Molecular Dissection of the Campylobacter jejuni CadF and FlpA Virulence Proteins in Binding to Host Cell Fibronectin
Abstract
1. Introduction
2. Materials and Methods
2.1. Bacterial Strains and Growth Conditions
2.2. Generation of C. jejuni 81-176 cadF, flpA and cadF flpA Deletion Mutants
2.3. Generation of C. jejuni cadF Complemented Isolates
2.4. Generation of C. jejuni flpA Complemented Isolates
2.5. Electroporation and Strain Confirmation (PCR and Sequencing)
2.6. Gel Electrophoresis and Immunoblotting
2.7. Preparation of Outer Membrane Proteins
2.8. Adherence Assay
2.9. Biotinylation of FN and FN-Binding Assay
2.10. Enzyme-Linked Immunosorbent Assays (ELISAs) with CadF and FlpA Peptides
2.11. Immunoblot Analysis of Total-Erk 1/2 and Phospho-Erk 1/2 in C. jejuni Infected INT 407 Cells
2.12. Adenylate Cyclase Domain Reporter Delivery Assays
2.13. Motility Assays
2.14. Statistical Analysis
3. Results
3.1. Introduction of a Wild-Type Copy of the cadF Gene into the C. jejuni Chromosome
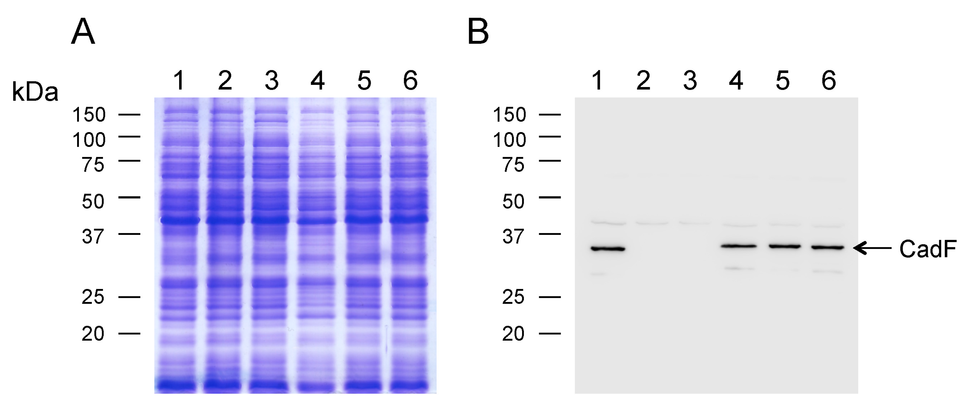
3.2. Complementation of cadF in a C. jejuni cadF Deletion Mutant
3.3. Complementation of cadF and flpA in a C. jejuni cadF flpA Double Deletion Mutant
3.4. CadF and FlpA Localize in the Outer Membrane of the C. jejuni Transformants
3.5. CadF and FlpA are Required for Binding of C. jejuni to Epithelial Cells
3.6. CadF and FlpA are Cooperative in the Binding to Soluble FN and Epithelial Cells
3.7. CadF and FlpA Bind to the 40–45 kDa Fragment of FN
3.8. CadF and FlpA Binding to Host-Associated Cellular FN Triggers Host Cell Activation of Erk 1/2
3.9. C. jejuni Effector Protein Delivery to Host Cells Requires CadF and FlpA
4. Discussion
5. Conclusion
Supplementary Materials
Author Contributions
Funding
Acknowledgments
Conflicts of Interest
References
- Froman, G.; Switalski, L.M.; Speziale, P.; Hook, M. Isolation and characterization of a fibronectin receptor from Staphylococcus aureus. J. Biol. Chem. 1987, 262, 6564–6571. [Google Scholar] [PubMed]
- McDevitt, D.; Francois, P.; Vaudaux, P.; Foster, T.J. Molecular characterization of the clumping factor (fibrinogen receptor) of Staphylococcus aureus. Mol. Microbiol. 1994, 11, 237–248. [Google Scholar] [CrossRef] [PubMed]
- Talay, S.R.; Valentin-Weigand, P.; Timmis, K.N.; Chhatwal, G.S. Domain structure and conserved epitopes of Sfb protein, the fibronectin-binding adhesin of Streptococcus pyogenes. Mol. Microbiol. 1994, 13, 531–539. [Google Scholar] [CrossRef] [PubMed]
- Kingsley, R.A.; Santos, R.L.; Keestra, A.M.; Adams, L.G.; Baumler, A.J. Salmonella enterica serotype Typhimurium ShdA is an outer membrane fibronectin-binding protein that is expressed in the intestine. Mol. Microbiol. 2002, 43, 895–905. [Google Scholar] [CrossRef] [PubMed]
- Tertti, R.; Skurnik, M.; Vartio, T.; Kuusela, P. Adhesion protein YadA of Yersinia species mediates binding of bacteria to fibronectin. Infect. Immun. 1992, 60, 3021–3024. [Google Scholar] [CrossRef] [PubMed]
- Probert, W.S.; Johnson, B.J. Identification of a 47 kDa fibronectin-binding protein expressed by Borrelia burgdorferi isolate B31. Mol. Microbiol. 1998, 30, 1003–1015. [Google Scholar] [CrossRef] [PubMed]
- Brissette, C.A.; Bykowski, T.; Cooley, A.E.; Bowman, A.; Stevenson, B. Borrelia burgdorferi RevA antigen binds host fibronectin. Infect. Immun. 2009, 77, 2802–2812. [Google Scholar] [CrossRef]
- Brinkman, M.B.; McGill, M.A.; Pettersson, J.; Rogers, A.; Matejkova, P.; Smajs, D.; Weinstock, G.M.; Norris, S.J.; Palzkill, T. A novel Treponema pallidum antigen, TP0136, is an outer membrane protein that binds human fibronectin. Infect. Immun. 2008, 76, 1848–1857. [Google Scholar] [CrossRef]
- Altekruse, S.F.; Stern, N.J.; Fields, P.I.; Swerdlow, D.L. Campylobacter jejuni—An emerging foodborne pathogen. Emerg. Infect. Dis. 1999, 5, 28–35. [Google Scholar] [CrossRef]
- Samuel, M.C.; Vugia, D.J.; Shallow, S.; Marcus, R.; Segler, S.; McGivern, T.; Kassenborg, H.; Reilly, K.; Kennedy, M.; Angulo, F.; et al. Epidemiology of sporadic Campylobacter infection in the United States and declining trend in incidence, FoodNet 1996–1999. Clin. Infect. Dis. 2004, 38, S165–S174. [Google Scholar] [CrossRef]
- Blaser, M.J.; Berkowitz, I.D.; LaForce, F.M.; Cravens, J.; Reller, L.B.; Wang, W.L. Campylobacter enteritis: Clinical and epidemiologic features. Ann. Intern. Med. 1979, 91, 179–185. [Google Scholar] [CrossRef] [PubMed]
- Allos, B.M. Campylobacter jejuni infections: Update on emerging issues and trends. Clin. Infect. Dis. 2001, 32, 1201–1206. [Google Scholar] [PubMed]
- Schwerer, B. Antibodies against gangliosides: A link between preceding infection and immunopathogenesis of Guillain-Barré syndrome. Microbes Infect. 2002, 4, 373–384. [Google Scholar] [CrossRef]
- Frenzen, P.D. Economic cost of Guillain-Barré syndrome in the United States. Neurology 2008, 71, 21–27. [Google Scholar] [CrossRef] [PubMed]
- Black, R.E.; Levine, M.M.; Clements, M.L.; Hughes, T.P.; Blaser, M.J. Experimental Campylobacter jejuni infection in humans. J. Infect. Dis. 1988, 157, 472–479. [Google Scholar] [CrossRef]
- Konkel, M.E.; Garvis, S.G.; Tipton, S.L.; Anderson, D.E., Jr.; Cieplak, W., Jr. Identification and molecular cloning of a gene encoding a fibronectin-binding protein (CadF) from Campylobacter jejuni. Mol. Microbiol. 1997, 24, 953–963. [Google Scholar] [CrossRef]
- Flanagan, R.C.; Neal-McKinney, J.M.; Dhillon, A.S.; Miller, W.G.; Konkel, M.E. Examination of Campylobacter jejuni putative adhesins leads to the identification of a new protein, designated FlpA, required for chicken colonization. Infect. Immun. 2009, 77, 2399–2407. [Google Scholar] [CrossRef]
- Konkel, M.E.; Larson, C.L.; Flanagan, R.C. Campylobacter jejuni FlpA binds fibronectin and is required for maximal host cell adherence. J. Bacteriol. 2010, 192, 68–76. [Google Scholar] [CrossRef]
- Larson, C.L.; Samuelson, D.R.; Eucker, T.P.; O’Loughlin, J.L.; Konkel, M.E. The fibronectin-binding motif within FlpA facilitates Campylobacter jejuni adherence to host cell and activation of host cell signaling. Emerg. Microbes Infect. 2013, 2, e65. [Google Scholar] [CrossRef]
- Konkel, M.E.; Christensen, J.E.; Keech, A.M.; Monteville, M.R.; Klena, J.D.; Garvis, S.G. Identification of a fibronectin-binding domain within the Campylobacter jejuni CadF protein. Mol. Microbiol. 2005, 57, 1022–1035. [Google Scholar] [CrossRef]
- Ziprin, R.L.; Young, C.R.; Stanker, L.H.; Hume, M.E.; Konkel, M.E. The absence of cecal colonization of chicks by a mutant of Campylobacter jejuni not expressing bacterial fibronectin-binding protein. Avian Dis. 1999, 43, 586–589. [Google Scholar] [CrossRef] [PubMed]
- Karlyshev, A.V.; Wren, B.W. Development and application of an insertional system for gene delivery and expression in Campylobacter jejuni. Appl. Environ. Microbiol. 2005, 71, 4004–4013. [Google Scholar] [CrossRef] [PubMed]
- Korlath, J.A.; Osterholm, M.T.; Judy, L.A.; Forfang, J.C.; Robinson, R.A. A point-source outbreak of campylobacteriosis associated with consumption of raw milk. J. Infect. Dis. 1985, 152, 592–596. [Google Scholar] [CrossRef] [PubMed]
- Negretti, N.M.; Clair, G.; Talukdar, P.K.; Gourley, C.R.; Huynh, S.; Adkins, J.N.; Parker, C.T.; Corneau, C.M.; Konkel, M.E. Campylobacter jejuni demonstrates conserved proteomic and transcriptomic responses when co-cultured with human INT 407 and Caco-2 epithelial cells. Front. Microbiol. 2019, 10, 755. [Google Scholar] [CrossRef] [PubMed]
- Christensen, J.E.; Pacheco, S.A.; Konkel, M.E. Identification of a Campylobacter jejuni-secreted protein required for maximal invasion of host cells. Mol. Microbiol. 2009, 73, 650–662. [Google Scholar] [CrossRef]
- Gourley, C.R.; Negretti, N.M.; Konkel, M.E. The food-borne pathogen Campylobacter jejuni depends on the AddAB DNA repair system to defend against bile in the intestinal environment. Sci. Rep. 2017, 7, 14777. [Google Scholar] [CrossRef]
- Nirdnoy, W.; Mason, C.J.; Guerry, P. Mosaic structure of a multiple-drug-resistant, conjugative plasmid from Campylobacter jejuni. Antimicrob. Agents Chemother. 2005, 49, 2454–2459. [Google Scholar] [CrossRef]
- Laemmli, U.K. Cleavage of structural proteins during the assembly of the head of bacteriophage T4. Nature 1970, 227, 680–685. [Google Scholar] [CrossRef]
- Shoaf-Sweeney, K.D.; Larson, C.L.; Tang, X.; Konkel, M.E. Identification of Campylobacter jejuni proteins recognized by maternal antibodies of chickens. Appl. Environ. Microbiol. 2008, 74, 6867–6875. [Google Scholar] [CrossRef]
- Monteville, M.R.; Yoon, J.E.; Konkel, M.E. Maximal adherence and invasion of INT 407 cells by Campylobacter jejuni requires the CadF outer-membrane protein and microfilament reorganization. Microbiology 2003, 149, 153–165. [Google Scholar] [CrossRef]
- Lamla, T.; Erdmann, V.A. The Nano-tag, a streptavidin-binding peptide for the purification and detection of recombinant proteins. Protein Expr. Purif. 2004, 33, 39–47. [Google Scholar] [CrossRef] [PubMed]
- Garvis, S.G.; Tipton, S.L.; Konkel, M.E. Identification of a functional homolog of the Escherichia coli and Salmonella typhimurium cysM gene encoding O-acetylserine sulfhydrylase B in Campylobacter jejuni. Gene 1997, 185, 63–67. [Google Scholar] [CrossRef]
- Neal-McKinney, J.M.; Konkel, M.E. The Campylobacter jejuni CiaC virulence protein is secreted from the flagellum and delivered to the cytosol of host cells. Front. Cell. Infect. Microbiol. 2012, 2, 31. [Google Scholar] [CrossRef] [PubMed]
- Neal-McKinney, J.M.; Christensen, J.E.; Konkel, M.E. Amino-terminal residues dictate the export efficiency of the Campylobacter jejuni filament proteins via the flagellum. Mol. Microbiol. 2010, 76, 918–931. [Google Scholar] [CrossRef] [PubMed]
- Smith, M.L.; Gourdon, D.; Little, W.C.; Kubow, K.E.; Eguiluz, R.A.; Luna-Morris, S.; Vogel, V. Force-induced unfolding of fibronectin in the extracellular matrix of living cells. PLoS Biol. 2007, 5, e268. [Google Scholar] [CrossRef]
- Maurer, L.M.; Ma, W.; Mosher, D.F. Dynamic structure of plasma fibronectin. Crit. Rev. Biochem. Mol. Biol. 2015, 51, 213–227. [Google Scholar] [CrossRef]
- Bocquier, A.A.; Potts, J.R.; Pickford, A.R.; Campbell, I.D. Solution structure of a pair of modules from the gelatin-binding domain of fibronectin. Structure 1999, 7, 1451–1460. [Google Scholar] [CrossRef]
- Henderson, B.; Nair, S.; Pallas, J.; Williams, M.A. Fibronectin: A multidomain host adhesin targeted by bacterial fibronectin-binding proteins. FEMS Microbiol. Rev. 2011, 35, 147–200. [Google Scholar] [CrossRef]
- Pickford, A.R.; Smith, S.P.; Staunton, D.; Boyd, J.; Campbell, I.D. The hairpin structure of the 6F1 1F2 2F2 fragment from human fibronectin enhances gelatin binding. EMBO J. 2001, 20, 1519–1529. [Google Scholar] [CrossRef]
- Samuelson, D.R.; Konkel, M.E. Serine phosphorylation of cortactin is required for maximal host cell invasion by Campylobacter jejuni. Cell Commun. Signal. 2013, 11, 82. [Google Scholar] [CrossRef]
- Samuelson, D.R.; Eucker, T.P.; Bell, J.A.; Dybas, L.; Mansfield, L.S.; Konkel, M.E. The Campylobacter jejuni CiaD effector protein activates MAP kinase signaling pathways and is required for the development of disease. Cell Commun. Signal. 2013, 11, 79. [Google Scholar] [CrossRef] [PubMed]
- Konkel, M.E.; Klena, J.D.; Rivera-Amill, V.; Monteville, M.R.; Biswas, D.; Raphael, B.; Mickelson, J. Secretion of virulence proteins from Campylobacter jejuni is dependent on a functional flagellar export apparatus. J. Bacteriol. 2004, 186, 3296–3303. [Google Scholar] [CrossRef] [PubMed]
- Konkel, M.E.; Kim, B.J.; Rivera-Amill, V.; Garvis, S.G. Bacterial secreted proteins are required for the internaliztion of Campylobacter jejuni into cultured mammalian cells. Mol. Microbiol. 1999, 32, 691–701. [Google Scholar] [CrossRef] [PubMed]
- Kimelman, A.; Levy, A.; Sberro, H.; Kidron, S.; Leavitt, A.; Amitai, G.; Yoder-Himes, D.R.; Wurtzel, O.; Zhu, Y.; Rubin, E.M.; et al. A vast collection of microbial genes that are toxic to bacteria. Genome Res. 2012, 22, 802–809. [Google Scholar] [CrossRef]
- Burke, F.M.; McCormack, N.; Rindi, S.; Speziale, P.; Foster, T.J. Fibronectin-binding protein B variation in Staphylococcus aureus. BMC Microbiol. 2010, 10, 160. [Google Scholar] [CrossRef]
- Greene, C.; McDevitt, D.; Francois, P.; Vaudaux, P.E.; Lew, D.P.; Foster, T.J. Adhesion properties of mutants of Staphylococcus aureus defective in fibronectin-binding proteins and studies on the expression of fnb genes. Mol. Microbiol. 1995, 17, 1143–1152. [Google Scholar] [CrossRef]
- Schwarz-Linek, U.; Pilka, E.S.; Pickford, A.R.; Kim, J.H.; Hook, M.; Campbell, I.D.; Potts, J.R. High affinity streptococcal binding to human fibronectin requires specific recognition of sequential F1 modules. J. Biol. Chem. 2004, 279, 39017–39025. [Google Scholar] [CrossRef]
- Joh, D.; Wann, E.R.; Kreikemeyer, B.; Speziale, P.; Hook, M. Role of fibronectin-binding MSCRAMMs in bacterial adherence and entry into mammalian cells. Matrix Biol. 1999, 18, 211–223. [Google Scholar] [CrossRef]
- Sela, S.; Aviv, A.; Tovi, A.; Burstein, I.; Caparon, M.G.; Hanski, E. Protein F: An adhesin of Streptococcus pyogenes binds fibronectin via two distinct domains. Mol. Microbiol. 1993, 10, 1049–1055. [Google Scholar] [CrossRef]
- Katayama, S.; Tagomori, M.; Morita, N.; Yamasaki, T.; Nariya, H.; Okada, M.; Watanabe, M.; Hitsumoto, Y. Determination of the Clostridium perfringens-binding site on fibronectin. Anaerobe 2015, 34, 174–181. [Google Scholar] [CrossRef]
- Christner, M.; Franke, G.C.; Schommer, N.N.; Wendt, U.; Wegert, K.; Pehle, P.; Kroll, G.; Schulze, C.; Buck, F.; Mack, D.; et al. The giant extracellular matrix-binding protein of Staphylococcus epidermidis mediates biofilm accumulation and attachment to fibronectin. Mol. Microbiol. 2010, 75, 187–207. [Google Scholar] [CrossRef] [PubMed]
- Humphrey, J.D.; Dufresne, E.R.; Schwartz, M.A. Mechanotransduction and extracellular matrix homeostasis. Nat. Rev. Mol. Cell Biol. 2014, 15, 802–812. [Google Scholar] [CrossRef] [PubMed]
- Cossart, P.; Sansonetti, P.J. Bacterial invasion: The paradigms of enteroinvasive pathogens. Science 2004, 304, 242–248. [Google Scholar] [CrossRef] [PubMed]
- Sinha, B.; Francois, P.P.; Nusse, O.; Foti, M.; Hartford, O.M.; Vaudaux, P.; Foster, T.J.; Lew, D.P.; Herrmann, M.; Krause, K.H. Fibronectin-binding protein acts as Staphylococcus aureus invasin via fibronectin bridging to integrin α5β1. Cell. Microbiol. 1999, 1, 101–117. [Google Scholar] [CrossRef]
- Hymes, J.P.; Klaenhammer, T.R. Stuck in the middle: Fibronectin-binding proteins in Gram-positive bacteria. Front. Microbiol. 2016, 7, 1504. [Google Scholar] [CrossRef]
- Shinji, H.; Yosizawa, Y.; Tajima, A.; Iwase, T.; Sugimoto, S.; Seki, K.; Mizunoe, Y. Role of fibronectin-binding proteins A and B in in vitro cellular infections and in vivo septic infections by Staphylococcus aureus. Infect. Immun. 2011, 79, 2215–2223. [Google Scholar] [CrossRef]
- Monteville, M.R.; Konkel, M.E. Fibronectin-facilitated invasion of T84 eukaryotic cells by Campylobacter jejuni occurs preferentially at the basolateral cell surface. Infect. Immun. 2002, 70, 6665–6671. [Google Scholar] [CrossRef]
- Hatayama, S.; Shimohata, T.; Amano, S.; Kido, J.; Nguyen, A.Q.; Sato, Y.; Kanda, Y.; Tentaku, A.; Fukushima, S.; Nakahashi, M.; et al. Cellular tight junctions prevent effective Campylobacter jejuni invasion and inflammatory barrier disruption promoting bacterial invasion from lateral membrane in polarized intestinal epithelial cells. Front. Cell. Infect. Microbiol. 2018, 8, 15. [Google Scholar] [CrossRef]
- Bouwman, L.I.; Niewold, P.; van Putten, J.P. Basolateral invasion and trafficking of Campylobacter jejuni in polarized epithelial cells. PLoS ONE 2013, 8, e54759. [Google Scholar] [CrossRef][Green Version]
- Konkel, M.E.; Cieplak, W., Jr. Altered synthetic response of Campylobacter jejuni to cocultivation with human epithelial cells is associated with enhanced internalization. Infect. Immun. 1992, 60, 4945–4949. [Google Scholar] [CrossRef]
- Ó’Cróinín, T.; Backert, S. Host epithelial cell invasion by Campylobacter jejuni: Trigger or zipper mechanism? Front. Cell. Infect. Microbiol. 2012, 2, 25. [Google Scholar] [CrossRef] [PubMed]
- Kirkbride, K.C.; Sung, B.H.; Sinha, S.; Weaver, A.M. Cortactin: A multifunctional regulator of cellular invasiveness. Cell Adh. Migr. 2011, 5, 187–198. [Google Scholar] [CrossRef] [PubMed]
- Eucker, T.P.; Konkel, M.E. The cooperative action of bacterial fibronectin-binding proteins and secreted proteins promote maximal Campylobacter jejuni invasion of host cells by stimulating membrane ruffling. Cell. Microbiol. 2012, 14, 226–238. [Google Scholar] [CrossRef] [PubMed]
- Krause-Gruszczynska, M.; Rohde, M.; Hartig, R.; Genth, H.; Schmidt, G.; Keo, T.; Konig, W.; Miller, W.G.; Konkel, M.E.; Backert, S. Role of the small Rho GTPases Rac1 and Cdc42 in host cell invasion of Campylobacter jejuni. Cell. Microbiol. 2007, 9, 2431–2444. [Google Scholar] [CrossRef]
- Schmidt, A.M.; Escher, U.; Mousavi, S.; Tegtmeyer, N.; Boehm, M.; Backert, S.; Bereswill, S.; Heimesaat, M.M. Immunopathological properties of the Campylobacter jejuni flagellins and the adhesin CadF as assessed in a clinical murine infection model. Gut Pathog. 2019, 11, 24. [Google Scholar] [CrossRef]
- Boehm, M.; Krause-Gruszczynska, M.; Rohde, M.; Tegtmeyer, N.; Takahashi, S.; Oyarzabal, O.A.; Backert, S. Major host factors involved in epithelial cell invasion of Campylobacter jejuni: Role of fibronectin, integrin beta1, FAK, Tiam-1, and DOCK180 in activating Rho GTPase Rac1. Front. Cell. Infect. Microbiol. 2011, 1, 17. [Google Scholar] [CrossRef]
- Krause-Gruszczynska, M.; Boehm, M.; Rohde, M.; Tegtmeyer, N.; Takahashi, S.; Buday, L.; Oyarzabal, O.A.; Backert, S. The signaling pathway of Campylobacter jejuni-induced Cdc42 activation: Role of fibronectin, integrin beta1, tyrosine kinases and guanine exchange factor Vav2. Cell Commun. Signal. 2011, 9, 32. [Google Scholar] [CrossRef]










| Isolate | Description | Plasmid Used to Generate the Isolate | Antibiotic Resistance 1 | Reference |
|---|---|---|---|---|
| 81-176 | Wild-type strain | None | TetR | [23] |
| ΔflgL | flgL deletion mutant | pBSK-Kan2-flgL-CAT | TetR CmR | [24] |
| ΔcadF | cadF deletion mutant | pBSK-Kan2-cadF-CAT | TetR CmR | This study |
| ΔflpA | flpA deletion mutant | pBSK-flpA-Kan2 | TetR KanR | This study |
| ΔcadF ΔflpA | cadF flpA double deletion mutant | pBSK-flpA-Kan2 | TetR CmR KanR | This study |
| ΔcadF::cadFNP-FLAG | cadF deletion mutant with promoterless cadF gene fused to a FLAG-tag | prRNA-HygroR-cadFNP-FLAG | TetR CmR HygroR | This study |
| ΔcadF::PcadF-400 bp cadF-FLAG | cadF deletion mutant harboring a wild-type copy of cadF | prRNA-SpecR-PcadF cadF400 bp | TetR CmR HygroR SpecR | This study |
| ΔcadF::PcadF-334 bp cadF-FLAG | cadF deletion mutant harboring a wild-type copy of cadF | prRNA-SpecR-PcadF cadF334 bp | TetR CmR HygroR SpecR | This study |
| ΔcadF::PcadF-283 bp cadF-FLAG | cadF deletion mutant harboring a wild-type copy of cadF | prRNA-SpecR-PcadF cadF283 bp | TetR CmR HygroR SpecR | This study |
| ΔflpA::PflpA flpA | flpA deletion mutant harboring a wild-type copy of flpA | prRNA-HygroR-PflpA flpA | TetR KanR HygroR | This study |
| ΔcadF ΔflpA::cadFNP-FLAG | cadF flpA double deletion mutant with a promoterless cadF gene fused to a FLAG-tag | prRNA-HygroR-cadFNP-FLAG | TetR CmR KanR HygroR | This study |
| ΔcadF ΔflpA::PcadF-400 bp cadF-FLAG | cadF flpA double deletion mutant harboring a wild-type copy of cadF | prRNA-SpecR-PcadF cadF400 bp | TetR CmR KanR HygroR SpecR | This study |
| ΔcadF ΔflpA::PcadF-334 bp cadF-FLAG | cadF flpA double deletion mutant harboring a wild-type copy of cadF | prRNA-SpecR-PcadF cadF334 bp | TetR CmR KanR HygroR SpecR | This study |
| ΔcadF ΔflpA::PcadF-283 bp cadF-FLAG | cadF flpA double deletion mutant harboring a wild-type copy of cadF | prRNA-SpecR-PcadF cadF283 bp | TetR CmR KanR HygroR SpecR | This study |
| ΔcadF ΔflpA::PflpA flpA | cadF flpA double deletion mutant harboring a wild-type copy of flpA | prRNA-HygroR-PflpA flpA | TetR CmR KanR HygroR | This study |
| ΔcadF ΔflpA::PcadF cadF-FLAG-PflpA flpA | cadF flpA double deletion mutant harboring a wild-type copies of cadF and flpA | prRNA-SpecR-PflpA flpA-PcadF cadF400 bp | TetR CmR KanR HygroR SpecR | This study |
| 81-176 ciaD-ACD | Wild-type strain harboring ciaD-ACD fusion vector | pRY111-HygroR-PcysM ciaD-ACD | TetR HygroR | This study |
| ΔcadF ciaD-ACD | cadF deletion mutant harboring ciaD-ACD fusion vector | pRY111-HygroR-PcysM ciaD-ACD | TetR CmR HygroR | This study |
| ΔflpA ciaD-ACD | flpA deletion mutant harboring ciaD-ACD fusion vector | pRY111-HygroR-PcysM ciaD-ACD | TetR KanR HygroR | This study |
| ΔcadF ΔflpA ciaD-ACD | cadF flpA double deletion mutant harboring ciaD-ACD fusion vector | pRY111-HygroR-PcysM ciaD-ACD | TetR CmR KanR HygroR | This study |
| ΔflgL ciaD-ACD | flgL deletion mutant harboring ciaD-ACD fusion vector | pRY111-HygroR-PcysM ciaD-ACD | TetR CmR HygroR | This study |
| Plasmid | Description | Antibiotic Resistance 1 | Reference |
|---|---|---|---|
| pBSK-Kan2 | pBlueScript II SK (+) cloning vector with the aphA-3 gene cassette encoding KanR (Kan2) replacing the original ampicillin resistance cassette | KanR | [25] |
| pBSK-Kan2-cadF-CAT | pBSK-Kan2 suicide plasmid harboring 5′ and 3′ cadF flanking fragments with a chloramphenicol resistance cassette (CAT) | CmR KanR | This study |
| pBSK-flpA-Kan2 | pBSK suicide plasmid harboring 5′ and 3′ flpA flanking fragments with the C. jejuni kanamycin resistance gene (aphA-3, Kan2) | AmpR KanR | This study |
| prRNA-HygroR | pBSK-Kan2 vector harboring the 16S rRNA and the 23S rRNA gene fragments with a hygromycin B resistance cassette | KanR HygroR | [26] |
| prRNA-HygroR-cadFNP-FLAG | prRNA-HygroR suicide vector harboring the promoterless cadF gene fused with a FLAG-tag | KanR HygroR | This study |
| prRNA-SpecR-PcadF cadF400 bp | prRNA-SpecR suicide vector harboring 400 bp of the cadF gene at the 5′ end with its native promoter | KanR SpecR | This study |
| prRNA-SpecR-PcadF cadF334 bp | prRNA-SpecR suicide vector harboring 334 bp of the cadF gene at the 5′ end with its native promoter | KanR SpecR | This study |
| prRNA-SpecR-PcadF cadF283 bp | prRNA-SpecR suicide vector harboring 283 bp of the cadF gene at the 5′ end with its native promoter | KanR SpecR | This study |
| prRNA-HygroR-PflpA flpA | prRNA- HygroR suicide vector harboring the flpA gene with its native promoter | KanR HygroR | This study |
| prRNA-SpecR-PflpA flpA-PcadF cadF400 bp | prRNA-SpecR suicide vector harboring the flpA gene and 400 bp of the cadF gene at the 5′ end with their native promoters | KanR SpecR | This study |
| pRY111-HygroR-PcysM ciaD-ACD | pRY111-HygroR shuttle vector harboring the ciaD gene with a C. jejuni cysM promoter and fused with the adenylate cyclase domain (ACD) coding sequence | HygroR | This study |
| Primer ID | Oligo Name | Sequence 5′-3′ | Purpose |
|---|---|---|---|
| MEK4063 | 81-176-CadF-Dwn-RV | TAT AGG GCG AAT TGG GTA CCG CAG CCT CAT TTC CGT CC | cadF mutant construction |
| MEK4064 | 81-176-CadF-Dwn-FW | GAT CGG ATC CCC TCG CTC AAG CAA TGA CAC | cadF mutant construction |
| MEK4065 | 81-176-CadF-CAT-RV | TTG AGC GAG GGG ATC CGA TCT GCG CCC TTT AGT | cadF mutant construction |
| MEK4066 | 81-176-CadF-CAT-FW | TTG GCA AGT GGC TAG CGT GTT CCT TTC CAA GTT AAT TGC G | cadF mutant construction |
| MEK4067 | 81-176-CadF-Up-RV | ACA CGC TAG CCA CTT GCC AAA CCT AAA CAT AAT A | cadF mutant construction |
| MEK4068 | 81-176-CadF-Up-FW | GGG AAC AAA AGC TGG AGC TCC AGT TAG AGG TAT GCT TCC TA | cadF mutant construction |
| MEK4069 | 81-176-FlpA-Dwn-FW | TAT AGG GCG AAT TGG GTA CCT CTG CTC TAT TTT TTT CAA ATC C | flpA mutant construction |
| MEK4070 | 81-176-FlpA-Dwn-RV | GCT TGG ATC CAG AAC CTT CAA GCA AAG TTA AGG | flpA mutant construction |
| MEK4071 | 81-176-FlpA-Kan-FW | TGA AGG TTC TGG ATC CAA GCT TTT TAG ACA TCT AAA TCT AGG TAC TA | flpA mutant construction |
| MEK4072 | 81-176-FlpA-Kan-RV | AAA GAT TTC GGC TAG CGA TAA ACC CAG CGA ACC | flpA mutant construction |
| MEK4073 | 81-176-FlpA-Up-FW | TAT CGC TAG CCG AAA TCT TTT CAT CAT TCT CTC C | flpA mutant construction |
| MEK4074 | 81-176-FlpA-Up-RV | GGG AAC AAA AGC TGG AGC TCA ACT TTT TTA GTA GAT GAA AAT TCA AGG | flpA mutant construction |
| MEK4507 | noProm-CadF-XbaI-FW | ATA TTC TAG AAT GAA AAA AAT ATT ATT ATG TTT AGG TTT GGC AAG TGT TTT ATT CAG TGC | cadF complement first construct |
| MEK4508 | CadF-nostop-BamHI-RV | ATA TAT GGA TCC TCT TAA AAT AAA TTT AGC ATC CAC TCT TCT ATT ATC CGC TCT ACC TTC | cadF complement first construct |
| MEK4509 | rRNA-up-SpecR-XbaI-FW | TGG ATC ACC TCC TTT CTA GAG CTG TTT TTT ACT TGA TAT TGT TTT TTA AAT ATG CTA AAA TTA GGC GTT TC | cadF complement second construct |
| MEK4518 | pCadF-SpecR-SacII-RV | GCT TCT TCC CGC GGT TGC TAC TCT GTT CTA AGT AAT TCC TCA ATT TGT TTT TTC | cadF complement second construct |
| MEK4541 | pCadF-SacII-FW | GAG TAG CAA CCG CGG GAA GAA GCC CAC AAT TCT CTA AAC G | cadF complement second construct |
| MEK4542 | CadF-400bp-SacI-RV | GAA CAA AAG CTG GAG CTC ATT TTA CAC CCG CGC CAT AAT GTC C | cadF complement second construct |
| MEK4543 | CadF-334bp-SacI-RV | GAA CAA AAG CTG GAG CTC CCT CAT ATC CTC CAC CTG CTA AAC C | cadF complement second construct |
| MEK4544 | CadF-283bp-SacI-RV | GAA CAA AAG CTG GAG CTC CAA TAC CTT TAA TAG CAC TCA AAT AAG TTC TTG TAA TAT C | cadF complement second construct |
| MEK4602 | FlpA-Comp-XbaI-FW | GTA TTC TAG AAC AGG AAG AAC TCA TCA AAT TAG AGC | flpA complement first construct |
| MEK4603 | FlpA-Comp-BamHI-RV | ACT CGG ATC CCC AAA GAA ATT CAA CAT CAT CCT TGC | flpA complement first construct |
| MEK4676 | FlpA-Comp-SacII-FW | GTA TCC GCG GAC AGG AAG AAC TCA TCA AAT TAG AGC | flpA complement second construct |
| MEK4677 | FlpA-Comp-SacII-RV | ACT CCC GCG GCC AAA GAA ATT CAA CAT CAT CCT TGC | flpA complement second construct |
| MEK4721 | pRY111-HygR-NcoI-FW | ATA GAA GAT CTC CAT GGA CTA AAG CTC TTG CCC AAG AAG ATT ACG | ciaD-ACD construct |
| MEK4722 | pRY111-HygR-NcoI-RV | GAC AAA CTG GGC CAT GGG ATT TAT CAT GCC TTT CTT TGT CTG TAT TCT CTC | ciaD-ACD construct |
© 2020 by the authors. Licensee MDPI, Basel, Switzerland. This article is an open access article distributed under the terms and conditions of the Creative Commons Attribution (CC BY) license (http://creativecommons.org/licenses/by/4.0/).
Share and Cite
Talukdar, P.K.; Negretti, N.M.; Turner, K.L.; Konkel, M.E. Molecular Dissection of the Campylobacter jejuni CadF and FlpA Virulence Proteins in Binding to Host Cell Fibronectin. Microorganisms 2020, 8, 389. https://doi.org/10.3390/microorganisms8030389
Talukdar PK, Negretti NM, Turner KL, Konkel ME. Molecular Dissection of the Campylobacter jejuni CadF and FlpA Virulence Proteins in Binding to Host Cell Fibronectin. Microorganisms. 2020; 8(3):389. https://doi.org/10.3390/microorganisms8030389
Chicago/Turabian StyleTalukdar, Prabhat K., Nicholas M. Negretti, Kyrah L. Turner, and Michael E. Konkel. 2020. "Molecular Dissection of the Campylobacter jejuni CadF and FlpA Virulence Proteins in Binding to Host Cell Fibronectin" Microorganisms 8, no. 3: 389. https://doi.org/10.3390/microorganisms8030389
APA StyleTalukdar, P. K., Negretti, N. M., Turner, K. L., & Konkel, M. E. (2020). Molecular Dissection of the Campylobacter jejuni CadF and FlpA Virulence Proteins in Binding to Host Cell Fibronectin. Microorganisms, 8(3), 389. https://doi.org/10.3390/microorganisms8030389

