang, R.; Spencer, J.; Doi, Y.; Tian, G.; Dong, B.; Huang, X.; et al. Emergence of plasmid-mediated colistin resistance mechanism MCR-1 in animals and human beings in China: A microbiological and molecular biological study. Lancet Infect. Dis. 2016, 16, 161–168. [Google Scholar] [CrossRef]
  2. Nang, S.C.; Li, J.; Velkov, T. The rise and spread of mcr plasmid-mediated polymyxin resistance. Crit. Rev. Microbiol. 2019, 45, 131–161. [Google Scholar] [CrossRef]
  3. Wang, R.; Van Dorp, L.; Shaw, L.P.; Bradley, P.; Wang, Q.; Wang, X.; Jin, L.; Zhang, Q.; Liu, Y.; Rieux, A.; et al. The global distribution and spread of the mobilized colistin resistance gene mcr-1. Nat. Commun. 2018, 9, 1–9. [Google Scholar] [CrossRef]
  4. Wang, Y.; Tian, G.-B.; Zhang, R.; Shen, Y.; Tyrrell, J.M.; Huang, X.; Zhou, H.; Lei, L.; Li, H.-Y.; Doi, Y.; et al. Prevalence, risk factors, outcomes, and molecular epidemiology of mcr-1 -positive Enterobacteriaceae in patients and healthy adults from China: An epidemiological and clinical study. Lancet Infect. Dis. 2017, 17, 390–399. [Google Scholar] [CrossRef]
  5. Schwarz, S.; Johnson, A.P. Transferable resistance to colistin: A new but old threat: Table 1. J. Antimicrob. Chemother. 2016, 71, 2066–2070. [Google Scholar] [CrossRef]
  6. Zhou, H.-W.; Zhang, T.; Ma, J.-H.; Fang, Y.; Wang, H.-Y.; Huang, Z.-X.; Wang, Y.; Wu, C.; Chen, G.-X. Occurrence of Plasmid- and Chromosome-Carried mcr-1 in Waterborne Enterobacteriaceae in China. Antimicrob. Agents Chemother. 2017, 61, 61. [Google Scholar] [CrossRef] [PubMed]
  7. Liu, J.-Y.; Liao, T.-L.; Huang, W.-C.; Liu, Y.-M.; Wu, K.-M.; Lauderdale, T.-L.; Tsai, S.-F.; Kuo, S.-C.; Kuo, H.-C. Increased mcr-1 in pathogenic Escherichia coli from diseased swine, Taiwan. J. Microbiol. Immunol. Infect. 2020, 53, 751–756. [Google Scholar] [CrossRef] [PubMed]
  8. Wu, P.-C.; Wang, J.-L.; Hsueh, P.-R.; Lin, P.-H.; Cheng, M.-F.; Huang, I.-F.; Chen, Y.-S.; Lee, S.S.-J.; Mar, G.-Y.; Yu, H.-C.; et al. Prevalence and risk factors for colonization by extended-spectrum β-lactamase-producing or ST 131 Escherichia coli among asymptomatic adults in community settings in Southern Taiwan. Infect. Drug Resist. 2019, 12, 1063–1071. [Google Scholar] [CrossRef] [PubMed]
  9. Jean, S.-S.; Lu, M.-C.; Shi, Z.-Y.; Tseng, S.-H.; Wu, T.-S.; Lu, P.-L.; Shao, P.-L.; Ko, W.-C.; Wang, F.-D.; Hsueh, P.-R. In vitro activity of ceftazidime–avibactam, ceftolozane–tazobactam, and other comparable agents against clinically important Gram-negative bacilli: Results from the 2017 Surveillance of Multicenter Antimicrobial Resistance in Taiwan (SMART). Infect. Drug Resist. 2018, 11, 1983–1992. [Google Scholar] [CrossRef] [PubMed]
  10. Kuo, S.-C.; Huang, W.-C.; Wang, H.-Y.; Shiau, Y.-R.; Cheng, M.-F.; Lauderdale, T.-L. Colistin resistance gene mcr-1 in Escherichia coli isolates from humans and retail meats, Taiwan. J. Antimicrob. Chemother. 2016, 71, 2327–2329. [Google Scholar] [CrossRef]
  11. Chen, K.; Chan, E.W.-C.; Xie, M.; Ye, L.; Dong, N.; Chen, S. Widespread distribution of mcr-1-bearing bacteria in the ecosystem, 2015 to 2016. Euro Surveill. 2017, 22, 17-00206. [Google Scholar] [CrossRef]
  12. Wang, R.-N.; Zhang, Y.; Cao, Z.-H.; Wang, X.-Y.; Ma, B.; Wu, W.-B.; Hu, N.; Huo, Z.-Y.; Yuan, Q.-B. Occurrence of super antibiotic resistance genes in the downstream of the Yangtze River in China: Prevalence and antibiotic resistance profiles. Sci. Total. Environ. 2019, 651, 1946–1957. [Google Scholar] [CrossRef] [PubMed]
  13. Anyanwu, M.U.; Jaja, I.F.; Nwobi, O.C. Occurrence and Characteristics of Mobile Colistin Resistance (mcr) Gene-Containing Isolates from the Environment: A Review. Int. J. Environ. Res. Public Health 2020, 17, 1028. [Google Scholar] [CrossRef]
  14. Tuo, H.; Yang, Y.; Tao, X.; Liu, D.; Li, Y.; Xie, X.; Li, P.; Gu, J.; Kong, L.; Xiang, R.; et al. The Prevalence of Colistin Resistant Strains and Antibiotic Resistance Gene Profiles in Funan River, China. Front. Microbiol. 2018, 9, 3094. [Google Scholar] [CrossRef]
  15. Yang, D.; Qiu, Z.; Shen, Z.; Zhao, H.; Jin, M.; Li, H.; Liu, W.; Li, J.-W. The Occurrence of the Colistin Resistance Gene mcr-1 in the Haihe River (China). Int. J. Environ. Res. Public Health 2017, 14, 576. [Google Scholar] [CrossRef]
  16. Yu, C.Y.; Ang, G.Y.; Chin, P.S.; Ngeow, Y.F.; Yin, W.-F.; Chan, K.G. Emergence of mcr-1-mediated colistin resistance in Escherichia coli in Malaysia. Int. J. Antimicrob. Agents 2016, 47, 504–505. [Google Scholar] [CrossRef] [PubMed]
  17. Caltagirone, M.; Nucleo, E.; Spalla, M.; Zara, F.; Novazzi, F.; Marchetti, V.M.; Piazza, A.; Bitar, I.; De Cicco, M.; Paolucci, S.; et al. Occurrence of Extended Spectrum β-Lactamases, KPC-Type, and MCR-1.2-Producing Enterobacteriaceae from Wells, River Water, and Wastewater Treatment Plants in Oltrepò Pavese Area, Northern Italy. Front. Microbiol. 2017, 8, 2232. [Google Scholar] [CrossRef] [PubMed]
  18. Zurfluh, K.; Poirel, L.; Nordmann, P.; Nüesch-Inderbinen, M.; Hächler, H.; Stephan, R. Occurrence of the Plasmid-Borne mcr-1 Colistin Resistance Gene in Extended-Spectrum-β-Lactamase-Producing Enterobacteriaceae in River Water and Imported Vegetable Samples in Switzerland. Antimicrob. Agents Chemother. 2016, 60, 2594–2595. [Google Scholar] [CrossRef]
  19. Sun, P.L.; Hawkins, W.E.; Overstreet, R.M.; Brown-Peterson, N.J. Morphological Deformities as Biomarkers in Fish from Contaminated Rivers in Taiwan. Int. J. Environ. Res. Public Health 2009, 6, 2307–2331. [Google Scholar] [CrossRef] [PubMed]
  20. Chen, Y.-C.; Yeh, H.-C.; Wei, C. Estimation of River Pollution Index in a Tidal Stream Using Kriging Analysis. Int. J. Environ. Res. Public Health 2012, 9, 3085–3100. [Google Scholar] [CrossRef] [PubMed]
  21. Putri, M.S.A.; Lou, C.-H.; Syai’In, M.; Ou, S.-H.; Wang, Y.-C. Long-Term River Water Quality Trends and Pollution Source Apportionment in Taiwan. Water 2018, 10, 1394. [Google Scholar] [CrossRef]
  22. Chen, P.-A.; Hung, C.-H.; Huang, P.-C.; Chen, J.-R.; Huang, I.-F.; Chen, W.-L.; Chiou, Y.-H.; Hung, W.-Y.; Wang, J.-L.; Cheng, M.-F. Characteristics of CTX-M Extended-Spectrum β-Lactamase-Producing Escherichia coli Strains Isolated from Multiple Rivers in Southern Taiwan. Appl. Environ. Microbiol. 2016, 82, 1889–1897. [Google Scholar] [CrossRef] [PubMed]
  23. Hsu, P.-C.; Chen, C.-S.; Wang, S.; Hashimoto, M.; Huang, W.-C.; Teng, C.-H. Identification of MltG as a Prc Protease Substrate Whose Dysregulation Contributes to the Conditional Growth Defect of Prc-Deficient Escherichia coli. Front. Microbiol. 2020, 11. [Google Scholar] [CrossRef]
  24. Kado, I.C.; Liu, S.T. Rapid procedure for detection and isolation of large and small plasmids. J. Bacteriol. 1981, 145, 1365–1373. [Google Scholar] [CrossRef]
  25. Sambrook, J.; Russell, D.W. Molecular Cloning: A Laboratory Manual; Cold Spring Harbor Laboratory Press: New York, NY, USA, 2001. [Google Scholar]
  26. Tanizawa, Y.; Fujisawa, T.; Kaminuma, E.; Nakamura, Y.; Arita, M. DFAST and DAGA: Web-based integrated genome annotation tools and resources. Biosci. Microbiota Food Health 2016, 35, 173–184. [Google Scholar] [CrossRef]
  27. Siguier, P. ISfinder: The reference centre for bacterial insertion sequences. Nucleic Acids Res. 2006, 34, 32–36. [Google Scholar] [CrossRef]
  28. Clermont, O.; Bonacorsi, S.; Bingen, E. Rapid and Simple Determination of the Escherichia coli Phylogenetic Group. Appl. Environ. Microbiol. 2000, 66, 4555–4558. [Google Scholar] [CrossRef]
  29. Chapman, T.A.; Wu, X.-Y.; Barchia, I.; Bettelheim, K.A.; Driesen, S.; Trott, D.; Wilson, M.; Chin, J.J.-C. Comparison of Virulence Gene Profiles of Escherichia coli Strains Isolated from Healthy and Diarrheic Swine. Appl. Environ. Microbiol. 2006, 72, 4782–4795. [Google Scholar] [CrossRef]
  30. Johnson, J.R.; Stell, A.L. Extended Virulence Genotypes of Escherichia coli Strains from Patients with Urosepsis in Relation to Phylogeny and Host Compromise. J. Infect. Dis. 2000, 181, 261–272. [Google Scholar] [CrossRef]
  31. Johnson, T.J.; Wannemuehler, Y.; Doetkott, C.; Rosenberger, S.C.; Nolan, L.K. Identification of Minimal Predictors of Avian Pathogenic Escherichia coli Virulence for Use as a Rapid Diagnostic Tool. J. Clin. Microbiol. 2008, 46, 3987–3996. [Google Scholar] [CrossRef] [PubMed]
  32. Mao, B.-H.; Chang, Y.-F.; Scaria, J.; Chang, C.-C.; Chou, L.-W.; Tien, N.; Wu, J.-J.; Tseng, C.-C.; Wang, M.-C.; Hsu, Y.-M.; et al. Identification of Escherichia coli Genes Associated with Urinary Tract Infections. J. Clin. Microbiol. 2011, 50, 449–456. [Google Scholar] [CrossRef] [PubMed]
  33. Huang, W.-C.; Liao, Y.-J.; Hashimoto, M.; Chen, K.-F.; Chu, C.; Hsu, P.-C.; Wang, S.; Teng, C.-H. cjrABC-senB hinders survival of extraintestinal pathogenic E. coli in the bloodstream through triggering complement-mediated killing. J. Biomed. Sci. 2020, 27, 1–16. [Google Scholar] [CrossRef]
  34. Huang, W.-C.; Lin, C.-Y.; Hashimoto, M.; Wu, J.-J.; Wang, M.-C.; Lin, W.-H.; Chen, C.-S.; Teng, C.-H. The role of the bacterial protease Prc in the uropathogenesis of extraintestinal pathogenic Escherichia coli. J. Biomed. Sci. 2020, 27, 1–22. [Google Scholar] [CrossRef]
  35. Chu, C.; Chiu, C.-H.; Wu, W.-Y.; Chu, C.-H.; Liu, T.-P.; Ou, J.T. Large Drug Resistance Virulence Plasmids of Clinical Isolates of Salmonella enterica Serovar Choleraesuis. Antimicrob. Agents Chemother. 2001, 45, 2299–2303. [Google Scholar] [CrossRef]
  36. Chiou, C.-S.; Chen, Y.-T.; Wang, Y.-W.; Liu, Y.-Y.; Kuo, H.-C.; Tu, Y.-H.; Lin, A.-C.; Liao, Y.-S.; Hong, Y.-P. Dissemination of mcr-1-Carrying Plasmids among Colistin-Resistant Salmonella Strains from Humans and Food-Producing Animals in Taiwan. Antimicrob. Agents Chemother. 2017, 61, e00338-17. [Google Scholar] [CrossRef]
  37. Yamaguchi, T.; Kawahara, R.; Hamamoto, K.; Hirai, I.; Khong, D.T.; Nguyen, T.N.; Tran, H.T.; Motooka, D.; Nakamura, S.; Yamamoto, Y. High Prevalence of Colistin-Resistant Escherichia coli with Chromosomally Carried mcr-1 in Healthy Residents in Vietnam. mSphere 2020, 5. [Google Scholar] [CrossRef]
  38. Donà, V.; Bernasconi, O.J.; Pires, J.; Collaud, A.; Overesch, G.; Ramette, A.; Perreten, V.; Endimiani, A. Heterogeneous Genetic Location of mcr-1 in Colistin-Resistant Escherichia coli Isolates from Humans and Retail Chicken Meat in Switzerland: Emergence of mcr-1-Carrying IncK2 Plasmids. Antimicrob. Agents Chemother. 2017, 61. [Google Scholar] [CrossRef]
  39. Liang, C.; Yang, Y.; Miao, M.; Chavda, K.D.; Mediavilla, J.R.; Xie, X.; Feng, P.; Tang, Y.-W.; Kreiswirth, B.N.; Chen, L.; et al. Complete Sequences of mcr-1-Harboring Plasmids from Extended-Spectrum-β-Lactamase- and Carbapenemase-Producing Enterobacteriaceae. Antimicrob. Agents Chemother. 2016, 60, 4351–4354. [Google Scholar] [CrossRef]
  40. Ageevets, V.; Lazareva, I.; Mrugova, T.; Gostev, V.; Lobzin, Y.; Sidorenko, S. IncX4 plasmids harbouring mcr-1 genes: Further dissemination. J. Glob. Antimicrob. Resist. 2019, 18, 166–167. [Google Scholar] [CrossRef] [PubMed]
  41. Beyrouthy, R.; Robin, F.; Lessene, A.; Lacombat, I.; Dortet, L.; Naas, T.; Ponties, V.; Bonnet, R. MCR-1 and OXA-48 In Vivo Acquisition in KPC-Producing Escherichia coli after Colistin Treatment. Antimicrob. Agents Chemother. 2017, 61, 61. [Google Scholar] [CrossRef]
  42. Wu, R.; Yi, L.-X.; Yu, L.-F.; Wang, J.; Liu, Y.; Chen, X.; Lv, L.; Yang, J.; Liu, J.-H. Fitness Advantage of mcr-1–Bearing IncI2 and IncX4 Plasmids in Vitro. Front. Microbiol. 2018, 9, 331. [Google Scholar] [CrossRef]
  43. Sun, J.; Fang, L.-X.; Wu, Z.; Deng, H.; Yang, R.-S.; Li, X.-P.; Li, S.-M.; Liao, X.-P.; Feng, Y.; Liu, Y.-H. Genetic Analysis of the IncX4 Plasmids: Implications for a Unique Pattern in the mcr-1 Acquisition. Sci. Rep. 2017, 7, 1–9. [Google Scholar] [CrossRef] [PubMed]
  44. Zhao, F.; Feng, Y.; Lü, X.; McNally, A.; Zong, Z. Remarkable Diversity of Escherichia coli Carrying mcr-1 from Hospital Sewage with the Identification of Two New mcr-1 Variants. Front. Microbiol. 2017, 8, 2094. [Google Scholar] [CrossRef]
  45. Hayashi, W.; Tanaka, H.; Taniguchi, Y.; Iimura, M.; Soga, E.; Kubo, R.; Matsuo, N.; Kawamura, K.; Arakawa, Y.; Nagano, Y.; et al. Acquisition of mcr-1 and Cocarriage of Virulence Genes in Avian Pathogenic Escherichia coli Isolates from Municipal Wastewater Influents in Japan. Appl. Environ. Microbiol. 2019, 85. [Google Scholar] [CrossRef]
  46. Creighton, J.; Anderson, T.; Howard, J.; Dyet, K.; Ren, X.; Freeman, J. Co-occurrence of mcr-1 and mcr-3 genes in a single Escherichia coli in New Zealand. J. Antimicrob. Chemother. 2019, 74, 3113–3116. [Google Scholar] [CrossRef]
  47. Zurfluh, K.; Klumpp, J.; Nüesch-Inderbinen, M.; Stephan, R. Full-Length Nucleotide Sequences of mcr-1-Harboring Plasmids Isolated from Extended-Spectrum-β-Lactamase-Producing Escherichia coli Isolates of Different Origins. Antimicrob. Agents Chemother. 2016, 60, 5589–5591. [Google Scholar] [CrossRef]
  48. Yang, L.; Lin, Y.; Lu, L.; Xue, M.; Ma, H.; Guo, X.; Wang, K.; Li, P.; Du, X.; Qi, K.; et al. Coexistence of Two blaNDM–5 Genes Carried on IncX3 and IncFII Plasmids in an Escherichia coli Isolate Revealed by Illumina and Nanopore Sequencing. Front. Microbiol. 2020, 11, 195. [Google Scholar] [CrossRef]
  49. Akiba, M.; Sekizuka, T.; Yamashita, A.; Kuroda, M.; Fujii, Y.; Murata, M.; Lee, K.-I.; Joshua, D.I.; Balakrishna, K.; Bairy, I.; et al. Distribution and Relationships of Antimicrobial Resistance Determinants among Extended-Spectrum-Cephalosporin-Resistant or Carbapenem-Resistant Escherichia coli Isolates from Rivers and Sewage Treatment Plants in India. Antimicrob. Agents Chemother. 2016, 60, 2972–2980. [Google Scholar] [CrossRef]
  50. Podschun, R.; Ullmann, U. Klebsiella spp. as Nosocomial Pathogens: Epidemiology, Taxonomy, Typing Methods, and Pathogenicity Factors. Clin. Microbiol. Rev. 1998, 11, 589–603. [Google Scholar] [CrossRef] [PubMed]
  51. Picard, B.; Garcia, J.S.; Gouriou, S.; Duriez, P.; Brahimi, N.; Bingen, E.; Elion, J.; Denamur, E. The Link between Phylogeny and Virulence in Escherichia coli Extraintestinal Infection. Infect. Immun. 1999, 67, 546–553. [Google Scholar] [CrossRef]
  52. Checcucci, A.; Trevisi, P.; Luise, D.; Modesto, M.; Blasioli, S.; Braschi, I.; Mattarelli, P. Exploring the Animal Waste Resistome: The Spread of Antimicrobial Resistance Genes Through the Use of Livestock Manure. Front. Microbiol. 2020, 11, 1416. [Google Scholar] [CrossRef]
  53. He, Y.; Yuan, Q.; Mathieu, J.; Stadler, L.; Senehi, N.; Sun, R.; Alvarez, P.J.J. Antibiotic resistance genes from livestock waste: Occurrence, dissemination, and treatment. NPJ Clean Water 2020, 3, 1–11. [Google Scholar] [CrossRef]
  54. Egao, L.; Ehu, J.; Zhang, X.; Ewei, L.; Eli, S.; Emiao, Z.; Echai, T. Application of swine manure on agricultural fields contributes to extended-spectrum β-lactamase-producing Escherichia coli spread in Tai’an, China. Front. Microbiol. 2015, 6, 313. [Google Scholar] [CrossRef]
  55. Curriero, F.C.; Patz, J.A.; Rose, J.B.; Lele, S. The Association Between Extreme Precipitation and Waterborne Disease Outbreaks in the United States, 1948–1994. Am. J. Public Health 2001, 91, 1194–1199. [Google Scholar] [CrossRef]
  56. Rousham, E.K.; Unicomb, L.; Islam, M.A. Human, animal and environmental contributors to antibiotic resistance in low-resource settings: Integrating behavioural, epidemiological and One Health approaches. Proc. R. Soc. B Boil. Sci. 2018, 285, 20180332. [Google Scholar] [CrossRef]
  57. Trung, N.V.; Carrique-Mas, J.J.; Hoang, N.N.; Mai, H.H.; Tuyen, H.T.; Campbell, J.I.; Nhung, N.T.; Nhung, H.N.; Van Minh, P.; Wagenaar, J.A.; et al. Prevalence and risk factors for carriage of antimicrobial-resistant Escherichia coli on household and small-scale chicken farms in the Mekong Delta of Vietnam. J. Antimicrob. Chemother. 2015, 70, 2144–2152. [Google Scholar] [CrossRef]
  58. Gao, L.; Hu, J.; Zhang, X.; Ma, R.; Gao, J.; Li, S.; Zhao, M.; Miao, Z.; Chai, T. Dissemination of ESBL-Producing Escherichia coli of Chicken Origin to the Nearby River Water. J. Mol. Microbiol. Biotechnol. 2014, 24, 279–285. [Google Scholar] [CrossRef] [PubMed]
  59. Li, S.; Song, W.; Zhou, Y.; Tang, Y.; Gao, Y.; Miao, Z. Spread of extended-spectrum beta-lactamase-producing Escherichia coli from a swine farm to the receiving river. Environ. Sci. Pollut. Res. 2015, 22, 13033–13037. [Google Scholar] [CrossRef]
  60. Zhu, L.; Zhou, Z.; Liu, Y.; Lin, Z.; Shuai, X.; Xu, L.; Chen, H. Comprehensive Understanding of the Plasmid-Mediated Colistin Resistance Gene mcr-1 in Aquatic Environments. Environ. Sci. Technol. 2020, 54, 1603–1613. [Google Scholar] [CrossRef]
  61. Matamoros, S.; Van Hattem, J.M.; Arcilla, M.S.; Willemse, N.; Melles, D.C.; Penders, J.; Vinh, T.N.; Hoa, N.T.; Bootsma, M.C.J.; Van Genderen, P.J.; et al. Global phylogenetic analysis of Escherichia coli and plasmids carrying the mcr-1 gene indicates bacterial diversity but plasmid restriction. Sci. Rep. 2017, 7, 1–9. [Google Scholar] [CrossRef]
  62. Lo, W.-U.; Chow, K.-H.; Law, P.Y.; Ng, K.-Y.; Cheung, Y.-Y.; Lai, E.L.; Ho, P.-L. Highly conjugative IncX4 plasmids carrying bla CTX-M in Escherichia coli from humans and food animals. J. Med. Microbiol. 2014, 63, 835–840. [Google Scholar] [CrossRef]
  63. Shen, C.; Zhong, L.-L.; Yang, Y.; Doi, Y.; Paterson, D.L.; Stoesser, N.; Ma, F.; Ahmed, M.A.E.-G.E.-S.; Feng, S.; Huang, S.; et al. Dynamics of mcr-1 prevalence and mcr-1-positive Escherichia coli after the cessation of colistin use as a feed additive for animals in China: A prospective cross-sectional and whole genome sequencing-based molecular epidemiological study. Lancet Microbe 2020, 1, 34–43. [Google Scholar] [CrossRef]
  64. Johura, F.-T.; Tasnim, J.; Barman, I.; Biswas, S.R.; Jubyda, F.T.; Sultana, M.; George, C.M.; Camilli, A.; Seed, K.D.; Ahmed, N.; et al. Colistin-resistant Escherichia coli carrying mcr-1 in food, water, hand rinse, and healthy human gut in Bangladesh. Gut Pathog. 2020, 12, 1–8. [Google Scholar] [CrossRef]
  65. Partridge, S.R.; Kwong, S.M.; Firth, N.; Jensen, S.O. Mobile Genetic Elements Associated with Antimicrobial Resistance. Clin. Microbiol. Rev. 2018, 31, e00088-17. [Google Scholar] [CrossRef]
  66. Huijbers, P.M.; Flach, C.-F.; Larsson, D.J. A conceptual framework for the environmental surveillance of antibiotics and antibiotic resistance. Environ. Int. 2019, 130, 104880. [Google Scholar] [CrossRef] [PubMed]
  67. Kao, C.; Wu, F.; Chen, K.; Lin, T.; Yen, Y.; Chiang, P. Pollutant sources investigation and remedial strategies development for the Kaoping River Basin, Taiwan. Water Sci. Technol. 2003, 48, 97–103. [Google Scholar] [CrossRef]
Figure 1. River collection sites in this study; riverine areas with mcr-1-positive sites are indicated by a red line.
Figure 1. River collection sites in this study; riverine areas with mcr-1-positive sites are indicated by a red line.
Microorganisms 09 00722 g001
Figure 2. Livestock density and mcr-1 positive and negative site correlations: (A) (left): chicken density; (B) (right) pig density.
Figure 2. Livestock density and mcr-1 positive and negative site correlations: (A) (left): chicken density; (B) (right) pig density.
Microorganisms 09 00722 g002
Figure 3. Plasmids in the colistin-resistant strains. (A) Plasmids in the riverine colistin-resistant E. coli isolates. (B) Plasmids in the transconjugants that obtained colistin-resistant plasmids from the riverine strains. Size markers 1 and 2 were plasmids isolated from Salmonella strains OU7058 and OUT7526, respectively [35].
Figure 3. Plasmids in the colistin-resistant strains. (A) Plasmids in the riverine colistin-resistant E. coli isolates. (B) Plasmids in the transconjugants that obtained colistin-resistant plasmids from the riverine strains. Size markers 1 and 2 were plasmids isolated from Salmonella strains OU7058 and OUT7526, respectively [35].
Microorganisms 09 00722 g003
Figure 4. Linear comparison of the pEC1279-like plasmids (pEC1279, pEC1280, and pEC1283) and pEC1281, which contained a Tn3 family transposon. IRL—left-inverted repeated sequence; IRR—right-inverted repeated.
Figure 4. Linear comparison of the pEC1279-like plasmids (pEC1279, pEC1280, and pEC1283) and pEC1281, which contained a Tn3 family transposon. IRL—left-inverted repeated sequence; IRR—right-inverted repeated.
Microorganisms 09 00722 g004
Table 1. The antimicrobial drug susceptibility and STs in seven mcr-1-positive isolates.
Table 1. The antimicrobial drug susceptibility and STs in seven mcr-1-positive isolates.
NOSTXTMZCIPTETMERAZINALCTXCHLTIGCAZeCOLAMPGMST
EC1278>1024≤0.25≤0.015>64≤0.03≤2≤4≤0.25=32≤0.25≤0.5=8>64≤0.53661
EC1279>1024>32=0.25>64≤0.03=4>128≤0.25=128=1≤0.5=8>64≤0.53661
EC1280=16=0.5≤0.015=64≤0.03=8≤4≤0.25≤8=0.5≤0.5=8=2≤0.53661
EC1281>1024>32=0.25>64≤0.03≤2=128≤0.25=128≤0.25≤0.5=8>64=1877
EC1282>1024>32=0.12=64≤0.03=8=8≤0.25=128=0.5≤0.5≤1>64=1155
EC1283=16=0.5≤0.015=4≤0.03=4≤4≤0.25>128≤0.25≤0.5=4>64=86732
EC1284=16=0.5=0.03≤2≤0.03=4≤4≤0.25≤8≤0.25≤0.5≤1=4≤0.57149
STX-TMZ; CIP: ciprofloxacin; TET: tetracycline; MER: meropenem; AZI: azithromycin; NAL: nalidixic acid; CTX: cefotaxime; CHL: chloroamphenicol; TIG: tigecycline; CAZ: ceftazidime; COL: colistin; AMP: ampicillin; GM: gentamicin.
Table 2. Independent t-test of the mcr-1-positive and mcr-1-negative E. coli sites.
Table 2. Independent t-test of the mcr-1-positive and mcr-1-negative E. coli sites.
Parametermcr-1-Positive E. coli Sitemcr-1-Negative E. coli Site p-Value
N = 7N = 112
Pollution index (mean ± SD)4.08 ± 2.312.84 ± 1.710.073
Air temperature (mean ± SD)20.59 ± 6.5921.3 ± 4.780.712
Water temperature (mean ± SD)21.02 ± 5.6820.38 ± 3.650.661
PH (mean ± SD)7.97 ± 0.367.81 ± 0.530.421
Coliform number (mean ± SD)252,657 ± 375,707169,949 ± 636,8440.735
Chickens stocking density (birds/km2; mean ± SD)5354 ± 44722956 ± 70070.223
Pigs stocking density (herds/km2; mean ± SD)746 ± 1174185 ± 4210.254
Cows stocking density (herds/km2; mean ± SD)45 ± 1124.6 ± 17.40.372
Human population density (people/km2; mean ± SD)1096 ± 10111680 ± 35330.665
Table 3. Chi-square test of the mcr-1-positive and mcr-1-negative E. coli sites.
Table 3. Chi-square test of the mcr-1-positive and mcr-1-negative E. coli sites.
Categorical Parameter mcr-1-Positive E. coli Site
(n = 7)
mcr-1-neGative E. coli Site
(n = 112)
p-Value
Chicken stocking density (No./km2) 0.028 *
   <10001 (14.3)67 (59.8)
   1000–50003 (42.9)31 (27.7)
   >50003 (42.9)14 (12.5)
050
Pig stocking density (No./km2) 0.012 *
   <1004 (57.1)73 (65.2)
   100–10001 (14.3)35 (31.2)
   >10002 (28.6)4 (3.6)
Cow stocking density (No./km2) 0.613
   0–55 (71.4)95 (84.8)
   6–101 (14.3)7 (6.2)
   ≥111 (14.3)10 (8.9)
River pollution severity 0.542
Unpolluted1 (14.3)42 (37.5)
Negligibly polluted2 (28.6)23 (20.5)
Moderately polluted3 (42.9)41 (36.6)
Severely polluted1 (14.3)6 (5.4)
Human population density 1.000
<=1000 people/km25 (71.4)70 (62.5)
>1000 people/km22 (28.6)42 (37.5)
* p-Value < 0.05.
Table 4. Examples of pEC1279-like plasmids.
Table 4. Examples of pEC1279-like plasmids.
PlasmidSourceStrainRegionsSize (bp) Accession #Reference
pKP15450-MCR-1HumanK. pneumoniaeTaiwan33,309MH715959.1
pNG14043HumanSalmonellaTaiwan33,308KY120364.1[36]
p2017.19.01CCHumanE. coliVietnam33,309LC511660.1[37]
p31349 HumanE. coliSwitzerland33,303KY689634.1[38]
pmcr1_IncX4HumanK. pneumoniaeChina33,287KU761327.1[39]
pMCR-1_MscHumanE. coliRussia33,310MK172815.1[40]
pWI2-mcrHumanE. coliFrance33,304LT838201.1[41]
pICBEC12-3mcrAvianE. coliBrazil33,304CP021419.1
pMcp0271Chicken meatE. coliSwitzerland33,303KY565556[38]
pHNSHP10SwineE. coliChina33,309MF774182.1[42]
pNCYU-24-74-6_MCR1SwineE. coliTaiwan33,300CP042644.1[7]
pCSZ4PorkE. coliChina33,309KX711706.1[43]
pMCR_WCHEC1618WastewaterE. coliChina33,309KY463454.1[44]
pB2WastewaterE. coliJapan33,309LC479085.1[45]
# NCBI GenBank database accession numbers.
Publisher’s Note: MDPI stays neutral with regard to jurisdictional claims in published maps and institutional affiliations.

Share and Cite

MDPI and ACS Style

Teng, C.-H.; Wu, P.-C.; Tang, S.-L.; Chen, Y.-C.; Cheng, M.-F.; Huang, P.-C.; Ko, W.-C.; Wang, J.-L. A Large Spatial Survey of Colistin-Resistant Gene mcr-1-Carrying E. coli in Rivers across Taiwan. Microorganisms 2021, 9, 722. https://doi.org/10.3390/microorganisms9040722

AMA Style

Teng C-H, Wu P-C, Tang S-L, Chen Y-C, Cheng M-F, Huang P-C, Ko W-C, Wang J-L. A Large Spatial Survey of Colistin-Resistant Gene mcr-1-Carrying E. coli in Rivers across Taiwan. Microorganisms. 2021; 9(4):722. https://doi.org/10.3390/microorganisms9040722

Chicago/Turabian Style

Teng, Ching-Hao, Pin-Chieh Wu, Sen-Lin Tang, Yi-Chen Chen, Ming-Fang Cheng, Ping-Chih Huang, Wen-Chien Ko, and Jiun-Ling Wang. 2021. "A Large Spatial Survey of Colistin-Resistant Gene mcr-1-Carrying E. coli in Rivers across Taiwan" Microorganisms 9, no. 4: 722. https://doi.org/10.3390/microorganisms9040722

APA Style

Teng, C.-H., Wu, P.-C., Tang, S.-L., Chen, Y.-C., Cheng, M.-F., Huang, P.-C., Ko, W.-C., & Wang, J.-L. (2021). A Large Spatial Survey of Colistin-Resistant Gene mcr-1-Carrying E. coli in Rivers across Taiwan. Microorganisms, 9(4), 722. https://doi.org/10.3390/microorganisms9040722

Note that from the first issue of 2016, this journal uses article numbers instead of page numbers. See further details here.

Article Metrics

Back to TopTop