Investigation of the Antibacterial, Anti-Biofilm, and Antioxidative Effect of Piper betle Leaf Extract against Bacillus gaemokensis MW067143 Isolated from Dental Caries, an In Vitro-In Silico Approach
Abstract
1. Introduction
2. Results
2.1. Isolation, Purification, and Characterization of Bacterial Flora from Caries Samples
2.2. Phytochemical Screening of P. betle Extract
2.3. TLC Analysis of P. betle Extract
2.4. FTIR Analysis of P. betle Extract
2.5. GC-MS Analysis of P. betle Extract
2.6. Minimum Inhibitory Concentration (MIC)
2.7. Antibacterial Activity of P. betle Extract
2.8. Isolation and Purification of Bioactive Compound from P. betle Extract
2.9. Estimation of Antioxidative Enzymes
2.10. Time-Kill Assay
2.11. Inhibition and Demolition of B. gaemokensis Biofilm
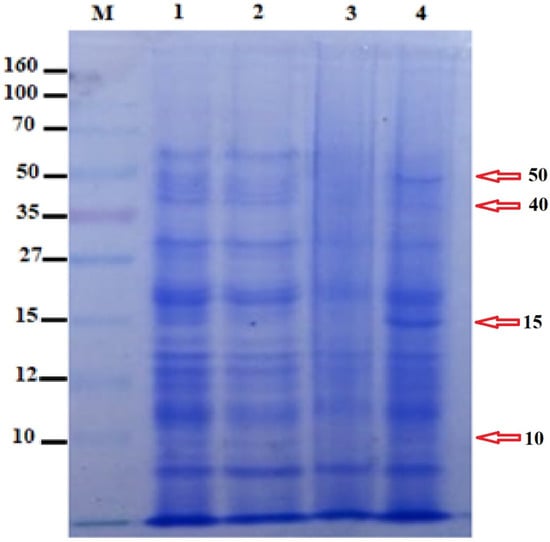
2.12. Protein Estimation
2.13. Scanning Electron Microscopy
2.14. In Silico Studies
2.14.1. Network Pharmacology
2.14.2. Molecular Docking
3. Discussion
4. Materials and Methods
4.1. Sample Collection Criteria and Sampling Details
4.1.1. Inclusive Criteria
4.1.2. Exclusive Criteria
4.1.3. Calculation of Dental Caries Scoring for the Selection of Patients
4.1.4. Collection of Samples
Saliva Samples
Swab Method
4.2. Isolation and Characterization of Bacterial Flora from Caries Samples
4.3. Molecular Characterization of Selected Bacteria
4.4. Preparation of Plant Extract
4.5. Phytochemical Screening of P. betle Extract
4.6. Thin Layer Chromatography (TLC) Analysis of P. betle Extract
4.7. Fourier Transform Infrared Spectroscopy (FTIR) Analysis of P. betle Leaf Extract
4.8. Gas Chromatography–Mass Spectrometry (GC-MS) Analysis of P. betle Leaf Extract
4.9. Minimum Inhibitory Concentration (MIC)
4.10. Screening of Antibacterial Activity
4.11. Isolation and Purification of Bioactive Compound from P. betle Extract
4.12. Time-Kill Assay
4.13. Assay for Antioxidative Enzymes
4.14. Biofilm Experiments
4.14.1. Growth of Biofilms
4.14.2. Inhibition of Established Biofilm
4.14.3. Demolishing the Established Biofilm
4.15. Protein Estimation
4.15.1. Bradford Assay
4.15.2. Protein Estimation by SDS-PAGE
4.16. Scanning Electron Microscopy (SEM)
4.17. In silico Studies
4.17.1. Network Pharmacology Studies
Retrieval of Bioactive Compounds of P. betle Extract
Development of PPI Network
GO and KEGG Pathway Enrichment Analysis
4.17.2. Molecular Docking Analysis
Selection and Preparation of Targets and Ligands
Molecular Docking Analysis
4.18. Statistical Analysis
5. Conclusions
Author Contributions
Funding
Institutional Review Board Statement
Informed Consent Statement
Data Availability Statement
Acknowledgments
Conflicts of Interest
References
- Schwiertz, A. Microbiota of the Human Body: Implications in Health and Disease; Schwiertz, A., Ed.; Springer International Publishing: Cham, Switzerland, 2016; Volume 902. [Google Scholar]
- Tuominen, H.; Rautava, J. Oral microbiota and cancer development. Pathobiology 2021, 88, 116–126. [Google Scholar] [CrossRef] [PubMed]
- Mosaddad, S.A.; Tahmasebi, E.; Yazdanian, A.; Rezvani, M.B.; Seifalian, A.; Yazdanian, M.; Tebyanian, H. Oral microbial biofilms: An update. Eur. J. Clin. Microbiol. Infect. Dis. 2019, 38, 2005–2019. [Google Scholar] [CrossRef] [PubMed]
- Kuang, X.; Chen, V.; Xu, X. Novel approaches to the control of oral microbial biofilms. BioMed. Res. Int. 2018, 2018, 6498932. [Google Scholar] [CrossRef] [PubMed]
- Deo, P.N.; Deshmukh, R. Oral microbiome: Unveiling the fundamentals. J. Oral. Maxillofac. Pathol. 2019, 23, 122–128. [Google Scholar] [PubMed]
- Rosier, B.T.; Marsh, P.D.; Mira, A. Resilience of the oral microbiota in health: Mechanisms that prevent dysbiosis. J. Dent. Res. 2018, 97, 371–380. [Google Scholar] [CrossRef] [PubMed]
- Zhu, J.; Chu, W.; Luo, J.; Yang, J.; He, L.; Li, J. Dental materials for oral microbiota dysbiosis: An update. Front. Cell. Infect. Microbiol. 2022, 12, 900918. [Google Scholar] [CrossRef] [PubMed]
- United Nations General Assembly. Political Declaration of the High-level Meeting of the General Assembly on the Prevention and Control of Noncommunicable Diseases. Resolution A/66/L1. In Proceedings of the United Nations Resolutions and Decisions 66th Session of the United Nations General Assembly, New York, NY, USA, 13–18 September 2012. [Google Scholar]
- GBD 2017 Disease and Injury Incidence and Prevalence Collaborators. Global, regional, and national incidence, prevalence, and years lived with disability for 354 diseases and injuries for 195 countries and territories, 1990–2017: A systematic analysis for the Global Burden of Disease Study 2017. Lancet 2018, 10, 1789–1858. [Google Scholar]
- GBD 2017 Oral Disorders Collaborators; Bernabe, E.; Marcenes, W.; Hernandez, C.R.; Bailey, J.; Abreu, L.G.; Alipour, V.; Amini, S.; Arabloo, J.; Arefi, Z.; et al. Global, regional, and national levels and trends in burden of oral conditions from 1990 to 2017: A systematic analysis for the global burden of disease 2017 study. J. Dent. Res. 2020, 99, 362–373. [Google Scholar]
- Rocha, G.R.; Sims, K.R., Jr.; Xiao, B.; Klein, M.I.; Benoit, D.S.W. Nanoparticle carrier co-delivery of complementary antibiofilm drugs abrogates dual species cariogenic biofilm formation in vitro. J. Oral Microbiol. 2022, 14, 1997230. [Google Scholar] [CrossRef]
- Zhou, N.; Zhu, H.; Chen, Y.; Jiang, W.; Lin, X.; Tu, Y.; Chen, D.; Chen, H. Dental caries and associated factors in 3 to 5-year-old children in Zhejiang Province, China: An epidemiological survey. BMC Oral Health 2019, 19, 9–17. [Google Scholar] [CrossRef]
- Al Agili, D.E.; Alaki, S.M. Can socioeconomic status indicators predict caries risk in schoolchildren in Saudi Arabia? a cross-sectional study. Oral Health Prev. Dent. 2014, 12, 277–288. [Google Scholar] [PubMed]
- Geleto, A.; Sinba, E.; Ali, M.M. Dental caries and associated factors among patients visiting Shashamane Comprehensive Specialized Hospital. PLoS ONE 2022, 17, e0265000. [Google Scholar] [CrossRef] [PubMed]
- Al-Zahrani, A.; Al-Qahtani, M.; Al-Barti, M.; Bakhurji, E.A. Dietary determinants of dental caries prevalence and experience in Saudi schoolchildren: Frequency versus quantity. Sci. World J. 2022, 2022, 5447723. [Google Scholar] [CrossRef] [PubMed]
- Sakaue, Y.; Takenaka, S.; Ohsumi, T.; Domon, H.; Terao, Y.; Noiri, Y. The effect of chlorhexidine on dental calculus formation: An in vitro study. BMC Oral Health 2018, 18, 52–58. [Google Scholar] [CrossRef] [PubMed]
- Manipal, S.; Hussain, S.; Wadgave, U.; Duraiswamy, P.; Ravi, K. The mouthwash war—chlorhexidine vs. herbal mouth rinses: A meta-analysis. J. Clin. Diagn. Res. 2016, 10, 81–83. [Google Scholar] [CrossRef]
- Moghadam, E.T.; Yazdanian, M.; Tahmasebi, E.; Tebyanian, H.; Ranjbar, R.; Yazdanian, A.; Seifalian, A.; Tafazoli, A. Current herbal medicine as an alternative treatment in dentistry: In vitro, in vivo and clinical studies. Eur. J. Pharmacol. 2020, 889, 173665–173688. [Google Scholar] [CrossRef]
- Pradhan, D.; Suri, K.A.; Pradhan, D.K.; Biswasroy, P. Golden heart of the nature: Piper betle L. J. Pharmacogn. Phytochem. 2013, 1, 147–167. [Google Scholar]
- Shehthi, K.J.; Rashid, P.; Begum, M.; Rahman, M.O. Morphoanatomical profile of five species of Piper L. from Bangladesh and its taxonomic significance. Bangladesh J. Plant Taxon. 2019, 26, 57–68. [Google Scholar] [CrossRef]
- Vernekar, A.A.; Vijayalaxmi, K.G. Nutritional composition of fresh and dehydrated betel leaves. Pharma Innovat. J. 2019, 8, 602–605. [Google Scholar]
- Nouri, L.; Nafchi, A.M.; Karim, A.A. Phytochemical, antioxidant, antibacterial, and α-amylase inhibitory properties of different extracts from betel leaves. Ind. Crops Prod. 2014, 62, 47–52. [Google Scholar] [CrossRef]
- Shah, S.K.; Garg, G.; Jhade, D.; Patel, N. Piper betel: Phytochemical and nutritional value in health management. Int. J. Pharm. Rev. Res. 2016, 38, 181–189. [Google Scholar]
- Palmer, R.J. Composition and development of oral bacterial communities. Periodontology 2000 2014, 64, 20–39. [Google Scholar] [CrossRef]
- Gao, L.; Xu, T.; Huang, G.; Jinag, S.; Gu, Y.; Chen, F. Oral microbiomes: More and more importance in oral cavity and whole body. Protein Cell. 2018, 9, 488–500. [Google Scholar] [CrossRef]
- Rath, S.; Bal, S.C.B.; Dubey, D. Oral biofilm: Development mechanism, multidrug resistance, and their effective management with novel techniques. Rambam. Maimonides Med. J. 2021, 12, e0004. [Google Scholar] [CrossRef] [PubMed]
- Chinsembu, K.C. Plants and other natural products used in the management of oral infections and improvement of oral health. Acta Trop. 2016, 154, 6–18. [Google Scholar] [CrossRef] [PubMed]
- Listl, S.; Galloway, J.; Mossey, P.A.; Marcenes, W. Global economic impact of dental diseases. J. Dent. Res. 2015, 94, 1355–1361. [Google Scholar] [CrossRef]
- Burne, R.A.; Marquis, R.E. Alkali production by oral bacteria and protection against dental caries. FEMS Microbiol. Lett. 2000, 193, 1–6. [Google Scholar] [CrossRef]
- Chugh, P.; Dutt, R.; Sharma, A.; Bhagat, N.; Dhar, M.S. A critical appraisal of the effects of probiotics on oral health. J. Funct. Food. 2020, 70, 10398–10407. [Google Scholar] [CrossRef]
- Azmi, A.H.; Adnan, S.N.A.; Malik, N.A. The prevalence of Staphylococcus aureus in the oral cavity of healthy adults in Malaysia. Sains Malays. 2020, 49, 583–591. [Google Scholar] [CrossRef]
- Bunting, R.W.; Palmerlee, F. The role of Bacillus acidophilus in dental caries. J. Am. Dent. Assoc. 1925, 12, 381–413. [Google Scholar]
- Moore, R.E. The immunology of dental caries. Dentoscope 1938, 18, 10–12. [Google Scholar]
- Wang, H.; Ren, D. Controlling Streptococcus mutans and Staphylococcus aureus biofilms with direct current and chlorhexidine. AMB Expr. 2017, 7, 204–212. [Google Scholar] [CrossRef] [PubMed]
- Duanis-Assaf, D.; Steinberg, D.; Shemesh, M. Efficiency of Bacillus subtilis metabolism of sugar alcohols governs its probiotic effect against cariogenic Streptococcus mutans. Artif. Cells Nanomed. Biotechnol. 2020, 48, 1222–1230. [Google Scholar] [CrossRef] [PubMed]
- Tang, X.; Kudo, Y.; Baker, J.L.; LaBonte, S.; Jordan, P.A.; McKinnie, S.M.; Guo, J.; Huan, T.; Moore, B.S.; Edlund, A. Cariogenic Streptococcus mutans produces tetramic acid strain-specific antibodies that impair commensal colonization. ACS Infect. Dis. 2020, 6, 563–571. [Google Scholar] [CrossRef] [PubMed]
- Khalid, G.S.; Hamrah, M.H.; Ghafray, E.S.; Hosseini, S.; Almasi, F. Antibacterial and antimicrobial effects of xanthorrhizol in the prevention of dental caries: A systematic review. Drug Des. Dev. Ther. 2021, 15, 1149–1156. [Google Scholar] [CrossRef]
- Huang, H.; Chen, L.; Nie, Z.; Zhang, X.; Yi, G.; Wu, S.; Wang, J.; Zhou, J.; Li, Z. Untargeted metabolomics analysis for a strain of Bacillus subtilis isolated from the oral cavity. Int. J. Clin. Exp. Med. 2018, 11, 3729–3739. [Google Scholar]
- Matthews, E.; Atkinson, H.F.; Saunsbury, P.; Clegg, H.W. The relation of Staph pyogenes to dental caries. Br. Med. J. 1949, 1, 54–56. [Google Scholar] [CrossRef][Green Version]
- Vellappally, S.; Divakar, D.D.; Kheraif, A.A.A.; Ramakrishnaiah, R.; Alqahtani, A.; Dalati, M.H.N.; Anil, S.; Khan, A.A.; Varma, P.R.H. Occurrence of vancomycin-resistant Staphylococcus aureus in the oral cavity of patients with dental caries. Acta Microbiol. Immunol. Hung. 2017, 64, 343–351. [Google Scholar] [CrossRef]
- Al-Akwa, A.A.Y.; Zabara, A.Q.M.Q.; Al-Shamahy, H.A.; Al-Labani, M.A.; Al-Ghaffari, K.M.; Al-Mortada, A.M.; Al-Haddad, A.M.; Al-Sharani, A.A. Prevalence of Staphylococcus aureus in dental infections and the occurrence of MRSA in isolates. Univers. J. Pharm. Res. 2020, 5, 23–27. [Google Scholar] [CrossRef]
- Donkor, E.S.; Kotey, F.C.N. Methicillin-resistant Staphylococcus aureus in the oral cavity: Implications for antibiotic prophylaxis and surveillance. Infect. Dis. Res. Treat. 2020, 13, 1–8. [Google Scholar] [CrossRef]
- Conrads, G.; de Soet, J.J.; Song, L.; Henne, K.; Sztajer, H.; Wagner-Döbler, I.; Zeng, A.-P. Comparing the cariogenic species Streptococcus sobrinus and S. mutans on whole genome level. J. Oral Microbiol. 2014, 6, 26189. [Google Scholar] [CrossRef] [PubMed]
- Oda, Y.; Hayashi, F.; Okada, M. Longitudinal study of dental caries incidence with Streptococcus mutans and Streptococcus sobrinus in patients with intellectual disabilities. BMC Oral Health 2015, 15, 102–106. [Google Scholar] [CrossRef] [PubMed]
- Lima, A.B.M.; Leão-Vasconcelos, L.S.N.O.; Costa, D.d.M.; Vilefort, L.O.R.; André, M.C.D.P.B.; Barbosa, M.A.; Prado-Palos, M.A. Pseudomonas spp. isolated from the oral cavity of healthcare workers from an oncology hospital in Midwestern Brazil. Rev. Inst. Med. Trop. 2015, 57, 513–514. [Google Scholar] [CrossRef] [PubMed]
- Ohara-Nemoto, Y.; Haraga, H.; Kimura, S.; Nemoto, T.K. Occurrence of staphylococci in the oral cavities of healthy adults and nasal-oral trafficking of the bacteria. J. Med. Microbiol. 2008, 57, 95–99. [Google Scholar] [CrossRef]
- Badet, C.; Thebaud, N.B. Ecology of lactobacilli in the oral cavity: A review of literature. Open Microbiol. J. 2008, 2, 38–48. [Google Scholar] [CrossRef]
- Majed, R.; Faille, C.; Kallassy, M.; Michel, G. Bacillus cereus biofilm—Same, only different. Front. Microbiol. 2016, 7, 1054–1069. [Google Scholar] [CrossRef]
- Nairdorf, I.J. Clinical microbiology in endodontics. Dent. Clin. N. Am. 1974, 18, 329–344. [Google Scholar] [CrossRef]
- You, X.-L.; Wang, S.-G.; Zeng, S.; Che, C.-X.; Zhou, J.-Y.; Wang, J.-J.; Li, Z.-Q.; He, X.-Y. In vitro inhibitive activity of metabolites of Bacillus subtilis isolated from oral cavity. J. Oral Sci. Res. 2015, 31, 991–994. [Google Scholar]
- Alghamdi, S. Isolation and identification of the oral bacterial and their characterization for bacteriocin production in the oral cavity. Saudi J. Biol. Sci. 2022, 29, 318–323. [Google Scholar] [CrossRef]
- Jain, K.; Parida, S.; Mangwani, N.; Dash, H.R.; Das, S. Isolation and characterization of biofilm-forming bacteria and associated extracellular polymeric substance from oral cavity. Ann. Microbiol. 2013, 63, 1553–1562. [Google Scholar] [CrossRef]
- Shaw, J. Clinical syndromes and cardinal features of infectious diseases: Approach to diagnosis and initial management. 25—Infections of the oral cavity. In Principles and Practice of Pediatric Infectious Diseases. Section C: Oral Infections and Upper and Middle Respiratory Tract Infections. Part II, 4th ed.; Long, S.S., Ed.; Elsevier Inc.: Amsterdam, The Netherlands, 2012; pp. 190–196. [Google Scholar]
- Bowman, F.B. Ulcero-membranous stomatitis and gingivitis among troops: Its cause and treatment. Proc. R. Soc. Med. 1916, 9, 51–60. [Google Scholar] [CrossRef] [PubMed]
- Rostinawati, T.; Aryani, H.; Iskander, Y. Identification of bacteria causing dental caries through genetic testing and activity assay of toothpastes. J. Pharm. Sci. Res. 2018, 10, 511–513. [Google Scholar]
- Tucker, W.H. The possible relation of aciduric and acidogenic micro-organisms to dental caries. J. Infect. Dis. 1932, 51, 444–459. [Google Scholar] [CrossRef]
- Reda, F.M.; Hassanein, W.A.; Moabed, S.; El-Shaiey, S.N. Potential exploitation of Bacillus flexus biofilm against the cowpea weevil, Callosobruchuc maculatus (F.) (Coleoptera; Bruchidae). Egypt. J. Biol. Pest. Control 2020, 30, 18–24. [Google Scholar] [CrossRef]
- Yamane, K.; Ogawa, K.; Yoshida, M.; Hayashi, H.; Nakamura, T.; Yamanaka, T.; Tamaki, T.; Hojoh, H.; Leung, K.-P.; Fukushima, H. Identification and characterization of clinically isolated biofilm-forming Gram-positive rods from teeth associated with persistent apical periodontitis. J. Endodont. 2009, 35, 347–352. [Google Scholar] [CrossRef] [PubMed]
- Jung, M.Y.; Paek, W.K.; Park, I.-S.; Han, J.-R.; Sin, Y.; Paek, J.; Rhee, M.-S.; Kim, H.; Song, H.S.; Chang, Y.-H. Bacillus gaemokensis sp. Nov., isolated from foreshore tidal flat sediment from the Yellow Sea. J. Microbiol. 2010, 48, 867–871. [Google Scholar] [CrossRef]
- Syahidah, A.; Saad, C.R.; Hassan, M.D.; Rukayadi, Y.; Norazian, M.H.; Kamarudin, M.S. Phytochemical analysis, identification and quantification of antibacterial active compounds in Betel Leaves, Piper betle methanolic extract. Pak. J. Biol. Sci. 2017, 20, 70–81. [Google Scholar] [CrossRef] [PubMed][Green Version]
- Sarma, C.; Rasane, P.; Kaur, S.; Singh, J.; Singh, J.; Gat, Y.; Garba, U.; Kaur, D.; Dhawan, K. Antioxidant and antimicrobial potential of selected varieties of Piper betle L. (Betel leaf). Ann. Acad. Bras. Cienc. 2018, 90, 3871–3878. [Google Scholar] [CrossRef]
- Lubis, R.R.; Marlisa; Wahyuni, D.D. Antibacterial activity of betle leaf (Piper betle L.) extract on inhibiting Staphylococcus aureus in conjunctivitis patient. Am. J. Clin. Exp. Immunol. 2020, 9, 1–5. [Google Scholar]
- Ermawati, F.U.; Sari, R.; Putri, N.P.; Rohmawati, L.; Kusumawati, D.H.; Munasir; Supardi, Z.A.I. Antimicrobial activity analysis of Piper betle Linn leaves extract from Nganjuk, Sidoarjo and Batu against Escherichia coli, Salmonella sp., Staphylococcus aureus and Pseudomonas aeruginosa. J. Phys. Conf. Ser. 2021, 1951, 012004. [Google Scholar] [CrossRef]
- Colombo, A.P.V.; Tanner, A.C.R. The role of bacterial biofilms in dental caries and periodontal and peri-implant disease: A historical perspective. J. Dent. Res. 2019, 98, 373–385. [Google Scholar] [CrossRef] [PubMed]
- Aara, A.; Chappidi, V.; Ramadas, N. High pressure thin layer chromatography (HPLTC) fingerprint profile of eugenol from Piper betel leaf extract. Eur. J. Pharm. Med. Res. 2019, 6, 321–325. [Google Scholar]
- Singh, T.P.; Chauhan, G.; Agrawal, R.K.; Mendiratta, S.K. In vitro study on antimicrobial, antioxidant, FT-IR and GC–MS/MS analysis of Piper betle L. leaves extracts. Food Meas. 2019, 13, 466–475. [Google Scholar] [CrossRef]
- Vlamakis, H.; Aguilar, C.; Losick, R.; Kolter, R. Control of cell fate by the formation of an architecturally complex bacterial community. Genes Dev. 2008, 22, 945–953. [Google Scholar] [CrossRef] [PubMed]
- Gingichashvili, S.; Duanis-Assaf, D.; Shemesh, M.; Featherstone, J.D.B.; Feuerstein, O.; Steinberg, D. The adaptive morphology of Bacillus subtilis biofilms: A defense mechanism against bacterial starvation. Microorganisms 2020, 8, 62. [Google Scholar] [CrossRef] [PubMed]
- Leme, A.F.P.; Koo, H.; Bellato, C.M.; Bedi, G.; Cury, J.A. The role of sucrose in cariogenic dental biofilm formation—New insight. J. Dent. Res. 2006, 85, 878–887. [Google Scholar] [CrossRef]
- Marsh, P.D. Sugar, fluoride, pH and microbial homeostasis in dental plaque. Proc. Finn. Dent. Soc. 1991, 87, 515–525. [Google Scholar]
- Bowen, W.H. Do we need to be concerned about dental caries in the coming millennium? Crit. Rev. Oral Biol. Med. 2002, 13, 126–131. [Google Scholar] [CrossRef]
- Fathilah, A.R. Piper betle L. and Psidium guajava L. in oral health maintenance. J. Med. Plants Res. 2011, 5, 156–163. [Google Scholar]
- Rahman, S.; Wadud, A.; Islam, T.; Hussain, S.; Bristy, E.M.S.; Tuhin, A.M. Evaluation of antibacterial activity of Piper betel leaves and Nigella sativa seeds against multidrug resistant food and water borne pathogenic bacteria: An in vitro study model. Microbiol. Res. Int. J. 2017, 22, 1–11. [Google Scholar] [CrossRef]
- Teanpaisan, R.; Kawsud, P.; Pahumunto, N.; Puripattanavong, J. Screening for antibacterial and antibiofilm activity in Thai medicinal plant extracts against oral microorganisms. J. Trad. Complement. Med. 2017, 7, 172–177. [Google Scholar] [CrossRef] [PubMed]
- Ali, A.Y.; Lim, X.F.; Wahida, P. The fundamental study of antimicrobial activity of Piper betle extract in commercial toothpastes. J. Herb. Med. 2018, 14, 29–34. [Google Scholar] [CrossRef]
- Datta, A.; Ghoshdastidar, S.; Singh, M. Antimicrobial property of Piper betel leaf against clinical isolates of bacteria. IJPSR 2011, 2, 104–109. [Google Scholar]
- Taukooraha, U.; Lall, N.; Mahomoodally, F. Piper betle L. (betel quid) shows bacteriostatic, additive, and synergistic antimicrobial action when combined with conventional antibiotics. S. Afr. J. Bot 2016, 105, 133–140. [Google Scholar] [CrossRef]
- Rahal, A.; Kumar, A.; Singh, V.; Yadav, B.; Tiwari, R.; Chakraborty, S.; Dhama, K. Oxidative stress, prooxidants, and antioxidants: The interplay. BioMed. Res. Int. 2014, 2014, 761264. [Google Scholar] [CrossRef]
- Savsani, H.; Srivastava, A.; Gupta, S.; Patel, K. Strengthening antioxidant defense and cardio protection by Piper betle: An in-vitro study. Heliyon 2020, 6, e03041. [Google Scholar] [CrossRef]
- Abrahim, N.N.; Kanthimathi, M.S.; Abdul-Aziz, A. Piper betle shows antioxidant activities, inhibits MCF-7 cell proliferation and increases activities of catalase and superoxide dismutase. Comp. Alt. Med. 2012, 12, 220–231. [Google Scholar] [CrossRef]
- Aksakal, A. Analysis of whole cell protein profiles of Salmonella serovars isolated from chicken, turkey and sheep faeces by SDS-PAGE. Vet. Med. 2010, 55, 259–263. [Google Scholar] [CrossRef]
- Anas, K.; Jayasree, P.R.; Vijayakumar, T.; Kumar, P.R.M. In vitro antibacterial activity of Psidium guajava Linn. leaf extract on clinical isolates of multidrug resistant Staphylococcus aureus. Indian J. Exp. Biol. 2008, 46, 41–46. [Google Scholar]
- Cloete, T.E.; Thantsha, M.S.; Maluleke, M.R.; Kirkpatrick, R. The antimicrobial mechanism of electrochemically activated water against Pseudomonas aeruginosa and Escherichia coli as determined by SDS-PAGE analysis. J. Appl. Microbiol. 2009, 107, 379–384. [Google Scholar] [CrossRef]
- Lv, F.; Liang, H.; Yuan, Q.; Li, C. In vitro antimicrobial effects and mechanism of action of selected plant essential oil combinations against four food-related microorganisms. Food Res. Int. 2011, 44, 3057–3064. [Google Scholar] [CrossRef]
- Ramasamy, S.P.; Rajendran, A.; Pallikondaperumal, M.; Sundararajan, P.; Husain, F.M.; Khan, A.; Hakeem, M.J.; Alyousef, A.A.; Albalawi, T.; Alam, P.; et al. Broad-spectrum antimicrobial, antioxidant, and anticancer studies of leaf extract of Simarouba glauca DC in vitro. Antibiotics 2022, 11, 59. [Google Scholar] [CrossRef] [PubMed]
- Payne, D.J.; Miller, W.H.; Berry, V.; Brosky, J.; Burgess, W.J.; Chen, E.; DeWolf, W.E.; Fosberry, A.P.; Greenwood, R.; Head, M.S.; et al. Discovery of a novel and potent class of FabI-directed antibacterial agents. Antimicrob. Agents Chemother. 2002, 46, 3118–3124. [Google Scholar] [CrossRef] [PubMed]
- Erickson, H.P.; Anderson, D.E.; Osawa, M. FtsZ in bacterial cytokinesis: Cytoskeleton and force generator all in one. Microbiol. Mol. Biol. Rev. 2010, 74, 504–528. [Google Scholar] [CrossRef] [PubMed]
- Cheesbrough, M. Biochemical tests to identify bacteria. In District Laboratory Practice in Tropical Countries; Part 2; Cambridge University Press: Cambridge, UK, 2001; pp. 63–70. [Google Scholar]
- Klein, H.; Palmer, C.E.; Knutson, J.W. Studies on dental caries: I. Dental status and dental needs of elementary school children. Pub. Health Rep. 1938, 53, 751–765. [Google Scholar] [CrossRef]
- Wilson, K. Preparation of genomic DNA from bacteria. Curr. Protoc. Mol. Biol. 2001, 56, 2.4.1–2.4.5. [Google Scholar] [CrossRef] [PubMed]
- Sambrook, J.; Russell, D. Molecular Cloning: A Laboratory Manual, 3rd ed.; Cold Spring Harbor Laboratory Press: Cold Spring Harbor, NY, USA, 2001. [Google Scholar]
- Kumar, S.; Stecher, G.; Tamura, K. MEGA7: Molecular evolutionary genetics analysis version 7.0 for bigger datasets. Mol. Biol. Evol. 2016, 33, 1870–1874. [Google Scholar] [CrossRef]
- Abol-Fotouh, D.; AlHagar, O.E.A.; Hassan, M.A. Optimization, purification, and biochemical characterization of thermoalkaliphilic lipase from a novel Geobacillus stearothermophilus fmr12 for detergent formulations. Int. J. Biol. Macromol. 2021, 181, 125–135. [Google Scholar] [CrossRef] [PubMed]
- Singh, D.; Narayanamoorthy, S.; Gamre, S.; Majumdar, A.G.; Goswami, M.; Gami, U.; Cherian, S.; Subramanian, M. Hydroxychavicol, a key ingredient of Piper betle induces bacterial cell death by DNA damage and inhibition of cell division. Free Radic. Biol. Med. 2018, 120, 62–71. [Google Scholar] [CrossRef] [PubMed]
- Harborne, A.J. Phytochemical Methods a Guide to Modern Techniques of Plant Analysis; Springer Science Business Media: Berlin, Germany, 1998. [Google Scholar]
- Ahamed, T.; Rahman, S.K.M.; Shohael, A.M. Thin layer chromatographic profiling and phytochemical screening of six medicinal plants in Bangladesh. Int. J. Biosci. 2017, 11, 131–140. [Google Scholar]
- Wulandari, L.; Retnaningtyas, Y.; Nuri, U.; Lukman, H. Analysis of flavonoid in medicinal plant extract using infrared spectroscopy and chemometrics. J. Anal. Methods Chem. 2016, 2016, 1–7. [Google Scholar] [CrossRef] [PubMed]
- Rukhsana, M.S.; Doss, A.; Rani, K.P.T.P. Phytochemical screening and GC-MS analysis of leaf extract of Pergularia daemia (Forssk) Chiov. Asian J. Plant Sci. Res. 2017, 7, 9–15. [Google Scholar]
- Wikler, M.A. Methods for dilution antimicrobial susceptibility tests for bacteria that grow aerobically: Approved standard. CLSI 2006, 26, M7–A7. [Google Scholar]
- Okeke, M.I.; Iroegbu, C.U.; Eze, E.N.; Okoli, A.S.; Esimone, C.O. Evaluation of extracts of the root of Landolphia owerrience for antibacterial activity. J. Ethanopharmacol. 2001, 78, 119–127. [Google Scholar] [CrossRef] [PubMed]
- Khan, N.A.; Dubey, C.; Srivastava, A. A triterpenoid saponin from the seeds of Ricinus communis. In Proceedings of the 14th International Electronic Conference on Synthetic Organic Chemistry, Basel, Switzerland, 1–30 November 2010; Volume 11–30, pp. 1–10. [Google Scholar]
- Shamim, S.; Rehman, A.; Qazi, M.H. Cadmium resistance mechanism in the bacteria Cupriavidus metallidurans CH34 and Pseudomonas putida mt2. Arch. Environ. Contam. Toxicol. 2014, 67, 149–157. [Google Scholar] [CrossRef]
- Beauchamp, C.; Fridovich, I. Superoxide dismutase: Improved assays and an assay applicable to acrylamide gels. Anal. Biochem. 1971, 44, 276–287. [Google Scholar] [CrossRef]
- Reuveni, R.; Shimoni, M.; Karchi, Z.; Kuc, J. Peroxidase activity as a biochemical marker for resistance of muskmelon Cucumis melo to Pseudopernospora cubensis. Phytopathology 1992, 82, 749–753. [Google Scholar] [CrossRef]
- Nakano, Y.; Asada, K. Purification of ascorbate peroxidase in spinach chloroplasts: Its inactivation in ascorbate depleted medium and reactivation by monodehydroascorbate radical. Plant Cell Physiol. 1987, 28, 131–140. [Google Scholar]
- Luck, F.H. Catalase. In Methods of Enzymatic Analysis; Academic Press: New York, NY, USA, 1965; pp. 885–894. [Google Scholar]
- Rao, M.V.; Paliyath, G.; Ormrod, D.P. Ultraviolet-B and ozone induced biochemical changes in antioxidative enzymes of Arabidopsis thaliana. Plant Physiol. 1996, 110, 125–136. [Google Scholar] [CrossRef]
- Mohsenipour, Z.; Hassanshahian, M. The effects of Allium sativum extracts in biofilm formation and activities of six pathogenic bacteria. Jundishapur J. Microbiol. 2015, 8, e18971. [Google Scholar] [CrossRef]
- Bradford, M. A rapid and sensitive method for the quantitation of microgram quantities of protein utilizing the principle of protein-dye binding. Anal. Biochem. 1976, 72, 248–254. [Google Scholar] [CrossRef] [PubMed]
- Laemmli, U.K. Cleavage of structural proteins during the assembly of the head of bacteriophage T4. Nature 1970, 227, 680–685. [Google Scholar] [CrossRef] [PubMed]
- Connell, S.; Li, J.; Shi, R. Synergistic bactericidal activity between hyperosmotic stress and membrane-disrupting nanoemulsions. J. Med. Microbiol. 2013, 62, 69–77. [Google Scholar] [CrossRef] [PubMed][Green Version]
- Cui, Q.; Zhang, Y.-L.; Ma, Y.-H.; Yu, H.-Y.; Zhao, X.-Z.; Zhang, L.-H.; Ge, S.-Q.; Zhang, G.-W.; Qin, X.-d. A network pharmacology approach to investigate the mechanism of Shuxuening injection in the treatment of ischemic stroke. J. Ethnopharmacol. 2020, 257, 112891. [Google Scholar] [CrossRef]
- Szklarczyk, D.; Gable, A.L.; Lyon, D.; Junge, A.; Wyder, S.; Huerta-Cepas, J.; Simonovic, M.; Doncheva, N.T.; Morris, J.H.; Bork, P.; et al. STRING v11: Protein-protein association networks with increased coverage, supporting functional discovery in genome-wide experimental datasets. Nucl. Acids Res. 2019, 47, 607–613. [Google Scholar] [CrossRef]
- Zhang, M.-M.; Wang, D.; Lu, F.; Zhao, R.; Ye, X.; He, L.; Ai, L.; Wu, C.-J. Identification of the active substances and mechanisms of ginger for the treatment of colon cancer based on network pharmacology and molecular docking. BioData Min. 2021, 14, 1–16. [Google Scholar] [CrossRef]
- Qazi, S.; Das, S.; Khuntia, B.K.; Sharma, V.; Sharma, S.; Sharma, G.; Raza, K. In silico molecular docking and molecular dynamic simulation analysis of phytochemicals from Indian foods as potential inhibitors of SARS-CoV-2 RdRp and 3CLpro. Nat. Prod. Commun. 2021, 16, 1–12. [Google Scholar] [CrossRef]












| Abbreviations | Full Form |
|---|---|
| TLC | Thin layer chromatography |
| FTIR | Fourier transform infrared |
| GC-MS | Gas chromatography–mass spectrophotometry |
| MIC | Minimum inhibitory concentration |
| SOD | Superoxide dismutase |
| APOX | Ascorbate peroxidase |
| POX | Peroxidase |
| GR | Glutathione reductase |
| sSDS-PAGE | Sodium dodecyl polyacrylamide gel electrophoresis |
| SEM | Scanning electron microscopy |
| GO | Gene Ontology |
| KEGG | Kyoto Encyclopedia of Genes and Genome |
| EPS | Extracellular polymeric substances |
| Rf | Retention factor |
| PPI | Protein–protein interaction |
| FabI | Enoyl-acyl carrier protein reductase |
| MurB | Udp-n-acetylenolpyruvoylglucosamine reductase |
| FtsZ | Filamenting temperature-sensitive mutant Z |
| ECM | Extracellular matrix |
| ROS | Reactive oxygen species |
| LB | Luria Bertani |
| CTAB | Cetyl Trimethyl Ammonium Bromide |
| UV | Ultraviolet |
| gDNA | Gemonic DNA |
| DMSO | Dimethyl sulfoxide |
| OD595 | Optical density at 595 nm |
| TCMSP | Traditional Chinese Medicine database and analysis platform |
| Samples | Frequency |
|---|---|
| Total cariogenic samples | 2500 |
| Total control | 200 |
| Positive cultures | 1900 |
| Negative cultures among 2500 | 600 |
| Highest frequency of cariogenic bacterial flora | 165 |
| Category | Bacterial Strains | Morphological Characterization | Molecular Characterization | Accession Number | Biofilm Formation | Frequency Gender (n = 1900) | |||
|---|---|---|---|---|---|---|---|---|---|
| Sucrose (-) | Sucrose (+) | Male | Female | ||||||
| Caries-associated bacterial strains Control | VJ-1 | Gram positive cocci | Staphylococcus haemolyticus | MW067134 | +++ | + | 1199 (63.10%) | 721 (61.03%) | 478 (39.87%) |
| VJ-2 | Gram positive rods | Bacillus flexus | MW067135 | +++ | ++ | 1104 (58.01%) | 494 (44.75%) | 610 (55.25%) | |
| VJ-3 | Gram positive rods | Bacillus subtilis-strain 1 | MW067136 | + | + | 1200 (63.15%) | 649 (54.08%) | 551 (45.29%) | |
| VJ-4 | Gram positive rods | Bacillus subtilis-strain 2 | MW067137 | ++ | + | 1000 (52.63%) | 482 (48.20%) | 518 (51.80%) | |
| VJ-5 | Gram positive rods | Bacillus gaemokensis | MW067143 | +++++ | +++ | 1511 (79.52%) | 809 (53.54%) | 702 (46.46%) | |
| VJ-6 | Gram positive rods | Bacillus subtilis-strain 3 | MW067139 | +++ | + | 950 (50%) | 458 (48.21%) | 492 (51.79%) | |
| VJ-7 | Gram positive rods | Bacillus pumilis | MW067140 | + | + | 1428 (75.15%) | 661 (46.29%) | 767 (46.29%) | |
| VJ-8 | Gram negative rods | Pseudomonas stutzeri | MW067141 | + | + | 998 (52.52%) | 521 (52.20%) | 477 (47.80%) | |
| VJ-9 | Gram positive rods | Bacillus cereus-strain 1 | MW067142 | ++ | + | 1298 (68.31%) | 655 (50.46%) | 643 (49.54%) | |
| VJ-10 | Gram positive rods | Bacillus cereus-strain 2 | MW067138 | + | ++ | 1311 (69%) | 611 (46.61%) | 700 (53.39%) | |
| VJ-11 | Gram positive cocci | Staphylococcus aureus | MW067144 | + | + | 1644 (86.52%) | 865 (52.62%) | 779 (47.38%) | |
| VJ-12 | Gram positive cocci | Streptococcus mutans | NO171456.1 | +++ | + | 1877 (98.78%) | 998 (53.17%) | 879 (46.83%) | |
| VJ-13 | Gram positive cocci | Streptococcus sobrinus | NO171474.1 | + | + | 1795 (94.47%) | 934 (52.03%) | 861 (47.97%) | |
| VJ-14 | Gram positive rods | Lactobacillus salivarius | NO171459.1 | ++ | + | 138 (7.263%) | 61 (44.20%) | 77 (55.80%) | |
| VJ-15 | Gram positive rods | Lactobacillus rhamnosus | NO171462.1 | ++ | + | 114 (6%) | 60 (52.63%) | 54 (47.37%) | |
| SS-VJ-1 | Gram positive cocci | Staphylococcus aureus | MW067144 | + | + | 200 (100%) | 90 (45%) | 110 (55%) | |
| SS-VJ-2 | Gram positive rods | Lactobacillus strain | NO171459.1 | ++ | + | 115 (57.5%) | 65 (56.52%) | 50 (56.52%) | |
| Phytocompounds | Test | Chloroform Extract |
|---|---|---|
| Alkaloids | Mayer’s test | + |
| Wagner’s test | + | |
| Flavonoids | Ferric chloride test | + |
| Alkaline reagent test | + | |
| Phenolic compounds | Ferric chloride test | + |
| Steroids | Liebermann’s test | + |
| Tannins | Ferric chloride test | + |
| Glycosides | Liebermann’s test | - |
| Saponins | Foam test | - |
| Carbohydrates | Molisch’s test | - |
| Proteins | Biuret test | - |
| Amino acids | Ninhydrin test | - |
| Oils | Spot test | - |
| Compound | RT | MF | MW |
|---|---|---|---|
| Bicyclo [3.1.1] heptane,6,6-dimethyl-2-methylene-,(1S)- | 4.629 | C10H16 | 136 |
| Benzene,1,2(methylenedioxy)-4-propenyl-,(E)- | 9.716 | C10H10O2 | 162 |
| 1,3-Benzodioxole,5-(1-propenyl)- | 9.957 | C10H10O2 | 162 |
| alfa-Copaene | 10.349 | C15H24 | 204 |
| Eugenol | 10.688 | C10H12O2 | 164 |
| Caryophyllene | 10.929 | C15H24 | 204 |
| β- Ylangene | 11.607 | C15H24 | 204 |
| Humulene | 11.381 | C15H24 | 204 |
| γ- Muurolene | 11.637 | C15H24 | 204 |
| Napthalene,1,2,3,5,6,7,8,8a-octahydro-1,8a-dimethyl-7-(1-methylethenyl)-[1R-(1α,3aβ,4α,7β)]- | 11.818 | C15H24 | 204 |
| Azulene,1,2,3a,4,5,6,7- octahydro-1,4-dimethyl-7-(1-methylethenyl)-[1R-(1α,3aβ,4α,7β)]- | 11.924 | C15H24 | 204 |
| Naphthalene,1,2,3,5,6,8a-hexahydro-4,7,-dimethyl-1-(1-methylethyl)-,1S- cis)- | 12.210 | C15H24 | 204 |
| β- Guaiene | 12.670 | C15H24 | 204 |
| α- acorenol | 13.951 | C15H26O | 222 |
| Phytol | 18.329 | C20H40O | 296 |
| Phenol,2,2-methylenebis [6-(1,1-dimethylethyl) -4- methyl- | 21.109 | C23H32O2 | 340 |
| Diisooctyl phthalate | 21.946 | C24H38O4 | 390 |
| Spirost-8-en-11-one,3-hydroxy-,(3β,5α,14β,20β,22β,25R) | 22.955 | C27H40O4 | 428 |
| 2,2,4-trimethyle-3-(3,8,12,16-tetramethyl-heptadeca-3,7,11,15-tetraenyl)-cyclohexanol | 23.905 | C30H52O | 428 |
| Pregnane -3,20β-diol,14α,18α-[4-methyl-3-oxo-(1-oxa-4-azabutane-1,4-diyl]-,diace | 25.691 | C28H43NO6 | 489 |
| MIC (mg mL−1) | Growth of Bacteria |
|---|---|
| 0 | +++ |
| 25 | +++ |
| 50 | ++ |
| 100 | - |
| 200 | - |
| 250 | - |
| 300 | - |
| Plant Extract | Concentration | Zone of Inhibition |
|---|---|---|
| Chloroform | 100 mg mL−1 | 7 mm |
| Methanol | 100 mg mL−1 | - |
| Ethanol | 100 mg mL−1 | 2 mm |
| Negative control | Concentration | Zone of Inhibition |
| DMSO | 100 mg mL−1 | - |
| Positive control | Concentration | Zone of Inhibition |
| Piperacillin/Tazobactum | 100 mg mL−1 | 6 mm |
| Column Fractions | Zone of Inhibition (mm) |
|---|---|
| F1 | 3 |
| F2 | 4.1 |
| F3 | 5.7 |
| F4 | 12 |
| F5 | 4 |
| F6 | 4.5 |
| Targets | Node Degree | Targets | Node Degree |
|---|---|---|---|
| ESR1 | 13 | MAOB | 2 |
| SLC6A2 | 4 | ADRA1D | 4 |
| CHRM3 | 3 | CHRNA2 | 2 |
| IL6 | 12 | ADRA2C | 4 |
| SLC6A3 | 5 | NCOA2 | 10 |
| ADRA2A | 6 | RXRA | 6 |
| ADRB2 | 7 | IL6R | 3 |
| CHRM1 | 7 | NCOA3 | 9 |
| ADRA1B | 5 | SRC | 18 |
| CHRM2 | 2 | AR | 11 |
| PGR | 12 | SP1 | 10 |
| MAOA | 3 | BRCA1 | 8 |
| PTGS1 | 4 | EP300 | 10 |
| PTGS2 | 8 | IL6ST | 3 |
| ADRB1 | 4 | ALOX5 | 6 |
| Ligands | FabI (kcal/mol) | MurB (kcal/mol) | FtsZ (kcal/mol) |
|---|---|---|---|
| Bicyclo [3.1.1] heptane,6,6-dimethyl-2-methylene-,(1S)- | −6.5 | −5.5 | −6.0 |
| Benzene,1,2(methylenedioxy)-4-propenyl-,(E)- | −6.8 | −6.2 | −7.4 |
| 1,3-Benzodioxole,5-(1-propenyl)- | −6.5 | −6.7 | −7.3 |
| Alpha-Copaene | −8.3 | −6.8 | −5.9 |
| Eugenol | −6.1 | −6.3 | −6.8 |
| Caryophyllene | −8.8 | −6.4 | −6.5 |
| β-Ylangene | −8.1 | −6.7 | −7.6 |
| Humulene | −6.1 | −6.2 | −6.6 |
| γ- Muurolene | −8.5 | −6.0 | −7.9 |
| Napthalene,1,2,3,5,6,7,8,8a-octahydro-1,8a-dimethyl-7-(1-methylethenyl)-[1R-(1α,3aβ,4α,7β)]- | −8.4 | −6.4 | −8.0 |
| Phytol | −3.8 | −4.7 | −4.2 |
| α- acorenol | – | – | – |
| β- Guaiene | – | – | – |
| Diisooctyl phthalate | −7.9 | −9.3 | −9.3 |
| Spirost-8-en-11-one,3-hydroxy(3β,5α,14β,20β,22β,25R) | −12 | −17.1 | −14.9 |
| 2,2,4-trimethyle-3-(3,8,12,16-tetramethyl-heptadeca-3,7,11,15-tetraenyl)-cyclohexanol | −7.1 | −6.0 | −6.0 |
| Naphthalene,1,2,3,5,6,8a-hexahydro-4,7-dimethyl-1-(1-methylethyl)-,1S- cis)- | −7.2 | −8.1 | −6.3 |
| Azulene,1,2,3a,4,5,6,7- octahydro-1,4-dimethyl-7-(1-methylethenyl)-[1R-(1α,3aβ,4α,7β)]- | – | – | – |
| Phenol,2,2-methylenebis [6-(1,1-dimethylethyl) -4- methyl- | – | – | – |
| Pregnane -3,20β-diol,14α,18α-[4-methyl-3-oxo-(1-oxa-4-azabutane-1,4-diyl]-,diace | – | – | – |
Publisher’s Note: MDPI stays neutral with regard to jurisdictional claims in published maps and institutional affiliations. |
© 2022 by the authors. Licensee MDPI, Basel, Switzerland. This article is an open access article distributed under the terms and conditions of the Creative Commons Attribution (CC BY) license (https://creativecommons.org/licenses/by/4.0/).
Share and Cite
Jalil, V.; Khan, M.; Haider, S.Z.; Shamim, S. Investigation of the Antibacterial, Anti-Biofilm, and Antioxidative Effect of Piper betle Leaf Extract against Bacillus gaemokensis MW067143 Isolated from Dental Caries, an In Vitro-In Silico Approach. Microorganisms 2022, 10, 2485. https://doi.org/10.3390/microorganisms10122485
Jalil V, Khan M, Haider SZ, Shamim S. Investigation of the Antibacterial, Anti-Biofilm, and Antioxidative Effect of Piper betle Leaf Extract against Bacillus gaemokensis MW067143 Isolated from Dental Caries, an In Vitro-In Silico Approach. Microorganisms. 2022; 10(12):2485. https://doi.org/10.3390/microorganisms10122485
Chicago/Turabian StyleJalil, Varda, Maryam Khan, Syed Zeeshan Haider, and Saba Shamim. 2022. "Investigation of the Antibacterial, Anti-Biofilm, and Antioxidative Effect of Piper betle Leaf Extract against Bacillus gaemokensis MW067143 Isolated from Dental Caries, an In Vitro-In Silico Approach" Microorganisms 10, no. 12: 2485. https://doi.org/10.3390/microorganisms10122485
APA StyleJalil, V., Khan, M., Haider, S. Z., & Shamim, S. (2022). Investigation of the Antibacterial, Anti-Biofilm, and Antioxidative Effect of Piper betle Leaf Extract against Bacillus gaemokensis MW067143 Isolated from Dental Caries, an In Vitro-In Silico Approach. Microorganisms, 10(12), 2485. https://doi.org/10.3390/microorganisms10122485

