Diagnostic Performance of Competitive ELISA and Western Blot Methods for the Detection of Antibodies against Theileria equi and Babesia caballi
Abstract
1. Introduction
2. Material and Methods
2.1. Serum Samples
2.2. Preparation of the Proteins EMA1 and Bc48
2.3. Generation of HRP-Conjugated mAbs against EMA1 and Bc48
2.4. Establishment of cELISA for Diagnosis of T. equi or B. caballi
2.5. Determination of the Cut-Off Value of the Novel cELISA
2.6. Determination of the Analytical Specificity and Sensitivity of the Novel cELISA
2.7. Comparison of the Novel cELISA and Commercially Available cELISA Kit
2.8. Establishment of a Western Blot Assay That Detects T. equi and B. caballi Antibodies
2.9. Comparative Analysis of the Clinical Samples
3. Results
3.1. Preparation of the Proteins EMA1 and Bc48 and the Corresponding HRP Labeled mAbs
3.2. Establishment of the cELISA Method
3.3. Determination of the cELISA Cut-Off Value (PI)
3.4. Analysis of the Specificity of the Novel cELISA
3.5. Analysis of the Sensitivity of the Novel cELISA
3.6. Comparison of the Novel cELISA and the Commercially Available cELISA Kit
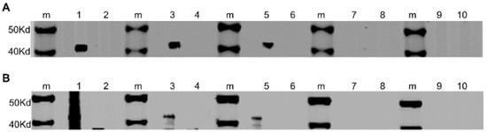
3.7. Establishment of the Western Blot Immunoassay
3.8. Clinical Performance
4. Discussion
Author Contributions
Funding
Data Availability Statement
Acknowledgments
Conflicts of Interest
References
- Taboada, J.; Merchant, S.R. Babesiosis of companion animals and man. Vet. Clin. N. Am. Small Anim. Pract. 1991, 21, 103–123. [Google Scholar] [CrossRef] [PubMed]
- AA, H. Biology of equine piroplasmosis. J. Am. Vet. Med. Assoc. 1969, 155, 453–454. [Google Scholar]
- Wl, S.; De, C.; Jh, G.; Rw, A.; Je, M.; Mb, T. Equine piroplasmosis in the United States. J. Am. Vet. Med. Assoc. 1962, 141, 694–698. [Google Scholar]
- Friedhoff, K.; Soule, C. An account on equine babesioses. Rev. Sci. Tech. 1996, 15, 1191–1201. [Google Scholar] [CrossRef]
- Onyiche, T.E.; Suganuma, K.; Igarashi, I.; Yokoyama, N.; Xuan, X.; Thekisoe, O. A Review on Equine Piroplasmosis: Epidemiology, Vector Ecology, Risk Factors, Host Immunity, Diagnosis and Control. Int. J. Environ. Res. Public Health 2019, 16, 1736. [Google Scholar] [CrossRef]
- Knowles, D.J. Equine babesiosis (piroplasmosis): A problem in the international movement of horses. Br. Vet. J. 1996, 152, 123–126. [Google Scholar] [CrossRef]
- Díaz-Sánchez, A.A.; Pires, M.S.; Estrada, C.Y.; Cañizares, E.V.; del Castillo Domínguez, S.L.; Cabezas-Cruz, A.; Rivero, E.L.; da Fonseca, A.H.; Massard, C.L.; Corona-González, B. First molecular evidence of Babesia caballi and Theileria equi infections in horses in Cuba. Parasitol. Res. 2018, 117, 3109–3118. [Google Scholar] [CrossRef]
- Onyiche, T.E.; Taioe, M.O.; Ogo, N.I.; Sivakumar, T.; Biu, A.A.; Mbaya, A.W.; Xuan, X.; Yokoyama, N.; Thekisoe, O. Molecular evidence of Babesia caballi and Theileria equi in equines and ticks in Nigeria: Prevalence and risk factors analysis. Parasitology 2020, 147, 1238–1248. [Google Scholar] [CrossRef]
- Böse, R.; Jorgensen, W.; Dalgliesh, R.; Friedhoff, K.; de Vos, A. Current state and future trends in the diagnosis of babesiosis. Vet Parasitol. 1995, 57, 61–74. [Google Scholar] [CrossRef]
- Nicolaiewsky, T.; Richter, M.; Lunge, V.; Cunha, C.; Delagostin, O.; Ikuta, N.; Fonseca, A.; da Silva, S.; Ozaki, L. Detection of Babesia equi (Laveran, 1901) by nested polymerase chain reaction. Vet. Parasitol. 2001, 101, 9–21. [Google Scholar] [CrossRef]
- Huang, X.; Xuan, X.; Xu, L.; Zhang, S.; Yokoyama, N.; Suzuki, N.; Igarashi, I. Development of an immunochromatographic test with recombinant EMA-2 for the rapid detection of antibodies against Babesia equi in horses. J. Clin. Microbiol. 2004, 42, 359–361. [Google Scholar] [CrossRef] [PubMed][Green Version]
- Chen, N.; Ye, M.; Xiao, Y.; Li, S.; Huang, Y.; Li, X.; Tian, K.; Zhu, J. Development of universal and quadruplex real-time RT-PCR assays for simultaneous detection and differentiation of porcine reproductive and respiratory syndrome viruses. Transbound Emerg. Dis. 2019, 66, 2271–2278. [Google Scholar] [CrossRef] [PubMed]
- Asgarali, Z.; Coombs, D.K.; Mohammed, F.; Campbell, M.D.; Caesar, E. A serological study of Babesia caballi and Theileria equi in Thoroughbreds in Trinidad. Vet. Parasitol. 2007, 144, 167–171. [Google Scholar] [CrossRef]
- Aydin, S. A short history, principles, and types of ELISA, and our laboratory experience with peptide/protein analyses using ELISA. Peptides 2015, 72, 4–15. [Google Scholar] [CrossRef]
- Baldani, C.D.; Hilario, E.; Nakaghi, A.C.; Bertolini, M.C.; Machado, R.Z. Production of recombinant EMA-1 protein and its application for the diagnosis of Theileria equi using an enzyme immunoassay in horses from Sao Paulo State, Brazil. Rev. Bras. Parasitol. Vet. 2011, 20, 54–60. [Google Scholar] [CrossRef]
- Ikadai, H.; Xuan, X.; Igarashi, I.; Tanaka, S.; Kanemaru, T.; Nagasawa, H.; Fujisaki, K.; Suzuki, N.; Mikami, T. Cloning and expression of a 48-kilodalton Babesia caballi merozoite rhoptry protein and potential use of the recombinant antigen in an enzyme-linked immunosorbent assay. J. Clin. Microbiol. 1999, 37, 3475–3480. [Google Scholar] [CrossRef] [PubMed]
- Knowles, D.P., Jr.; Perryman, L.E.; Kappmeyer, L.S.; Hennager, S.G. Detection of equine antibody to Babesia equi merozoite proteins by a monoclonal antibody-based competitive inhibition enzyme-linked immunosorbent assay. J. Clin. Microbiol. 1991, 29, 2056–2058. [Google Scholar] [CrossRef] [PubMed]
- Kappmeyer, L.S.; Perryman, L.E.; Hines, S.A.; Baszler, T.V.; Katz, J.B.; Hennager, S.G.; Knowles, D.P. Detection of equine antibodies to babesia caballi by recombinant B. caballi rhoptry-associated protein 1 in a competitive-inhibition enzyme-linked immunosorbent assay. J. Clin. Microbiol. 1999, 37, 2285–2290. [Google Scholar] [CrossRef]
- Silva, M.G.; Graca, T.; Suarez, C.E.; Knowles, D.P. Repertoire of Theileria equi immunodominant antigens bound by equine antibody. Mol. Biochem. Parasitol. 2013, 188, 109–115. [Google Scholar] [CrossRef]
- Wise, L.N.; Kappmeyer, L.S.; Silva, M.G.; White, S.N.; Grause, J.F.; Knowles, D.P. Verification of post-chemotherapeutic clearance of Theileria equi through concordance of nested PCR and immunoblot. Ticks Tick Borne Dis. 2018, 9, 135–140. [Google Scholar] [CrossRef]
- Yang, G.; Chen, K.; Guo, W.; Hu, Z.; Qi, T.; Liu, D.; Wang, Y.; Du, C.; Wang, X. Development of a Test Card Based on Colloidal Gold Immunochromatographic Strips for Rapid Detection of Antibodies against Theileria equi and Babesia caballi. Microbiol. Spectr. 2022, 10, e0241121. [Google Scholar] [CrossRef] [PubMed]
- Bardou, P.; Mariette, J.; Escudie, F.; Djemiel, C.; Klopp, C. jvenn: An interactive Venn diagram viewer. BMC Bioinform. 2014, 15, 293. [Google Scholar] [CrossRef] [PubMed]
- Major, M.; Law, M. Detection of Antibodies to HCV E1E2 by Lectin-Capture ELISA. Methods Mol. Biol. 2019, 1911, 421–432. [Google Scholar] [CrossRef] [PubMed]
- Kaminski, M.M.; Alcantar, M.A.; Lape, I.T.; Greensmith, R.; Huske, A.C.; Valeri, J.A.; Marty, F.M.; Klambt, V.; Azzi, J.; Akalin, E.; et al. A CRISPR-based assay for the detection of opportunistic infections post-transplantation and for the monitoring of transplant rejection. Nat. Biomed. Eng. 2020, 4, 601–609. [Google Scholar] [CrossRef]
- Chen, K.; Hu, Z.; Li, J.; Wang, J.; Liu, D.; Qi, T.; Guo, W.; Du, C.; Wang, X. Prevalence and molecular epidemiology of equine piroplasmosis in China: A neglected tick-borne disease. Sci. China Life Sci. 2022, 65, 445–447. [Google Scholar] [CrossRef]
- Torres, R.; Hurtado, C.; Perez-Macchi, S.; Bittencourt, P.; Freschi, C.; de Mello, V.V.C.; Machado, R.Z.; Andre, M.R.; Muller, A. Occurrence and Genetic Diversity of Babesia caballi and Theileria equi in Chilean Thoroughbred Racing Horses. Pathogens 2021, 10, 714. [Google Scholar] [CrossRef]
- Rampersad, J.; Cesar, E.; Campbell, M.D.; Samlal, M.; Ammons, D. A field evaluation of PCR for the routine detection of Babesia equi in horses. Vet. Parasitol. 2003, 114, 81–87. [Google Scholar] [CrossRef]
- Knowles, D.P., Jr.; Gorham, J.R. Advances in the diagnosis of some parasitic diseases by monoclonal antibody-based enzyme-linked immunosorbent assays. Rev. Sci. Tech. 1993, 12, 425–433. [Google Scholar] [CrossRef]
- Guidi, E.; Pradier, S.; Lebert, I.; Leblond, A. Piroplasmosis in an endemic area: Analysis of the risk factors and their implications in the control of Theileriosis and Babesiosis in horses. Parasitol. Res. 2015, 114, 71–83. [Google Scholar] [CrossRef]
- Aziz, K.J.; Al-Barwary, L.T.O. Epidemiological Study of Equine Piroplasmosis (Theileria equi and Babesia caballi) by Microscopic Examination and Competitive-ELISA in Erbil Province North-Iraq. Iran. J. Parasitol. 2019, 14, 404–412. [Google Scholar]
- Alvarez, I.; Gutierrez, G.; Ostlund, E.; Barrandeguy, M.; Trono, K. Western blot assay using recombinant p26 antigen for detection of equine infectious anemia virus-specific antibodies. Clin. Vaccine Immunol. 2007, 14, 1646–1648. [Google Scholar] [CrossRef] [PubMed][Green Version]
- Grassi, J.; Maillet, S.; Simon, S.; Morel, N. Progress and limits of TSE diagnostic tools. Vet. Res. 2008, 39, 33. [Google Scholar] [CrossRef] [PubMed][Green Version]
- Franco-Paredes, C.; Tellez, I.; del Rio, C. Rapid HIV testing: A review of the literature and implications for the clinician. Curr. HIV/AIDS Rep. 2006, 3, 169–175. [Google Scholar] [CrossRef] [PubMed]







Disclaimer/Publisher’s Note: The statements, opinions and data contained in all publications are solely those of the individual author(s) and contributor(s) and not of MDPI and/or the editor(s). MDPI and/or the editor(s) disclaim responsibility for any injury to people or property resulting from any ideas, methods, instructions or products referred to in the content. |
© 2022 by the authors. Licensee MDPI, Basel, Switzerland. This article is an open access article distributed under the terms and conditions of the Creative Commons Attribution (CC BY) license (https://creativecommons.org/licenses/by/4.0/).
Share and Cite
Yang, G.; Zhou, B.; Chen, K.; Hu, Z.; Guo, W.; Wang, X.; Du, C. Diagnostic Performance of Competitive ELISA and Western Blot Methods for the Detection of Antibodies against Theileria equi and Babesia caballi. Microorganisms 2023, 11, 21. https://doi.org/10.3390/microorganisms11010021
Yang G, Zhou B, Chen K, Hu Z, Guo W, Wang X, Du C. Diagnostic Performance of Competitive ELISA and Western Blot Methods for the Detection of Antibodies against Theileria equi and Babesia caballi. Microorganisms. 2023; 11(1):21. https://doi.org/10.3390/microorganisms11010021
Chicago/Turabian StyleYang, Guangpu, Bingqian Zhou, Kewei Chen, Zhe Hu, Wei Guo, Xiaojun Wang, and Cheng Du. 2023. "Diagnostic Performance of Competitive ELISA and Western Blot Methods for the Detection of Antibodies against Theileria equi and Babesia caballi" Microorganisms 11, no. 1: 21. https://doi.org/10.3390/microorganisms11010021
APA StyleYang, G., Zhou, B., Chen, K., Hu, Z., Guo, W., Wang, X., & Du, C. (2023). Diagnostic Performance of Competitive ELISA and Western Blot Methods for the Detection of Antibodies against Theileria equi and Babesia caballi. Microorganisms, 11(1), 21. https://doi.org/10.3390/microorganisms11010021

