Phenotypic, Pot-Experimental, and Genomic Characterization of Staphylococcus succinus NYN-1, a Moderately Halophilic Bacterium Isolated from the Rhizosphere of the Halophyte Suaeda dendroides in Xinjiang
Abstract
1. Introduction
2. Materials and Methods
2.1. Isolation of the Plant Growth-Promoting Rhizobacterium S. succinus NYN-1
2.2. Determination of Salt and Alkali Tolerance in NYN-1
2.3. Detection of Plant Growth-Promoting Activities of NYN-1
2.3.1. Nitrogen Fixation, Phosphorus Solubilization, and Potassium Solubilization
2.3.2. NH4+ Production
2.3.3. Indole-3-Acetic Acid (IAA) Production
2.3.4. ACC Deaminase Production
2.4. Pot Experiment with Maize, Sunflower, and Cotton
2.4.1. Seed Treatment
2.4.2. Pot Experiment
2.4.3. Determination of Plant Physiological and Biochemical Parameters
2.5. Genome Sequencing and Annotation
2.5.1. Genome Sequencing and Functional Annotation
2.5.2. Average Nucleotide Identity (ANI) Analysis
2.6. Statistical Analysis and Figure Preparation
3. Results
3.1. Basic Characteristics of S. succinus NYN-1
3.2. Plant Growth-Promoting Activities of S. succinus NYN-1
3.3. Growth-Promoting Effects of S. succinus NYN-1 on Maize, Cotton, and Sunflower Under Salt Stress
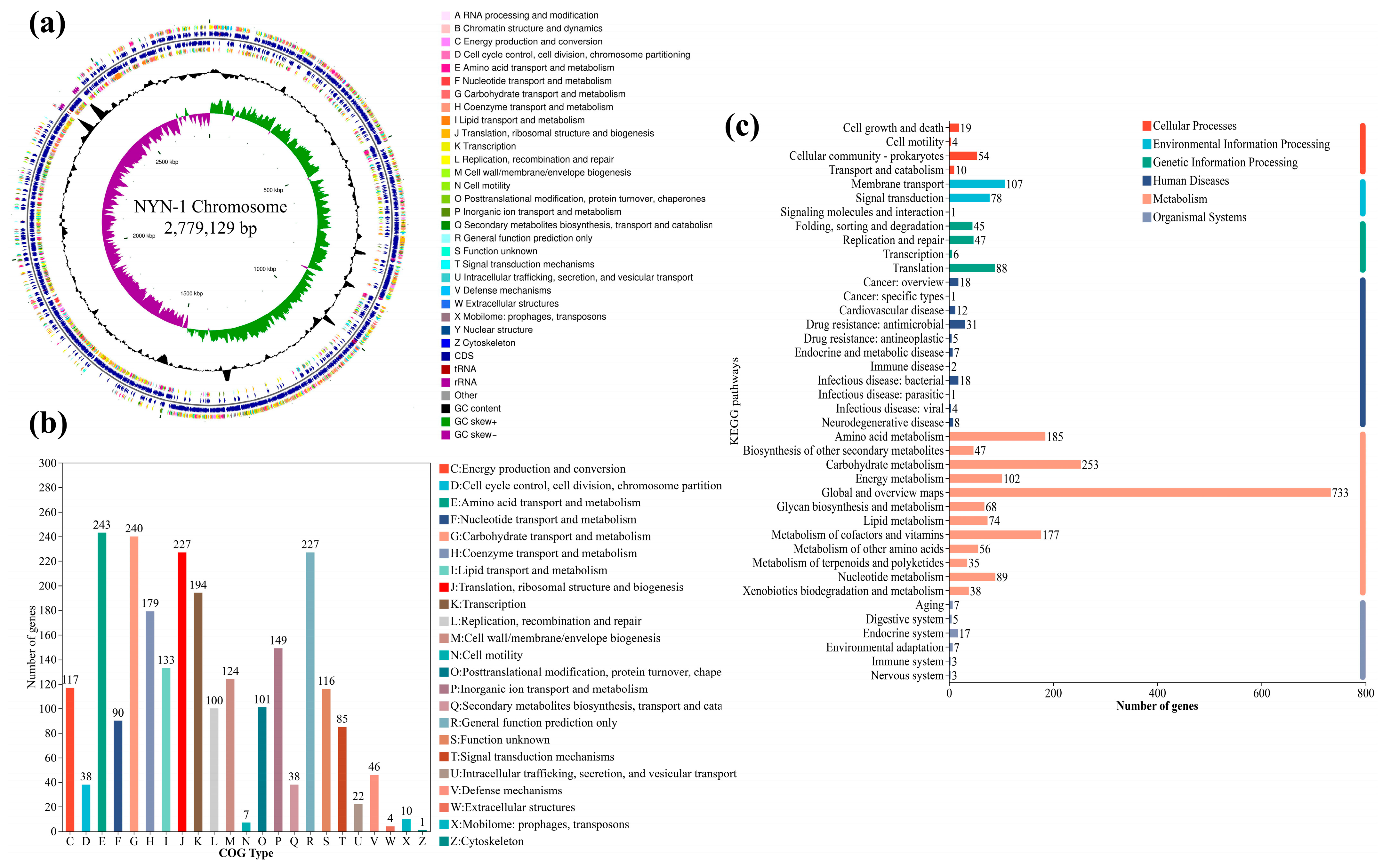
3.4. Genome Features and Functional Annotation of S. succinus NYN-1
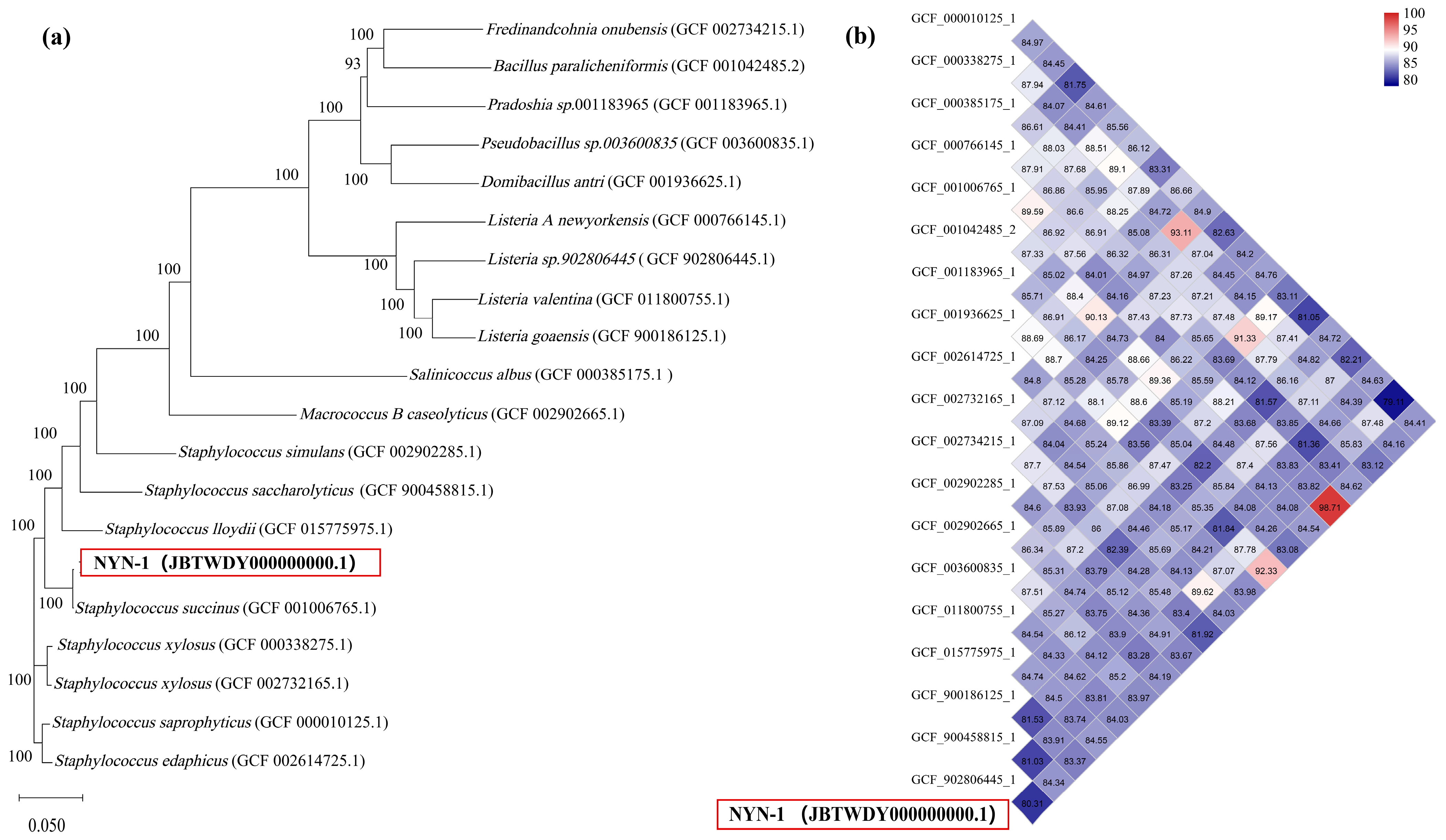
3.5. Taxonomic Position of S. succinus NYN-1
3.6. Growth-Promoting Genes Associated with S. succinus NYN-1
3.6.1. Phosphorus Solubilization
3.6.2. Ammonium Production and Potassium Solubilization
3.7. Saline–Alkaline Tolerance-Related Genes of S. succinus NYN-1
3.7.1. Cation/Proton Antiporters
3.7.2. Transport of Compatible Solutes
3.8. Secondary Metabolite Biosynthetic Gene Clusters of S. succinus NYN-1
4. Discussion
4.1. Saline–Alkaline Tolerance Characteristics of S. succinus NYN-1 from a Genomic Perspective
4.2. Plant Growth-Promoting Potential of S. succinus NYN-1 from a Genomic Perspective
5. Conclusions
Author Contributions
Funding
Institutional Review Board Statement
Informed Consent Statement
Data Availability Statement
Conflicts of Interest
References
- Li, Z.; Kekeli, M.A.; Jiang, Y.; Rui, Y. Progress and Prospect of Saline-Alkaline Soil Management Technology: A Review. Appl. Sci. 2025, 15, 4567. [Google Scholar] [CrossRef]
- Eswar, D.; Karuppusamy, R.; Chellamuthu, S. Drivers of Soil Salinity and Their Correlation with Climate Change. Curr. Opin. Environ. Sustain. 2021, 50, 310–318. [Google Scholar] [CrossRef]
- Liu, C.; Jiang, X.; Yuan, Z. Plant Responses and Adaptations to Salt Stress: A Review. Horticulturae 2024, 10, 1221. [Google Scholar] [CrossRef]
- Global Status of Salt-Affected Soils|FAO. Available online: https://www.fao.org/family-farming/detail/en/c/1730916/ (accessed on 22 January 2026).
- Arora, S.; Singh, A.K.; Sahni, D. Bioremediation of Salt-Affected Soils: Challenges and Opportunities. In Bioremediation of Salt Affected Soils: An Indian Perspective; Arora, S., Singh, A.K., Singh, Y.P., Eds.; Springer International Publishing: Cham, Switzerland, 2017; pp. 275–301. [Google Scholar]
- Ma, X.; Pan, J.; Xue, X.; Zhang, J.; Guo, Q. A Bibliometric Review of Plant Growth-Promoting Rhizobacteria in Salt-Affected Soils. Agronomy 2022, 12, 2304. [Google Scholar] [CrossRef]
- Li, H.-P.; Ma, H.-B.; Zhang, J.-L. Halo-Tolerant Plant Growth-Promoting Bacteria-Mediated Plant Salt Resistance and Microbiome-Based Solutions for Sustainable Agriculture in Saline Soils. FEMS Microbiol. Ecol. 2025, 101, fiaf037. [Google Scholar] [CrossRef]
- Lin, T.; Haider, F.U.; Liu, T.; Li, S.; Zhang, P.; Zhao, C.; Li, X. Salt Tolerance Induced by Plant Growth-Promoting Rhizobacteria Is Associated with Modulations of the Photosynthetic Characteristics, Antioxidant System, and Rhizosphere Microbial Diversity in Soybean (Glycine max (L.) Merr.). Agronomy 2025, 15, 341. [Google Scholar] [CrossRef]
- Alzate Zuluaga, M.Y.; Fattorini, R.; Cesco, S.; Pii, Y. Plant-Microbe Interactions in the Rhizosphere for Smarter and More Sustainable Crop Fertilization: The Case of PGPR-Based Biofertilizers. Front. Microbiol. 2024, 15, 1440978. [Google Scholar] [CrossRef]
- Wang, Y.; Zhao, D.; Li, Z.; Zheng, H.; Li, Y.; Zheng, Y.; Zhang, C.-S. Sphingobium yanoikuyae 41R9 Enhances Nitrogen Uptake by Modulating Transporter Genes and Root Development in Rapeseed. Plant Cell Environ. 2025. online ahead of print. [Google Scholar] [CrossRef]
- Wahab, A.; Batool, F.; Abdi, G.; Muhammad, M.; Ullah, S.; Zaman, W. Role of Plant Growth-Promoting Rhizobacteria in Sustainable Agriculture: Addressing Environmental and Biological Challenges. J. Plant Physiol. 2025, 307, 154455. [Google Scholar] [CrossRef]
- Ma, X.; Ouyang, Z.; Luo, H.; Shang, W.; Ma, H.; Zhu, M.; Dong, H.; Guo, Z.; Dong, X.; Piao, F.; et al. Bacillus Velezensis HR6-1 Enhances Salt Tolerance in Tomato by Increasing Endogenous Cytokinin Content and Improving ROS Scavenging. Microbiol. Res. 2025, 296, 128143. [Google Scholar] [CrossRef]
- Feng, Q.; Luo, Y.; Liang, M.; Cao, Y.; Wang, L.; Liu, C.; Zhang, X.; Ren, L.; Wang, Y.; Wang, D.; et al. Rhizobacteria Protective Hydrogel to Promote Plant Growth and Adaption to Acidic Soil. Nat. Commun. 2025, 16, 1684. [Google Scholar] [CrossRef]
- Oren, A. Diversity of Halophilic Microorganisms: Environments, Phylogeny, Physiology, and Applications. J. Ind. Microbiol. Biotechnol. 2002, 28, 56–63. [Google Scholar] [CrossRef] [PubMed]
- Singh, S.P.; Raval, V.; Purohit, M.K. Strategies for the Salt Tolerance in Bacteria and Archeae and Its Implications in Developing Crops for Adverse Conditions. In Plant Acclimation to Environmental Stress; Tuteja, N., Singh Gill, S., Eds.; Springer: New York, NY, USA, 2013; pp. 85–99. [Google Scholar]
- Sand, M.; Mingote, A.I.; Santos, H.; Müller, V.; Averhoff, B. Mannitol, a Compatible Solute Synthesized by Acinetobacter Baylyi in a Two-Step Pathway Including a Salt-Induced and Salt-Dependent Mannitol-1-Phosphate Dehydrogenase. Environ. Microbiol. 2013, 15, 2187–2197. [Google Scholar] [CrossRef] [PubMed]
- Zhou, Y.; Liu, D.; Li, F.; Dong, Y.; Jin, Z.; Liao, Y.; Li, X.; Peng, S.; Delgado-Baquerizo, M.; Li, X. Superiority of Native Soil Core Microbiomes in Supporting Plant Growth. Nat. Commun. 2024, 15, 6599. [Google Scholar] [CrossRef] [PubMed]
- Lei, J.; Gu, H.; Liu, Z.; Hu, X.; Yu, Z.; Guan, Q.; Jin, J.; Liu, X.; Wang, G.; Liu, J. Recruitment of Specific Rhizosphere Microorganisms in Saline-Alkali Tolerant Rice Improves Adaptation to Saline-Alkali Stress. Sci. Total Environ. 2025, 963, 178413. [Google Scholar] [CrossRef] [PubMed]
- Li, Y.; Luo, X.; Guo, H.; Bai, J.; Xiao, Y.; Fu, Y.; Wu, Y.; Wan, H.; Huang, Y.; Gao, H. Metabolomics and Metatranscriptomics Reveal the Influence Mechanism of Endogenous Microbe (Staphylococcus succinus) Inoculation on the Flavor of Fermented Chili Pepper. Int. J. Food Microbiol. 2023, 406, 110371. [Google Scholar] [CrossRef] [PubMed]
- Jeong, D.-W.; Heo, S.; Lee, B.; Lee, H.; Jeong, K.; Her, J.-Y.; Lee, K.-G.; Lee, J.-H. Effects of the Predominant Bacteria from Meju and Doenjang on the Production of Volatile Compounds during Soybean Fermentation. Int. J. Food Microbiol. 2017, 262, 8–13. [Google Scholar] [CrossRef]
- Jalal-Ud-Din, S.; Elahi, N.N.; Mubeen, F. Significance of Zinc-Solubilizing Plant Growth-Promoting Rhizobacterial Strains in Nutrient Acquisition, Enhancement of Growth, Yield, and Oil Content of Canola (Brassica napus L.). Front. Microbiol. 2024, 15, 1446064. [Google Scholar] [CrossRef]
- Xie, X.; Xu, Z.; Gan, L.; Dong, C.; Zhang, T.; Huang, Y.; He, T.; Tian, Y.; Zou, X. Simultaneous Organic/Inorganic Phosphate Solubilization by Staphylococcus Succinus NG-9 under Saline-Alkali Conditions: Insights into Its Characteristics, Mechanisms, and Potential Applications. Microbiol. Spectr. 2025, 13, e00490-25. [Google Scholar] [CrossRef]
- Fang, X.; Gao, H.; Liang, Z. Isolation, Identification, and Characterization of Plant Growth-Promoting Bacteria from Pisha Sandstone for Application as a Microbial Inoculant in Soil Rehabilitation. Front. Microbiol. 2025, 16, 1664490. [Google Scholar] [CrossRef]
- Nautiyal, C.S. An Efficient Microbiological Growth Medium for Screening Phosphate Solubilizing Microorganisms. FEMS Microbiol. Lett. 1999, 170, 265–270. [Google Scholar] [CrossRef]
- Molla, M.A.Z.; Chowdhury, A.A.; Islam, A.; Hoque, S. Microbial Mineralization of Organic Phosphate in Soil. Plant Soil. 1984, 78, 393–399. [Google Scholar] [CrossRef]
- Rajawat, M.V.S.; Singh, S.; Tyagi, S.P.; Saxena, A.K. A Modified Plate Assay for Rapid Screening of Potassium-Solubilizing Bacteria. Pedosphere 2016, 26, 768–773. [Google Scholar] [CrossRef]
- Andy, A.K.; Masih, S.A.; Gour, V.S. Isolation, Screening and Characterization of Plant Growth Promoting Rhizobacteria from Rhizospheric Soils of Selected Pulses. Biocatal. Agric. Biotechnol. 2020, 27, 101685. [Google Scholar] [CrossRef]
- Rahman, A.; Sitepu, I.R.; Tang, S.-Y.; Hashidoko, Y. Salkowski’s Reagent Test as a Primary Screening Index for Functionalities of Rhizobacteria Isolated from Wild Dipterocarp Saplings Growing Naturally on Medium-Strongly Acidic Tropical Peat Soil. Biosci. Biotechnol. Biochem. 2010, 74, 2202–2208. [Google Scholar] [CrossRef] [PubMed]
- Penrose, D.M.; Glick, B.R. Methods for Isolating and Characterizing ACC Deaminase-Containing Plant Growth-Promoting Rhizobacteria. Physiol. Plant. 2003, 118, 10–15. [Google Scholar] [CrossRef] [PubMed]
- Han, C.; Shi, C.; Liu, L.; Han, J.; Yang, Q.; Wang, Y.; Li, X.; Fu, W.; Gao, H.; Huang, H.; et al. Majorbio Cloud 2024: Update Single-Cell and Multiomics Workflows. iMeta 2024, 3, e217. [Google Scholar] [CrossRef]
- Horikoshi, K. Alkaliphiles: Some Applications of Their Products for Biotechnology. Microbiol. Mol. Biol. Rev. 1999, 63, 735–750. [Google Scholar] [CrossRef]
- Zeng, J.; Tu, Q.; Yu, X.; Qian, L.; Wang, C.; Shu, L.; Liu, F.; Liu, S.; Huang, Z.; He, J.; et al. PCycDB: A Comprehensive and Accurate Database for Fast Analysis of Phosphorus Cycling Genes. Microbiome 2022, 10, 101. [Google Scholar] [CrossRef]
- Bradshaw, R.A.; Cancedda, F.; Ericsson, L.H.; Neumann, P.A.; Piccoli, S.P.; Schlesinger, M.J.; Shriefer, K.; Walsh, K.A. Amino Acid Sequence of Escherichia coli Alkaline Phosphatase. Proc. Natl. Acad. Sci. USA 1981, 78, 3473–3477. [Google Scholar] [CrossRef]
- Lidbury, I.D.E.A.; Murphy, A.R.J.; Fraser, T.D.; Bending, G.D.; Jones, A.M.E.; Moore, J.D.; Goodall, A.; Tibbett, M.; Hammond, J.P.; Scanlan, D.J.; et al. Identification of Extracellular Glycerophosphodiesterases in Pseudomonas and Their Role in Soil Organic Phosphorus Remineralisation. Sci. Rep. 2017, 7, 2179. [Google Scholar] [CrossRef]
- Pan, L.; Cai, B. Phosphate-Solubilizing Bacteria: Advances in Their Physiology, Molecular Mechanisms and Microbial Community Effects. Microorganisms 2023, 11, 2904. [Google Scholar] [CrossRef]
- Zangelmi, E.; Ruffolo, F.; Dinhof, T.; Gerdol, M.; Malatesta, M.; Chin, J.P.; Rivetti, C.; Secchi, A.; Pallitsch, K.; Peracchi, A. Deciphering the Role of Recurrent FAD-Dependent Enzymes in Bacterial Phosphonate Catabolism. iScience 2023, 26, 108108. [Google Scholar] [CrossRef]
- Wan, W.; Qin, Y.; Wu, H.; Zuo, W.; He, H.; Tan, J.; Wang, Y.; He, D. Isolation and Characterization of Phosphorus Solubilizing Bacteria with Multiple Phosphorus Sources Utilizing Capability and Their Potential for Lead Immobilization in Soil. Front. Microbiol. 2020, 11, 752. [Google Scholar] [CrossRef] [PubMed]
- Joshi, S.; Gangola, S.; Jaggi, V.; Sahgal, M. Functional Characterization and Molecular Fingerprinting of Potential Phosphate Solubilizing Bacterial Candidates from Shisham Rhizosphere. Sci. Rep. 2023, 13, 7003. [Google Scholar] [CrossRef] [PubMed]
- Porco, A.; Gamero, E.E.; Mylonás, E.; Istúriz, T. Gluconate as Suitable Potential Reduction Supplier in Corynebacterium Glutamicum: Cloning and Expression of gntP and gntK in Escherichia coli. Biol. Res. 2008, 41, 349–358. [Google Scholar] [CrossRef]
- Van Dien, S.J.; Keasling, J.D. A Dynamic Model of the Escherichia coli Phosphate-Starvation Response. J. Theor. Biol. 1998, 190, 37–49. [Google Scholar] [CrossRef]
- van Veen, H.W. Phosphate Transport in Prokaryotes: Molecules, Mediators and Mechanisms. Antonie Van. Leeuwenhoek 1997, 72, 299–315. [Google Scholar] [CrossRef]
- Wu, X.; Rensing, C.; Han, D.; Xiao, K.-Q.; Dai, Y.; Tang, Z.; Liesack, W.; Peng, J.; Cui, Z.; Zhang, F. Genome-Resolved Metagenomics Reveals Distinct Phosphorus Acquisition Strategies between Soil Microbiomes. mSystems 2022, 7, e01107-21. [Google Scholar] [CrossRef] [PubMed]
- Elashvili, I.; DeFrank, J.J.; Culotta, V.C. phnE and glpT Genes Enhance Utilization of Organophosphates in Escherichia coliK-12. Appl. Environ. Microbiol. 1998, 64, 2601–2608. [Google Scholar] [CrossRef]
- Rao, N.N.; Kornberg, A. Inorganic Polyphosphate Supports Resistance and Survival of Stationary-Phase Escherichia coli. J. Bacteriol. 1996, 178, 1394–1400. [Google Scholar] [CrossRef] [PubMed]
- Kornberg, A.; Rao, N.N.; Ault-Riché, D. Inorganic Polyphosphate: A Molecule of Many Functions. Annu. Rev. Biochem. 1999, 68, 89–125. [Google Scholar] [CrossRef] [PubMed]
- Chen, J.; Brevet, A.; Fromant, M.; Lévêque, F.; Schmitter, J.M.; Blanquet, S.; Plateau, P. Pyrophosphatase Is Essential for Growth of Escherichia coli. J. Bacteriol. 1990, 172, 5686–5689. [Google Scholar] [CrossRef]
- Lamarche, M.G.; Wanner, B.L.; Crépin, S.; Harel, J. The Phosphate Regulon and Bacterial Virulence: A Regulatory Network Connecting Phosphate Homeostasis and Pathogenesis. FEMS Microbiol. Rev. 2008, 32, 461–473. [Google Scholar] [CrossRef]
- Jayaraman, V.; Lee, D.J.; Elad, N.; Vimer, S.; Sharon, M.; Fraser, J.S.; Tawfik, D.S. A Counter-Enzyme Complex Regulates Glutamate Metabolism in Bacillus Subtilis. Nat. Chem. Biol. 2022, 18, 161–170. [Google Scholar] [CrossRef] [PubMed]
- Hirakawa, H.; Takita, A.; Sato, Y.; Hiramoto, S.; Hashimoto, Y.; Ohshima, N.; Minamishima, Y.A.; Murakami, M.; Tomita, H. Inactivation of ackA and Pta Genes Reduces GlpT Expression and Susceptibility to Fosfomycin in Escherichia coli. Microbiol. Spectr. 2023, 11, e05069-22. [Google Scholar] [CrossRef]
- Aarnikunnas, J.; Rönnholm, K.; Palva, A. The Mannitol Dehydrogenase Gene (Mdh) from Leuconostoc mesenteroides is Distinct from Other Known Bacterial Mdh Genes. Appl. Microbiol. Biotechnol. 2002, 59, 665–671. [Google Scholar] [CrossRef]
- Bremer, E.; Krämer, R. Responses of Microorganisms to Osmotic Stress. Annu. Rev. Microbiol. 2019, 73, 313–334. [Google Scholar] [CrossRef]
- Lundgren, B.R.; Shoytush, J.M.; Scheel, R.A.; Sain, S.; Sarwar, Z.; Nomura, C.T. Utilization of L-Glutamate as a Preferred or Sole Nutrient in Pseudomonas Aeruginosa PAO1 Depends on Genes Encoding for the Enhancer-Binding Protein AauR, the Sigma Factor RpoN and the Transporter Complex AatJQMP. BMC Microbiol. 2021, 21, 83. [Google Scholar] [CrossRef]
- Wu, J.; McAuliffe, O.; O’Byrne, C.P. Trehalose Transport Occurs via TreB in Listeria monocytogenes and It Influences Biofilm Development and Acid Resistance. Int. J. Food Microbiol. 2023, 394, 110165. [Google Scholar] [CrossRef]
- Beasley, F.C.; Vinés, E.D.; Grigg, J.C.; Zheng, Q.; Liu, S.; Lajoie, G.A.; Murphy, M.E.P.; Heinrichs, D.E. Characterization of Staphyloferrin A Biosynthetic and Transport Mutants in Staphylococcus aureus. Mol. Microbiol. 2009, 72, 947–963. [Google Scholar] [CrossRef] [PubMed]
- Whiteley, M.; Diggle, S.P.; Greenberg, E.P. Progress in and Promise of Bacterial Quorum Sensing Research. Nature 2017, 551, 313–320. [Google Scholar] [CrossRef] [PubMed]
- Ventosa, A.; Mellado, E.; Sanchez-Porro, C.; Marquez, M.C. Halophilic and Halotolerant Micro-Organisms from Soils. In Microbiology of Extreme Soils; Dion, P., Nautiyal, C.S., Eds.; Springer: Berlin/Heidelberg, Germany, 2008; pp. 87–115. [Google Scholar]
- Egamberdieva, D.; Wirth, S.; Bellingrath-Kimura, S.D.; Mishra, J.; Arora, N.K. Salt-Tolerant Plant Growth Promoting Rhizobacteria for Enhancing Crop Productivity of Saline Soils. Front. Microbiol. 2019, 10, 2791. [Google Scholar] [CrossRef] [PubMed]
- Oren, A. Microbial Life at High Salt Concentrations: Phylogenetic and Metabolic Diversity. Aquat. Biosyst. 2008, 4, 2. [Google Scholar] [CrossRef]
- Oren, A. Bioenergetic Aspects of Halophilism. Microbiol. Mol. Biol. Rev. 1999, 63, 334–348. [Google Scholar] [CrossRef]
- Cheng, B.; Meng, Y.; Cui, Y.; Li, C.; Tao, F.; Yin, H.; Yang, C.; Xu, P. Alkaline Response of a Halotolerant Alkaliphilic Halomonas Strain and Functional Diversity of Its Na+(K+)/H+ Antiporters*. J. Biol. Chem. 2016, 291, 26056–26065. [Google Scholar] [CrossRef]
- Boscari, A.; Mandon, K.; Dupont, L.; Poggi, M.-C.; Le Rudulier, D. BetS Is a Major Glycine Betaine/Proline Betaine Transporter Required for Early Osmotic Adjustment in Sinorhizobium meliloti. J. Bacteriol. 2002, 184, 2654–2663. [Google Scholar] [CrossRef]
- Kempf, B.; Bremer, E. Uptake and Synthesis of Compatible Solutes as Microbial Stress Responses to High-Osmolality Environments. Arch. Microbiol. 1998, 170, 319–330. [Google Scholar] [CrossRef]
- Wang, J.; Wang, Y.; Lu, S.; Lou, H.; Wang, X.; Wang, W. The Protective Role of Potassium in the Adaptation of Pseudomonas protegens SN15-2 to Hyperosmotic Stress. Microbiol. Res. 2024, 289, 127887. [Google Scholar] [CrossRef]
- Liu, F.; Li, N.; Zhang, Y. The Radioresistant and Survival Mechanisms of Deinococcus radiodurans. Radiat. Med. Prot. 2023, 4, 70–79. [Google Scholar] [CrossRef]
- Sun, X.; Xu, Z.; Zhang, N.; Liu, Y.; Xun, W.; Miao, Y.; Shao, J.; Zhang, R.; Shen, Q. Bacillus velezensis SQR9: A Model Biofertilizer Strain for Beneficial Plant Root-Rhizobacterium Interaction. Sci. China Life Sci. 2025. online ahead of print. [Google Scholar] [CrossRef] [PubMed]
- Backer, R.; Rokem, J.S.; Ilangumaran, G.; Lamont, J.; Praslickova, D.; Ricci, E.; Subramanian, S.; Smith, D.L. Plant Growth-Promoting Rhizobacteria: Context, Mechanisms of Action, and Roadmap to Commercialization of Biostimulants for Sustainable Agriculture. Front. Plant Sci. 2018, 9, 1473. [Google Scholar] [CrossRef] [PubMed]
- Illmer, P.; Schinner, F. Solubilization of Inorganic Calcium Phosphates—Solubilization Mechanisms. Soil Biol. Biochem. 1995, 27, 257–263. [Google Scholar] [CrossRef]
- Sharma, S.B.; Sayyed, R.Z.; Trivedi, M.H.; Gobi, T.A. Phosphate Solubilizing Microbes: Sustainable Approach for Managing Phosphorus Deficiency in Agricultural Soils. SpringerPlus 2013, 2, 587. [Google Scholar] [CrossRef]
- Rasul, M.; Yasmin, S.; Suleman, M.; Zaheer, A.; Reitz, T.; Tarkka, M.T.; Islam, E.; Mirza, M.S. Glucose Dehydrogenase Gene Containing Phosphobacteria for Biofortification of Phosphorus with Growth Promotion of Rice. Microbiol. Res. 2019, 223–225, 1–12. [Google Scholar] [CrossRef]
- Zhang, J.; Han, X.; Su, Y.; Staehelin, C.; Xu, C. T-DNA Insertion Mutagenesis in Penicillium Brocae Results in Identification of an Enolase Gene Mutant Impaired in Secretion of Organic Acids and Phosphate Solubilization. Microbiology 2023, 169, 001325. [Google Scholar] [CrossRef]
- Bakhshandeh, E.; Pirdashti, H.; Lendeh, K.S. Phosphate and Potassium-Solubilizing Bacteria Effect on the Growth of Rice. Ecol. Eng. 2017, 103, 164–169. [Google Scholar] [CrossRef]
- Dutta, S.; Bhattacharjya, D.; Sinha, S.; Mandal, A.K. Salt-Tolerant and Plant Growth-Promoting Rhizobacteria: A New-Fangled Approach for Improving Crop Yield. In Harsh Environment and Plant Resilience: Molecular and Functional Aspects; Husen, A., Ed.; Springer International Publishing: Cham, Switzerland, 2021; pp. 367–385. [Google Scholar]







| Plant Growth-Promoting Activity | Result |
|---|---|
| Inorganic phosphate solubilization | + |
| Organic phosphorus mineralization | + |
| Ammonium production | + |
| Potassium solubilization | + |
| Nitrogen fixation | − |
| IAA production | − |
| ACC deaminase activity | − |
| Functional Category | Gene ID | Gene Name | Gene Description |
|---|---|---|---|
| P Activation | gene0591 | phoA | alkaline phosphatase |
| gene1922 | glpQ | glycerophosphodiester phosphodiesterase | |
| gene2570 | phnX | phosphonoacetaldehyde hydrolase | |
| gene2571 | phnW | 2-aminoethylphosphonate—pyruvate transaminase | |
| gene0428 | gntK | gluconokinase | |
| gene0136 | gntP | gluconate:H+ symporter | |
| gene1360 | gnd | NADP-dependent phosphogluconate dehydrogenase | |
| gene0228 | ppdK | pyruvate, phosphate dikinase | |
| gene0756 | deoB | phosphopentomutase | |
| P Uptake | gene1471 | pstS | PstS family phosphate ABC transporter substrate-binding protein |
| gene1473 | pstA | phosphate ABC transporter permease PstA | |
| gene1472 | pstC | phosphate ABC transporter permease subunit PstC | |
| gene1474 | pstB | phosphate ABC transporter ATP-binding protein PstB | |
| gene2144 | pit | Inorganic phosphate transporter | |
| gene0056 | ugpC | sn-glycerol-3-phosphate ABC transporter ATP-binding protein UgpC | |
| gene0056 | ugpC | sn-glycerol-3-phosphate ABC transporter ATP-binding protein UgpC | |
| gene2144 | pit | Inorganic phosphate transporter | |
| gene0056 | ugpC | sn-glycerol-3-phosphate ABC transporter ATP-binding protein UgpC | |
| Regulation of P-deficiency-induced Responses | gene0023 | phoP | two-component response regulator PhoP |
| gene1117 | |||
| gene0546 | phoB | two-component response regulator PhoB | |
| gene1437 | |||
| gene1118 | phoR | Alkaline phosphatase synthesis sensor protein PhoR | |
| gene1475 | phoU | Phosphate-specific transport system accessory protein PhoU | |
| gene0426 | spoT | GTP pyrophosphokinase family protein | |
| gene1235 | phoH | PhoH family protein |
| Functional Category | Gene ID | Gene Name | Gene Description |
|---|---|---|---|
| Ammonium Production | gene1923 | gudB | NAD-specific glutamate dehydrogenase |
| gene2253 | |||
| Potassium Solubilizing | gene1098 | ackA | acetate kinase malate dehydrogenase |
| gene2114 | mdh |
| Gene ID | Gene Name | TCDB Description |
|---|---|---|
| gene0362 | nhaC | Na+/H+ antiporter (Sodium/proton antiporter)—Bacillus firmus |
| gene0579 | Na+/H+ antiporter nhaC OS = Staphylococcus aureus subsp. aureus | |
| gene0612 | HYPOTHETICAL NA+/H+ ANTIPORTER IN ANSB-SPOIIM INTERGENIC REGION—Bacillus subtilis | |
| gene2181 | mnhA | Na+/H+ antiporter subunit A—Bacillus subtilis |
| gene2180 | mnhB | Na+/H+ antiporter OS = Bacillus halodurans |
| gene1930 | Na+/H+ antiporter subunit B—Staphylococcus aureus | |
| gene1931 | mnhC | Na+/H+ antiporter subunit C—Staphylococcus aureus |
| gene2179 | Na+/H+ antiporter OS = Bacillus halodurans | |
| gene1932 | mnhD | Na+/H+ antiporter subunit D—Staphylococcus aureus |
| gene2178 | Na+/H+ antiporter subunit D—Bacillus subtilis | |
| gene2177 | mnhE | Na+/H+ antiporter OS = Bacillus halodurans |
| gene1933 | Na+/H+ antiporter subunit E—Staphylococcus aureus | |
| gene1934 | mnhF | Na+/H+ antiporter subunit F—Staphylococcus aureus |
| gene2176 | Na+/H+ antiporter subunit F—Bacillus subtilis | |
| gene1935 | mnhG | Na+/H+ antiporter subunit G—Staphylococcus aureus |
| gene2175 | Na+/H+ antiporter subunit G—Bacillus subtilis | |
| gene0473 | opuA | Glycine betaine/carnitine/choline transport ATP-binding protein opuCA—Bacillus subtilis |
| gene0474 | opuBD | Glycine betaine/carnitine/choline transport system permease protein opuCB—Bacillus subtilis |
| gene0476 | Glycine betaine/carnitine/choline transport system permease protein opuCD—Bacillus subtilis | |
| gene0475 | opuC | Glycine betaine/carnitine/choline-binding protein precursor (Osmoprotectant-binding protein)—Bacillus subtilis |
| gene1035 | ||
| gene0695 | opuD | glycine betaine transporter OpuD—Staphylococcus aureus |
| gene1053 | GLYCINE BETAINE TRANSPORTER OPUD—Bacillus subtilis | |
| gene1548 | ||
| gene0515 | gltP | PROTON/SODIUM-GLUTAMATE SYMPORT PROTEIN (GLUTAMATE-ASPARTATE CARRIER PROTEIN)—Bacillus stearothermophilus |
| gene0562 | gltS | Glutamate/sodium ion symporter, GltS OS=Pseudomonas aeruginosa |
| gene2380 | treB | Probable PTS system, trehalose-specific IIBC component—Bacillus subtilis |
| Cluster ID | Type | MIBiG Accession | Similar Cluster | Similarity (%) | Gene No. |
|---|---|---|---|---|---|
| cluster1 | NRPS | - | - | - | 39 |
| cluster2 | T3PKS | BGC0000758 | capsular polysaccharide | 3 | 34 |
| cluster3 | siderophore | BGC0000944 | staphyloferrin A | 100 | 12 |
| cluster4 | cyclic-lactone-autoinducer | BGC0000082 | kijanimicin | 4 | 18 |
| cluster5 | terpene | - | - | - | 26 |
| cluster6 | terpene | - | - | - | 25 |
Disclaimer/Publisher’s Note: The statements, opinions and data contained in all publications are solely those of the individual author(s) and contributor(s) and not of MDPI and/or the editor(s). MDPI and/or the editor(s) disclaim responsibility for any injury to people or property resulting from any ideas, methods, instructions or products referred to in the content. |
© 2026 by the authors. Licensee MDPI, Basel, Switzerland. This article is an open access article distributed under the terms and conditions of the Creative Commons Attribution (CC BY) license.
Share and Cite
Huang, Y.; Wang, J.; Song, J.; Wang, Q. Phenotypic, Pot-Experimental, and Genomic Characterization of Staphylococcus succinus NYN-1, a Moderately Halophilic Bacterium Isolated from the Rhizosphere of the Halophyte Suaeda dendroides in Xinjiang. Microorganisms 2026, 14, 680. https://doi.org/10.3390/microorganisms14030680
Huang Y, Wang J, Song J, Wang Q. Phenotypic, Pot-Experimental, and Genomic Characterization of Staphylococcus succinus NYN-1, a Moderately Halophilic Bacterium Isolated from the Rhizosphere of the Halophyte Suaeda dendroides in Xinjiang. Microorganisms. 2026; 14(3):680. https://doi.org/10.3390/microorganisms14030680
Chicago/Turabian StyleHuang, Yuxiang, Jingyi Wang, Jinzhu Song, and Qi Wang. 2026. "Phenotypic, Pot-Experimental, and Genomic Characterization of Staphylococcus succinus NYN-1, a Moderately Halophilic Bacterium Isolated from the Rhizosphere of the Halophyte Suaeda dendroides in Xinjiang" Microorganisms 14, no. 3: 680. https://doi.org/10.3390/microorganisms14030680
APA StyleHuang, Y., Wang, J., Song, J., & Wang, Q. (2026). Phenotypic, Pot-Experimental, and Genomic Characterization of Staphylococcus succinus NYN-1, a Moderately Halophilic Bacterium Isolated from the Rhizosphere of the Halophyte Suaeda dendroides in Xinjiang. Microorganisms, 14(3), 680. https://doi.org/10.3390/microorganisms14030680

