Review of Major and Minor Pathogens of Adult Pacific Salmon (Oncorhynchus spp.) in Freshwater in the Pacific Northwest of North America
Abstract
1. Introduction
2. Viruses
| Genogroup or Subgroup | Primary Host Species | Other Species Affected | Source (F/M) | System Affected | Disease Description (Juveniles) | Location (State or Province) | |
|---|---|---|---|---|---|---|---|
| All adult Pacific salmon are asymptomatic carriers of IHNV with risk of maternal transmission. | |||||||
| MAJOR | UP | SO | CH a, CU a, SH, CO b, PI b | F, M | I, Gi, N, Sys (H) | SO major | OR, WA, BC, AK |
| UC | CH, SH | SO, CU, CO | CH and ST minor | WA, OR, ID | |||
| M | SH | SO b, CH b, CU, CO | SH major | WA, OR, ID | |||
| L | CH | SH b, CO | CH major | CA, OR | |||
2.1. Major Viruses
Infectious Hematopoietic Necrosis Virus
2.2. Other Viruses of Interest
3. Bacteria
| Bacteria | Source (F/M) | System Affected | Disease Description | Location (State or Province) | MT | |
|---|---|---|---|---|---|---|
| All salmon species are affected (Sockeye, Chinook, Chum, Coho, Steelhead, and Pink Salmon). | ||||||
| MAJOR | Aeromonas salmonicida (Furunculosis) | F | I, R, M, S, Sys | No signs, acute mortality, necrohemorrhagic “furuncles”, splenomegaly, renal necrosis | worldwide | |
| Columnaris-causing bacteria (Columnaris Disease) | F | I, Gi | Gill necrosis, skin/fin ulceration and necrosis | worldwide | ||
| Renibacterium salmoninarum (Bacterial Kidney Disease) | F | R, S, M, Sys | Exophthalmia, skin petechia, ascites, pericardial effusion, granulomas, splenomegaly | CA, WA, OR, BC, AK | ✓ * | |
| MINOR | Flavobacterium psychrophilum (Bacterial Coldwater Disease) | F | I, R, M, N, S, Gi | Disease in juveniles: Fin and caudal peduncle necrosis, neurologic signs | CA, OR, WA, BC, AK | ✓ * |
| Mycobacterium salmoniphilum (Mycobacteriosis) | F, M | Sys | Granulomas | worldwide | ||
| Piscirickettsia salmonis (Salmonid Rickettsial Septicemia) | F, M | Sys | Systemic, renomegaly, splenomegaly, ascites, exophthalmia, sepsis | CA, WA, OR, BC | ||
3.1. Major Bacteria
3.1.1. Aeromonas salmonicida (Furunculosis)
3.1.2. Columnaris-Causing Bacteria (Columnaris Disease)
3.1.3. Renibacterium salmoninarum (Bacterial Kidney Disease)
3.2. Minor Bacteria
3.2.1. Flavobacterium psychrophilum (Bacterial Coldwater Disease)
3.2.2. Mycobacterium salmoniphilum and Mycobacterium spp. (Mycobacteriosis)
3.2.3. Piscirickettsia salmonis (Salmonid Rickettsial Septicemia)
4. Microparasites
| Microparasite | Species Affected | Source (F/M) | System Affected | Disease Description | Location (State or Province) | |
|---|---|---|---|---|---|---|
| MAJOR | Ciliophora | |||||
| Ichthyophthirius multifiliis (White Spot) | All | F | I, Gi | Gill/skin hyperplasia and necrosis | worldwide | |
| Ichthyosporea | ||||||
| Ichthyophonus spp. | All | M, F | Sys | Asymptomatic, granulomas in organs and muscle | worldwide | |
| Kinetoplastea | ||||||
| Cryptobia salmositica | All | F | H, S | Anemia, splenomegaly, icterus | CA, OR, WA, BC | |
| Myxozoa | ||||||
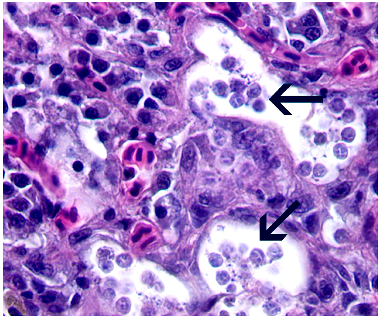
| Ceratonova shasta | SO, CH, CU, CO, PI | F | Sys, G | Enteritis, extra-intestinal infections (kidney, liver, gill) | CA, OR, WA, AK, BC | |
| Parvicapsula minibicornis | SO, CH, CU, CO, PI | F | R, Gi | Glomerulonephritis, branchitis, sockeye mortality | CA, OR, WA, AK, BC | |
| Tetracapsuloides bryosalmonae (Proliferative Kidney Disease) | CH, CO, PI, SO, CU | F | R, S, C | Nephritis, splenomegaly, exophthalmia, ascites, anemia, vascular necrosis, immunocompromization | CA, OR, WA, BC, AK | |
| Oomycota | ||||||
| Saprolegnia spp. | All | F | I, Gi, Sys | Dermatitis, systemic, secondary infections | worldwide | |
| MINOR | Ichthyosporea | |||||
| Dermocystidium spp. | CH, SO, CO | F | Gi, I | Asymptomatic, gill hyperplasia, granulomas, respiratory distress | OR, WA, BC, AK | |
| Sphaerothecum destruens and similar parasites | CH, CO, SO, CU | F | L, R, S, C, V | Systemic granulomatous disease, organomegaly | CA, OR, WA, BC, AK | |
| Microsporidia | ||||||
| Enterocytozoon schreckii | CH | U | G | Enteritis | OR | |
| Renal microsporidium | CU | F | R | Glomerulonephritis | AK | |
| Loma salmonae | All | F, M | Gi, K, S, Re | Xenomas, branchitis | CA, OR, WA, BC, AK | |
| Myxozoa | ||||||
| Henneguya salminicola | All | U | M | Intramuscular cysts | OR, WA, BC, AK | |
| Kudoa thyrsites | CH, PI, CO, SH | M | M, C | Postmortem myoliquefaction | AK, BC | |
| Myxidium truttae | CO | U | L | Hepatitis | AK | |
| Myxobolus sp., M. arcticus, and M. cerebralis | CH, SO, CH | F | N, M | Skeletal deformities, neurologic abnormalities | CA, OR, ID, WA, BC, AK | |
| Myxobolus squamalis | CO, CU | F | I | Dermal cysts, secondary infections | CA, OR, ID, WA, BC, AK | |
| Parvicapsula kabatai | PI, CO | U | R | Tubulointerstitial nephritis | WA, BC |
4.1. Major Microparasites
4.1.1. Ciliophora
Ichthyophthirius multifiliis (Ichthyophthiriasis or White Spot)
4.1.2. Mesomycetozoa (Ichthyosporea)
Ichthyophonus spp.
4.1.3. Kinetoplastea
Cryptobia salmositica
4.1.4. Myxozoa
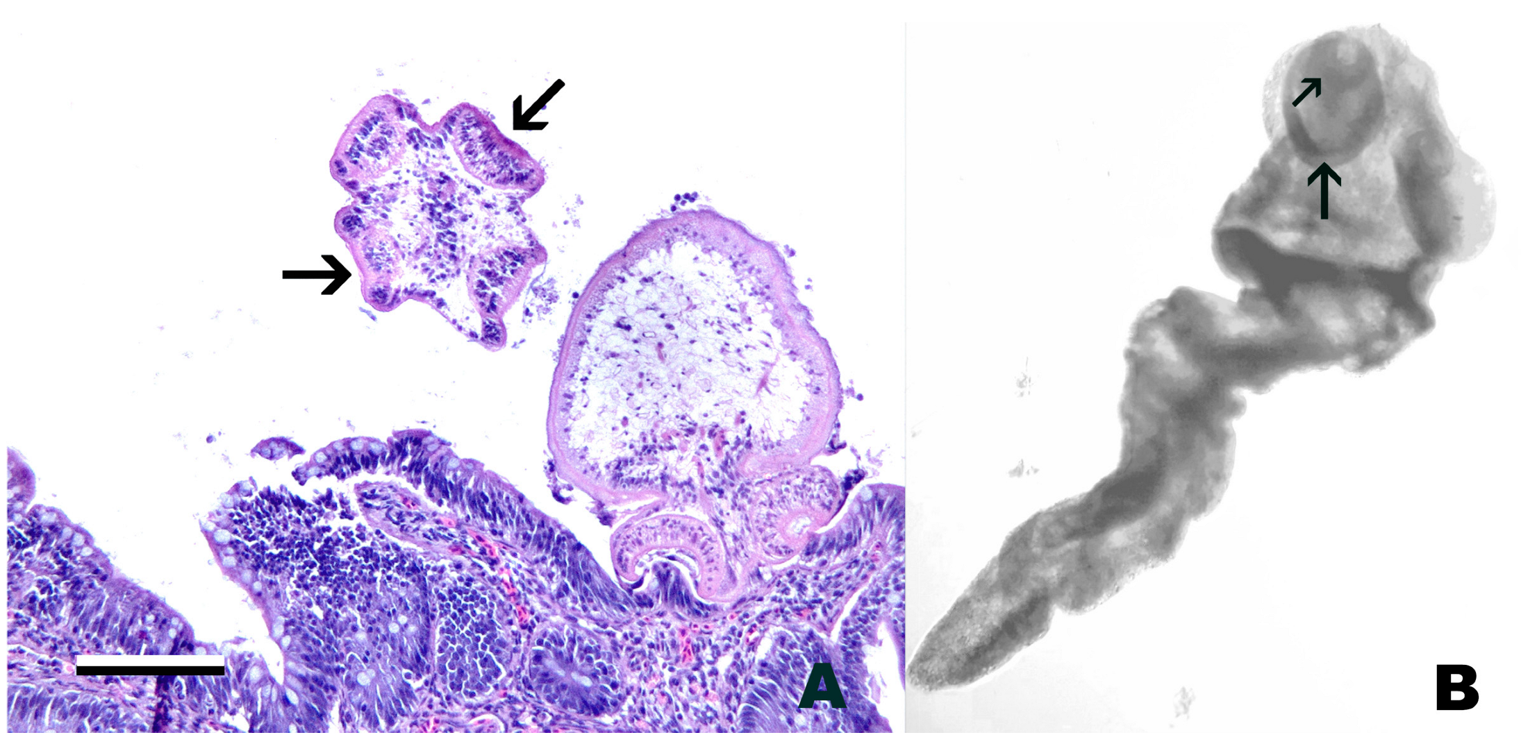
Ceratonova shasta
Parvicapsula minibicornis
Tetracapsuloides bryosalmonae (Proliferative Kidney Disease)
4.1.5. Oomycota
Saprolegnia spp.
4.2. Minor Microparasites
4.2.1. Mesomycetozoa (Ichthyosporea)
Dermocystidium salmonis
Sphaerothecum destruens
4.2.2. Microsporidia
Enterocytozoon schreckii
Renal Microsporidium
Loma salmonae
4.2.3. Minor Myxozoa
Henneguya salminicola
Kudoa thyrsites
Myxidium truttae
Myxobolus sp., M. arcticus, M. cerebralis, M. neurobius, and M. neurotropus
Myxobolus squamalis
Parvicapsula kabatai
5. Macroparasites
| Macroparasites | Species Affected | Source (F/M) | System Affected | Disease Description | Location (State or Province) | |
|---|---|---|---|---|---|---|
| MAJOR | Copepoda | |||||
| Salmincola californiensis | All | F | Gi | Asymptomatic, respiratory compromise, branchitis | CA, OR, WA, BC, AK | |
| Trematoda | ||||||
| Nanophyetus salmincola | All | F | Sys, V, R, M, Gi | Systemic tissue cysts; salmon poisoning in dogs | CA, OR, WA, BC, AK | |
| MINOR | Arthropoda | |||||
| Lepeophtheirus salmonis | SO | M | I | Erosive dermatitis | CA, OR, WA, BC, AK | |
| Cestoda | ||||||
| Dibothriocephalus spp. | All | M | M, P, C | Tissue metacestodes (zoonotic risk) | CA, OR, WA, BC, AK | |
| Dibothriocephalus nihonkaiense | PI | M | M | Tissue metacestodes (zoonotic risk) | AK | |
| Dibothriocephalus ursi | SO | M | G | Gastric metacestodes (zoonotic risk) | AK | |
| Diphyllobothrium cordiceps (syn. D. dendriticum) | SO | M | P | Peritoneal metacestodes (zoonotic risk) | BC | |
| Eubothrium sp. | All | M | G | Gastroenteric metacestodes, juvenile SO morbidity | CA, OR, WA, BC, AK | |
| Pelichnibothrium sp. ‘larva’ | CH | M | G | Asymptomatic, enteritis | OR, WA | |
| Nematoda | ||||||
| Anisakis spp. larvae | All | M | M, V, P | Tissue cysts (zoonotic risk) | worldwide | |
| Philonema spp. (P. agubernaculum and P. oncorhynchi) | All | M | P | Tissue cysts | BC, AK | |
| Trematoda | ||||||
| Apophallus sp. | CH | F | G, Gi | Asymptomatic, cartilage metacercariae | OR | |
| Echinochasmus milvi | CH | F | G, Gi | Asymptomatic, cartilage metacercariae | OR |
5.1. Major Macroparasites
5.1.1. Copepoda
Salmincola californiensis
5.1.2. Trematoda
Nanophyetus salmincola (Salmon Poisoning)
5.2. Minor Macroparasites
5.2.1. Arthropoda
Lepeophtheirus salmonis
5.2.2. Cestoda
Diphyllobothrium/Dibothriocephalus spp.
Eubothrium spp.
Pelichnibothrium sp. metacestodes (Immature Post-Larval Stages)
5.2.3. Nematoda
Anasakis spp. larvae
Philonema spp.
5.2.4. Trematoda (Metacercariae)
6. Discussion
7. Conclusions
Author Contributions
Funding
Institutional Review Board Statement
Informed Consent Statement
Data Availability Statement
Acknowledgments
Conflicts of Interest
Abbreviations
| ASE | adult salmon enteritis |
| AIDS | acquired immunodeficiency syndrome |
| BADI | bilateral acute depigmentation of iris |
| BAIT | bilateral acute iris transillumination |
| BKD | bacterial kidney disease |
| BCFHD | British Columbia Fish Health Database |
| BCWD | bacterial coldwater disease |
| CHSE-214 | Chinook Salmon embryo |
| CFU | colony-forming units |
| CNS | central nervous system |
| CTV | Cutthroat Trout virus |
| DFO-PBS | Fisheries and Oceans Canada, Pacific Biological Station |
| DNA | deoxyribonucleic acid |
| EIBS | erythrocytic inclusion body syndrome |
| EPC | epithelioma papulosum cyprinid |
| ELISA | enzyme-linked immunoabsorbent assay |
| FAT | fluorescent antibody testing |
| FPM-A | Flavobacterium psychrophilum medium A |
| GMS | Grocott–Gömöri’s methenamine silver |
| IHC | immunohistochemistry |
| IHN | infectious hematopoietic necrosis |
| IHNV | infectious hematopoietic necrosis virus |
| INADs | investigational new animal drugs |
| IPNV | infectious pancreatic necrosis virus |
| ISH | in situ hybridization |
| L1 | first-stage |
| L3 | third-stage |
| mL | milliliter |
| NWHS | National Wildfish Health Survey |
| NCBI | National Center for Biotechnology Information |
| ODF&W | Oregon Department of Fish & Wildlife |
| ppm | part per million |
| PAS | periodic acid-Schiff |
| PCR | polymerase chain reaction |
| PFU | plaque-forming units |
| PKD | proliferative kidney disease |
| PNW | Pacific Northwest |
| PRV | piscine orthoreovirus |
| PSM | prespawn mortality |
| qPCR | quantitative polymerase chain reaction |
| SFV | salmon flavivirus |
| SSU | small-subunit |
| SRS | salmonid rickettsial septicemia |
| TYES | tryptic yeast extract serum |
| USDA | United States Food and Drug Administration |
| WOAH | World Organisation for Animal Health |
| VENV | viral erythrocytic necrosis virus |
| VHSV | viral hemorrhagic septicemia virus |
References
- Naiman, R.J.; Bilby, R.E.; Schindler, D.E.; Helfield, J.M. Pacific Salmon, Nutrients, and the Dynamics of Freshwater and Riparian Ecosystems. Ecosystems 2002, 5, 399–417. [Google Scholar] [CrossRef]
- Fall, J.A.; Kostick, M.L. Food Security and Wild Resource Harvests in Alaska 2018. Available online: https://www.adfg.alaska.gov/static/home/subsistence/pdfs/food_security_whitepaper.pdf (accessed on 10 January 2026).
- Columbia River Inter-Tribal Fish Commission Tribal Salmon Culture. Available online: https://critfc.org/salmon-culture/tribal-salmon-culture/ (accessed on 10 January 2026).
- Criddle, K.R.; Shimizu, I. The Economic Importance of Wild Pacific Salmon. In Salmon: Biology, Ecological Impacts and Economic Importance; Noakes, D.J., Woo, P.T.K., Eds.; Fish, Fishing and Fisheries; Nova Publishers: New York, NY, USA, 2014; ISBN 978-1-63117-570-1. [Google Scholar]
- McIntyre, J.K.; Prat, J.; Cameron, J.; Wetzel, J.; Mudrock, E.; Peter, K.T.; Tian, Z.; Mackenzie, C.; Lundin, J.; Stark, J.D.; et al. Treading Water: Tire Wear Particle Leachate Recreates an Urban Runoff Mortality Syndrome in Coho but Not Chum Salmon. Environ. Sci. Technol. 2021, 55, 11767–11774. [Google Scholar] [CrossRef]
- Keefer, M.L.; Taylor, G.A.; Garletts, D.F.; Gauthier, G.A.; Pierce, T.M.; Caudill, C.C. Prespawn Mortality in Adult Spring Chinook Salmon Outplanted above Barrier Dams. Ecol. Freshw. Fish 2010, 19, 361–372. [Google Scholar] [CrossRef]
- Roumasset, A. Pre-Spawn Mortality of Upper Willamette River Spring Chinook Salmon: Associations with Stream Temperature, Watershed Attributes, and Environmental Conditions on the Spawning Grounds. Master’s Thesis, University of Idaho, Moscow, ID, USA, 2012. [Google Scholar]
- Bowerman, T.E.; Keefer, M.L.; Caudill, C.C. Elevated Stream Temperature, Origin, and Individual Size Influence Chinook Salmon Prespawn Mortality across the Columbia River Basin. Fish. Res. 2021, 237, 105874. [Google Scholar] [CrossRef]
- Benda, S.E.; Naughton, G.P.; Caudill, C.C.; Kent, M.L.; Schreck, C.B. Cool, Pathogen-Free Refuge Lowers Pathogen-Associated Prespawn Mortality of Willamette River Chinook Salmon. Trans. Am. Fish. Soc. 2015, 144, 1159–1172. [Google Scholar] [CrossRef]
- Nervino, S.A.; Polley, T.M.; Peterson, J.T.; Schreck, C.B.; Kent, M.L.; Alexander, J.D. Intestinal Lesions and Parasites Associated with Senescence and Prespawn Mortality in Chinook Salmon (Oncorhynchus tshawytscha). J. Fish Dis. 2024, 47, e13876. [Google Scholar] [CrossRef]
- Dolan, B.P.; Fisher, K.M.; Colvin, M.E.; Benda, S.E.; Peterson, J.T.; Kent, M.L.; Schreck, C.B. Innate and Adaptive Immune Responses in Migrating Spring-Run Adult Chinook Salmon, Oncorhynchus tshawytscha. Fish Shellfish Immunol. 2016, 48, 136–144. [Google Scholar] [CrossRef]
- Schreck, C.B. Accumulation and Long-Term Effects of Stress in Fish. In The Biology of Animal Stress: Basic Principles and Implications for Animal Welfare; Moberg, G.P., Mench, J.A., Eds.; CABI: Wallingford, UK, 2000; pp. 147–158. ISBN 978-0-85199-359-1. [Google Scholar]
- Traxler, G.S.; Richard, J.; McDonald, T.E. Ichthyophthirius multifiliis (Ich) Epizootics in Spawning Sockeye Salmon in British Columbia, Canada. J. Aquat. Anim. Health 1998, 10, 143–151. [Google Scholar] [CrossRef]
- Jones, S.R.M.; Prosperi-Porta, G.; Dawe, S.C.; Barnes, D.P. Distribution, Prevalence and Severity of Parvicapsula minibicornis Infections among Anadromous Salmonids in the Fraser River, British Columbia, Canada. Dis. Aquat. Org. 2003, 54, 49–54. [Google Scholar] [CrossRef] [PubMed]
- Kocan, R.M.; Hershberger, P.; Winton, J. Ichthyophoniasis: An Emerging Disease of Chinook Salmon in the Yukon River. J. Aquat. Anim. Health 2004, 16, 58–72. [Google Scholar] [CrossRef]
- Kahler, E.; Borba, B.M.; Burton, T.; Dehn, L.-A.; Hamazaki, T.; Jasper, J.R. Prevalence of Ichthyophonus in Chinook Salmon Entering the Yukon River and at Tanana Stock Spawning Grounds, 2004–2006; Alaska Department of Fish and Game-Divisions of Sport Fish and Commercial Fisheries: Anchorage, AK, USA, 2011; pp. 1–59.
- Kocan, R.M. Transmission Models for the Fish Pathogen Ichthyophonus: Synthesis of Field Observations and Empirical Studies. Can. J. Fish. Aquat. Sci. 2019, 76, 636–642. [Google Scholar] [CrossRef]
- Meyers, T.R. Healthy Juvenile Sockeye Salmon Reared in Virus-Free Hatchery Water Return as Adults Infected with Infectious Hematopoietic Necrosis Virus (IHNV): A Case Report and Review of Controversial Issues in the Epizootiology of IHNV. J. Aquat. Anim. Health 1998, 10, 172–181. [Google Scholar] [CrossRef]
- Mulcahy, D.; Pascho, R.J. Vertical Transmission of Infectious Haematopoietic Necrosis Virus in Sockeye Salmon, Oncorhynchus nerka (Walbaum): Isolation of Virus from Dead Eggs and Fry. J. Fish Dis. 1985, 8, 393–396. [Google Scholar] [CrossRef]
- Winton, J.R. Recent Advances in Detection and Control of Infectious Hematopoietic Necrosis Virus in Aquaculture. Annu. Rev. Fish Dis. 1991, 1, 83–93. [Google Scholar] [CrossRef]
- Love, M.S.; Moser, M. A Checklist of Parasites of California, Oregon, and Washington Marine and Estuarine Fishes; NMFS, NOAA: Seattle, WA, USA, 1983; p. iii + 576.
- Margolis, L.; Arthur, J.R. Synopsis of the Parasites of Fishes of Canada; Bulletin of the Fisheries Research Board of Canada, Depart. of Fisheries and Oceans; Thorn Press Limited: Ottawa, ON, Canada, 1979; ISBN 0-660-10272-2.
- Meyers, T.R.; Hickey, N. A Perspective: Molecular Detections of New Agents in Finfish—Interpreting Biological Significance for Fish Health Management. J. Aquat. Anim. Health 2022, 34, 47–57. [Google Scholar] [CrossRef] [PubMed]
- Kibenge, F.S.B.; Godoy, M.G. Aquaculture Virology; Academic Press: London, UK, 2016; ISBN 978-0-12-801573-5. [Google Scholar]
- Breyta, R.; Samson, C.; Blair, M.; Black, A.; Kurath, G. Successful Mitigation of Viral Disease Based on a Delayed Exposure Rearing Strategy at a Large-Scale Steelhead Trout Conservation Hatchery. Aquaculture 2016, 450, 213–224. [Google Scholar] [CrossRef]
- Meyers, T.R.; Korn, D.; Burton, T.M.; Glass, K.; Follett, J.E.; Thomas, J.B.; Sullivan, J.; Starkey, N.; Short, S.; Lipson, K. Infectious Hematopoietic Necrosis Virus (IHNV) in Alaskan Sockeye Salmon Culture from 1973 to 2000: Annual Virus Prevalences and Titers in Broodstocks Compared with Juvenile Losses. J. Aquat. Anim. Health 2003, 15, 21–30. [Google Scholar] [CrossRef]
- World Organisation for Animal Health OIE. Infection with Infectious Haematopoietic Necrosis Virus. In Manual of Diagnostic Tests for Aquatic Animals; OIE: Paris, France, 2019. [Google Scholar]
- Follett, J.E.; Thomas, J.B.; Hauck, A.K. Infectious Haematopoietic Necrosis Virus in Moribund and Dead Juvenile Chum, Oncorhynchus keta (Walbaum), and Chinook, O. tshawytscha (Walbaum), Salmon and Spawning Adult Chum Salmon at an Alaskan Hatchery. J. Fish Dis. 1987, 10, 309–313. [Google Scholar] [CrossRef]
- Dixon, P.; Paley, R.; Alegria-Moran, R.; Oidtmann, B. Epidemiological Characteristics of Infectious Hematopoietic Necrosis Virus (IHNV): A Review. Vet. Res. 2016, 47, 63. [Google Scholar] [CrossRef]
- Kurath, G. An Online Database for IHN Virus in Pacific Salmonid Fish: MEAP-IHNV; U.S. Geological Survey: Reston, VA, USA, 2012.
- Black, A.; Breyta, R.; Bedford, T.; Kurath, G. Geography and Host Species Shape the Evolutionary Dynamics of U Genogroup Infectious Hematopoietic Necrosis Virus. Virus Evol. 2016, 2, vew034. [Google Scholar] [CrossRef] [PubMed]
- Alaska Department of Fish & Game (ADF&G) (Fish Pathology Laboratory, Anchorage, AK 99518, USA). Fish Pathology Laboratory Report Accession Number 1982-249. Unpublished. 1982. [Google Scholar]
- Alaska Department of Fish & Game (ADF&G) (Fish Pathology Laboratory, Anchorage, AK 99518, USA). Fish Pathology Laboratory Report Accession Number 1984–223. Unpublished. 1984. [Google Scholar]
- Alaska Department of Fish & Game (ADF&G) (Fish Pathology Laboratory, Anchorage, AK 99518, USA). Fish Pathology Laboratory Report Accession Number 1984-233. Unpublished. 1984. [Google Scholar]
- Alaska Department of Fish & Game (ADF&G) (Fish Pathology Laboratory, Anchorage, AK 99518, USA). Fish Pathology Laboratory Report Accession Number 1984–238. Unpublished. 1984. [Google Scholar]
- Alaska Department of Fish & Game (ADF&G) (Fish Pathology Laboratory, Anchorage, AK 99518, USA). Fish Pathology Laboratory Report Accession Number 1985-185. Unpublished. 1985. [Google Scholar]
- Alaska Department of Fish & Game (ADF&G) (Fish Pathology Laboratory, Anchorage, AK 99518, USA). Fish Pathology Laboratory Report Accession Number 1985–186. Unpublished. 1985. [Google Scholar]
- Alaska Department of Fish & Game (ADF&G) (Fish Pathology Laboratory, Anchorage, AK 99518, USA). Fish Pathology Laboratory Report Accession Number 1985-195. Unpublished. 1985. [Google Scholar]
- Alaska Department of Fish & Game (ADF&G) (Fish Pathology Laboratory, Anchorage, AK 99518, USA). Fish Pathology Laboratory Report Accession Number 1985–196. Unpublished. 1985. [Google Scholar]
- Alaska Department of Fish & Game (ADF&G) (Fish Pathology Laboratory, Anchorage, AK 99518, USA). Fish Pathology Laboratory Report Accession Number 1985-197. Unpublished. 1985. [Google Scholar]
- Alaska Department of Fish & Game (ADF&G) (Fish Pathology Laboratory, Anchorage, AK 99518, USA). Fish Pathology Laboratory Report Accession Number 1991-0047. Unpublished. 1991. [Google Scholar]
- Follett, J.E.; Meyers, T.R.; Burton, T.O.; Geesin, J.L. Comparative Susceptibilities of Salmonid Species in Alaska to Infectious Hematopoietic Necrosis Virus (IHNV) and North American Viral Hemorrhagic Septicemia Virus (VHSV). J. Aquat. Anim. Health 1997, 9, 34–40. [Google Scholar] [CrossRef]
- McDaniel, T.R.; Pratt, K.M.; Meyers, T.R.; Ellison, T.D.; Follett, J.E.; Burke, J.A. Alaska Sockeye Salmon Culture Manual; Alaska Department of Fish and Game-Commercial Fisheries Management and Development Division: Juneau, AK, USA, 1994; pp. 1–38.
- Breyta, R.; Jones, A.; Stewart, B.; Brunson, R.; Thomas, J.; Kerwin, J.; Bertolini, J.; Mumford, S.; Patterson, C.; Kurath, G. Emergence of MD Type Infectious Hematopoietic Necrosis Virus in Washington State Coastal Steelhead Trout. Dis. Aquat. Org. 2013, 104, 179–195. [Google Scholar] [CrossRef]
- Breyta, R.; Jones, A.; Kurath, G. Differential Susceptibility in Steelhead Trout Populations to an Emergent MD Strain of Infectious Hematopoietic Necrosis Virus. Dis. Aquat. Org. 2014, 112, 17–28. [Google Scholar] [CrossRef] [PubMed]
- Traxler, G.S.; Rankin, J.B. An Infectious Hematopoietic Necrosis Epizootic in Sockeye Salmon Oncorhynchus nerka in Weaver Creek Spawning Channel, Fraser River System, BC, Canada. Dis. Aquat. Org. 1989, 6, 221–226. [Google Scholar]
- Traxler, G.S.; Roome, J.R.; Lauda, K.A.; LaPatra, S.E. Appearance of Infectious Hematopoietic Necrosis Virus (IHNV) and Neutralizing Antibodies in Sockeye Salmon Onchorynchus nerka during Their Migration and Maturation Period. Dis. Aquat. Org. 1997, 28, 31–38. [Google Scholar] [CrossRef]
- Alaska Department of Fish & Game (ADF&G) (Fish Pathology Laboratory, Anchorage, AK 99518, USA). Fish Pathology Laboratory Report Accession Number 1986-0034. Unpublished. 1986. [Google Scholar]
- Alaska Department of Fish & Game (ADF&G) (Fish Pathology Laboratory, Anchorage, AK 99518, USA). Fish Pathology Laboratory Report Accession Number 1987-0034. Unpublished. 1987. [Google Scholar]
- Alaska Department of Fish & Game (ADF&G) (Fish Pathology Laboratory, Anchorage, AK 99518, USA). Fish Pathology Laboratory Report Accession Number 1987-0041. Unpublished. 1987. [Google Scholar]
- Alaska Department of Fish & Game (ADF&G) (Fish Pathology Laboratory, Anchorage, AK 99518, USA). Fish Pathology Laboratory Report Accession Number 1987-0042. Unpublished. 1987. [Google Scholar]
- Alaska Department of Fish & Game (ADF&G) (Fish Pathology Laboratory, Anchorage, AK 99518, USA). Fish Pathology Laboratory Report Accession Number 1987-0043. Unpublished. 1987. [Google Scholar]
- Alaska Department of Fish & Game (ADF&G) (Fish Pathology Laboratory, Anchorage, AK 99518, USA). Fish Pathology Laboratory Report Accession Number 1987-0056. Unpublished. 1987. [Google Scholar]
- Alaska Department of Fish & Game (ADF&G) (Fish Pathology Laboratory, Anchorage, AK 99518, USA). Fish Pathology Laboratory Report Accession Number 1987-0070. Unpublished. 1987. [Google Scholar]
- Alaska Department of Fish & Game (ADF&G) (Fish Pathology Laboratory, Anchorage, AK 99518, USA). Fish Pathology Laboratory Report Accession Number 1988-0074. Unpublished. 1988. [Google Scholar]
- Alaska Department of Fish & Game (ADF&G) (Fish Pathology Laboratory, Anchorage, AK 99518, USA). Fish Pathology Laboratory Report Accession Number 1994-539. Unpublished. 1994. [Google Scholar]
- Alaska Department of Fish & Game (ADF&G) (Fish Pathology Laboratory, Anchorage, AK 99518, USA). Fish Pathology Laboratory Report Accession Number 2008-0508. Unpublished. 2008. [Google Scholar]
- Alaska Department of Fish & Game (ADF&G) (Fish Pathology Laboratory, Anchorage, AK 99518, USA). Fish Pathology Laboratory Report Accession Number 1992-0030. Unpublished. 1992. [Google Scholar]
- Alaska Department of Fish & Game (ADF&G) (Fish Pathology Laboratory, Anchorage, AK 99518, USA). Fish Pathology Laboratory Report Accession Number 2008-0524. Unpublished. 2008. [Google Scholar]
- Alaska Department of Fish & Game (ADF&G) (Fish Pathology Laboratory, Anchorage, AK 99518, USA). Fish Pathology Laboratory Report Accession Number 2018-0015. Unpublished. 2018. [Google Scholar]
- Alaska Department of Fish & Game (ADF&G) (Fish Pathology Laboratory, Anchorage, AK 99518, USA). Fish Pathology Laboratory Report Accession Number 2021-0015. Unpublished. 2021. [Google Scholar]
- Alaska Department of Fish & Game (ADF&G) (Fish Pathology Laboratory, Anchorage, AK 99518, USA). Fish Pathology Laboratory Report Accession Number 1983-0302. Unpublished. 1983. [Google Scholar]
- Breyta, R.; Batts, W.; Kurath, G. Genetics Reveal Long-Distance Virus Transmission Links in Pacific Salmon. Animals 2022, 12, 2120. [Google Scholar] [CrossRef]
- Müller, A.; Sutherland, B.J.G.; Koop, B.F.; Johnson, S.C.; Garver, K.A. Infectious Hematopoietic Necrosis Virus (IHNV) Persistence in Sockeye Salmon: Influence on Brain Transcriptome and Subsequent Response to the Viral Mimic Poly(I:C). BMC Genom. 2015, 16, 634. [Google Scholar] [CrossRef]
- Breyta, R.; Black, A.; Kaufman, J.; Kurath, G. Spatial and Temporal Heterogeneity of Infectious Hematopoietic Necrosis Virus in Pacific Northwest Salmonids. Infect. Genet. Evol. 2016, 45, 347–358. [Google Scholar] [CrossRef]
- LaPatra, S.E. Infectious Hematopoietic Necrosis. In FHS Blue Book: Suggested Procedures for the Detection and Identification of Certain Finfish and Shellfish Pathogens; American Fisheries Society: Washington, DC, USA, 2012; pp. 1–11. Available online: https://units.fisheries.org/fhs/wp-content/uploads/sites/30/2017/08/2.2.4-IHNv-2014.pdf (accessed on 10 January 2026).
- Batts, W.N.; Capps, T.R.; Crosson, L.M.; Powers, R.L.; Breyta, R.; Purcell, M.K. Rapid Diagnostic Test to Detect and Discriminate Infectious Hematopoietic Necrosis Virus (IHNV) Genogroups U and M to Aid Management of Pacific Northwest Salmonid Populations. Animals 2022, 12, 1761. [Google Scholar] [CrossRef]
- Purcell, M.; Thompson, R.; Garver, K.; Hawley, L.; Batts, W.; Sprague, L.; Sampson, C.; Winton, J. Universal Reverse-Transcriptase Real-Time PCR for Infectious Hematopoietic Necrosis Virus (IHNV). Dis. Aquat. Org. 2013, 106, 103–115. [Google Scholar] [CrossRef]
- Meyers, T.R.; Thomas, J.B.; Follett, J.E.; Saft, R.R. Infectious Hematopoietic Necrosis Virus: Trends in Prevalence and the Risk Management Approach in Alaskan Sockeye Salmon Culture. J. Aquat. Anim. Health 1990, 2, 85–98. [Google Scholar] [CrossRef]
- Páez, D.J.; Powers, R.L.; Jia, P.; Ballesteros, N.; Kurath, G.; Naish, K.A.; Purcell, M.K. Temperature Variation and Host Immunity Regulate Viral Persistence in a Salmonid Host. Pathogens 2021, 10, 855. [Google Scholar] [CrossRef] [PubMed]
- Mortimer, P.P. Orphan Viruses, Orphan Diseases: Still the Raw Material for Virus Discovery. Rev. Med. Virol. 2013, 23, 337–339. [Google Scholar] [CrossRef]
- Soto, E.; Camus, A.; Yun, S.; Kurobe, T.; Leary, J.H.; Rosser, T.G.; Dill-Okubo, J.A.; Nyaoke, A.C.; Adkison, M.; Renger, A.; et al. First Isolation of a Novel Aquatic Flavivirus from Chinook Salmon (Oncorhynchus tshawytscha) and Its In Vivo Replication in a Piscine Animal Model. J. Virol. 2020, 94, e00337-20. [Google Scholar] [CrossRef] [PubMed]
- Jubb; Kennedy; Palmer. Pathology of Domestic Animals: Volume 1, 6th ed.; Maxie, M.G., Ed.; Elsevier: St. Louis, MO, USA, 2016; Volume 1, ISBN 978-0-7020-5317-7. [Google Scholar]
- Mohindra, N.; Singh, V. Acquired Incidental Findings of the Brain and Spine. In Incidental Findings of the Nervous System; Turgut, M., Guo, F., Turgut, A.T., Behari, S., Eds.; Springer: Cham, Switzerland, 2023; pp. 317–332. ISBN 978-3-031-42595-0. [Google Scholar]
- Tarrant, J.C.; Savickas, P.; Omodho, L.; Spinazzi, M.; Radaelli, E. Spontaneous Incidental Brain Lesions in C57BL/6J Mice. Vet. Pathol. 2020, 57, 172–182. [Google Scholar] [CrossRef]
- Polinski, M.P.; Vendramin, N.; Cuenca, A.; Garver, K.A. Piscine orthoreovirus: Biology and Distribution in Farmed and Wild Fish. J. Fish Dis. 2020, 43, 1331–1352. [Google Scholar] [CrossRef]
- Turcotte, L.D.M.; Bradshaw, J.C.; Polinski, M.P.; Johnson, S.C. Piscine orthoreovirus Genotype-1 (PRV-1) in Wild Pacific Salmon of British Columbia, Canada: 2011–2020. Fishes 2023, 8, 252. [Google Scholar] [CrossRef]
- Polinski, M.P.; Haddad, C.A.; Siah, A.; Fuller, C.; Higgins, M.; Parsons, J. British Columbia Freshwater Salmon Hatcheries Demonstrate Minimal Contribution to Piscine orthoreovirus (PRV) Regional Occurrence with No Evidence for Nonendemic Strain Introductions. FACETS 2023, 8, 1–9. [Google Scholar] [CrossRef]
- Marty, G.D.; Ferguson, J.A.; Meyers, T.R.; Waltzek, T.B.; Kent, M.L.; Soto, E. Pathogens From Salmon Aquaculture in Relation to Conservation of Wild Pacific Salmon in Canada: An Alternative Perspective. Aquac. Fish Fish. 2025, 5, e70079. [Google Scholar] [CrossRef]
- Garver, K.A.; Johnson, S.C.; Polinski, M.P.; Bradshaw, J.C.; Marty, G.D.; Snyman, H.N.; Morrison, D.B.; Richard, J. Piscine orthoreovirus from Western North America Is Transmissible to Atlantic Salmon and Sockeye Salmon but Fails to Cause Heart and Skeletal Muscle Inflammation. PLoS ONE 2016, 11, e0146229. [Google Scholar] [CrossRef]
- Polinski, M.P.; Bradshaw, J.C.; Inkpen, S.M.; Richard, J.; Fritsvold, C.; Poppe, T.T.; Rise, M.L.; Garver, K.A.; Johnson, S.C. De Novo Assembly of Sockeye Salmon Kidney Transcriptomes Reveal a Limited Early Response to Piscine Reovirus with or without Infectious Hematopoietic Necrosis Virus Superinfection. BMC Genom. 2016, 17, 848. [Google Scholar] [CrossRef]
- Purcell, M.K.; Powers, R.L.; Taksdal, T.; McKenney, D.; Conway, C.M.; Elliott, D.G.; Polinski, M.; Garver, K.; Winton, J. Consequences of Piscine orthoreovirus Genotype 1 (PRV-1) Infections in Chinook Salmon (Oncorhynchus tshawytscha), Coho Salmon (O. kisutch) and Rainbow Trout (O. mykiss). J. Fish Dis. 2020, 43, 719–728. [Google Scholar] [CrossRef] [PubMed]
- Wessel, Ø.; Braaen, S.; Alarcon, M.; Haatveit, H.; Roos, N.; Markussen, T.; Tengs, T.; Dahle, M.K.; Rimstad, E. Infection with Purified Piscine Orthoreovirus Demonstrates a Causal Relationship with Heart and Skeletal Muscle Inflammation in Atlantic Salmon. PLoS ONE 2017, 12, e0183781. [Google Scholar] [CrossRef]
- Polinski, M.; Gross, L.; Groman, D.; Alarcón, M.; Braceland, M.; Booman, M.; Ditlecadet, D.; May, S.; Gagné, N.; Garver, K. PRV-1 Virulence in Atlantic Salmon Is Affected by Host Genotype. Viruses 2025, 17, 285. [Google Scholar] [CrossRef]
- Di Cicco, E.; Ferguson, H.W.; Kaukinen, K.H.; Schulze, A.D.; Li, S.; Tabata, A.; Günther, O.P.; Mordecai, G.; Suttle, C.A.; Miller, K.M. The Same Strain of Piscine orthoreovirus (PRV-1) Is Involved in the Development of Different, but Related, Diseases in Atlantic and Pacific Salmon in British Columbia. FACETS 2018, 3, 599–641. [Google Scholar] [CrossRef]
- Takano, T.; Nawata, A.; Sakai, T.; Matsuyama, T.; Ito, T.; Kurita, J.; Terashima, S.; Yasuike, M.; Nakamura, Y.; Fujiwara, A.; et al. Full-Genome Sequencing and Confirmation of the Causative Agent of Erythrocytic Inclusion Body Syndrome in Coho Salmon Identifies a New Type of Piscine Orthoreovirus. PLoS ONE 2016, 11, e0165424. [Google Scholar] [CrossRef]
- Eckstrand, C.D.; Torrevillas, B.K.; Wolking, R.M.; Bradway, D.S.; Reno, J.L.; McMenamin-Snekvik, K.M.; Snekvik, K.R. Detection, Sequencing, and Tissue Distribution of Piscine Orthoreovirus 2–like Virus in Diseased Coho Salmon in Alaska. J. Vet. Diagn. Investig. 2024, 36, 338–345. [Google Scholar] [CrossRef]
- Leek, S.L. Viral Erythrocytic Inclusion Body Syndrome (EIBS) Occurring in Juvenile Spring Chinook Salmon (Oncorhynchus tshawytscha) Reared in Freshwater. Can. J. Fish. Aquat. Sci. 1987, 44, 685–688. [Google Scholar] [CrossRef]
- Meyers, T.R. First Report of Erythrocytic Inclusion Body Syndrome (EIBS) in Chinook Salmon Oncorhynchus tshawytscha in Alaska, USA. Dis. Aquat. Org. 2007, 76, 169–172. [Google Scholar] [CrossRef]
- Purcell, M.K.; Powers, R.L.; Evered, J.; Kerwin, J.; Meyers, T.R.; Stewart, B.; Winton, J.R. Molecular Testing of Adult Pacific Salmon and Trout (Oncorhynchus spp.) for Several RNA Viruses Demonstrates Widespread Distribution of Piscine orthoreovirus in Alaska and Washington. J. Fish Dis. 2018, 41, 347–355. [Google Scholar] [CrossRef]
- Hershberger, P.K.; Elder, N.E.; Grady, C.A.; Gregg, J.L.; Pacheco, C.A.; Greene, C.; Rice, C.; Meyers, T.R. Prevalence of Viral Erythrocytic Necrosis in Pacific Herring and Epizootics in Skagit Bay, Puget Sound, Washington. J. Aquat. Anim. Health 2009, 21, 1–7. [Google Scholar] [CrossRef] [PubMed]
- Evelyn, T.P.T.; Traxler, G.S. Viral Erythrocytic Necrosis: Natural Occurrence in Pacific Salmon and Experimental Transmission. J. Fish. Res. Board Can. 1978, 35, 903–907. [Google Scholar] [CrossRef]
- Rohovec, J.S.; Amandi, A. Incidence of Viral Erythrocytic Necrosis among Hatchery Reared Salmonids of Oregon. Fish Pathol. 1981, 15, 135–141. [Google Scholar] [CrossRef]
- Eaton, W.D. Artificial Transmission of Erythrocytic Necrosis Virus (ENV) from Pacific Herring in Alaska to Chum, Sockeye, and Pink Salmon. J. Appl. Ichthyol. 1990, 6, 136–141. [Google Scholar] [CrossRef]
- MacMillan, J.R.; Mulcahy, D. Artificial Transmission to and Susceptibility of Puget Sound Fish to Viral Erythrocytic Necrosis (VEN). J. Fish. Res. Board Can. 1979, 36, 1097–1101. [Google Scholar] [CrossRef]
- Emmenegger, E.J.; Moon, C.H.; Hershberger, P.K.; Kurath, G. Virulence of Viral Hemorrhagic Septicemia Virus (VHSV) Genotypes Ia, IVa, IVb, and IVc in Five Fish Species. Dis. Aquat. Org. 2013, 107, 99–111. [Google Scholar] [CrossRef]
- Escobar, L.E.; Escobar-Dodero, J.; Phelps, N.B.D. Infectious Disease in Fish: Global Risk of Viral Hemorrhagic Septicemia Virus. Rev. Fish Biol. Fish. 2018, 28, 637–655. [Google Scholar] [CrossRef]
- Makhsous, N.; Jensen, N.L.; Haman, K.H.; Batts, W.N.; Jerome, K.R.; Winton, J.R.; Greninger, A.L. Isolation and Characterization of the Fall Chinook Aquareovirus. Virol. J. 2017, 14, 170. [Google Scholar] [CrossRef]
- Batts, W.; Yun, S.; Hedrick, R.; Winton, J. A Novel Member of the Family Hepeviridae from Cutthroat Trout (Oncorhynchus clarkii). Virus Res. 2011, 158, 116–123. [Google Scholar] [CrossRef] [PubMed]
- Batts, W.N. Hepeviruses of Aquatic Organisms. In Aquaculture Virology; Kibenge, F.S.B., Godoy, M.G., Eds.; Academic Press: London, UK, 2024; pp. 509–514. ISBN 978-0-323-91169-6. [Google Scholar]
- Meyers, T.R.; Batts, W.N. Paramyxoviruses of Fish. In Aquaculture Virology; Kibenge, F.S.B., Godoy, M., Eds.; Academic Press: London, UK, 2024; pp. 307–314. ISBN 978-0-323-91169-6. [Google Scholar]
- Barnett, H.K.; Quinn, T.P.; Bhuthimethee, M.; Winton, J.R. Increased Prespawning Mortality Threatens an Integrated Natural- and Hatchery-Origin Sockeye Salmon Population in the Lake Washington Basin. Fish. Res. 2020, 227, 105527. [Google Scholar] [CrossRef]
- Carey, K.C.; Kent, M.; Schreck, C.B.; Couch, C.E.; Whitman, L.; Peterson, J.T. Influence of Stream Temperature and Human Disturbance on Prespawn Mortality of Chinook Salmon in the Willamette River Basin. N. Am. J. Fish. Manag. 2024, 44, 1147–1164. [Google Scholar] [CrossRef]
- Bruno, D.W.; Noguera, P.A.; Poppe, T.T. A Colour Atlas of Salmonid Diseases; Springer: Dordrecht, The Netherlands, 2013; ISBN 978-94-007-2009-1. [Google Scholar]
- Kent, M.L.; Benda, S.E.; St-Hilaire, S.; Schreck, C.B. Sensitivity and Specificity of Histology for Diagnoses of Four Common Pathogens and Detection of Nontarget Pathogens in Adult Chinook Salmon (Oncorhynchus tshawytscha) in Fresh Water. J. Vet. Diagn. Investig. 2013, 25, 341–351. [Google Scholar] [CrossRef]
- Alaska Department of Fish and Game (ADF&G) (Fish Pathology Laboratory, Anchorage, AK 99518, USA). Fish Pathology Laboratory Report Accession Number 2017-0017. Unpublished. 2017. [Google Scholar]
- Alaska Department of Fish and Game (ADF&G) (Fish Pathology Laboratory, Anchorage, AK 99518, USA). Fish Pathology Laboratory Report Accession Number 2025-0031. Unpublished. 2025. [Google Scholar]
- Alaska Department of Fish and Game (ADF&G) (Fish Pathology Laboratory, Anchorage, AK 99518, USA). Fish Pathology Laboratory Report Accession Number 2026-0017. Unpublished. 2026. [Google Scholar]
- Alaska Department of Fish and Game (ADF&G) (Fish Pathology Laboratory, Anchorage, AK 99518, USA). Fish Pathology Laboratory Report Accession Number 1996-0006. Unpublished. 1996. [Google Scholar]
- Alaska Department of Fish and Game (ADF&G) (Fish Pathology Laboratory, Anchorage, AK 99518, USA). Fish Pathology Laboratory Report Accession Number 2001-0005. Unpublished. 2001. [Google Scholar]
- Alaska Department of Fish and Game (ADF&G) (Fish Pathology Laboratory, Anchorage, AK 99518, USA). Fish Pathology Laboratory Report Accession Number 2003-0081. Unpublished. 2003. [Google Scholar]
- Alaska Department of Fish and Game (ADF&G) (Fish Pathology Laboratory, Anchorage, AK 99518, USA). Fish Pathology Laboratory Report Accession Number 2003-0032. Unpublished. 2003. [Google Scholar]
- Alaska Department of Fish and Game (ADF&G) (Fish Pathology Laboratory, Anchorage, AK 99518, USA). Fish Pathology Laboratory Report Accession Number 2017-0018. Unpublished. 2017. [Google Scholar]
- Shotts, E. Furunculosis 1994 ed. In FHS Blue Book: Suggested Procedures for the Detection and Identification of Certain Finfish and Shellfish Pathogens, 2020 ed.; American Fisheries Society: Washington, DC, USA, 1994; Available online: https://units.fisheries.org/fhs/wp-content/uploads/sites/30/2017/08/1.2.7-Furunculosis-2014.pdf (accessed on 10 January 2026).
- Gudmundsdottir, B.K.; Bjornsdottir, B. Aeromonas salmonicida and A. hydrophila. In Fish Viruses and Bacteria: Pathobiology and Protection; Woo, P.T.K., Cipriano, R.C., Eds.; CABI: Wallingford, UK, 2017; pp. 173–189. ISBN 978-1-78064-778-4. [Google Scholar]
- McCarthy, D.H. Fish Furunculosis Caused by Aeromonas salmonicida var. achromogenes. J. Wildl. Dis. 1975, 11, 489–493. [Google Scholar] [CrossRef]
- Herron, C.L.; Ruse, N.E.; Rockey, D.D.; Sanders, J.L.; Peterson, J.T.; Schreck, C.B.; Kent, M.L. Aeromonas salmonicida, Causative Agent of Salmonid Furunculosis, Isolated from the Freshwater Parasitic Copepod, Salmincola californiensis. J. Fish Dis. 2023, 47, e13885. [Google Scholar] [CrossRef]
- Kawali, A.; Mahendradas, P.; Shetty, R. Acute Depigmentation of the Iris: A Retrospective Analysis of 22 Cases. Can. J. Ophthalmol. 2019, 54, 33–39. [Google Scholar] [CrossRef]
- Tugal-Tutkun, I.; Araz, B.; Taskapili, M.; Akova, Y.A.; Yalniz-Akkaya, Z.; Berker, N.; Emre, S.; Gezer, A. Bilateral Acute Depigmentation of the Iris: Report of 26 New Cases and Four-Year Follow-up of Two Patients. Ophthalmology 2009, 116, 1552–1557.e1. [Google Scholar] [CrossRef]
- Cipriano, R.C.; Austin, B. Furunculosis and Other Aeromonad Diseases. In Fish Diseases and Disorders. Volume 3: Viral, Bacterial and Fungal Infections; CABI Books; CABI: Wallingford, UK, 2011; pp. 424–483. ISBN 978-1-84593-554-2. [Google Scholar]
- Hiney, M.; Smith, P.; Bernoth, E.-M. Covert Aeromonas salmonicida Infections. In Furunculosis: Multidisciplinary Fish Disease Research; Bernoth, E.-M., Olivier, G., Ellis, A.E., Midtllyng, P.J., Smith, P., Eds.; Academic Press: San Diego, CA, USA, 1997; pp. 54–97. ISBN 978-0-12-093040-1. [Google Scholar]
- Bernoth, E.-M.; Ellis, A.E.; Midtlyng, P.J.; Olivier, G.; Smith, P. Furunculosis: Multidisciplinary Fish Disease Research, 1st ed.; Academic Press: San Diego, CA, USA, 1997; ISBN 978-0-12-093040-1. [Google Scholar]
- Nordmo, R.; Ramstad, A. Variables Affecting the Challenge Pressure of Aeromonas salmonicida and Vibrio salmonicida in Atlantic Salmon (Salmo salar L.). Aquaculture 1999, 171, 1–12. [Google Scholar] [CrossRef]
- Ogut, H.; Reno, P. Prevalence of Furunculosis in Chinook Salmon Depends on Density of the Host Exposed by Cohabitation. N. Am. J. Aquac. 2004, 66, 191–197. [Google Scholar] [CrossRef]
- CLSI VET04; Performance Standards for Antimicrobial Susceptibility Testing of Bacteria Isolated from Aquatic Animals. CLSI Supplement VET04; 3rd ed. Clinical and Laboratory Standards Institute: Wayne, PA, USA, 2020; ISBN 978-1-68440-075-1.
- Bruno, D.W. An Investigation into Oxytetracycline Residues in Atlantic Salmon, Salmo salar L. J. Fish Dis. 1989, 12, 77–86. [Google Scholar] [CrossRef]
- Declercq, A.M.; Haesebrouck, F.; Van den Broeck, W.; Bossier, P.; Decostere, A. Columnaris Disease in Fish: A Review with Emphasis on Bacterium-Host Interactions. Vet. Res. 2013, 44, 27. [Google Scholar] [CrossRef] [PubMed]
- Loch, T.P.; Faisal, M. Flavobacterium spp. In Fish Viruses and Bacteria: Pathobiology and Protection; Woo, P.T.K., Cipriano, R.C., Eds.; CABI: Wallingford, UK, 2017; pp. 211–232. ISBN 978-1-78064-778-4. [Google Scholar]
- Sebastião, F.d.; Shahin, K.; Heckman, T.I.; LaFrentz, B.R.; Griffin, M.J.; Loch, T.P.; Mukkatira, K.; Veek, T.; Richey, C.; Adkison, M.; et al. Genetic Characterization of Flavobacterium columnare Isolates from the Pacific Northwest, USA. Dis. Aquat. Org. 2021, 144, 151–158. [Google Scholar] [CrossRef]
- Decostere, A.; Haesebrouck, F.; Devriese, L.A. Shieh Medium Supplemented with Tobramycin for Selective Isolation of Flavobacterium columnare (Flexibacter columnaris) from Diseased Fish. J. Clin. Microbiol. 1997, 35, 322–324. [Google Scholar] [CrossRef] [PubMed]
- Song, Y.L.; Fryer, J.L.; Rohovec, J.S. Comparison of Six Media for the Cultivation of Flexibacter columnaris. Fish Pathol. 1988, 23, 91–94. [Google Scholar] [CrossRef]
- LaFrentz, B.R.; García, J.C.; Shelley, J.P. Multiplex PCR for Genotyping Flavobacterium columnare. J. Fish Dis. 2019, 42, 1531–1542. [Google Scholar] [CrossRef]
- Kunttu, H.M.T.; Valtonen, E.T.; Jokinen, E.I.; Suomalainen, L.-R. Saprophytism of a Fish Pathogen as a Transmission Strategy. Epidemics 2009, 1, 96–100. [Google Scholar] [CrossRef]
- Suomalainen, L.-R.; Tiirola, M.; Valtonen, E.T. Chondroitin AC Lyase Activity Is Related to Virulence of Fish Pathogenic Flavobacterium columnare. J. Fish Dis. 2006, 29, 757–763. [Google Scholar] [CrossRef]
- LaFrentz, B.R.; Klesius, P.H. Development of a Culture Independent Method to Characterize the Chemotactic Response of Flavobacterium columnare to Fish Mucus. J. Microbiol. Methods 2009, 77, 37–40. [Google Scholar] [CrossRef]
- Lange, M.D.; Farmer, B.D.; Abernathy, J. Vertebrate Mucus Stimulates Biofilm Development and Upregulates Iron Acquisition Genes in Flavobacterium columnare. J. Fish Dis. 2020, 43, 101–110. [Google Scholar] [CrossRef]
- Staroscik, A.M.; Nelson, D.R. The Influence of Salmon Surface Mucus on the Growth of Flavobacterium columnare. J. Fish Dis. 2008, 31, 59–69. [Google Scholar] [CrossRef]
- Decostere, A.; Haesebrouck, F.; Turnbull, J.F.; Charlier, G. Influence of Water Quality and Temperature on Adhesion of High and Low Virulence Flavobacterium columnare Strains to Isolated Gill Arches. J. Fish Dis. 1999, 22, 1–11. [Google Scholar] [CrossRef]
- Holt, R.A.; Sanders, J.E.; Zinn, J.L.; Fryer, J.L.; Pilcher, K.S. Relation of Water Temperature to Flexibacter columnaris Infection in Steelhead Trout (Salmo gairdneri), Coho (Oncorhynchus kisutch) and Chinook (O. tshawytscha) Salmon. J. Fish. Res. Board Can. 1975, 32, 1553–1559. [Google Scholar] [CrossRef]
- Becker, C.D.; Fujihara, M.P. The Bacterial pathogen Flexibacter columnaris and Its Epizootiology Among Columbia River Fish: A Review and Synthesis; American Fisheries Society: Washington, DC, USA, 1978. [Google Scholar]
- Birkett, C.; Lipscomb, R.; Moreland, T.; Leeds, T.; Evenhuis, J.P. Recirculation versus Flow-through Rainbow Trout Laboratory Flavobacterium columnare Challenge. Dis. Aquat. Org. 2020, 139, 213–221. [Google Scholar] [CrossRef]
- Foott, J.S. Comparison of Static-Bath and Flowing-Water Flavobacterium columnare Challenge Methods with Juvenile Chinook Salmon. J. Aquat. Anim. Health 2025, 37, 147–153. [Google Scholar] [CrossRef] [PubMed]
- Belchik, M.; Hillemeier, D.; Pierce, R.M. The Klamath River Fish Kill of 2002; Analysis of Contributing Factors; Yurok Tribal Fisheries Program: Klamath, CA, USA, 2004; p. 42. [Google Scholar]
- Guillen, G. Klamath River Fish Die-Off, September 2002: Report on Estimate of Mortality; U.S. Fish and Wildlife Service, Arcata Fish and Wildlife Office: Arcata, CA, USA, 2003; pp. 1–42.
- LaFrentz, B.R.; García, J.C.; Waldbieser, G.C.; Evenhuis, J.P.; Loch, T.P.; Liles, M.R.; Wong, F.S.; Chang, S.F. Identification of Four Distinct Phylogenetic Groups in Flavobacterium columnare With Fish Host Associations. Front. Microbiol. 2018, 9, 452. [Google Scholar] [CrossRef]
- LaFrentz, B.R.; Králová, S.; Burbick, C.R.; Alexander, T.L.; Phillips, C.W.; Griffin, M.J.; Waldbieser, G.C.; García, J.C.; de Alexandre Sebastião, F.; Soto, E.; et al. The Fish Pathogen Flavobacterium columnare Represents Four Distinct Species: Flavobacterium columnare, Flavobacterium covae sp. Nov., Flavobacterium davisii sp. Nov. and Flavobacterium oreochromis sp. Nov., and Emended Description of Flavobacterium columnare. Syst. Appl. Microbiol. 2022, 45, 126293. [Google Scholar] [CrossRef]
- Oren, A.; Garrity, G. Valid Publication of New Names and New Combinations Effectively Published Outside the IJSEM. Int. J. Syst. Evol. Microbiol. 2022, 72, 005331. [Google Scholar] [CrossRef]
- Harrison, C.E.; LaFrentz, B.R.; Shoemaker, C.A.; Lange, M.D.; Liles, M.R.; Mohammed, H.H.; Beck, B.H.; Churchman, E.M.; Peatman, E.; Bruce, T.J. An Overview of Vaccine Development Strategies for Columnaris-Causing Bacteria in Cultured Fish. J. Fish Dis. 2025, 48, e14155. [Google Scholar] [CrossRef]
- Fryer, J.L.; Sanders, J.E. Bacterial Kidney Disease of Salmonid Fish. Annu. Rev. Microbiol. 1981, 35, 273–298. [Google Scholar] [CrossRef]
- Hoffnagle, T.L.; Carmichael, R.W.; Noll, W.T. Grande Ronde Basin Spring Chinook Salmon Captive Broodstock Program, 1995–2002 Project Status Report, Fish Resarch and Development Project, Oregon; Northeast Region, Oregon Department of Fish and Wildlife: La Grande, OR, USA, 2003; pp. 1–154.
- Alaska Department of Fish and Game (ADF&G) (Fish Pathology Laboratory, Anchorage, AK 99518, USA). Fish Pathology Laboratory Report Accession Number 2020-0013. Unpublished. 2020. [Google Scholar]
- Alaska Department of Fish and Game (ADF&G) (Fish Pathology Laboratory, Anchorage, AK 99518, USA). Fish Pathology Laboratory Report Accession Number 2023-0018. Unpublished. 2023. [Google Scholar]
- Elliott, D.G. Bacterial Kidney Disease. In FHS Blue Book: Suggested Procedures for the Detection and Identification of Certain Finfish and Shellfish Pathogens; American Fisheries Society: Washington, DC, USA, 2020; pp. 1–16. Available online: https://units.fisheries.org/fhs/wp-content/uploads/sites/30/2020/07/1.3.1-BKD-2020.pdf (accessed on 10 January 2026).
- Alaska Department of Fish and Game (ADF&G) (Fish Pathology Laboratory, Anchorage, AK 99518, USA). Fish Pathology Laboratory Report Accession Number 2019-0013. Unpublished. 2019. [Google Scholar]
- Evelyn, T.P.T.; Ketcheson, J.E.; Prosperi-Porta, L. Further Evidence for the Presence of Renibacterium salmoninarum in Salmonid Eggs and for the Failure of Povidone-Iodine to Reduce the Intra-Ovum Infection Rate in Water-Hardened Eggs. J. Fish Dis. 1984, 7, 173–182. [Google Scholar] [CrossRef]
- Pascho, R.J.; Goodrich, T.D.; McKibben, C.L. Evaluation by Enzyme-Linked Immunosorbent Assay (ELISA) of Renibacterium salmoninarum Bacterins Affected by Persistence of Bacterial Antigens. J. Aquat. Anim. Health 1997, 9, 99–107. [Google Scholar]
- Munson, A.D.; Elliott, D.G.; Johnson, K. Management of Bacterial Kidney Disease in Chinook Salmon Hatcheries Based on Broodstock Testing by Enzyme-Linked Immunosorbent Assay: A Multiyear Study. N. Am. J. Fish. Manag. 2010, 30, 940–955. [Google Scholar] [CrossRef]
- Pascho, R.J.; Chase, D.; McKibben, C.L. Comparison of the Membrane-Filtration Fluorescent Antibody Test, the Enzyme-Linked Immunosorbent Assay, and the Polymerase Chain Reaction to Detect Renibacterium salmoninarum in Salmonid Ovarian Fluid. J. Vet. Diagn. Investig. 1998, 10, 60–66. [Google Scholar] [CrossRef]
- Meyers, T.R.; Korn, D.; Glass, K.; Burton, T.; Short, S.; Lipson, K.; Starkey, N. Retrospective Analysis of Antigen Prevalences of Renibacterium salmoninarum (Rs) Detected by Enzyme-Linked Immunosorbent Assay in Alaskan Pacific Salmon and Trout from 1988 to 2000 and Management of Rs in Hatchery Chinook and Coho Salmon. J. Aquat. Anim. Health 2003, 15, 101–110. [Google Scholar] [CrossRef]
- Moffitt, C.M.; Kiryu, Y. Acute and Chronic Toxicity Following Parenteral Application of Erythromycin to Maturing Spring Chinook Salmon Held at Two Water Temperatures. J. Aquat. Anim. Health 2001, 13, 8–19. [Google Scholar] [CrossRef]
- Brown, L.; Cox, W.; Levine, P. Evidence That the Causal Agent of Bacterial Cold-Water Disease Flavobacterium psychrophilum Is Transmitted within Salmonid Eggs. Dis. Aquat. Org. 1997, 29, 213–218. [Google Scholar] [CrossRef]
- Cipriano, R.C. Intraovum Infection Caused by Flavobacterium psychrophilum among Eggs from Captive Atlantic Salmon Broodfish. J. Aquat. Anim. Health 2005, 17, 275–283. [Google Scholar] [CrossRef]
- Loch, T.P.; Faisal, M. Flavobacteria Isolated from the Milt of Feral Chinook Salmon of the Great Lakes. N. Am. J. Aquac. 2016, 78, 25–33. [Google Scholar] [CrossRef]
- Holt, R.A. Cytophaga psychrophila, the Causative Agent of Bacterial Cold-Water Disease in Salmonid Fish. Ph.D. Thesis, Oregon State University, Corvallis, OR, USA, 1987. [Google Scholar]
- Meyers, T.R.; Bentz, C.; Ferguson, J.; Stewart, D.; Starkey, N.; Burton, T. Diseases of Wild and Cultured Fishes in Alaska, 3rd ed.; Alaska Department of Fish and Game, Fish Pathology Laboratories: Anchorage, AK, USA, 2019.
- Holt, R.A.; Amandi, A.; Rohovec, J.S.; Fryer, J.L. Relation of Water Temperature to Bacterial Cold-Water Disease in Coho Salmon, Chinook Salmon, and Rainbow Trout. J. Aquat. Anim. Health 1989, 1, 94–101. [Google Scholar]
- Knupp, C.K. Intraspecific Flavobacterium psychrophilum Diversity as a Factor in Bacterial Coldwater Disease Ecology and Management. Ph.D. Thesis, Michigan State University, East Lansing, MI, USA, 2023. [Google Scholar]
- Alaska Department of Fish and Game (ADF&G) (Fish Pathology Laboratory, Anchorage, AK 99518, USA). Fish Pathology Laboratory Report Accession Number 1994-0543. Unpublished. 1994. [Google Scholar]
- Alaska Department of Fish and Game (ADF&G) (Fish Pathology Laboratory, Anchorage, AK 99518, USA). Fish Pathology Laboratory Report Accession Number 2002-0028. Unpublished. 2002. [Google Scholar]
- Alaska Department of Fish and Game (ADF&G) (Fish Pathology Laboratory, Anchorage, AK 99518, USA). Fish Pathology Laboratory Report Accession Number 1994-0035. Unpublished. 1994. [Google Scholar]
- Alaska Department of Fish and Game (ADF&G) (Fish Pathology Laboratory, Anchorage, AK 99518, USA). Fish Pathology Laboratory Report Accession Number 2018-0515. Unpublished. 2018. [Google Scholar]
- Holt, R.A.; Bertolini, J.; Cain, K.; Long, A. Coldwater Disease. In FHS Blue Book: Suggested Procedures for the Detection and Identification of Certain Finfish and Shellfish Pathogens; American Fisheries Society: Washington, DC, USA, 2012; pp. 1–15. Available online: https://units.fisheries.org/fhs/wp-content/uploads/sites/30/2017/08/1.2.2-CWD-BB-chapter-June-2014.pdf (accessed on 10 January 2026).
- Nguyen, D.T.; Marancik, D.; Ware, C.; Griffin, M.J.; Soto, E. Mycobacterium salmoniphilum and M. chelonae in Captive Populations of Chinook Salmon. J. Aquat. Anim. Health 2021, 33, 107–115. [Google Scholar] [CrossRef]
- Parisot, T.J. Tuberculosis of Fish; a Review of the Literature with a Description of the Disease in Salmonoid Fish. Bacteriol. Rev. 1958, 22, 240–245. [Google Scholar] [CrossRef]
- Ross, A.J. Mycobacteriosis among Pacific Salmonid Fishes. In Proceedings of the A Symposium on Diseases of Fishes and Shellfishes; Snieszko, S.F., Ed.; American Fish Society: Washington, DC, USA, 1970; Volume 5, pp. 279–283. [Google Scholar]
- Brocklebank, J.; Raverty, S.; Robinson, J. Mycobacteriosis in Atlantic Salmon Farmed in British Columbia. Can. Vet. J. 2003, 44, 486–489. [Google Scholar]
- Zerihun, M.A.; Nilsen, H.; Hodneland, S.; Colquhoun, D.J. Mycobacterium salmoniphilum Infection in Farmed Atlantic Salmon, Salmo salar L. J. Fish Dis. 2011, 34, 769–781. [Google Scholar] [CrossRef]
- Ross, A.J. Mycobacterium salmoniphilum sp. Nov. from Salmonoid Fishes. Am. Rev. Respir. Dis. 1960, 81, 241–250. [Google Scholar]
- Arakawa, C.K.; Fryer, J.L. Isolation and Characterization of a New Subspecies of Mycobacterium chelonei Infectious for Salmonid Fish. Helgol. Meeresunters. 1984, 37, 329–342. [Google Scholar] [CrossRef]
- Whipps, C.M.; Butler, W.R.; Pourahmad, F.; Watral, V.G.; Kent, M.L. Molecular Systematics Support the Revival of Mycobacterium salmoniphilum (Ex Ross 1960) sp. Nov., Nom. Rev., a Species Closely Related to Mycobacterium chelonae. Int. J. Syst. Evol. Microbiol. 2007, 57, 2525–2531. [Google Scholar] [CrossRef]
- Poort, M.J.; Whipps, C.M.; Watral, V.G.; Font, W.F.; Kent, M.L. Molecular Characterization of a Mycobacterium Species in Non-Native Poeciliids in Hawaii Using DNA Sequences. J. Fish Dis. 2006, 29, 181–185. [Google Scholar] [CrossRef]
- Zerihun, M.A.; Hjortaas, M.J.; Falk, K.; Colquhoun, D.J. Immunohistochemical and Taqman Real-Time PCR Detection of Mycobacterial Infections in Fish. J. Fish Dis. 2011, 34, 235–246. [Google Scholar] [CrossRef]
- Behra, P.R.K.; Das, S.; Pettersson, B.M.F.; Shirreff, L.; DuCote, T.; Jacobsson, K.-G.; Ennis, D.G.; Kirsebom, L.A. Extended Insight into the Mycobacterium chelonae-Abscessus Complex through Whole Genome Sequencing of Mycobacterium salmoniphilum Outbreak and Mycobacterium salmoniphilum-like Strains. Sci. Rep. 2019, 9, 4603. [Google Scholar] [CrossRef]
- Henríquez, P.; Kaiser, M.; Bohle, H.; Bustos, P.; Mancilla, M. Comprehensive Antibiotic Susceptibility Profiling of Chilean Piscirickettsia salmonis Field Isolates. J. Fish Dis. 2016, 39, 441–448. [Google Scholar] [CrossRef]
- Rozas, M.; Enríquez, R. Piscirickettsiosis and Piscirickettsia salmonis in Fish: A Review. J. Fish Dis. 2014, 37, 163–188. [Google Scholar] [CrossRef]
- Brocklebank, J.R.; Speare, D.J.; Armstrong, R.D.; Evelyn, T. British Columbia. Septicemia Suspected to Be Caused by a Ricksettia-like Agent in Farmed Atlantic Salmon. Can. Vet. J. 1992, 33, 407–408. [Google Scholar]
- Brocklebank, J.R.; Evelyn, T.P.T.; Speare, D.J.; Armstrong, R.D. Rickettsial Septicemia in Farmed Atlantic and Chinook Salmon in British Columbia: Clinical Presentation and Experimental Transmission. Can. Vet. J. 1993, 34, 745–748. [Google Scholar]
- Cusack, R.R.; Groman, D.B.; Jones, S.R.M. Rickettsial Infection in Farmed Atlantic Salmon in Eastern Canada. Can. Vet. J. 2002, 43, 435–440. [Google Scholar]
- Grant, A.N.; Brown, A.G.; Cox, D.I.; Birkbeck, T.H.; Griffen, A.A. Rickettsia-like Organism in Farmed Salmon. Vet. Rec. 1996, 138, 423. [Google Scholar]
- Olsen, A.B.; Melby, H.P.; Speilberg, L.; Evensen, Ø.; Håstein, T. Piscirickettsia salmonis Infection in Atlantic Salmon Salmo salar in Norway--Epidemiological, Pathological and Microbiological Findings. Dis. Aquat. Org. 1997, 31, 35–48. [Google Scholar] [CrossRef]
- Rodger, H.D.; Drinan, E.M. Observation of a Rickettsia-like Organism in Atlantic Salmon, Salmo salar L., in Ireland. J. Fish Dis. 1993, 16, 361–369. [Google Scholar] [CrossRef]
- Fryer, J.L.; Mauel, M.J. The Rickettsia: An Emerging Group of Pathogens in Fish. Emerg. Infect. Dis. 1997, 3, 137–144. [Google Scholar] [CrossRef]
- Long, A.; Jones, S.R.M. Piscirickettsia salmonis Shedding and Tissue Burden, and Hematological Responses during Cohabitation Infections in Chum Oncorhynchus keta, Pink O. gorbuscha and Atlantic Salmon Salmo salar. PLoS ONE 2021, 16, e0248098. [Google Scholar] [CrossRef]
- Evelyn, T.P.T.; Kent, M.L. Bacterial Diseases. In Diseases of Seawater Netpen-reared Salmonid Fishes; Kent, M.L., Ed.; Canadian Special Publication of Fisheries and Aquatic Sciences: Nanaimo, BC, Canada, 1998; ISBN 0-662-19442-X. [Google Scholar]
- Jones, S.R.M.; Long, A.; MacWilliams, C.; Polinski, M.; Garver, K.A. Factors Associated with Severity of Naturally Occurring Piscirickettsiosis in Netpen- and Tank-Reared Juvenile Atlantic Salmon at a Research Aquarium in Western Canada. J. Fish Dis. 2020, 43, 49–55. [Google Scholar] [CrossRef]
- Miller, K.M.; Teffer, A.; Tucker, S.; Li, S.; Schulze, A.D.; Trudel, M.; Juanes, F.; Tabata, A.; Kaukinen, K.H.; Ginther, N.G.; et al. Infectious Disease, Shifting Climates, and Opportunistic Predators: Cumulative Factors Potentially Impacting Wild Salmon Declines. Evol. Appl. 2014, 7, 812–855. [Google Scholar] [CrossRef]
- Thakur, K.K.; Vanderstichel, R.; Kaukinen, K.; Nekouei, O.; Laurin, E.; Miller, K.M. Infectious Agent Detections in Archived Sockeye Salmon (Oncorhynchus nerka) Samples from British Columbia, Canada (1985–94). J. Fish Dis. 2019, 42, 533–547. [Google Scholar] [CrossRef]
- Bass, A.L.; Hinch, S.G.; Teffer, A.K.; Patterson, D.A.; Miller, K.M. A Survey of Microparasites Present in Adult Migrating Chinook Salmon (Oncorhynchus tshawytscha) in South-Western British Columbia Determined by High-Throughput Quantitative Polymerase Chain Reaction. J. Fish Dis. 2017, 40, 453–477. [Google Scholar] [CrossRef]
- Jia, B.; Delphino, M.K.V.C.; Awosile, B.; Hewison, T.; Whittaker, P.; Morrison, D.; Kamaitis, M.; Siah, A.; Milligan, B.; Johnson, S.C.; et al. Review of Infectious Agent Occurrence in Wild Salmonids in British Columbia, Canada. J. Fish Dis. 2020, 43, 153–175. [Google Scholar] [CrossRef]
- Quintanilla, J.C.; González, M.P.; García, J.P.; Olmos, P.; Contreras-Lynch, S. Horizontal Transmission of Piscirickettsia salmonis from the Wild sub-Antarctic Notothenioid Fish Eleginops maclovinus to Rainbow Trout (Oncorhynchus mykiss) under Experimental Conditions. J. Fish Dis. 2021, 44, 993–1004. [Google Scholar] [CrossRef]
- Alaska Department of Fish and Game (ADF&G) (Fish Pathology Laboratory, Anchorage, AK 99518, USA). Fish Pathology Laboratory Report Accession Number 1981-0078. Unpublished. 1981. [Google Scholar]
- Alaska Department of Fish and Game (ADF&G) (Fish Pathology Laboratory, Anchorage, AK 99518, USA). Fish Pathology Laboratory Report Accession Number 1994-0546. Unpublished. 1994. [Google Scholar]
- Alaska Department of Fish and Game (ADF&G) (Fish Pathology Laboratory, Anchorage, AK 99518, USA). Fish Pathology Laboratory Report Accession Number 2004-0010. Unpublished. 2004. [Google Scholar]
- Alaska Department of Fish and Game (ADF&G) (Fish Pathology Laboratory, Anchorage, AK 99518, USA). Fish Pathology Laboratory Report Accession Number 2020-0015. Unpublished. 2020. [Google Scholar]
- Alaska Department of Fish and Game (ADF&G) (Fish Pathology Laboratory, Anchorage, AK 99518, USA). Fish Pathology Laboratory Report Accession Number 2021-0003. Unpublished. 2021. [Google Scholar]
- Brown, P.J. Microparasites and Macroparasites. Cult. Anthropol. 1987, 2, 155–171. [Google Scholar] [CrossRef]
- Dickerson, H.W. Ichthyophthirius multifiliis. In Fish Parasites: Pathobiology and Protection; Woo, P.T.K., Buchmann, K., Eds.; CABI: Wallingford, UK, 2007; Volume 11, pp. 55–72. ISBN 978-1-84593-806-2. [Google Scholar]
- Buchmann, K.; Bresciani, J. Parasitic Infections in Pond-Reared Rainbow Trout Oncorhynchus mykiss in Denmark. Dis. Aquat. Org. 1997, 28, 125–138. [Google Scholar] [CrossRef]
- Howell, C.K.; Atkinson, S.D.; Bartholomew, J.L.; Hallett, S.L. Development and Application of a qPCR Assay Targeting Ichthyophthirius multifiliis in Environmental Water Samples. Dis. Aquat. Org. 2019, 134, 43–55. [Google Scholar] [CrossRef]
- Jousson, O.; Pretti, C.; Bello, D.D.; Cognetti-Varriale, A.M. Non-Invasive Detection and Quantification of the Parasitic Ciliate Ichthyophthirius multifiliis by Real-Time PCR. Dis. Aquat. Org. 2005, 65, 251–255. [Google Scholar] [CrossRef] [PubMed]
- Hines, R.S.; Spira, D.T. Ichthyophthiriasis in the Mirror Carp Cyprinus carpio (L.) IV. Physiological Dysfunction. J. Fish Biol. 1974, 6, 365–371. [Google Scholar] [CrossRef]
- Sun, H.Y.; Noe, J.; Barber, J.; Coyne, R.S.; Cassidy-Hanley, D.; Clark, T.G.; Findly, R.C.; Dickerson, H.W. Endosymbiotic Bacteria in the Parasitic Ciliate Ichthyophthirius multifiliis. Appl. Environ. Microbiol. 2009, 75, 7445–7452. [Google Scholar] [CrossRef] [PubMed]
- Xu, D.-H.; Pridgeon, J.W.; Klesius, P.H.; Shoemaker, C.A. Parasitism by Protozoan Ichthyophthirius multifiliis Enhanced Invasion of Aeromonas hydrophila in Tissues of Channel Catfish. Vet. Parasitol. 2012, 184, 101–107. [Google Scholar] [CrossRef]
- Xu, D.-H.; Shoemaker, C.A.; Klesius, P.H. Ichthyophthirius multifiliis as a Potential Vector of Edwardsiella ictaluri in Channel Catfish. FEMS Microbiol. Lett. 2012, 329, 160–167. [Google Scholar] [CrossRef]
- Dickerson, H.W.; Findly, R.C. Immunity to Ichthyophthirius Infections in Fish: A Synopsis. Dev. Comp. Immunol. 2014, 43, 290–299. [Google Scholar] [CrossRef]
- Belchik, M. An Outbreak of Ichthyophthirius multifiliis in the Klamath and Trinity Rivers in 2014; Yurok Tribal Fisheries Program: Hoopa, CA, USA, 2015; p. 53. [Google Scholar]
- Bodensteiner, L.R.; Sheehan, R.J.; Wills, P.S.; Brandenburg, A.M.; Lewis, W.M. Flowing Water: An Effective Treatment for Ichthyophthiriasis. J. Aquat. Anim. Health 2000, 12, 209–219. [Google Scholar] [CrossRef]
- Bureau of Reclamation 2016 Lower Klamath River Late-Summer Flow Augmentation from Lewiston Dam, Finding of No Significant Impact; U.S. Department of the Interior: Washington, DC, USA, 2016; pp. 1–14. Available online: https://www.fisheries.noaa.gov/s3/2023-10/nmfs-response-to-reclamation-s-request-to-implement-the-2016-lower-klamath-river-late-summer-flow-augmentation-august-24-2016.pdf (accessed on 10 January 2026).
- Bacher, D. 91 Percent of Butte Creek Spring-Run Chinook Salmon Died Before Spawning in 2021. Available online: https://www.dailykos.com/stories/2022/7/1/2107816/-91-percent-of-Butte-Creek-spring-run-Chinook-salmon-died-before-spawning-in-2021 (accessed on 16 June 2025).
- Mendoza, L.; Taylor, J.W.; Ajello, L. The Class Mesomycetozoea: A Heterogeneous Group of Microorganisms at the Animal-Fungal Boundary. Annu. Rev. Microbiol. 2002, 56, 315–344. [Google Scholar] [CrossRef]
- von Hofer, B. Eine Salmoniden-Erkrankung. Allg. FischZtg. 1893, 18, 169–171. [Google Scholar]
- Fish, F.F. A Fungus Disease in Fishes of the Gulf of Maine. Parasitology 1934, 26, 1–16. [Google Scholar] [CrossRef]
- Gregg, J.L.; Hershberger, P.K.; Neat, A.S.; Jayasekera, H.T.; Ferguson, J.A.; Powers, R.L.; Purcell, M.K. A Phylogeny Based on Cytochrome-c Oxidase Gene Sequences Identifies Sympatric Ichthyophonus Genotypes in the NE Pacific Ocean. Dis. Aquat. Org. 2022, 150, 61–67. [Google Scholar] [CrossRef] [PubMed]
- Lauckner, G. Diseases Caused by Microorganisms. Agents: Fungi. In Diseases of Marine Animals; Kinne, O., Ed.; Biologische Anstalt: Hamburg, Germany, 1984; Volume 4, pp. 89–113. ISBN 978-3-9800818-3-2. [Google Scholar]
- MacKenzie, K. Some Parasites and Diseases of Blue Whiting, Micromesistius poutassou (Risso), to the North and West of Scotland and at the Faroe Islands; Scottish Fisheries Research Report; Marine Laboratory Aberdeen: Aberdeen, UK, 1979; pp. 1–14. [Google Scholar]
- Burek-Huntington, K.A.; Underwood, T.J. Morbidity of Tagged Wild Adult Fall Chum Salmon Captured by Fish Wheel in the Yukon River, Alaska; Alaska Fisheries Technical Report; U.S. Fish and Wildlife Service, Fairbanks Fishery Resource Office: Fairbanks, AK, USA, 2002.
- Alaska Department of Fish and Game (ADF&G) (Fish Pathology Laboratory, Anchorage, AK 99518, USA). Fish Pathology Laboratory Report Accession Number 2022-0009. Unpublished. 2022. [Google Scholar]
- Erkinharju, T.; Hansen, H.; Garseth, Å.H. First Detection of Ichthyophonus sp. in Invasive Wild Pink Salmon (Oncorhynchus gorbuscha) from the North Atlantic Ocean. J. Fish Dis. 2024, 47, e13990. [Google Scholar] [CrossRef]
- Gavryuseva, T.V. First Report of Ichthyophonus hoferi Infection in Young Coho Salmon Oncorhynchus kisutch (Walbaum) at a Fish Hatchery in Kamchatka. Russ. J. Mar. Biol. 2007, 33, 43–48. [Google Scholar] [CrossRef]
- Elliott, D.G.; Conway, C.M.; McKibben, C.L.; MacKenzie, A.H.; Hart, L.M.; Groner, M.L.; Purcell, M.K.; Gregg, J.L.; Hershberger, P.K. Differential Susceptibility of Yukon River and Salish Sea Stocks of Chinook Salmon Oncorhynchus tshawytscha to Ichthyophoniasis. Dis. Aquat. Org. 2021, 144, 123–131. [Google Scholar] [CrossRef] [PubMed]
- Jones, S.R.M.; Dawe, S.C. Ichthyophonus hoferi Plehn & Mulsow in British Columbia Stocks of Pacific Herring, Clupea pallasi Valenciennes, and Its Infectivity to Chinook Salmon, Oncorhynchus tshawytscha (Walbaum). J. Fish Dis. 2002, 25, 415–421. [Google Scholar] [CrossRef]
- Kocan, R.M.; Hershberger, P.; Winton, J. Effects of Ichthyophonus on Survival and Reproductive Success of Yukon River Chinook Salmon. Final Project Report No. FIS 01-200; Federal Subsistence Fisheries Resource Monitoring Program; U.S. Fish and Wildlife Service, Office of Subsistence Management: Seattle, WA, USA, 2004; p. 5.
- Kocan, R.M.; Hershberger, P. Differences in Ichthyophonus Prevalence and Infection Severity between Upper Yukon River and Tanana River Chinook Salmon, Oncorhynchus tshawytscha (Walbaum), Stocks. J. Fish Dis. 2006, 29, 497–503. [Google Scholar] [CrossRef]
- Alaska Department of Fish and Game (ADF&G) (Fish Pathology Laboratory, Anchorage, AK 99518, USA). Fish Pathology Laboratory Report Accession Number 1989-0026. Unpublished. 1989. [Google Scholar]
- Ferguson, J.; West, F.W.; Liller, Z.W. Evaluating Parasite Associated Mortality of Yukon Canadian-Origin Chinook Salmon; Alaska Department of Fish and Game, Division of Commercial Fisheries: Anchorage, AK, USA, 2022.
- JTC (Joint Technical Committee of the Yukon River U.S./Canada Panel). Yukon River Salmon 2021 Season Summary and 2022 Season Outlook; Alaska Department of Fish and Game, Division of Commercial Fisheries: Anchorage, AK, USA, 2022; p. 184.
- Alaska Department of Fish and Game (ADF&G) (Fish Pathology Laboratory, Anchorage, AK 99518, USA). Fish Pathology Laboratory Report Accession Number 2023-0045. Unpublished. 2023. [Google Scholar]
- Alaska Department of Fish and Game (ADF&G) (Fish Pathology Laboratory, Anchorage, AK 99518, USA). Fish Pathology Laboratory Report Accession Number 2024-0026. Unpublished. 2024. [Google Scholar]
- Kocan, R.M.; Hershberger, P.; Sanders, G.; Winton, J. Effects of Temperature on Disease Progression and Swimming Stamina in Ichthyophonus-Infected Rainbow Trout, Oncorhynchus mykiss (Walbaum). J. Fish Dis. 2009, 32, 835–843. [Google Scholar] [CrossRef]
- Xie, A.; Zhu, J.; Kang, S.; Qin, X.; Xu, B.; Wang, Y. Polar Amplification Comparison among Earth’s Three Poles under Different Socioeconomic Scenarios from CMIP6 Surface Air Temperature. Sci. Rep. 2022, 12, 16548. [Google Scholar] [CrossRef]
- McVicar, A.H. Ichthyophonus. In Fish Diseases and Disorders. Volume 3: Viral, Bacterial and Fungal Infections; Woo, P.T.K., Bruno, D.W., Eds.; CABI: Wallingford, UK, 2011; pp. 721–747. ISBN 978-1-84593-554-2. [Google Scholar]
- LaDouceur, E.E.B.; Leger, J.S.; Mena, A.; Mackenzie, A.; Gregg, J.; Purcell, M.; Batts, W.; Hershberger, P. Ichthyophonus sp. Infection in Opaleye (Girella nigricans). Vet. Pathol. 2020, 57, 316–320. [Google Scholar] [CrossRef] [PubMed]
- McVicar, A.H.; McLay, H.A. Tissue Response of Plaice, Haddock, and Rainbow Trout to the Systemic Fungus Ichthyophonus. In Fish and Shellfish Pathology; Ellis, A.E., Ed.; Academic Press: London, UK, 1985; pp. 329–346. ISBN 978-0-12-237490-6. [Google Scholar]
- Kocan, R.; LaPatra, S.; Gregg, J.; Winton, J.; Hershberger, P. Ichthyophonus-Induced Cardiac Damage: A Mechanism for Reduced Swimming Stamina in Salmonids. J. Fish Dis. 2006, 29, 521–527. [Google Scholar] [CrossRef]
- Vollenweider, J.J.; Gregg, J.L.; Heintz, R.A.; Hershberger, P.K. Energetic Cost of Ichthyophonus Infection in Juvenile Pacific Herring (Clupea pallasii). J. Parasitol. Res. 2011, 2011, 926812. [Google Scholar] [CrossRef]
- Conway, C.M.; Purcell, M.K.; Elliott, D.G.; Hershberger, P.K. Detection of Ichthyophonus by Chromogenic in situ Hybridization. J. Fish Dis. 2015, 38, 853–857. [Google Scholar] [CrossRef]
- Whipps, C.M.; Burton, T.; Watral, V.G.; St-Hilaire, S.; Kent, M.L. Assessing the Accuracy of a Polymerase Chain Reaction Test for Ichthyophonus hoferi in Yukon River Chinook Salmon Oncorhynchus tshawytscha. Dis. Aquat. Org. 2006, 68, 141–147. [Google Scholar] [CrossRef]
- White, V.C.; Morado, J.F.; Crosson, L.M.; Vadopalas, B.; Friedman, C.S. Development and Validation of a Quantitative PCR Assay for Ichthyophonus spp. Dis. Aquat. Org. 2013, 104, 69–81. [Google Scholar] [CrossRef]
- Woo, P.T. Cryptobia (Trypanoplasma) salmositica. In Fish Parasites: Pathobiology and Protection; Woo, P.T.K., Buchmann, K., Eds.; CABI: Wallingford, UK, 2012; pp. 30–54. ISBN 978-1-84593-806-2. [Google Scholar]
- Bower, S.M.; Margolis, L. Direct Transmission of the Haemoflagellate Cryptobia salmositica among Pacific Salmon (Oncorhynchus spp.). Can. J. Zool. 1983, 61, 1242–1250. [Google Scholar] [CrossRef]
- Chen, M.F.; Cheng, Y.W.; Popochock, D.; Russell, B.; Kerwin, J.; Bertolini, J.; Gleckler, J.; Snekvik, K.; Han, S. Isometamidium Chloride Reduces Mortality of Adult Chinook Salmon Due to Cryptobia salmositica. N. Am. J. Aquac. 2011, 73, 304–310. [Google Scholar] [CrossRef]
- Kent, M.L.; Margolis, L.; Whitaker, D.J.; Hoskins, G.E.; McDonald, T.E. Review of Myxosporea of Importance in Salmonid Fisheries and Aquaculture in British Columbia. Folia Parasitol. 1994, 41, 27–37. [Google Scholar] [PubMed]
- Ferguson, J.A.; Atkinson, S.D.; Whipps, C.M.; Kent, M.L. Molecular and Morphological Analysis of Myxobolus spp. of Salmonid Fishes with the Description of a New Myxobolus Species. J. Parasitol. 2008, 94, 1322–1334. [Google Scholar] [CrossRef]
- Atkinson, S.D.; Foott, J.S.; Bartholomew, J.L. Erection of Ceratonova n. Gen. (Myxosporea: Ceratomyxidae) to Encompass Freshwater Species C. gasterostea n. sp. from Threespine Stickleback (Gasterosteus aculeatus) and C. shasta n. Comb. from Salmonid Fishes. J. Parasitol. 2014, 100, 640–645. [Google Scholar] [CrossRef]
- Foott, J.S.; Kindopp, J.; Gordon, K.; Imrie, A.; Hikey, K. Ceratonova shasta Infection in Lower Feather River Chinook Juveniles and Trends in Water-Borne Spore Stages. U.S. Fish Wildl. Serv. 2023, 109, e9. [Google Scholar] [CrossRef]
- Fujiwara, M.; Mohr, M.S.; Greenberg, A.; Foott, J.S.; Bartholomew, J.L. Effects of Ceratomyxosis on Population Dynamics of Klamath Fall-Run Chinook Salmon. Trans. Am. Fish. Soc. 2011, 140, 1380–1391. [Google Scholar] [CrossRef]
- Hallett, S.L.; Ray, R.A.; Hurst, C.N.; Holt, R.A.; Buckles, G.R.; Atkinson, S.D.; Bartholomew, J.L. Density of the Waterborne Parasite Ceratomyxa shasta and Its Biological Effects on Salmon. Appl. Environ. Microbiol. 2012, 78, 3724–3731. [Google Scholar] [CrossRef]
- Stocking, R.W.; Holt, R.A.; Foott, J.S.; Bartholomew, J.L. Spatial and Temporal Occurrence of the Salmonid Parasite Ceratomyxa shasta in the Oregon–California Klamath River Basin. J. Aquat. Anim. Health 2006, 18, 194–202. [Google Scholar] [CrossRef]
- Atkinson, S.D.; Bartholomew, J.L.; Rouse, G.W. The Invertebrate Host of Salmonid Fish Parasites Ceratonova shasta and Parvicapsula minibicornis (Cnidaria: Myxozoa), Is a Novel Fabriciid Annelid, Manayunkia occidentalis Sp. Nov. (Sabellida: Fabriciidae). Zootaxa 2020, 4751, 310–320. [Google Scholar] [CrossRef]
- Bartholomew, J.; Whipple, M.; Stevens, D.; Fryer, J. The Life Cycle of Ceratomyxa shasta, a Myxosporean Parasite of Salmonids, Requires a Freshwater Polychaete as an Alternate Host. J. Parasitol. 1997, 83, 859–868. [Google Scholar] [CrossRef]
- Bjork, S.J.; Bartholomew, J.L. Invasion of Ceratomyxa shasta (Myxozoa) and Comparison of Migration to the Intestine between Susceptible and Resistant Fish Hosts. Int. J. Parasitol. 2010, 40, 1087–1095. [Google Scholar] [CrossRef]
- Bjork, S.J.; Bartholomew, J.L. Effects of Ceratomyxa shasta Dose on a Susceptible Strain of Rainbow Trout and Comparatively Resistant Chinook and Coho Salmon. Dis. Aquat. Org. 2009, 86, 29–37. [Google Scholar] [CrossRef]
- Foott, J.S.; Harmon, R.; Stone, R. Effect of Water Temperature on Non-Specific Immune Function and Ceratomyxosis in Juvenile Chinook Salmon and Steelhead from the Klamath River. Calif. Fish Game 2004, 90, 71–84. [Google Scholar]
- Ray, R.A.; Rossignol, P.A.; Bartholomew, J.L. Mortality Threshold for Juvenile Chinook Salmon Oncorhynchus tshawytscha in an Epidemiological Model of Ceratomyxa shasta. Dis. Aquat. Org. 2010, 93, 63–70. [Google Scholar] [CrossRef] [PubMed]
- Udey, L.R.; Fryer, J.L.; Pilcher, K.S. Relation of Water Temperature to Ceratomyxosis in Rainbow Trout (Salmo gairdneri) and Coho Salmon (Oncorhynchus kisutch). J. Fish. Res. Board Can. 1975, 32, 1545–1551. [Google Scholar] [CrossRef]
- Meaders, M.D.; Hendrickson, G.L. Chronological Development of Ceratomyxa Shasta in the Polychaete Host, Manayunkia speciosa. J. Parasitol. 2009, 95, 1397–1407. [Google Scholar] [CrossRef]
- Stocking, R.W.; Bartholomew, J.L. Distribution and Habitat Characteristics of Manayunkia speciosa and Infection Prevalence with the Parasite Ceratomyxa shasta in the Klamath River, Oregon–California. J. Parasitol. 2007, 93, 78–88. [Google Scholar] [CrossRef] [PubMed]
- Willson, S.J.; Wilzbach, M.A.; Malakauskas, D.M.; Cummins, K.W. Lab Rearing of a Freshwater Polychaete (Manayunkia speciosa, Sabellidae) Host for Salmon Pathogens. Northwest Sci. 2010, 84, 183–191. [Google Scholar] [CrossRef]
- Foott, J.S.; Stone, R.; Fogerty, R.; True, K.; Bolick, A.; Bartholomew, J.L.; Hallett, S.L.; Buckles, G.R.; Alexander, J.D. Production of Ceratonova shasta Myxospores from Salmon Carcasses: Carcass Removal Is Not a Viable Management Option. J. Aquat. Anim. Health 2016, 28, 75–84. [Google Scholar] [CrossRef]
- Kent, M.L.; Soderlund, K.; Thomann, E.; Schreck, C.B.; Sharpton, T.J. Post-Mortem Sporulation of Ceratomyxa shasta (Myxozoa) After Death in Adult Chinook Salmon. J. Parasitol. 2014, 100, 679–683. [Google Scholar] [CrossRef]
- Foott, J.S. Ceratonova shasta Infection in Sacramento River Chinook Salmon. Calif. Fish Wildl. J. 2025, 111, 2. [Google Scholar] [CrossRef]
- Alaska Department of Fish and Game (ADF&G) (Fish Pathology Laboratory, Anchorage, AK 99518, USA). Fish Pathology Laboratory Report Accession Number 2017-0020. Unpublished. 2017. [Google Scholar]
- Kent, M.L.; Whitaker, D.J.; Dawe, S.C. Parvicapsula minibicornis n. Sp. (Myxozoa, Myxosporea) from the Kidney of Sockeye Salmon (Oncorhynchus nerka) from British Columbia, Canada. J. Parasitol. 1997, 83, 1153–1156. [Google Scholar] [CrossRef]
- Atkinson, S.D.; Jones, S.R.M.; Adlard, R.D.; Bartholomew, J.L. Geographical and Host Distribution Patterns of Parvicapsula minibicornis (Myxozoa) Small Subunit Ribosomal RNA Genetic Types. Parasitology 2011, 138, 969–977. [Google Scholar] [CrossRef] [PubMed]
- Jones, S.R.M.; Prosperi-Porta, G.; Dawe, S.C.; Taylor, K.; Goh, B. Parvicapsula minibicornis in Anadromous Sockeye (Oncorhynchus nerka) and Coho (Oncorhynchus kisutch) Salmon from Tributaries of the Columbia River. J. Parasitol. 2004, 90, 882–885. [Google Scholar] [CrossRef] [PubMed]
- Gorgoglione, B.; Bailey, C.; Ferguson, J.A. Proliferative Kidney Disease in Alaskan Salmonids with Evidence That Pathogenic Myxozoans May Be Emerging North. Int. J. Parasitol. 2020, 50, 797–807. [Google Scholar] [CrossRef]
- Bradford, M.J.; Lovy, J.; Patterson, D.A. Infection of Gill and Kidney of Fraser River Sockeye Salmon, Oncorhynchus nerka (Walbaum), by Parvicapsula minibicornis and Its Effect on Host Physiology. J. Fish Dis. 2010, 33, 769–779. [Google Scholar] [CrossRef]
- Raverty, S.; Kieser, D.; Bagshaw, J.; St-Hilaire, S. Renal Infestation with Parvicapsula minibicornis in Wild Sockeye Salmon from the Harrison and Adams Rivers in British Columbia. Can. Vet. J. 2000, 41, 317–318. [Google Scholar]
- Bradford, M.J.; Lovy, J.; Patterson, D.A.; Speare, D.J.; Bennett, W.R.; Stobbart, A.R.; Tovey, C.P. Parvicapsula minibicornis Infections in Gill and Kidney and the Premature Mortality of Adult Sockeye Salmon (Oncorhynchus nerka) from Cultus Lake, British Columbia. Can. J. Fish. Aquat. Sci. 2010, 67, 673–683. [Google Scholar] [CrossRef]
- St-Hilaire, S.; Boichuk, M.; Barnes, D.; Higgins, M.; Devlin, R.; Withler, R.; Khattra, J.; Jones, S.; Kieser, D. Epizootiology of Parvicapsula minibicornis in Fraser River Sockeye Salmon, Oncorhynchus nerka (Walbaum). J. Fish Dis. 2002, 25, 107–120. [Google Scholar] [CrossRef]
- Wagner, G.N.; Hinch, S.G.; Kuchel, L.J.; Lotto, A.; Jones, S.R.; Patterson, D.A.; Macdonald, J.S.; Kraak, G.V.D.; Shrimpton, M.; English, K.K.; et al. Metabolic Rates and Swimming Performance of Adult Fraser River Sockeye Salmon (Oncorhynchus nerka) after a Controlled Infection with Parvicapsula minibicornis. Can. J. Fish. Aquat. Sci. 2005, 62, 2124–2133. [Google Scholar] [CrossRef]
- Cooke, S.J.; Hinch, S.G.; Farrell, A.P.; Lapointe, M.F.; Jones, S.R.M.; Macdonald, J.S.; Patterson, D.A.; Healey, M.C.; Van Der Kraak, G. Abnormal Migration Timing and High En Route Mortality of Sockeye Salmon in the Fraser River, British Columbia. Fisheries 2004, 29, 22–33. [Google Scholar] [CrossRef]
- Foott, J.S.; Stone, R.; True, K. Relationship Between Ceratomyxa shasta and Parvicapsula minibicornis Actinospore Exposure in the Klamath River and Infection in Juvenile Chinook Salmon; California Nevada Fish Health Center-U.S. Fish & Wildlife Service: Anderson, CA, USA, 2007.
- Bartholomew, J.L.; Atkinson, S.D.; Hallett, S.L. Involvement of Manayunkia speciosa (Annelida: Polychaeta: Sabellidae) In the Life Cycle of Parvicapsula minibicornis, A Myxozoan Parasite of Pacific Salmon. J. Parasitol. 2006, 92, 742–748. [Google Scholar] [CrossRef]
- True, K.; Purcell, M.K.; Foott, J.S. Development and Validation of a Quantitative PCR to Detect Parvicapsula minibicornis and Comparison to Histologically Ranked Infection of Juvenile Chinook Salmon, Oncorhynchus tshawytscha (Walbaum), from the Klamath River, USA. J. Fish Dis. 2009, 32, 183–192. [Google Scholar] [CrossRef]
- Canning, E.U.; Curry, A.; Feist, S.W.; Longshaw, M.; Okamura, B. Tetracapsula bryosalmonae n. sp for PKX Organism, the Cause of PKD in Salmonid Fish. Bull. Eur. Assoc. Fish Pathol. 1999, 19, 203–206. [Google Scholar]
- Feist, S.W.; Longshaw, M.; Canning, E.U.; Okamura, B. Induction of Proliferative Kidney Disease (PKD) in Rainbow Trout Oncorhynchus mykiss via the Bryozoan Fredericella sultana Infected with Tetracapsula bryosalmonae. Dis. Aquat. Org. 2001, 45, 61–68. [Google Scholar] [CrossRef] [PubMed]
- Bailey, C.; Segner, H.; Casanova-Nakayama, A.; Wahli, T. Who Needs the Hotspot? The Effect of Temperature on the Fish Host Immune Response to Tetracapsuloides bryosalmonae the Causative Agent of Proliferative Kidney Disease. Fish Shellfish Immunol. 2017, 63, 424–437. [Google Scholar] [CrossRef]
- Bettge, K.; Segner, H.; Burki, R.; Schmidt-Posthaus, H.; Wahli, T. Proliferative Kidney Disease (PKD) of Rainbow Trout: Temperature- and Time-Related Changes of Tetracapsuloides bryosalmonae DNA in the Kidney. Parasitology 2009, 136, 615–625. [Google Scholar] [CrossRef] [PubMed]
- Ferguson, H.W. The Effects of Water Temperature on the Development of Proliferative Kidney Disease in Rainbow Trout, Salmo gairdneri Richardson. J. Fish Dis. 1981, 4, 175–177. [Google Scholar] [CrossRef]
- Okamura, B. Occurrence, Prevalence, and Effects of the Myxozoan Tetracapsula bryozoides Parasitic in the Freshwater Bryozoan Cristatella mucedo (Bryozoa: Phylactolaemata). Folia Parasit. 1996, 43, 262–266. [Google Scholar]
- Marcos-López, M.; Gale, P.; Oidtmann, B.C.; Peeler, E.J. Assessing the Impact of Climate Change on Disease Emergence in Freshwater Fish in the United Kingdom. Transbound. Emerg. Dis. 2010, 57, 293–304. [Google Scholar] [CrossRef]
- Okamura, B.; Hartikainen, H.; Schmidt-Posthaus, H.; Wahli, T. Life Cycle Complexity, Environmental Change and the Emerging Status of Salmonid Proliferative Kidney Disease. Freshw. Biol. 2011, 56, 735–753. [Google Scholar] [CrossRef]
- Strepparava, N.; Segner, H.; Ros, A.; Hartikainen, H.; Schmidt-Posthaus, H.; Wahli, T. Temperature-Related Parasite Infection Dynamics: The Case of Proliferative Kidney Disease of Brown Trout. Parasitology 2018, 145, 281–291. [Google Scholar] [CrossRef] [PubMed]
- Canning, E.U.; Tops, S.; Curry, A.; Wood, T.S.; Okamura, B. Ecology, Development and Pathogenicity of Buddenbrockia plumatellae Schröder, 1910 (Myxozoa, Malacosporea) (Syn. Tetracapsula bryozoides) and Establishment of Tetracapsuloides n. Gen. for Tetracapsula bryosalmonae. J. Eukaryot. Microbiol. 2002, 49, 280–295. [Google Scholar] [CrossRef]
- Eszterbauer, E.; Atkinson, S.; Diamant, A.; Morris, D.; El-Matbouli, M.; Hartikainen, H. Myxozoan Life Cycles: Practical Approaches and Insights. In Myxozoan Evolution, Ecology and Development; Okamura, B., Gruhl, A., Bartholomew, J.L., Eds.; Springer International Publishing: Cham, Switzerland, 2015; pp. 175–198. ISBN 978-3-319-14753-6. [Google Scholar]
- McGurk, C.; Morris, D.; Adams, A. Sequential Development of Buddenbrockia plumatellae (Myxozoa: Malacosporea) within Plumatella repens (Bryozoa: Phylactolaemata). Dis. Aquat. Org. 2006, 73, 159–169. [Google Scholar] [CrossRef]
- Morris, D.J.; Adams, A. Transmission of Tetracapsuloides bryosalmonae (Myxozoa: Malacosporea), the Causative Organism of Salmonid Proliferative Kidney Disease, to the Freshwater Bryozoan Fredericella sultana. Parasitology 2006, 133, 701–709. [Google Scholar] [CrossRef] [PubMed]
- Gorgoglione, B.; Kotob, M.H.; El-Matbouli, M. Migrating Zooids Allow the Dispersal of Fredericella sultana (Bryozoa) to Escape from Unfavourable Conditions and Further Spreading of Tetracapsuloides bryosalmonae. J. Invertebr. Pathol. 2016, 140, 97–102. [Google Scholar] [CrossRef]
- Hallett, S.L.; Hartigan, A.; Atkinson, S.D. Myxozoans on the Move: Dispersal Modes, Exotic Species and Emerging Diseases. In Myxozoan Evolution, Ecology and Development; Okamura, B., Gruhl, A., Bartholomew, J.L., Eds.; Springer: Cham, Switzerland, 2015; pp. 343–362. ISBN 978-3-319-14753-6. [Google Scholar]
- Grabner, D.S.; El-Matbouli, M. Tetracapsuloides bryosalmonae (Myxozoa: Malacosporea) Portal of Entry into the Fish Host. Dis. Aquat. Org. 2010, 90, 197–206. [Google Scholar] [CrossRef]
- Hedrick, R.P.; Baxa, D.V.; De Kinkelin, P.; Okamura, B. Malacosporean-like Spores in Urine of Rainbow Trout React with Antibody and DNA Probes to Tetracapsuloides bryosalmonae. Parasitol. Res. 2004, 92, 81–88. [Google Scholar] [CrossRef]
- Kent, M.L.; Khattra, J.; Hedrick, R.P.; Devlin, R.H. Tetracapsula renicola n. sp. (Myxozoa: Saccosporidae); the PKX Myxozoan—The Cause of Proliferative Kidney Disease of Salmonid Fishes. J. Parasitol. 2000, 86, 103–111. [Google Scholar] [CrossRef]
- Kent, M.L. Proliferative Kidney Disease. In FHS Blue Book: Suggested Procedures for the Detection and Identification of Certain Finfish and shellfish Pathogens; American Fisheries Society: Washington, DC, USA, 2002; pp. 1–13. Available online: https://units.fisheries.org/fhs/wp-content/uploads/sites/30/2017/08/3.2.7-PKD-2014.pdf (accessed on 10 January 2026).
- Gorgoglione, B.; Kotob, M.H.; Unfer, G.; El-Matbouli, M. First Proliferative Kidney Disease Outbreak in Austria, Linking to the Aetiology of Black Trout Syndrome Threatening Autochthonous Trout Populations. Dis. Aquat. Org. 2016, 119, 117–128. [Google Scholar] [CrossRef] [PubMed]
- Hedrick, R.P.; MacConnell, E.; de Kinkelin, P. Proliferative Kidney Disease of Salmonid Fish. Annu. Rev. Fish Dis. 1993, 3, 277–290. [Google Scholar] [CrossRef]
- Morris, D.J.; Adams, A. Sporogony of Tetracapsuloides bryosalmonae in the Brown Trout Salmo trutta and the Role of the Tertiary Cell during the Vertebrate Phase of Myxozoan Life Cycles. Parasitology 2008, 135, 1075–1092. [Google Scholar] [CrossRef]
- Bailey, C.; Holland, J.W.; Secombes, C.J.; Tafalla, C. A Portrait of the Immune Response to Proliferative Kidney Disease (PKD) in Rainbow Trout. Parasite Immunol. 2020, 42, e12730. [Google Scholar] [CrossRef] [PubMed]
- Bailey, C.; Segner, H.; Wahli, T. What Goes around Comes around: An Investigation of Resistance to Proliferative Kidney Disease in Rainbow Trout Oncorhynchus mykiss (Walbaum) Following Experimental Re-Exposure. J. Fish Dis. 2017, 40, 1599–1612. [Google Scholar] [CrossRef]
- Foott, J.S.; Hedrick, R.P. Seasonal Occurrence of the Infectious Stage of Proliferative Kidney Disease (PKD) and Resistance of Rainbow Trout, Salmo gairdneri Richardson, to Reinfection. J. Fish Biol. 1987, 30, 477–483. [Google Scholar] [CrossRef]
- Schmidt-Posthaus, H.; Bettge, K.; Forster, U.; Segner, H.; Wahli, T. Kidney Pathology and Parasite Intensity in Rainbow Trout Oncorhynchus mykiss Surviving Proliferative Kidney Disease: Time Course and Influence of Temperature. Dis. Aquat. Org. 2012, 97, 207–218. [Google Scholar] [CrossRef]
- Braden, L.M.; Prosperi-Porta, G.; Kim, E.; Jones, S.R.M. Tetracapsuloides bryosalmonae in Spawning Pink Salmon, Oncorhynchus gorbuscha (Walbaum), in the Quinsam River, British Columbia, Canada. J. Fish Dis. 2010, 33, 617–621. [Google Scholar] [CrossRef]
- Higgins, M.J.; Kent, M.L. Field Trials with Fumagillin for the Control of Proliferative Kidney Disease in Coho Salmon. Progress. Fish-Cult. 1996, 58, 268–272. [Google Scholar] [CrossRef]
- Kent, M.L.; Higgins, M.; Whitaker, D.J.; Yokoyama, H. Proliferative Kidney Disease and Sphaerospora oncorhynchi in Wild-Caught Salmonids from the Puntledge River System, Vancouver Island, British Columbia. Can. J. Fish. Aquat. Sci. 1995, 52, 13–17. [Google Scholar] [CrossRef]
- Hedrick, R.P.; Groff, J.M.; Foley, P.; McDowell, T. Oral Administration of Fumagillin DCH Protects Chinook Salmon Oncorhynchus tshawytscha from Experimentally-Induced Proliferative Kidney Disease. Dis. Aquat. Org. 1988, 4, 165–168. [Google Scholar] [CrossRef]
- Mueller, G.J. Salmon Saprolegniasis; Contract No. 1990BP02836, Project No. 199006100; Report to Bonneville Power Administration: Columbia River and tributaries; Bonneville Power Administration: Portland, OR, USA, 1994; p. 266.
- Beakes, G.W.; Sekimoto, S. The Evolutionary Phylogeny of Oomycetes—Insights Gained from Studies of Holocarpic Parasites of Algae and Invertebrates. In Oomycete Genetics and Genomics: Diversity, Interactions, and Research Tools; Lamour, K., Kamoun, S., Eds.; Wiley: Hoboken, NJ, USA, 2009; pp. 1–24. ISBN 978-0-470-25567-4. [Google Scholar]
- Copland, J.W.; Willoughby, L.G. The Pathology of Saprolegnia Infections of Anguilla anguilla L. Elvers. J. Fish Dis. 1982, 5, 421–428. [Google Scholar] [CrossRef]
- Fregeneda Grandes, J.M.; Fernández Díez, M.; Aller Gancedo, J.M. Experimental Pathogenicity in Rainbow Trout, Oncorhynchus mykiss (Walbaum), of Two Distinct Morphotypes of Long-Spined Saprolegnia Isolates Obtained from Wild Brown Trout, Salmo trutta L., and River Water. J. Fish Dis. 2001, 24, 351–359. [Google Scholar] [CrossRef]
- Polley, T.; Couch, C.E.; Leong, C.; Peterson, J.T.; Weiss, L.M.; Takvorian, P.M.; Kent, M.L. Laboratory Transmission of Adult Salmon Enteritis and Associated Pathogens in Juvenile Chinook Salmon (Oncorhynchus Tshawytscha). J. Fish Dis. 2025, e70063. [Google Scholar] [CrossRef] [PubMed]
- Korkea-aho, T.; Wiklund, T.; Engblom, C.; Vainikka, A.; Viljamaa-Dirks, S. Detection and Quantification of the Oomycete Saprolegnia parasitica in Aquaculture Environments. Microorganisms 2022, 10, 2186. [Google Scholar] [CrossRef] [PubMed]
- Ghosh, S.; Straus, D.L.; Good, C.; Phuntumart, V. Development and Comparison of Loop-Mediated Isothermal Amplification with Quantitative PCR for the Specific Detection of Saprolegnia spp. PLoS ONE 2021, 16, e0250808. [Google Scholar] [CrossRef]
- Allen, R.L.; Meekin, T.K.; Pauley, G.B.; Fujihara, M.P. Mortality Among Chinook Salmon Associated with the Fungus Dermocystidium. J. Fish. Res. Board Can. 1968, 25, 2467–2475. [Google Scholar] [CrossRef]
- Pauley, G.B. Prespawning Adult Salmon Mortality Associated with a Fungus of the Genus Dermocystidium. J. Fish. Res. Board Can. 1967, 24, 843–848. [Google Scholar] [CrossRef]
- Olson, R.E.; Holt, R.A. The Gill Pathogen Dermocystidium salmonis in Oregon Salmonids. J. Aquat. Anim. Health 1995, 7, 111–117. [Google Scholar] [CrossRef]
- Alaska Department of Fish and Game (ADF&G) (Fish Pathology Laboratory, Anchorage, AK 99518, USA). Fish Pathology Laboratory Report Accession Number 2000-0019. Unpublished. 2020. [Google Scholar]
- Elston, R.A.; Harrell, L.; Wilkinson, M.T. Isolation and in Vitro Characteristics of Chinook Salmon (Oncorhynchus tshawytscha) Rosette Agent. Aquaculture 1986, 56, 1–21. [Google Scholar] [CrossRef]
- Harrell, L.W.; Elston, R.A.; Scott, T.M.; Wilkinson, M.T. A Significant New Systemic Disease of Net-Pen Reared Chinook Salmon (Oncorhynchus tshawytscha) Brood Stock. Aquaculture 1986, 55, 249–262. [Google Scholar] [CrossRef]
- Cavalier-Smith, T.; Paula Allsopp, M.T.E. Corallochytrium, an Enigmatic Non-Flagellate Protozoan Related to Choanoflagellates. Eur. J. Protistol. 1996, 32, 306–310. [Google Scholar] [CrossRef]
- Kerk, D.; Gee, A.; Standish, M.; Wainwright, P.O.; Drum, A.S.; Elston, R.A.; Sogin, M.L. The Rosette Agent of Chinook Salmon (Oncorhynchus tshawytscha) Is Closely Related to Choanoflagellates, as Determined by the Phylogenetic Analyses of Its Small Ribosomal Subunit RNA. Mar. Biol. 1995, 122, 187–192. [Google Scholar] [CrossRef]
- Ragan, M.A.; Goggin, C.L.; Cawthorn, R.J.; Cerenius, L.; Jamieson, A.V.; Plourde, S.M.; Rand, T.G.; Söderhäll, K.; Gutell, R.R. A Novel Clade of Protistan Parasites near the Animal-Fungal Divergence. Proc. Natl. Acad. Sci. USA 1996, 93, 11907–11912. [Google Scholar] [CrossRef]
- Spanggaard, B.; Skouboe, P.; Rossen, L.; Taylor, J.W. Phylogenetic Relationships of the Intercellular Fish Pathogen Ichthyophonus hoferi and Fungi, Choanoflagellates and the Rosette Agent. Mar. Biol. 1996, 126, 109–115. [Google Scholar] [CrossRef]
- Arkush, K.D.; Mendoza, L.; Adkison, M.A.; Hedrick, R.P. Observations on the Life Stages of Sphaerothecum destruens n. g., n. sp., a Mesomycetozoean Fish Pathogen Formally Referred to as the Rosette Agent. J. Eukaryot. Microbiol. 2003, 50, 430–438. [Google Scholar] [CrossRef]
- Gozlan, R.E.; Combe, M. Emergence of the Fungal Rosette Agent in the World: Current Risk to Fish Biodiversity and Aquaculture. J. Fungi 2023, 9, 426. [Google Scholar] [CrossRef]
- Alaska Department of Fish and Game (ADF&G) (Fish Pathology Laboratory, Anchorage, AK 99518, USA). Fish Pathology Laboratory Report Accession Number 2020-0053. Unpublished. 2020. [Google Scholar]
- Arkush, K.D.; Frasca, S., Jr.; Hedrick, R.P. Pathology Associated with the Rosette Agent, A Systemic Protist Infecting Salmonid Fishes. J. Aquat. Anim. Health 1998, 10, 1–11. [Google Scholar] [CrossRef]
- Mendonca, H.L.; Arkush, K.D. Development of PCR-Based Methods for Detection of Sphaerothecum destruens in Fish Tissues. Dis. Aquat. Org. 2004, 61, 187–197. [Google Scholar] [CrossRef]
- Couch, C.E.; Kent, M.L.; Weiss, L.M.; Takvorian, P.M.; Nervino, S.; Cummins, L.; Sanders, J.L. Enterocytozoon schreckii n. sp. Infects the Enterocytes of Adult Chinook Salmon (Oncorhynchus tshawytscha) and May Be a Sentinel of Immunosenescence. mSphere 2022, 7, e0090821. [Google Scholar] [CrossRef]
- Alaska Department of Fish and Game (ADF&G) (Fish Pathology Laboratory, Anchorage, AK 99518, USA). Fish Pathology Laboratory Report Accession Number 2023-0030. Unpublished. 2023. [Google Scholar]
- Shaw, R.W.; Kent, M.L.; Brown, A.; Whipps, C.M.; Adamson, M.L. Experimental and Natural Host Specificity of Loma salmonae (Microsporidia). Dis. Aquat. Org. 2000, 40, 131–136. [Google Scholar] [CrossRef]
- Speare, D.J.; Lovy, J. Loma salmonae and Related Species. In Fish Parasites: Pathobiology and Protection; Woo, P.T.K., Buchmann, K., Eds.; CABI: Wallingford, UK, 2012; pp. 109–130. ISBN 978-1-84593-806-2. [Google Scholar]
- Alaska Department of Fish and Game (ADF&G) (Fish Pathology Laboratory, Anchorage, AK 99518, USA). Fish Pathology Laboratory Report Accession Number 2015-0014. Unpublished. 2015. [Google Scholar]
- Docker, M.F.; Devlin, R.H.; Richard, J.; Khattra, J.; Kent, M.L. Sensitive and Specific Polymerase Chain Reaction Assay for Detection of Loma salmonae (Microsporea). Dis. Aquat. Org. 1997, 29, 41–48. [Google Scholar] [CrossRef]
- Kent, M.L.; Speare, D.J. Review of the Sequential Development of Loma salmonae (Microsporidia) Based on Experimental Infections of Rainbow Trout (Oncorhynchus mykiss) and Chinook Salmon (O. tshawytscha). Folia Parasitol. 2005, 52, 63–68. [Google Scholar] [CrossRef]
- Shaw, R.W.; Kent, M.L.; Adamson, M.L. Iodophor Treatment Is Not Completely Efficacious in Preventing Loma salmonae (Microsporidia) Transmission in Experimentally Challenged Chinook Salmon, Oncorhynchus tshawytscha (Walbaum). J. Fish Dis. 1999, 22, 311–313. [Google Scholar] [CrossRef]
- Brown, A.M.V.; Kent, M.L.; Adamson, M.L. Low Genetic Variation in the Salmon and Trout Parasite Loma Salmonae (Microsporidia) Supports Marine Transmission and Clarifies Species Boundaries. Dis. Aquat. Org. 2010, 91, 35–46. [Google Scholar] [CrossRef]
- Ward, H.B. Notes on North American Myxosporidia. J. Parasitol. 1919, 6, 49–64. [Google Scholar] [CrossRef]
- Boyce, N.; Kabata, Z.; Margolis, L. Investigations of the Distribution, Detection, and Biology of Henneguya salminicola (Protozoa, Myxozoa), a Parasite of the Flesh of Pacific Salmon. Can. Tech. Rep. Fish. Aquat. Sci. 1985, 1405, 59. Available online: https://publications.gc.ca/pub%3Fid=9.578209&sl=0 (accessed on 10 January 2026).
- Yahalomi, D.; Atkinson, S.D.; Neuhof, M.; Chang, E.S.; Philippe, H.; Cartwright, P.; Bartholomew, J.L.; Huchon, D. A Cnidarian Parasite of Salmon (Myxozoa: Henneguya) Lacks a Mitochondrial Genome. Proc. Natl. Acad. Sci. USA 2020, 117, 5358–5363. [Google Scholar] [CrossRef]
- Moran, J.D.W.; Whitaker, D.J.; Kent, M.L. A Review of the Myxosporean Genus Kudoa Meglitsch, 1947, and Its Impact on the International Aquaculture Industry and Commercial Fisheries. Aquaculture 1999, 172, 163–196. [Google Scholar] [CrossRef]
- Marshall, W.L.; Sitjà-Bobadilla, A.; Brown, H.M.; MacWilliam, T.; Richmond, Z.; Lamson, H.; Morrison, D.B.; Afonso, L.O.B. Long-term Epidemiological Survey of Kudoa thyrsites (Myxozoa) in Atlantic Salmon (Salmo salar L.) from Commercial Aquaculture Farms. J. Fish Dis. 2016, 39, 929–946. [Google Scholar] [CrossRef]
- St-Hilaire, S.; Ribble, C.; Whitaker, D.J.; Kent, M. Prevalence of Kudoa thyrsites in Sexually Mature and Immature Pen-Reared Atlantic Salmon (Salmo salar) in British Columbia, Canada. Aquaculture 1998, 162, 69–77. [Google Scholar] [CrossRef]
- Kabata, Z.; Whitaker, D.J. Kudoa thyrsites (Gilchrist, 1924) (Myxozoa) in the Cardiac Muscle of Pacific Salmon (Oncorhynchus spp.) and Steelhead Trout (Salmo gairdneri). Can. J. Zool. 1989, 67, 341–342. [Google Scholar] [CrossRef]
- Kabata, Z.; Whitaker, D.J.; Bagshaw, J.W. Kudoa thyrsitis (Gilchrist) (Myxosporea: Multivalvulida) in Coho Salmon, Oncorhynchus kisutch (Walbaum). Can. J. Zool. 1986, 64, 1038–1040. [Google Scholar] [CrossRef]
- Feist, S.W. Myxozoan Diseases. In Fish Diseases (2 Vols.); Eiras, J.C., Segner, H.E., Wahli, T., Eds.; CRC Press: Boca Raton, FL, USA, 2008; ISBN 978-0-429-08325-9. [Google Scholar]
- Hoffman, G.L. Parasites of North American Freshwater Fishes, 2nd ed.; Comstock Pub. Associates: Ithaca, NY, USA, 1999; ISBN 978-0-8014-3409-9. [Google Scholar]
- Alaska Department of Fish and Game (ADF&G) (Fish Pathology Laboratory, Anchorage, AK 99518, USA). Fish Pathology Laboratory Report Accession Number 2017-0025. Unpublished. 2017. [Google Scholar]
- Alaska Department of Fish and Game (ADF&G) (Fish Pathology Laboratory, Anchorage, AK 99518, USA). Fish Pathology Laboratory Report Accession Number 2019-0009. Unpublished. 2019. [Google Scholar]
- Hallett, S.L.; Bartholomew, J.L. Myxobolus cerebralis and Ceratomyxa shasta. In Fish Parasites: Pathobiology and Protection; Woo, P.T.K., Buchmann, K., Eds.; CABI: Wallingford, UK, 2011; pp. 131–162. ISBN 978-1-84593-806-2. [Google Scholar]
- MacConnell, E.; Bartholomew, J. Whirling Disease of Salmonids. In FHS Blue Book: Suggested Procedures for the Detection and Identification of Certain Finfish and Shellfish Pathogens; American Fisheries Society: Washington, DC, USA, 2012; pp. 1–13. [Google Scholar]
- Moles, A.; Heifetz, J. Effects of the Brain Parasite Myxobolus arcticus on Sockeye Salmon. J. Fish Biol. 1998, 52, 146–151. [Google Scholar] [CrossRef]
- Lorz, H.V.; Amandi, A.; Banner, C.R.; Rohovec, J.S. Detection of Myxobolus (Myxosoma) cerebralis in Salmonid Fishes in Oregon. J. Aquat. Anim. Health 1989, 1, 217–221. [Google Scholar] [CrossRef]
- Bentz, C.R.; Hogge, C.I.; Meyers, T.R.; Ferguson, J.A. Myxobolus neurotropus Infecting Rainbow Trout in Alaska, a New Geographic Record. J. Aquat. Anim. Health 2012, 24, 225–231. [Google Scholar] [CrossRef]
- Hogge, C.I.; Campbell, M.R.; Johnson, K.A. A New Species of Myxozoan (Myxosporea) from the Brain and Spinal Cord of Rainbow Trout (Oncorhynchus mykiss) from Idaho. J. Parasitol. 2008, 94, 218–222. [Google Scholar] [CrossRef]
- Holzer, A.S.; Piazzon, M.C.; Barrett, D.; Bartholomew, J.L.; Sitjà-Bobadilla, A. To React or Not to React: The Dilemma of Fish Immune Systems Facing Myxozoan Infections. Front. Immunol. 2021, 12, 734238. [Google Scholar] [CrossRef]
- Spagnoli, S.; Xue, L.; Kent, M.L. The Common Neural Parasite Pseudoloma neurophilia Is Associated with Altered Startle Response Habituation in Adult Zebrafish (Danio rerio): Implications for the Zebrafish as a Model Organism. Behav. Brain Res. 2015, 291, 351–360. [Google Scholar] [CrossRef]
- MacKenzie, K. Parasites as Biological Tags in Population Studies of Marine Organisms: An Update. Parasitology 2002, 124, 153–163. [Google Scholar] [CrossRef]
- Iversen, E.S. A New Myxosporidian, Myxosoma squamalis, Parasite of Some Salmonoid Fishes. J. Parasitol. 1954, 40, 397–404. [Google Scholar] [CrossRef]
- Andree, K.B.; Székely, C.; Molnár, K.; Gresoviac, S.J.; Hedrick, R.P. Relationships among Members of the Genus Myxobolus (Myxozoa: Bilvalvidae) Based on Small Subunit Ribosomal DNA Sequences. J. Parasitol. 1999, 85, 68–74. [Google Scholar] [CrossRef]
- Polley, T.M.; Atkinson, S.D.; Jones, G.R.; Bartholomew, J.L. Supplemental Description of Myxobolus squamalis (Myxozoa). J. Parasitol. 2013, 99, 725–728. [Google Scholar] [CrossRef]
- Jones, S.R.M.; Prosperi-Porta, G.; Dawe, S.C. A New Parvicapsulid (Myxosporea) Species in Adult Pink Salmon, Oncorhynchus gorbuscha, from the Quinsam River, British Columbia, Canada. J. Parasitol. 2006, 92, 1313–1318. [Google Scholar] [CrossRef]
- Yasutake, W.T.; Elliott, D.G. Epizootiology and Histopathology of Parvicapsula sp. in Coho Salmon Oncorhynchus kisutch. Dis. Aquat. Org. 2003, 56, 215–221. [Google Scholar] [CrossRef]
- Hoffman, G.L. Two Fish Pathogens, Parvicapsula sp. and Mitraspora cyprini (Myxosporea) New to North America. In Proceedings of the Internet Seminar, 23–27 June 1981; Oláh, J., Ed.; Akadémiai Kiadó: Budapest, Hungary, 1984; Volume 23, pp. 127–135. Available online: https://pubs.usgs.gov/publication/1014229 (accessed on 10 January 2026).
- Johnstone, A.K. Pathogenesis and Life Cycle of the Myxozoan Parvicapsula sp. Infecting Marine Cultured Coho Salmon. Ph.D. Thesis, University of Washington, Seattle, WA, USA, 1984. [Google Scholar]
- Kent, M.L. Protozoa and Myxozoa. In Diseases of Seawater Netpen-reared Salmonid Fishes; Poppe, T.T., Kent, M.L., Eds.; Fisheries and Oceans Canada: Nanaimo, BC, USA, 1998; pp. 49–67. ISBN 0-920225-10-1. [Google Scholar]
- Saksida, S.M.; Marty, G.D.; Jones, S.R.M.; Manchester, H.A.; Diamond, C.L.; Bidulka, J.; St-Hilaire, S. Parasites and Hepatic Lesions among Pink Salmon, Oncorhynchus gorbuscha (Walbaum), during Early Seawater Residence. J. Fish Dis. 2012, 35, 137–151. [Google Scholar] [CrossRef]
- Jones, S.R.; Low, J.C.; Goodall, A.H. Parvicapsula pseudobranchicola in the Northeast Pacific Ocean Is Rare in Farmed Atlantic Salmon Salmo salar despite Widespread Occurrence and Pathology in Wild Pacific Salmon Oncorhynchus spp. Parasites Vectors 2023, 16, 138. [Google Scholar] [CrossRef]
- Arai, H.P.; Smith, J.W. Guide to the Parasites of Fishes of Canada Part V: Nematoda. Zootaxa 2016, 4185, 1–274. [Google Scholar] [CrossRef] [PubMed]
- McDonald, T.E.; Margolis, L. Synopsis of the Parasites of Fishes of Canada: Supplement (1978–1993); NRC Research Press: Ottawa, ON, Canada, 1995; ISBN 0-660-15902-3. [Google Scholar]
- Moles, A. Parasites of the Fishes of Alaska and Surrounding Waters. Alsk. Fish. Res. Bull. Alsk. Dep. Fish Game 2007, 12, 197–226. [Google Scholar]
- Barndt, S.; Stone, J. Infestation of Salmincola californiensis (Copepoda: Lernaeopodidae) in Wild Coho Salmon, Steelhead, and Coastal Cutthroat Trout Juveniles in a Small Columbia River Tributary. Trans. Am. Fish. Soc. 2003, 132, 1027–1032. [Google Scholar] [CrossRef]
- Bousfield, E.L.; Kabata, Z. Guide to the Parasites of Fishes of Canada, Part II: Crustacea; Kabata, Z., Margolis, L., Eds.; Canadian Special Publication of Fisheries and Aquatic Sciences 101; Department of Fisheries and Oceans: Ottawa, ON, Canada, 1988; ISBN 0-660-12794-6.
- Gardner, E.; Romer, J.D.; Monzyk, F.; Sanders, J.; Kent, M.L.; Schreck, C.B.; Peterson, J.T. The Dynamics of Salmincola californiensis Infecting Reservoir-Rearing Juvenile Chinook Salmon. Trans. Am. Fish. Soc. 2025, vnaf042. [Google Scholar] [CrossRef]
- Monzyk, F.R.; Friesen, T.A.; Romer, J.D. Infection of Juvenile Salmonids by Salmincola californiensis (Copepoda: Lernaeopodidae) in Reservoirs and Streams of the Willamette River Basin, Oregon. Trans. Am. Fish. Soc. 2015, 144, 891–902. [Google Scholar] [CrossRef]
- Neal, T.; Kent, M.L.; Sanders, J.; Schreck, C.B.; Peterson, J.T. Laboratory Infection Rates and Associated Mortality of Juvenile Chinook Salmon (Oncorhynchus tshawytscha) from Parasitic Copepod (Salmincola californiensis). J. Fish Dis. 2021, 44, 1423–1434. [Google Scholar] [CrossRef]
- Herron, C.L.; Kent, M.L.; Schreck, C.B. Swimming Endurance in Juvenile Chinook Salmon Infected with Salmincola californiensis. J. Aquat. Anim. Health 2018, 30, 81–89. [Google Scholar] [CrossRef]
- Kabata, Z.; Cousens, B. Host–Parasite Relationships Between Sockeye Salmon, Oncorhynchus nerka, and Salmincola californiensis (Copepoda: Lernaeopodidae). J. Fish. Res. Board Can. 1977, 34, 191–202. [Google Scholar] [CrossRef]
- Ruiz, C.F.; Rash, J.M.; Besler, D.A.; Roberts, J.R.; Warren, M.B.; Arias, C.R.; Bullard, S.A. Exotic “Gill Lice” Species (Copepoda: Lernaeopodidae: Salmincola spp.) Infect Rainbow Trout (Oncorhynchus mykiss) and Brook Trout (Salvelinus fontinalis) in the Southeastern United States. J. Parasitol. 2017, 103, 377–389. [Google Scholar] [CrossRef]
- Roberts, R.J.; Johnson, K.A.; Casten, M.T. Control of Salmincola californiensis (Copepoda: Lernaeapodidae) in Rainbow Trout, Oncorhynchus mykiss (Walbaum): A Clinical and Histopathological Study. J. Fish Dis. 2004, 27, 73–79. [Google Scholar] [CrossRef]
- Johnson, K.A.; Heindel, J.A. Efficacy of Manual Removal and Ivermectin Gavage for Control of Salmincola californiensis (Wilson) Infestation of Chinook Salmon, Oncorhynchus tshawytscha (Walbaum), Captive Broodstocks. J. Fish Dis. 2001, 24, 197–203. [Google Scholar] [CrossRef]
- Reed, A. Use of Doramectin in Salmonids to Control for Copepod Parasites. In Proceedings of the Northwest Fish Culture Conference, Boise, ID, USA, 5–7 December 2023. [Google Scholar]
- Chen, M.F.; O’Neill, S.M.; Carey, A.J.; Conrad, R.H.; Stewart, B.A.; Snekvik, K.R.; Ylitalo, G.M.; Hershberger, P.K. Infection by Nanophyetus salmincola and Toxic Contaminant Exposure in Out-Migrating Steelhead from Puget Sound, Washington: Implications for Early Marine Survival. J. Aquat. Anim. Health 2018, 30, 103–118. [Google Scholar] [CrossRef]
- Ferguson, J.A.; Koketsu, W.; Ninomiya, I.; Rossignol, P.A.; Jacobson, K.C.; Kent, M.L. Mortality of Coho Salmon (Oncorhynchus kisutch) Associated with Burdens of Multiple Parasite Species. Int. J. Parasitol. 2011, 41, 1197–1205. [Google Scholar] [CrossRef]
- Jacobson, K.; Teel, D.; Van Doornik, D.; Casillas, E. Parasite-Associated Mortality of Juvenile Pacific Salmon Caused by the Trematode Nanophyetus salmincola during Early Marine Residence. Mar. Ecol. Prog. Ser. 2008, 354, 235–244. [Google Scholar] [CrossRef]
- Headley, S.A.; Scorpio, D.G.; Vidotto, O.; Stephen Dumler, J. Neorickettsia helminthoeca and Salmon Poisoning Disease: A Review. Vet. J. 2011, 187, 165–173. [Google Scholar] [CrossRef] [PubMed]
- Baldwin, N.L.; Millemann, R.E.; Knapp, S.E. “Salmon Poisoning” Disease. III. Effect of Experimental Nanophyetus salmincola Infection on the Fish Host. J. Parasitol. 1967, 53, 556–564. [Google Scholar] [CrossRef] [PubMed]
- Foott, S.; Free, D.; Talo, W.; Williamson, J.D. Physiological Effects of Nanophyetus Metacercaria Infection in Chinook Salmon Smolts (Trinity River); U.S. Fish & Wildlife Service-California-Nevada Fish Health Center: Anderson, CA, USA, 1997; p. 20.
- Crofton, H.D. A Quantitative Approach to Parasitism. Parasitology 1971, 62, 179–193. [Google Scholar] [CrossRef]
- Pastenkos, G.; Snekvik, K.; Bradway, D.; Cerchiaro, I.; Mehain, S.; Krytenberg, D.; Eckstrand, C. A Novel Neorickettsial Infection in 3 Dogs in the Pacific Northwest. Vet. Pathol. 2020, 57, 286–289. [Google Scholar] [CrossRef]
- Greiman, S.E.; Kent, M.L.; Betts, J.; Cochell, D.; Sigler, T.; Tkach, V.V. Nanophyetus salmincola, Vector of the Salmon Poisoning Disease Agent Neorickettsia helminthoeca, Harbors a Second Pathogenic Neorickettsia Species. Vet. Parasitol. 2016, 229, 107–109. [Google Scholar] [CrossRef]
- Beamish, R.J.; Neville, C.M.; Sweeting, R.M.; Jones, S.R.M.; Ambers, N.; Gordon, E.K.; Hunter, K.L.; McDonald, T.E. A Proposed Life History Strategy for the Salmon Louse, Lepeophtheirus salmonis in the Subarctic Pacific. Aquaculture 2007, 264, 428–440. [Google Scholar] [CrossRef]
- Johnson, S.C.; Blaylock, R.B.; Elphick, J.; Hyatt, K.D. Disease Induced by the Sea Louse (Lepeophteirus salmonis) (Copepoda: Caligidae) in Wild Sockeye Salmon (Oncorhynchus nerka) Stocks of Alberni Inlet, British Columbia. Can. J. Fish. Aquat. Sci. 1996, 53, 2888–2897. [Google Scholar] [CrossRef]
- Margolis, L.; Arthur, J.R. Synopsis of the Parasites of Fishes of Canada. 1979. Available online: https://waves-vagues.dfo-mpo.gc.ca/Library/914.pdf (accessed on 10 January 2026).
- Kent, M.L.; Margolis, L.; Fournie, J.W. A New Eye Disease in Pen-Reared Chinook Salmon Caused by Metacestodes of Gilquinia squali (Trypanorhyncha). J. Aquat. Anim. Health 1991, 3, 134–140. [Google Scholar] [CrossRef]
- Borucinska, J.D. Diseases Caused by Cestoda. In Fish Diseases; Eiras, J.C., Segner, H., Wahli, T., Eds.; CRC Press: Boca Raton, FL, USA, 2008; Volume 2, ISBN 978-0-367-44573-7. [Google Scholar]
- Dick, T.A.; Chambers, C.; Isinguzo, I. Cestoidea (Phylum Platyhelminthes). In Fish Diseases and Disorders. Volume 1: Protozoan and Metazoan Infections; Woo, P.T.K., Ed.; CABI: Wallingford, UK, 2006; pp. 391–416. ISBN 978-0-85199-015-6. [Google Scholar]
- Dechtiar, A.O.; Lawrie, A.H. Survey of the Parasite Fauna of Lake Superior Fishes, 1969 to 1975. In Parasites of Fishes in the Canadian Waters of the Great Lakes. Technical Report No. 51.; Nepszy, S.J., Ed.; Great Lakes Fishery Commission: Ann Arbor, MI, USA, 1988; pp. 1–18. [Google Scholar]
- Lawler, G.H. Parasites of Coregonid Fishes. In Biology of Coregonid Fishes; Lindsey, C.C., Woods, C.S., Eds.; International Symposium on Biology of Coregonid Fishes; University of Manitoba: Winnipeg, BC, Canada, 1970; pp. 279–309. [Google Scholar]
- Muzzall, P.M.; Whelan, G.E. Parasites of Coregonines in the Genera Coregonus and Prosopium (Salmonidae, Coregoninae) in the Great Lakes; Great Lakes Fisheries Commission: Ann Arbor, MI, USA, 2021; pp. 1–69. [Google Scholar]
- Rosen, R.; Dick, T.A. Growth and Migration of Plerocercoids of Triaenophorus crassus Forel and Pathology in Experimentally Infected Whitefish, Coregonus clupeaformis (Mitchill). Can. J. Zool. 1984, 62, 203–211. [Google Scholar] [CrossRef]
- Scholz, T.; Kuchta, R.; Brabec, J. Broad Tapeworms (Diphyllobothriidae), Parasites of Wildlife and Humans: Recent Progress and Future Challenges. Int. J. Parasitol. Parasites Wildl. 2019, 9, 359–369. [Google Scholar] [CrossRef]
- Von Bonsdorff, B. Diphyllobothriasis in Man; Academic Press: London, UK, 1977; ISBN 0-12-724050-0. [Google Scholar]
- Waeschenbach, A.; Brabec, J.; Scholz, T.; Littlewood, D.T.J.; Kuchta, R. The Catholic Taste of Broad Tapeworms–Multiple Routes to Human Infection. Int. J. Parasitol. 2017, 47, 831–843. [Google Scholar] [CrossRef] [PubMed]
- Dick, T.A. Diphyllobothriasis: The Diphyllobothrium latum Human Infection Conundrum and Reconciliation with a Worldwide Zoonosis. In Food-Borne Parasitic Zoonoses: Fish and Plant-Borne Parasites; Murrell, K.D., Fried, B., Eds.; Springer: Boston, MA, USA, 2007; pp. 151–184. ISBN 978-0-387-71358-8. [Google Scholar]
- Dick, T.A.; Nelson, P.; Choudhury, A. Diphyllobothriasis: Update on Human Cases, Foci, Patterns and Sources of Human Infections and Future Considerations. Southeast Asian J. Trop. Med. Public Health 2001, 32, 59–76. [Google Scholar]
- Kuchta, R.; Radačovská, A.; Bazsalovicsová, E.; Viozzi, G.; Semenas, L.; Arbetman, M.; Scholz, T. Host Switching of Zoonotic Broad Fish Tapeworm (Dibothriocephalus latus) to Salmonids, Patagonia. Emerg. Infect. Dis. 2019, 25, 2156–2158. [Google Scholar] [CrossRef]
- Semenas, L.; Viozzi, G.; Arbetman, M. A Regional Study of the Zoonotic Broad Tapeworm Dibothriocephalus spp. in Northwestern Patagonia (Argentina): Origin of Fishes and Coastal Cities as Factors Affecting Infection in Fishes. Parasitol. Res. 2021, 120, 2415–2427. [Google Scholar] [CrossRef] [PubMed]
- Semenas, L.; Arbetman, M.; Viozzi, G.; Gentiluomo, J.; Bontti, S. Human Diphyllobothriasis in Argentina: Assessing the Epidemiological Significance from Historical Records and Reports of New Cases. Parasitol. Res. 2024, 123, 205. [Google Scholar] [CrossRef]
- Kuchta, R.; Esteban, J.-G.; Brabec, J.; Scholz, T. Misidentification of Diphyllobothrium Species Related to Global Fish Trade, Europe. Emerg. Infect. Dis. 2014, 20, 1955–1957. [Google Scholar] [CrossRef] [PubMed]
- Kuchta, R.; Oros, M.; Ferguson, J.; Scholz, T. Diphyllobothrium nihonkaiense Tapeworm Larvae in Salmon from North America. Emerg. Infect. Dis. 2017, 23, 351–353. [Google Scholar] [CrossRef]
- Scholz, T.; Garcia, H.H.; Kuchta, R.; Wicht, B. Update on the Human Broad Tapeworm (Genus Diphyllobothrium), Including Clinical Relevance. Clin. Microbiol. Rev. 2009, 22, 146–160. [Google Scholar] [CrossRef]
- Weiland, K.; Meyers, T. Histopathology of Diphyllobothrium ditremum Plerocercoids in Coho Salmon Oncorhynchus kisutch. Dis. Aquat. Org. 1989, 6, 175–178. [Google Scholar] [CrossRef]
- Andersen, K.I.; Kennedy, C.R. Systematics of the Genus Eubothrium Nybelin (Cestoda, Pseudophyllidea), with Partial Re-Description of the Species. Zool. Scr. 1983, 12, 95–105. [Google Scholar] [CrossRef]
- Kuchta, R.; Hanzelová, V.; Shinn, A.P.; Poddubnaya, L.G.; Scholz, T. Redescription of Eubothrium fragile (Rudolphi, 1802) and E. rugosum (Batsch, 1786) (Cestoda: Pseudophyllidea), Parasites of Fish in the Holarctic Region. Folia Parasit. 2005, 52, 251–260. [Google Scholar] [CrossRef]
- Schmidt, G.D. CRC Handbook of Tapeworm Identification; CRC Press, Inc.: Boca Raton, FL, USA, 1986; ISBN 978-0-8493-3280-7. [Google Scholar]
- Hanzelová, V.; Scholz, T.; Gerdeaux, D.; Kuchta, R. A Comparative Study of Eubothrium salvelini and E. crassum (Cestoda: Pseudophyllidea) Parasites of Arctic Charr and Brown Trout in Alpine Lakes. Environ. Biol. Fishes 2002, 64, 245–256. [Google Scholar] [CrossRef]
- Wootten, R. Occurrence of Eubothrium crassum (Bloch, 1779) (Cestoda: Pseudophyllidea) in Brown Trout Salmo trutta L., and Rainbow Trout S. Gairdneri Richardson, 1836, from Hanningfield Reservoir, Essex. J. Helminthol. 1972, 46, 327–339. [Google Scholar] [CrossRef]
- Scholz, T.; Kuchta, R.; Shinn, A.P.; Šnábel, V.; Hanzelová, V. Host Specificity and Geographical Distribution of Eubothrium in European Salmonid Fish. J. Helminthol. 2003, 77, 255–262. [Google Scholar] [CrossRef]
- Fahy, E. Eubothrium crassum in Migratory Trout, Salmo trutta L., in the Sea. J. Fish Biol. 1980, 16, 99–104. [Google Scholar] [CrossRef]
- Saksvik, M.; Nilsen, F.; Nylund, A.; Berland, B. Effect of Marine Eubothrium sp. (Cestoda: Pseudophyllidea) on the Growth of Atlantic Salmon, Salmo salar L. J. Fish Dis. 2001, 24, 111–119. [Google Scholar] [CrossRef]
- Bristow, G.A.; Berland, B. The Effect of Long Term, Low Level Eubothrium sp. (Cestoda: Pseudophyllidea) Infection on Growth in Farmed Salmon (Salmo salar L.). Aquaculture 1991, 98, 325–330. [Google Scholar] [CrossRef]
- Boyce, N.P. Effects of Eubothrium salvelini (Cestoda: Pseudophyllidea) on the Growth and Vitality of Sockeye Salmon, Oncorhynchus nerka. Can. J. Zool. 1979, 57, 597–602. [Google Scholar] [CrossRef]
- Boyce, N.P.; Clarke, W.C. Eubothrium salvelini (Cestoda: Pseudophyllidea) Impairs Seawater Adaptation of Migrant Sockeye Salmon Yearlings (Oncorhynchus nerka) from Babine Lake, British Columbia. Can. J. Fish. Aquat. Sci. 1983, 40, 821–824. [Google Scholar] [CrossRef]
- Boyce, N.P.; Yamada, S.B. Effects of a Parasite, Eubothrium salvelini (Cestoda: Pseudophyllidea), on the Resistance of Juvenile Sockeye Salmon, Oncorhynchus nerka, to Zinc. J. Fish. Res. Board Can. 1977, 34, 706–709. [Google Scholar] [CrossRef]
- Wardle, R.A.; McLeod, J.A. The Zoology of Tapeworms; University of Minnesota Press: Minneapolis, MN, USA, 1952. [Google Scholar]
- Yamaguti, S. Studies on the Helminth Fauna of Japan. Part 4. Cestodes of Fishes. Jpn. J. Zool. 1934, 6, 1–112. [Google Scholar]
- Zschokke, F.; Heitz, A. Entoparasiten Aus Salmoniden von Kamtschatka. Rev. Suisse Zool. 1914, 22, 195–256. [Google Scholar] [CrossRef]
- Aibinu, I.E.; Smooker, P.M.; Lopata, A.L. Anisakis Nematodes in Fish and Shellfish- from Infection to Allergies. Int. J. Parasitol. Parasites Wildl. 2019, 9, 384–393. [Google Scholar] [CrossRef]
- Daschner, A.; Cuéllar, C.; Rodero, M. The Anisakis Allergy Debate: Does an Evolutionary Approach Help? Trends Parasitol. 2012, 28, 9–15. [Google Scholar] [CrossRef]
- Shamsi, S.; Barton, D.P. A Critical Review of Anisakidosis Cases Occurring Globally. Parasitol. Res. 2023, 122, 1733–1745. [Google Scholar] [CrossRef] [PubMed]
- Karl, H.; Baumann, F.; Ostermeyer, U.; Kuhn, T.; Klimpel, S. Anisakis simplex (s.s.) Larvae in Wild Alaska Salmon: No Indication of Post-Mortem Migration from Viscera into Flesh. Dis. Aquat. Org. 2011, 94, 201–209. [Google Scholar] [CrossRef] [PubMed]
- Deardorff, T.L.; Kent, M.L. Prevalence of Larval Anisakis simplex in Pen-Reared and Wild-Caught Salmon (Salmonidae) from Puget Sound, Washington. J. Wildl. Dis. 1989, 25, 416–419. [Google Scholar] [CrossRef] [PubMed]
- Mastick, N.; Welicky, R.; Katla, A.; Odegaard, B.; Ng, V.; Wood, C.L. Opening a Can of Worms: Archived Canned Fish Fillets Reveal 40 Years of Change in Parasite Burden for Four Alaskan Salmon Species. Ecol. Evol. 2024, 14, e11043. [Google Scholar] [CrossRef]
- Marty, G.D. Anisakid Larva in the Viscera of a Farmed Atlantic Salmon (Salmo salar). Aquaculture 2008, 279, 209–210. [Google Scholar] [CrossRef]
- López-Verdejo, A. Infection Process, Viability and Establishment of Anisakis simplex s.l. L3 in Farmed Fish; A Histopathological Study in Gilthead Seabream. Vet. Parasitol. 2022, 311, 109805. [Google Scholar] [CrossRef]
- Adamson, M.L.; Clease, D.F.; Margolis, L. Differentiation of Philonema spp. (Nematoda; Philometridae) in British Columbia Salmonid Fishes Using DNA Restriction Fragment Length Differences. Can. J. Fish. Aquat. Sci. 1992, 49, 1650–1656. [Google Scholar] [CrossRef]
- Anderson, R.C. (Ed.) Nematode Parasites of Vertebrates: Their Development and Transmission; CABI: Wallingford, UK, 2000; ISBN 978-0-85199-786-5. [Google Scholar]
- Platzer, E.G.; Adams, J.R. The Life History of a Dracunculoid, Philonema oncorhynchi, in Oncorhynchus nerka. Can. J. Zool. 1967, 45, 31–43. [Google Scholar] [CrossRef]
- Després, L.; Adamson, M.L.; McDonald, T.E. Development of a Diagnostic Molecular Marker for Philonema spp. (Nematoda; Dracunculoidea) Infecting Salmonids in British Columbia. Can. J. Fish. Aquat. Sci. 1995, 52, 129–133. [Google Scholar] [CrossRef]
- Bashirullah, A.K.M. The Development and Maturation of Philonema Species (Nematoda: Philometridae) in Salmonid Hosts with Different Life Histories. Ph.D. Thesis, University of British Columbia, Vancouver, BC, Canada, 1966. [Google Scholar]
- Larson, M.S.; Choudhury, A.; Gardner, E.N.; Konstantinidis, P.; Murphy, C.A.; Kent, M.L.; Peterson, J.T.; Couch, C.E. Unique Diet and Philonema sp. Infections in Reservoir-rearing Juvenile Chinook Salmon. Trans. Am. Fish. Soc. 2024, 153, 312–325. [Google Scholar] [CrossRef]
- Garnick, E.; Margolis, L. Influence of Four Species of Helminth Parasites on Orientation of Seaward Migrating Sockeye Salmon (Oncorhynchus nerka) Smolts. Can. J. Fish. Aquat. Sci. 1990, 47, 2380–2389. [Google Scholar] [CrossRef]
- Nagasawa, K. Prevalence of Visceral Adhesions in Sockeye Salmon, Oncorhynchus nerka, in the Central North Pacific Ocean. Fish Pathol. 1985, 20, 313–321. [Google Scholar] [CrossRef]
- Nagasawa, K. Notes on Parasites of Aquatic Organisms for Visceral Adhesion of High–Seas Sockeye Salmon Caused by the Nematode Philonema oncorhynchi. Aquabiology 1989, 11, 320–321. [Google Scholar]
- Nagasawa, K. Do Visceral Adhesions Affect the Growth of Sockeye Salmon in the North Pacific Ocean and Bering Sea? Fish Pathol. 2022, 57, 41–48. [Google Scholar] [CrossRef]
- Berg, O.K.; Foote, C.J.; Quinn, T.P. Fish Age, Nematode (Philonema oncorhynchi) Infection, and Development of Sexual Dimorphism by the Adult Male Sockeye Salmon, Oncorhynchus nerka, in Western Alaska. Can. J. Zool. 1995, 73, 1999–2004. [Google Scholar] [CrossRef]
- Margolis, L. Preventing the Occurrence of Body Cavity Nematodes (Philonema) in Salmonids in Lake Cage-Culture Operations; Pacific Biologic Station: Nanaimo, BC, Canada, 1994; p. 2.
- Brocklebank, J.R.; Groman, D.; Conboy, G. Systemic Nematodosis in Farmed Coho Salmon in British Columbia. Can. Vet. J. 1996, 37, 496–498. [Google Scholar]
- Alaska Department of Fish and Game (ADF&G) (Fish Pathology Laboratory, Anchorage, AK 99518, USA). Fish Pathology Laboratory Report Accession Number 2010-0022. Unpublished. 2010. [Google Scholar]
- Alaska Department of Fish and Game (ADF&G) (Fish Pathology Laboratory, Anchorage, AK 99518, USA). Fish Pathology Laboratory Report Accession Number 2018-0011. Unpublished. 2018. [Google Scholar]
- Bashirullah, A.K.M.; Adams, J.R. Philomena oncorhynchi: Effect of Hormones on Maturation in Anadromous Sockeye, Oncorhynchus nerka. Int. J. Parasitol. 1983, 13, 261–265. [Google Scholar] [CrossRef]
- Ferguson, J.A.; Locke, S.A.; Font, W.F.; Steinauer, M.L.; Marcogliese, D.J.; Cojocaru, C.D.; Kent, M.L. Apophallus microsoma n. sp. from Chicks Infected with Metacercariae from Coho Salmon (Oncorhynchus kisutch) and Review of the Taxonomy and Pathology of the Genus Apophallus (Heterophyidae). J. Parasitol. 2012, 98, 1122–1132. [Google Scholar] [CrossRef]
- Ferguson, J.A.; Romer, J.; Sifneos, J.C.; Madsen, L.; Schreck, C.B.; Glynn, M.; Kent, M.L. Impacts of Multispecies Parasitism on Juvenile Coho Salmon (Oncorhynchus kisutch) in Oregon. Aquaculture 2012, 362–363, 184–192. [Google Scholar] [CrossRef]
- Ferguson, J.A.; St-Hilaire, S.; Peterson, T.S.; Rodnick, K.J.; Kent, M.L. Survey of Parasites in Threatened Stocks of Coho Salmon (Oncorhynchus kisutch) in Oregon by Examination of Wet Tissues and Histology. J. Parasitol. 2011, 97, 1085–1098. [Google Scholar] [CrossRef]
- Mitchell, A.J.; Goodwin, A.E.; Salmon, M.J.; Brandt, T.M. Experimental Infection of an Exotic Heterophyid Trematode, Centrocestus formosanus, in Four Aquaculture Fishes. N. Am. J. Aquac. 2002, 64, 55–59. [Google Scholar] [CrossRef]
- Okon, E.M.; Okocha, R.C.; Taiwo, A.B.; Michael, F.B.; Bolanle, A.M. Dynamics of Co-Infection in Fish: A Review of Pathogen-Host Interaction and Clinical Outcome. Fish Shellfish Immunol. Rep. 2023, 4, 100096. [Google Scholar] [CrossRef]
- Crozier, L.G.; Burke, B.J.; Chasco, B.E.; Widener, D.L.; Zabel, R.W. Climate Change Threatens Chinook Salmon throughout Their Life Cycle. Commun. Biol. 2021, 4, 222. [Google Scholar] [CrossRef] [PubMed]
- Meyers, T.R.; Hickey, N. A Perspective: Molecular Detections of New Agents in Finfish—Interpreting Biological Significance for Fish Health Management: Response to Comment. J. Aquat. Anim. Health 2024, 36, 231–238. [Google Scholar] [CrossRef]
- Verner-Jeffreys, D.W.; Pond, M.J.; Peeler, E.J.; Rimmer, G.S.E.; Oidtmann, B.; Way, K.; Mewett, J.; Jeffrey, K.; Bateman, K.; Reese, R.A.; et al. Emergence of Cold Water Strawberry Disease of Rainbow Trout Oncorhynchus mykiss in England and Wales: Outbreak Investigations and Transmission Studies. Dis. Aquat. Org. 2008, 79, 207–218. [Google Scholar] [CrossRef] [PubMed]
- Bartholomew, J.L.; Alexander, J.D.; Alvarez, J.; Atkinson, S.D.; Belchik, M.; Bjork, S.J.; Foott, J.S.; Gonyaw, A.; Hereford, M.E.; Holt, R.A.; et al. Deconstructing Dams and Disease: Predictions for Salmon Disease Risk Following Klamath River Dam Removals. Front. Ecol. Evol. 2023, 11, 1245967. [Google Scholar] [CrossRef]
- Kock, T.J.; Evans, S.D.; Perry, R.W.; Monk, P.A.; Porter, M.S.; Hansen, A.C.; Pope, A.C. Survival Implications of Diversion Entrainment for Out-Migrating Juvenile Chinook Salmon and Steelhead. Trans. Am. Fish. Soc. 2024, 153, 200–215. [Google Scholar] [CrossRef]











Disclaimer/Publisher’s Note: The statements, opinions and data contained in all publications are solely those of the individual author(s) and contributor(s) and not of MDPI and/or the editor(s). MDPI and/or the editor(s) disclaim responsibility for any injury to people or property resulting from any ideas, methods, instructions or products referred to in the content. |
© 2026 by the authors. Licensee MDPI, Basel, Switzerland. This article is an open access article distributed under the terms and conditions of the Creative Commons Attribution (CC BY) license.
Share and Cite
Polley, T.M.; Ferguson, J.A.; Hickey, N.; Jones, S.R.M.; Choudhury, A.; Foott, J.S.; Kent, M.L. Review of Major and Minor Pathogens of Adult Pacific Salmon (Oncorhynchus spp.) in Freshwater in the Pacific Northwest of North America. Pathogens 2026, 15, 87. https://doi.org/10.3390/pathogens15010087
Polley TM, Ferguson JA, Hickey N, Jones SRM, Choudhury A, Foott JS, Kent ML. Review of Major and Minor Pathogens of Adult Pacific Salmon (Oncorhynchus spp.) in Freshwater in the Pacific Northwest of North America. Pathogens. 2026; 15(1):87. https://doi.org/10.3390/pathogens15010087
Chicago/Turabian StylePolley, Tamsen M., Jayde A. Ferguson, Nora Hickey, Simon R. M. Jones, Anindo Choudhury, John S. Foott, and Michael L. Kent. 2026. "Review of Major and Minor Pathogens of Adult Pacific Salmon (Oncorhynchus spp.) in Freshwater in the Pacific Northwest of North America" Pathogens 15, no. 1: 87. https://doi.org/10.3390/pathogens15010087
APA StylePolley, T. M., Ferguson, J. A., Hickey, N., Jones, S. R. M., Choudhury, A., Foott, J. S., & Kent, M. L. (2026). Review of Major and Minor Pathogens of Adult Pacific Salmon (Oncorhynchus spp.) in Freshwater in the Pacific Northwest of North America. Pathogens, 15(1), 87. https://doi.org/10.3390/pathogens15010087

