Terminal Ileitis as the Exclusive Manifestation of COVID-19 in Children
Abstract
1. Introduction
2. Case 1
2.1. History
2.2. Clinical Findings
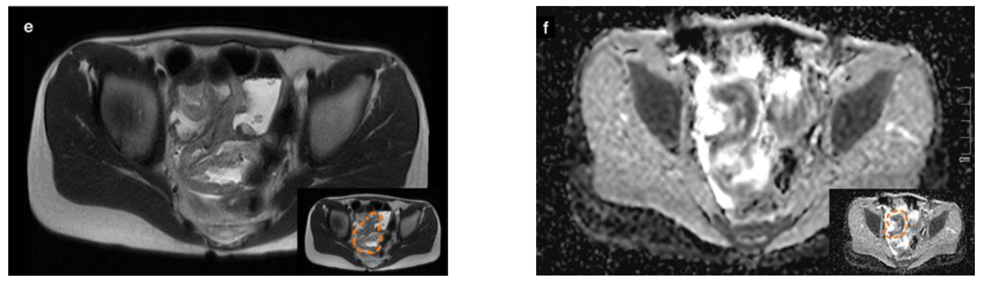
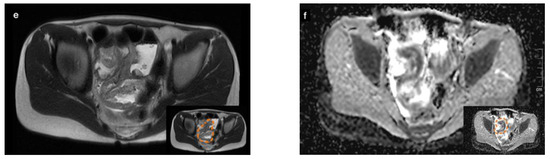
2.3. Diagnostic Evaluation
2.4. Treatment and Progress
3. Case 2
3.1. History
3.2. Clinical Findings
3.3. Diagnostic Evaluation
3.4. Treatment and Progress
4. Discussion
Author Contributions
Funding
Data Availability Statement
Conflicts of Interest
References
- Eurosurveillance Editorial Team. Note from the editors: World Health Organization declares novel coronavirus (2019-nCoV) sixth public health emergency of international concern. Eurosurveillance 2020, 25, 200131e. [Google Scholar]
- Hoang, A.; Chorath, K.; Moreira, A.; Evans, M.; Burmeister-Morton, F.; Burmeister, F.; Naqvi, R.; Petershack, M.; Moreira, A. COVID-19 in 7780 pediatric patients: A systematic review. EClinicalMedicine 2020, 24, 100433. [Google Scholar] [CrossRef] [PubMed]
- COVID-19 Treatment Guidelines. Available online: https://www.covid19treatmentguidelines.nih.gov/ (accessed on 16 February 2024).
- Wang, D.; Hu, B.; Hu, C.; Zhu, F.; Liu, X.; Zhang, J.; Wang, B.; Xiang, H.; Cheng, Z.; Xiong, Y.; et al. Clinical Characteristics of 138 Hospitalized Patients With 2019 Novel Coronavirus-Infected Pneumonia in Wuhan, China. JAMA 2020, 323, 1061–1069. [Google Scholar] [CrossRef] [PubMed]
- Lin, L.; Jiang, X.; Zhang, Z.; Huang, S.; Zhang, Z.; Fang, Z.; Gu, Z.; Gao, L.; Shi, H.; Mai, L.; et al. Gastrointestinal symptoms of 95 cases with SARS-CoV-2 infection. Gut 2020, 69, 997–1001. [Google Scholar] [CrossRef] [PubMed]
- Jin, X.; Lian, J.S.; Hu, J.H.; Gao, J.; Zheng, L.; Zhang, Y.M.; Hao, S.R.; Jia, H.Y.; Cai, H.; Zhang, X.L.; et al. Epidemiological, clinical and virological characteristics of 74 cases of coronavirus-infected disease 2019 (COVID-19) with gastrointestinal symptoms. Gut 2020, 69, 1002–1009. [Google Scholar] [CrossRef] [PubMed]
- Ashktorab, Y.; Brim, A.; Pizuorno, A.; Gayam, V.; Nikdel, S.; Brim, H. COVID-19 Pediatric Patients: Gastrointestinal Symptoms, Presentations, and Disparities by Race/Ethnicity in a Large, Multicenter US Study. Gastroenterology 2021, 160, 1842–1844. [Google Scholar] [CrossRef] [PubMed]
- Chiappini, E.; Licari, A.; Motisi, M.A.; Manti, S.; Marseglia, G.L.; Galli, L.; Lionetti, P. Gastrointestinal involvement in children with SARS-CoV-2 infection: An overview for the pediatrician. Pediatr. Allergy Immunol. 2020, 31 (Suppl. S26), 92–95. [Google Scholar] [CrossRef] [PubMed]
- Miller, J.; Cantor, A.; Zachariah, P.; Ahn, D.; Martinez, M.; Margolis, K.G. Gastrointestinal Symptoms as a Major Presentation Component of a Novel Multisystem Inflammatory Syndrome in Children That Is Related to Coronavirus Disease 2019: A Single Center Experience of 44 Cases. Gastroenterology 2020, 159, 1571–1574.e1572. [Google Scholar] [CrossRef] [PubMed]
- Yock-Corrales, A.; Lenzi, J.; Ulloa-Gutiérrez, R.; Gómez-Vargas, J.; Antúnez-Montes, O.Y.; Rios Aida, J.A.; Del Aguila, O.; Arteaga-Menchaca, E.; Campos, F.; Uribe, F.; et al. Acute Abdomen and Appendicitis in 1010 Pediatric Patients with COVID-19 or MIS-C: A Multinational Experience from Latin America. Pediatr. Infect. Dis. J. 2021, 40, e364–e369. [Google Scholar] [CrossRef]
- Nasserie, T.; Hittle, M.; Goodman, S.N. Assessment of the Frequency and Variety of Persistent Symptoms Among Patients With COVID-19: A Systematic Review. JAMA Netw. Open 2021, 4, e2111417. [Google Scholar] [CrossRef]
- Zheng, Y.B.; Zeng, N.; Yuan, K.; Tian, S.S.; Yang, Y.B.; Gao, N.; Chen, X.; Zhang, A.Y.; Kondratiuk, A.L.; Shi, P.P.; et al. Prevalence and risk factor for long COVID in children and adolescents: A meta-analysis and systematic review. J. Infect. Public Health 2023, 16, 660–672. [Google Scholar] [CrossRef]
- Baumgart, D.C.; Sandborn, W.J. Crohn’s disease. Lancet 2012, 380, 1590–1605. [Google Scholar] [CrossRef] [PubMed]
- Patil, D.T.; Odze, R.D. Backwash Is Hogwash: The Clinical Significance of Ileitis in Ulcerative Colitis. Am. J. Gastroenterol. 2017, 112, 1211–1214. [Google Scholar] [CrossRef] [PubMed]
- Bojic, D.; Markovic, S. Terminal ileitis is not always Crohn’s disease. Ann. Gastroenterol. 2011, 24, 271–275. [Google Scholar]
- Dilauro, S.; Crum-Cianflone, N.F. Ileitis: When it is not Crohn’s disease. Curr. Gastroenterol. Rep. 2010, 12, 249–258. [Google Scholar] [CrossRef]
- Goulart, R.A.; Barbalho, S.M.; Gasparini, R.G.; de Carvalho, A.C. Facing Terminal Ileitis: Going Beyond Crohn’s Disease. Gastroenterol. Res. 2016, 9, 1–9. [Google Scholar] [CrossRef]
- Chela, H.; Mir, F.; Tahan, A.; Schmidt, B.; Ertugrul, H.; Albarrak, A.; Yousef, M.H.; Shaffi, S.K.; Daglilar, E.; Tahan, V. Isolated Terminal Ileitis- Crohn’s Disease or Something Else? Preprints 2024, 2024011812. [Google Scholar] [CrossRef]
- Shamsi, S.; Barton, D.P. A critical review of anisakidosis cases occurring globally. Parasitol. Res. 2023, 122, 1733–1745. [Google Scholar] [CrossRef] [PubMed]
- Freed, N.E.; Vlková, M.; Faisal, M.B.; Silander, O.K. Rapid and inexpensive whole-genome sequencing of SARS-CoV-2 using 1200 bp tiled amplicons and Oxford Nanopore Rapid Barcoding. Biol. Methods Protoc. 2020, 5, bpaa014. [Google Scholar] [CrossRef]
- Kimpel, J.; Rössler, A.; Bante, D.; Borena, W.; von Laer, D.; Zehetner, C.; Rauchegger, T.; Seiwald, S.; Falkensammer, B. Detection of infectious SARS-CoV-2 in ocular samples is linked to viral load in the nasopharynx. Front. Cell Infect. Microbiol. 2024, 14, 1332157. [Google Scholar] [CrossRef]
- Ewels, P.A.; Peltzer, A.; Fillinger, S.; Patel, H.; Alneberg, J.; Wilm, A.; Garcia, M.U.; Di Tommaso, P.; Nahnsen, S. The nf-core framework for community-curated bioinformatics pipelines. Nat. Biotechnol. 2020, 38, 276–278. [Google Scholar] [CrossRef]
- Artic Network. Available online: https://artic.network/ncov-2019 (accessed on 31 October 2023).
- Tullie, L.; Ford, K.; Bisharat, M.; Watson, T.; Thakkar, H.; Mullassery, D.; Giuliani, S.; Blackburn, S.; Cross, K.; De Coppi, P.; et al. Gastrointestinal features in children with COVID-19: An observation of varied presentation in eight children. Lancet Child Adolesc. Health 2020, 4, e19–e20. [Google Scholar] [CrossRef]
- Brunet, E.; Casabella, A.; Calzado, S.; Villoria, A. Ileitis as the exclusive manifestation of COVID-19. The first reported case. Gastroenterol. Hepatol. 2021, 44, 561–563. [Google Scholar] [CrossRef] [PubMed]
- Qanneta, R.; Feliu-Masgoret, M.; García-Pardo, G.; Marimon-Cortés, F. Reactive ileal lymphoid hyperplasia related to SARS-CoV-2 infection as a unique clinical feature resembling Crohn’s disease. Rev. Gastroenterol. Mex. 2023, 88, 80–82. [Google Scholar] [CrossRef]
- Sahn, B.; Eze, O.P.; Edelman, M.C.; Chougar, C.E.; Thomas, R.M.; Schleien, C.L.; Weinstein, T. Features of Intestinal Disease Associated With COVID-Related Multisystem Inflammatory Syndrome in Children. J. Pediatr. Gastroenterol. Nutr. 2021, 72, 384–387. [Google Scholar] [CrossRef]
- Tong, C.W.; Jiwane, A. A complicated case of terminal ileitis post-COVID-19 infection requiring bowel resection. J. Surg. Case Rep. 2022, 2022, rjac457. [Google Scholar] [CrossRef] [PubMed]
- Fivelman, B.; Harris, A. Severe terminal ileitis following SARS-CoV-2 infection: A histopathological case report. Pathology 2022, 54, S42. [Google Scholar] [CrossRef]
- Koyuncu, H.; Bükülmez, A.; Güngör, A.; Sarıkaya, Y. Evaluation of acute terminal ileitis in children before and during the COVID-19 pandemic. J. Pediatr. Gastroenterol. Nutr. 2024, 78, 197–203. [Google Scholar] [CrossRef] [PubMed]
- Jackson, R.J.; Chavarria, H.D.; Hacking, S.M. A Case of Multisystem Inflammatory Syndrome in Children Mimicking Acute Appendicitis in a COVID-19 Pandemic Area. Cureus 2020, 12, e10722. [Google Scholar] [CrossRef]
- Panko, K.; Panko, S.; Panko, S.; Viachorka, A.; Zhavoronok, S. Emergency diagnostic laparoscopy for multisystem inflammatory syndrome in a child. J. Pediatr. Surg. Case Rep. 2022, 77, 102171. [Google Scholar] [CrossRef]
- Davoodi, M.; Pouladfar, G.; Kadivar, M.R.; Dehghan, A.; Askarisarvestani, A.; Hamzavi, S.S. Terminal ileitis and cytotoxic lesion of corpus callosum as the presenting features of Multisystem inflammatory syndrome in children (MIS-C): A case report. BMC Pediatr. 2023, 23, 15. [Google Scholar] [CrossRef] [PubMed]
- Aslan, N.; Yildizdas, D.; Sinanoglu, M.S. A Pediatric COVID-19 Case with Suspected Acute Abdomen, Hyperferritinemic Sepsis and Developing MIS-C and Pancreatitis. Indian J. Pediatr. 2021, 88, 288. [Google Scholar] [CrossRef] [PubMed]
- Periyakaruppan, M.; Kumar, S.; Kandasamy, S.; Sangaralingam, T.; Srinivasan, S.; Thiagarajan, A.; Ganapathy, N. COVID Abdomen: SARS-CoV-2 Infection Presenting as ‘Acute Abdomen’ in a Child. Indian J. Pediatr. 2021, 88, 299–300. [Google Scholar] [CrossRef]
- Puoti, M.G.; Rybak, A.; Kiparissi, F.; Gaynor, E.; Borrelli, O. SARS-CoV-2 and the Gastrointestinal Tract in Children. Front. Pediatr. 2021, 9, 617980. [Google Scholar] [CrossRef] [PubMed]
- Carvalho, A.; Alqusairi, R.; Adams, A.; Paul, M.; Kothari, N.; Peters, S.; DeBenedet, A.T. SARS-CoV-2 Gastrointestinal Infection Causing Hemorrhagic Colitis: Implications for Detection and Transmission of COVID-19 Disease. Am. J. Gastroenterol. 2020, 115, 942–946. [Google Scholar] [CrossRef] [PubMed]
- Noda, S.; Ma, J.; Romberg, E.K.; Hernandez, R.E.; Ferguson, M.R. Severe COVID-19 initially presenting as mesenteric adenopathy. Pediatr. Radiol. 2021, 51, 140–143. [Google Scholar] [CrossRef] [PubMed]
- Puylaert, J.B.; Van der Zant, F.M.; Mutsaers, J.A. Infectious ileocecitis caused by Yersinia, Campylobacter, and Salmonella: Clinical, radiological and US findings. Eur. Radiol. 1997, 7, 3–9. [Google Scholar] [CrossRef] [PubMed]
- Xu, Y.; Li, X.; Zhu, B.; Liang, H.; Fang, C.; Gong, Y.; Guo, Q.; Sun, X.; Zhao, D.; Shen, J.; et al. Characteristics of pediatric SARS-CoV-2 infection and potential evidence for persistent fecal viral shedding. Nat. Med. 2020, 26, 502–505. [Google Scholar] [CrossRef] [PubMed]
- Zhou, B.; Pang, X.; Wu, J.; Liu, T.; Wang, B.; Cao, H. Gut microbiota in COVID-19: New insights from inside. Gut Microbes 2023, 15, 2201157. [Google Scholar] [CrossRef]
- Brogna, C.; Costanzo, V.; Brogna, B.; Bisaccia, D.R.; Brogna, G.; Giuliano, M.; Montano, L.; Viduto, V.; Cristoni, S.; Fabrowski, M.; et al. Analysis of Bacteriophage Behavior of a Human RNA Virus, SARS-CoV-2, through the Integrated Approach of Immunofluorescence Microscopy, Proteomics and D-Amino Acid Quantification. Int. J. Mol. Sci. 2023, 24, 3929. [Google Scholar] [CrossRef]
- Kim, K.; Kim, S.Y.; Kim, Y.E.; Kwon, K.W.; Han, E.M.; Kim, A. Two Case Reports of Newly Diagnosed Crohn’s Disease after COVID-19 in Pediatric Patients. Korean J. Gastroenterol. 2023, 81, 163–167. [Google Scholar] [CrossRef] [PubMed]
- Russell, R.G.; Brian, D.A.; Lenhard, A.; Potgieter, L.N.; Gillespie, D.; Clapp, N.K. Coronavirus-like particles and Campylobacter in marmosets with diarrhea and colitis. Dig. Dis. Sci. 1985, 30, 72s–77s. [Google Scholar] [CrossRef] [PubMed]
- Lo Vecchio, A.; Garazzino, S.; Smarrazzo, A.; Venturini, E.; Poeta, M.; Berlese, P.; Denina, M.; Meini, A.; Bosis, S.; Galli, L.; et al. Factors Associated with Severe Gastrointestinal Diagnoses in Children with SARS-CoV-2 Infection or Multisystem Inflammatory Syndrome. JAMA Netw. Open 2021, 4, e2139974. [Google Scholar] [CrossRef] [PubMed]



Disclaimer/Publisher’s Note: The statements, opinions and data contained in all publications are solely those of the individual author(s) and contributor(s) and not of MDPI and/or the editor(s). MDPI and/or the editor(s) disclaim responsibility for any injury to people or property resulting from any ideas, methods, instructions or products referred to in the content. |
© 2024 by the authors. Licensee MDPI, Basel, Switzerland. This article is an open access article distributed under the terms and conditions of the Creative Commons Attribution (CC BY) license (https://creativecommons.org/licenses/by/4.0/).
Share and Cite
Schuler, L.M.; Falkensammer, B.; Orlik, P.; Auckenthaler, M.; Kranewitter, C.; Bante, D.; von Laer, D.; Fink, F.-M. Terminal Ileitis as the Exclusive Manifestation of COVID-19 in Children. Microorganisms 2024, 12, 1377. https://doi.org/10.3390/microorganisms12071377
Schuler LM, Falkensammer B, Orlik P, Auckenthaler M, Kranewitter C, Bante D, von Laer D, Fink F-M. Terminal Ileitis as the Exclusive Manifestation of COVID-19 in Children. Microorganisms. 2024; 12(7):1377. https://doi.org/10.3390/microorganisms12071377
Chicago/Turabian StyleSchuler, Lea Maria, Barbara Falkensammer, Peter Orlik, Michael Auckenthaler, Christof Kranewitter, David Bante, Dorothee von Laer, and Franz-Martin Fink. 2024. "Terminal Ileitis as the Exclusive Manifestation of COVID-19 in Children" Microorganisms 12, no. 7: 1377. https://doi.org/10.3390/microorganisms12071377
APA StyleSchuler, L. M., Falkensammer, B., Orlik, P., Auckenthaler, M., Kranewitter, C., Bante, D., von Laer, D., & Fink, F.-M. (2024). Terminal Ileitis as the Exclusive Manifestation of COVID-19 in Children. Microorganisms, 12(7), 1377. https://doi.org/10.3390/microorganisms12071377

