Molecular Detection of Streptococcus downii sp. nov. from Dental Plaque Samples from Patients with Down Syndrome and Non-Syndromic Individuals
Abstract: Background
1. Introduction
2. Materials and Methods
2.1. Design of a Specific PCR for the Bacteriocin Operon
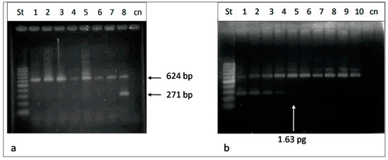
2.2. Validation of the Specific PCR
2.3. Study Population
2.4. Oral Health Condition and Collection of Samples
2.5. Detection of S. downii in Metagenomes of Supragingival Plaque of the “Human Microbiome Project”
3. Results and Discussion
3.1. Prevalence of S. downii in the Oral Cavity of Individuals with Down Syndrome and of the General Population
3.2. Prevalence of S. downii in Metagenomes of Supragingival Plaque of the Human Microbiome Project
3.3. Clinical Results of Individuals with Down Syndrome and of the General Population
4. Conclusions
Supplementary Materials
Author Contributions
Funding
Institutional Review Board Statement
Informed Consent Statement
Data Availability Statement
Conflicts of Interest
References
- GBD 2017 Disease and Injury Incidence and Prevalence Collaborators. Global, regional, and national incidence, prevalence, and years lived with disability for 354 diseases and injuries for 195 countries and territories, 1990–2017: A systematic analysis for the Global Burden of Disease Study 2017. Lancet 2018, 392, 1789–1858, published correction appears in Lancet 2019, 393, e44. [Google Scholar] [CrossRef] [Green Version]
- Mira, A.; Simon-Soro, A.; Curtis, M.A. Role of microbial communities in the pathogenesis of periodontal diseases and caries. J. Clin. Periodontol. 2017, 44, S23–S38. [Google Scholar] [CrossRef] [PubMed] [Green Version]
- Gross, E.L.; Beall, C.J.; Kutsch, S.R.; Firestone, N.D.; Leys, E.J.; Griffen, A.L. Beyond Streptococcus mutans: Dental caries onset linked to multiple species by 16S rRNA community analysis. PLoS ONE 2012, 7, e47722. [Google Scholar] [CrossRef] [PubMed]
- Tong, H.; Chen, W.; Merritt, J.; Qi, F.; Shi, W.; Dong, X. Streptococcus oligofermentans inhibits Streptococcus mutans through conversion of lactic acid into inhibitory H2O2: A possible counteroffensive strategy for interspecies competition. Mol. Microbiol. 2007, 63, 872–880. [Google Scholar] [CrossRef]
- Huang, X.; Palmer, S.R.; Ahn, S.J.; Richards, V.P.; Williams, M.L.; Nascimento, M.M.; Burne, R.A. A Highly Arginolytic Streptococcus Species That Potently Antagonizes Streptococcus mutans. Appl. Environ. Microbiol. 2016, 82, 2187–2201. [Google Scholar] [CrossRef] [Green Version]
- Huang, X.; Browngardt, C.M.; Jiang, M.; Ahn, S.J.; Burne, R.A.; Nascimento, M.M. Diversity in antagonistic interactions between commensal oral streptococci and Streptococcus mutans. Caries Res. 2018, 52, 88–101. [Google Scholar] [CrossRef]
- Wescombe, P.A.; Heng, N.C.; Burton, J.P.; Tagg, J.R. Something Old and Something New: An Update on the Amazing Repertoire of Bacteriocins Produced by Streptococcus salivarius. Probiotics Antimicrob. Proteins 2010, 2, 37–45. [Google Scholar] [CrossRef]
- Camelo-Castillo, A.; Benítez-Páez, A.; Belda-Ferré, P.; Cabrera-Rubio, R.; Mira, A. Streptococcus dentisani sp. nov., a novel member of the Mitis group. Int. J. Syst. Appl. Microbiol. 2014, 64, 60–65. [Google Scholar] [CrossRef]
- López-López, A.; Camelo-Castillo, A.; Ferrer, M.D.; Simon-Soro, Á.; Mira, A. Health-Associated Niche Inhabitants as Oral Probiotics: The Case of Streptococcus dentisani. Front. Microbiol. 2017, 8, 379. [Google Scholar] [CrossRef]
- Bull, M.J. Down Syndrome. N. Engl. J. Med. 2020, 382, 2344–2352. [Google Scholar] [CrossRef]
- Mubayrik, A.B. The Dental Needs and Treatment of Patients with Down Syndrome. Dent. Clin. N. Am. 2016, 60, 613–626. [Google Scholar] [CrossRef] [PubMed]
- Deps, T.D.; Angelo, G.L.; Martins, C.C.; Paiva, S.M.; Pordeus, I.A.; Borges-Oliveira, A.C. Association between Dental Caries and Down Syndrome: A Systematic Review and Meta-Analysis. PLoS ONE 2015, 10, e0127484. [Google Scholar] [CrossRef] [PubMed]
- Moreira, M.J.; Schwertner, C.; Jardim, J.J.; Hashizume, L.N. Dental caries in individuals with Down syndrome: A systematic review. Int. J. Paediatr. Dent. 2016, 26, 3–12. [Google Scholar] [CrossRef] [PubMed]
- Robertson, M.D.; Schwendicke, F.; de Araujo, M.P.; Radford, J.R.; Harris, J.C.; McGregor, S.; Innes, N.P.T. Dental caries experience, care index and restorative index in children with learning disabilities and children without learning disabilities; a systematic review and meta-analysis. BMC Oral Health 2019, 19, 146. [Google Scholar] [CrossRef] [Green Version]
- Silva, M.C.P.M.D.; Lyra, M.C.A.; Almeida, H.C.R.; Alencar Filho, A.V.; Heimer, M.V.; Rosenblatt, A. Caries experience in children and adolescents with Down Syndrome: A systematic review and meta-analysis. Arch. Oral Biol. 2020, 115, 104715. [Google Scholar] [CrossRef]
- Bhoopathi, V.; Tellez, M. Limited quality evidence suggests children and adolescents with down syndrome have lower prevalence of dental caries compared to non-syndromic children. J. Evid. Based Dent. Pract. 2021, 21, 101571. [Google Scholar] [CrossRef]
- Martínez-Lamas, L.; Limeres-Posse, J.; Diz-Dios, P.; Álvarez-Fernández, M. Streptococcus downii sp. nov., isolated from the oral cavity of a teenager with Down syndrome. Int. J. Syst. Evol. Microbiol. 2020, 70, 4098–4104. [Google Scholar] [CrossRef]
- Cuenca, M.; Sánchez, M.C.; Diz, P.; Martínez-Lamas, L.; Álvarez, M.; Limeres, J.; Sanz, M.; Herrera, D. In Vitro Anti-Biofilm and Antibacterial Properties of Streptococcus downii sp. nov. Microorganisms 2021, 9, 450. [Google Scholar] [CrossRef]
- Ramfjord, S.P. Indices for Prevalence and Incidence of Periodontal Disease. J. Periodontol. 1959, 30, 51–59. [Google Scholar] [CrossRef] [Green Version]
- O’Leary, T.J.; Drake, R.B.; Naylor, J.E. The plaque control record. J. Periodontol. 1972, 43, 38. [Google Scholar] [CrossRef]
- Pitts, N.B. ‘ICDAS’—An international system for caries detection and assessment being developed to facilitate caries epidemiology, research and appropriate clinical management. Community Dent. Health 2004, 21, 193–198. [Google Scholar]
- Chapple, I.L.C.; Mealey, B.L.; Van Dyke, T.E.; Bartold, P.M.; Dommisch, H.; Eickholz, P.; Geisinger, M.L.; Genco, R.J.; Glogauer, M.; Goldstein, M.; et al. Periodontal health and gingival diseases and conditions on an intact and a reduced periodontium: Consensus report of workgroup 1 of the 2017 World Workshop on the Classification of Periodontal and Peri-Implant Diseases and Conditions. J. Clin. Periodontol. 2018, 45, S68–S77. [Google Scholar] [CrossRef] [PubMed]
- Tonetti, M.S.; Greenwell, H.; Kornman, K.S. Staging and grading of periodontitis: Framework and proposal of a new classification and case definition. J. Periodontol. 2018, 89, S159–S172, Erratum in: J. Periodontol. 2018, 89, 1475. [Google Scholar] [CrossRef] [PubMed] [Green Version]
- NIH Human Microbiome Project—Home [WWW Document], n.d. URL. Available online: https://www.hmpdacc.org/ (accessed on 5 January 2022).
- Kurtz, S.; Phillippy, A.; Delcher, A.L.; Smoot, M.; Shumway, M.; Antonescu, C.; Salzberg, S.L. Versatile and open software for comparing large genomes. Genome Biol. 2004, 5, R12. [Google Scholar] [CrossRef] [PubMed] [Green Version]
- Pritchard, L.; Glover, R.H.; Humphris, S.; Elphinstone, J.G.; Toth, I.K. Genomics and taxonomy in diagnostics for food security: Soft-rotting enterobacterial plant pathogens. Anal. Methods 2016, 8, 12–24. [Google Scholar] [CrossRef]
- Richter, M.; Rosselló-Móra, R. Shifting the genomic gold standard for the prokaryotic species definition. Proc. Natl. Acad. Sci. USA 2009, 106, 19126–19131. [Google Scholar] [CrossRef] [Green Version]
- Gabaldón, T. Comparative genomics-based prediction of protein function. Methods Mol. Biol. 2008, 439, 387–401. [Google Scholar] [CrossRef]
- Kommineni, S.; Bretl, D.J.; Lam, V.; Chakraborty, R.; Hayward, M.; Simpson, P.; Cao, Y.; Bousounis, P.; Kristich, C.J.; Salzman, N.H. Bacteriocin Production Augments Niche Competition by Enterococci in the Mammalian Gastrointestinal Tract. Nature 2015, 526, 719–722. [Google Scholar] [CrossRef] [Green Version]
- Nissen-Meyer, J.; Rogne, P.; Oppegård, C.; Haugen, H.S.; Kristiansen, P.E. Structure-function relationships of the non-lanthionine-containing peptide (class II) bacteriocins produced by gram-positive bacteria. Curr. Pharm. Biotechnol. 2009, 10, 19–37. [Google Scholar] [CrossRef]
- Pentoscope. WO2018096118—Antimicrobial Strain. Available online: https://patentscope.wipo.int/search/es/detail.jsf?docId=WO2018096118&_cid=P21-KYAEJ2-26113-1 (accessed on 1 December 2021).
- Conrads, G.; Westenberger, J.; Lürkens, M.; Abdelbary, M.M.H. Isolation and Bacteriocin-Related Typing of Streptococcus dentisani. Front. Cell. Infect. Microbiol. 2019, 9, 110. [Google Scholar] [CrossRef]
- Janda, J.M.; Abbott, S.L. 16S rRNA gene sequencing for bacterial identification in the diagnostic laboratory: Pluses, perils, and pitfalls. J. Clin. Microbiol. 2007, 45, 2761–2764. [Google Scholar] [CrossRef] [PubMed] [Green Version]
- López-Santacruz, H.D.; López-López, A.; Revilla-Guarinos, A.; Camelo-Castillo, A.; Esparza-Villalpando, V.; Mira, A.; Aranda-Romo, S. Streptococcus dentisani is a common inhabitant of the oral microbiota worldwide and is found at higher levels in caries-free individuals. Int. Microbiol. 2021, 24, 619–629. [Google Scholar] [CrossRef] [PubMed]
- Złoch, M.; Rodzik, A.; Pauter, K.; Szultka-Młyńska, M.; Rogowska, A.; Kupczyk, W.; Pomastowski, P.; Buszewski, B. Problems with identifying and distinguishing salivary streptococci: A multi-instrumental approach. Future Microbiol. 2020, 15, 1157–1171. [Google Scholar] [CrossRef] [PubMed]
- van Heel, A.J.; de Jong, A.; Song, C.; Viel, J.H.; Kok, J.; Kuipers, O.P. BAGEL4: A user-friendly web server to thoroughly mine RiPPs and bacteriocins. Nucleic Acids Res. 2018, 46, W278–W281. [Google Scholar] [CrossRef]
- Konstantinidis, K.T.; Tiedje, J.M.; 2005. Genomic insights that advance the species definition for prokaryotes. Proc. Natl. Acad. Sci. USA 2005, 102, 2567–2572. [Google Scholar] [CrossRef] [PubMed] [Green Version]
- Goris, J.; Konstantinidis, K.T.; Klappenbach, J.A.; Coenye, T.; Vandamme, P.; Tiedje, J.M. DNA-DNA hybridization values and their relationship to whole-genome sequence similarities. Int. J. Syst. Evol. Microbiol. 2007, 57, 81–91. [Google Scholar] [CrossRef] [Green Version]
- Olm, M.R.; Crits-Christoph, A.; Diamond, S.; Lavy, A.; Matheus Carnevali, P.B.; Banfield, J.F. Consistent Metagenome-Derived Metrics Verify and Delineate Bacterial Species Boundaries. mSystems 2020, 5, e00731-19. [Google Scholar] [CrossRef] [Green Version]
- Schubert, M.; Ginolhac, A.; Lindgreen, S.; Thompson, J.F.; Al-Rasheid, K.A.S.; Willerslev, E.; Krogh, A.; Orlando, L. Improving ancient DNA read mapping against modern reference genomes. BMC Genom. 2012, 13, 178. [Google Scholar] [CrossRef] [Green Version]
- Vigild, M. Dental caries experience among children with down’s syndrome. J. Ment. Defic. Res. 1986, 30, 271–276. [Google Scholar]
- Areias, C.; Sampaio-Maia, B.; Pereira Mde, L.; Azevedo, A.; Melo, P.; Andrade, C.; Scully, C. Reduced salivary flow and colonization by mutans streptococci in children with Down syndrome. Clinics 2012, 67, 1007–1011. [Google Scholar] [CrossRef]
- Scalioni, F.; Carrada, C.; Machado, F.; Devito, K.; Ribeiro, L.C.; Cesar, D.; Ribeiro, R. Salivary density of Streptococcus mutans and Streptococcus sobrinus and dental caries in children and adolescents with Down syndrome. J. Appl. Oral Sci. 2017, 25, 250–257. [Google Scholar] [CrossRef] [PubMed] [Green Version]
- Cogulu, D.; Sabah, E.; Uzel, A.; Ozkinay, F. Genotyping of Streptococcus mutans by using arbitrarily primed polymerase chain reaction in children with Down Syndrome. Arch. Oral Biol. 2006, 51, 177–182. [Google Scholar] [CrossRef] [PubMed]
- Morinushi, T.; Lopatin, D.E.; Van Poperin, N. The relationship between gingivitis and the serum antibodies to the microbiota associated with periodontal disease in children with Down's syndrome. J. Periodontol. 1997, 68, 626–631. [Google Scholar] [CrossRef] [PubMed] [Green Version]
- Lopez-Pérez, R.; Borges-Yáñez, S.A.; Jiménez-García, G.; Maupomé, G. Oral hygiene, gingivitis, and periodontitis in persons with Down syndrome. Spec. Care Dent. 2002, 22, 214–220. [Google Scholar] [CrossRef]
- Sakellari, D.; Arapostathis, K.N.; Konstantinidis, A. Periodontal conditions and subgingival microflora in Down syndrome patients. A case-control study. J. Clin. Periodontol. 2005, 32, 684–690. [Google Scholar] [CrossRef]
- Martinez-Martinez, R.E.; Loyola-Rodriguez, J.P.; Bonilla-Garro, S.E.; Patiño-Marin, N.; Haubek, D.; Amano, A.; Poulsen, K. Characterization of periodontal biofilm in Down syndrome patients: A comparative study. J. Clin. Pediatr. Dent. 2013, 37, 289–295. [Google Scholar] [CrossRef]
- Khocht, A.; Albandar, J.M. Aggressive forms of periodontitis secondary to systemic disorders. Periodontol. 2000 2014, 65, 134–148. [Google Scholar] [CrossRef]
- Willis, J.R.; Iraola-Guzmán, S.; Saus, E.; Ksiezopolska, E.; Cozzuto, L.; Bejarano, L.A.; Andreu-Somavilla, N.; Alloza-Trabado, M.; Puig-Sola, A.; Blanco, A.; et al. Oral microbiome in Down syndrome and its implications on oral health. J. Oral Microbiol. 2020, 13, 1865690. [Google Scholar] [CrossRef]
- Nóvoa, L.; Sánchez, M.D.C.; Blanco, J.; Limeres, J.; Cuenca, M.; Marín, M.J.; Sanz, M.; Herrera, D.; Diz, P. The Subgingival Microbiome in Patients with Down Syndrome and Periodontitis. J. Clin. Med. 2020, 9, 2482. [Google Scholar] [CrossRef]
- Tanaka, M.H.; Rodrigues, T.O.; Finoti, L.S.; Teixeira, S.R.; Mayer, M.P.; Scarel-Caminaga, R.M.; Giro, E.M. The effect of conventional mechanical periodontal treatment on red complex microorganisms and clinical parameters in Down syndrome periodontitis patients: A pilot study. Eur. J. Clin. Microbiol. Infect Dis. 2015, 34, 601–608. [Google Scholar] [CrossRef]
- CDC. Antibiotic Resistance Threats in the United States, 2019; U.S. Department of Health and Human Services, CDC: Atlanta, GA, USA, 2019. [Google Scholar]
- Chiniforush, N.; Pourhajibagher, M.; Parker, S.; Benedicenti, S.; Bahador, A.; Sălăgean, T.; Bordea, I.R. The Effect of Antimicrobial Photodynamic Therapy Using Chlorophyllin–Phycocyanin Mixture on Enterococcus faecalis: The Influence of Different Light Sources. Appl. Sci. 2020, 10, 4290. [Google Scholar] [CrossRef]
- Hoare, A.; Marsh, P.D.; Diaz, P.I. Ecological Therapeutic Opportunities for Oral Diseases. Microbiol. Spectr. 2017, 5. [Google Scholar] [CrossRef] [PubMed]


| ORF id | Contig | ORF Start | ORF End | Strand | Description |
|---|---|---|---|---|---|
| gene_00016 | contig_1 | 13439 | 13582 | + | Class IIb bacteriocin, lactobin A/cerein 7B family |
| gene_00017 | contig_1 | 13598 | 13756 | + | Bacteriocin-type signal sequence domain-containing protein |
| gene_00019 | contig_1 | 14153 | 14308 | + | Class IIb bacteriocin, lactobin A/cerein 7B family protein |
| gene_00020 | contig_1 | 14347 | 14559 | + | Bacteriocin immunity protein |
| gene_00022 | contig_1 | 14853 | 15062 | + | Bacteriocin immunity protein |
| gene_00024 | contig_1 | 15745 | 17898 | + | Peptide cleavage/export ABC transporter |
| gene_00402 | contig_6 | 58328 | 58624 | − | Bacteriocin immunity protein |
| gene_00657 | contig_6 | 307826 | 309934 | − | Bacteriocin-associated integral membrane family protein |
| gene_00673 | contig_6 | 326623 | 326919 | − | Bacteriocin immunity protein |
| gene_01111 | contig_8 | 277351 | 277698 | − | Thiol reductase thioredoxin |
| gene_01818 | contig_9 | 605338 | 606096 | + | Bacteriocin ABC transporter ATP-binding protein |
| (a) | |||||
| Age (Years) | Dental Plaque (n) | Caries (n) | Gingivitis (n) | Periodontal Disease (n) | Total (n) |
| 0–5 | 1 | 2 | 0 | 0 | 13 |
| 6–10 | 12 | 7 | 9 | 2 | 20 |
| 11–15 | 13 | 2 | 15 | 6 | 22 |
| 16–20 | 28 | 19 | 32 | 12 | 42 |
| 21–25 | 25 | 14 | 26 | 13 | 34 |
| 26–30 | 25 | 22 | 33 | 19 | 38 |
| 31–35 | 7 | 6 | 13 | 9 | 14 |
| 36–40 | 7 | 6 | 8 | 3 | 10 |
| 41–45 | 2 | 2 | 4 | 4 | 4 |
| 46–50 | 0 | 0 | 1 | 1 | 1 |
| 51–55 | 0 | 1 | 2 | 2 | 2 |
| 56–60 | 0 | 0 | 0 | 0 | 0 |
| Total | 120 | 81 | 143 | 71 | 200 |
| (b) | |||||
| Age (Years) | Dental Plaque (n) | Caries (n) | Gingivitis (n) | Periodontal Disease (n) | Total (n) |
| 0–5 | 1 | 1 | 1 | 0 | 3 |
| 6–10 | 9 | 7 | 8 | 0 | 11 |
| 11–15 | 14 | 9 | 14 | 0 | 16 |
| 16–20 | 10 | 9 | 9 | 9 | 10 |
| 21–25 | 15 | 15 | 15 | 15 | 28 |
| 26–30 | 8 | 1 | 6 | 1 | 11 |
| 31–35 | 2 | 1 | 2 | 1 | 2 |
| 36–40 | 12 | 6 | 7 | 2 | 14 |
| 41–45 | 3 | 1 | 3 | 3 | 3 |
| 46–50 | 1 | 1 | 1 | 1 | 1 |
| 51–55 | 0 | 0 | 0 | 0 | 0 |
| 56–60 | 1 | 0 | 0 | 0 | 1 |
| Total | 76 | 51 | 66 | 32 | 100 |
Publisher’s Note: MDPI stays neutral with regard to jurisdictional claims in published maps and institutional affiliations. |
© 2022 by the authors. Licensee MDPI, Basel, Switzerland. This article is an open access article distributed under the terms and conditions of the Creative Commons Attribution (CC BY) license (https://creativecommons.org/licenses/by/4.0/).
Share and Cite
García-Mato, E.; Martínez-Lamas, L.; Álvarez-Fernández, M.; Varela-Aneiros, I.; Diniz-Freitas, M.; Limeres-Posse, J.; Diz-Dios, P. Molecular Detection of Streptococcus downii sp. nov. from Dental Plaque Samples from Patients with Down Syndrome and Non-Syndromic Individuals. Microorganisms 2022, 10, 1098. https://doi.org/10.3390/microorganisms10061098
García-Mato E, Martínez-Lamas L, Álvarez-Fernández M, Varela-Aneiros I, Diniz-Freitas M, Limeres-Posse J, Diz-Dios P. Molecular Detection of Streptococcus downii sp. nov. from Dental Plaque Samples from Patients with Down Syndrome and Non-Syndromic Individuals. Microorganisms. 2022; 10(6):1098. https://doi.org/10.3390/microorganisms10061098
Chicago/Turabian StyleGarcía-Mato, Eliane, Lucía Martínez-Lamas, Maximiliano Álvarez-Fernández, Iván Varela-Aneiros, Marcio Diniz-Freitas, Jacobo Limeres-Posse, and Pedro Diz-Dios. 2022. "Molecular Detection of Streptococcus downii sp. nov. from Dental Plaque Samples from Patients with Down Syndrome and Non-Syndromic Individuals" Microorganisms 10, no. 6: 1098. https://doi.org/10.3390/microorganisms10061098
APA StyleGarcía-Mato, E., Martínez-Lamas, L., Álvarez-Fernández, M., Varela-Aneiros, I., Diniz-Freitas, M., Limeres-Posse, J., & Diz-Dios, P. (2022). Molecular Detection of Streptococcus downii sp. nov. from Dental Plaque Samples from Patients with Down Syndrome and Non-Syndromic Individuals. Microorganisms, 10(6), 1098. https://doi.org/10.3390/microorganisms10061098

