A Loop-Mediated Isothermal Amplification (LAMP) Assay Specific to Trichomonas tenax Is Suitable for Use at Point-of-Care
Abstract
1. Introduction
2. Materials and Methods
2.1. Cells and Culture
2.2. LAMP Reaction
2.3. PCR Reaction
2.4. Limit of Detection and Specificity
2.5. Analytical Sensitivity of Spiked Samples
2.6. Analysis of Canine Samples
3. Results
3.1. Development of LAMP Assay
3.2. Newly Developed LAMP Assay Is More Sensitive Than PCR
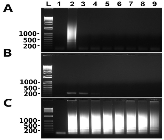
3.3. Newly Developed LAMP Assay Is Specific
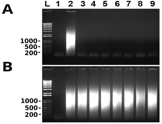
3.4. Newly Developed LAMP Assay Can Detect T. tenax without Prior DNA Extraction
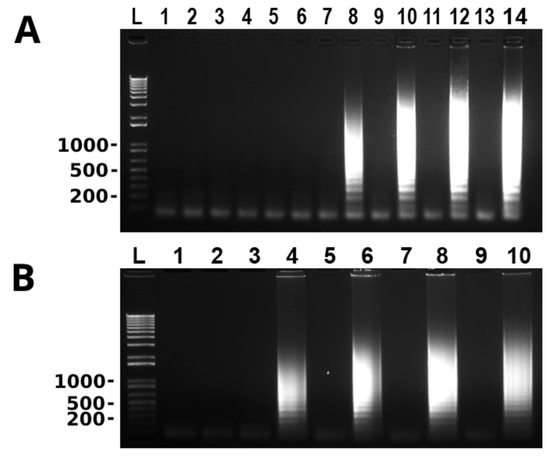
3.5. Direct Detection of T. tenax Spiked Saliva and Clinically Collected Canine Samples
4. Discussion
5. Conclusions
Supplementary Materials
Author Contributions
Funding
Institutional Review Board Statement
Informed Consent Statement
Data Availability Statement
Acknowledgments
Conflicts of Interest
References
- Kikuta, N.; Yamamoto, A.; Fukura, K.; Goto, N. Specific and sensitive detection of Trichomonas tenax by the polymerase chain reaction. Lett. Appl. Microbiol. 1997, 24, 193–197. [Google Scholar] [CrossRef] [PubMed]
- Dybicz, M.; Perkowski, K.; Sędzikowska, A.; Baltaza, W.; Chomicz, L. Studies on prevalence of infection with Trichomonas tenax identified by molecular techniques—In respect to oral health of patients with various systemic disease requiring immunosuppressive therapy. Ann. Parasitol. 2018, 64, 193–197. [Google Scholar] [PubMed]
- Szczepaniak, K.; Łojszczyk-Szczepaniak, A.; Tomczuk, K.; Skrzypek, T.; Lisiak, B.; Abbass, Z. Canine Trichomonas tenax mandibular gland infestation. Acta Vet. Scand. 2015, 58, 15. [Google Scholar] [CrossRef]
- Bracamonte-Wolf, C.; Orrego, P.R.; Muñoz, C.; Herrera, D.; Bravo, J.; Gonzalez, J.; Varela, H.; Catalán, A.; Araya, J.E. Observational cross-sectional study of Trichomonas tenax in patients with periodontal disease attending a Chilean university dental clinic. BMC Oral Health 2019, 19, 207. [Google Scholar] [CrossRef]
- Marty, M.; Lemaitre, M.; Kemoun, P.; Morrier, J.-J.; Monsarrat, P. Trichomonas tenax and periodontal diseases: A concise review. Parasitology 2017, 144, 1417–1425. [Google Scholar] [CrossRef] [PubMed]
- Duboucher, C.; Mogenet, M.; Périé, G. Salivary trichomoniasis. A case report of infestation of a submaxillary gland by Trichomonas tenax. Arch. Pathol. Lab. Med. 1995, 119, 277–279. [Google Scholar] [PubMed]
- Duboucher, C.; Farto-Bensasson, F.; Chéron, M.; Peltier, J.Y.; Beaufils, F.; Périé, G. Lymph node infection by Trichomonas tenax: Report of a case with co-infection by Mycobacterium tuberculosis. Hum. Pathol. 2000, 31, 1317–1321. [Google Scholar] [CrossRef]
- Yao, C.; Ketzis, J.K. Aberrant and accidental trichomonad flagellate infections: Rare or underdiagnosed? Trans. R. Soc. Trop. Med. Hyg. 2018, 112, 64–72. [Google Scholar] [CrossRef] [PubMed]
- Mallat, H.; Podglajen, I.; Lavarde, V.; Mainardi, J.-L.; Frappier, J.; Cornet, M. Molecular Characterization of Trichomonas tenax Causing Pulmonary Infection. J. Clin. Microbiol. 2004, 42, 3886–3887. [Google Scholar] [CrossRef] [PubMed]
- Eslahi, A.V.; Olfatifar, M.; Abdoli, A.; Houshmand, E.; Johkool, M.G.; Zarabadipour, M.; Abadi, P.A.; Ghorbani, A.; Mirzadeh, M.; Badri, M. The Neglected Role of Trichomonas tenax in Oral Diseases: A Systematic Review and Meta-analysis. Acta Parasitol. 2021, 66, 715–732. [Google Scholar] [CrossRef] [PubMed]
- Yaseen, A.; Mahafzah, A.; Dababseh, D.; Taim, D.; Hamdan, A.A.; Al-Fraihat, E.; Hassona, Y.; Şahin, G.Ö.; Santi-Rocca, J.; Sallam, M. Oral Colonization by Entamoeba gingivalis and Trichomonas tenax: A PCR-Based Study in Health, Gingivitis, and Periodontitis. Front. Cell. Infect. Microbiol. 2021, 11, 782805. [Google Scholar] [CrossRef] [PubMed]
- Patel, N.; Colyer, A.; Harris, S.; Holcombe, L.; Andrew, P.; Harris, S. The Prevalence of Canine Oral Protozoa and Their Association with Periodontal Disease. J. Eukaryot. Microbiol. 2017, 64, 286–292. [Google Scholar] [CrossRef] [PubMed]
- Kellerová, P.; Tachezy, J. Zoonotic Trichomonas tenax and a new trichomonad species, Trichomonas brixi n.sp., from the oral cavities of dogs and cats. Int. J. Parasitol. 2017, 47, 247–255. [Google Scholar] [CrossRef]
- Suleman, E.; Mtshali, M.S.; Lane, E. Investigation of false positives associated with loop-mediated isothermal amplification assays for detection of Toxoplasma gondii in archived tissue samples of captive felids. J. Vet. Diagn. Investig. 2016, 28, 536–542. [Google Scholar] [CrossRef] [PubMed]
- Notomi, T.; Okayama, H.; Masubuchi, H.; Yonekawa, T.; Watanabe, K.; Amino, N.; Hase, T. Loop-mediated isothermal amplification of DNA. Nucleic Acids Res. 2000, 28, e63. [Google Scholar] [CrossRef] [PubMed]
- Reyes, J.C.B.; Solon, J.A.A.; Rivera, W.L. Development of a loop-mediated isothermal amplification assay for detection of Trichomonas vaginalis. Diagn. Microbiol. Infect. Dis. 2014, 79, 337–341. [Google Scholar] [CrossRef] [PubMed]
- Ranjbar, R.; Afshar, D. Development of a loop-mediated isothermal amplification assay for rapid detection of Yersinia enterocolitica via targeting a conserved locus. Iran J. Microbiol. 2015, 7, 185–190. [Google Scholar] [PubMed]
- Adao, D.E.V.; Rivera, W.L. Loop-mediated isothermal amplification (LAMP) assay for the rapid detection of the sexually-transmitted parasite, Trichomonas vaginalis. Ann. Parasitol. 2016, 62, 25–31. [Google Scholar] [PubMed]
- Nagai, K.; Horita, N.; Yamamoto, M.; Tsukahara, T.; Nagakura, H.; Tashiro, K.; Shibata, Y.; Watanabe, H.; Nakashima, K.; Ushio, R.; et al. Diagnostic test accuracy of loop-mediated isothermal amplification assay for Mycobacterium tuberculosis: Systematic review and meta-analysis. Sci. Rep. 2016, 6, 39090. [Google Scholar] [CrossRef]
- Kato, H.; Yoshida, A.; Ansai, T.; Watari, H.; Notomi, T.; Takehara, T. Loop-mediated isothermal amplification method for the rapid detection of Enterococcus faecalis in infected root canals. Oral Microbiol. Immunol. 2007, 22, 131–135. [Google Scholar] [CrossRef]
- Diamond, L.S.; Bartgis, I.L. Axenic Cultivation of Trichomonas tenax, the Oral Flagellate of Man I. Establishment of Cultures. J. Protozool. 1962, 9, 442–444. [Google Scholar] [CrossRef] [PubMed]
- Jin, Y.; Du, A.; Yao, C. Clinical bovine isolates of Tritrichomonas foetus in Wyoming, South Dakota and Montana, USA. BMC Vet. Res. 2020, 16, 12. [Google Scholar] [CrossRef]
- Ribeiro, L.C.; Santos, C.; Benchimol, M. Is Trichomonas tenax a Parasite or a Commensal? Protist 2015, 166, 196–210. [Google Scholar] [CrossRef] [PubMed]
- Nagamine, K.; Hase, T.; Notomi, T. Accelerated reaction by loop-mediated isothermal amplification using loop primers. Mol. Cell. Probes 2002, 16, 223–229. [Google Scholar] [CrossRef] [PubMed]
- Krasteva, D.; Toubiana, M.; Hartati, S.; Kusumawati, A.; Dubremetz, J.; Widada, J.S. Development of loop-mediated isothermal amplification (LAMP) as a diagnostic tool of toxoplasmosis. Vet. Parasitol. 2009, 162, 327–331. [Google Scholar] [CrossRef] [PubMed]
- Kapalamula, T.F.; Thapa, J.; Akapelwa, M.L.; Hayashida, K.; Gordon, S.V.; Ombe, B.M.H.; Munyeme, M.; Solo, E.S.; Bwalya, P.; Nyenje, M.E.; et al. Development of a loop-mediated isothermal amplification (LAMP) method for specific detection of Mycobacterium bovis. PLoS Negl. Trop. Dis. 2021, 15, e0008996. [Google Scholar] [CrossRef] [PubMed]
- De Lira Nunes, M.; Mendes-Marques, C.L.; de Almeida, A.M.P.; Leal, N.C. The Development of a Loop-Mediated Isothermal Amplification (LAMP) Procedure for Plague Diagnostic. Am. J. Anal. Chem. 2014, 5, 1069–1077. [Google Scholar] [CrossRef]
- Chen, H.-W.; Weissenberger, G.; Ching, W.-M. Development of Lyophilized Loop-Mediated Isothermal Amplification Reagents for the Detection of Leptospira. Mil. Med. 2016, 181, 227–231. [Google Scholar] [CrossRef]
- Kaneko, H.; Kawana, T.; Fukushima, E.; Suzutani, T. Tolerance of loop-mediated isothermal amplification to a culture medium and biological substances. J. Biochem. Biophys. Methods 2007, 70, 499–501. [Google Scholar] [CrossRef] [PubMed]
- Schneider, L.; Blakely, H.; Tripathi, A. Mathematical model to reduce loop mediated isothermal amplification (LAMP) false-positive diagnosis. Electrophoresis 2019, 40, 2706–2717. [Google Scholar] [CrossRef]
- Hardinge, P.; Murray, J.A.H. Reduced False Positives and Improved Reporting of Loop-Mediated Isothermal Amplification using Quenched Fluorescent Primers. Sci. Rep. 2019, 9, 7400. [Google Scholar] [CrossRef]






| Name of Primer | Primer Sequence (5′–3′) |
|---|---|
| FIP (forward inner primer) | GTCATGATGTATGCAACTCCGG-TCCTCACACGATGAAGAACG |
| BIP (backward inner primer) | GGTTAATCTTTGAATGCAAATTGCG-TGTACTGTTACACGCATGCTTCT |
| LF (forward loop primer) | ACATTATGCCACGTTCTTCATCG |
| LB (backward loop primer) | TGCGCTAAACTTGGCTTCGG |
| F3 (forward outer primer) | AGCAATGGATGTCTTGGC |
| B3 (backward outer primer) | GCAGACAACGTAAGTTTGT |
Publisher’s Note: MDPI stays neutral with regard to jurisdictional claims in published maps and institutional affiliations. |
© 2022 by the authors. Licensee MDPI, Basel, Switzerland. This article is an open access article distributed under the terms and conditions of the Creative Commons Attribution (CC BY) license (https://creativecommons.org/licenses/by/4.0/).
Share and Cite
Matthew, M.A.; Christie, J.; Yang, N.; Yao, C. A Loop-Mediated Isothermal Amplification (LAMP) Assay Specific to Trichomonas tenax Is Suitable for Use at Point-of-Care. Microorganisms 2022, 10, 594. https://doi.org/10.3390/microorganisms10030594
Matthew MA, Christie J, Yang N, Yao C. A Loop-Mediated Isothermal Amplification (LAMP) Assay Specific to Trichomonas tenax Is Suitable for Use at Point-of-Care. Microorganisms. 2022; 10(3):594. https://doi.org/10.3390/microorganisms10030594
Chicago/Turabian StyleMatthew, Maurice A., Jevan Christie, Nawu Yang, and Chaoqun Yao. 2022. "A Loop-Mediated Isothermal Amplification (LAMP) Assay Specific to Trichomonas tenax Is Suitable for Use at Point-of-Care" Microorganisms 10, no. 3: 594. https://doi.org/10.3390/microorganisms10030594
APA StyleMatthew, M. A., Christie, J., Yang, N., & Yao, C. (2022). A Loop-Mediated Isothermal Amplification (LAMP) Assay Specific to Trichomonas tenax Is Suitable for Use at Point-of-Care. Microorganisms, 10(3), 594. https://doi.org/10.3390/microorganisms10030594

