Effect and Analysis of Bacterial Lysates for the Treatment of Recurrent Urinary Tract Infections in Adults
Abstract
1. Introduction
2. Results
2.1. Efficacy of the Autologous BL
2.1.1. Patients
2.1.2. UTIs Etiology
2.1.3. Effect of the Autologous BL in Patients with Recurrent UTI
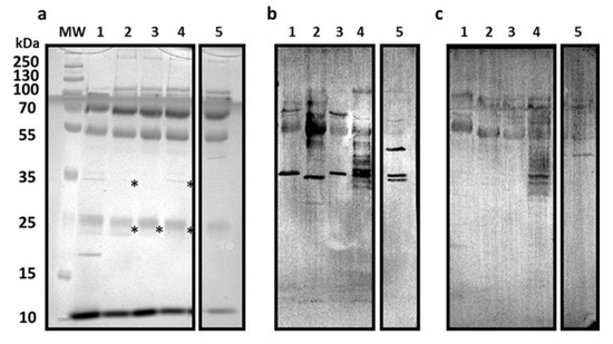
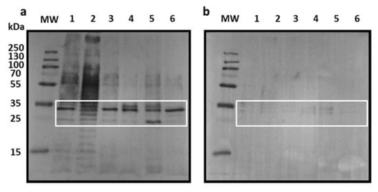
2.2. Immunoassays using the sera from pre- and post-treatment patients with BL and donors with no previous UTIs
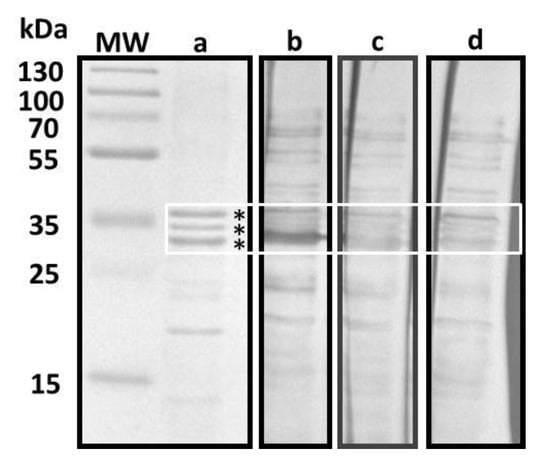
2.2.1. ELISA and Western-Blot of the BLs
2.2.2. Identification of Immunogenic Proteins
2.3. ompA Relevance in Different E. Coli Pathotypes
3. Discussion
4. Materials and Methods
4.1. Study Design
4.1.1. Study Population
4.1.2. Urine Culture
4.1.3. Sera from Patients and Donors with no UTI
4.1.4. Serotyping of E. coli Isolates
4.1.5. Autologous BL
4.2. Components of BLs
4.2.1. BL Manufacturing
4.2.2. OMPs Recovery
4.2.3. Bacterial Surface Structures Recovery
4.2.4. Protein Concentration
4.2.5. ELISA
4.2.6. Western-Blot
4.2.7. LC-MS Protein Identification
4.2.8. PCR for the Detection of ompA in E. coli Strains
4.2.9. Analysis of ompA Sequences from E. coli
4.3. Statistical Analysis
Supplementary Materials
Author Contributions
Funding
Acknowledgments
Conflicts of Interest
References
- Flores-Mireles, A.L.; Walker, J.N.; Caparon, M.; Hultgren, S.J. Urinary tract infections: Epidemiology, mechanisms of infection and treatment options. Nat. Rev. Microbiol. 2015, 13, 269–284. [Google Scholar] [CrossRef]
- Foxman, B. Urinary tract infection syndromes: Occurrence, recurrence, bacteriology, risk factors, and disease burden. Infect. Dis. Clin. N. Am. 2014, 28, 1–13. [Google Scholar] [CrossRef] [PubMed]
- Foxman, B. The epidemiology of urinary tract infection. Nat. Rev. Urol. 2010, 7, 653–660. [Google Scholar] [CrossRef] [PubMed]
- O’Brien, V.P.; Hannan, T.J.; Nielsen, H.V.; Hultgren, S.J. Drug and Vaccine Development for the Treatment and Prevention of Urinary Tract Infections. Microbiol. Spectr. 2016, 4. [Google Scholar] [CrossRef] [PubMed]
- Ochoa, S.A.; Cruz-Córdova, A.; Luna-Pineda, V.M.; Reyes-Grajeda, J.P.; Cázares-Domínguez, V.; Escalona, G.; Sepúlveda-González, M.E.; López-Montiel, F.; Arellano-Galindo, J.; López-Martínez, B.; et al. Multidrug- and Extensively Drug-Resistant Uropathogenic Escherichia coli Clinical Strains: Phylogenetic Groups Widely Associated with Integrons Maintain High Genetic Diversity. Front. Microbiol. 2016, 7, 2042. [Google Scholar] [CrossRef] [PubMed]
- WHO Publishes List of Bacteria for Which New Antibiotics Are Urgently Needed. Available online: https://www.who.int/news-room/detail/27-02-2017-who-publishes-list-of-bacteria-for-which-new-antibiotics-are-urgently-needed (accessed on 4 December 2019).
- 20 Principales Nacional. Available online: http://epidemiologia.salud.gob.mx/anuario/html/principales_nacional.html (accessed on 4 December 2019).
- Stamm, W.E.; Norrby, S.R. Urinary Tract Infections: Disease Panorama and Challenges. J. Infect. Dis. 2001, 183, S1–S4. [Google Scholar] [CrossRef] [PubMed]
- O’Brien, V.P.; Hannan, T.J.; Schaeffer, A.J.; Hultgren, S.J. Are you experienced? Understanding bladder innate immunity in the context of recurrent urinary tract infection. Curr. Opin. Infect. Dis. 2015, 28, 97–105. [Google Scholar] [CrossRef] [PubMed]
- Yang, B.; Foley, S. First experience in the UK of treating women with recurrent urinary tract infections with the bacterial vaccine Uromune®. BJU Int. 2018, 121, 289–292. [Google Scholar] [CrossRef]
- De Benedetto, F.; Sevieri, G. Prevention of respiratory tract infections with bacterial lysate OM-85 bronchomunal in children and adults: A state of the art. Multidiscip. Respir. Med. 2013, 8, 33. [Google Scholar] [CrossRef]
- Micali, S.; Isgro, G.; Bianchi, G.; Miceli, N.; Calapai, G.; Navarra, M. Cranberry and recurrent cystitis: More than marketing? Crit. Rev. Food Sci. Nutr. 2014, 54, 1063–1075. [Google Scholar] [CrossRef]
- Storme, O.; Tirán Saucedo, J.; Garcia-Mora, A.; Dehesa-Dávila, M.; Naber, K.G. Risk factors and predisposing conditions for urinary tract infection. Ther. Adv. Urol. 2019, 11. [Google Scholar] [CrossRef] [PubMed]
- Paniagua-Contreras, G.L.; Monroy-Pérez, E.; Rodríguez-Moctezuma, J.R.; Domínguez-Trejo, P.; Vaca-Paniagua, F.; Vaca, S. Virulence factors, antibiotic resistance phenotypes and O-serogroups of Escherichia coli strains isolated from community-acquired urinary tract infection patients in Mexico. J. Microbiol. Immunol. Infect. 2017, 50, 478–485. [Google Scholar] [CrossRef] [PubMed]
- Robino, L.; García-Fulgueiras, V.; Araujo, L.; Algorta, G.; Pírez, M.C.; Vignoli, R. Urinary tract infection in Uruguayan children: Aetiology, antimicrobial resistance and uropathogenic Escherichia coli virulotyping. J. Glob. Antimicrob. Resist. 2014, 2, 293–298. [Google Scholar] [CrossRef] [PubMed]
- Jadhav, S.; Hussain, A.; Devi, S.; Kumar, A.; Parveen, S.; Gandham, N.; Wieler, L.H.; Ewers, C.; Ahmed, N. Virulence characteristics and genetic affinities of multiple drug resistant uropathogenic Escherichia coli from a semi urban locality in India. PLoS ONE 2011, 6, e18063. [Google Scholar] [CrossRef]
- Molina-López, J.; Aparicio-Ozores, G.; Ribas-Aparicio, R.M.; Gavilanes-Parra, S.; Chávez-Berrocal, M.E.; Hernández-Castro, R.; Manjarrez-Hernández, H.Á. Drug resistance, serotypes, and phylogenetic groups among uropathogenic Escherichia coli including O25-ST131 in Mexico City. J. Infect. Dev. Ctries. 2011, 5, 840–849. [Google Scholar] [CrossRef]
- Morales-Espinosa, R.; Hernandez-Castro, R.; Delgado, G.; Mendez, J.L.; Navarro, A.; Manjarrez, A.; Cravioto, A. UPEC strain characterization isolated from Mexican patients with recurrent urinary infections. J. Infect. Dev. Ctries. 2016, 10, 317–328. [Google Scholar] [CrossRef][Green Version]
- Belmont-Monroy, L.; Ribas-Aparicio, R.M.; Navarro-Ocaña, A.; Manjarrez-Hernández, H.Á.; Gavilanes-Parra, S.; Aparicio-Ozores, G.; Cauich-Sánchez, P.I.; Garza-Ramos, U.; Molina-López, J. Characterization of Escherichia coli causing community acquired urinary tract infections in Mexico City. Diagn. Microbiol. Infect. Dis. 2017, 87, 193–195. [Google Scholar] [CrossRef]
- Toval, F.; Köhler, C.-D.; Vogel, U.; Wagenlehner, F.; Mellmann, A.; Fruth, A.; Schmidt, M.A.; Karch, H.; Bielaszewska, M.; Dobrindt, U. Characterization of Escherichia coli isolates from hospital inpatients or outpatients with urinary tract infection. J. Clin. Microbiol. 2014, 52, 407–418. [Google Scholar] [CrossRef]
- Clermont, O.; Bonacorsi, S.; Bingen, E. Rapid and Simple Determination of the Escherichia coli Phylogenetic Group. Appl. Environ. Microbiol. 2000, 66, 4555–4558. [Google Scholar] [CrossRef]
- Vejborg, R.M.; Hancock, V.; Schembri, M.A.; Klemm, P. Comparative Genomics of Escherichia coli Strains Causing Urinary Tract Infections. Appl. Environ. Microbiol. 2011, 77, 3268–3278. [Google Scholar] [CrossRef]
- Taha Neto, K.A.; Nogueira Castilho, L.; Reis, L.O. Oral vaccine (OM-89) in the recurrent urinary tract infection prophylaxis: A realistic systematic review with meta-analysis. Actas Urol. Esp. 2016, 40, 203–208. [Google Scholar] [CrossRef] [PubMed]
- Brumbaugh, A.R.; Mobley, H.L.T. Preventing urinary tract infection: Progress toward an effective Escherichia coli vaccine. Expert Rev. Vaccines 2012, 11, 663–676. [Google Scholar] [CrossRef] [PubMed]
- Meredith, M.; Chiavaroli, C.; Bauer, H.G. Immunotherapy for Recurrent Urinary Tract Infections: Effects of an Escherichia coli Extract. Curr. Urol. 2009, 3, 1–8. [Google Scholar] [CrossRef]
- Wills-Karp, M.; Karp, C.L. Chitin checking—Novel insights into asthma. N. Engl. J. Med. 2004, 351, 1455–1457. [Google Scholar] [CrossRef]
- Bessler, W.G.; Puce, K.; vor dem Esche, U.; Kirschning, C.; Huber, M. Immunomodulating effects of OM-89, a bacterial extract from Escherichia coli, in murine and human leukocytes. Arzneimittelforschung 2009, 59, 571–577. [Google Scholar] [CrossRef]
- Lorenzo-Gómez, M.F.; Padilla-Fernández, B.; García-Cenador, M.B.; Virseda-Rodríguez, Á.J.; Martín-García, I.; Sánchez-Escudero, A.; Vicente-Arroyo, M.J.; Mirón-Canelo, J.A. Comparison of sublingual therapeutic vaccine with antibiotics for the prophylaxis of recurrent urinary tract infections. Front. Cell. Infect. Microbiol. 2015, 5, 50. [Google Scholar]
- Abraham, S.N.; Miao, Y. The nature of immune responses to urinary tract infections. Nat. Rev. Immunol. 2015, 15, 655–663. [Google Scholar] [CrossRef]
- Purves, J.T.; Hughes, F.M. Inflammasomes in the urinary tract: A disease-based review. Am. J. Physiol. Renal Physiol. 2016, 311, F653–F662. [Google Scholar] [CrossRef]
- Huber, M.; Krauter, K.; Winkelmann, G.; Bauer, H.W.; Rahlfs, V.W.; Lauener, P.A.; Blessmann, G.S.; Bessler, W.G. Immunostimulation by bacterial components: II. Efficacy studies and meta-analysis of the bacterial extract OM-89. Int. J. Immunopharmacol. 2000, 22, 1103–1111. [Google Scholar] [CrossRef]
- Forde, B.M.; Roberts, L.W.; Phan, M.-D.; Peters, K.M.; Fleming, B.A.; Russell, C.W.; Lenherr, S.M.; Myers, J.B.; Barker, A.P.; Fisher, M.A.; et al. Population dynamics of an Escherichia coli ST131 lineage during recurrent urinary tract infection. Nat. Commun. 2019, 10, 1–10. [Google Scholar] [CrossRef]
- Sarowska, J.; Futoma-Koloch, B.; Jama-Kmiecik, A.; Frej-Madrzak, M.; Ksiazczyk, M.; Bugla-Ploskonska, G.; Choroszy-Krol, I. Virulence factors, prevalence and potential transmission of extraintestinal pathogenic Escherichia coli isolated from different sources: Recent reports. Gut Pathog. 2019, 11, 10. [Google Scholar] [CrossRef]
- Bäckhed, F.; Normark, S.; Schweda, E.K.H.; Oscarson, S.; Richter-Dahlfors, A. Structural requirements for TLR4-mediated LPS signalling: A biological role for LPS modifications. Microbes Infect. 2003, 5, 1057–1063. [Google Scholar] [CrossRef]
- Trent, M.S.; Stead, C.M.; Tran, A.X.; Hankins, J.V. Diversity of endotoxin and its impact on pathogenesis. J. Endotoxin Res. 2006, 12, 205–223. [Google Scholar] [CrossRef] [PubMed]
- Poxton, I.R. Antibodies to lipopolysaccharide. J. Immunol. Methods 1995, 186, 1–15. [Google Scholar] [CrossRef]
- Smith, S.G.J.; Mahon, V.; Lambert, M.A.; Fagan, R.P. A molecular Swiss army knife: OmpA structure, function and expression. FEMS Microbiol. Lett. 2007, 273, 1–11. [Google Scholar] [CrossRef]
- Alteri, C.J.; Mobley, H.L.T. Quantitative Profile of the Uropathogenic Escherichia coli Outer Membrane Proteome during Growth in Human Urine. Infect. Immun. 2009, 77, 1272. [Google Scholar] [CrossRef]
- Nicholson, T.F.; Watts, K.M.; Hunstad, D.A. OmpA of Uropathogenic Escherichia coli Promotes Postinvasion Pathogenesis of Cystitis. Infect. Immun. 2009, 77, 5245–5251. [Google Scholar] [CrossRef]
- Wu, H.-H.; Yang, Y.-Y.; Hsieh, W.-S.; Lee, C.-H.; Leu, S.-J.C.; Chen, M.-R. OmpA Is the Critical Component for Escherichia coli Invasion-Induced Astrocyte Activation. J. Neuropathol. Exp. Neurol. 2009, 68, 677–690. [Google Scholar] [CrossRef]
- Da Silva, L.C.; de Mello Santos, A.C.; Silva, R.M. Uropathogenic Escherichia coli pathogenicity islands and other ExPEC virulence genes may contribute to the genome variability of enteroinvasive E. coli. BMC Microbiol. 2017, 17, 68. [Google Scholar] [CrossRef]
- Cordeiro, M.A.; Werle, C.H.; Milanez, G.P.; Yano, T. Curli fimbria: An Escherichia coli adhesin associated with human cystitis. Braz. J. Microbiol. 2016, 47, 414–416. [Google Scholar] [CrossRef][Green Version]
- Osman, K.M.; Kappell, A.D.; ElHofy, F.; Orabi, A.; Mubarak, A.S.; Dawoud, T.M.; Moussa, I.M.; Hessain, A.M. Urinary tract infection attributed to Escherichia coli isolated from participants attending an unorganized gathering. Future Microbiol. 2018, 13, 757–769. [Google Scholar] [CrossRef] [PubMed]
- Liao, C.; Liang, X.; Yang, F.; Soupir, M.L.; Howe, A.C.; Thompson, M.L.; Jarboe, L.R. Allelic Variation in Outer Membrane Protein A and Its Influence on Attachment of Escherichia coli to Corn Stover. Front. Microbiol. 2017, 8, 708. [Google Scholar] [CrossRef] [PubMed]
- Camprubí-Font, C.; Ruiz del Castillo, B.; Barrabés, S.; Martínez-Martínez, L.; Martinez-Medina, M. Amino Acid Substitutions and Differential Gene Expression of Outer Membrane Proteins in Adherent-Invasive Escherichia coli. Front. Microbiol. 2019, 10, 1707. [Google Scholar] [CrossRef] [PubMed]
- Wilson, M.L.; Gaido, L. Laboratory diagnosis of urinary tract infections in adult patients. Clin. Infect. Dis. Off. Publ. Infect. Dis. Soc. Am. 2004, 38, 1150–1158. [Google Scholar] [CrossRef]
- Ørskov, F.; Ørskov, I. The Serology of Capsular Antigens. In Bacterial Capsules; Jann, K., Jann, B., Eds.; Springer: Berlin/Heidelberg, Germany, 1990; pp. 43–63. [Google Scholar]
- Molloy, M.P. Isolation of bacterial cell membranes proteins using carbonate extraction. Methods Mol. Biol. Clifton NJ 2008, 424, 397–401. [Google Scholar]
- Mazariego-Espinosa, K.; Cruz, A.; Ledesma, M.A.; Ochoa, S.A.; Xicohtencatl-Cortes, J. Longus, a type IV pilus of enterotoxigenic Escherichia coli, is involved in adherence to intestinal epithelial cells. J. Bacteriol. 2010, 192, 2791–2800. [Google Scholar] [CrossRef]
- Ewers, C.; Li, G.; Wilking, H.; Kiessling, S.; Alt, K.; Antáo, E.-M.; Laturnus, C.; Diehl, I.; Glodde, S.; Homeier, T.; et al. Avian pathogenic, uropathogenic, and newborn meningitis-causing Escherichia coli: How closely related are they? Int. J. Med. Microbiol. IJMM 2007, 297, 163–176. [Google Scholar] [CrossRef]
- Kumar, S.; Stecher, G.; Li, M.; Knyaz, C.; Tamura, K. MEGA X: Molecular Evolutionary Genetics Analysis across Computing Platforms. Mol. Biol. Evol. 2018, 35, 1547–1549. [Google Scholar] [CrossRef]




| E. coli Serotypes ‡ | No. of Urocultures * | No. of Patients * | No. of Strains per Serotype (%) |
|---|---|---|---|
| O25:H4 | 30 | 10 | 295 (41) |
| O75:HNM | 15 | 4 | 150 (20.8) |
| O6:H1 | 4 | 2 | 40 (5.5) |
| O8:HNM; O20:H9; O22:H1 & O44:HNM | 2 | 1 | 20 (2.8) |
| O29:H10; O73:H18; O75:H25; O101:H19; O152:H8; O174:H28 & O175:H25 | 1 | 1 | 10 (1.4) |
| O138:H6 & O32:HND | 1 | 1 | 5 (0.7) |
| Prevalent serotype subtotal | - | - | 645 (89.6) |
| OND:HNM | 3 | 3 | 30 (4.1) |
| OND:HND | 2 | 2 | 20 (2.8) |
| OND:H9 &OR:H18 | 1 | 1 | 10 (1.4) |
| OND:H21 | 1 | 1 | 5(0.7) |
| Non-serotypable strains subtotal | - | - | 75 (10.4) |
| Total | - | - | 720 |
| Source of E. coli Isolate | No. of Strains | ompA | * p-Value |
|---|---|---|---|
| No. (%) | |||
| Human feces | 23 | 10 (43) | - |
| Cattle | 45 | 26 (58) | 0.3108 |
| STEC, EAEC & DEC strains from human patients | 10 | 7 (70) | 0.2587 |
| E. coli strains associated with UTIs | 70 | 38 (54) | 0.4720 |
| Total | 148 | 81 (55) | 0.2617 |
© 2020 by the authors. Licensee MDPI, Basel, Switzerland. This article is an open access article distributed under the terms and conditions of the Creative Commons Attribution (CC BY) license (http://creativecommons.org/licenses/by/4.0/).
Share and Cite
Ahumada-Cota, R.E.; Hernandez-Chiñas, U.; Milián-Suazo, F.; Chávez-Berrocal, M.E.; Navarro-Ocaña, A.; Martínez-Gómez, D.; Patiño-López, G.; Salazar-Jiménez, E.P.; Eslava, C.A. Effect and Analysis of Bacterial Lysates for the Treatment of Recurrent Urinary Tract Infections in Adults. Pathogens 2020, 9, 102. https://doi.org/10.3390/pathogens9020102
Ahumada-Cota RE, Hernandez-Chiñas U, Milián-Suazo F, Chávez-Berrocal ME, Navarro-Ocaña A, Martínez-Gómez D, Patiño-López G, Salazar-Jiménez EP, Eslava CA. Effect and Analysis of Bacterial Lysates for the Treatment of Recurrent Urinary Tract Infections in Adults. Pathogens. 2020; 9(2):102. https://doi.org/10.3390/pathogens9020102
Chicago/Turabian StyleAhumada-Cota, Ricardo E., Ulises Hernandez-Chiñas, Feliciano Milián-Suazo, María E. Chávez-Berrocal, Armando Navarro-Ocaña, Daniel Martínez-Gómez, Genaro Patiño-López, Erika P. Salazar-Jiménez, and Carlos A. Eslava. 2020. "Effect and Analysis of Bacterial Lysates for the Treatment of Recurrent Urinary Tract Infections in Adults" Pathogens 9, no. 2: 102. https://doi.org/10.3390/pathogens9020102
APA StyleAhumada-Cota, R. E., Hernandez-Chiñas, U., Milián-Suazo, F., Chávez-Berrocal, M. E., Navarro-Ocaña, A., Martínez-Gómez, D., Patiño-López, G., Salazar-Jiménez, E. P., & Eslava, C. A. (2020). Effect and Analysis of Bacterial Lysates for the Treatment of Recurrent Urinary Tract Infections in Adults. Pathogens, 9(2), 102. https://doi.org/10.3390/pathogens9020102

