Recombinant Newcastle Disease Virus (NDV) Expressing Sigma C Protein of Avian Reovirus (ARV) Protects against Both ARV and NDV in Chickens
Abstract
1. Introduction
2. Results
2.1. Generation of Recombinant NDV-R2B Expressing the σC Protein of ARV
2.2. Biological and Molecular Characterization of the Recombinant Virus rNDV-R2B-σC
2.3. Growth Kinetics of the Recombinant Virus
2.4. Pathogenicity Analysis of the Recombinant Viruses
2.5. Evaluation of the Protective Efficacy of Various Recombinant Viruses against Virulent ARV and NDV Challenges in Chickens
2.5.1. Assessment of Humoral Immune Response
2.5.2. Assessment of Cell Mediated Immune Response
2.6. Protection Studies on Experimental Specific Pathogen Free Chickens
2.7. Post Challenge Analysis of Virus Shedding
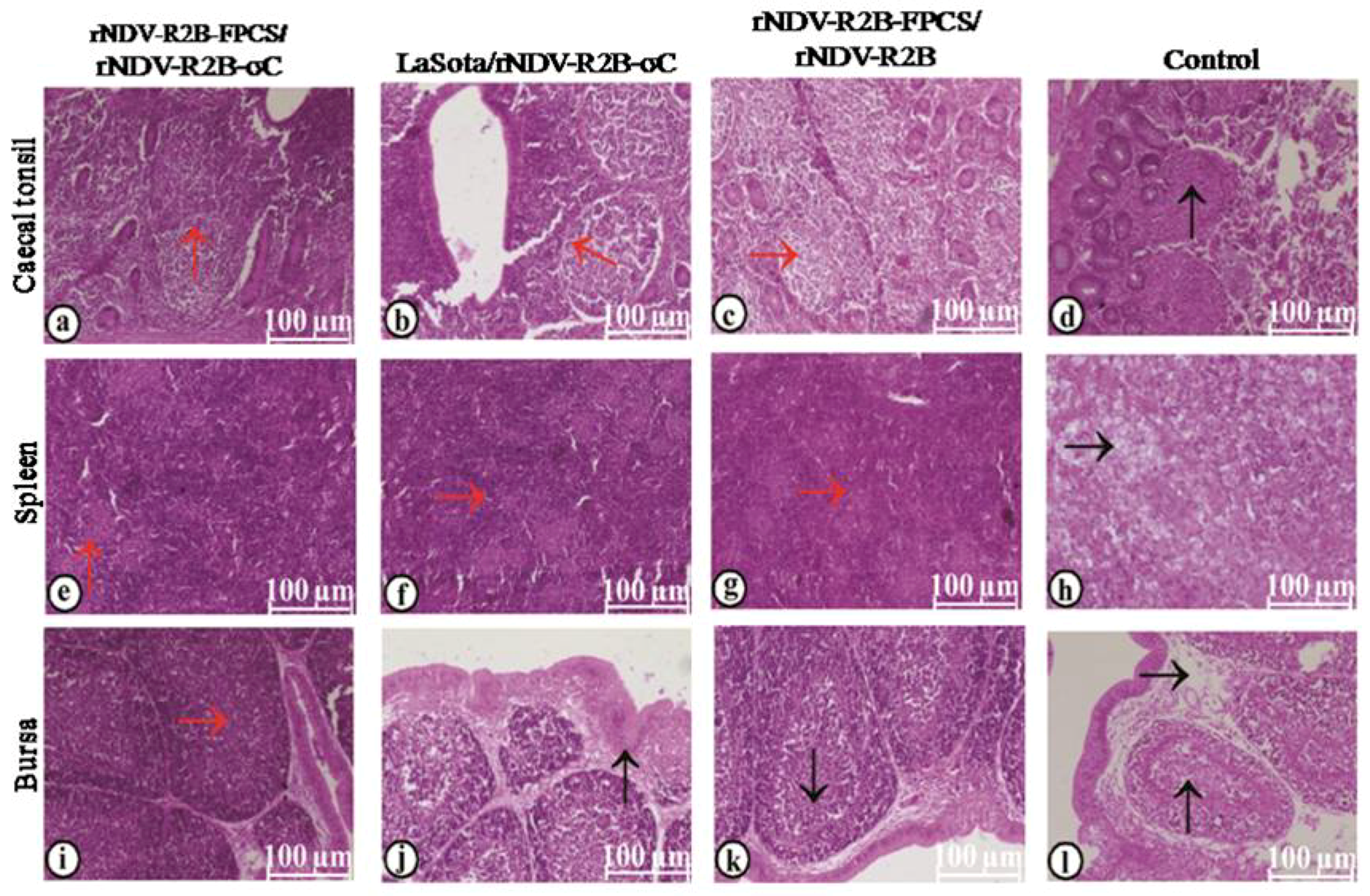
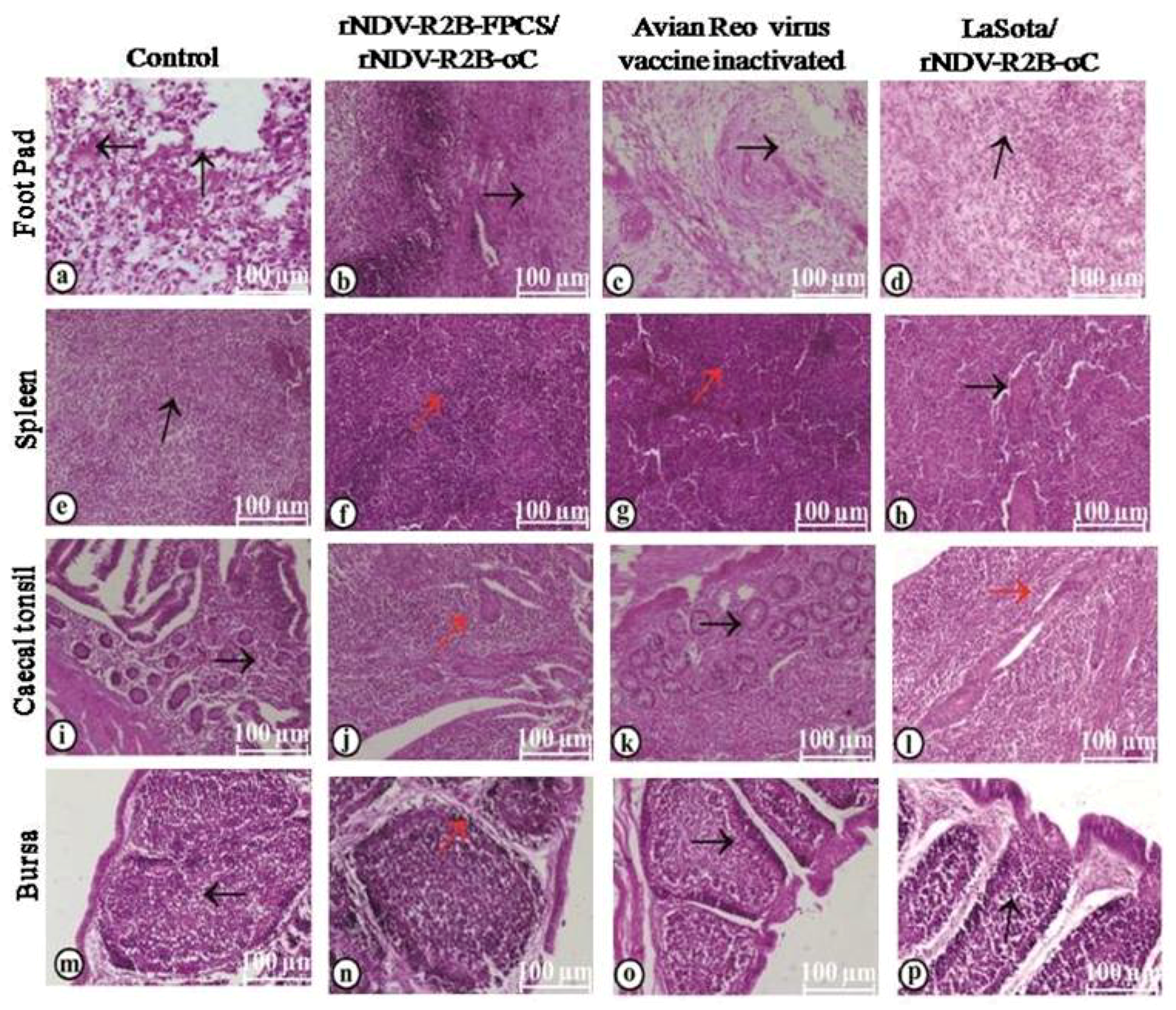
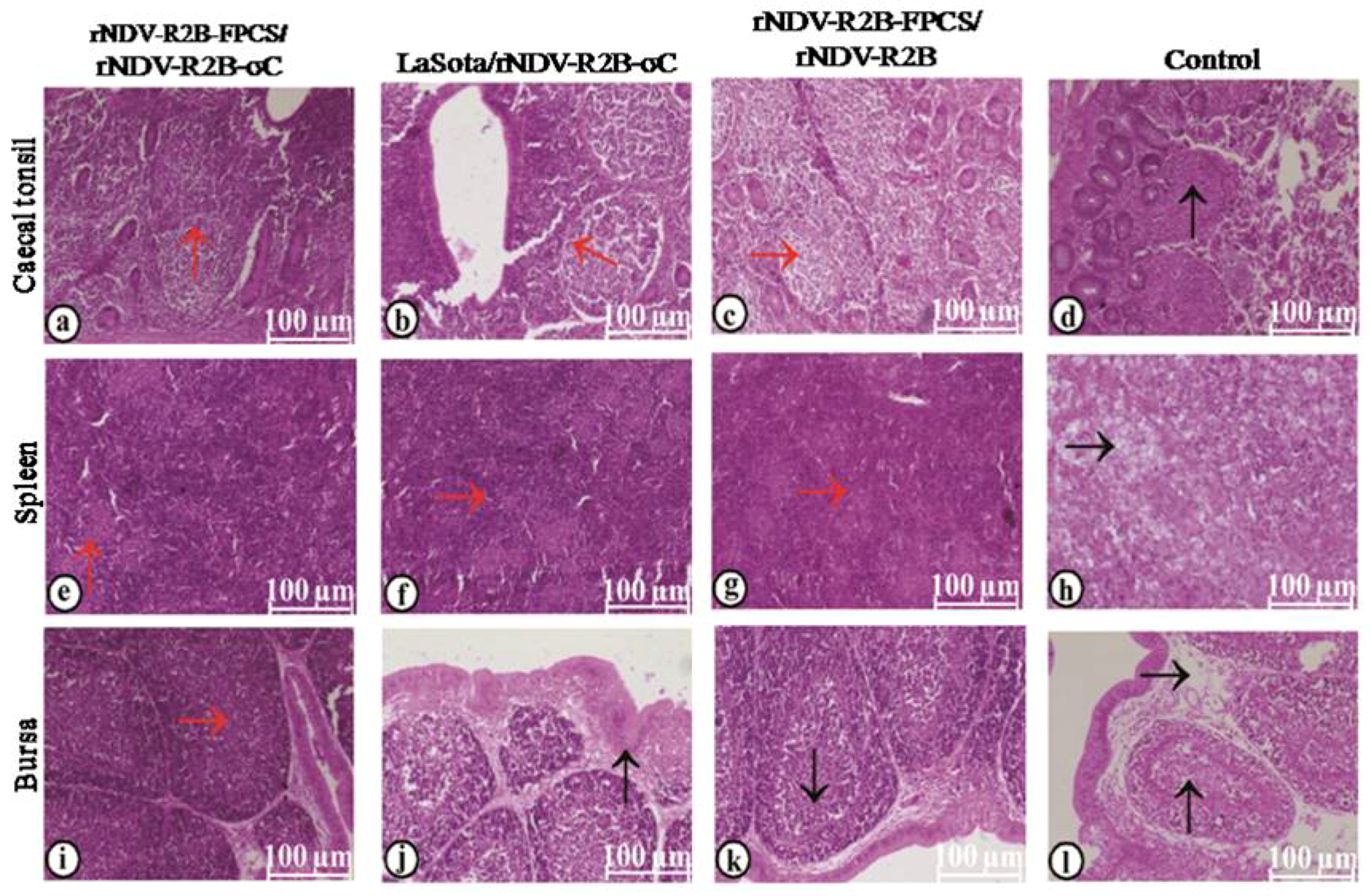
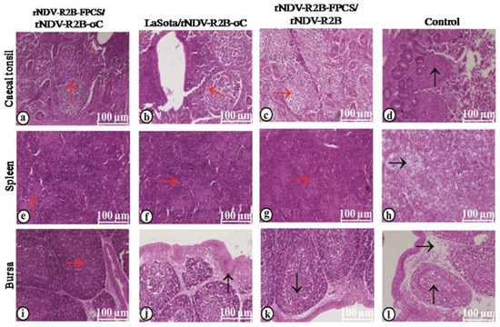
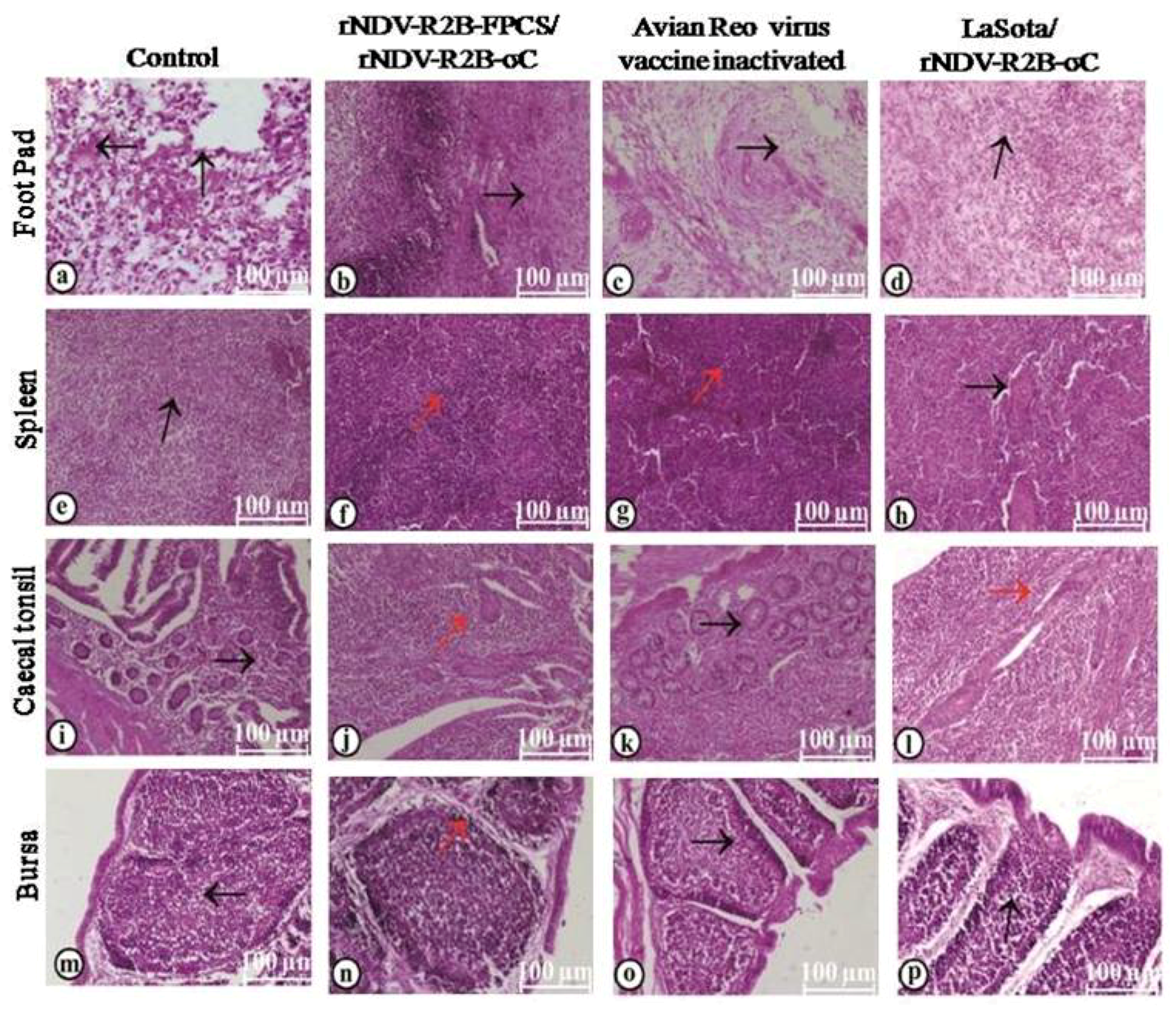
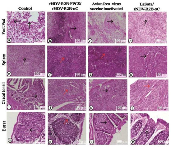
2.8. Pathogenicity of the Recombinant and Virulent Viruses in the Experimental Specific Pathogen Free Chickens
3. Discussion
4. Materials and Methods
4.1. Ethics Statement
4.2. Cell Line, Viruses and SPF Eggs
4.3. Generation of Infectious Clone NDV-R2B Harboring the σC Gene of ARV
4.4. Biological and Molecular Characterization of the Recombinant Virus rNDV-R2B-σC
4.4.1. Immunofluorescence Assay (IFA)
4.4.2. Growth Kinetics of the Recombinant Viruses
4.5. Pathogenicity Evaluation
4.6. Titration of the Recombinant Virus
4.7. Immunogenicity and Protective Efficacy of the Recombinant NDV Expressing the σC Gene of ARV
5. Conclusions
Author Contributions
Funding
Acknowledgments
Conflicts of Interest
References
- Jones, R.C. Avian reovirus infections. Rev. Sci. Tech. (Int. Off. Epizoot.) 2000, 19, 614–625. [Google Scholar] [CrossRef]
- Giambrone, J.J. Vaccinating pullets to control reovirus associated diseases. Poult. Dig. 1985, 44, 96–100. [Google Scholar]
- Fahey, J.E.; Crawley, J.F. Studies on chronic respiratory diseases of chickens. II: Isolation of a virus. Can. J. Comp. Med. 1954, 18, 13–21. [Google Scholar] [PubMed]
- Jones, R.C.; Kibenge, F.S. Reovirus-induced tenosynovitis in chickens: The effect of breed. Avian Pathol. 1984, 13, 511–528. [Google Scholar] [CrossRef] [PubMed]
- Van de Zande, S.; Kuhn, E.M. Central nervous system signs in chickens caused by a new avian reovirus strain: A pathogenesis study. Vet. Microbiol. 2007, 120, 42–49. [Google Scholar] [CrossRef]
- Martínez-Costas, J.; Grande, A.; Varela, R.; García-Martínez, C.; Benavente, J. Protein architecture of avian reovirus S1133 and identification of the cell attachment protein. J. Virol. 1997, 71, 59–64. [Google Scholar] [PubMed]
- Liu, H.J.; Lee, L.H.; Hsu, H.W.; Kuo, L.C.; Liao, M.H. Molecular evolution of avian reovirus: Evidence for genetic diversity and reassortment of the S-class genome segments and multiple cocirculating lineages. Virology 2003, 314, 336–349. [Google Scholar] [CrossRef]
- Lublin, A.; Goldenberg, D.; Rosenbluth, E.; Heller, E.D.; Pitcovski, J. Wide-range protection against avian reovirus conferred by vaccination with representatives of four defined genotypes. Vaccine 2011, 29, 8683–8688. [Google Scholar] [CrossRef]
- Giambrone, J.J.; Hathcock, T.L.; Lockaby, S.B. Effect of a live reovirus vaccine on reproductive performance of broiler breeder hens and development of viral tenosynovitis in progeny. Avian Dis. 1991, 35, 380–383. [Google Scholar] [CrossRef]
- Mukiibi-Muka, G. Studies on Local and Systemic Antibody Responses in Chicken to Avian Reovirus Infections. Ph.D. Thesis, University of Liverpool, Liverpool, UK, 1997. [Google Scholar]
- Jones, R.C.; Nwajei, B.N.C. Reovirus-induced tenosynovitis: Persistence of homologous challenge virus in broiler chicks after vaccination of parents. Res. Vet. Sci. 1985, 39, 39–41. [Google Scholar] [CrossRef]
- Van der Heide, L. Introduction on avian reovirus. In Proceedings of the International Symposium on Adenovirus and Reovirus Infection in Poultry, Rauischholzhausen, Germany, 24–27 June 1996; pp. 138–142. [Google Scholar]
- Wood, G.W.; Muskett, J.C.; Thorton, D.H. Observations on the ability of avian reovirus vaccination of hens to protect their progeny against the effects of challenge with homologous and heterologous strains. J. Comp. Pathol. 1986, 96, 125–129. [Google Scholar] [CrossRef]
- Nakaya, T.; Cros, J.; Park, M.-S.; Nakaya, Y.; Zheng, H.; Sagrera, A.; Villar, E.; Garcia-Sastre, A.; Palese, P. Recombinant Newcastle disease virus as a vaccine vector. J. Virol. 2001, 75, 11868–11873. [Google Scholar] [CrossRef] [PubMed]
- Park, M.S.; Steel, J.; Garcia-Sastre, A.; Swayne, D.; Palese, P. Engineered viral vaccine constructs with dual specificity: Avian influenza and Newcastle disease. Proc. Natl. Acad. Sci. USA 2006, 103, 8203–8208. [Google Scholar] [CrossRef] [PubMed]
- Chellappa, M.M.; Dey, S.; Gaikwad, S.; Pathak, D.C.; Vakharia, V.N. Rescue of a recombinant Newcastle disease virus strain R2B expressing green fluorescent protein. Virus Genes 2017, 53, 410–417. [Google Scholar] [CrossRef] [PubMed]
- Dey, S.; Chellappa, M.M.; Pathak, D.C.; Gaikwad, S.; Yadav, K.; Ramakrishnan, S.; Vakharia, V.N. Newcastle Disease Virus Vectored Bivalent Vaccine against Virulent Infectious Bursal Disease and Newcastle Disease of Chickens. Vaccines 2017, 5, 31. [Google Scholar] [CrossRef] [PubMed]
- Swayne, D.E.; Garcia, M.; Beck, J.R.; Kinney, N.; Suarez, D.L. Protection against diverse highly pathogenic H5 avian influenza viruses in chickens immunized with a recombinant fowlpox vaccine containing an H5 avian influenza hemagglutinin gene insert. Vaccine 2000, 18, 1088–1095. [Google Scholar] [CrossRef]
- Boyle, D.B.; Coupar, B.E. Construction of recombinant fowlpox viruses as vectors for poultry vaccines. Virus Res. 1988, 10, 343–356. [Google Scholar] [CrossRef]
- Bublot, M.; Pritchard, N.; Swayne, D.E.; Selleck, P.; Karaca, K.; Suarez, D.L.; Audonnet, J.-C.; Mickle, T.R. Development and use of fowlpox vectored vaccines for avian influenza. Ann. N. Y. Acad. Sci. 2006, 1081, 193–201. [Google Scholar] [CrossRef] [PubMed]
- Eterradossi, N.; Toquin, D.; Rivallan, G.; Langlois, P.; Francois, A.; Chevalier, C.; Delmas, B. Avian adenovirus CELO recombinants expressing VP2 of infectious bursal disease virus induce protection against bursal disease in chickens. Vaccine 2004, 22, 2351–2360. [Google Scholar]
- Li, Y.; Reddy, K.; Reid, S.M.; Cox, W.J.; Brown, I.H.; Britton, P.; Nair, V.; Iqbal, M. Recombinant herpesvirus of turkeys as a vector-based vaccine against highly pathogenic H7N1 avian influenza and Marek’s disease. Vaccine 2011, 29, 8257–8266. [Google Scholar] [CrossRef]
- Darteil, R.; Bublot, M.; LaPlace, E.; Bouquet, J.-F.; Audonnet, J.-C.; Rivière, M. Herpesvirus of turkey recombinant viruses expressing infectious bursal disease virus (IBDV) VP2 immunogen induce protection against an IBDV virulent challenge in chickens. Virology 1995, 21, 1481–1490. [Google Scholar] [CrossRef] [PubMed]
- Veits, J.; Lüschow, D.; Kindermann, K.; Werner, O.; Teifke, J.P.; Mettenleiter, T.C.; Fuchs, W. Deletion of the non-essential UL0 gene of infectious laryngotracheitis (ILT) virus leads to attenuation in chickens, and UL0 mutants expressing influenza virus haemagglutinin (H7) protect against ILT and fowl plague. J. Gen. Virol. 2003, 84, 3343–3352. [Google Scholar] [CrossRef] [PubMed]
- Luschow, D.; Werner, O.; Mettenleiter, T.C.; Fuchs, W. Protection of chickens from lethal avian influenza A virus infection by live-virus vaccination with infectious laryngotracheitis virus recombinants expressing the hemagglutinin (H5) gene. Vaccine 2001, 19, 4249–4259. [Google Scholar] [CrossRef]
- Tsukamoto, K.; Kojima, C.; Komori, Y.; Tanimura, N.; Mase, M.; Yamaguchi, S. Protection of chickens against very virulent infectious bursal disease virus (IBDV) and Marek’s disease virus (MDV) with a recombinant MDV expressing IBDV VP2. Virology 1999, 257, 352–362. [Google Scholar] [CrossRef] [PubMed]
- Sakaguchi, M.; Nakamura, H.; Sonoda, K.; Okamura, H.; Yokogawa, K.; Matsuo, K.; Hira, K. Protection of chickens with or without maternal antibodies against both Marek’s and Newcastle diseases by one-time vaccination with recombinant vaccine of Marek’s disease virus type 1. Vaccine 1998, 16, 472–479. [Google Scholar] [CrossRef]
- Li, K.; Liu, Y.; Liu, C.; Gao, L.; Zhang, Y.; Cui, H.; Gao, Y.; Qi, X.; Zhong, L.; Wang, X. Recombinant Marek’s disease virus type 1 provides full protection against very virulent Marek’s and infectious bursal disease viruses in chickens. Sci. Rep. 2016, 6, 39263. [Google Scholar] [CrossRef]
- Bukreyev, A.; Collins, P.L. Newcastle disease virus as a vaccine vector for humans. Curr. Opin. Mol. Ther. 2008, 10, 46–55. [Google Scholar]
- Huang, Z.; Elankumaran, S.; Panda, A.; Samal, S.K. Recombinant Newcastle disease virus as a vaccine vector. Poult. Sci. 2003, 82, 899–906. [Google Scholar] [CrossRef]
- Krishnamurthy, S.; Huang, Z.; Samal, S.K. Recovery of a virulent strain of Newcastle disease virus from cloned cDNA: Expression of a foreign gene results in growth retardation and attenuation. Virology 2000, 278, 168–182. [Google Scholar] [CrossRef]
- Peeters, B.P.; de Leeuw, O.S.; Verstegen, I.; Koch, G.; Gielkens, A.L. Generation of a recombinant chimeric Newcastle disease virus vaccine that allows serological differentiation between vaccinated and infected animals. Vaccine 2001, 19, 1616–1627. [Google Scholar] [CrossRef]
- Iyer, G.S.; Hashmi, Z.A. Studies on Newcastle (Ranikhet) disease virus strain differences in amenability to attenuations. Ind. J. Vet. Sci. 1945, 15, 155–157. [Google Scholar]
- Chellappa, M.M.; Dey, S.; Gaikwad, S.; Kataria, J.M.; Vakharia, V.N. Complete genome sequence of Newcastle disease virus mesogenic vaccine strain R2B from India. J. Virol. 2012, 86, 13814–13815. [Google Scholar] [CrossRef] [PubMed]
- Yadav, K.; Pathak, D.C.; Saikia, D.P.; Debnath, A.; Ramakrishnan, S.; Dey, S.; Chellappa, M.M. Generation and evaluation of a recombinant Newcastle disease virus strain R2B with an altered fusion protein cleavage site as a vaccine candidate. Microb. Pathog. 2018, 118, 230–237. [Google Scholar] [CrossRef] [PubMed]
- Sellers, H.S. Update on variant avian reoviruses isolated from clinical cases of viral arthritis/tenosynovitis in broilers. Poult. Inf. Prof. 2013, 127, 1–3. [Google Scholar]
- Wickramasinghe, R.; Meanger, J.; Enriquez, C.E.; Wilcox, G.E. Avian reovirus proteins associated with neutralization of virus infectivity. Virology 1993, 194, 688–696. [Google Scholar] [CrossRef] [PubMed]
- Goldenberg, D.; Lublin, A.; Rosenbluth, E.; Heller, E.D.; Pitcovski, J. Optimized polypeptide for a subunit vaccine against avian reovirus. Vaccine 2016, 34, 3178–3183. [Google Scholar] [CrossRef] [PubMed]
- Zhao, W.; Zhang, Z.; Zsak, L.; Yu, Q. P and M gene junction is the optimal insertion site in Newcastle disease virus vaccine vector for foreign gene expression. J. Gen. Virol. 2015, 96, 40–45. [Google Scholar] [CrossRef] [PubMed]
- Veits, J.; Wiesner, D.; Fuchs, W.; Hoffmann, B.; Granzow, H.; Starick, E.; Mundt, E.; Schirrmeier, H.; Mebatsion, T.; Mettenleiter, T.C.; et al. Newcastle disease virus expressing H5 hemagglutinin gene protects chickens against Newcastle disease and avian influenza. Proc. Natl. Acad. Sci. USA 2006, 103, 8197–8202. [Google Scholar] [CrossRef] [PubMed]
- Yu, Q.; Spatz, S.; Li, Y.; Yang, J.; Zhao, W.; Zhang, Z.; Wen, G.; Garcia, M.; Zsak, L. Newcastle disease virus vectored infectious laryngotracheitis vaccines protect commercial broiler chickens in the presence of maternally derived antibodies. Vaccine 2017, 35, 789–795. [Google Scholar] [CrossRef] [PubMed]
- Shirvani, E.; Paldurai, A.; Manoharan, V.K.; Varghese, B.P.; Samal, S.K. A recombinant Newcastle Disease Virus (NDV) expressing S protein of infectious bronchitis virus (IBV) protects chickens against IBV and NDV. Sci. Rep. 2018, 8, 11951. [Google Scholar] [CrossRef] [PubMed]
- Kaiser, P. Advances in avian immunology-prospects for disease control: A review. Avian Pathol. 2010, 39, 309–324. [Google Scholar] [CrossRef] [PubMed]
- Hu, S.; Ma, H.; Wu, Y.; Liu, W.; Wang, X.; Liu, Y.; Liu, X. A vaccine candidate of attenuated genotype VII Newcastle disease virus generated by reverse genetics. Vaccine 2009, 27, 904–910. [Google Scholar] [CrossRef] [PubMed]
- Xiao, S.; Nayak, B.; Samuel, A.; Paldurai, A.; Kanabagattebasavarajappa, M.; Prajitno, T.Y.; Bharoto, E.E.; Collins, P.L.; Samal, S.K. Generation by reverse genetics of an effective, stable, live-attenuated Newcastle disease virus vaccine based on a currently circulating, highly virulent Indonesian strain. PLoS ONE 2012, 7, e52751. [Google Scholar] [CrossRef] [PubMed]
- Liu, M.-M.; Cheng, J.-L.; Yu, X.-H.; Qin, Z.-M.; Tian, F.-L.; Zhang, G.-Z. Generation by reverse genetics of an effective attenuated Newcastle disease virus vaccine based on a prevalent highly virulent Chinese strain. Biotechnol. Lett. 2015, 37, 1287–1296. [Google Scholar] [CrossRef] [PubMed]
- Wang, J.; Cong, Y.; Yin, R.; Feng, N.; Yang, S.; Xia, X.; Xiao, Y.; Wang, W.; Liu, X.; Hu, S.; et al. Generation and evaluation of a recombinant genotype VII Newcastle disease virus expressing VP3 protein of Goose parvovirus as a bivalent vaccine in goslings. Virus Res. 2015, 203, 77–83. [Google Scholar] [CrossRef] [PubMed]
- Uma, R.; Kataria, M.; Rahul, S.; Kataria, J.M. Anti-neoplastic effect of avian reovirus σC protein on Rous sarcoma virus-induced tumors in chicken. Acta Virol. 2013, 57, 69–74. [Google Scholar] [CrossRef] [PubMed]
- Reed, L.J.; Muench, H.A. Simple method of estimation of fifty per cent end-points. Am. J. Hyg. 1938, 27, 493–497. [Google Scholar]
- Alexander, D.J. Newcastle Disease: World Organisation for Animal Health Manual of Diagnostic Tests and Vaccines for Terrestrial Animals, 6th ed.; OIE: Paris, France, 2008; Chapter 2.3.14; pp. 576–589. [Google Scholar]
- Nang, N.T.; Lee, J.S.; Song, B.M.; Kang, Y.M.; Kim, H.S.; Seo, S.H. Induction of inflammatory cytokines and toll-like receptors in chickens infected with avian H9N2 influenza virus. Vet. Res. 2011, 42, 64. [Google Scholar] [CrossRef] [PubMed]










| Groups | Vaccination | Age of Vaccination (Day) | Dose | Route | ||||
|---|---|---|---|---|---|---|---|---|
| Primary | Booster | Primary | Booster | Primary | Booster | Primary | Booster | |
| 1 | rNDV-R2B-FPCS | rNDV-R2B-σC | 7 | 42 | 100 µL 106 EID50/mL | 100 µL 106 EID50/mL | IO/IN | IM |
| 2 | rNDV-R2B-FPCS | rNDV-R2B | 7 | 42 | 100 µL 106 EID50/mL | 100 µL 106 EID50/mL | IO/IN | IM |
| 3 | LaSota | rNDV-R2B-σC | 7 | 42 | 100 µL 106 EID50/mL | 100 µL 106 EID50/mL | IO/IN | IM |
| 4 | Avian Reovirus vaccine inactivated | 42 | - | 0.5 mL 106 TCID50/mL | - | IM | - | |
| 5 | Control (PBS) | Control (PBS) | 7 | 42 | 100 µL | 100 µL | IO/IN | IM |
© 2019 by the authors. Licensee MDPI, Basel, Switzerland. This article is an open access article distributed under the terms and conditions of the Creative Commons Attribution (CC BY) license (http://creativecommons.org/licenses/by/4.0/).
Share and Cite
Saikia, D.P.; Yadav, K.; Pathak, D.C.; Ramamurthy, N.; D’Silva, A.L.; Marriappan, A.K.; Ramakrishnan, S.; Vakharia, V.N.; Chellappa, M.M.; Dey, S. Recombinant Newcastle Disease Virus (NDV) Expressing Sigma C Protein of Avian Reovirus (ARV) Protects against Both ARV and NDV in Chickens. Pathogens 2019, 8, 145. https://doi.org/10.3390/pathogens8030145
Saikia DP, Yadav K, Pathak DC, Ramamurthy N, D’Silva AL, Marriappan AK, Ramakrishnan S, Vakharia VN, Chellappa MM, Dey S. Recombinant Newcastle Disease Virus (NDV) Expressing Sigma C Protein of Avian Reovirus (ARV) Protects against Both ARV and NDV in Chickens. Pathogens. 2019; 8(3):145. https://doi.org/10.3390/pathogens8030145
Chicago/Turabian StyleSaikia, Deep Prakash, Kalpana Yadav, Dinesh C. Pathak, Narayan Ramamurthy, Ajai Lawrence D’Silva, Asok Kumar Marriappan, Saravanan Ramakrishnan, Vikram N. Vakharia, Madhan Mohan Chellappa, and Sohini Dey. 2019. "Recombinant Newcastle Disease Virus (NDV) Expressing Sigma C Protein of Avian Reovirus (ARV) Protects against Both ARV and NDV in Chickens" Pathogens 8, no. 3: 145. https://doi.org/10.3390/pathogens8030145
APA StyleSaikia, D. P., Yadav, K., Pathak, D. C., Ramamurthy, N., D’Silva, A. L., Marriappan, A. K., Ramakrishnan, S., Vakharia, V. N., Chellappa, M. M., & Dey, S. (2019). Recombinant Newcastle Disease Virus (NDV) Expressing Sigma C Protein of Avian Reovirus (ARV) Protects against Both ARV and NDV in Chickens. Pathogens, 8(3), 145. https://doi.org/10.3390/pathogens8030145

