Nanoemulsion Increases the Antifungal Activity of Amphotericin B against Four Candida auris Clades: In Vitro and In Vivo Assays
Abstract
1. Introduction
2. Materials and Methods
2.1. Development and Characterisation of the Nanoemulsion
2.2. Fungal Strains
2.3. Determination of the Minimum Inhibitory Concentration (MIC)
2.4. Determination of Antibiofilm Activity
2.4.1. Biofilm in Formation
2.4.2. Mature Biofilm (48 h)
2.5. Antifungal Assay Using an In Vivo Model of Galleria mellonella
2.6. Histopathology
2.7. Statistical Analysis
3. Results
3.1. Determination of the Minimum Inhibitory Concentration (MIC)
3.2. Determination of Antibiofilm Activity
3.2.1. Biofilm in Formation
3.2.2. Mature Biofilm
3.2.3. In Vivo Antifungal Activity
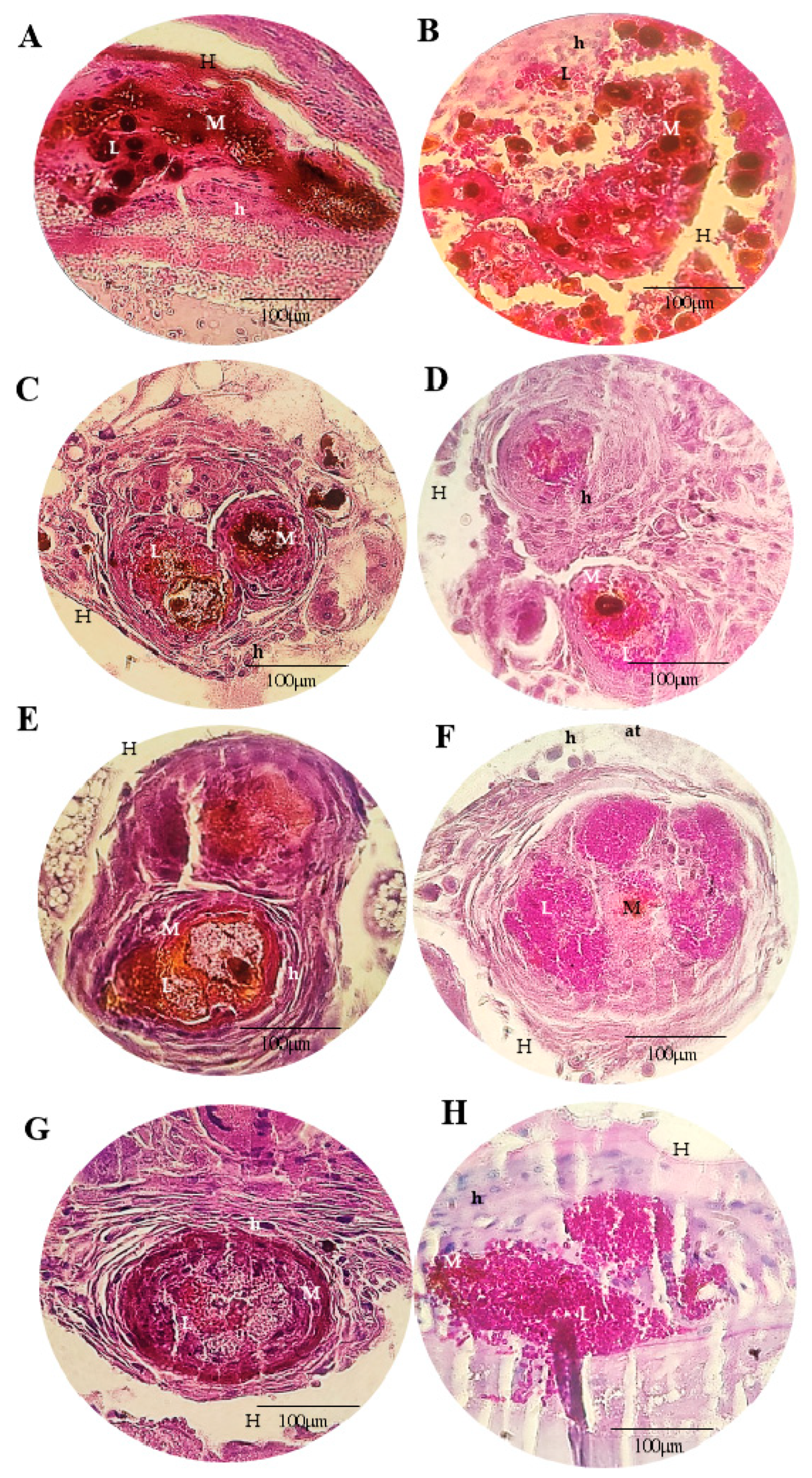
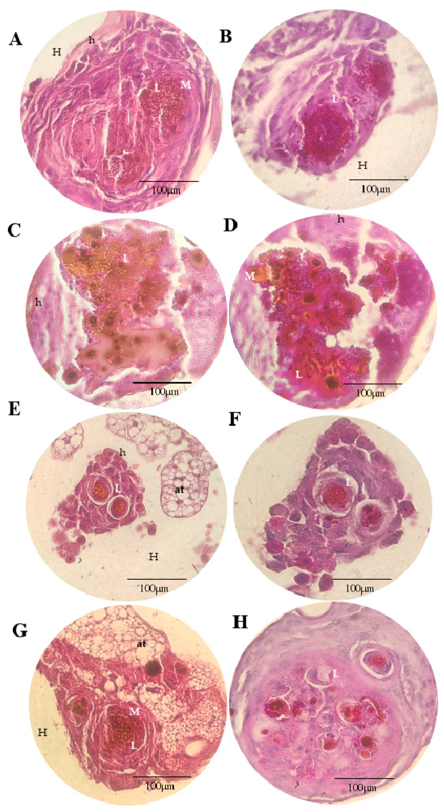
3.2.4. Histopathology
4. Discussion
5. Conclusions
Author Contributions
Funding
Data Availability Statement
Acknowledgments
Conflicts of Interest
References
- Vallabhaneni, S.; Kallen, A.; Tsay, S.; Chow, N.; Welsh, R.; Kerins, J.; Kemble, S.K.; Pacilli, M.; Black, S.R.; Landon, E.; et al. Investigation of the First Seven Reported Cases of Candida auris, a Globally Emerging Invasive, Multidrug-Resistant Fungus—United States, May 2013–August 2016. Am. J. Transplant. 2017, 17, 296–299. [Google Scholar] [CrossRef] [PubMed]
- Jeffery-Smith, A.; Taori, S.K.; Schelenz, S.; Jeffery, K.; Johnson, E.M.; Borman, A.; Manuel, R.; Browna, C.S. Candida auris: A Review of the Literature. Clin. Microbiol. Rev. 2018, 31, e00029-17. [Google Scholar] [CrossRef] [PubMed]
- Ruiz-Gaitán, A.C.; Cantón, E.; Fernández-Rivero, M.E.; Ramírez, P.; Pemán, J. Outbreak of Candida auris in Spain: A Comparison of Antifungal Activity by Three Methods with Published Data. Int. J. Antimicrob. Agents 2019, 53, 541–546. [Google Scholar] [CrossRef]
- Ruiz-Gaitán, A.C.; Fernández-Pereira, J.; Valentin, E.; Tormo-Mas, M.A.; Eraso, E.; Pemán, J.; de Groot, P.W.J. Molecular Identification of Candida auris by PCR Amplification of Species-Specific GPI Protein-Encoding Genes. Int. J. Med. Microbiol. 2018, 308, 812–818. [Google Scholar] [CrossRef] [PubMed]
- Abastabar, M.; Haghani, I.; Ahangarkani, F.; Rezai, M.S.; Taghizadeh Armaki, M.; Roodgari, S.; Kiakojuri, K.; Al-Hatmi, A.M.S.; Meis, J.F.; Badali, H. Candida auris Otomycosis in Iran and Review of Recent Literature. Mycoses 2019, 62, 101–105. [Google Scholar] [CrossRef] [PubMed]
- Osei Sekyere, J. Candida auris: A Systematic Review and Meta-Analysis of Current Updates on an Emerging Multidrug-Resistant Pathogen. Microbiologyopen 2018, 7, e00578. [Google Scholar] [CrossRef]
- Piedrahita, C.T.; Cadnum, J.L.; Jencson, A.L.; Shaikh, A.A.; Ghannoum, M.A.; Donskey, C.J. Environmental Surfaces in Healthcare Facilities Are a Potential Source for Transmission of Candida auris and Other Candida Species. Infect. Control Hosp. Epidemiol. 2017, 38, 1107–1109. [Google Scholar] [CrossRef]
- Schelenz, S.; Hagen, F.; Rhodes, J.L.; Abdolrasouli, A.; Chowdhary, A.; Hall, A.; Ryan, L.; Shackleton, J.; Trimlett, R.; Meis, J.F.; et al. First Hospital Outbreak of the Globally Emerging Candida auris in a European Hospital. Antimicrob. Resist. Infect. Control 2016, 5, 35. [Google Scholar] [CrossRef]
- Du, H.; Bing, J.; Hu, T.; Ennis, C.L.; Nobile, C.J.; Huang, G. Candida auris: Epidemiology, Biology, Antifungal Resistance, and Virulence. PLoS Pathog. 2020, 16, e1008921. [Google Scholar] [CrossRef]
- Cleare, L.G.; Li, K.L.; Abuzeid, W.M.; Nacharaju, P.; Friedman, J.M.; Nosanchuk, J.D. NO Candida auris: Nitric Oxide in Nanotherapeutics to Combat Emerging Fungal Pathogen Candida Auris. J. Fungi 2020, 6, 85. [Google Scholar] [CrossRef]
- Song, Z.; Sun, H.; Yang, Y.; Jing, H.; Yang, L.; Tong, Y.; Wei, C.; Wang, Z.; Zou, Q.; Zeng, H. Enhanced Efficacy and Anti-Biofilm Activity of Novel Nanoemulsions against Skin Burn Wound Multi-Drug Resistant MRSA Infections. Nanomedicine 2016, 12, 1543–1555. [Google Scholar] [CrossRef]
- Ghosh, V.; Saranya, S.; Mukherjee, A.; Chandrasekaran, N. Antibacterial Microemulsion Prevents Sepsis and Triggers Healing of Wound in Wistar Rats. Colloids Surf. B Biointerfaces 2013, 105, 152–157. [Google Scholar] [CrossRef] [PubMed]
- Bonifácio, B.V.; dos Santos Ramos, M.A.; da Silva, P.B.; Negri, K.M.S.; de Oliveira Lopes, É.; de Souza, L.P.; Vilegas, W.; Pavan, F.R.; Chorilli, M.; Bauab, T.M. Nanostructured Lipid System as a Strategy to Improve the Anti-Candida albicans Activity of Astronium sp. Int. J. Nanomed. 2015, 10, 5081–5092. [Google Scholar] [CrossRef] [PubMed]
- Marena, G.D.; Ramos, M.A.D.S.; Lima, L.C.; Chorilli, M.; Bauab, T.M. Galleria mellonella for Systemic Assessment of Anti-Candida auris Using Amphotericin B Loaded in Nanoemulsion. Sci. Total Environ. 2022, 807, 151023. [Google Scholar] [CrossRef] [PubMed]
- Marena, G.D.; dos Ramos, M.A.S.; Carvalho, G.C.; de Lima, L.C.; do Nascimento, A.L.C.S.; Sábio, R.M.; Rodero, C.F.; Spósito, L.; Bauab, T.M.; Chorilli, M. Development and Characterization of an Amphotericin B—Loaded Nanoemulsion Applied to Candida auris Biofilms Control. J. Drug Deliv. Sci. Technol. 2022, 74, 103566. [Google Scholar] [CrossRef]
- Clinical and Laboratory Standards Institute. Reference Method for Broth Dilution Antifungal Susceptibility Testing of Yeasts; Clinical and Laboratory Standards Institute: Wayne, PA, USA, 2017. [Google Scholar]
- Pitangui, N.S.; Sardi, J.C.O.; Silva, J.F.; Benaducci, T.; da Silva, R.A.M.; Rodríguez-Arellanes, G.; Taylor, M.L.; Mendes-Giannini, M.J.S.; Fusco-Almeida, A.M. Adhesion of Histoplasma capsulatum to Pneumocytes and Biofilm Formation on an Abiotic Surface. Biofouling 2012, 28, 711–718. [Google Scholar] [CrossRef]
- Mesa-Arango, A.C.; Forastiero, A.; Bernal-Martínez, L.; Cuenca-Estrella, M.; Mellado, E.; Zaragoza, O. The Non-Mammalian Host Galleria mellonella Can Be Used to Study the Virulence of the Fungal Pathogen Candida tropicalis and the Efficacy of Antifungal Drugs during Infection by This Pathogenic Yeast. Med. Mycol. 2013, 51, 461–472. [Google Scholar] [CrossRef]
- Garcia-Bustos, V.; Ruiz-Saurí, A.; Ruiz-Gaitán, A.; Sigona-Giangreco, I.A. Characterization of the Differential Pathogenicity of Candida auris in a Galleria mellonella Infection Model. Microbiol. Spectr. 2021, 9, e0001321. [Google Scholar] [CrossRef]
- Sauer, K.; Stoodley, P.; Goeres, D.M.; Hall-Stoodley, L.; Burmølle, M.; Stewart, P.S.; Bjarnsholt, T. The Biofilm Life Cycle: Expanding the Conceptual Model of Biofilm Formation. Nat. Rev. Microbiol. 2022, 20, 608–620. [Google Scholar] [CrossRef]
- Sherry, L.; Ramage, G.; Kean, R.; Borman, A.; Johnson, E.M.; Richardson, M.D. Biofilm-Forming Capability of Highly Virulent, Multidrug-Resistant Candida auris. Emerg. Infect. Dis. 2017, 23, 328–331. [Google Scholar] [CrossRef]
- Kean, R.; Brown, J.; Gulmez, D.; Ware, A.; Ramage, G. Candida auris: A Decade of Understanding of an Enigmatic Pathogenic Yeast. J. Fungi 2020, 6, 30. [Google Scholar] [CrossRef] [PubMed]
- Larkin, E.; Hager, C.; Chandra, J.; Mukherjee, P.K.; Retuerto, M.; Salem, I.; Long, L.; Isham, N.; Kovanda, L.; Borroto-Esoda, K.; et al. The Emerging Pathogen Candida auris: Growth Phenotype, Virulence Factors, Activity of Antifungals, and Effect of SCY-078, a Novel Glucan Synthesis Inhibitor, on Growth Morphology and Biofilm Formation. Antimicrob. Agents Chemother. 2017, 61, e02396-16. [Google Scholar] [CrossRef] [PubMed]
- Singh, R.; Nadhe, S.; Wadhwani, S.; Shedbalkar, U.; Chopade, B.A. Nanoparticles for Control of Biofilms of Acinetobacter Species. Materials 2016, 9, 383. [Google Scholar] [CrossRef]
- Tsai, C.J.Y.; Loh, J.M.S.; Proft, T. Galleria mellonella Infection Models for the Study of Bacterial Diseases and for Antimicrobial Drug Testing. Virulence 2016, 7, 214–229. [Google Scholar] [CrossRef]
- Cutuli, M.A.; Petronio Petronio, G.; Vergalito, F.; Magnifico, I.; Pietrangelo, L.; Venditti, N.; di Marco, R. Galleria mellonella as a Consolidated in vivo Model Hosts: New Developments in Antibacterial Strategies and Novel Drug Testing. Virulence 2019, 10, 527–541. [Google Scholar] [CrossRef] [PubMed]
- Junqueira, J.C.; Mylonakis, E.; Borghi, E. Galleria mellonella Experimental Model: Advances and Future Directions. Pathog. Dis. 2021, 79, ftab021. [Google Scholar] [CrossRef] [PubMed]
- Arias, L.S.; Butche, M.C.; Short, B.; McKloud, E.; Delaney, C.; Kean, R.; Monteiro, D.R.; Williams, C.; Ramage, G.; Brow, J.L. Chitosan Ameliorates Candida auris Virulence in a Galleria mellonella Infection Model. Antimicrob. Agents Chemother. 2020, 64, e00476-20. [Google Scholar] [CrossRef]
- Smith, D.F.Q.; Casadevall, A. Fungal Immunity and Pathogenesis in Mammals versus the Invertebrate Model Organism Galleria mellonella. Pathog. Dis. 2021, 79, ftab013. [Google Scholar] [CrossRef]
- Mak, P.; Zdybicka-Barabas, A.; Cytryńska, M. A Different Repertoire of Galleria mellonella Antimicrobial Peptides in Larvae Challenged with Bacteria and Fungi. Dev. Comp. Immunol. 2010, 34, 1129–1136. [Google Scholar] [CrossRef]
- Wojda, I.; Staniec, B.; Sułek, M.; Kordaczuk, J. The Greater Wax Moth Galleria mellonella: Biology and Use in Immune Studies. Pathog. Dis. 2020, 78, ftaa057. [Google Scholar] [CrossRef]
- Muñoz, J.E.; Ramirez, L.M.; dos Dias, L.S.; Rivas, L.A.; Ramos, L.S.; Santos, A.L.S.; Taborda, C.P.; Parra-Giraldo, C.M. Pathogenicity Levels of Colombian Strains of Candida auris and Brazilian Strains of Candida haemulonii Species Complex in Both Murine and Galleria mellonella Experimental Models. J. Fungi 2020, 6, 104. [Google Scholar] [CrossRef] [PubMed]









| Minimum Inhibitory Concentration (µg/mL) Candida auris | ||||||||
|---|---|---|---|---|---|---|---|---|
| Strains/ Treatment | InP13 | JAP 1 | SP96 | VEN C6 | ||||
| MIC90 | MIC50 | MIC90 | MIC50 | MIC90 | MIC50 | MIC90 | MIC50 | |
| AmB | 0.62 ± 0.0 | 0.41 ± 0.1 | 0.31 ± 0.18 | 0.1308 ± 0.10 | 0.62 ± 0.0 | 0.137 ± 0.05 | 1.25 ± 0.22 | 0.325 ± 0.222 |
| NEA | 1.25 ± 0.0 | 0.029 ± 0.002 | 0.038 ± 0.02 | 0.004 ± 0.004 | 0.038 ± 0.06 | 0.002 ± 0.001 | 0.31 ± 0.0 | 0.003 ± 0.001 |
Disclaimer/Publisher’s Note: The statements, opinions and data contained in all publications are solely those of the individual author(s) and contributor(s) and not of MDPI and/or the editor(s). MDPI and/or the editor(s) disclaim responsibility for any injury to people or property resulting from any ideas, methods, instructions or products referred to in the content. |
© 2023 by the authors. Licensee MDPI, Basel, Switzerland. This article is an open access article distributed under the terms and conditions of the Creative Commons Attribution (CC BY) license (https://creativecommons.org/licenses/by/4.0/).
Share and Cite
Marena, G.D.; Ruiz-Gaitán, A.; Garcia-Bustos, V.; Tormo-Mas, M.Á.; Pérez-Royo, J.M.; López, A.; Bernarbe, P.; Pérez Ruiz, M.D.; Zaragoza Macian, L.; Vicente Saez, C.; et al. Nanoemulsion Increases the Antifungal Activity of Amphotericin B against Four Candida auris Clades: In Vitro and In Vivo Assays. Microorganisms 2023, 11, 1626. https://doi.org/10.3390/microorganisms11071626
Marena GD, Ruiz-Gaitán A, Garcia-Bustos V, Tormo-Mas MÁ, Pérez-Royo JM, López A, Bernarbe P, Pérez Ruiz MD, Zaragoza Macian L, Vicente Saez C, et al. Nanoemulsion Increases the Antifungal Activity of Amphotericin B against Four Candida auris Clades: In Vitro and In Vivo Assays. Microorganisms. 2023; 11(7):1626. https://doi.org/10.3390/microorganisms11071626
Chicago/Turabian StyleMarena, Gabriel Davi, Alba Ruiz-Gaitán, Victor Garcia-Bustos, María Ángeles Tormo-Mas, Jose Manuel Pérez-Royo, Alejandro López, Patricia Bernarbe, María Dolores Pérez Ruiz, Lara Zaragoza Macian, Carmen Vicente Saez, and et al. 2023. "Nanoemulsion Increases the Antifungal Activity of Amphotericin B against Four Candida auris Clades: In Vitro and In Vivo Assays" Microorganisms 11, no. 7: 1626. https://doi.org/10.3390/microorganisms11071626
APA StyleMarena, G. D., Ruiz-Gaitán, A., Garcia-Bustos, V., Tormo-Mas, M. Á., Pérez-Royo, J. M., López, A., Bernarbe, P., Pérez Ruiz, M. D., Zaragoza Macian, L., Vicente Saez, C., Avalos Mansilla, A., Gómez, E. V., Carvalho, G. C., Bauab, T. M., Chorilli, M., & Pemán, J. (2023). Nanoemulsion Increases the Antifungal Activity of Amphotericin B against Four Candida auris Clades: In Vitro and In Vivo Assays. Microorganisms, 11(7), 1626. https://doi.org/10.3390/microorganisms11071626

