Lelliottia amnigena and Pseudomonas putida Coinfection Associated with a Critical SARS-CoV-2 Infection: A Case Report
Abstract
1. Introduction
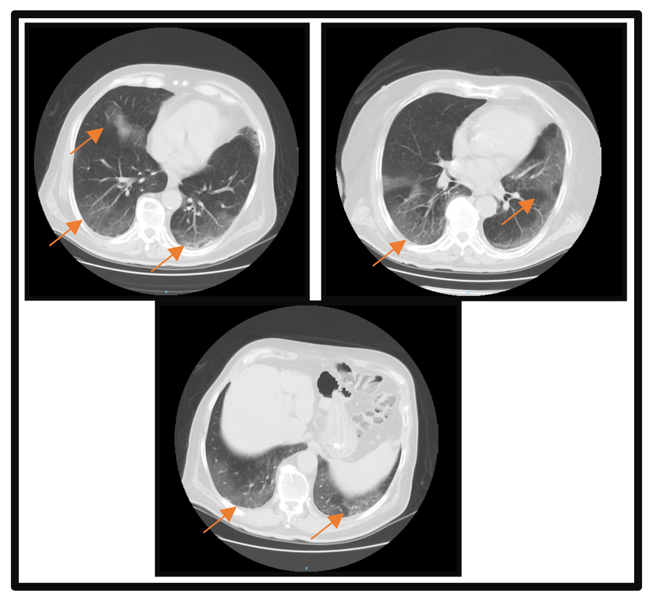
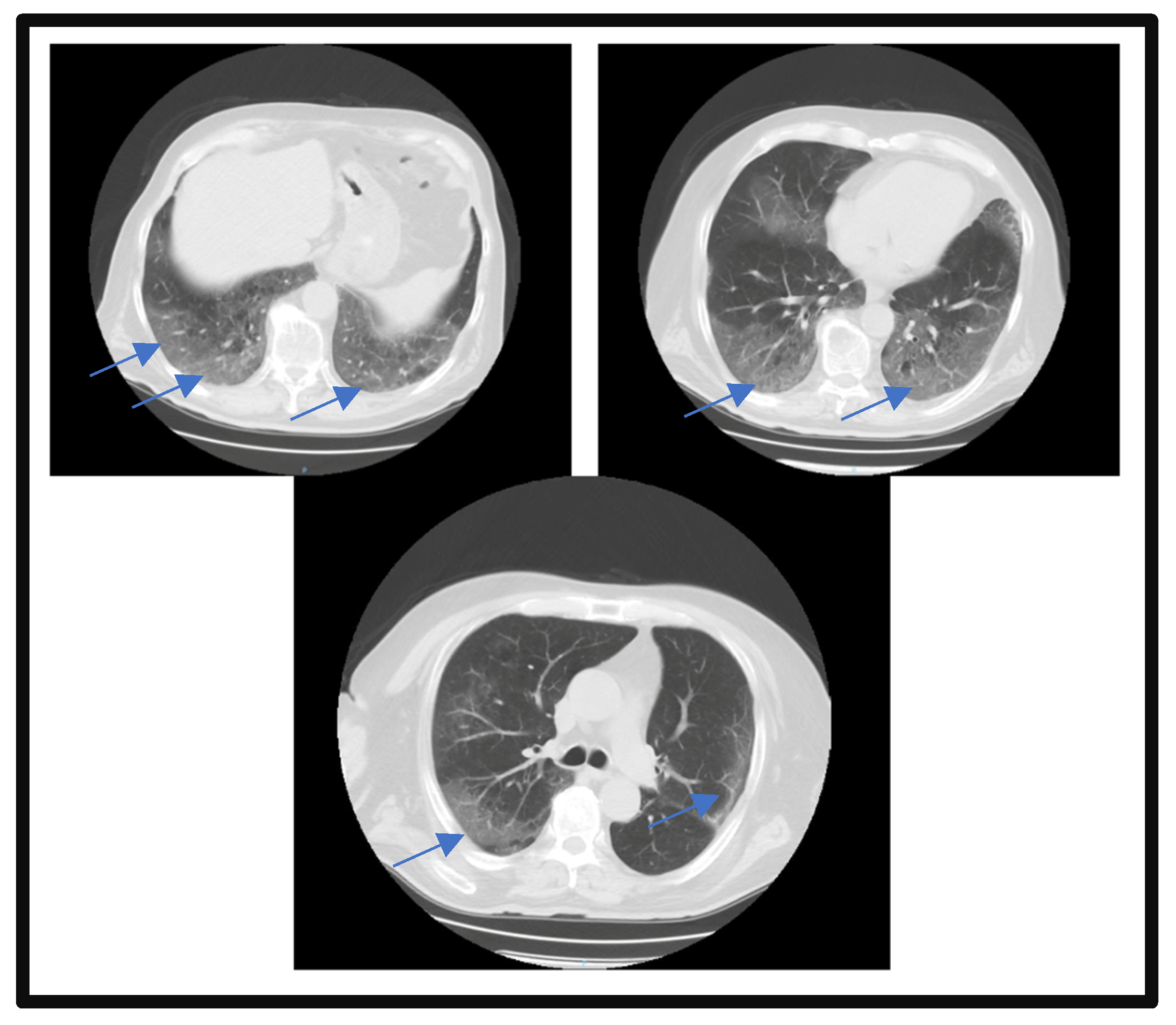
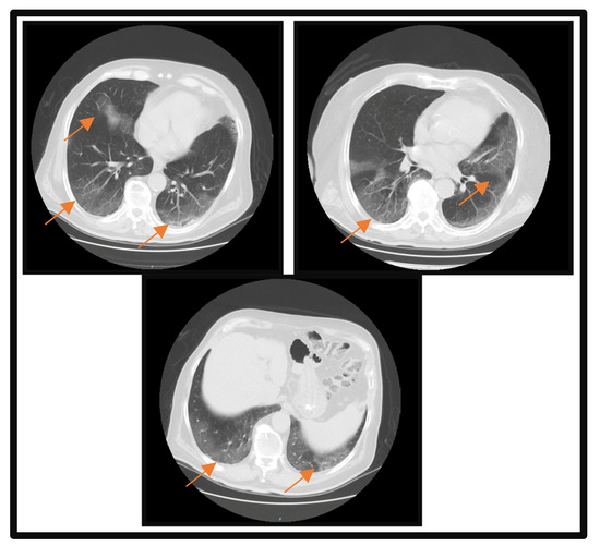
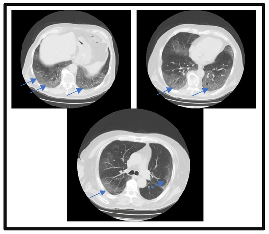
2. Case Report
3. Discussion
4. Conclusions
Author Contributions
Funding
Institutional Review Board Statement
Informed Consent Statement
Data Availability Statement
Conflicts of Interest
References
- Izard, D.; Gavini, F.; Trinel, P.A.; Leclerc, H. Deoxyribonucleic Acid Relatedness Between Enterobacter cloacae and Enterobacter amnigenus sp. nov. Int. J. Syst. Evol. Microbiol. 1981, 31, 35–42. [Google Scholar] [CrossRef]
- Brady, C.; Cleenwerck, I.; Venter, S.; Coutinho, T.; De Vos, P. Taxonomic evaluation of the genus Enterobacter based on multilocus sequence analysis (MLSA): Proposal to reclassify E. nimipressuralis and E. amnigenus into Lelliottia gen. nov. as Lelliottia nimipressuralis comb. nov. and Lelliottia amnigena comb. nov., respectively, E. gergoviae and E. pyrinus into Pluralibacter gen. nov. as Pluralibacter gergoviae comb. nov. and Pluralibacter pyrinus comb. nov., respectively, E. cowanii, E. radicincitans, E. oryzae and E. arachidis into Kosakonia gen. nov. as Kosakonia cowanii comb. nov., Kosakonia radicincitans comb. nov., Kosakonia oryzae comb. nov. and Kosakonia arachidis comb. nov., respectively, and E. turicensis, E. helveticus and E. pulveris into Cronobacter as Cronobacter zurichensis nom. nov., Cronobacter helveticus comb. nov. and Cronobacter pulveris comb. nov., respectively, and emended description of the genera Enterobacter and Cronobacter. Syst. Appl. Microbiol. 2013, 36, 309–319. [Google Scholar] [CrossRef] [PubMed]
- Garciafontan, M.; Lorenzo, J.M.; Parada, A.; Franco, I.; Carballo, J. Microbiological characteristics of “androlla”, a Spanish traditional pork sausage. Food Microbiol. 2007, 24, 52–58. [Google Scholar] [CrossRef] [PubMed]
- Westerfeld, C.; Papaliodis, G.N.; Behlau, I.; Durand, M.L.; Sobrin, L. Enterobacter Amnigenus Endophthalmitis. Retin. Cases Brief Rep. 2009, 3, 409–411. [Google Scholar] [CrossRef] [PubMed]
- Leal-Negredo, A.; Castelló-Abieta, C.; Leiva, P.S.; Fernández, J. Infección urinaria por Lelliottia amnigena (Enterobacter amnige-nus): Un patógeno infrecuente [Urinary tract infection by Lelliottia amnigena (Enterobacter amnigenus): An uncommon pathogen]. Rev. Esp. Quimioter. 2017, 30, 483–484. (In Spanish) [Google Scholar] [PubMed]
- Guerra, J.M.M.; Asenjo, M.M.; Gutiérrez, C.J.D. Pionefrosis por Lelliottia amnigena. Med. Clin. 2018, 151, 419–420. [Google Scholar] [CrossRef] [PubMed]
- Legese, M.H.; Asrat, D.; Swedberg, G.; Hasan, B.; Mekasha, A.; Getahun, T.; Worku, M.; Shimber, E.T.; Getahun, S.; Ayalew, T.; et al. Sepsis: Emerging pathogens and antimicrobial resistance in Ethiopian referral hospitals. Antimicrob. Resist. Infect. Control. 2022, 11, 83. [Google Scholar] [CrossRef] [PubMed]
- Francone, M.; Iafrate, F.; Masci, G.M.; Coco, S.; Cilia, F.; Manganaro, L.; Panebianco, V.; Andreoli, C.; Colaiacomo, M.C.; Zingaropoli, M.A.; et al. Chest CT score in COVID-19 patients: Correlation with disease severity and short-term prognosis. Eur. Radiol. 2020, 30, 6808–6817. [Google Scholar] [CrossRef]
- CLSI. Performance Standards for Antimicrobial Susceptibility Testing, 32nd ed.; CLSI Supplement M100; Clinical and Laboratory Standards Institute: Wayne, PA, USA, 2019. [Google Scholar]
- Yuk, K.-J.; Kim, Y.-T.; Huh, C.-S.; Lee, J.-H. Lelliottia jeotgali sp. nov., isolated from a traditional Korean fermented clam. Int. J. Syst. Evol. Microbiol. 2018, 68, 1725–1731. [Google Scholar] [CrossRef]
- Osei, R.; Yang, C.; Wei, L.; Jin, M.; Boamah, S. Effects of Combined Application of Salicylic Acid and Proline on the Defense Response of Potato Tubers to Newly Emerging Soft Rot Bacteria (Lelliottia amnigena) Infection. Sustainability 2022, 14, 8870. [Google Scholar] [CrossRef]
- Bollet, C.; Elkouby, A.; Pietri, P.; Micco, P. Isolation of Enterobacter amnigenus from a heart transplant recipient. Eur. J. Clin. Microbiol. Infect. Dis. 1991, 10, 1071–1073. [Google Scholar] [CrossRef] [PubMed]
- Murray, P.R. Enterobacteriaceae: Opportunistic pathogens. In Manual of Clinical Microbiology, 6th ed.; Murray, P.R., Baron, E.J., Pfaller, M., Tenover, F., Yolken, R., Eds.; American Society for Microbiology: Washington, DC, USA, 1995; pp. 460–461. [Google Scholar]
- Roman, M.D.; Bocea, B.-A.; Ion, N.-I.; Vorovenci, A.E.; Dragomirescu, D.; Birlutiu, R.-M.; Birlutiu, V.; Fleaca, S.R. Are There Any Changes in the Causative Microorganisms Isolated in the Last Years from Hip and Knee Periprosthetic Joint Infections? Antimicrobial Susceptibility Test Results Analysis. Microorganisms 2023, 11, 116. [Google Scholar] [CrossRef]
- Burmølle, M.; Thomsen, T.R.; Fazli, M.; Dige, I.; Christensen, L.; Homøe, P.; Tvede, M.; Nyvad, B.; Tolker-Nielsen, T.; Givskov, M.; et al. Biofilms in chronic infections—A matter of opportunity—Monospecies biofilms in multispecies infections. FEMS Immunol. Med. Microbiol. 2010, 59, 324–336. [Google Scholar] [CrossRef] [PubMed]
- Arevalo-Ferro, C.; Reil, G.; Görg, A.; Eberl, L.; Riedel, K. Biofilm formation of Pseudomonas putida IsoF: The role of quorum sensing as assessed by proteomics. Syst. Appl. Microbiol. 2005, 28, 87–114. [Google Scholar] [CrossRef] [PubMed]
- Fazli, M.; Almblad, H.; Rybtke, M.L.; Givskov, M.; Eberl, L.; Tolker-Nielsen, T. Regulation of biofilm formation in Pseudomonas and Burkholderia species. Environ. Microbiol. 2014, 16, 1961–1981. [Google Scholar] [CrossRef] [PubMed]
- Capdevila, J.A.; Bisbe, V.; Gasser, I.; Zuazu, J.; Olivé, T.; Fernández, F.; Pahissa Berga, A. Enterobacter amnigenus. Un patógeno hu-mano inusual [Enterobacter amnigenus. An unusual human pathogen]. Enfermedades Infecc. Y Microbiol. Clínica 1998, 16, 364–366. [Google Scholar]
- Fadare, F.T.; Okoh, A.I. Distribution and molecular characterization of ESBL, pAmpC β-lactamases, and non-β-lactam encoding genes in Enterobacteriaceae isolated from hospital wastewater in Eastern Cape Province, South Africa. PLoS ONE 2021, 16, e0254753. [Google Scholar] [CrossRef] [PubMed]
- Stock, I.; Wiedemann, B. Natural antibiotic susceptibility of Enterobacter amnigenus, Enterobacter cancerogenus, Enterobacter gergoviae and Enterobacter sakazakii strains. Clin. Microbiol. Infect. 2002, 8, 564–578. [Google Scholar] [CrossRef] [PubMed][Green Version]



| Date | Parameter | Values | Reference Value |
|---|---|---|---|
| On admission | C-Reactive Protein | 147.22 mg/L | 0–5 mg/L |
| Serum amylase | 27 U/L | 28–100 U/L | |
| eGFR | 95.75 mL/min/1.73 m2 | ||
| Aspartate aminotransferase | 47 U/L | 11–34 U/L | |
| WBCs Differential blood count: Neutrophils Lymphocytes Monocytes Basophils Eosinophils | 10.76 × 103/µL 8.75 × 103/µL 1.24 × 103/µL 0.74 × 103/µL 0.02 × 103/µL 0.01 × 103/µL | 4–10 × 103/µL 2–7.5 × 103/µL 1.5–4 × 103/µL 0.2–1 ×103/µL 0–0.2 × 103/µL 0–0.7 × 103/µl | |
| Blood glucose | 131 mg/dL | 80–115 mg/dL | |
| Ratio of neutrophils to lymphocytes | 7.056 | ||
| 30 May 2023 (6th day of hospitalization) | C-Reactive Protein | 14.28 mg/L | 0–5 mg/L |
| Fibrinogen | 439.8 mg/dL | 170–420 mg/dL | |
| eGFR | 99.28 mL/min/1.73 m2 | ||
| Blood glucose | 179 mg/dL | 80–115 mg/dL | |
| ESR | 21 mm/h | 0–15 mm/h | |
| Ratio of neutrophils to lymphocytes | 8.976 | ||
| WBCs Haemoglobin Hematocrit Thrombocytes | 8.83 × 103/µL 13.9 g/dL 40.6% 186 × 103/µl | 4–10 × 103/µL 13–17 g/dL 40–50% 150–400 × 103/µL | |
| 3 June 2023 (9th day of hospitalization) | C-Reactive Protein | 3.27 mg/L | 0–5 mg/L |
| Fibrinogen | 285.1 mg/dL | 170–420 mg/dL | |
| eGFR | 96.88 mL/min/1.73 m2 | ||
| Blood glucose | 189 mg/dL | 80–115 mg/dL | |
| D-dimers | 1217.53 ng/mL | 45–499 ng/mL | |
| Fibrin monomers | Positive | Negative | |
| Ratio of neutrophils to lymphocytes | 14.704 | ||
| WBCs Haemoglobin Hematocrit Thrombocytes | 13.38 × 103/µL 15.2 g/dL 44.4% 304 × 103/µL | 4–10 × 103/µL 13–17 g/dL 40–50% 150–400 × 103/µL | |
| WBCs Differential blood count: Neutrophils Lymphocytes Monocytes Basophils Eosinophils | 11.91 × 103/µL 0.81 × 103/µL 0.65 × 103/µL 0.01 × 103/µL 0.00 × 103/µL | 2–7.5 × 103/µL 1.5–4 × 103/µL 0.2–1 × 103/µL 0–0.2 × 103/µL 0–0.7 × 103/µL |
Disclaimer/Publisher’s Note: The statements, opinions and data contained in all publications are solely those of the individual author(s) and contributor(s) and not of MDPI and/or the editor(s). MDPI and/or the editor(s) disclaim responsibility for any injury to people or property resulting from any ideas, methods, instructions or products referred to in the content. |
© 2023 by the authors. Licensee MDPI, Basel, Switzerland. This article is an open access article distributed under the terms and conditions of the Creative Commons Attribution (CC BY) license (https://creativecommons.org/licenses/by/4.0/).
Share and Cite
Birlutiu, V.; Birlutiu, R.-M.; Dobritoiu, E.S. Lelliottia amnigena and Pseudomonas putida Coinfection Associated with a Critical SARS-CoV-2 Infection: A Case Report. Microorganisms 2023, 11, 2143. https://doi.org/10.3390/microorganisms11092143
Birlutiu V, Birlutiu R-M, Dobritoiu ES. Lelliottia amnigena and Pseudomonas putida Coinfection Associated with a Critical SARS-CoV-2 Infection: A Case Report. Microorganisms. 2023; 11(9):2143. https://doi.org/10.3390/microorganisms11092143
Chicago/Turabian StyleBirlutiu, Victoria, Rares-Mircea Birlutiu, and Elena Simona Dobritoiu. 2023. "Lelliottia amnigena and Pseudomonas putida Coinfection Associated with a Critical SARS-CoV-2 Infection: A Case Report" Microorganisms 11, no. 9: 2143. https://doi.org/10.3390/microorganisms11092143
APA StyleBirlutiu, V., Birlutiu, R.-M., & Dobritoiu, E. S. (2023). Lelliottia amnigena and Pseudomonas putida Coinfection Associated with a Critical SARS-CoV-2 Infection: A Case Report. Microorganisms, 11(9), 2143. https://doi.org/10.3390/microorganisms11092143

