An Overview of the Neglected Modes of Existence in Avian Haemosporidian Parasites
Abstract
1. Introduction
2. Materials and Methods
3. Results and Discussion
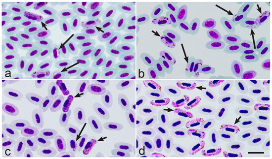
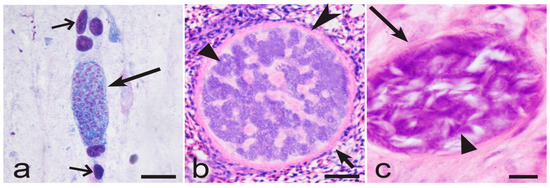
3.1. Underestimated Role of Blood Merogony in the Long-Lasting Persistence of Plasmodium Species in Avian Hosts
3.2. Underestimated Role of Gametocytes in the Long-Lasting Survival of Avian Haemoproteus Parasites in Avian Hosts
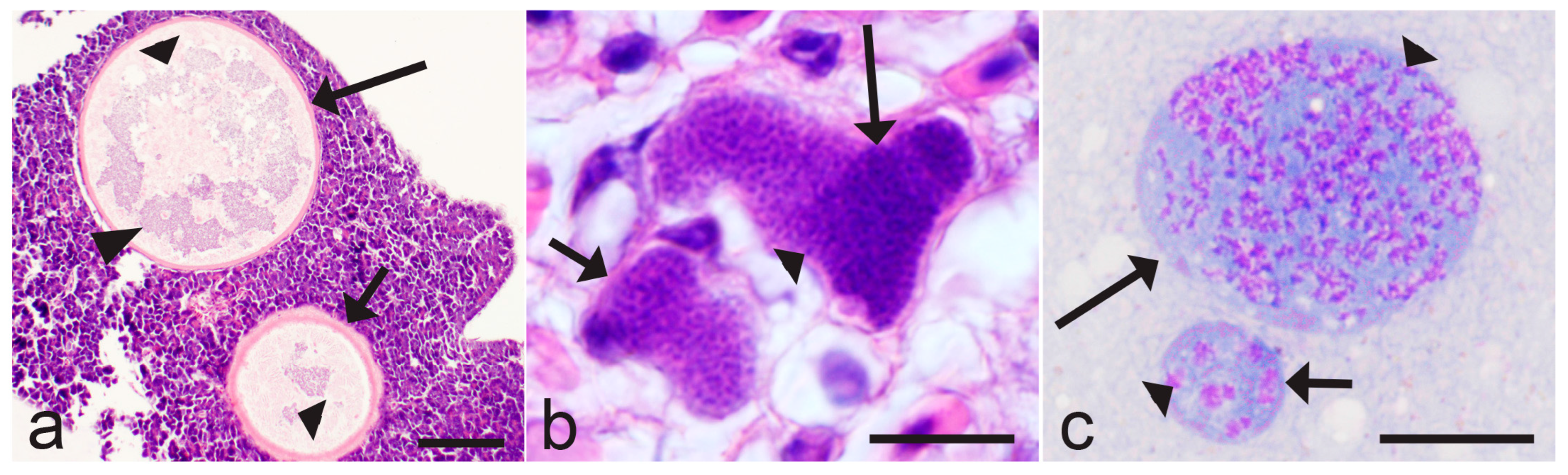
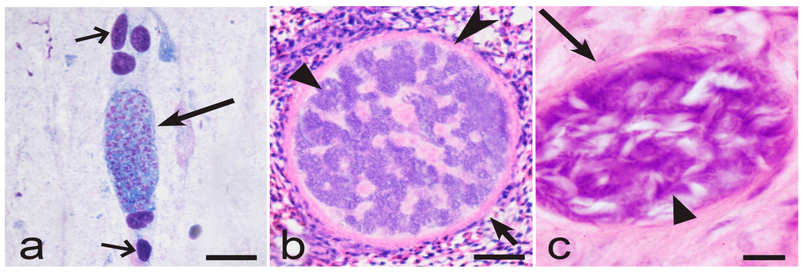
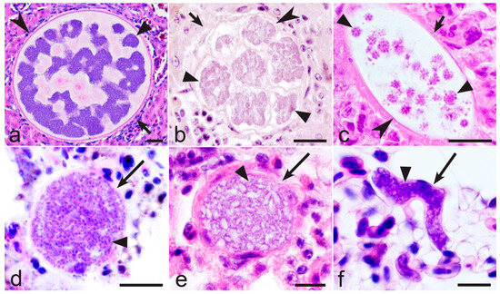
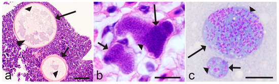
3.3. Underestimated Haemoproteus Infections Due to Slow Maturation of Megalomeronts
3.4. What Factors Drive the Narrow Specificity of Haemoproteus Parasites in Birds?
4. Conclusions
Author Contributions
Funding
Data Availability Statement
Acknowledgments
Conflicts of Interest
References
- Danilewsky, V.Y. About blood parasites (Haematozoa). Russ. Med. 1884, 46, 948–949. 48, 995–996. (In Russian) [Google Scholar]
- Santiago-Alarcon, D.; Marzal, A. Avian Malaria and Related Parasites in the Tropics: Ecology, Evolution and Systematics; Springer Nature Switzerland AG: Cham, Switzerland, 2020; p. 575. [Google Scholar]
- Duc, M.; Esperanza, C.; Chagas, C.R.F.; Iezhova, T.; Sehgal, R.N.M.; Valkiūnas, G. First report of Matryoshka RNA virus in an African-European migrant bird. PLoS ONE 2025, 20, e0319395. [Google Scholar] [CrossRef] [PubMed]
- Esperanza, C.W.; Faircloth, C.E.; Roy, S.W.; Sehgal, R.N. Prevalence and diversity of haemosporidian-associated Matryoshka RNA viruses in a natural population of wild birds. bioRxiv 2024. [Google Scholar]
- Valkiūnas, G. Avian Malaria Parasites and Other Haemosporidia; CRC: Boca Raton, FL, USA, 2005; pp. 1–932. [Google Scholar]
- Himmel, T.; Harl, J.; Matt, J.; Nedorost, N.; Iezhova, T.; Ilgūnas, M.; Valkiūnas, G.; Weissenböck, H. RNAscope in situ hybridization reveals microvascular sequestration of Plasmodium relictum pSGS1 blood stages but absence of exo-erythrocytic dormant stages during latent infection of Serinus canaria. Malar. J. 2024, 23, 70. [Google Scholar] [CrossRef]
- Bennett, G.F.; Whiteway, M.; Woodworth-Lynas, C. A host-parasite catalogue of the avian haematozoa. Mem. Univ. Nfld. Occ. Pap. Biol. 1982, 5, 1–243. [Google Scholar]
- Bennett, G.F.; Earlé, R.A.; Du Toit, H.; Huchzermeyer, F.W. A host–parasite catalogue of the haematozoa of the sub-Saharan birds. Onderstepoort J. Vet. Res. 1992, 59, 1–73. [Google Scholar] [PubMed]
- Bishop, M.A.; Bennett, G.F. Host-parasite catalogue of the avian haematozoa: Supplement 1, and Bibliography of the avian blood-inhabiting haematozoa. Mem. Univ. Nfld. Occ. Pap. Biol. 1992, 15, 1–244. [Google Scholar]
- Garnham, P.C.C. Malaria Parasites and Other Haemosporidia; Blackswell: Oxford, UK, 1966; p. 1114. [Google Scholar]
- Garnham, P.C.C.; Duggan, A.J. Catalogue of the Garnham Collection of Malaria Parasites and Other Haemosporidia; The Wellcome Trust: London, UK, 1986; p. 191. [Google Scholar]
- Telford, S.R. Hemoparasites of the Reptilia: Color Atlas and Text; CRC Press: Boca Raton, FL, USA, 2009; p. 376. [Google Scholar]
- Pacheco, M.A.; Escalante, A.A. Origin and diversity of malaria parasites and other Haemosporida. Trends Parasitol. 2023, 39, 501–516. [Google Scholar] [CrossRef]
- Coatney, G.R.; Collins, W.E.; Warren, M.; Contacos, P.G. The Primate Malarias; Government Printing Office: Washington, DC, USA, 1971; p. 366. [Google Scholar]
- Killick-Kendrick, R. Taxonomy, zoogeography and evolution. In Rodent Malaria; Killick-Kendrick, R., Peters, W., Eds.; Academic Press: New York, NY, USA, 1978; p. 52. [Google Scholar]
- Venugopal, K.; Hentzschel, F.; Valkiūnas, G.; Marti, M. Plasmodium asexual growth and sexual development in the haematopoietic niche of the host. Nat. Rev. Microbiol. 2020, 18, 177–189. [Google Scholar] [CrossRef]
- Valkiūnas, G.; Iezhova, T.A. Insights into the Biology of Leucocytozoon Species (Haemosporida, Leucocytozoidae): Why Is There Slow Research Progress on Agents of Leucocytozoonosis? Microorganisms 2023, 11, 1251. [Google Scholar] [CrossRef]
- Valkiūnas, G.; Iezhova, T. Exo-erythrocytic development of avian malaria and related haemosporidian parasites. Malar. J. 2017, 16, 101. [Google Scholar] [CrossRef] [PubMed]
- Valkiūnas, G.; Atkinson, C.T. Introduction to life cycles, taxonomy, distribution, and basic research techniques. In Avian Malaria and Related Parasites in the Tropics: Ecology, Evolution and Systematics; Santiago-Alarcon, D., Marzal, A., Eds.; Springer: Berlin/Heidelberg, Germany, 2020; pp. 45–80. [Google Scholar]
- Tchoumbou, M.; Iezhova, T.; Hernández-Lara, C.; Duc, M.; Valkiūnas, G. Unravelling the patterns of exo-erythrocytic development of Haemoproteus parasites (Haemoproteidae, Haemosporida), with a case of abortive tissue stages in a naturally infected bird. Int. J. Parasitol. 2025, 55, 15–26. [Google Scholar] [CrossRef] [PubMed]
- Ortiz-Catedral, L.; Brunton, D.; Stidworthy, M.F.; Elsheikha, H.M.; Pennycott, T.; Schulze, C.; Braun, M.; Wink, M.; Gerlach, H.; Pendl, H.; et al. Haemoproteus minutus is highly virulent for Australasian and South American parrots. Parasit. Vectors 2019, 12, 40. [Google Scholar] [CrossRef]
- Valkiūnas, G.; Kazlauskienė, R.; Bernotienė, R.; Palinauskas, V.; Iezhova, T.A. Abortive long-lasting sporogony of two Haemoproteus species (Haemosporida, Haemoproteidae) in the mosquito Ochlerotatus cantans, with perspectives on haemosporidian vector research. Parasitol. Res. 2013, 112, 2159–2169. [Google Scholar] [CrossRef]
- Valkiūnas, G.; Kazlauskienė, R.; Bernotienė, R.; Bukauskaitė, D.; Palinauskas, V.; Iezhova, T.A. Haemoproteus infections (Haemosporida, Haemoproteidae) kill bird-biting mosquitoes. Parasitol. Res. 2014, 113, 1011–1018. [Google Scholar] [CrossRef]
- Bukauskaitė, D.; Bernotienė, R.; Iezhova, T.A.; Valkiūnas, G. Mechanisms of mortality in Culicoides biting midges due to Haemoproteus infection. Parasitology 2016, 143, 1748–1754. [Google Scholar] [CrossRef]
- Valkiūnas, G.; Duc, M.; Iezhova, T.A. Increase of avian Plasmodium circumflexum prevalence, but not of other malaria parasites and related haemosporidians in northern Europe during the past 40 years. Malar. J. 2022, 21, 105. [Google Scholar] [CrossRef] [PubMed]
- Valkiūnas, G.; Ilgūnas, M.; Bukauskaitė, D.; Žiegytė, R.; Bernotienė, R.; Jusys, V.; Eigirdas, V.; Fragner, K.; Weissenböck, H.; Iezhova, T.A. Plasmodium delichoni n. sp.: Description, molecular characterisation and remarks on the exoerythrocytic merogony, persistence, vectors and transmission. Parasitol. Res. 2016, 115, 2625–2636. [Google Scholar] [CrossRef]
- Valkiūnas, G.; Ilgūnas, M.; Hernández-Lara, C.; Duc, M.; Iezhova, T. First experimental observation on biology of the avian malaria parasite Plasmodium (Novyella) homonucleophilum (lineage pSW2), with remarks on virulence and distribution. Acta Trop. 2024, 253, 107174. [Google Scholar] [CrossRef]
- Sherman, I.W. (Ed.) Malaria: Parasite Biology, Pathogenesis, and Protection; American Society for Microbiology: Washington, DC, USA, 1998. [Google Scholar]
- Culleton, R.; Pain, A.; Snounou, G. Plasmodium malariae: The persisting mysteries of a persistent parasite. Trends Parasitol. 2023, 39, 113–125. [Google Scholar] [CrossRef]
- Atkinson, C.T. Avian malaria. In Parasitic Diseases of Wild Birds; Atkinson, C.T., Thomas, N.J., Hunter, D.B., Eds.; Wiley-Blackwell: Ames, IA, USA, 2008; pp. 35–53. [Google Scholar]
- Ilgūnas, M.; Bukauskaitė, D.; Palinauskas, V.; Iezhova, T.; Fragner, K.; Platonova, E.; Weissenböck, H.; Valkiūnas, G. Patterns of Plasmodium homocircumflexum virulence in experimentally infected passerine birds. Malar. J. 2019, 18, 174. [Google Scholar] [CrossRef]
- Pendl, H.; Hernández-Lara, C.; Kubacki, J.; Borel, N.; Albini, S.; Valkiūnas, G. Exo-erythrocytic development of Plasmodium matutinum (lineage pLINN1) in a naturally infected roadkill fieldfare Turdus pilaris. Malar. J. 2022, 21, 148. [Google Scholar] [CrossRef] [PubMed]
- Ahmed, F.E.; Mohammed, A.H.H. Schizogony in Haemoproteus columbae Kruse. J. Protozool. 1977, 24, 389–393. [Google Scholar] [CrossRef] [PubMed]
- Hernández-Lara, C.; Duc, M.; Ilgūnas, M.; Valkiūnas, G. Massive Infection of Lungs with Exo-Erythrocytic Meronts in European Robin Erithacus rubecula during Natural Haemoproteus attenuatus Haemoproteosis. Animals 2021, 11, 3273. [Google Scholar] [CrossRef]
- Valkiūnas, G.; Iezhova, T.; Ilgūnas, M.; Tchoumbou, M.; Duc, M.; Bukauskaitė, D.; Himmel, T.; Harl, J.; Weissenböck, H. Unexpected absence of exo-erythrocytic merogony during high gametocytaemia in two species of Haemoproteus (Haemosporida: Haemoproteidae), including description of Haemoproteus angustus n. sp. (lineage hCWT7) and a report of previously unknown residual bodies during in vitro gametogenesis. Int. J. Parasitol. Parasites Wildl. 2024, 23, 100905. [Google Scholar] [PubMed]
- Duc, M.; Ilgūnas, M.; Valkiūnas, G. Patterns of Haemoproteus majoris (Haemosporida, Haemoproteidae) megalomeront development. Acta Trop. 2020, 212, 105706. [Google Scholar] [CrossRef]
- Duc, M.; Himmel, T.; Harl, J.; Iezhova, T.; Nedorost, N.; Matt, J.; Ilgūnas, M.; Weissenböck, H.; Valkiūnas, G. Comparative Analysis of the Exo-Erythrocytic Development of Five Lineages of Haemoproteus majoris, a Common Haemosporidian Parasite of European Passeriform Birds. Pathogens 2023, 12, 898. [Google Scholar] [CrossRef]
- Himmel, T.; Harl, J.; Matt, J.; Nedorost, N.; Lunardi, M.; Ilgūnas, M.; Iezhova, T.; Valkiūnas, G.; Weissenböck, H. Co-infecting Haemoproteus species (Haemosporida, Apicomplexa) show different host tissue tropism during exo-erythrocytic development in Fringilla coelebs (Fringillidae). Int. J. Parasitol. 2024, 54, 1–22. [Google Scholar] [CrossRef]
- Atkinson, C.T.; Greiner, E.C.; Forrester, D.J. Pre-erythrocytic development and associated host responses to Haemoproteus meleagridis (Haemosporina: Haemoproteidae) in experimentally infected domestic turkeys. J. Protozool. 1986, 33, 375–381. [Google Scholar] [CrossRef]
- Ahmed, F.E.; Mohammed, A.-H. Studies of growth and development of gametocytes in Haemoproteus columbae Kruse. J. Protozool. 1978, 25, 174–177. [Google Scholar] [CrossRef]
- Dolnik, V.R. The Migratory State of Birds; Nauka Publishers: Moscow, Russia, 1975. (In Russian) [Google Scholar]
- Jenni-Eiermann, S.J. Energy metabolism during endurance flight and the post-flight recovery phase. J. Comp. Physiol. A Neuroethol. Sens. Neural Behav. Physiol. 2017, 203, 431–438. [Google Scholar] [CrossRef] [PubMed]
- Schmaljohann, H.; Eikenaar, C.; Sapir, N. Understanding the ecological and evolutionary function of stopover in migrating birds. Biol. Rev. Camb. Philos. Soc. 2022, 97, 1231–1252. [Google Scholar] [CrossRef]
- Hedenström, A.; Hedh, L. Seasonal patterns and processes of migration in a long-distance migratory bird: Energy or time minimization? Proc. Biol. Sci. 2024, 291, 20240624. [Google Scholar] [CrossRef] [PubMed]
- Groff, T.C.; Lorenz, T.J.; Crespo, R.; Iezhova, T.; Valkiūnas, G.; Sehgal, R.N.M. Haemoproteosis lethality in a woodpecker, with molecular and morphological characterization of Haemoproteus velans (Haemosporida, Haemoproteidae). Int. J. Parasitol. Parasites Wildl. 2019, 10, 93–100. [Google Scholar] [CrossRef] [PubMed]
- Duc, M.; Ilgūnas, M.; Kubiliūnaitė, M.; Valkiūnas, G. First Report of Haemoproteus (Haemosporida, Haemoproteidae) Megalomeronts in the Brain of an Avian Host, with Description of Megalomerogony of Haemoproteus Pastoris, the Blood Parasite of the Common Starling. Animals 2021, 11, 2824. [Google Scholar] [CrossRef] [PubMed]
- Rodnan, G.P.; Ebaugh, F.G.; Fox, M.R.S.; Chambers, D.M. The life span of the red blood cell and the red blood cell volume in the chicken, pigeon and duck as estimated by the use of Na2Cr51O4, with observations on red cell turnover rate in the mammal, bird and reptile. Blood 1957, 12, 355–366. [Google Scholar] [CrossRef]
- Reece, S.E.; Drew, D.R.; Gardner, A. Sex ratio adjustment and kin discrimination in malaria parasites. Nature 2008, 453, 609–614. [Google Scholar] [CrossRef]
- Schall, J.J. Evolutionary biology: Sex ratios writ small. Nature 2008, 453, 605–606. [Google Scholar] [CrossRef]
- Atkinson, C.T. Haemoproteus. In Parasitic Diseases of Wild Birds; Atkinson, C.T., Thomas, N.J., Hunter, D.B., Eds.; Wiley-Blackwell: Ames, IA, USA, 2008; pp. 13–34. [Google Scholar]
- Ilgūnas, M.; Chagas, C.R.F.; Bukauskaitė, D.; Bernotienė, R.; Iezhova, T.; Valkiūnas, G. The life-cycle of the avian haemosporidian parasite Haemoproteus majoris, with emphasis on the exoerythrocytic and sporogonic development. Parasit. Vectors 2019, 12, 516. [Google Scholar] [CrossRef]
- Himmel, T.; Harl, J.; Matt, J.; Weissenböck, H. A citizen science-based survey of avian mortality focusing on haemosporidian infections in wild passerine birds. Malar. J. 2021, 20, 417. [Google Scholar] [CrossRef]
- Duc, M.; Himmel, T.; Ilgūnas, M.; Eigirdas, V.; Weissenböck, H.; Valkiūnas, G. Exo-erythrocytic development of two Haemoproteus species (Haemosporida, Haemoproteidae), with description of Haemoproteus dumbbellus, a new blood parasite of bunting birds (Emberizidae). Int. J. Parasitol. 2023, 53, 531–543. [Google Scholar] [CrossRef]
- Ejotre, I.; Reeder, D.M.; Matuschewski, K.; Schaer, J. Hepatocystis. Trends Parasitol. 2021, 37, 456–457. [Google Scholar] [CrossRef]
- Bensch, S.; Waldenström, J.; Jonzén, N.; Westerdahl, H.; Hansson, B.; Sejberg, D.; Hasselquist, D. Temporal dynamics and diversity of avian malaria parasites in a single host species. Anim. Ecol. 2007, 76, 112–122. [Google Scholar] [CrossRef]
- Križanauskienė, A.; Iezhova, T.A.; Palinauskas, V.; Chernetsov, N.; Valkiūnas, G. Haemoproteus nucleocondensus n. sp. (Haemosporida, Haemoproteidae) from a Eurasian songbird, the Great Reed Warbler Acrocephalus arundinaceus. Zootaxa 2012, 3441, 36–46. [Google Scholar] [CrossRef]
- Piersma, T.; van der Velde, M. Dutch house martins Delichon urbicum gain blood parasite infections over their lifetime, but do not seem to suffer. J. Ornithol. 2012, 153, 907–912. [Google Scholar] [CrossRef]
- Bukauskaitė, D.; Chagas, C.R.F.; Bernotienė, R.; Žiegytė, R.; Ilgūnas, M.; Iezhova, T.; Valkiūnas, G. A new methodology for sporogony research of avian haemoproteids in laboratory-reared Culicoides spp., with a description of the complete sporogonic development of Haemoproteus pastoris. Parasit. Vectors 2019, 12, 582. [Google Scholar] [CrossRef] [PubMed]
- Chagas, C.R.F.; Bukauskaitė, D.; Ilgūnas, M.; Bernotienė, R.; Iezhova, T.; Valkiūnas, G. Sporogony of four Haemoproteus species (Haemosporida: Haemoproteidae), with report of in vitro ookinetes of Haemoproteus hirundinis: Phylogenetic inference indicates patterns of haemosporidian parasite ookinete development. Parasit. Vectors 2019, 12, 422. [Google Scholar] [CrossRef]
- Bensch, S.; Stjernman, M.; Hasselquist, D.; Ostman, O.; Hansson, B.; Westerdahl, H.; Pinheiro, R.T. Host specificity in avian blood parasites: A study of Plasmodium and Haemoproteus mitochondrial DNA amplified from birds. Proc. Biol. Sci. 2000, 267, 1583–1589. [Google Scholar] [CrossRef]
- Bensch, S.; Hellgren, O.; Pérez-Tris, J. MalAvi: A public database of malaria parasites and related haemosporidians in avian hosts based on mitochondrial cytochrome b lineages. Mol. Ecol. Resour. 2009, 9, 1353–1358. [Google Scholar] [CrossRef]
- Moens, M.A.; Valkiūnas, G.; Paca, A.; Bonaccorso, E.; Aguirre, N.; Pérez-Tris, J. Parasite specialization in a unique habitat: Hummingbirds as reservoirs of generalist blood parasites of Andean birds. J. Anim. Ecol. 2016, 85, 1234–1245. [Google Scholar] [CrossRef]
- Martínez-de la Puente, J.; Figuerola, J.; Soriguer, R. Fur or feather? Feeding preferences of species of Culicoides biting midges in Europe. Trends Parasitol. 2015, 31, 16–22. [Google Scholar] [CrossRef] [PubMed]
- Bernotienė, R.; Valkiūnas, G. PCR detection of malaria parasites and related haemosporidians: The sensitive methodology in determining bird-biting insects. Malar. J. 2016, 15, 283. [Google Scholar] [CrossRef] [PubMed]
- Žiegytė, R.; Markovets, M.Y.; Bernotienė, R.; Mukhin, A.; Iezhova, T.A.; Valkiūnas, G.; Palinauskas, V. The widespread biting midge Culicoides impunctatus (Ceratopogonidae) is susceptible to infection with numerous Haemoproteus (Haemoproteidae) species. Parasit. Vectors 2017, 10, 397. [Google Scholar] [CrossRef]
- Bukauskaitė, D.; Iezhova, T.; Ilgūnas, M.; Valkiūnas, G. High susceptibility of the laboratory-reared biting midges Culicoides nubeculosus to Haemoproteus infections, with review on Culicoides species that transmit avian haemoproteids. Parasitology 2019, 146, 333–341. [Google Scholar] [CrossRef]
- Kazak, M.; Valavičiūtė-Pocienė, K.; Kondrotaitė, S.; Duc, M.; Bukauskaitė, D.; Hernández-Lara, C.; Bernotienė, R.; Chagas, C.R.F. Culicoides biting midges feeding behaviour as a key for understanding avian Haemoproteus transmission in Lithuania. Med. Vet. Entomol. 2024, 38, 530–541. [Google Scholar] [CrossRef]
- Garnham, P.C.C. Malaria in its various vertebrate hosts. In Epidemiology, Chemotherapy, Morphology and Metabolism; Kreier, J.P., Ed.; Malaria Series; Academic Press: New York, NY, USA, 1980; Volume 1, pp. 95–144. [Google Scholar]
- Iezhova, T.A.; Valkiūnas, G.; Bairlein, F. Vertebrate host specificity of two avian malaria parasites of the subgenus Novyella: Plasmodium nucleophilum and Plasmodium vaughani. J. Parasitol. 2005, 91, 472–474. [Google Scholar] [CrossRef] [PubMed]
- Dimitrov, D.; Palinauskas, V.; Iezhova, T.A.; Bernotienė, R.; Ilgūnas, M.; Bukauskaitė, D.; Zehtindjiev, P.; Ilieva, M.; Shapoval, A.P.; Bolshakov, C.V.; et al. Plasmodium spp.: An experimental study on vertebrate host susceptibility to avian malaria. Exp. Parasitol. 2015, 148, 1–16. [Google Scholar] [CrossRef]
- Canning, E.U.; Sinden, R.E.; Landau, I.; Miltgen, F. Ultrastructural observations on the merocyst and gametocytes of Hepatocystis spp. from Malaysian squirrels. Ann. Parasitol. Hum. Comp. 1976, 51, 607–623. [Google Scholar] [CrossRef]
- Landau, I.; Miltgen, F.; Chabaud, A.G. Different types of gametocytes in mammal’s Haemosporidia. Correlations with the morphology of the tissue schizonts. Hypothesis on the evolution of the group. Ann. Parasitol. Hum. Comp. 1976, 51, 175–187. (In French) [Google Scholar] [CrossRef]
- Cococcetta, C.; Zoller, G.; Coutant, T.; Luc, A.G.; Duval, L.; Huynh, M.J. Visceral Haemoproteus minutus Infection in a Major Mitchell’s Cockatoo (Lophochroa leadbeateri). Avian Med. Surg. 2023, 37, 62–70. [Google Scholar] [CrossRef]
- Stidworthy, M.F.; Greenwood, A.G. Deaths in aviary birds associated with protozoal megaloschizonts. Vet. Rec. 2006, 159, 606. [Google Scholar] [CrossRef] [PubMed]





Disclaimer/Publisher’s Note: The statements, opinions and data contained in all publications are solely those of the individual author(s) and contributor(s) and not of MDPI and/or the editor(s). MDPI and/or the editor(s) disclaim responsibility for any injury to people or property resulting from any ideas, methods, instructions or products referred to in the content. |
© 2025 by the authors. Licensee MDPI, Basel, Switzerland. This article is an open access article distributed under the terms and conditions of the Creative Commons Attribution (CC BY) license (https://creativecommons.org/licenses/by/4.0/).
Share and Cite
Valkiūnas, G.; Iezhova, T. An Overview of the Neglected Modes of Existence in Avian Haemosporidian Parasites. Microorganisms 2025, 13, 987. https://doi.org/10.3390/microorganisms13050987
Valkiūnas G, Iezhova T. An Overview of the Neglected Modes of Existence in Avian Haemosporidian Parasites. Microorganisms. 2025; 13(5):987. https://doi.org/10.3390/microorganisms13050987
Chicago/Turabian StyleValkiūnas, Gediminas, and Tatjana Iezhova. 2025. "An Overview of the Neglected Modes of Existence in Avian Haemosporidian Parasites" Microorganisms 13, no. 5: 987. https://doi.org/10.3390/microorganisms13050987
APA StyleValkiūnas, G., & Iezhova, T. (2025). An Overview of the Neglected Modes of Existence in Avian Haemosporidian Parasites. Microorganisms, 13(5), 987. https://doi.org/10.3390/microorganisms13050987

