Diagnostic and Management of Emphysematous Hepatitis with Emphasis on Biopathology
Abstract
:1. Introduction
2. Materials and Methods
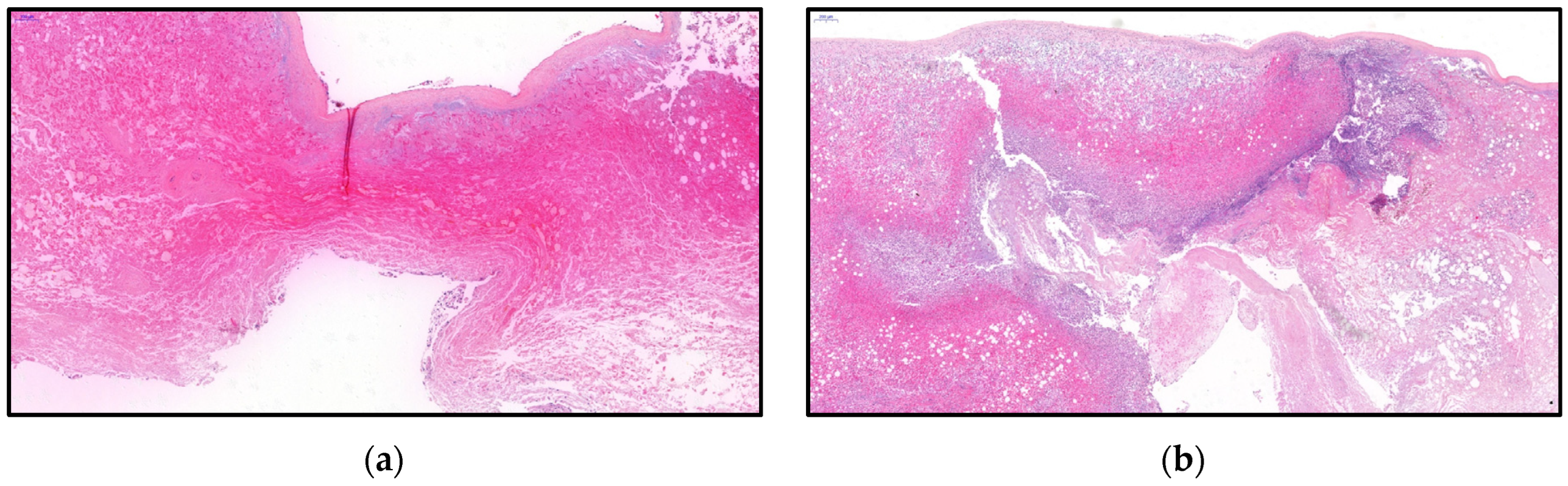
2.1. Case Report
2.2. Literature Review
3. Results and Discussion
4. Conclusions
Author Contributions
Funding
Institutional Review Board Statement
Data Availability Statement
Acknowledgments
Conflicts of Interest
References
- Blachar, A.; Federle, M.P.; Brancatelli, G. Acute fulminant hepatic infection causing fatal «emphysematous hepatitis»: Case report. Abdom. Imaging 2002, 27, 188–190. [Google Scholar] [CrossRef] [PubMed]
- Nepal, P.; Ojili, V.; Kaur, N.; Tirumani, S.H.; Nagar, A. Gas Where It Shouldn’t Be! Imaging Spectrum of Emphysematous Infections in the Abdomen and Pelvis. AJR Am. J. Roentgenol. 2021, 216, 812–823. [Google Scholar] [CrossRef] [PubMed]
- Ghosn, Y.; Abdallah, A.; Hussein Kamareddine, M.; Geahchan, A.; Baghdadi, A.; El-Rassi, Z.; Chamseddine, A.; Ashou, R. Gas-Forming Liver Abscess versus Emphysematous Hepatitis: A Radiologic Diagnostic Dilemma—A Case Report and Review of the Literature. Case Rep. Hepatol. 2019, 2019, 5274525. [Google Scholar] [CrossRef] [PubMed]
- Zárraga, F.L.; Aisa, P.; de Ormijana, J.S.; Orive, M.D.; Anorbe, E.; Aguirre, X.; Paraiso, M.; Bravo, M.M. Fulminant infection with emphysematous changes in the biliary tract and air-filled liver abscesses. Abdom. Imaging 2006, 31, 90–93. [Google Scholar] [CrossRef] [PubMed]
- Létourneau-Guillon, L.; Audet, P.; Plasse, M.; Lepanto, L. Answer to case of the month #162. Emphysematous infection of the liver parenchyma. Can. Assoc. Radiol. J. 2010, 61, 117–119. [Google Scholar]
- Lin, Y.S.; Wang, W.S.; Chen, M.J. Emphysematous changes of the liver. Gastroenterology 2012, 142, 413–414. [Google Scholar] [CrossRef]
- Chauhan, U.; Prabhu, S.M.; Shetty, G.S.; Solanki, R.S.; Udiya, A.K.; Singh, A. Emphysematous hepatitis—A fatal infection in diabetic patients: Case report. Clin. Res. Hepatol. Gastroenterol. 2012, 36, e114–e116. [Google Scholar] [CrossRef]
- Kim, J.H.; Jung, E.S.; Jeong, S.H.; Kim, J.S.; Ku, Y.S.; Hahm, K.B.; Kim, J.H.; Kim, Y.S. A case of emphysematous hepatitis with spontaneous pneumoperitoneum in a patient with hilar cholangiocarcinoma. Korean J. Hepatol. 2012, 18, 94–97. [Google Scholar] [CrossRef]
- Nada, K.M.; El Husseini, I.; Abu Hishmeh, M.E.; Shah, N.S.; Ibragimova, N.; Basir, R. A Rare Case of Septic Shock Secondary to Emphysematous Hepatitis. Case Rep. Crit. Care 2017, 2017, 3020845. [Google Scholar] [CrossRef]
- Calderon, H.; Serfin, J. 13-Hour progression of emphysematous hepatitis as depicted on repeat computerized tomography. J. Surg. Case Rep. 2020, 2020, rjaa089. [Google Scholar] [CrossRef]
- Azri, A.; Pichon, J.; Fartoukh, M.; Djibré, M. Fatal emphysematous hepatitis with spontaneous pneumoperitoneum. Liver Int. 2020, 40, 1224. [Google Scholar] [CrossRef] [PubMed]
- Miranda, G.; Dionísio, A.C.; Azevedo, C.; Carvalho, E.; Semião, M.; Branco, V.; Castelo-Branco, M. Fulminant Emphysematous Hepatitis—A Rare Cause of Septic Shock. Eur. J. Case Rep. Intern. Med. 2020, 7, 001539. [Google Scholar] [PubMed]
- Bofill, A.; Marco, F. Emphysematous Hepatitis. N. Engl. J. Med. 2021, 385, e58. [Google Scholar] [CrossRef] [PubMed]
- Estébanez-Ferrero, B.; Fuentes-Porcel, O.; Lorenzo-Liñán, M.Á.; Rico-Morales, M.D.M. Emphysematous hepatitis: A very rare entity with a poor prognosis. Rev. Esp. Enferm. Dig. 2021, 113, 612–614. [Google Scholar] [CrossRef]
- Ramalho, M. Eurorad-Brought to You by the ESR. A Rare Case of Emphysematous Hepatitis with Spontaneous Pneumoperitoneum. 2017. Available online: https://www.eurorad.org/case/14799 (accessed on 30 July 2023).
- Yaow, C.Y.L.; Chong, R.I.H.; Chan, K.S.; Chia, C.T.W.; Shelat, V.G. Should Procalcitonin Be Included in Acute Cholecystitis Guidelines? A Systematic Review. Medicina 2023, 59, 805. [Google Scholar] [CrossRef] [PubMed]
- Yeo, C.S.W.; Tay, V.W.Y.; Low, J.K.; Woon, W.W.L.; Punamiya, S.J.; Shelat, V.G. Outcomes of percutaneous cholecystostomy and predictors of eventual cholecystectomy. J. Hepatobiliary Pancreat Sci. 2016, 23, 65–73. [Google Scholar] [CrossRef]
- Huang, J.J.; Chen, K.W.; Ruaan, M.K. Mixed acid fermentation of glucose as a mechanism of emphysematous urinary tract infection. J. Urol. 1991, 146, 148–151. [Google Scholar] [CrossRef]
- Huang, J.J.; Tseng, C.C. Emphysematous pyelonephritis: Clinicoradiological classification, management, prognosis, and pathogenesis. Arch. Intern. Med. 2000, 160, 797–805. [Google Scholar] [CrossRef]
- Law, S.T.; Lee, M.K. A middle-aged lady with a pyogenic liver abscess caused by Clostridium perfringens. World J. Hepatol. 2012, 4, 252–255. [Google Scholar] [CrossRef]
- Takehara, M.; Takagishi, T.; Seike, S.; Ohtani, K.; Kobayashi, K.; Miyamoto, K.; Shimizu, T.; Nagahama, M. Clostridium perfringens α-Toxin Impairs Innate Immunity via Inhibition of Neutrophil Differentiation. Sci. Rep. 2016, 6, 28192. [Google Scholar] [CrossRef]
- Awad, M.M.; Ellemor, D.M.; Boyd, R.L.; Emmins, J.J.; Rood, J.I. Synergistic Effects of Alpha-Toxin and Perfringolysin O in Clostridium perfringens-Mediated Gas Gangrene. Infect. Immun. 2001, 69, 7904–7910. [Google Scholar] [CrossRef] [PubMed]
- Harris, R.W.; Sims, P.J.; Tweten, R.K. Evidence that Clostridium perfringens theta-toxin induces colloid-osmotic lysis of erythrocytes. Infect. Immun. 1991, 59, 2499–2501. [Google Scholar] [CrossRef] [PubMed]
- Stevens, D.L.; Maier, K.A.; Mitten, J.E. Effect of antibiotics on toxin production and viability of Clostridium perfringens. Antimicrob. Agents Chemother. 1987, 31, 213–218. [Google Scholar] [CrossRef] [PubMed]





| Author | Age (Year) | Sex | Underlying Disease | Symptoms | Location | Microbiology | Associated Treatment | Outcome |
|---|---|---|---|---|---|---|---|---|
| Blachar et al., 2002 (USA) [1] | 43 | F | Smoker, hyperlipidaemia, diabetes mellitus, short bowel syndrome for ischemic episode | Sepsis and multi-organ failure | Right hepatic lobe | Klebsiella pneumoniae | Percutaneous drainage | Died (72 h) |
| López Zárraga et al., 2006 (Chili) [4] | 72 | M | Renal lithiasis, a hip replacement, and type 2 diabetes mellitus | Abdominal pain and temperature at 35.2 °C | - | Klebsiella oxytoca | - | Died (8 h) |
| Létourneau-Guillon et al., 2010 (Canada) [5] | 53 | M | Left hepatectomy with hepaticojejunostomy for hilar cholangiocarcinoma | Chills since 36 h, fever and icterus | The right lobe of the liver, centred on segment VIII | Enterobacter cloacae Clostridium Perfringens | - | Died (36 h) |
| Lin et al., 2012 (Taiwan) [6] | 59 | F | Glucose intolerant | Two days of epigastric pain, tenderness in the upper right quadrant, temperature at 34.8 °C, blood pressure at 81/53 mmHg | - | Klebsiella pneumoniae | - | Died (20 h) |
| Chauhan et al., 2012 (India) [7] | 77 | M | Poorly controlled diabetes | Six Days of abdominal pain. Altered consciousness, fever and shock on the day of the presentation | Segments VI and VII of liver | - | Percutaneous drainage | Died (72 h) |
| Kim et al., 2012 (Korea) [8] | 80 | F | Hilar cholangiocarcinoma, endoscopic retrograde biliary stent, radiation therapy | Two days of severe right upper quadrant abdominal pain of 2 days | Superior segment of the right liver | Clostridium perfringens Escherichia coli | Percutaneous drainage | Died (72 h) |
| Nasa et al., 2017 (USA) [9] | 73 | F | Pancreatic cancer with hepatic and lung metastatic, Whipple operation, chemotherapy pulmonary embolism, chronic obstructive pulmonary disease, hypertension, chronic hepatitis C | Two days of abdominal pain and altered mental status | Right hepatic lobe | Streptococcus mutans Enterococcus faecalis | - | Died (24 h) |
| Ghosn et al., 2019 (Lebanon) [3] | 38 | F | Gestational diabetes mellitus Cholecystectomy, 2 C-sections, and ventral hernia repair | Two days of chills and fever, then sudden-onset abdominal pain and fever | Left hepatic lobe, mainly in segments II and III | Escherichia coli Enterococcus faecium | Rapid surgical debridement | Discharged after 13 days |
| H. Calderon 2020 (USA) [10] | 80 | F | Hypertension, diabetes mellitus type 2, chronic kidney disease stage 3 | 8 hours’ history of gradual onset upper abdominal pain and nausea | - | Clostridium perfringens | - | Died (16 h) |
| Azri et al., 2020 (France) [11] | 75 | F | Hilar cholangiocarcinoma, biliary endoscopic drainage with stent and portal embolisation, cyberknife stereotactic radiotherapy | Left upper abdominal pain without tenderness and fever | Left hepatic | Klebsiella pneumoniae Escherichia coli Enterococcus faecalis Clostridium perfringens Aeromonas ichtiosmia | - | Died (<24 h) |
| Miranda et al., 2020 (Portugal) [12] | 75 | M | Hypertension, gastroesophageal reflux, and moderate alcohol consumption | Two days of fever, cough with mucopurulent sputum, and abdominal pain | Right hepatic lobe | Escherichia coli | - | Died (72 h) |
| Boffil et al., 2021 (Spain) [13] | 74 | M | Diabetes, chronic pancreatitis, and biliary strictures | One day history of fever and confusion, tenderness in the upper right quadrant | Right hepatic lobe | Klebsiella pneumoniae | Percutaneous drainage | Died (8 days) |
| Estébanez-Ferrero et al., (Spain) [14] | 67 | F | - | Abdominal pain and vomiting | Right hepatic lobe | Escherichia coli | Rapid surgical debridement | No relapse after 3 years |
| Ramalho et al., 2017 (Portugal) [15] | 78 | F | - | Upper right quadrant pain, nausea and fever | Left hepatic lobe with spontaneous rupture to the peritoneum | Enterococcus faecium | Left hepatic lobe lobectomy | Successfully treated |
| n | Results | |
|---|---|---|
| Demographics | ||
| The average age in years (range) | 15 | 67 (38–82) |
| Sex ratio (M/F) | 15 | 0.5 |
| Past medical history | ||
| Diabetes—n (%) | 15 | 8 (53) |
| Digestive surgery < 6 months—n (%) | 15 | 4 (27) |
| Digestive cancer—n (%) | 15 | 4 (27) |
| Clinical presentation | ||
| Number of days from symptom onset to consultation—average (range) | 10 | 2.6 (1–6) |
| Hemodynamic failure within 24 h—n (%) | 13 | 10 (77) |
| Temperature > 38° or <36 °C—n (%) | 14 | 10 (79) |
| Confusion—n (%) | 10 | 5 (50) |
| Abdominal pain—n (%) | 14 | 12 (86) |
| Sensitivity—n (%) | 11 | 8 (73) |
| Paraclinical presentation | ||
| Average leukocytes—G/L (range) | 11 | 22.7 (5.7–54.9) |
| Mean CRP—mg/L (range) | 5 | 295 (13.5–493.6) |
| Mean AST—IU/L (range) | 11 | 2355 (99–10 920) |
| Mean total bilirubin—µmol/L (range) | 7 | 145.3 (23.8–465) |
| Presence of necrosis on CT—n (%) | 14 | 4 (29) |
| Management | ||
| Antibiotics | 15 | 15 (100) |
| Antibiotics alone—n (%) | 15 | 8 (53) |
| Radiological drainage without surgery—n (%) | 15 | 3 (20) |
| Surgery—n (%) | 15 | 4 (27) |
| Evolution | ||
| Deaths | 15 | 11 (73) |
| Number of days between consultation and death—Average (range) | 11 | 2 (1–8) |
| Microbiology | ||
| Clostridium perfingens—n (%) | 14 | 4 (29) |
| Klebsiella spp.—n (%) | 14 | 6 (43) |
| Bacteremia—n (%) | 15 | 11 (73) |
| Variable | Alive (n = 4) | Dead (n = 11) |
| Cancer—n (%) | 0 (0) | 4 (36) |
| Surgery—n (%) | 0 (0) | 4 (36) |
| Diabetes—n (%) | 2 (50) | 6 (55) |
| Klebsiella spp.—n (%) | 1 (25) | 5 (45) |
| Clostridium perfingens—n (%) | 0 (0) | 4 (36) |
| Antibiotics alone—n (%) | 0 (0) | 8 (73) |
| Radiological drainage alone—n (%) | 0 (0) | 3 (24) |
| Surgery—n (%) | 3 (100) | 0 (0) |
| Variable | Diabetics (n = 8) | Non-Diabetics (n = 6) |
| Cancer—n (%) | 0 (0) | 4 (67) |
| Surgery—n (%) | 1 (13) | 3 (50) |
| Klebsiella spp.—n (%) | 5 (71) | 1 (17) |
| Clostridium perfingens—n (%) | 1 (13) | 3 (50) |
| Deaths—n (%) | 6 (75) | 5 (83) |
| Variable | Clostridium (n = 3) | Klebsiella spp. (n = 4) |
| Cancer—n (%) | 2 (66) | 1 (25) |
| Surgery—n (%) | 2 (66) | 1 (25) |
| Diabetes—n (%) | 1 (33) | 3 (75) |
| Presence of necrosis on CT—n (%) | 1 (33) | 2 (50) |
| Deaths—n (%) | 3 (100) | 3 (75) |
Disclaimer/Publisher’s Note: The statements, opinions and data contained in all publications are solely those of the individual author(s) and contributor(s) and not of MDPI and/or the editor(s). MDPI and/or the editor(s) disclaim responsibility for any injury to people or property resulting from any ideas, methods, instructions or products referred to in the content. |
© 2023 by the authors. Licensee MDPI, Basel, Switzerland. This article is an open access article distributed under the terms and conditions of the Creative Commons Attribution (CC BY) license (https://creativecommons.org/licenses/by/4.0/).
Share and Cite
Porez, D.; Kallel, H.; Dobian, S.; Gerbert-Ferrendier, T.; Nacher, M.; Djossou, F.; Demar, M.; Amroun, H.; Zappa, M.; Drak Alsibai, K. Diagnostic and Management of Emphysematous Hepatitis with Emphasis on Biopathology. Microorganisms 2023, 11, 2137. https://doi.org/10.3390/microorganisms11092137
Porez D, Kallel H, Dobian S, Gerbert-Ferrendier T, Nacher M, Djossou F, Demar M, Amroun H, Zappa M, Drak Alsibai K. Diagnostic and Management of Emphysematous Hepatitis with Emphasis on Biopathology. Microorganisms. 2023; 11(9):2137. https://doi.org/10.3390/microorganisms11092137
Chicago/Turabian StylePorez, Déborah, Hatem Kallel, Succes Dobian, Timotée Gerbert-Ferrendier, Mathieu Nacher, Félix Djossou, Magalie Demar, Hakim Amroun, Magaly Zappa, and Kinan Drak Alsibai. 2023. "Diagnostic and Management of Emphysematous Hepatitis with Emphasis on Biopathology" Microorganisms 11, no. 9: 2137. https://doi.org/10.3390/microorganisms11092137
APA StylePorez, D., Kallel, H., Dobian, S., Gerbert-Ferrendier, T., Nacher, M., Djossou, F., Demar, M., Amroun, H., Zappa, M., & Drak Alsibai, K. (2023). Diagnostic and Management of Emphysematous Hepatitis with Emphasis on Biopathology. Microorganisms, 11(9), 2137. https://doi.org/10.3390/microorganisms11092137

