The B Subunit of PirABvp Toxin Secreted from Vibrio parahaemolyticus Causing AHPND Is an Amino Sugar Specific Lectin
Abstract
1. Introduction
2. Materials and Methods
2.1. Growth Conditions of E. coli Strains and Vibrio Parahaemolyticus
2.2. Cloning and Expression of Recombinant PirAvp and PirBvp
2.3. Purification of rPirAvp and rPirBvp Toxins
2.4. Hemagglutinating Activity
2.5. Purification of Wild-Type PirABvp Toxin Complex
2.6. Sugar Specificity and the Requirement of Divalent Cations
2.7. Production of Polyclonal Antibodies (Pabs) in Rabbit: Anti-rPirA and Anti-rPirB
2.8. Polyclonal Antibodies Specificity
2.9. Immunodetection of PirAvp and PirBvp
3. Results
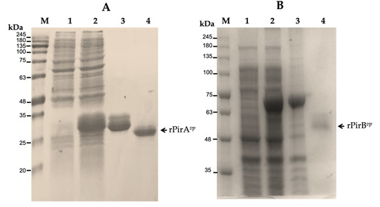
3.1. Purification of Recombinant Proteins
3.2. HA of the rPirBvp and Wild-Type PirABvp Toxin
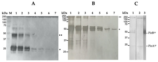
3.3. Purification of Wild-Type PirABvp Toxin Complex
3.4. Sugar Specificity and the Effect of Divalent Cations on the HA of rPirBvp
3.5. Specificity of Polyclonal Antibodies
4. Discussion
5. Conclusions
Author Contributions
Funding
Acknowledgments
Conflicts of Interest
References
- De la Pena, L.D.; Cabillon, N.A.; Catedral, D.D.; Amar, E.C.; Usero, R.C.; Monotilla, W.D.; Calpe, A.T.; Fernandez, D.D.G.; Saloma, C.P. Acute hepatopancreatic necrosis disease (AHPND) outbreaks in Penaeus vannamei and P. monodon cultured in the Philippines. Dis. Aquat. Org. 2015, 116, 251–254. [Google Scholar] [CrossRef] [PubMed]
- Joshi, J.; Srisala, J.; Truong, V.H.; Chend, T.I.; Nuangsaenge, B.; Suthienkul, O.; Lo, C.F.; Flegel, T.W.; Sritunyalucksana, K.; Thitamadee, S. Variation in Vibrio parahaemolyticus isolates from a single Thai shrimp farm experiencing an outbreak of acute hepatopancreatic necrosis disease (AHPND). Aquaculture 2014, 428–429, 297–302. [Google Scholar] [CrossRef]
- Nunan, L.; Lightner, D.; Pantoja, C.; Gomez-Jimenez, S. Detection of Acute Hepatopancreatic Necrosis disease (AHPND) in Mexico. Dis. Aquat. Org. 2014, 111, 81–86. [Google Scholar] [CrossRef] [PubMed]
- Restrepo, L.; Bayot, B.; Betancourt, I.; Pinzón, A. Draft genome sequence of pathogenic bacteria Vibrio parahaemolyticus strain Ba94C2, associated with acute hepatopancreatic necrosis disease isolate from South America. Genome Data 2016, 11, 143–144. [Google Scholar] [CrossRef]
- Han, J.E.; Tang, K.F.J.; Tran, L.H.; Lightner, D.V. Photorhabdus insect-related (Pir) toxin- like genes in a plasmid of Vibrio parahaemolyticus, the causative agent of acute hepatopancreatic necrosis disease (AHPND) of shrimp. Dis. Aquat. Org. 2015, 113, 33–40. [Google Scholar] [CrossRef]
- Nunan, L.; Redman, R.M.; Mohney, L.L.; Pantoja, C.R.; Fitzsimmons, K.; Lightner, D.V. Determination of the infectious nature of the agent of acute hepatopancreatic necrosis syndrome affecting penaeid shrimp. Dis. Aquat. Org. 2013, 9, 45–55. [Google Scholar] [CrossRef]
- Yang, Y.T.; Chen, I.T.; Lee, C.T.; Chen, C.Y.; Lin, S.S.; Hor, L.I.; Tseng, T.C.; Huang, Y.T.; Sritunyalucksana, K.; Thitamadee, S.; et al. Draft genome sequences of four strains of Vibrio parahaemolyticus, three of which cause early mortality syndrome/acute hepatopancreatic necrosis disease in shrimp in China and Thailand. Genome Announc. 2014, 2, e00816-14. [Google Scholar] [CrossRef]
- Sirikharin, R.; Taengchaiyaphum, S.; Sanguanrut, P.; Chi, D.T.; Mavichak, R.; Proespraiwong, P.; Nuangsaeng, B.; Thitamadee, S.; Flegel, T.W.; Sritunyalucksana, K. Characterization and PCR detection of binary, Pir-like toxins from Vibrio parahaemolyticus isolates that cause acute hepatopancreatic necrosis disease (AHPND) in shrimp. PLoS ONE 2015, 10, e0126987. [Google Scholar] [CrossRef]
- Kondo, H.; Van, P.T.; Dang, L.T.; Hirono, I. Draft genome sequence of non-Vibrio parahaemolyticus acute hepatopancreatic necrosis disease strain KC13.17.5, isolated from diseased shrimp in Vietnam. Genome Announc. 2015, 3, e00978-00915. [Google Scholar] [CrossRef] [PubMed]
- Xiao, J.; Liu, L.; Ke, Y.; Li, X.; Liu, Y.; Pan, Y.; Yan, S.; Wang, Y. Shrimp AHPND-causing plasmids encoding the PirAB toxins as mediated by pirAB-Tn903 are prevalent in various Vibrio species. Sci. Rep. 2017, 7, 42177. [Google Scholar] [CrossRef] [PubMed]
- Dong, X.; Bi, D.; Wang, H.; Zou, P.; Xie, G.; Wan, X.; Huang, J.; Yang, Q.; Zhu, Y.; Chen, M.; et al. PirABvp-bearing Vibrio parahaemolyticus and Vibrio campbellii pathogens isolated from the same AHPND-affected pond possess highly similar pathogenic plasmids. Front. Microbiol. 2017, 8, 1859. [Google Scholar] [CrossRef] [PubMed]
- Durán-Avelar, M.D.J.; Vázquez-Reyes, A.; González-Mercado, A.L.; Zambrano-Zaragoza, J.F.; Ayón-Pérez, M.F.; Agraz-Cibrián, J.M.; Gutiérrez-Franco, J.; Vibanco-Pérez, N. pirA- and pirB-like genes identification in Micrococcus luteus strains in Mexico. J. Fish Dis. 2018, 41, 1667–1673. [Google Scholar] [CrossRef] [PubMed]
- Chonsin, K.; Matsuda, S.; Theethakaew, C.; Kodama, T.; Junjhon, J.; Suzuki, Y.; Suthienkul, O.; Iida, T. Genetic diversity of Vibrio parahaemolyticus strains isolated from farmed Pacific white shrimp and ambient pond water affected by acute hepatopancreatic necrosis disease outbreak in Thailand. FEMS Microbiol. Lett. 2016, 363, fnv222. [Google Scholar] [CrossRef] [PubMed]
- Phiwsaiya, K.; Charoensapsri, W.; Taengphu, S.; Dong, H.T.; Sangsuriya, P.; Nguyen, G.T.T.; Pham, H.Q.; Amparyup, P.; Sritunyalucksana, K.; Taengchaiyaphum, S.; et al. A natural Vibrio parahaemolyticus Pirvp B+ mutant kills shrimp but produces no Pirvp toxins or AHPND lesions. Appl. Environ. Microbiol. 2017, 83, e00680-17. [Google Scholar] [CrossRef] [PubMed]
- Restrepo, L.; Bayot, B.; Arciniegas, S.; Bajaña, L.; Betancourt, I.; Panchana, F.; Reyes Muñoz, A. PirVP genes causing AHPND identified in a new Vibrio species (Vibrio punensis) within the commensal Orientalis clade. Sci. Rep. 2018, 8, 13080. [Google Scholar] [CrossRef]
- Soto-Rodríguez, S.; Gomez-Gil, B.; Lozano-Olvera, R.; Betancourt-Lozano, M.; Morales-Covarrubias, M.S. Field and experimental evidence of Vibrio parahaemolyticus as the causative agent of acute hepatopancreatic necrosis disease (AHPND) of cultured shrimp (Litopenaeus vannamei) in northwestern Mexico. Appl. Environ. Microbiol. 2015, 8, 1689–1699. [Google Scholar] [CrossRef]
- Lightner, D.V.; Redman, R.M.; Pantoja, C.R.; Noble, B.L.; Tran, L. Early mortality syndrome affects shrimp in Asia. Glob. Aquac. Advocate 2012, 15, 40. [Google Scholar]
- Odumosu, O.; Nicholas, D.; Yano, H.; Langridge, W. AB toxins: A paradigm switch from deadly to desirable. Toxins 2010, 2, 1612–1645. [Google Scholar] [CrossRef]
- Olsnes, S.; Pihl, A. Toxins lectins and related proteins. In Molecular Action of Toxins and Viruses; Cohen, P., Ed.; Elsevier: Amsterdam, The Netherlands, 1982; pp. 51–105. [Google Scholar] [CrossRef]
- Van Damme, E.J.M. History of plant lectin research. In Lectins: Methods and Protocols; Hirabayashi, J., Ed.; Springer: New York, NY, USA, 2014; pp. 3–13. [Google Scholar] [CrossRef]
- Shang, C.; Dang, L.; Van Damme, E.J.M. Plant AB toxin with lectin domains. In Plant Toxins; Gopalakrishnakone, P., Ed.; Springer: Dordrecht, The Netherlands, 2017; pp. 183–198. [Google Scholar] [CrossRef]
- Fragkiadakis, G.A. Isolation of lectins from hemolymph of decapod crustaceans by adsorption on formalinized erythrocytes. J. Biochem. Biophys. Methods 2000, 44, 109–114. [Google Scholar] [CrossRef]
- Vazquez, L.; Masso, F.; Rosas, P.; Montano, L.F.; Zenteno, E. Purification and characterization of a lectin from Macrobachium rosenbergii (Crustacea: Decapoda) hemolymph. Comp. Biochem. Physiol. 1993, 105, 617e23. [Google Scholar] [CrossRef]
- Bradford, M. A rapid and sensitive method for the quantification of microgram quantities of protein utilizing the principle of protein-dye binding. Anal. Biochem. 1976, 72, 248–254. [Google Scholar] [CrossRef]
- Harlow, E.; Lane, D. Antibodies. In A Laboratory Manual, 1st ed.; Cold Spring Harbor Laboratory: New York, NY, USA, 1988; pp. 139–175. [Google Scholar]
- Laemmli, U.K. Cleavage of structural proteins during the assembly of the head of bacteriophage T4. Nature 1970, 227, 680–685. [Google Scholar] [CrossRef] [PubMed]
- Towbin, H.; Staehelin, J.; Gordon, J. Electrophoresis transfer of proteins from polyacrylamide gels to nitrocellulose sheets: Procedure and some applications. Proc. Natl. Acad. Sci. USA 1979, 76, 4350–4354. [Google Scholar] [CrossRef] [PubMed]
- Merril, C.R.; Goldman, D.; Sedman, S.; Ebert, M. Ultrasensitive stain for proteins in polyacrylamide gels shows regional variation in cerebrospinal fluid proteins. Science 1981, 211, 1437–1438. [Google Scholar] [CrossRef] [PubMed]
- Sharon, N.; Lis, H. History of lectins: From hemagglutinins to biological recognition molecules. Glycobiology 2004, 14, 53–62. [Google Scholar] [CrossRef]
- Gilboa-Garber, N.; Katco, D.J.; Garber, N.C. Identification and characterization of Pseudomonas aeruginosa PA-IIL lectin gene and protein compared to PA-IL. FEMS Immunol. Med. Mic. 2000, 29, 53–57. [Google Scholar] [CrossRef]
- Parret, A.H.A.; Schoofs, G.; Proost, P.; De Mot, R. Plant lectin-like bacteriocin from arhizosphere-colonizing Pseudomonas isolate. J. Bacteriol. 2003, 185, 897–908. [Google Scholar] [CrossRef]
- Parret, A.H.A.; Temmerman, K.; De Mot, R. Novel lectin-like bacteriocins of biocontrol strain Pseudomonas fluorescens Pf-5. Appl. Environ. Microbiol. 2005, 71, 5197–5207. [Google Scholar] [CrossRef]
- Ghequire, M.G.K.; Loris, R.; De Mot, R. MMBL proteins: From lectin to bacteriocin. Biochem. Soc. Trans. 2012, 40, 1553–1559. [Google Scholar] [CrossRef]
- Ghequire, M.K.G.; Garcia-Pino, A.; Lebbe, L.K.M.; Spaepen, S.; Loris, R.; De Mot, R. Structural Determinants for Activity and Specificity of the Bacterial Toxin LlpA. PLoS Pathog. 2013, 9. [Google Scholar] [CrossRef]
- Jamet, A.; Nassif, X. New players in the toxin field: Polymorphic toxin systems in bacteria. mBio 2015, 6, e00285-15. [Google Scholar] [CrossRef] [PubMed]
- Ghequire, M.G.K.; de Mot, R. The tailocin tale: Peeling off phage tails. Trends Microbiol. 2015, 23, 587–590. [Google Scholar] [CrossRef] [PubMed]
- Michel-Briand, Y.; Baysse, C. The pyocins of Pseudomonas aeruginosa. Biochimie 2002, 84, 499–510. [Google Scholar] [CrossRef]
- Ghequire, M.G.K.; de Mot, R. Ribosomally encoded antibacterial proteins and peptides from Pseudomonas. FEMS Microbiol. Rev. 2014, 38, 523–568. [Google Scholar] [CrossRef]
- Grishin, A.V.; Krivozubov, M.S.; Karyagina, A.S.; Gintsburg, A.L. Pseudomonas aeruginosa lectins as targets for novel antibacterials. Acta Nat. 2015, 7, 29–41. [Google Scholar] [CrossRef]
- Häse, C.; Bauer, M.; Finkelstein, R. Genetic characterization of mannose-sensitive hemagglutinin (MSHA)- negative mutants of Vibrio cholerae derived by Tn.5 mutagenesis. Gene 1994, 150, 17–25. [Google Scholar] [CrossRef]
- Finkelstein, R.A.; Mukerjee, S. Hemagglutination: A rapid method for differentiating Vibrio cholerae and El Tor vibrios. Proc. Soc. Exp. Biol. Med. 1963, 112, 355–359. [Google Scholar] [CrossRef]
- Hanne, L.F.; Finkelstein, R.A. Characterization and distribution of the hemagglutinins produced by Vibrio cholerae. Infect. Immun. 1982, 36, 209–214. [Google Scholar] [CrossRef]
- Kadokura, K.; Sakamoto, Y.; Saito, K.; Ikegami, T.; Hirano, T.; Hakamata, W.; Oku, T.; Nishio, T. Production of a recombinant chitin oligosaccharide deacetylase from Vibrio parahaemolyticus in the culture medium of Escherichia coli cells. Biotechnol. Lett. 2007, 29, 1209–1215. [Google Scholar] [CrossRef]
- Kadokura, K.; Sakamoto, Y.; Saito k Ikegami, T.; Hirano, T.; Hakamata, W.; Oku, T.; Nishio, T. Production and Secretion of a Recombinant Vibrio parahaemolyticus Chitinase by Escherichia coli and Its Purification from the Culture Medium. Biosci. Biotechnol. Biochem. 2007, 71, 2848–2851. [Google Scholar] [CrossRef]
- Schauer, R. Sialic acids: Fascinating sugars in higher animals and man. Zoology 2004, 107, 49–64. [Google Scholar] [CrossRef] [PubMed]
- Gumus, A.; Balcan, E. Determination of Glycoconjugate Residues of Erythrocytes at Different Age Groups of Rats. Int. J. Hematol. Oncol. 2010, 20, 6–13. [Google Scholar] [CrossRef]
- Zenteno, R.; Vazquez, L.; Sierra, C.; Pereyra, A.; Slomianny, M.C.; Bouquelet, S.; Zenteno, E. Chemical. Characterization from lectin from Macrobrachium Rosenbergii (De Man) by MALDI-TOF. Comp. Biochem. Physiol. 2000, 127, 243–250. [Google Scholar] [CrossRef]
- Schlepper-Schafer, J.; Kolb-Bachofen, V.; Kolb, H. Analysis of Lectin Dependent Recognition of Desialylated Erythrocytes by Kupffer Cells. Biochem. J. 1980, 186, 827–831. [Google Scholar] [CrossRef] [PubMed]
- Garcia-Maldonado, E.; Cano-Sanchez, P.; Hernandez-Santoyo, A. Molecular and functional characterization of a glycosylated Galactose-Binding lectin from Mytilus californianus. Fish Sellfish Immunol. 2017, 66, 564–574. [Google Scholar] [CrossRef] [PubMed]
- Lin, S.H.; Hsu, K.; Wang, H. Structural insights into the cytotoxic mechanism of Vibrio parahaemolyticus PirAvp and PirBvp toxins. Mar. Drugs 2017, 15, 373. [Google Scholar] [CrossRef] [PubMed]
- Frigerio, L.; Roberts, L.M. The Synthesis of ricinus communis Lectins. In Toxic Plant Proteins; Lord, J.M., Hartley, M.R., Eds.; Plant Cell Monographs; Springer: Berlin/Heidelberg, Germany, 2010. [Google Scholar] [CrossRef]
- Lin, S.H.; Chen, Y.F.; Hsu, K.C.; Chen, Y.; Ko, T.P.; Lo, C.F.; Wang, H.C. Structural Insights to the Heterotetrameric Interaction between the Vibrio parahaemolyticus PirAvp and PirB Toxins and Activation of the Cry-Like Pore-Forming Domain. Toxins 2019, 1, 233. [Google Scholar] [CrossRef]
- Lee, C.T.; Chen, I.T.; Yang, Y.T.; Ko, T.P.; Huang, J.Y.; Huang, M.F.; Lin, S.J.; Chen, C.Y.; Lin, S.S.; Lightner, D.V.; et al. The opportunistic marine pathogen Vibrio parahaemolyticus becomes virulent by acquiring a plasmid that expresses a deadly toxin. Proc. Natl. Acad. Sci. USA 2015, 112, 10798–10803. [Google Scholar] [CrossRef]
- Hempel, C.; Wang, C.W.; Kurtzhals, J.A.L.; Staalsø, T. Binding of Plasmodium falciparum to CD36 can be shielded by the glycocalyx. Malar. J. 2017, 16, 193. [Google Scholar] [CrossRef]
- Yang, H.; Li, S.; Li, F.; Wen, R.; Xiang, J. Analysis on the expression and function of syndecan in the Pacific white shrimp Litopenaeus vannamei. Dev. Comp. Immunol. 2015, 51, 278–286. [Google Scholar] [CrossRef]
- Xu, D.; Escko, J.D. Demystifying heparan sulfate-protein interactions. Annu. Rev. Biochem. 2014, 83, 129–157. [Google Scholar] [CrossRef] [PubMed]
- Mascotti, D.P.; Lohman, T.M. Thermodynamics of charged oligopeptide–heparin interactions. Biochem. 1995, 34, 2908–2915. [Google Scholar] [CrossRef] [PubMed]
- Sheinerman, F.B.; Norel, R.; Honig, B. Electrostatic aspects of protein–protein interactions. Curr. Opin. Struct. Biol. 2000, 10, 153–159. [Google Scholar] [CrossRef]
- Ori, A.; Wilkinson, M.C.; Fernig, D.G. A Systems Biology Approach for the Investigation of the Heparin/Heparan Sulfate Interactome. J. Biol. Chem. 2011, 286, 19892–19904. [Google Scholar] [CrossRef]
- Ori, A.; Wilkinson, M.C.; Fernig, D.G. The heparanome and regulation of cell function: Structures, functions and challenges. Front. Biosci. 2008, 13, 4309–4338. [Google Scholar] [CrossRef]
- Chen, Y.; Götte, M.; Liu, J.; Park, P.W. Microbial subversion of heparan sulfate proteoglycans. Mol. Cells 2008, 26, 415–426. [Google Scholar]
- Tao, L.; Tian, S.; Zhang, J.; Liu, Z.; Robinson-McCarthy, L.; Miyashita, S.I.; Breault, D.T.; Gerhard, R.; Ottamasathien, S.; Whelan, S.P.J.; et al. Sulfated glycosaminoglycans and low-density lipoprotein receptor contribute to Clostridium difficile toxin A entry into cells. Nat. Microbiol. 2019, 4, 1760–1769. [Google Scholar] [CrossRef]
- Bergh, M.L.; Hooghwinkel, G.J.; van den, E. Biosynthesis of the O-Glycosidically Linked Oligosaccharide Chains of Fetuin. J. Biol. Chem. 1982, 258, 7430–7436. [Google Scholar]
- Harvey, D.J.; Wing, D.R.B.; Küster, B.; Wilson, I.B.H. Composition of N-Linked Carbohydrates from Ovalbumin and Co-purified Glycoproteins. J. Am. Soc. Mass Spectrom. 2000, 11, 564–571. [Google Scholar] [CrossRef]
- Schauer, R. Chemistry, metabolism and biological function of sialic acid. Adv. Carbohydr. Chem. Biochem. 1982, 40, 131–235. [Google Scholar] [CrossRef]
- Zenteno, E.; Vázquez, L.; Chávez, R.; Córdoba, F.; Wieruszeski, J.; Montreuil, J.; Debray, H. Specificity of the isolectins from the cactus plant Machaerocereus eruca for oligosaccharides from mucin. Glycoconj. J. 1995, 12, 699–706. [Google Scholar] [CrossRef] [PubMed]
- Abhilash, J.; Dileep, K.V.; Palanimuthu, M.; Geethanandan, K.; Haridas, M. Metal ions in sugar binding, sugar specificity and structural stability of Spatholobus parviflorus seed lectin. J. Mol. Model. 2013, 19, 3271–3327. [Google Scholar] [CrossRef] [PubMed]



| Red Blood Cells | Hemagglutinating Activity (HA) a | ||
|---|---|---|---|
| rPirAvp | rPirBvp | PirABvp* | |
| Human A | - | - | - |
| Human B | - | - | - |
| Human O | - | - | - |
| Rabbit | - | - | - |
| Mouse (BalbC) | - | - | - |
| Rat (Wistar) | - | 81,476 | 114,285 |
| Desialylated Rat b | - | 325,970 | ND |
| Ovine | - | - | - |
| Fraction | Total Protein (mg) | HAU a | Specific Activity b |
|---|---|---|---|
| ECP | 195.4 | 160.0 | 0.82 |
| Unretained fraction | 194.42 | 0.0 | 0.0 |
| Retained fraction (PirABvp) | 0.980 | 160.0 | 163.26 |
| Fraction | Total Protein (mg) | HAU a | Specific Activity b |
|---|---|---|---|
| ECP | 249.24 | 640.0 | 2.56 |
| Unretained fraction | 247.80 | 0.0 | 0.0 |
| Retained fraction (PirABvp) | 1.43 | 640.0 | 447.55 |
| Inhibitor | Concentration (mM) a | Relative Inhibitory Potency b |
|---|---|---|
| Lac | 100 | 1 |
| Mal | 100 | 1 |
| GalNH2 | 25 | 4 |
| GlcNH2 | 25 | 4 |
| Arginine | 25 | 4 |
| Cystine | 25 | 4 |
| Heparin | 0.27 | 370.4 |
| OVO | 0.015 | 6666.7 |
| FET | 0.00031 | 322,580.6 |
© 2020 by the authors. Licensee MDPI, Basel, Switzerland. This article is an open access article distributed under the terms and conditions of the Creative Commons Attribution (CC BY) license (http://creativecommons.org/licenses/by/4.0/).
Share and Cite
Victorio-De Los Santos, M.; Vibanco-Pérez, N.; Soto-Rodriguez, S.; Pereyra, A.; Zenteno, E.; Cano-Sánchez, P. The B Subunit of PirABvp Toxin Secreted from Vibrio parahaemolyticus Causing AHPND Is an Amino Sugar Specific Lectin. Pathogens 2020, 9, 182. https://doi.org/10.3390/pathogens9030182
Victorio-De Los Santos M, Vibanco-Pérez N, Soto-Rodriguez S, Pereyra A, Zenteno E, Cano-Sánchez P. The B Subunit of PirABvp Toxin Secreted from Vibrio parahaemolyticus Causing AHPND Is an Amino Sugar Specific Lectin. Pathogens. 2020; 9(3):182. https://doi.org/10.3390/pathogens9030182
Chicago/Turabian StyleVictorio-De Los Santos, Marcelo, Norberto Vibanco-Pérez, Sonia Soto-Rodriguez, Ali Pereyra, Edgar Zenteno, and Patricia Cano-Sánchez. 2020. "The B Subunit of PirABvp Toxin Secreted from Vibrio parahaemolyticus Causing AHPND Is an Amino Sugar Specific Lectin" Pathogens 9, no. 3: 182. https://doi.org/10.3390/pathogens9030182
APA StyleVictorio-De Los Santos, M., Vibanco-Pérez, N., Soto-Rodriguez, S., Pereyra, A., Zenteno, E., & Cano-Sánchez, P. (2020). The B Subunit of PirABvp Toxin Secreted from Vibrio parahaemolyticus Causing AHPND Is an Amino Sugar Specific Lectin. Pathogens, 9(3), 182. https://doi.org/10.3390/pathogens9030182

