Loop-Mediated Isothermal Amplification Coupled with Reverse Line Blot Hybridization for the Detection of Pseudomonas aeruginosa
Abstract
1. Introduction
2. Materials and Methods
2.1. Control DNA Samples and Clinical Samples
2.2. Quantification and DNA Integrity of P. aeruginosa
2.3. Oligonucleotide and Probe Design
2.4. Standardization of LAMP Technique
2.5. Specificity and Sensitivity of LAMP and LAMP-RBLH Techniques
2.6. Probe Hybridization of the Probes to the Nylon Membrane
2.7. Standardization of the RLBH Test
2.8. Detection of Hybridization Between Oligonucleotide Probes and Amplified Products
2.9. PCR for the Detection of P. aeruginosa Genetic Material
3. Results
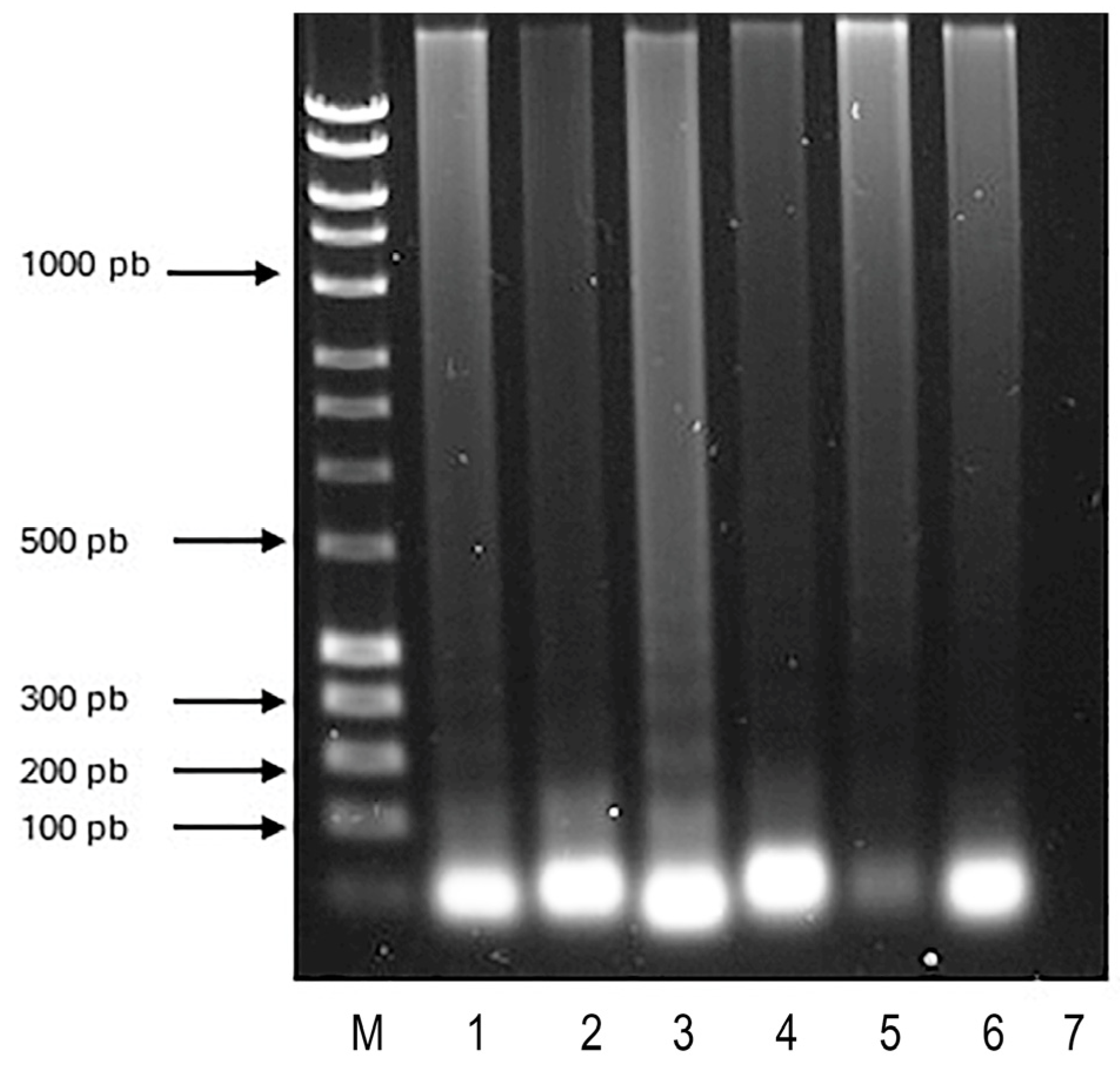
3.1. Standardization of the LAMP Technique for the Detection of P. aeruginosa
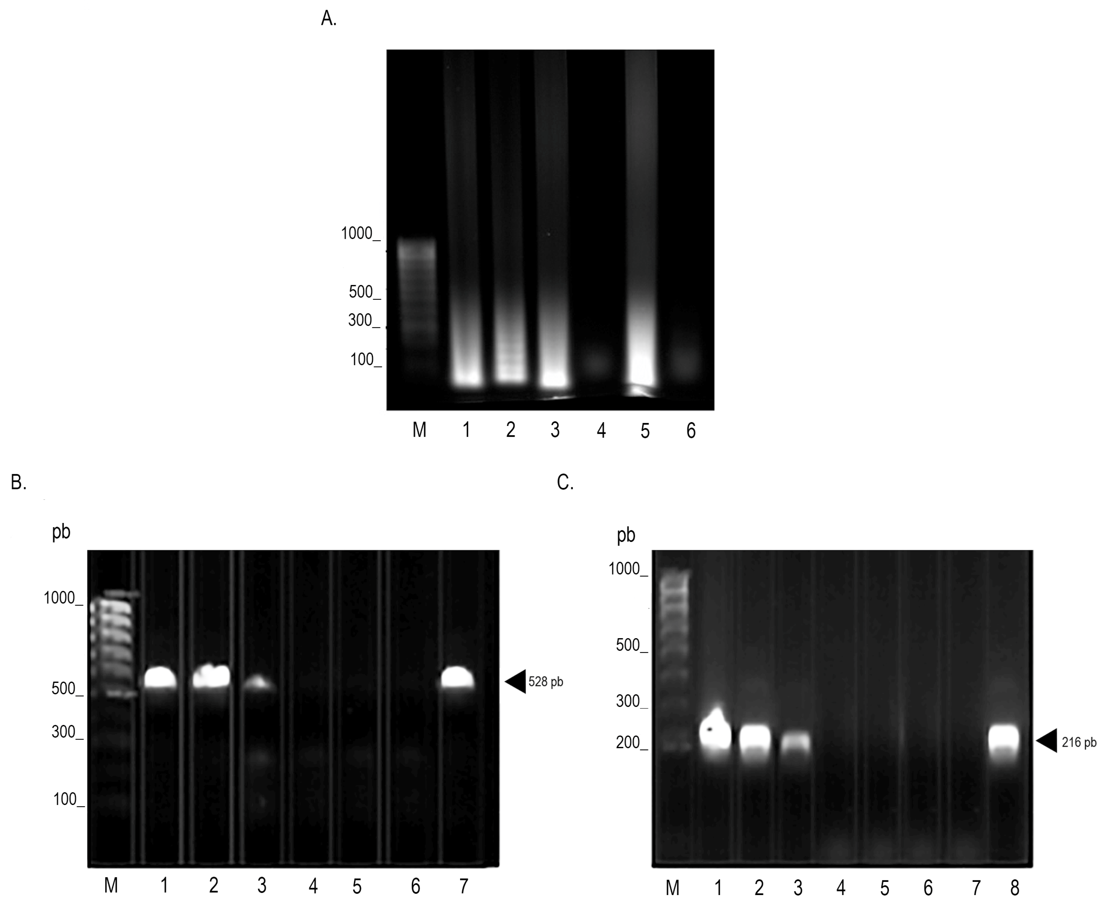
3.2. Analytical Specificity and Sensitivity of the LAMP and PCR Technique
3.3. Development of the LAMP-RBLH Technique
4. Discussion
Author Contributions
Funding
Data Availability Statement
Acknowledgments
Conflicts of Interest
References
- Gellatly, S.L.; Hancock, R.E. Pseudomonas aeruginosa: New insights into pathogenesis and host defenses. Pathog. Dis. 2013, 67, 159–173. [Google Scholar] [CrossRef] [PubMed]
- Wu, W.; Jin, Y.; Bai, F.; Jin, S. Pseudomonas aeruginosa. In Molecular Medical Microbiology, 2nd ed.; Elsevier Ltd.: Amsterdam, The Netherlands, 2014; Volumes 2–3. [Google Scholar]
- Tümmler, B. Emerging therapies against infections with Pseudomonas aeruginosa. F1000Research 2019, 8, 1371. [Google Scholar] [CrossRef] [PubMed]
- Khan, F. Multifaceted strategies for alleviating Pseudomonas aeruginosa infection by targeting protease activity: Natural and synthetic molecules. Int. J. Biol. Macromol. 2024, 278, 134533. [Google Scholar] [CrossRef]
- Venkateswaran, P.; Vasudevan, S.; David, H.; Shaktivel, A.; Shanmugam, K.; Neelakantan, P.; Solomon, A.P. Revisiting ESKAPE Pathogens: Virulence, resistance, and combating strategies focusing on quorum sensing. Front. Cell. Infect. Microbiol. 2023, 13, 1159798. [Google Scholar] [CrossRef]
- World Health Organization (OMS). Report on the Burden of Endemic Health Care-Associated Infection Worldwide. 2011. Available online: https://www.who.int/publications/i/item/report-on-the-burden-of-endemic-health-care-associated-infection-worldwide (accessed on 24 October 2024).
- Boletín Infecciones Asociadas a la Atención de la Salud (IAAS) Red Hospitalaria de Vigilancia Epidemiológica (RHOVE). 2 Do Trimestre. 2023. Available online: https://www.gob.mx/cms/uploads/attachment/file/857362/BOLETINRHOVESEGUNDOTRIMESTRE140923_VFinal.pdf (accessed on 24 October 2024).
- Lansbury, L.; Lim, B.; Baskaran, V.; Lim, W.S. Co-infections in people with COVID-19: A systematic review and meta-analysis. J. Infect. 2020, 81, 266–275. [Google Scholar] [CrossRef]
- Garcia-Vidal, C.; Sanjuan, G.; Moreno-García, E.; Puerta-Alcalde, P.; Garcia-Pouton, N.; Chumbita, M.; Fernandez-Pittol, M.; Pitart, C.; Inciarte, A.; Bodro, M.; et al. COVID-19 Researchers Group. Incidence of co-infections and superinfections in hospitalized patients with COVID-19: A retrospective cohort study. Clin. Microbiol. Infect. 2021, 27, 83–88. [Google Scholar] [CrossRef]
- Guimarães, A.C.; Donalisio, M.R.; Santiago, T.H.; Freire, J.B. Óbitos associados à infecção hospitalar, ocorridos em um hospital geral de Sumaré-SP, Brasil [Mortality associated with nosocomial infection, occurring in a general hospital of Sumaré-SP, Brazil]. Rev. Bras. Enferm. 2011, 64, 864–869. [Google Scholar] [CrossRef]
- Joyanes, P.; del Carmen Conejo, M.; Martínez-Martínez, L.; Perea, E.J. Evaluation of the VITEK 2 system for the identification and susceptibility testing of three species of nonfermenting gram-negative rods frequently isolated from clinical samples. J. Clin. Microbiol. 2001, 39, 3247–3253. [Google Scholar] [CrossRef] [PubMed]
- Quesada, M.D.; Giménez, M.; Molinos, S.; Fernández, G.; Sánchez, M.D.; Rivelo, R.; Ramírez, A.; Banqué, G.; Ausina, V. Performance of VITEK-2 Compact and overnight MicroScan panels for direct identification and susceptibility testing of Gram-negative bacilli from positive FAN BacT/ALERT blood culture bottles. Clin. Microbiol. Infect. 2010, 16, 137–140. [Google Scholar] [CrossRef][Green Version]
- Notomi, T.; Okayama, H.; Masubuchi, H.; Yonekawa, T.; Watanabe, K.; Amino, N.; Hase, T. Loop-mediated isothermal amplification of DNA. Nucleic Acids Res. 2000, 28, E63. [Google Scholar] [CrossRef]
- Mori, Y.; Kanda, H.; Notomi, T. Loop-mediated isothermal amplification (LAMP): Recent progress in research and development. J. Infect. Chemother. 2013, 19, 404–411. [Google Scholar] [CrossRef] [PubMed]
- Li, C.; Shi, Y.; Yang, G.; Xia, X.S.; Mao, X.; Fang, Y.; Zhang, A.M.; Song, Y. Establishment of loop-mediated isothermal amplification for rapid detection of Pseudomonas aeruginosa. Exp. Ther. Med. 2019, 17, 131–136. [Google Scholar] [CrossRef] [PubMed]
- Dong, K.; Kang, Z.; Ji, X.; Zhang, X.; Cheng, P.; Sun, B. A Loop-mediated Isothermal Amplification with a Nanoparticle-Based Lateral Flow Biosensor Assay to Detect Pseudomonas aeruginosa in Endophthalmitis. Transl. Vis. Sci. Technol. 2021, 10, 26. [Google Scholar] [CrossRef] [PubMed]
- Goto, M.; Shimada, K.; Sato, A.; Takahashi, E.; Fukasawa, T.; Takahashi, T.; Ohka, S.; Taniguchi, T.; Honda, E.; Nomoto, A.; et al. Rapid detection of Pseudomonas aeruginosa in mouse feces by colorimetric loop-mediated isothermal amplification. J. Microbiol. Methods 2010, 81, 247–252. [Google Scholar] [CrossRef] [PubMed]
- Zhang, S.; Xu, X.; Wu, Q.; Zhang, J. Rapid and sensitive detection of Pseudomonas aeruginosa in bottled water by loop-mediated isothermal amplification. Eur. Food. Res. Technol. 2013, 236, 209–215. [Google Scholar] [CrossRef]
- Teng, P.H.; Chen, C.L.; Sung, P.F.; Lee, F.C.; Ou, B.R.; Lee, P.Y. Specific detection of reverse transcription-loop-mediated isothermal amplification amplicons for Taura syndrome virus by colorimetric dot-blot hybridization. J. Virol. Methods 2007, 146, 317–326. [Google Scholar] [CrossRef]
- Kanchanaphum, P. Time Course of Detection of Human Male DNA from Stained Blood Sample on Various Surfaces by Loop Mediated Isothermal Amplification and Polymerase Chain Reaction. BioMed Res. Int. 2018, 22, 2981862. [Google Scholar] [CrossRef]
- Hieno, A.; Li, M.; Otsubo, K.; Suga, H.; Kageyama, K. Multiplex LAMP Detection of the Genus Phytophthora and Four Phytophthora Species P. ramorum, P. lateralis, P. kernoviae, and P. nicotianae, with a Plant Internal Control. Microbes Environ. 2021, 36, ME21019. [Google Scholar] [CrossRef]
- Sherrill-Mix, S.; Hwang, Y.; Roche, A.M.; Glascock, A.; Weiss, S.R.; Li, Y.; Haddad, L.; Deraska, P.; Monahan, C.; Kromer, A.; et al. Detection of SARS-CoV-2 RNA using RT-LAMP and molecular beacons. Genome Biol. 2021, 22, 169. [Google Scholar] [CrossRef]
- Gold, B. Origin and utility of the reverse dot-blot. Expert Rev. Mol. Diagn. 2003, 3, 143–152. [Google Scholar] [CrossRef]
- Bsat, N.; Batt, C.A. A combined modified reverse dot-blot and nested PCR assay for the specific non-radioactive detection of Listeria monocytogenes. Mol. Cell. Probes 1993, 7, 199–207. [Google Scholar] [CrossRef] [PubMed]
- Jung, K.; Chae, C. RT-PCR-based dot blot hybridization for the detection and differentiation between porcine epidemic diarrhea virus and transmissible gastroenteritis virus in fecal samples using a non-radioactive digoxigenin cDNA probe. J. Virol. Methods 2005, 123, 141–146. [Google Scholar] [CrossRef]
- Yang, L.; Zhang, X.M.; Zhang, X.G.; Ma, J.; Wang, M.; Wen, L.Y.; Wang, D.Y.; Bai, T.; Shu, Y.L.; Qian, Y.H.; et al. The study of multiple RT-PCR-based reverse dot blot hybridization technique for detecting influenza viruses. Zhonghua Shi Yan He Lin Chuang Bing Du Xue Za Zhi 2010, 24, 383–385. [Google Scholar] [PubMed]
- Iida, K.; Abe, A.; Matsui, H.; Danbara, H.; Wakayama, S.; Kawahara, K. Rapid and sensitive method for detection of Salmonella strains using a combination of polymerase chain reaction and reverse dot-blot hybridization. FEMS Microbiol. Lett. 1993, 114, 167–172. [Google Scholar] [CrossRef]
- Fan, H.Z.; Huang, W.J.; Liang, K.; Fang, Y.; Ma, L.R.; Liu, Y.Q. Detection of oprI gene of Pseudomonas aeruginosa by reverse dot-blot hybridization. Di Yi Jun Yi Da Xue Xue Bao 2004, 24, 303–305. [Google Scholar]
- Guo, Q.; Yu, Y.; Zhu, Y.L.; Zhao, X.Q.; Liu, Z.G.; Zhang, Y.Y.; Li, G.L.; Wei, J.H.; Wu, Y.M.; Wan, K.L. Rapid detection of rifampin-resistant clinical isolates of Mycobacterium tuberculosis by reverse dot blot hybridization. Biomed. Environ. Sci. 2015, 28, 25–35. [Google Scholar]
- Wan, L.; Guo, Q.; Wei, J.H.; Liu, H.C.; Li, M.C.; Jiang, Y.; Zhao, L.L.; Zhao, X.Q.; Liu, Z.G.; Wan, K.L.; et al. Accuracy of a reverse dot blot hybridization assay for simultaneous detection of the resistance of four anti-tuberculosis drugs in Mycobacterium tuberculosis isolated from China. Infect. Dis. Poverty 2020, 9, 38. [Google Scholar] [CrossRef] [PubMed]
- World Health Organization (OMS). Laboratory Biosafety Manual, 4th ed.; World Health Organization: Geneva, Switzerland, 2020. [Google Scholar]
- de Muro, M.A. Probe Design, Production, and Applications. In Medical Biomethods Handbook (Springer Protocols Handbooks); Humana Press: Totowa, NJ, USA, 2005; pp. 13–23. [Google Scholar]
- Gubbels, J.M.; de Vos, A.P.; van der Weide, M.; Viseras, J.; Schouls, L.M.; de Vries, E.; Jongejan, F. Simultaneous detection of bovine Theileria and Babesia species by reverse line blot hybridization. J. Clin. Microbiol. 1999, 37, 1782–1789. [Google Scholar] [CrossRef] [PubMed]
- Lavenir, R.D.; Jocktane, F.; Laurent, S.; Nazaret, B. Cournoyer. Improved reliability of Pseudomonas aeruginosa PCR detection by the use of the species-specific ecfX gene target. J. Microbiol. Methods 2007, 70, 20–29. [Google Scholar] [CrossRef]
- Sousa, D.; Castelo-Corral, L.; Gutierrez-Urbon, J.M.; Molina, F.; Lopez-Calvino, B.; Bou, G.; Llinares, P. Impact of ertapenem use on Pseudomonas aeruginosa and Acinetobacter baumannii imipenem susceptibility rates: Collateral damage or positive effect on hospital ecology. J. Antimicrob. Chemother. 2013, 68, 1917–1925. [Google Scholar] [CrossRef][Green Version]
- Dantas, R.C.; Ferreira, M.L.; Gontijo-Filho, P.P.; Ribas, R.M. Pseudomonas aeruginosa bacteraemia: Independent risk factors for mortality and impact of resistance on outcome. J. Med. Microbiol. 2014, 63, 1679–1687. [Google Scholar] [CrossRef] [PubMed]
- Garza-Ramos, U.; Tinoco, P.; Silva-Sanchez, J.; Morfin-Otero, R.; Rodriguez-Noriega, E.; Leon-Garnica, G.; Sader, H.S.; Jones, R.N. Metallo-beta-lactamase IMP-18 is located in a class 1 integron (In96) in a clinical isolate of Pseudomonas aeruginosa from Mexico. Int. J. Antimicrob. Agents 2008, 31, 78–80. [Google Scholar] [CrossRef] [PubMed]
- Cai, B.; Echols, R.; Magee, G.; Ferreira, J.C.; Morgan, G.; Ariyasu, M.; Sawada, T.; Nagata, T.D. Prevalence of Carbapenem-Resistant Gram-Negative Infections in the United States Predominated by Acinetobacter baumannii and Pseudomonas aeruginosa. Open Forum Infect. Dis. 2017, 4, ofx176. [Google Scholar] [CrossRef]
- Qin, S.; Xiao, W.; Zhou, C.; Pu, Q.; Deng, X.; Lan, L.; Liang, H.; Song, X.; Wu, M. Pseudomonas aeruginosa: Pathogenesis, virulence factors, antibiotic resistance, interaction with host, technology advances and emerging therapeutics. Signal Transduct. Target. Ther. 2022, 7, 199. [Google Scholar] [CrossRef]
- Solanki, R.; Vanjari, L.; Ede, N.; Gungi, A.; Sorry, A.; Vemu, L. Evaluation of LAMP assay using phenotypic tests and conventional PCR for detection of blaNDM-1 and blaKPC genes among carbapenem-resistant clinical Gram-negative isolates. J. Med. Microbiol. 2013, 62, 1540–1544. [Google Scholar] [CrossRef]
- Mondiale de la Santé, O.; World Health Organization. Carbapenem-resistant Pseudomonas aeruginosa infection–Mexico–Infection à Pseudomonas aeruginosa résistant au carbapénème–Mexique. Wkly. Epidemiol. Rec. = Relev. Épidémiologique Hebd. 2019, 94, 210–212. [Google Scholar]




| Primer Name | Sequence 5′-3′ | Length (pb) |
|---|---|---|
| F3 | GGTGCAAGCGTTAATCGGAATTACTGG | 27 |
| B3 | CTAATCCTGTTTGCTCCCCACGC | 23 |
| FIP | /52-Bio/GGATGCAGTTCCCAGGTTGAGCCC-TTTT- GCGTAGGTGGTTCAGCAAGTTGG | 51 |
| BIP | /52-Bio/GGAAGGAACACCAGTGGCGAAGGC-TTTT- CACCTCAGTGTCAGTATCAGTCCAGG | 50 |
| F2 | GCGTAGGTGGTTCAGCAAGTTGG | 23 |
| F1c | GGATGCAGTTCCCAGGTTGAGCCC | 24 |
| PROBE | /5AmMC12/GGAATTTCCTGTGTAGCGGTGAA | 23 |
Disclaimer/Publisher’s Note: The statements, opinions and data contained in all publications are solely those of the individual author(s) and contributor(s) and not of MDPI and/or the editor(s). MDPI and/or the editor(s) disclaim responsibility for any injury to people or property resulting from any ideas, methods, instructions or products referred to in the content. |
© 2024 by the authors. Licensee MDPI, Basel, Switzerland. This article is an open access article distributed under the terms and conditions of the Creative Commons Attribution (CC BY) license (https://creativecommons.org/licenses/by/4.0/).
Share and Cite
Ferrusca Bernal, D.; Mosqueda, J.; Pérez-Sánchez, G.; Chávez, J.A.C.; Neri Martínez, M.; Rodríguez, A.; Carvajal-Gamez, B. Loop-Mediated Isothermal Amplification Coupled with Reverse Line Blot Hybridization for the Detection of Pseudomonas aeruginosa. Microorganisms 2024, 12, 2316. https://doi.org/10.3390/microorganisms12112316
Ferrusca Bernal D, Mosqueda J, Pérez-Sánchez G, Chávez JAC, Neri Martínez M, Rodríguez A, Carvajal-Gamez B. Loop-Mediated Isothermal Amplification Coupled with Reverse Line Blot Hybridization for the Detection of Pseudomonas aeruginosa. Microorganisms. 2024; 12(11):2316. https://doi.org/10.3390/microorganisms12112316
Chicago/Turabian StyleFerrusca Bernal, Daniel, Juan Mosqueda, Gilberto Pérez-Sánchez, José Antonio Cervantes Chávez, Mónica Neri Martínez, Angelina Rodríguez, and Bertha Carvajal-Gamez. 2024. "Loop-Mediated Isothermal Amplification Coupled with Reverse Line Blot Hybridization for the Detection of Pseudomonas aeruginosa" Microorganisms 12, no. 11: 2316. https://doi.org/10.3390/microorganisms12112316
APA StyleFerrusca Bernal, D., Mosqueda, J., Pérez-Sánchez, G., Chávez, J. A. C., Neri Martínez, M., Rodríguez, A., & Carvajal-Gamez, B. (2024). Loop-Mediated Isothermal Amplification Coupled with Reverse Line Blot Hybridization for the Detection of Pseudomonas aeruginosa. Microorganisms, 12(11), 2316. https://doi.org/10.3390/microorganisms12112316

