A Novel Parvovirus Associated with the Whitefly Bemisia tabaci
Abstract
1. Introduction
2. Results and Discussion
2.1. Discovery, Complete Genome Assembly, and Phylogenomic Analysis of a Novel Whitefly Parvovirus
2.1.1. Illumina Sequencing Analysis of Whiteflies Sampled in Crop Fields of Morocco Reveals a Novel Parvovirus
2.1.2. Assembly and Sequence Analysis of a Complete Parvovirus Genome Reveals Its Homotelomeric Ambisense Nature
2.1.3. Phylogenetic Analysis of NS1/Rep and Other Viral Proteins, Along with Their Expression Strategies, Classify BtaDV into a Putative New Genus Within the Densovirinae
2.2. Presence of BtaDV in Different Whitefly Field Populations and Evidence for Integration of Its Partial Sequences in the B. tabaci Genome
2.2.1. RCA Illumina Sequencing Analysis of the Pooled Whiteflies from Crop Fields Provides Evidence for BtaDV and Its Genetic Variants Circulating in Morocco
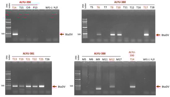
2.2.2. Diagnostic PCR Analysis of BtaDV in Different Field Populations of B. tabaci Whiteflies Supports Its Prevalence in Morocco
2.2.3. Evidence for Integration and Neofunctionalization of Partial BtaDV Sequences in the Genome of B. tabaci
3. Conclusions
4. Materials and Methods
4.1. Whitefly Sampling
4.2. Total Whitefly DNA Extraction
4.3. Rolling Circle Amplification (RCA) of Viral DNA
4.4. Restriction Analysis of RCA Products
4.5. Illumina Sequencing of RCA Products and De Novo Assembly
4.6. De Novo Assembly of Illumina Sequencing Reads
4.7. Detection and Complete Consensus Genomic Reconstruction of the Novel Parvovirus
4.8. PCR Screening of Whitefly DNA-Derived RCA Products
4.9. Phylogenetic Analysis Based on NS1 SF3 Helicase Domains of Parvoviridae
Supplementary Materials
Author Contributions
Funding
Institutional Review Board Statement
Informed Consent Statement
Data Availability Statement
Acknowledgments
Conflicts of Interest
References
- Cotmore, S.F.; Agbandje-McKenna, M.; Canuti, M.; Chiorini, J.A.; Eis-Hubinger, A.M.; Hughes, J.; Mietzsch, M.; Modha, S.; Ogliastro, M.; Pénzes, J.J.; et al. ICTV Virus Taxonomy Profile: Parvoviridae. J. Gen. Virol. 2019, 100, 367–368. [Google Scholar] [CrossRef] [PubMed]
- Laugel, M.; Lecomte, E.; Ayuso, E.; Adjali, O.; Mével, M.; Penaud-Budloo, M. The Diversity of Parvovirus Telomeres. In Recent Advances in Canine Medicine; Fonseca-Alves, C.E., Payan-Carreira, R., Eds.; IntechOpen: London, UK, 2023; pp. 1–19. [Google Scholar] [CrossRef]
- Pénzes, J.J.; Söderlund-Venermo, M.; Canuti, M.; Eis-Hübinger, A.M.; Hughes, J.; Cotmore, S.F.; Harrach, B. Reorganizing the family Parvoviridae: A revised taxonomy independent of the canonical approach based on host association. Arch. Virol. 2020, 165, 2133–2146. [Google Scholar] [CrossRef] [PubMed]
- Huang, H.J.; Ye, Z.X.; Wang, X.; Yan, X.T.; Zhang, Y.; He, Y.J.; Qi, Y.H.; Zhang, X.D.; Zhuo, J.C.; Lu, G.; et al. Diversity and infectivity of the RNA virome among different cryptic species of an agriculturally important insect vector: Whitefly Bemisia tabaci. NPJ Biofilms Microbiomes 2021, 7, 43. [Google Scholar] [CrossRef] [PubMed]
- Cheng, R.L.; Li, X.F.; Zhang, C.X. Nudivirus Remnants in the Genomes of Arthropods. Genome Biol. Evol. 2020, 12, 578–588. [Google Scholar] [CrossRef] [PubMed]
- Blum, M.; Andreeva, A.; Florentino, L.C.; Chuguransky, S.R.; Grego, T.; Hobbs, E.; Pinto, B.L.; Orr, A.; Paysan-Lafosse, T.; Ponamareva, I.; et al. InterPro: The protein sequence classification resource in 2025. Nucleic Acids Res. 2025, 53, D444–D456. [Google Scholar] [CrossRef] [PubMed]
- Ilyina, T.V.; Koonin, E.V. Conserved sequence motifs in the initiator proteins for rolling circle DNA replication encoded by diverse replicons from eubacteria, eucaryotes and archaebacteria. Nucleic Acids Res. 1992, 20, 3279–3285. [Google Scholar] [CrossRef] [PubMed]
- Vendeville, A.; Ravallec, M.; Jousset, F.X.; Devise, M.; Mutuel, D.; López-Ferber, M.; Fournier, P.; Dupressoir, T.; Ogliastro, M. Densovirus infectious pathway requires clathrin-mediated endocytosis followed by trafficking to the nucleus. J. Virol. 2009, 83, 4678–4689. [Google Scholar] [CrossRef] [PubMed]
- Nigg, J.C.; Falk, B.W. Diaphorina citri densovirus is a persistently infecting virus with a hybrid genome organization and unique transcription strategy. J. Gen. Virol. 2020, 101, 226–239. [Google Scholar] [CrossRef] [PubMed]
- Nigg, J.C.; Nouri, S.; Falk, B.W. Complete Genome Sequence of a Putative Densovirus of the Asian Citrus Psyllid, Diaphorina citri. Genome Announc. 2016, 4, e00589-16. [Google Scholar] [CrossRef] [PubMed]
- Ghosh, S.; Sela, N.; Ghanim, M. Complete Genome Sequence of a Putative Densovirus Infecting the Carrot Psyllid Bactericera trigonica. Microbiol Resour. Announc. 2019, 8, e01103-19. [Google Scholar] [CrossRef] [PubMed]
- Wang, X.W.; Luan, J.B.; Li, J.M.; Su, Y.L.; Xia, J.; Liu, S.S. Transcriptome analysis and comparison reveal divergence between two invasive whitefly cryptic species. BMC Genom. 2011, 12, 458. [Google Scholar] [CrossRef] [PubMed]
- Siegmund, T.; Lehmann, M. The Drosophila Pipsqueak protein defines a new family of helix-turn-helix DNA-binding proteins. Dev. Genes Evol. 2002, 212, 152–157. [Google Scholar] [CrossRef] [PubMed]
- Clavijo, G.; van Munster, M.; Monsion, B.; Bochet, N.; Brault, V. Transcription of densovirus endogenous sequences in the Myzus persicae genome. J. Gen. Virol. 2016, 97, 1000–1009. [Google Scholar] [CrossRef] [PubMed]
- Sukhikh, N.; Golyaev, V.; Laboureau, N.; Clavijo, G.; Rustenholz, C.; Marmonier, A.; Chesnais, Q.; Ogliastro, M.; Drucker, M.; Brault, V.; et al. Deep Sequencing Analysis of Virome Components, Viral Gene Expression and Antiviral RNAi Responses in Myzus persicae Aphids. Int. J. Mol. Sci. 2024, 25, 13199. [Google Scholar] [CrossRef] [PubMed]
- Li, H.; Durbin, R. Fast and Accurate Long-Read Alignment with Burrows–Wheeler Transform. Bioinformatics 2010, 26, 589–595. [Google Scholar] [CrossRef] [PubMed]
- Li, H.; Handsaker, B.; Wysoker, A.; Fennell, T.; Ruan, J.; Homer, N.; Marth, G.; Abecasis, G.; Durbin, R.; 1000 Genome Project Data Processing Subgroup. The Sequence Alignment/Map format and SAMtools. Bioinformatics 2009, 25, 2078–2079. [Google Scholar] [CrossRef] [PubMed]
- Zerbino, D.R.; Birney, E. Velvet: Algorithms for de novo short read assembly using de Bruijn graphs. Genome Res. 2008, 18, 821–829. [Google Scholar] [CrossRef] [PubMed]
- Li, H. Minimap2: Pairwise alignment for nucleotide sequences. Bioinformatics 2018, 34, 3094–3100. [Google Scholar] [CrossRef] [PubMed]
- Robinson, J.T.; Thorvaldsdottir, H.; Turner, D.; Mesirov, J.P. igv.js: An embeddable JavaScript implementation of the Integrative Genomics Viewer (IGV). Bioinformatics 2023, 39, btac830. [Google Scholar] [CrossRef] [PubMed]
- Seguin, J.; Otten, P.; Baerlocher, L.; Farinelli, L.; Pooggin, M.M. MISIS-2: A bioinformatics tool for in-depth analysis of small RNAs and representation of consensus master genome in viral quasispecies. J. Virol. Methods 2016, 233, 37–40. [Google Scholar] [CrossRef] [PubMed]
- Lorenz, R.; Bernhart, S.H.; Höner Zu Siederdissen, C.; Tafer, H.; Flamm, C.; Stadler, P.F.; Hofacker, I.L. ViennaRNA Package 2.0. Algorithms Mol. Biol. 2011, 6, 26. [Google Scholar] [CrossRef] [PubMed]
- Kikin, O.; D’Antonio, L.; Bagga, P.S. QGRS Mapper: A web-based server for predicting G-quadruplexes in nucleotide sequences. Nucleic Acids Res. 2006, 34, W676–W682. [Google Scholar] [CrossRef] [PubMed]
- Kumar, S.; Stecher, G.; Suleski, M.; Sanderford, M.; Sharma, S.; Tamura, K. MEGA12: Molecular Evolutionary Genetic Analysis Version 12 for Adaptive and Green Computing. Mol. Biol. Evol. 2024, 41, msae263. [Google Scholar] [CrossRef] [PubMed]
- Muhire, B.M.; Varsani, A.; Martin, D.P. SDT: A virus classification tool based on pairwise sequence alignment and identity calculation. PLoS ONE 2014, 9, e108277. [Google Scholar] [CrossRef] [PubMed]
- Suchard, M.A.; Lemey, P.; Baele, G.; Ayres, D.L.; Drummond, A.J.; Rambaut, A. Bayesian phylogenetic and phylodynamic data integration using BEAST 1.10. Virus Evol. 2018, 4, vey016. [Google Scholar] [CrossRef] [PubMed]
- Rambaut, A. FigTree v1.4.4, a Graphical Viewer of Phylogenetic Trees. University of Edinburgh: Institute of Evolutionary Biology, 2018. Available online: http://tree.bio.ed.ac.uk/software/figtree/ (accessed on 27 April 2025).





Disclaimer/Publisher’s Note: The statements, opinions and data contained in all publications are solely those of the individual author(s) and contributor(s) and not of MDPI and/or the editor(s). MDPI and/or the editor(s) disclaim responsibility for any injury to people or property resulting from any ideas, methods, instructions or products referred to in the content. |
© 2025 by the authors. Licensee MDPI, Basel, Switzerland. This article is an open access article distributed under the terms and conditions of the Creative Commons Attribution (CC BY) license (https://creativecommons.org/licenses/by/4.0/).
Share and Cite
Gousi, F.; Belabess, Z.; Laboureau, N.; Peterschmitt, M.; Pooggin, M.M. A Novel Parvovirus Associated with the Whitefly Bemisia tabaci. Pathogens 2025, 14, 714. https://doi.org/10.3390/pathogens14070714
Gousi F, Belabess Z, Laboureau N, Peterschmitt M, Pooggin MM. A Novel Parvovirus Associated with the Whitefly Bemisia tabaci. Pathogens. 2025; 14(7):714. https://doi.org/10.3390/pathogens14070714
Chicago/Turabian StyleGousi, Fani, Zineb Belabess, Nathalie Laboureau, Michel Peterschmitt, and Mikhail M. Pooggin. 2025. "A Novel Parvovirus Associated with the Whitefly Bemisia tabaci" Pathogens 14, no. 7: 714. https://doi.org/10.3390/pathogens14070714
APA StyleGousi, F., Belabess, Z., Laboureau, N., Peterschmitt, M., & Pooggin, M. M. (2025). A Novel Parvovirus Associated with the Whitefly Bemisia tabaci. Pathogens, 14(7), 714. https://doi.org/10.3390/pathogens14070714

