Identification of Exported Plasmodium falciparum Proteins That Bind to the Erythrocyte Cytoskeleton
Abstract
1. Introduction
2. Material and Methods
2.1. Cloning of Genes Encoding Parasite Proteins and RBC Cytoskeletal Proteins
2.2. Inside-Out Vesicle (IOV) Binding Assay
2.3. Co-Affinity Purification of Erythrocyte Proteins That Bound to P. falciparum Proteins
2.4. Sample Preparation and Liquid Chromatography–Tandem Mass Spectrometry (LC–MS/MS) Analysis
2.5. Split-Luciferase Assays
2.6. Co-Purification Assays
2.7. SDS PAGE and Western Blots
2.8. Microsphere Filtration of MBP-His Fusion Proteins-Loaded Erythrocyte Ghosts
3. Results
3.1. A Screen for P. falciparum-Exported Proteins That Bind to Erythrocyte IOVs
3.2. Identification of Erythrocyte Targets of IOV-Binding P. falciparum Proteins
3.3. Co-Precipitation of Cytoskeletal Proteins from Erythrocyte Lysates with IOV-Binding P. falciparum Proteins
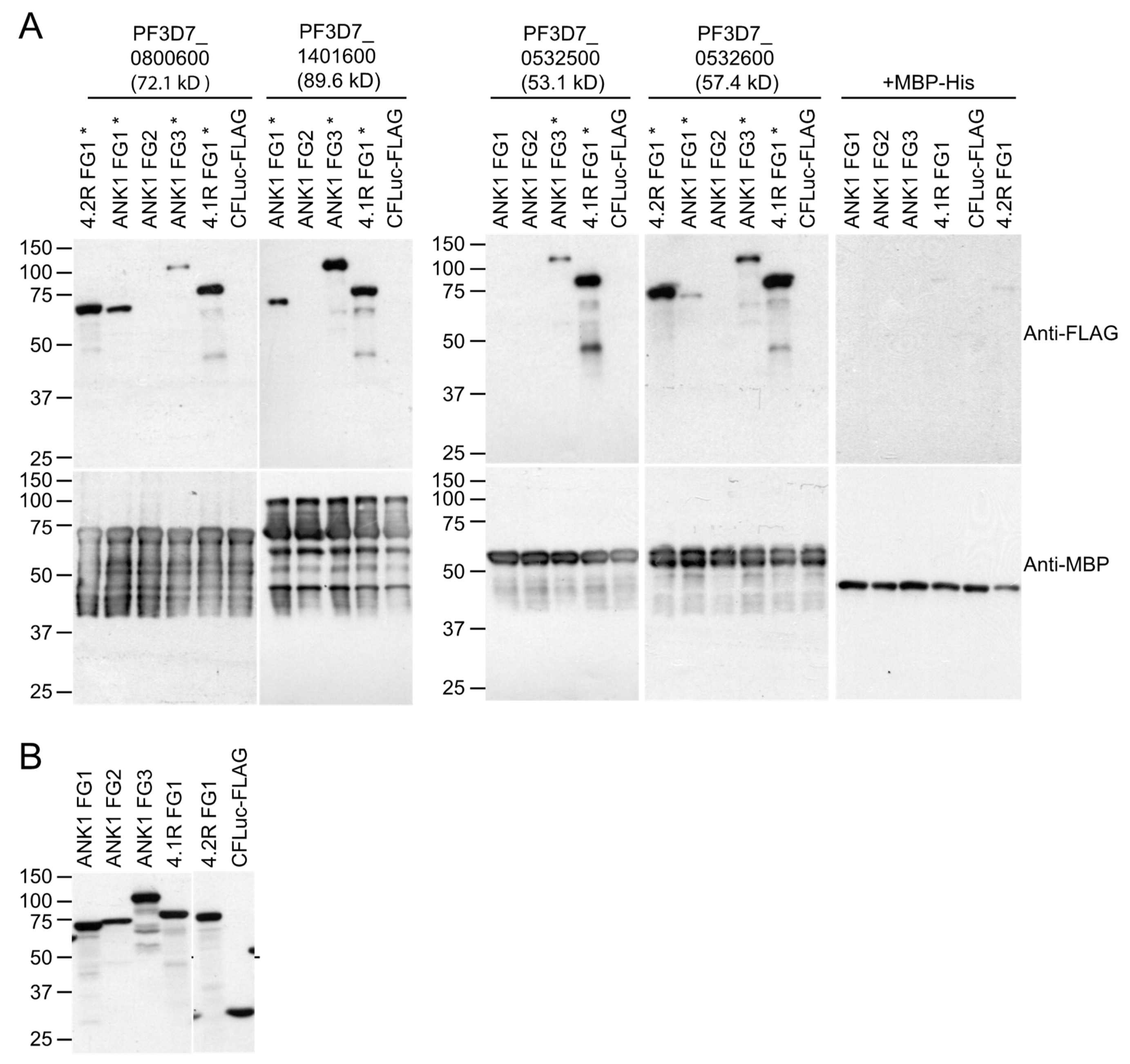
3.4. Confirmation of Protein–Protein Interaction in Co-Precipitation Assays
3.5. Mapping the Minimum Binding Domain of PF3D7_1401600 for ANK1 and 4.1R
3.6. Effect of Binding to the RBC Cytoskeleton on the Mechanical Properties of Erythrocyte Ghosts
4. Discussion
5. Limitations
6. Conclusions
Supplementary Materials
Author Contributions
Funding
Institutional Review Board Statement
Informed Consent Statement
Data Availability Statement
Acknowledgments
Conflicts of Interest
References
- Maier, A.G.; Cooke, B.M.; Cowman, A.F.; Tilley, L. Malaria parasite proteins that remodel the host erythrocyte. Nat. Rev. Microbiol. 2009, 7, 341–354. [Google Scholar] [CrossRef]
- Maier, A.G.; Rug, M.; O’Neill, M.T.; Brown, M.; Chakravorty, S.; Szestak, T.; Chesson, J.; Wu, Y.; Hughes, K.; Coppel, R.L.; et al. Exported proteins required for virulence and rigidity of Plasmodium falciparum-infected human erythrocytes. Cell 2008, 134, 48–61. [Google Scholar] [CrossRef] [PubMed]
- Warncke, J.D.; Beck, H.P. Host Cytoskeleton Remodeling throughout the Blood Stages of Plasmodium falciparum. Microbiol. Mol. Biol. Rev. 2019, 83, e00013-19. [Google Scholar] [CrossRef] [PubMed]
- Dondorp, A.M.; Pongponratn, E.; White, N.J. Reduced microcirculatory flow in severe falciparum malaria: Pathophysiology and electron-microscopic pathology. Acta Trop. 2004, 89, 309–317. [Google Scholar] [CrossRef] [PubMed]
- Goldberg, D.E.; Cowman, A.F. Moving in and renovating: Exporting proteins from Plasmodium into host erythrocytes. Nat. Rev. Microbiol. 2010, 8, 617–621. [Google Scholar] [CrossRef]
- Starnes, G.L.; Waters, A.P. Home improvements: How the malaria parasite makes the red blood cell home sweet home. J. Mol. Cell Biol. 2010, 2, 11–13. [Google Scholar] [CrossRef]
- Hiller, N.L.; Bhattacharjee, S.; van Ooij, C.; Liolios, K.; Harrison, T.; Lopez-Estrano, C.; Haldar, K. A host-targeting signal in virulence proteins reveals a secretome in malarial infection. Science 2004, 306, 1934–1937. [Google Scholar] [CrossRef]
- Marti, M.; Good, R.T.; Rug, M.; Knuepfer, E.; Cowman, A.F. Targeting malaria virulence and remodeling proteins to the host erythrocyte. Science 2004, 306, 1930–1933. [Google Scholar] [CrossRef]
- Sargeant, T.J.; Marti, M.; Caler, E.; Carlton, J.M.; Simpson, K.; Speed, T.P.; Cowman, A.F. Lineage-specific expansion of proteins exported to erythrocytes in malaria parasites. Genome Biol. 2006, 7, R12. [Google Scholar] [CrossRef]
- van Ooij, C.; Tamez, P.; Bhattacharjee, S.; Hiller, N.L.; Harrison, T.; Liolios, K.; Kooij, T.; Ramesar, J.; Balu, B.; Adams, J.; et al. The malaria secretome: From algorithms to essential function in blood stage infection. PLoS Pathog. 2008, 4, e1000084. [Google Scholar] [CrossRef]
- de Koning-Ward, T.F.; Dixon, M.W.; Tilley, L.; Gilson, P.R. Plasmodium species: Master renovators of their host cells. Nat. Rev. Microbiol. 2016, 14, 494–507. [Google Scholar] [CrossRef] [PubMed]
- Pei, X.; Guo, X.; Coppel, R.; Bhattacharjee, S.; Haldar, K.; Gratzer, W.; Mohandas, N.; An, X. The ring-infected erythrocyte surface antigen (RESA) of Plasmodium falciparum stabilizes spectrin tetramers and suppresses further invasion. Blood 2007, 110, 1036–1042. [Google Scholar] [CrossRef] [PubMed]
- Weng, H.; Guo, X.; Papoin, J.; Wang, J.; Coppel, R.; Mohandas, N.; An, X. Interaction of Plasmodium falciparum knob-associated histidine-rich protein (KAHRP) with erythrocyte ankyrin R is required for its attachment to the erythrocyte membrane. Biochim. Bioph. Acta 2014, 1838 Pt B, 185–192. [Google Scholar] [CrossRef]
- Magowan, C.; Nunomura, W.; Waller, K.L.; Yeung, J.; Liang, J.; Van Dort, H.; Low, P.S.; Coppel, R.L.; Mohandas, N. Plasmodium falciparum histidine-rich protein 1 associates with the band 3 binding domain of ankyrin in the infected red cell membrane. Biochim. Biophys. Acta Mol. Basis Dis. 2000, 1502, 461–470. [Google Scholar] [CrossRef]
- Pei, X.; An, X.; Guo, X.; Tarnawski, M.; Coppel, R.; Mohandas, N. Structural and functional studies of interaction between Plasmodium falciparum knob-associated histidine-rich protein (KAHRP) and erythrocyte spectrin. J. Biol. Chem. 2005, 280, 31166–31171. [Google Scholar] [CrossRef]
- Bennett, B.J.; Mohandas, N.; Coppel, R.L. Defining the minimal domain of the Plasmodium falciparum protein MESA involved in the interaction with the red cell membrane skeletal protein 4.1. J. Biol. Chem. 1997, 272, 15299–15306. [Google Scholar] [CrossRef]
- Lustigman, S.; Anders, R.; Brown, G.; Coppel, R. The mature-parasite-infected erythrocyte surface antigen (MESA) of Plasmodium falciparum associates with the erythrocyte membrane skeletal protein, band 4.1. Mol. Biochem. Parasitol. 1990, 38, 261–270. [Google Scholar] [CrossRef]
- Kilili, G.K.; Shakya, B.; Dolan, P.T.; Wang, L.; Husby, M.L.; Stahelin, R.V.; Nakayasu, E.S.; LaCount, D.J. The Plasmodium falciparum MESA erythrocyte cytoskeleton-binding (MEC) motif binds to erythrocyte ankyrin. Mol. Biochem. Parasitol. 2019, 231, 111189. [Google Scholar] [CrossRef]
- Kats, L.M.; Proellocks, N.I.; Buckingham, D.W.; Blanc, L.; Hale, J.; Guo, X.; Pei, X.; Herrmann, S.; Hanssen, E.G.; Coppel, R.L.; et al. Interactions between Plasmodium falciparum skeleton-binding protein 1 and the membrane skeleton of malaria-infected red blood cells. Biochim. Biophys. Acta 2015, 1848, 1619–1628. [Google Scholar] [CrossRef]
- Blisnick, T.; Vincensini, L.; Barale, J.C.; Namane, A.; Braun Breton, C. LANCL1, an erythrocyte protein recruited to the Maurer’s clefts during Plasmodium falciparum development. Mol. Biochem. Parasitol. 2005, 141, 39–47. [Google Scholar] [CrossRef]
- Oh, S.S.; Voigt, S.; Fisher, D.; Yi, S.J.; LeRoy, P.J.; Derick, L.H.; Liu, S.C.; Chishti, A.H. Plasmodium falciparum erythrocyte membrane protein 1 is anchored to the actin-spectrin junction and knob-associated histidine-rich protein in the erythrocyte skeleton. Mol. Biochem. Parasitol. 2000, 108, 237–247. [Google Scholar] [CrossRef]
- Waller, K.L.; Stubberfield, L.M.; Dubljevic, V.; Nunomura, W.; An, X.; Mason, A.J.; Mohandas, N.; Cooke, B.M.; Coppel, R.L. Interactions of Plasmodium falciparum erythrocyte membrane protein 3 with the red blood cell membrane skeleton. Biochim. Biophys. Acta 2007, 1768, 2145–2156. [Google Scholar] [CrossRef] [PubMed][Green Version]
- Oberli, A.; Zurbrugg, L.; Rusch, S.; Brand, F.; Butler, M.E.; Day, J.L.; Cutts, E.E.; Lavstsen, T.; Vakonakis, I.; Beck, H.P. Plasmodium falciparum PHIST Proteins Contribute to Cytoadherence and Anchor PfEMP1 to the Host Cell Cytoskeleton. Cell Microbiol. 2016, 18, 1415–1428. [Google Scholar] [CrossRef]
- Waller, K.L.; Stubberfield, L.M.; Dubljevic, V.; Buckingham, D.W.; Mohandas, N.; Coppel, R.L.; Cooke, B.M. Interaction of the exported malaria protein Pf332 with the red blood cell membrane skeleton. Biochim. Biophys. Acta 2010, 1798, 861–871. [Google Scholar] [CrossRef] [PubMed]
- Parish, L.A.; Mai, D.W.; Jones, M.L.; Kitson, E.L.; Rayner, J.C. A member of the Plasmodium falciparum PHIST family binds to the erythrocyte cytoskeleton component band 4.1. Malar. J. 2013, 12, 160. [Google Scholar] [CrossRef]
- Shakya, B.; Penn, W.D.; Nakayasu, E.S.; LaCount, D.J. The Plasmodium falciparum exported protein PF3D7_0402000 binds to erythrocyte ankyrin and band 4.1. Mol. Biochem. Parasitol. 2017, 216, 5–13. [Google Scholar] [CrossRef]
- Baruch, D.I.; Gormley, C.M.; Howard, R.J.; Pasloske, B.L. Plasmodium falciparum erythrocyte membrane protein 1 is a parasitized erythrocyte receptor for adherence to CD36, thrombospondin, and intracellular adhesion molecule 1. Proc. Natl. Acad. Sci. USA 1996, 93, 3497–3502. [Google Scholar] [CrossRef]
- Proellocks, N.I.; Herrmann, S.; Buckingham, D.W.; Hanssen, E.; Hodges, E.K.; Elsworth, B.; Morahan, B.J.; Coppel, R.L.; Cooke, B.M. A lysine-rich membrane-associated PHISTb protein involved in alteration of the cytoadhesive properties of Plasmodium falciparum-infected red blood cells. FASEB J. 2014, 28, 3103–3113. [Google Scholar] [CrossRef]
- Diez-Silva, M.; Park, Y.; Huang, S.; Bow, H.; Mercereau-Puijalon, O.; Deplaine, G.; Lavazec, C.; Perrot, S.; Bonnefoy, S.; Feld, M.S.; et al. Pf155/RESA protein influences the dynamic microcirculatory behavior of ring-stage Plasmodium falciparum infected red blood cells. Sci. Rep. 2012, 2, 614. [Google Scholar] [CrossRef]
- Mills, J.P.; Diez-Silva, M.; Quinn, D.J.; Dao, M.; Lang, M.J.; Tan, K.S.; Lim, C.T.; Milon, G.; David, P.H.; Mercereau-Puijalon, O.; et al. Effect of plasmodial RESA protein on deformability of human red blood cells harboring Plasmodium falciparum. Proc. Natl. Acad. Sci. USA 2007, 104, 9213–9217. [Google Scholar] [CrossRef]
- Pei, X.; Guo, X.; Coppel, R.; Mohandas, N.; An, X. Plasmodium falciparum erythrocyte membrane protein 3 (PfEMP3) destabilizes erythrocyte membrane skeleton. J. Biol. Chem. 2007, 282, 26754–26758. [Google Scholar] [CrossRef] [PubMed]
- Rug, M.; Prescott, S.W.; Fernandez, K.M.; Cooke, B.M.; Cowman, A.F. The role of KAHRP domains in knob formation and cytoadherence of P falciparum-infected human erythrocytes. Blood 2006, 108, 370–378. [Google Scholar] [CrossRef] [PubMed]
- Glenister, F.K.; Fernandez, K.M.; Kats, L.M.; Hanssen, E.; Mohandas, N.; Coppel, R.L.; Cooke, B.M. Functional alteration of red blood cells by a megadalton protein of Plasmodium falciparum. Blood 2009, 113, 919–928. [Google Scholar] [CrossRef] [PubMed]
- Hodder, A.N.; Maier, A.G.; Rug, M.; Brown, M.; Hommel, M.; Pantic, I.; Puig-de-Morales-Marinkovic, M.; Smith, B.; Triglia, T.; Beeson, J.; et al. Analysis of structure and function of the giant protein Pf332 in Plasmodium falciparum. Mol. Microbiol. 2009, 71, 48–65. [Google Scholar] [CrossRef]
- Kilili, G.K.; LaCount, D.J. An erythrocyte cytoskeleton-binding motif in exported Plasmodium falciparum proteins. Eukaryotic Cell 2011, 10, 1439–1447. [Google Scholar] [CrossRef][Green Version]
- Keefe, A.D.; Wilson, D.S.; Seelig, B.; Szostak, J.W. One-step purification of recombinant proteins using a nanomolar-affinity streptavidin-binding peptide, the SBP-Tag. Protein. Expr. Purif. 2001, 23, 440–446. [Google Scholar] [CrossRef]
- Cox, J.; Mann, M. MaxQuant enables high peptide identification rates, individualized p.p.b.-range mass accuracies and proteome-wide protein quantification. Nat. Biotechnol. 2008, 26, 1367–1372. [Google Scholar] [CrossRef]
- Choi, H.; Larsen, B.; Lin, Z.Y.; Breitkreutz, A.; Mellacheruvu, D.; Fermin, D.; Qin, Z.S.; Tyers, M.; Gingras, A.C.; Nesvizhskii, A.I. SAINT: Probabilistic scoring of affinity purification-mass spectrometry data. Nat. Methods 2011, 8, 70–73. [Google Scholar] [CrossRef]
- Teo, G.; Liu, G.; Zhang, J.; Nesvizhskii, A.I.; Gingras, A.C.; Choi, H. SAINTexpress: Improvements and additional features in Significance Analysis of INTeractome software. J. Proteom. 2014, 100, 37–43. [Google Scholar] [CrossRef]
- Khadka, S.; Vangeloff, A.D.; Zhang, C.; Siddavatam, P.; Heaton, N.S.; Wang, L.; Sengupta, R.; Sahasrabudhe, S.; Randall, G.; Gribskov, M.; et al. A Physical Interaction Network of Dengue Virus and Human Proteins. Mol. Cell Proteom. 2011, 10, M111.012187. [Google Scholar] [CrossRef]
- Murphy, S.C.; Harrison, T.; Hamm, H.E.; Lomasney, J.W.; Mohandas, N.; Haldar, K. Erythrocyte G protein as a novel target for malarial chemotherapy. PLoS Med. 2006, 3, e528. [Google Scholar] [CrossRef] [PubMed]
- Lavazec, C.; Deplaine, G.; Safeukui, I.; Perrot, S.; Milon, G.; Mercereau-Puijalon, O.; David, P.H.; Buffet, P. Microsphiltration: A microsphere matrix to explore erythrocyte deformability. Methods Mol. Biol. 2013, 923, 291–297. [Google Scholar] [PubMed]
- Ma, H.; Kunes, S.; Schatz, P.J.; Botstein, D. Plasmid construction by homologous recombination in yeast. Gene 1987, 58, 201–216. [Google Scholar] [CrossRef]
- Otto, T.D.; Wilinski, D.; Assefa, S.; Keane, T.M.; Sarry, L.R.; Bohme, U.; Lemieux, J.; Barrell, B.; Pain, A.; Berriman, M.; et al. New insights into the blood-stage transcriptome of Plasmodium falciparum using RNA-Seq. Mol. Microbiol. 2010, 76, 12–24. [Google Scholar] [CrossRef] [PubMed]
- Paulmurugan, R.; Gambhir, S.S. Combinatorial library screening for developing an improved split-firefly luciferase fragment-assisted complementation system for studying protein-protein interactions. Anal. Chem. 2007, 79, 2346–2353. [Google Scholar] [CrossRef]
- Mellacheruvu, D.; Wright, Z.; Couzens, A.L.; Lambert, J.P.; St-Denis, N.A.; Li, T.; Miteva, Y.V.; Hauri, S.; Sardiu, M.E.; Low, T.Y.; et al. The CRAPome: A contaminant repository for affinity purification-mass spectrometry data. Nat. Methods 2013, 10, 730–736. [Google Scholar] [CrossRef]
- Michaely, P.; Bennett, V. The membrane-binding domain of ankyrin contains four independently folded subdomains, each comprised of six ankyrin repeats. J. Biol. Chem. 1993, 268, 22703–22709. [Google Scholar] [CrossRef]
- Acharya, P.; Chaubey, S.; Grover, M.; Tatu, U. An exported heat shock protein 40 associates with pathogenesis-related knobs in Plasmodium falciparum infected erythrocytes. PLoS ONE 2012, 7, e44605. [Google Scholar] [CrossRef]
- Sanyal, S.; Egee, S.; Bouyer, G.; Perrot, S.; Safeukui, I.; Bischoff, E.; Buffet, P.; Deitsch, K.W.; Mercereau-Puijalon, O.; David, P.H.; et al. Plasmodium falciparum STEVOR proteins impact erythrocyte mechanical properties. Blood 2012, 119, e1–e8. [Google Scholar] [CrossRef]
- Boddey, J.A.; Cowman, A.F. Plasmodium nesting: Remaking the erythrocyte from the inside out. Annu. Rev. Microbiol. 2013, 67, 243–269. [Google Scholar] [CrossRef]
- Da Silva, E.D.; Foley, M.; Dluzewski, A.R.; Murray, L.J.; Anders, R.F.; Tilley, L. The Plasmodium falciparum protein RESA interacts with the erythrocyte cytoskeleton and modifies erythrocyte thermal stability. Mol. Biochem. Parasitol. 1994, 66, 59–69. [Google Scholar] [CrossRef]
- Foley, M.; Murray, L.J.; Anders, R.F. The ring-infected erythrocyte surface antigen protein of Plasmodium falciparum is phosphorylated upon association with the host cell membrane. Mol. Biochem. Parasitol. 1990, 38, 69–75. [Google Scholar] [CrossRef]
- Coppel, R.L.; Lustigman, S.; Murray, L.; Anders, R.F. MESA is a Plasmodium falciparum phosphoprotein associated with the erythrocyte membrane skeleton. Mol. Biochem. Parasitol. 1988, 31, 223–232. [Google Scholar] [CrossRef]
- Zhang, M.; Wang, C.; Otto, T.D.; Oberstaller, J.; Liao, X.; Adapa, S.R.; Udenze, K.; Bronner, I.F.; Casandra, D.; Mayho, M.; et al. Uncovering the essential genes of the human malaria parasite Plasmodium falciparum by saturation mutagenesis. Science 2018, 360, eaap7847. [Google Scholar] [CrossRef]
- Jonsdottir, T.K.; Gabriela, M.; Crabb, B.S.; de Koning-Ward, T.F.; Gilson, P.R. Defining the Essential Exportome of the Malaria Parasite. Trends Parasitol. 2021, 37, 664–675. [Google Scholar] [CrossRef] [PubMed]
- An, X.; Takakuwa, Y.; Nunomura, W.; Manno, S.; Mohandas, N. Modulation of Band 3-Ankyrin Interaction by Protein 4.1. J. Biol. Chem. 1996, 271, 33187–33191. [Google Scholar] [CrossRef]
- Low, P.S.; Willardson, B.M.; Mohandas, N.; Rossi, M.; Shohet, S. Contribution of the Band 3-Ankyrin Interaction to Erythrocyte Membrane Mechanical Stability. Blood 1991, 77, 1581–1586. [Google Scholar] [CrossRef]
- Mbengue, A.; Audiger, N.; Vialla, E.; Dubremetz, J.F.; Braun-Breton, C. Novel Plasmodium falciparum Maurer’s clefts protein families implicated in the release of infectious merozoites. Mol. Microbiol. 2013, 88, 425–442. [Google Scholar] [CrossRef]
- Chu, H.; Low, P.S. Mapping of glycolytic enzyme-binding sites on human erythrocyte band 3. Biochem. J. 2006, 400, 143–151. [Google Scholar] [CrossRef]
- Tsai, I.H.; Murthy, S.N.; Steck, T.L. Effect of red cell membrane binding on the catalytic activity of glyceraldehyde-3-phosphate dehydrogenase. J. Biol. Chem. 1982, 257, 1438–1442. [Google Scholar] [CrossRef]
- Puchulu-Campanella, E.; Chu, H.; Anstee, D.J.; Galan, J.A.; Tao, W.A.; Low, P.S. Identification of the components of a glycolytic enzyme metabolon on the human red blood cell membrane. J. Biol. Chem. 2013, 288, 848–858. [Google Scholar] [CrossRef] [PubMed]
- Lux, S.E., IV. Anatomy of the red cell membrane skeleton: Unanswered questions. Blood 2016, 127, 187–199. [Google Scholar] [CrossRef]
- Braun, P.; Tasan, M.; Dreze, M.; Barrios-Rodiles, M.; Lemmens, I.; Yu, H.; Sahalie, J.M.; Murray, R.R.; Roncari, L.; de Smet, A.S.; et al. An experimentally derived confidence score for binary protein-protein interactions. Nat. Methods 2009, 6, 91–97. [Google Scholar] [CrossRef]
- Heiber, A.; Kruse, F.; Pick, C.; Gruring, C.; Flemming, S.; Oberli, A.; Schoeler, H.; Retzlaff, S.; Mesen-Ramirez, P.; Hiss, J.A.; et al. Identification of new PNEPs indicates a substantial non-PEXEL exportome and underpins common features in Plasmodium falciparum protein export. PLoS Pathog. 2013, 9, e1003546. [Google Scholar] [CrossRef] [PubMed]
- Schulze, J.; Kwiatkowski, M.; Borner, J.; Schluter, H.; Bruchhaus, I.; Burmester, T.; Spielmann, T.; Pick, C. The Plasmodium falciparum exportome contains non-canonical PEXEL/HT proteins. Mol. Microbiol. 2015, 97, 301–314. [Google Scholar] [CrossRef] [PubMed]









| P. falciparum Protein | Erythrocyte Protein | Erythrocyte Protein Fragment | Split-Luciferase | Co-Purification/Western | Co-Purification/Mass Spec |
|---|---|---|---|---|---|
| PF3D7_0101200 | ANK1 | FG1, 2, 3 | + | ||
| EPB41 | FG1 | + | |||
| GAPDH | - | + | |||
| PF3D7_0222200 | ADD2 | FG1 | + | ||
| ANK1 | FG1 | + | |||
| GAPDH | - | + | |||
| PF3D7_0301500 | ANK1 | FG1, 2 | + | ||
| TPM1 | - | + | |||
| PF3D7_0301800 | ACTB | - | + | ||
| ADD2 | FG1 | + | |||
| ANK1 | FG1, 2, 3 | + | |||
| PF3D7_0402400 | ANK1 | FG1 | + | ||
| EPB41 | FG1 | + | |||
| EPB42 | FG1 | + | |||
| GAPDH | - | + | |||
| SPTB | N | + | |||
| PF3D7_0532500 | ANK1 | FG1 | + | ||
| ANK1 | FG3 | + | |||
| EPB41 | FG1 | + | + | ||
| PF3D7_0532600 | ANK1 | FG1, 3 | + | + | |
| EPB41 | FG1 | + | + | ||
| EPB42 | FG1 | + | + | ||
| SPTB | N | + | |||
| PF3D7_0800600 | ANK1 | FG1, 3 | + | + | |
| EPB41 | FG1 | + | + | ||
| EPB42 | FG1 | + | + | ||
| PF3D7_1039100 | ANK1 | FG3 | + | + | |
| PF3D7_1401600 | ANK1 | FG1, 3 | + | + | + |
| EPB41 | FG1 | + | |||
| PF3D7_1477300 | ACTB | - | + | ||
| ANK1 | FG1, 2, 3 | + | |||
| EPB42 | FG1 | + |
| Bait Protein | Proteins Detected by Mass Spectrometry | Gene Symbol | Spectral Counts * | Control Spectral Counts * | Fold Enrichment ** | Saint Score | BFDR *** |
|---|---|---|---|---|---|---|---|
| PF3D7_1401600 | Plasmodium-exported protein (PHISTb), unknown function (PF14_0018) | PF3D7_1401600 | 140|91 | 0|0 | 1155 | 1 | 0 |
| Ankyrin 1 | ANK1 | 117|56 | 0|0 | 865 | 1 | 0 | |
| Spectrin alpha, erythrocytic 1 | SPTA1 | 96|45 | 0|0 | 705 | 1 | 0 | |
| spectrin beta, erythrocytic | SPTB | 72|28 | 0|0 | 500 | 1 | 0 | |
| PF3D7_0402400 | Plasmodium-exported protein, unknown function (PFD0115c) | PF3D7_0402400 | 77|41 | 0|0 | 590 | 1 | 0 |
| KRAS proto-oncogene, GTPase; HRas proto-oncogene, GTPase; NRAS | KRAS;HRAS;NRAS | 2|3 | 0|0 | 25 | 1 | 0 | |
| PF3D7_0936400 | Ring-exported protein 4 (REX4) | REX4 | 73|41 | 0|0 | 570 | 1 | 0 |
| PF3D7_1039100 | DNAJ protein, putative (PF10_0381) | PF3D7_1039100 | 78|18 | 0|0 | 480 | 1 | 0 |
| Ankyrin 1 (ANK1) | ANK1 | 18|5 | 0|0 | 115 | 1 | 0 | |
| PF3D7_0532600 | Plasmodium-exported protein, unknown function (PFE1615c) | PF3D7_0532600 | 43|36 | 0|0 | 395 | 1 | 0 |
| PF3D7_0800600 | Plasmodium-exported protein (PHISTa), unknown function (MAL8P1.163) | PF3D7_0800600 | 20|68 | 0|0 | 440 | 1 | 0 |
| PF3D7_0101200 | Plasmodium-exported protein (hyp4), unknown function (PFA0060w) | PF3D7_0101200 | 24|15 | 0|0 | 195 | 1 | 0 |
| PF3D7_0500800 | Plasmodium mature parasite-infected erythrocyte surface antigen (MESA) | MESA | 99|91 | 0|0 | 950 | 1 | 0 |
| Ankyrin 1 | ANK1 | 405|525 | 0|0 | 4650 | 1 | 0 | |
| Spectrin alpha, erythrocytic 1 | SPTA1 | 39|24 | 0|0 | 315 | 1 | 0 | |
| Spectrin beta, erythrocytic | SPTB | 24|19 | 0|0 | 215 | 1 | 0 | |
| Dematin actin binding protein | DMTN | 3|3 | 0|0 | 30 | 1 | 0 | |
| PF3D7_0301500 | Plasmodium-exported protein, unknown function (PFC0075c) | PF3D7_0301500 | 26|19 | 0|0 | 225 | 1 | 0 |
Publisher’s Note: MDPI stays neutral with regard to jurisdictional claims in published maps and institutional affiliations. |
© 2022 by the authors. Licensee MDPI, Basel, Switzerland. This article is an open access article distributed under the terms and conditions of the Creative Commons Attribution (CC BY) license (https://creativecommons.org/licenses/by/4.0/).
Share and Cite
Shakya, B.; Kilili, G.K.; Wang, L.; Nakayasu, E.S.; LaCount, D.J. Identification of Exported Plasmodium falciparum Proteins That Bind to the Erythrocyte Cytoskeleton. Microorganisms 2022, 10, 1438. https://doi.org/10.3390/microorganisms10071438
Shakya B, Kilili GK, Wang L, Nakayasu ES, LaCount DJ. Identification of Exported Plasmodium falciparum Proteins That Bind to the Erythrocyte Cytoskeleton. Microorganisms. 2022; 10(7):1438. https://doi.org/10.3390/microorganisms10071438
Chicago/Turabian StyleShakya, Bikash, Geoffrey Kimiti Kilili, Ling Wang, Ernesto S. Nakayasu, and Douglas J. LaCount. 2022. "Identification of Exported Plasmodium falciparum Proteins That Bind to the Erythrocyte Cytoskeleton" Microorganisms 10, no. 7: 1438. https://doi.org/10.3390/microorganisms10071438
APA StyleShakya, B., Kilili, G. K., Wang, L., Nakayasu, E. S., & LaCount, D. J. (2022). Identification of Exported Plasmodium falciparum Proteins That Bind to the Erythrocyte Cytoskeleton. Microorganisms, 10(7), 1438. https://doi.org/10.3390/microorganisms10071438

