Occurrence of blaTEM and blaCTXM Genes and Biofilm-Forming Ability among Clinical Isolates of Pseudomonas aeruginosa and Acinetobacter baumannii in Yaoundé, Cameroon
Abstract
1. Introduction
2. Materials and Methods
2.1. Isolation and Handling of Bacterial Strains
2.2. Molecular Identification
2.2.1. DNA Extraction
2.2.2. Polymerase Chain Reaction (PCR) Identification Tests
2.3. Antimicrobial Susceptibility Testing
2.4. Determination of Multidrug-Resistant (MDR) Patterns
2.5. Phenotype Determination of Resistance Enzymes
2.5.1. Detection of Hyper-Produced Cephalosporinase AmpC Phenotype
2.5.2. Detection of Extended-Spectrum β-Lactamase Phenotype (ESBLs)
2.5.3. Detection of the Metallo-β-Lactamase (MBLs) Phenotypes
2.6. Biofilm Formation Assay
2.7. Polymerase Chain Reaction (PCR)-Based Detection of Virulence and Resistance Determinants
2.8. Data Analysis
2.9. Ethical Approval
3. Results
3.1. PCR Identification and Distribution of Isolates
3.2. Antibiotic Resistance Profiles
3.3. Resistance Enzymes
3.4. Biofilm Formation Assay
3.5. Phenotypic Cluster Analysis of Isolates Based on Antibiotic Inhibition Zone Diameter (AIZD)
3.6. Virulence Genes Identification
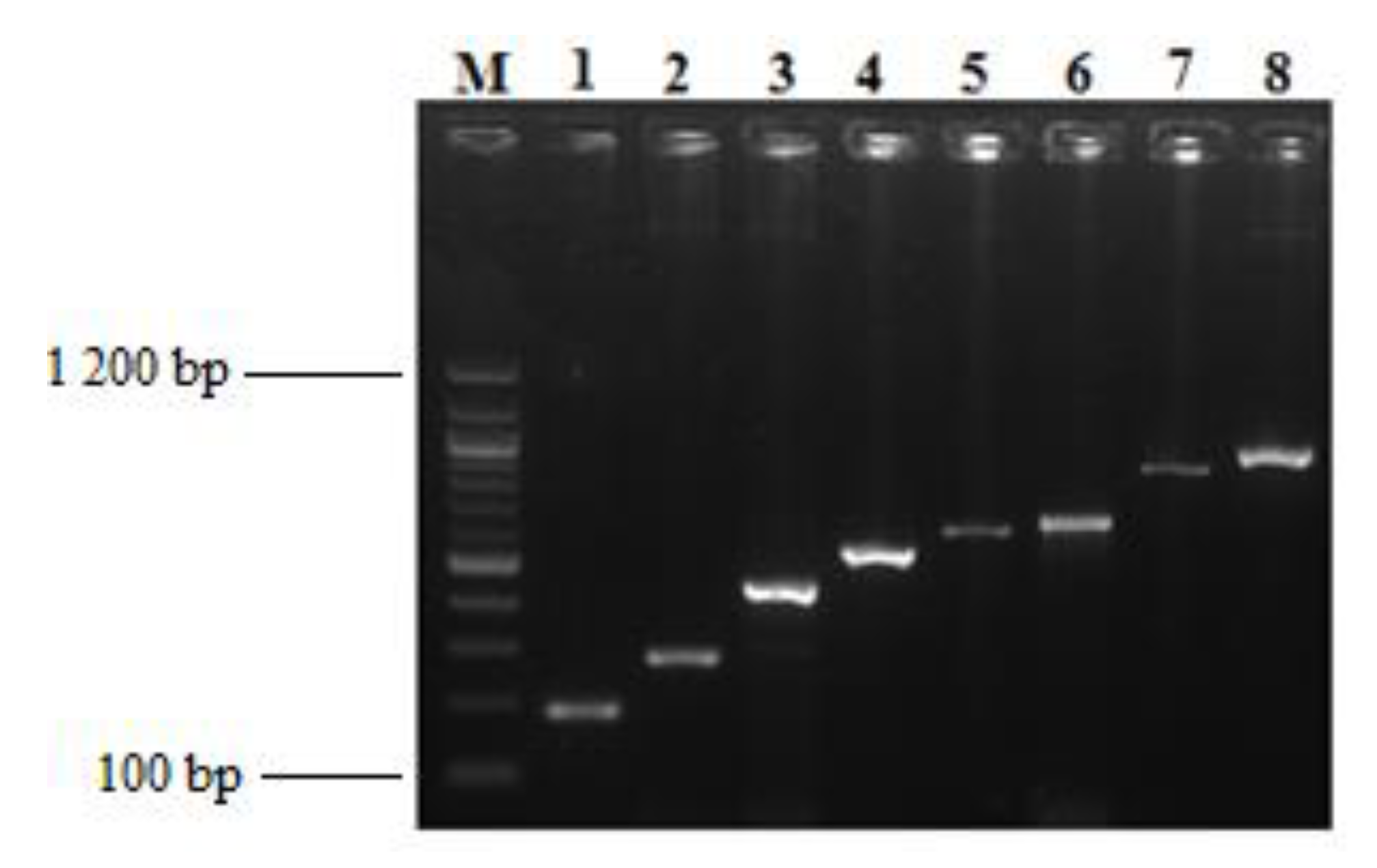
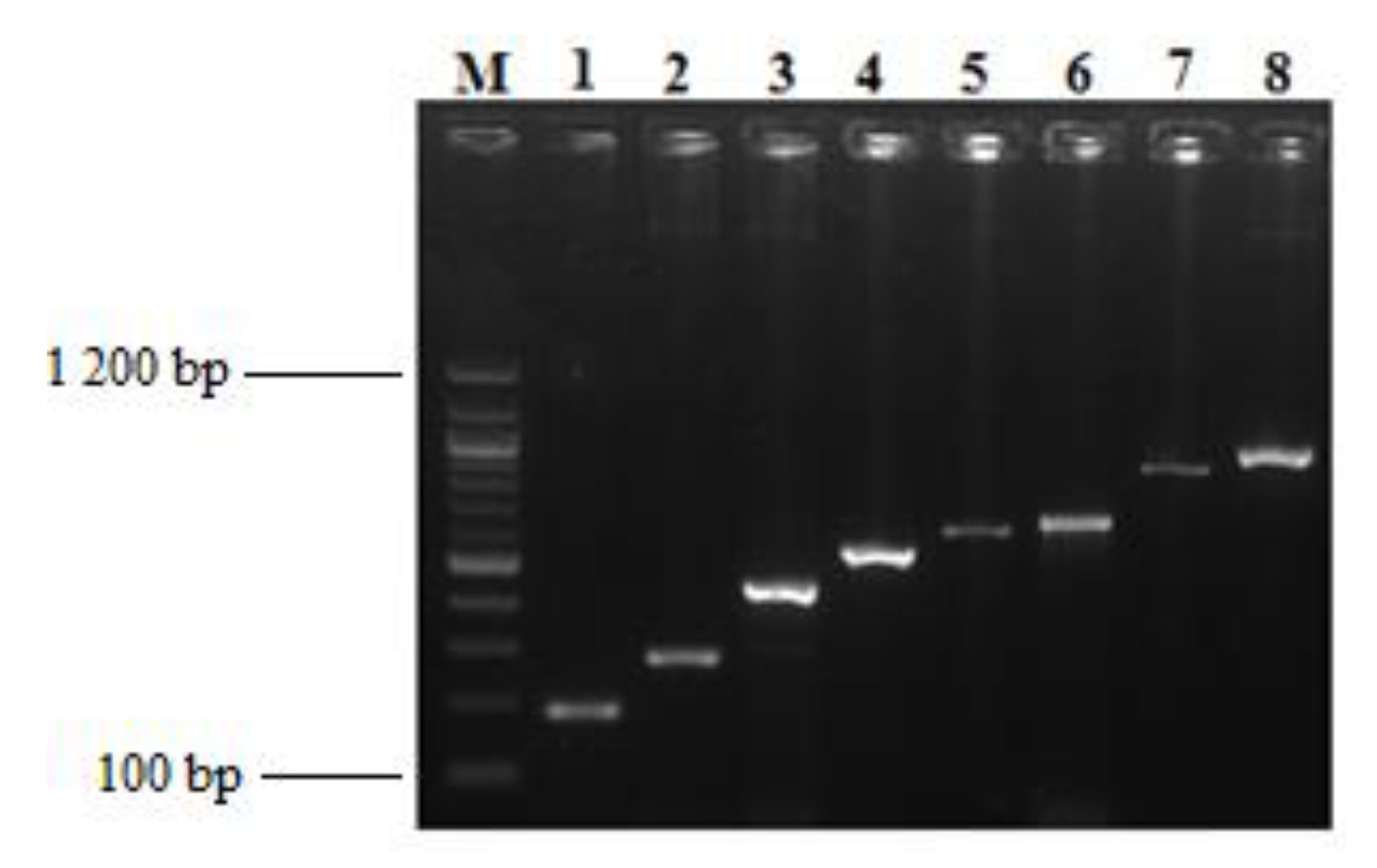
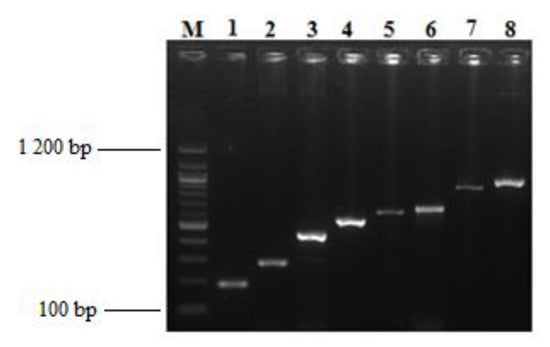
3.7. Resistance Genes Identification
4. Discussion
4.1. Bacteria Distribution
4.2. Resistance Pattern
4.2.1. Resistance to β-lactams
4.2.2. Resistance to Quinolones
4.2.3. Resistance to Aminoglycosides
4.2.4. Resistance to Tetracyclines
4.2.5. Resistance to Trimethoprim-Sulfamethoxazole
4.3. Detection of Antimicrobial Resistance Enzymes
4.3.1. Phenotypic Detection of AmpC
4.3.2. Phenotypic Detection of Extended Spectrum β-lactamases (ESBLs)
4.3.3. Phenotypic Detection of MBLs
4.3.4. Multidrug Resistance (MDR) Pattern
4.4. Biofilm Ability
4.5. Cluster Distribution of the Isolates
4.6. Virulence Genes Identification
4.7. Resistance Genes Identification
5. Conclusions
Author Contributions
Funding
Acknowledgments
Conflicts of Interest
References
- Bassetti, M.; Vena, A.; Croxatto, A.; Righi, E.; Guery, B.J. How to manage Pseudomonas aeruginosa infections. Drugs Context 2018, 7, 1–18. [Google Scholar] [CrossRef] [PubMed]
- Eze, E.C.; Chenia, H.Y.; El Zowalaty, M.E. Acinetobacter baumannii biofilms: Effects of physicochemical factors, virulence, antibiotic resistance determinants, gene regulation, and future antimicrobial treatments. Infect. Drug Resist. 2018, 11, 2277–2299. [Google Scholar] [CrossRef] [PubMed]
- Zeighami, H.; Valadkhani, F.; Shapouri, R.; Samadi, E.; Haghi, F. Virulence characteristics of multidrug resistant biofilm forming Acinetobacter baumannii isolated from intensive care unit patients. BMC Infect. Dis. 2019, 19, 1–9. [Google Scholar] [CrossRef] [PubMed]
- Milivojevic, D.; Šumonja, N.; Medić, S.; Pavic, A.; Moric, I.; Vasiljevic, B.; Senerovic, L.; Nikodinovic-Runic, J. Biofilm-forming ability and infection potential of Pseudomonas aeruginosa strains isolated from animals and humans. Pathog. Dis. 2018, 76, 1–14. [Google Scholar] [CrossRef]
- De Francesco, M.; Ravizzola, G.; Peroni, L.; Bonfanti, C.; Manca, N. Prevalence of multidrug-resistant Acinetobacter baumannii and Pseudomonas aeruginosa in an Italian hospital. J. Infect. Public Health 2013, 6, 179–185. [Google Scholar] [CrossRef]
- Kateete, D.P.; Nakanjako, R.; Namugenyi, J.; Erume, J.; Joloba, M.L.; Najjuka, C.F. Carbapenem resistant Pseudomonas aeruginosa and Acinetobacter baumannii at Mulago Hospital in Kampala, Uganda (2007–2009). Springerplus 2016, 5, 1–11. [Google Scholar] [CrossRef]
- Munita, J.M.; Arias, C.A. Mechanisms of antibiotic resistance. Microbiol. Spectr. 2016, 4, 1–24. [Google Scholar] [CrossRef]
- Bozcal, E.; Dagdeviren, M. Toxicity of β-lactam antibiotics: Pathophysiology molecular biology and possible recovery strategies. In Poisoning: From Specific Toxic Agents to Novel Rapid and Simplified Techniques for Analysis; InTechOpen: Rijeka, Croatia, 2017; pp. 87–105. [Google Scholar]
- Chem, E.D.; Anong, D.N.; Akoachere, J.-F.K. Prescribing patterns and associated factors of antibiotic prescription in primary health care facilities of Kumbo East and Kumbo West Health Districts, North West Cameroon. PLoS ONE 2018, 13, 1–18. [Google Scholar] [CrossRef]
- Newman, J.W.; Floyd, R.V.; Fothergill, J.L. The contribution of Pseudomonas aeruginosa virulence factors and host factors in the establishment of urinary tract infections. FEMS Microbiol. Lett. 2017, 364, 1–11. [Google Scholar] [CrossRef]
- McConnell, M.J.; Actis, L.; Pachón, J. Acinetobacter baumannii: Human infections, factors contributing to pathogenesis and animal models. FEMS Microbiol. Rev. 2013, 37, 130–155. [Google Scholar] [CrossRef]
- Bissong, M.E.A.; Ateba, C.N. Genotypic and Phenotypic Evaluation of Biofilm Production and Antimicrobial Resistance in Staphylococcus aureus Isolated from Milk, North West Province, South Africa. Antibiotics 2020, 9, 156. [Google Scholar] [CrossRef] [PubMed]
- Bissong, M.E.A.; Mbah, C.; Tatsing Foka, F.; Kamga, H.L. Spectrum of Uropathogens and antimicrobial susceptibility in clinically diagnosed cases of urinary tract infection in the Bamenda regional hospital, Cameroon. Am. J. Health Res. 2017, 5, 19–24. [Google Scholar] [CrossRef][Green Version]
- Akoachere, J.T.K.; Palle, J.N.; Mbianda, S.E.; Nkwelang, G.; Ndip, N.R. Risk factors for wound infection in health care facilities in Buea, Cameroon: Aerobic bacterial pathogens and antibiogram of isolates. Pan Afr. Med. J. 2014, 18, 16. [Google Scholar]
- Akoachere, J.T.K.; Suylika, Y.; Njom, H.A.; Esemu, N.S. Etiologic profile and antimicrobial susceptibility of community-acquired urinary tract infection in two Cameroonian towns. BMC Res. Notes 2012, 5, 219. [Google Scholar] [CrossRef]
- Ateba, N.; Ngaba, G.; Okalla Ebongue, C.; Ngassongo, R.; Tsiagadigui, J.; Behiya, G.; Nguep, E.; Adiogo, D. Susceptibility to Colistin of Multi-Resistant Pseudomonas aeruginosa Isolated in Douala Laquintinie Hospital, Cameroon. Afr. J. Microbiol. Res. 2013, 2, 1–4. [Google Scholar] [CrossRef]
- Mouiche, M.M.M.; Moffo, F.; Akoachere, J.-F.T.K.; Okah-Nnane, N.H.; Mapiefou, N.P.; Ndze, V.N.; Wade, A.; Djuikwo-Teukeng, F.F.; Toghoua, D.G.T.; Zambou, H.R. Antimicrobial resistance from a one health perspective in Cameroon: A systematic review and meta-analysis. BMC Public Health 2019, 19, 1–20. [Google Scholar] [CrossRef] [PubMed]
- Spilker, T.; Coenye, T.; Vandamme, P.; LiPuma, J.J. PCR-based assay for differentiation of Pseudomonas aeruginosa from other Pseudomonas species recovered from cystic fibrosis patients. J. Clin. Microbiol. 2004, 42, 2074–2079. [Google Scholar] [CrossRef]
- Fazeli, N.; Momtaz, H. Virulence gene profiles of multidrug-resistant Pseudomonas aeruginosa isolated from Iranian hospital infections. Iran. Red Crescent Med. J. 2014, 16, 1–10. [Google Scholar] [CrossRef]
- Ghadaksaz, A.; Fooladi, A.A.I.; Hosseini, H.M.; Amin, M. The prevalence of some Pseudomonas virulence genes related to biofilm formation and alginate production among clinical isolates. J. Appl. Biomed. 2015, 13, 61–68. [Google Scholar] [CrossRef]
- Feizabadi, M.; Fathollahzadeh, B.; Taherikalani, M.; Rasoolinejad, M.; Sadeghifard, N.; Aligholi, M.; Soroush, S.; Mohammadi-Yegane, S. Antimicrobial susceptibility patterns and distribution of blaOXA genes among Acinetobacter spp. Isolated from patients at Tehran hospitals. Jpn. J. Infect. Dis. 2008, 61, 274–278. [Google Scholar]
- Azizi, O.; Shahcheraghi, F.; Salimizand, H.; Modarresi, F.; Shakibaie, M.R.; Mansouri, S.; Ramazanzadeh, R.; Badmasti, F.; Nikbin, V. Molecular analysis and expression of bap gene in biofilm-forming multi-drug-resistant Acinetobacter baumannii. Rep. Biochem. Mol. Biol. 2016, 5, 62–72. [Google Scholar] [PubMed]
- Celenza, G.; Pellegrini, C.; Caccamo, M.; Segatore, B.; Amicosante, G.; Perilli, M. Spread of bla CTX-M-type and bla PER-2 β-lactamase genes in clinical isolates from Bolivian hospitals. J. Antimicrob. Chemother. 2006, 57, 975–978. [Google Scholar] [CrossRef] [PubMed]
- AL-Kadmy, I.M.; Ali, A.N.M.; Salman, I.M.A.; Khazaal, S.S. Molecular characterization of Acinetobacter baumannii isolated from Iraqi hospital environment. New Microbes New Infect. 2018, 21, 51–57. [Google Scholar] [CrossRef] [PubMed]
- Comité de l’antibiogramme de la Société Française de Microbiologie/European Committee on Antimicrobial Susceptibility Testing (CASFM/EUCAST): Société Française de Microbiologie. Recommandations 2018 V.2.0, September 2018.
- Magiorakos, A.P.; Srinivasan, A.; Carey, R.; Carmeli, Y.; Falagas, M.; Giske, C.; Harbarth, S.; Hindler, J.; Kahlmeter, G.; Olsson-Liljequist, B. Multidrug-resistant, extensively drug-resistant and pandrug-resistant bacteria: An international expert proposal for interim standard definitions for acquired resistance. Clin. Microbiol. Infect. 2012, 18, 268–281. [Google Scholar] [CrossRef] [PubMed]
- Tan, T.Y.; Ng, L.S.Y.; He, J.; Koh, T.H.; Hsu, L.Y. Evaluation of screening methods to detect plasmid-mediated AmpC in Escherichia coli, Klebsiella pneumoniae, and Proteus mirabilis. Antimicrob. Agents Chemother. 2009, 53, 146–149. [Google Scholar] [CrossRef] [PubMed]
- Yong, D.; Lee, K.; Yum, J.H.; Shin, H.B.; Rossolini, G.M.; Chong, Y. Imipenem-EDTA disk method for differentiation of metallo-β-lactamase-producing clinical isolates of Pseudomonas spp. and Acinetobacter spp. J. Clin. Microbiol. 2002, 40, 3798–3801. [Google Scholar] [CrossRef] [PubMed]
- O’Toole, G.A.; Pratt, L.A.; Watnick, P.I.; Newman, D.K.; Weaver, V.B.; Kolter, R. [6] Genetic approaches to study of biofilms. In Methods in Enzymology; Elsevier: Amsterdam, The Netherlands, 1999; Volume 310, pp. 91–109. [Google Scholar]
- Mack, D.; Rohde, H.; Harris, L.G.; Davies, A.P.; Horstkotte, M.A.; Knobloch, J.K. Biofilm formation in medical device-related infection. Int. J. Artif. Org. 2006, 29, 343–359. [Google Scholar] [CrossRef]
- Streeter, K.; Katouli, M. Pseudomonas aeruginosa: A review of their Pathogenesis and Prevalence in Clinical Settings and the Environment. Infect. Epidemiol. Microbiol. 2016, 2, 25–32. [Google Scholar] [CrossRef]
- Lee, H.S.; Moon, J.; Shin, H.-R.; Ahn, S.J.; Kim, T.-J.; Jun, J.-S.; Lee, S.-T.; Jung, K.-H.; Park, K.-I.; Jung, K.-Y. Pneumonia in hospitalized neurologic patients: Trends in pathogen distribution and antibiotic susceptibility. Antimicrob. Resist. Infect. Control 2019, 8, 1–8. [Google Scholar] [CrossRef]
- Gangoue-Pieboji, J.; Koulla-Shiro, S.; Ngassam, P.; Adiogo, D.; Ndumbe, P. Antimicrobial activity against gram negative bacilli from Yaounde Central Hospital, Cameroon. Afr. Health Sci. 2006, 6, 232–235. [Google Scholar]
- Alemayehu, T.; Ali, M.; Mitiku, E.; Hailemariam, M. The burden of antimicrobial resistance at tertiary care hospital, southern Ethiopia: A three years’ retrospective study. BMC Infect. Dis. 2019, 19, 1–8. [Google Scholar] [CrossRef] [PubMed]
- Alkasaby, N.M.; El Sayed Zaki, M. Molecular study of Acinetobacter baumannii isolates for Metallo-β-lactamases and extended-spectrum-β-lactamases genes in intensive care unit, Mansoura University Hospital, Egypt. Int. J. Microbiol. 2017, 1–6. [Google Scholar] [CrossRef] [PubMed]
- World Health Organisation (WHO). 2018. Antibiotic Resistance. Available online: https://www.who.int/news-room/fact-sheets/detail/antibiotic-resistance. (accessed on 14 April 2020).
- Worthington, R.J.; Melander, C. Overcoming Resistance to β-Lactam Antibiotics. J. Org. Chem. 2013, 78, 4207–4213. [Google Scholar] [CrossRef] [PubMed]
- Fazeli, H.; Akbari, R.; Moghim, S.; Narimani, T.; Arabestani, M.R.; Ghoddousi, A.R. Pseudomonas aeruginosa infections in patients, hospital means, and personnel’s specimens. J. Res. Med. Sci. 2012, 17, 332–337. [Google Scholar]
- Kamble, R. Acinetobacter species in Health Care setting: Clinical significance and Antimicrobial sensitivity. Int. J. Curr. Microbiol. Appl. Sci. 2015, 4, 861–869. [Google Scholar]
- National Department of Health, South Africa. Surveillance for Antimicrobial Resistance and Consumption of Antibiotics in South Africa; National Department of Health: Pretoria, South Africa, 2018; pp. 1–36.
- Llanes, C.; Pourcel, C.; Richardot, C.; Plésiat, P.; Fichant, G.; Cavallo, J.-D.; Mérens, A.; Group, G.S.; Vu-Thien, H.; Leclercq, R. Diversity of β-lactam resistance mechanisms in cystic fibrosis isolates of Pseudomonas aeruginosa: A French multicentre study. J. Antimicrob. Chemother. 2013, 68, 1763–1771. [Google Scholar] [CrossRef]
- Mushi, M.F.; Mshana, S.E.; Imirzalioglu, C.; Bwanga, F. Carbapenemase genes among multidrug resistant gram negative clinical isolates from a tertiary hospital in Mwanza, Tanzania. BioMed. Res. Int. 2014, 2014, 1–6. [Google Scholar] [CrossRef]
- Dickstein, Y.; Temkin, E.; Ish Shalom, M.; Schwartz, D.; Carmeli, Y.; Schwaber, M.J. Trends in antimicrobial resistance in Israel, 2014–2017. Antimicrob. Resist. Infect. Control 2019, 8, 1–5. [Google Scholar] [CrossRef]
- Gonsu, K.H.; Toukam, M.; Sando, Z.; Ndifo, N.J.-M.; Mbakop, C.D.; Adiogo, D. Caractérisation phénotypique des souches de Pseudomonas aeruginosa isolées dans la ville de Yaoundé (Cameroun). Afr. J. Pathol. Microbiol. 2015, 4, 1–4. [Google Scholar]
- Moghnieh, R.; Araj, G.F.; Awad, L.; Daoud, Z.; Mokhbat, J.E.; Jisr, T.; Abdallah, D.; Azar, N.; Irani-Hakimeh, N.; Balkis, M.M. A compilation of antimicrobial susceptibility data from a network of 13 Lebanese hospitals reflecting the national situation during 2015–2016. Antimicrob. Resist. Infect. Control 2019, 8, 1–17. [Google Scholar] [CrossRef]
- Lowings, M.; Ehlers, M.M.; Dreyer, A.W.; Kock, M.M. High prevalence of oxacillinases in clinical multidrug-resistant Acinetobacter baumannii isolates from the Tshwane region, South Africa—An update. BMC Infect. Dis. 2015, 15, 1–10. [Google Scholar] [CrossRef] [PubMed]
- Van Boeckel, T.P.; Gandra, S.; Ashok, A.; Caudron, Q.; Grenfell, B.T.; Levin, S.A.; Laxminarayan, R. Global antibiotic consumption 2000 to 2010: An analysis of national pharmaceutical sales data. Lancet Infect. Dis. 2014, 14, 742–750. [Google Scholar] [CrossRef]
- Jalal, S.; Ciofu, O.; Høiby, N.; Gotoh, N.; Wretlind, B. Molecular Mechanisms of Fluoroquinolone Resistance in Pseudomonas aeruginosa Isolates from Cystic Fibrosis Patients. Antimicrob. Agents Chemother. 2000, 44, 710–712. [Google Scholar] [CrossRef] [PubMed]
- Feretzakis, G.; Loupelis, E.; Sakagianni, A.; Skarmoutsou, N.; Michelidou, S.; Velentza, A.; Martsoukou, M.; Valakis, K.; Petropoulou, S.; Koutalas, E.J.A. A 2-Year Single-Centre Audit on Antibiotic Resistance of Pseudomonas aeruginosa, Acinetobacter baumannii and Klebsiella pneumoniae Strains from an Intensive Care Unit and Other Wards in a General Public Hospital in Greece. Antibiotics 2019, 8, 62. [Google Scholar] [CrossRef] [PubMed]
- Mohanty, S.; Baliyarsingh, B.; Nayak, S.K. Antimicrobial Resistance in Pseudomonas aeruginosa: A Concise Review; InTechOpen: Rijeka, Croatia, 2020. [Google Scholar] [CrossRef][Green Version]
- Meshkat, Z.; Salimizand, H.; Amini, Y.; Khakshoor, M.; Mansouri, D.; Farsiani, H.; Ghazvini, K.; Najafi, A. Molecular characterization and genetic relatedness of clinically Acinetobacter baumanii isolates conferring increased resistance to the first and second generations of tetracyclines in Iran. Ann. Clin. Microbiol. Antimicrob. 2017, 16, 1–6. [Google Scholar] [CrossRef] [PubMed]
- Kooli, I.; Brahim, H.B.; Kilani, M.; Gannouni, C.; Aouam, A.; Toumi, A.; Loussaief, C.; Hattab, M.n.; Chakrouna, M. Successful treatment of postoperative multidrug-resistant Acinetobacter baumannii meningitis by tigecycline. J. Glob. Antimicrob. Resist. 2016, 5, 62–65. [Google Scholar] [CrossRef]
- Bassetti, M.; Peghin, M.; Vena, A.; Giacobbe, D.R. Treatment of infections due to mdr gram-negative bacteria. Front. Med. 2019, 6, 1–10. [Google Scholar] [CrossRef]
- Ekambi, G.-A.E.; Ebongue, C.O.; Penda, I.C.; Nga, E.N.; Mpondo, E.M.; Moukoko, C.E.E. Knowledge, practices and attitudes on antibiotics use in Cameroon: Self-medication and prescription survey among children, adolescents and adults in private pharmacies. PLoS ONE 2019, 14, 1–17. [Google Scholar]
- Salehi, B.; Goudarzi, H.; Nikmanesh, B.; Houri, H.; Alavi-Moghaddam, M.; Ghalavand, Z. Emergence and characterization of nosocomial multidrug-resistant and extensively drug-resistant Acinetobacter baumannii isolates in Tehran, Iran. J. Infect. Chemother. 2018, 24, 515–523. [Google Scholar] [CrossRef]
- Gupta, R.; Malik, A.; Rizvi, M.; Ahmed, M. Presence of metallo-beta-lactamases (MBL), extended-spectrum beta-lactamase (ESBL) & AmpC positive non-fermenting Gram-negative bacilli among Intensive Care Unit patients with special reference to molecular detection of blaCTX-M & blaAmpC genes. Indian J. Med. Res. 2016, 144, 271–275. [Google Scholar]
- Abrar, S.; Ain, N.U.; Liaqat, H.; Hussain, S.; Rasheed, F.; and Riaz, S. Distribution of blaCTX−M, blaTEM, blaSHV and blaOXA genes in Extended-spectrum-β-lactamase-producing Clinical isolates: Athree-year multi-center study from Lahore, Pakistan. Antimicrob. Resist. Infect.Control 2019, 8, 1–10. [Google Scholar] [CrossRef] [PubMed]
- Bush, K.; Jacoby, G.A.; Medeiros, A.A. A functional classification scheme for beta-lactamases and its correlation with molecular structure. Antimicrob. Agents Chemother. 1995, 39, 1211–1233. [Google Scholar] [CrossRef] [PubMed]
- Kaur, A.; Singh, S. Prevalence of Extended Spectrum Betalactamase (ESBL) and Metallobetalactamase (MBL) Producing Pseudomonas aeruginosa and Acinetobacter baumannii Isolated from Various Clinical Samples. J. Pathog. 2018, 2018, 1–7. [Google Scholar] [CrossRef] [PubMed]
- Litake, G.M.; Ghole, V.S.; Niphadkar, K.B.; Joshi, S.G. Phenotypic ESBL detection in Acinetobacter baumannii: A real challenge. Am. J. Infect. Dis. 2015, 11, 48–53. [Google Scholar] [CrossRef]
- Uddin, F.; McHugh, T.D.; Roulston, K.; Platt, G.; Khan, T.A.; Sohail, M. Detection of carbapenemases, AmpC and ESBL genes in Acinetobacter isolates from ICUs by DNA microarray. J. Microbiol. Method. 2018, 155, 19–23. [Google Scholar] [CrossRef]
- Mandal, S.M.; Roy, A.; Ghosh, A.K.; Hazra, T.K.; Basak, A.; Franco, O.L. Challenges and future prospects of antibiotic therapy: From peptides to phages utilization. Front. Pharmacol. 2014, 5, 105. [Google Scholar] [CrossRef]
- Kaur, I. Novel strategies to combat antimicrobial resistance. J. Infect. Dis. Ther. 2016, 4, 292. [Google Scholar] [CrossRef]
- Naas, T.; Poirel, L.; Karim, A.; Nordmann, P. Molecular characterization of In50, a class 1 integron encoding the gene for the extended-spectrum β-lactamase VEB-1 in Pseudomonas aeruginosa. FEMS Microbiol. Lett. 1999, 176, 411–419. [Google Scholar]
- Giulia, D.A.; Fiori, B.; Menchinelli, G.; D’Inzeo, T.; Liotti, F.M.; Morandotti, G.A.; Sanguinetti, M.; Posteraro, B.; Spanu, T. Incidence and antimicrobial resistance trends in bloodstream infections caused by ESKAPE and Escherichia coli at a large teaching hospital in Rome, a 9-year analysis (2007–2015). Eur. J. Clin. Microbiol. Infect. Dis. 2018, 37, 1627–1636. [Google Scholar]
- Rynga, D.; Shariff, M.; Deb, M. Phenotypic and molecular characterization of clinical isolates of Acinetobacter baumannii isolated from Delhi, India. Ann. Clin. Microbiol. Antimicrob. 2015, 14, 1–8. [Google Scholar] [CrossRef]
- Percival, S.L.; Williams, D.; Cooper, T.; Randle, J. Biofilms in Infection Prevention and Control: A Healthcare Handbook; Academic Press: Cambridge, MA, USA, 2014. [Google Scholar]
- Corehtash, Z.G.; Ahmad Khorshidi, F.F.; Akbari, H.; Aznaveh, A.M. Biofilm formation and virulence factors among Pseudomonas aeruginosa isolated from burn patients. Jundishapur J. Microbiol. 2015, 8, 1–6. [Google Scholar]
- Hoštacká, A.; Čižnár, I.; Štefkovičová, M. Temperature and pH affect the production of bacterial biofilm. Folia Microbiol. 2010, 55, 75–78. [Google Scholar] [CrossRef]
- Yang, C.-H.; Su, P.-W.; Moi, S.-H.; Chuang, L.-Y. Biofilm Formation in Acinetobacter Baumannii: Genotype-Phenotype Correlation. Molecules 2019, 24, 1849. [Google Scholar] [CrossRef] [PubMed]
- Longo, F.; Vuotto, C.; Donelli, G. Biofilm formation in Acinetobacter baumannii. New Microbiol. 2014, 37, 119–127. [Google Scholar]
- M’hamedi, I.; Hassaine, H.; Bellifa, S.; Lachachi, M.; Terki, I.K.; Djeribi, R. Biofilm formation by Acinetobacter baumannii isolated from medical devices at the intensive care unit of the University Hospital of Tlemcen (Algeria). Afr. J. Microbiol. Res. 2014, 8, 270–276. [Google Scholar]
- Espinal, P.; Marti, S.; Vila, J. Effect of biofilm formation on the survival of Acinetobacter baumannii on dry surfaces. J. Hosp. Infect. 2012, 80, 56–60. [Google Scholar] [CrossRef] [PubMed]
- Stiefel, P.; Mauerhofer, S.; Schneider, J.; Maniura-Weber, K.; Rosenberg, U.; Ren, Q. Enzymes enhance biofilm removal efficiency of cleaners. Antimicrob. Agents Chemother. 2016, 60, 3647–3652. [Google Scholar] [CrossRef]
- Asadpour, L. Antimicrobial resistance, biofilm-forming ability and virulence potential of Pseudomonas aeruginosa isolated from burn patients in northern Iran. J. Glob. Antimicrob. Resist. 2018, 13, 214–220. [Google Scholar] [CrossRef]
- Ahmed, A.B.H.; Abbassi, M.S.; Rojo-Bezares, B.; Ruiz-Roldán, L.; Dhahri, R.; Mehri, I.; Sáenz, Y.; Hassen, A. Characterization of Pseudomonas aeruginosa isolated from various environmental niches: New STs and occurrence of antibiotic susceptible “highrisk clones”. Int. J. Environ. Health Res. 2019, 23, 1–10. [Google Scholar] [CrossRef]
- Ruiz-Roldán, L.; Bellés, A.; Bueno, J.; Azcona-Gutiérrez, J.M.; Rojo-Bezares, B.; Torres, C.; Castillo, F.J.; Sáenz, Y.; Seral, C. Pseudomonas aeruginosa isolates from Spanish children: Occurrence in faecal samples, antimicrobial resistance, virulence, and molecular typing. BioMed. Res. Int. 2018, 2018, 1–8. [Google Scholar] [CrossRef]
- Peymani, A.; Naserpour-Farivar, T.; Zare, E.; Azarhoosh, K.H. Distribution of blaTEM, blaSHV, and blaCTX-M genes among ESBL-producing P. aeruginosa isolated from Qazvin and Tehran hospitals. Iran. J Prev Med Hyg. 2017, 58, E155–E160. [Google Scholar] [PubMed]
- Cantón, R.; González-Alba, J.M.; Galán, J.C. CTX-M enzymes: Origin and diffusion. Front. Microbiol. 2015, 3, 1–18. [Google Scholar] [CrossRef] [PubMed]
- Alyamani, E.J.; Khiyami, M.A.; Booq, R.Y.; Alnafjan, B.M.; Altammami, M.A.; Bahwerth, F.S. Molecular characterization of extended-spectrum beta-lactamases (ESBLs) produced by clinical isolates of Acinetobacter baumannii in Saudi Arabia. Ann. Clin. Microbiol. Antimicrob. 2015, 14, 1–9. [Google Scholar] [CrossRef] [PubMed]









| Target Gene | Primer Sequences (5’ to 3’) | Annealing Temperature | Amplicon Size bp | References |
|---|---|---|---|---|
| Identification Genes | ||||
| Pseudomonas spp. | F:GACGGGTGAGTAATGCCTA R:CACTGGTGTTCCTTCCTATA | 53.6 °C | 618 | [18] |
| Pseudomonas aeruginosa | F:GGGGGATCTTCGGACCTCA R:TCCTTAGAGTGCCCACCCG | 53.6 °C | 956 | [18] |
| Pseudomonas aeruginosa Virulence Genes | ||||
| lasB | F:GGAATGAACGAAGCGTTCTCCGAC R:TGGCGTCGACGAACACCTG | 55 °C | 284 | [19] |
| exoA | F:TGCTGCACTACTCCATGGTC R:ATCGGTACCAGCCAGTTCAG | 60 °C | 190 | [20] |
| pslA | F: TCCCTACCTCAGCAGCAAGC R: TGTTGTAGCCGTAGCGTTTCTG | 60 °C | 656 | [20] |
| exoS | F:CGTCGTGTTCAAGCAGATGGTGCTG R: CCGAACCGCTTCACCAGGC | 55 °C | 444 | [20] |
| Acinetobacter baumannii Identification Gene | ||||
| ITS | F:CATTATCACGGTAATTAGTG R:AGAGCACTGTGCACTTAAG | 55 °C | 208 | [21] |
| Acinetobacter baumannii Virulence Genes | ||||
| OmpA | F:GTTAAAGGCGACGTAGACG R:CCAGTGTTATCTGTGTGACC | 56 °C | 578 | [22] |
| csuE | F:CATCTTCTATTTCGGTCCC R:CGGTCTGAGCATTGGTAA | 59 °C | 168 | [22] |
| Resistance Genes | ||||
| blaTEM | F:ATGAGTATTCAACATTTCCG R:TTACCAATGCTTAATCAGTGAG | 50 °C | 861 | [23] |
| blaCTX M | F:CGCTTTGCGATGTGCAG R:ACCGCGATATCGTTGGT | 56.9 °C | 550 | [24] |
| Specimen Source | BAL | * HVS | Pus | Blood | Sperm | Urine | Total | |
|---|---|---|---|---|---|---|---|---|
| Pseudomonas aeruginosa | Effectives | 13 | 0 | 33 | 5 | 1 | 23 | 75 |
| Percentage | 17.33 | 0 | 44 | 6.66 | 1.33 | 30.66 | 100 | |
| Acinetobacter baumannii | Effectives | 0 | 1 | 5 | 16 | 0 | 5 | 27 |
| Percentage | 0 | 3.7 | 18.51 | 59.25 | 0 | 18.51 | 100 | |
| Total | Effectives | 13 | 1 | 38 | 21 | 1 | 28 | 102 |
| Percentage | 12.75 | 0.98 | 37.25 | 20.59 | 0.98 | 27.45 | 100 |
| ACB | PSA | |
|---|---|---|
| p-value of Chi-square test | 0.0056 | 0.0761 |
| Cluster 1A N: 28(37%) | Source of isolate * N (%) | Pus: 14(42) Blood: 4(80) BAL: 7(53) | Cluster 2A N: 7(9%) | Origin N (%) | Pus: 2(3) Blood: 0(0) Urine: 4(17) BAL: 1(7) |
| Biofilm formation type at 37 °C | S: 9(39) M: 12 (46) W: 5 (38) No: 2(15) | Biofilm formation type at 37 °C | S: 4(17) M: 1 (3) W: 1(7) No: 1(7) | ||
| Cluster 1B N: 32 (42%) | Source of isolate N (%) | Pus: 11(33) Blood: 1(20) Urine: 15(65) BAL: 4(30) Sperm: 1(100) | Cluster 2B N: 8(10%) | Origin N: (%) | Pus: 6(18) Blood: 0(0) Urine: 1(4) BAL: 1(7) |
| Biofilm formation type at 37 °C | S: 7(30.23) M: 11(42) W: 7(53) No: 7(53%) | Biofilm formation type at 37 °C | S: 3(11) M: 2(7) W: 0(0) No: 3(23) |
© 2020 by the authors. Licensee MDPI, Basel, Switzerland. This article is an open access article distributed under the terms and conditions of the Creative Commons Attribution (CC BY) license (http://creativecommons.org/licenses/by/4.0/).
Share and Cite
Madaha, E.L.; Gonsu, H.K.; Bughe, R.N.; Fonkoua, M.C.; Ateba, C.N.; Mbacham, W.F. Occurrence of blaTEM and blaCTXM Genes and Biofilm-Forming Ability among Clinical Isolates of Pseudomonas aeruginosa and Acinetobacter baumannii in Yaoundé, Cameroon. Microorganisms 2020, 8, 708. https://doi.org/10.3390/microorganisms8050708
Madaha EL, Gonsu HK, Bughe RN, Fonkoua MC, Ateba CN, Mbacham WF. Occurrence of blaTEM and blaCTXM Genes and Biofilm-Forming Ability among Clinical Isolates of Pseudomonas aeruginosa and Acinetobacter baumannii in Yaoundé, Cameroon. Microorganisms. 2020; 8(5):708. https://doi.org/10.3390/microorganisms8050708
Chicago/Turabian StyleMadaha, Estelle Longla, Hortense Kamga Gonsu, Rhoda Nsen Bughe, Marie Christine Fonkoua, Collins Njie Ateba, and Wilfred Fon Mbacham. 2020. "Occurrence of blaTEM and blaCTXM Genes and Biofilm-Forming Ability among Clinical Isolates of Pseudomonas aeruginosa and Acinetobacter baumannii in Yaoundé, Cameroon" Microorganisms 8, no. 5: 708. https://doi.org/10.3390/microorganisms8050708
APA StyleMadaha, E. L., Gonsu, H. K., Bughe, R. N., Fonkoua, M. C., Ateba, C. N., & Mbacham, W. F. (2020). Occurrence of blaTEM and blaCTXM Genes and Biofilm-Forming Ability among Clinical Isolates of Pseudomonas aeruginosa and Acinetobacter baumannii in Yaoundé, Cameroon. Microorganisms, 8(5), 708. https://doi.org/10.3390/microorganisms8050708

