Next Article in Journal
Molecular Characterization of Presumptive Klebsiella pneumoniae Isolates from Companion and Farm Animals in Germany Reveals Novel Sequence Types
Previous Article in Journal
Development of Low-Cost In-House Assays for Quantitative Detection of HBsAg, HBeAg, and HBV DNA to Enhance Hepatitis B Virus Diagnostics and Antiviral Screening in Resource-Limited Settings
Previous Article in Special Issue
Evaluating Atlantic Salmon (Salmo salar) as a Natural or Alternative Host for Piscine Myocarditis Virus (PMCV) Infection
 
 
Font Type:
Arial Georgia Verdana
Font Size:
Aa Aa Aa
Line Spacing:
Column Width:
Background:
Article

Isolation, Identification, and Characteristics of Aeromonas salmonicida subsp. masoucida from Diseased Starry Flounder (Platichthys stellatus)

1
Aquaculture Industry Research Division, East Sea Fisheries Research Institute, National Institute of Fisheries Science, Gangneung 25435, Republic of Korea
2
Pathology Division, National Institute of Fisheries Science, Busan 46083, Republic of Korea
*
Author to whom correspondence should be addressed.
Pathogens 2025, 14(3), 257; https://doi.org/10.3390/pathogens14030257
Submission received: 10 February 2025 / Revised: 27 February 2025 / Accepted: 4 March 2025 / Published: 5 March 2025
(This article belongs to the Special Issue Emerging Pathogens in Aquaculture)

Abstract

Aeromonas salmonicida is a predominant pathogen that infects fish. The pathogen A. salmonicida subsp. masoucida (ASM) was isolated for the first time from diseased starry flounders (Platichthys stellatus). Our study aimed to isolate, characterize, and investigate the pathogenicity of ASM. Bacterial species were identified using 16s rRNA, gyrB, dnaJ, and vapA analyses. Phylogenetic tree analysis revealed that the ASM strains were clustered with the ASM ATCC strain and other strains isolated from black rockfish. In the antimicrobial susceptibility test, the three ASM strains were considered non-wild types for enrofloxacin, florfenicol, flumequine, oxolinic acid, and oxytetracycline susceptibility. Histopathological analysis revealed bacterial colonies in the secondary lamella and heart, indicating that ASM strains are highly virulent in fish. Comparative analysis and annotation via genome sequencing revealed that, among the 1156 factors, adherence factors were the most prevalent putative virulence determinants, followed by the effector delivery system and adherence. ASM was found to possess 43 type III secretion systems, 22 type VI secretion systems, 11 antimicrobial resistance genes, 3 stress genes, and prophage regions. These findings provide new insights into the virulence profile of ASM and highlight the risk posed by emerging pathogenic strains to starry flounders.

1. Introduction

The starry flounder (Platichthys stellatus Pallas 1787) is a dominant and economically significant flatfish species cultured in various areas, including the eastern coastal regions of Korea. It is a large species widely distributed in low-temperature zones, extending from the north of central Japan to Russia’s Maritime Province, the Otsuk Sea, the Bering Sea, and California Bay in the United States [1]. The annual production capacity of starry flounders is approximately 8000 tons, ranking third (9.7%) in Republic of Korea’s mariculture production and totaling 79,700 tons in 2023 [2]. As a cold-water fish species, starry flounders actively feed at temperatures below 15 °C, with an optimal growth temperature of 13–18 °C [3]. However, fish are susceptible to diseases in summer. Several infectious diseases, including infections caused by Edwardsiella tarda [4], Streptococcus parauberis [5], red sea bream iridovirus [6], Trichodina [7], and Enteromyxum leei [8], have been reported in starry flounders.
In April 2023, a disease outbreak occurred across starry flounder farms in Pohang-si, Gyeongsangbuk-do, Korea, with a mortality rate of up to 30%. The water temperature was 13–14 °C. Diseased starry flounders exhibited exophthalmia, hemorrhage of the eyes, jaw, liver, gills covered with mucus, and spleen enlargement. The pathogens were isolated from lesions and identified as Aeromonas salmonicida subsp. masoucida.
Aeromonas salmonicida is the causative agent of furunculosis, a devastating disease characterized by skin ulceration and bleeding. The five subspecies of Aeromonas salmonicida subsp. masoucida can be divided into typical strains, including A. salmonicida subsp. Salmonicida, which primarily causes disease in salmonids; and atypical strains, including A. salmonicida subsp. achromogenes, masoucida, pectinolytica, and smithia, which are mainly isolated from non-salmonid fish [9]. All subspecies, except for pectinolytica, have been associated with fish diseases. Epizootic outbreaks of A. salmonicida in turbot (Scophthalmus maximus) [10,11], halibut (Hippoglosus hippoglosus) [12], cod (Gadus morhua) [13], crucian carp (Carassius auratus) [14], Atlantic salmon (Salmo salar) [15], spotted wolffish (Anarhichas minor) [16], brook trout (Salvelinusn fontinalis) [17], sea bream (Sparus aurata) [18], black rockfish (Sebastes schlegeli) [19], and red swamp crayfish (Procambarus clarkii) [20] have been reported. Recently, the efficacy of vaccines against A. salmonicida subsp. achromogenes, Vibrio anguillarum [21], and A. salmonicida subsp. masoucida in turbot [22] has been investigated. However, information regarding the molecular identification and pathology of A. salmonicida subsp. masoucida infections in starry flounders are scarce.
Although several pathogens are known to target starry flounder in the aquatic environment, novel pathogens may emerge due to natural disasters such as climate change. Therefore, epidemiological investigations are needed to identify potential pathogens so that appropriate management and treatment strategies can be employed in a timely manner.
In this study, we isolated, characterized, and investigated the pathogenicity of A. salmonicida subsp. masoucida infections in starry flounders. We performed phylogenetic tree analysis and an antimicrobial susceptibility test and analyzed the genomic and histopathological features of A. salmonicida subsp. masoucida in fish. To the best of our knowledge, this is the first report investigating A. salmonicida subsp. masoucida in starry flounder, and our findings provide a scientific reference for the diagnosis and prevention of the emergence of new pathogenic strains in the Korean aquaculture industry.

2. Materials and Methods

2.1. Clinical Signs and Sample Collection

An epizootic disease outbreak occurred at three starry flounder farms (36°02′32.0″ N 129°34′47.6″ E, 35°57′34.2″ N 129°32′55.3″ E, and 36°02′39.8″ N 129°34′53.0″ E) in Pohang-si, Gyeongsangbuk-do, Republic of Korea in April 2023 (Figure 1). Diseased starry flounders (272.8 ± 12 g and 23.8 ± 2 cm) exhibited exophthalmia, hemorrhage of the eyes, jaw, and liver, gills covered with mucus, and spleen enlargement (Figure 2A–D). The diseased fish showed dark color, poor appetite, and abnormal swimming behavior. The water temperature was 13–14 °C, and the mortality rate was 30%. The diseased fish (n = 15) were immediately transported to the laboratory in oxygenated bags at 13 °C. For bacterial isolation, diseased fish were euthanized with 150 μg mL−1 tricaine methane sulfonate (MS-222, Sigma-Aldrich, St. Louis, MO, USA), in accordance with the guidelines of the Institutional Animal Care and Use Committee of the National Institute of Fisheries Science (approval number: 2023-NIFS-IACUC-30). Lesions (eyes and jaw) and the internal organs (spleen and kidney) were directly streaked on tryptone soybean agar (Difco, Maryland City, MD, USA) with 1% NaCl (w/v) at 25 °C for 24 h. The bacterial strains are presented in Table S1. The bacterial strains commonly isolated from tissues per fish farm were named ASM1, ASM2, and ASM3 (Table 1). The fish were confirmed to be negative for parasitic and viral infection.

2.2. Isolation and Identification of Bacteria

Single colonies were obtained from diseased fish, and genomic DNA was extracted using an AccuPrep® Genomic DNA Extraction Kit (Bioneer, Daejeon, Republic of Korea) following the manufacturer’s instructions. The genomic DNA was stored at –20 °C for further analysis. To determine the specific genera and species of the bacteria, PCR primers targeting 16s rRNA [23], DNA gyrase subunit B (gyrB) [24], and dnaJ [25] genes were amplified and sequenced following previously reported methods (Table S2). Virulence array protein A (vapA) amplification was carried out using a PRoFlex PCR System (Applied Biosystems, Waltham, MA, USA) with the following conditions: a 5 min initial denaturation step at 94 °C, followed by 35 cycles at 94 °C for 30 s, 54 °C for 30 s, and 75 °C for 30 s, with a final extension step of 7 min at 72 °C. The amplified products were examined using agarose gel electrophoresis (1.2%) and confirmed using sequence analysis (Bionics, Seoul, Republic of Korea). After nucleotide sequence analysis, species identification and similarity calculations were performed to detect homologous sequences in GenBank using BLASTn (https://blast.ncbi.nlm.nih.gov/Blast.cgi, accessed on 4 May 2023). Consensus sequences were aligned using BioEdit [26].

2.3. Phylogenetic Analysis

For phylogenetic tree analysis, the vapA sequencing results were analyzed using the neighbor-joining (NJ) method, with 1000 bootstrap replications, in the MEGA-X program [27].

2.4. Antimicrobial Susceptibility Test

The susceptibility of pathogenic bacteria to antimicrobials was analyzed using a standard broth microdilution method [28]. The minimum inhibitory concentration (MIC) was determined using KRAQ3 and KRAQ4 (Trek Diagnostic System, East Grinstead, UK) plates, as previously described [29]. MICs for amoxicillin (0.06–16 μg mL−1), ampicillin (0.5–128 μg mL−1), doxycycline (0.12–128 μg mL−1), enrofloxacin (0.03–32 μg mL−1), erythromycin (0.03–64 μg mL−1), florfenicol (0.06–64 μg mL−1), flumequine (0.12–128 μg mL−1), oxolinic acid (0.5–32 μg mL−1), and oxytetracycline (0.12–256 μg mL−1) were used. Briefly, the bacteria were cultured on tryptone soybean agar for 24 h at 25 °C, suspended in demineralized water (T3339, Thermo Fisher, Waltham, MA, USA) adjusted to 0.5 McFarland standard, and diluted in cation-adjusted Mueller–Hinton broth (T-3462, Thermo Fisher, USA) to achieve a concentration of 5 × 105 CFU mL−1. After incubation at 28 °C for 24 h, the antimicrobial susceptibility was determined by measuring the MIC, and the strains were categorized as wild type (WT) or non-wild type (NWT) according to the epidemiological cut-off value (ECV) studies [30,31].

2.5. Whole Genome Sequencing

2.5.1. DNA Sequencing and De Novo Genome Assembly

A DNeasy Blood and Tissue Kit (Qiagen, Hilden, Germany) was used to extract total DNA from the A. salmonicida subsp. masoucida strain ASM3 following the manufacturer’s instructions. The isolated DNA was sequenced using two different sequencing systems, PacBio Sequel (Pacific Biosciences, Menlo Park, CA, USA) and Novaseq6000 (Illumina, San Diego, CA, USA), which were established using long- and short-read sequencing techniques. Sequencing was performed by DNA Link (Seoul, Republic of Korea) and Insilicogen (Seoul, Republic of Korea), an authorized service provider in Republic of Korea. The Illumina paired-end sequences were initially subjected to the filtering of technical artifacts and adapters using Trimmomatic v. 0.32 [32]. These Illumina reads were used for the error correction of PacBio reads in the CLC Assembly Cell v. 5.1.1 (Qiagen, Hilden, Germany). The corrected reads were used for the initial de novo draft version of the A. salmonicida subsp. masoucida genome using the FALCON v1.8.1 haplotype assembler [33], and the assembly was polished with Pilon [34]. The assembled contigs were scaffolded to the chromosomal scale using the reference A. salmonicida (GCF_028355655.1) and RagTag v 2.1.0 method [35]. The scaffolded contigs were assessed for completeness using BUSCO v5.4.7, with the Viridiplantae_odb10 reference dataset [36].

2.5.2. Genome Size Estimation

All Illumina preprocessed sequences from the paired-end library were subjected to genome size estimation using the k-mer method. The k-mer frequencies (k-mer size = 17) were obtained using Jellyfish v2.1.3 [37], and the genome coverage depth was calculated as: (k-mer coverage depth × average read length)/(average read length − k-mer size + 1). Genome size was calculated as the total base number/genome coverage depth. The k-mer coverage depth was determined using the major peak in the k-mer distribution.

2.5.3. Gene Prediction and Annotation

Gene annotation was performed using the Prokka version 1.12b software [38]. Functional annotations were performed using GO [39], KEGG [40], SwissProt [41], and egg-NOG analyses [42]. AMRFinderPlus [43], the comprehensive antibiotic resistance database (CARD), and the virulence factor database (VFDB) [44] were used to identify antimicrobial resistance genes and bacterial virulence factors.

2.6. Histopathology

The gills, liver, kidney, spleen, heart, and intestine were collected from diseased starry flounder and fixed in 10% formalin. This was followed by dehydration in a series of ethanol solutions (30%, 70%, 90%, and 100% EtOH). The tissue samples were embedded in paraffin. The paraffin-embedded samples were cut into 5 μm thick sections using a microtome (Leica, Wetzlar, Germany). Subsequently, the samples were stained with hematoxylin and eosin (H&E) and observed under a BX53 light microscope (Olympus, Tokyo, Japan).

3. Results

3.1. Isolation and Identification of A. salmonicida subsp. masoucida

The clinical signs of diseased starry flounder included severe hemorrhage of the eyes and jaw, gills covered with mucus, and spleen enlargement. A. salmonicida subsp. masoucida was isolated from affected tissues. Four housekeeping genes (16s rRNA, gyrB, dnaJ, and vapA) from three A. salmonicida subsp. masoucida strains (ASM1, ASM2, and ASM3) isolated from the diseased fish were amplified and sequenced. The obtained sequences were analyzed using the NCBI BLASTn tool. Sequence analysis using 16s rRNA, gyrB, and dnaJ identified three strains as A. salmonicida, while all strains were identified as A. salmonicida subsp. masoucida using the vapA gene (Table 2).

3.2. Phylogenetic Analysis

A phylogenetic tree was constructed for the three isolated strains, ASM1, ASM2, ASM3, and the reference Aeromonas species (Figure 3). This study used the vapA marker because it is difficult to distinguish genetic diversity within Aeromonas species using markers specific to other subspecies. Based on the phylogenetic relationship, the three strains were clustered with A. salmonicida subsp. masoucida ATCC 27013T, which was isolated from masu salmon, confirming their identity as A. salmonicida subsp. masoucida. Other Aeromonas species, including A. salmonicida, A. salmonicida subsp. salmonicida, A. salmonicida subsp. smithia, and A. achromogenes, were clustered in separate branches. The three strains isolated from the starry flounder showed relatively close phylogenetic relationships with the ATCC strain and other strains isolated from black rockfish, indicating a strong homologous correlation between the strains.

3.3. Antimicrobial Susceptibility Test

Nine antimicrobial susceptibility tests were performed to examine the three strains (Table 3). The MIC values for amoxicillin and ampicillin were 16< and 128< μg mL−1, respectively. The MIC values for enrofloxacin and erythromycin were 1 and 2 μg mL−1, respectively. The MIC values for florfenicol ranged from 16 to 64 μg mL−1, whereas those for oxytetracycline ranged from 16 to 128 μg mL−1. Based on the MIC, the three strains were categorized as WT or NWT according to the ECVs. (Table 3). Applying an ECV of 8 μg mL−1 for florfenicol, the three isolates were categorized as NWTs. Consequently, the three strains were categorized as NWTs for enrofloxacin, florfenicol, flumequine, oxolinic acid, and oxytetracycline. However, we could not classify the strains as WT or NWT for amoxicillin, ampicillin, doxycycline, and erythromycin due to the lack of reported ECVs for these antimicrobials in other studies.

3.4. Histopathology

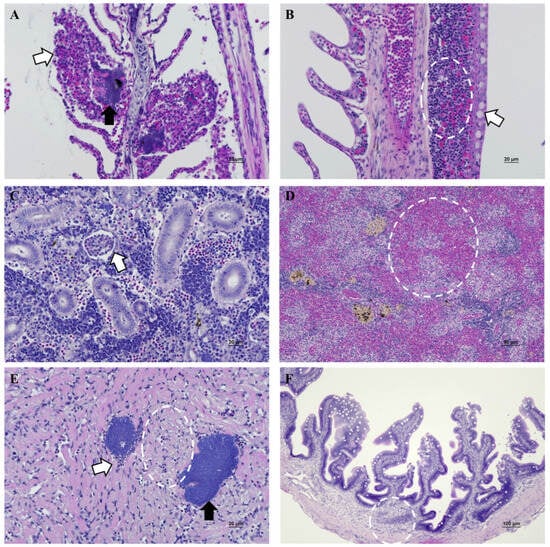
Histopathological analysis showed significant changes in the gills, kidney, spleen, heart, and intestines of the diseased starry flounders (Table S3). Epithelial hyperplasia, mucous cell hyperplasia, bacterial colonies, and inflammatory cell infiltration were observed in the secondary lamellae (Figure 4A,B). Mucous cell hyperplasia was associated with gills covered in mucus upon external examination. However, the liver appeared normal, and the hepatic sinusoids and hepatopancreas were intact. The kidney showed atrophy and lysis of the glomerular tuft (Figure 4C). However, we did not observe tubular vacuolar degeneration or inflammatory cell infiltration. The spleen was congested in white pulp and red pulp (Figure 4D). Myocardial degeneration, inflammatory cell infiltration, and bacterial colonies were clearly visible in the myocardium (Figure 4E). The intestines showed slight inflammatory cell infiltration of the submucosa (Figure 4F).

3.5. Whole Genome Sequencing and Analysis

Whole-genome sequencing was performed to further elucidate the pathogenesis of the strain ASM3, which caused severe pathogenic alterations in the starry flounders. The 17, 19, and 21-mer depth distributions showed a single peak with a flat hill at 700, indicating that the ASM3 strain had very low heterogeneity. The genome size was estimated to range from 5.08 to 5.11 MB based on the k-mer analysis results (Figure 5A). The genome of the ASM3 strain was 4,746,503 bp in size, with 58.67% GC content, four plasmids, 123 tRNA genes, and 31 rRNA genes (Table 4) (Figure 5B). The BUSCO scores were 99.54% and 100% complete, indicating high quality. The 5031 coding sequences in the ASM3 genome were compared using GO, KEGG, SwissProt, EggNOG, and Pfam to obtain annotation information related to genome function, which revealed that 2031 proteins corresponding to different functions were predicted by all five databases (Table 5) (Figure 5C). BLASTp analysis of the CARD data revealed 136 genes associated with antibiotic resistance, with the highest number of genes annotated as those conferring resistance to 15 peptide antibiotics, followed by 13 fluoroquinolone antibiotics, 11 penams, and 10 tetracycline antibiotics (Figure 5D). The mechanism of resistance was mainly related to antibiotic efflux and antibiotic inactivation (Figure 5E). BLASTx analysis of the ASM3 genome sequencing data from the VFDB identified 1156 main virulence factors, consisting of 267 nutritional/metabolic factors, 171 effector delivery systems, and 157 motility factors (Figure 5F). Among the genes associated with motility factors, polar flagella-related genes were the most abundant (77 genes). Of the 45 genes associated with the siderophore-scavenging iron gene (pyoverdine), 43 genes were associated with the type III secretion system (T3SS), and 22 were associated with the type VI secretion system (T6SS) (Figure 5G). ASM3 comprised most of the virulence factors correlated with the Aeromonas genus, but T6SS secreted effectors were not detected (Table 6). Colibactin, aerolysin, and rtxA were identified as exotoxins. Additionally, the fur and csrA regulation genes, which originated from Salmonella and Legionella, respectively, were identified. BLASTx analysis of the ASM3 genome sequencing data from AMRFinderPlus revealed that ASM3 had 11 antimicrobial resistance genes and three stress genes (arsC, arsD, and qacEdelta1) (Table 7). ASM3 had prophage regions with scores of 140 and 150, illustrating intact regions with a length of 32.8 and 35.3 kb, respectively (Table 8).

4. Discussion

Domestic consumption of starry flounders has increased by 3.5-fold over the past 10 years due to its wide salinity tolerance and high marketability [2,45]. As the burden of management costs for olive flounders (Paralichthys olivaceus) has rapidly increased, starry flounders have been increasingly produced as an alternative breed due to their higher mortality rates [46]. However, the abnormal mortality rate of starry flounders, which are otherwise known for their high disease tolerance, has been reported since 2022, raising concerns among aquaculture farmers. This is believed to be caused by recessive inbreeding and climate change. Loss of genetic diversity and reduced immunity resulting from recessive inbreeding increase vulnerability to pathogens [47]. Climate change has promoted the emergence of new strains of pathogens [48]. For example, A. salmonicida subsp. masoucida, known to cause infections in other fish species, such as turbot [22,49], black rockfish [19], and red swamp crayfish [20], has recently been recognized as causing increased mortality rates in starry flounders for the first time.
Analysis of 16s rRNA and various housekeeping genes, including gyrB, rpoB, cpn60, and dnaJ, has been used to characterize Aeromonas species [50,51]. Although the 16s rRNA gene is universally considered an efficient tool for identifying bacterial species, its use is controversial because of reading errors when it shows highly conserved regions within the genus Aeromonas [52]. A. trota and A. caviae differ by up to three nucleotides in the 16s rRNA sequence [53], whereas A. sobria and A. veronii differ by 12 nucleotides [53]. To overcome the limitations of the high similarity of 16s rRNA, gyrB (which encodes subunit B of DNA gyrase) and dnaJ (which encodes heat shock protein 40), were used to differentiate the three strain groups. In this study, the strains ASM1, 2, and 3 were all identified A. salmonicida based on the 16s RNA, gyrB, and dnaJ genes. A previous report examining the inter- and intraspecific relationships of 53 Aeromonas genera based on gyrB sequences demonstrated a 2.2% nucleotide substitution rate in A. salmonicida gyrB [54]. Additionally, the mean gene divergences of gyrB and dnaJ in 32 Aeromonas strains were 5.2% and 6.8%, respectively, whereas those of 16s rRNA was 1.4% [51]. Therefore, gyrB and dnaJ proved to be better identification genes than 16s rRNA for the characterization of the genus Aeromonas after isolation from diseased starry flounders.
VapA, which encodes the A-layer surface protein array, serves as both an epizootiological marker and a molecular subtyping marker for A. salmonicdia subspecies, with vapA types ranging from 1 to 23 [55]. The pathogenic strain isolated from turbot with skin ulcers was identified as A. salmonicida subsp. masoucida based on the vapA gene sequence [56]. In contrast, a pathogenic A. salmonicida strain isolated from snakehead was reported to lack vapA, as confirmed by vapA gene cloning [57]. Based on the results of the phylogenetic analysis, ASM 1, 2, and 3 were identified as A. salmonicdia subsp. masoucida, based on vapA gene expression and their clustering with A. salmonicida subsp. masoucida ATCC 27013T. This finding aligns with previous studies that assigned the ATCC 27013 type strain as A-layer type 7 [55]. Most A-layer types can be linked to a specific host with only one or a few vapA clusters [55]. While most A-layers in types 1 to 7 originate from the Norwegian coast, type 7 is found in the Pacific Ocean and Asia, suggesting regional specificity [58]. It is necessary to obtain more A. salmonicdia subsp. masoucida strains to perform clustering analysis with various host fish species and to identify the geographic distribution of these hosts.
With the growing issue of antibiotic resistance in aquaculture, multi-drug resistance in Aeromonas poses a serious public health problem [29]. The only way to reduce antimicrobial resistance is through the use of commercial vaccines; however, to date, no vaccine exists for A. salmonicdia subsp. masoucida in starry flounder farming in the Republic of Korea, except for S. parauberis vaccines, such as PRO-VACTM S PARA. In our study, we found that all strains were categorized as NWT for enrofloxacin, florfenicol, flumequine, oxolinic acid, and oxytetracycline resistance, indicating multi-drug resistance. Although no ECV criteria have been published for ampicillin and amoxicillin, the high MIC values of 16< and 128< are consistent with the characteristic of the Aeromonas genus, which is innately resistant to β-lactams [59]. Specifically, the ASM3 strain harbored antimicrobial resistance genes, including ampC, blaOXA, and blaOXA, which are related to resistance to the β-lactam class. Furthermore, the presence of the catB3, catA2, and floR genes in the ASM3 strain contributes to high MIC values of florfenicol at 64 μg mL−1. FloR has been identified either on the chromosomes or plasmids of Gram-negative bacteria and is associated with mobile genetic elements and genomic islands [60]. Notably, A. salmonicida subsp. masoucida may be considered an agent of antimicrobial resistance dissemination from aquaculture to the natural environment.
Histopathological analysis revealed that the diseased starry flounder exhibited inflammatory cell infiltration of the gills with epithelial hyperplasia and fusion of secondary lamellae. Gills covered with mucus may occur because the gills serve as the first physical defense against bacterial invasion [61]. This indicates that mucus viscoelasticity determines its ability to block many types of motile bacteria [62]. Additionally, we observed bacterial colonies in the gills and heart, indicating that the bacteria circulated in the blood–vascular system. This was consistent with the immunohistochemistry results for A. salmonicida subsp. salmonicida in challenged turbots, which showed a strong positive reaction in the lumen of the blood vessels of the secondary lamellae and heart [63]. Our results align with the infection route, indicating that the gills, intestine, and skin, as mucosal immune-related tissues, are the main infection sites of A. salmonicida subsp. masoucida with changes in the bacterial amount [64]. Therefore, it is assumed that the bacteria enter the bloodstream after colonization and are then transmitted to internal tissues, resulting in septicemia with mass mortality. Inflammatory cell infiltration of the mucosal layer indicates that intestinal epithelial cells target pathogens by producing inflammatory cytokines [65]. TNF-α, IL-1β, and IL-8 mRNA expression were significantly increased in the intestine after infection with A. hydrophila from grass carp [66]. Skin nodules are the atypical representative symptoms of A. salmonicida [67], and we found that the main clinical signs were hemorrhages around the jaw and mouth. Although a few previous studies have presented findings that were directly comparable with our results, granulomatous dermatitis was prominent in turbot challenged with A. salmonicida subsp. masoucida, indicating that it may facilitate infection by pathogens [22,49]. Therefore, A. salmonicida subsp. masoucida may present different clinical signs according to the host species specificity. The importance of A. salmonicida subsp. masoucida as a fish pathogen has been previously confirmed.
CARD analysis demonstrated that genes responsible for resistance to peptide antibiotics constituted to the highest proportion of antibiotic resistance genes, but it was difficult to compare the MIC results owing to the lack of MIC data for peptide antibiotics. In addition, peptide antibiotics, including colistin and bacitracin, have only been approved for use in cattle, pigs, and chickens and not for fish in the Republic of Korea. The possession of resistance genes for unapproved antibiotics indicates the emergence of resistant bacteria in aquaculture and potential horizontal transmission between livestock and humans. Similarly, the transposon of a 67-kb plasmid of A. salmonicida subsp. salmonicida carried the catB3 gene, which aligns with the findings of our study and suggests the possibility of transfer through conjugation to A. hydrophila [68]. The Aeromonas genus includes 4 major and 14 minor categories of virulence factors, as identified in the VFDB database. Analysis of whole genome sequencing data revealed 1156 virulence factors coding for nutritional/metabolic factors, effector delivery systems, and exotoxins. We found that the T3SS and T6SS genes, which encode the secretion system, contribute to the virulence. A. hydrophila possesses a T3SS that delivers four effector proteins to target host cells, whereas T6SS-associated virulence factors play a role in the secretory apparatus, promoting bacterial virulence [69]. The genomes of 105 Aeromonas strains isolated from environmental or pathogenic sources were used to identify the distribution and cytotoxicity of 21 T3SS effector families [70]. The deletion of two genes (hcp1 and vgrG1) encoding type VI secretion system proteins of the T6SS in virulent A. hydrophila resulted in a 2.24-fold reduction in virulence when tested in catfish fingerlings [71]. Aerolysin, a hemolytic toxin, was detected in our study, as well as in A. hydrophila [72] and A. veronii [73]. Additionally, the isolates harbored the rtxA gene, an exotoxin-encoding lysine acyltransferase. rtxA is restricted to the phylogroups Hydrophila and Salmonicidia, including A. salmonicida subsp. pectinolytica, among 65 Aeromonas strains [74]. Therefore, our findings suggest that genomic detection of these virulence genes may help identify targets for developing new vaccines against this emerging pathogen. Phages are viruses that infect bacterial cells, disrupt bacterial metabolism, and cause bacterial lysis [75]. In the present study, ASM3 exhibited two intact prophage regions. Most phages of A. salmonicida were classified as those belonging to the Myoviridae family and are more prevalent than other phages [76]. In particular, modification of the receptor, including lipid A of the lipopolysaccharide and the A layer of the outer membrane protein, has been reported as the main mechanism of resistance to phages of A. salmonicida [77]. Bacterial mobile elements, such as plasmids, prophages, transposons, and insertion sequences, can be transmitted vertically with cell division or horizontal transfer. Mobile elements are known to potentiate gene gain and loss, contributing to genetic adaptation to new environments and the emergence of a bacterial population [78]. The prophage region present in ASM3 strains is supposed to contribute to its adaptation to a new host, like starry flounders. Further studies are needed to evaluate the potential of A. salmonicida subsp. masoucida in the treatment and prevention of phage A. salmonicida subsp. masoucida.
In summary, A. salmonicida subsp. masoucida, a newly discovered pathogenic Aeromonas species, is currently pathogenic to starry flounders. Future research should aim to expand testing to investigate the A. salmonicida subsp. masoucida virulence characteristics through challenge experiments to determine its full host susceptibility. Studies examining the control of pathogenic factors unique to A. salmonicida subsp. masoucida should also be performed to understand the main causes of infection in starry flounders. Multifaceted research will enable a better understanding of host susceptibility, assessment of host risks, and the development of vaccines to prevent diseases.

5. Conclusions

In conclusion, three pathogenic A. salmonicida subsp. masoucida strains were isolated for the first time from diseased starry flounders in the Republic of Korea. The bacterial species were identified via analyses of 16s rRNA, gyrB, dnaJ, and vapA. Phylogenetic analysis revealed that the three ASM strains were clustered with the A. salmonicida subsp. masoucida ATCC strain. The three strains were categorized as NWT with five antimicrobials, and bacterial colonies were detected in the secondary lamellae and heart. ASM3 genome analysis showed a range of virulence factors, including nutritional/metabolic factors, effector delivery systems, 11 antimicrobial resistance genes, three stress genes, and prophage regions. Future research should investigate the characteristics of A. salmonicida subsp. masoucida virulence via challenge experiments to determine host susceptibility and elucidate infection mechanisms. This study will support the development of vaccines to prevent disease in starry flounders.

Supplementary Materials

The following supporting information can be downloaded at https://www.mdpi.com/article/10.3390/pathogens14030257/s1: Table S1: The bacterial strains collected from diseased starry flounder; Table S2: PCR primers and their target genes and amplified DNA fragments; Table S3: Scoring of histopathological alterations in the gills, kidney, spleen, heart, and intestine of Aeromonas salmonicida subsp. masoucida-infected starry flounder.

Author Contributions

Conceptualization, S.-J.W. and S.-S.K.; methodology, S.-S.K. and A.K.; software, A.K.; validation, M.-Y.C.; formal analysis, S.-S.K.; investigation, S.-J.W.; resources, S.-S.K.; data curation, A.K. and J.-W.D.; writing—original draft preparation, S.-J.W.; writing—review and editing, S.-J.W. and J.-W.D.; visualization, S.-J.W.; supervision, M.-Y.C.; project administration, J.-W.D.; funding acquisition, J.-W.D. All authors have read and agreed to the published version of the manuscript.

Funding

This research was funded by the National Institute of Fisheries Science, Ministry of Oceans and Fisheries, Republic of Korea (grant number: R2025052).

Institutional Review Board Statement

The animal study protocol was approved by the Institutional Animal Care and Use Committee of the National Institute of Fisheries Science (approval number: 2023-NIFS-IACUC-30) (17 April 2023).

Informed Consent Statement

Not applicable.

Data Availability Statement

The data presented in this study are available upon request from the corresponding author. The data used to support the findings of this study are included within the article.

Conflicts of Interest

The authors declare no conflicts of interest.

References

  1. Kang, D.Y.; Lee, J.H.; Kim, W.J.; Kim, H.C. Morphological specificity in cultured starry flounder Platichthys stellatus reared in artificial facility. Fish. Aquat. Sci. 2012, 15, 117–123. [Google Scholar] [CrossRef]
  2. KOSIS (Korean Statistical Information Service). Fishery Production Survey. Available online: https://kosis.kr/eng/ (accessed on 1 July 2024).
  3. Nam, M.M.; Byun, S.G.; Lee, B.I.; Lee, J.H.; Kim, Y.C. Morphological characteristics of the hybrids of female flounder Paralichthys olivaceus and male starry flounder Platichthys stellatus. Kor. J. Ichthyol. 2008, 20, 285–290. [Google Scholar]
  4. Park, Y.; Moniruzzaman, M.; Lee, S.; Hong, J.; Won, S.; Lee, J.M.; Yun, H.; Kim, K.W.; Ko, D.; Bai, S.C. Comparison of the effects of dietary single and multi-probiotics on growth, non-specific immune responses and disease resistance in starry flounder, Platichthys stellatus. Fish Shellfish. Immunol. 2016, 59, 351–357. [Google Scholar] [CrossRef] [PubMed]
  5. Woo, S.H.; Park, S.I. Streptococcous parauberis infection in starry flounder, Platichthys stellatus: Characterization of innate immune responses following experimental infection. Fish Shellfish Immunol. 2013, 35, 413–420. [Google Scholar] [CrossRef]
  6. Won, K.M.; Cho, M.Y.; Park, M.; Jee, B.Y.; Myeong, J.I.; Kim, J.W. The first report of a megalocytivirus infection in farmed starry flounder, Platichthys stellatus, in Korea. Fish. Aquat. Sci. 2013, 16, 93–99. [Google Scholar] [CrossRef]
  7. Cho, H.S.; Lee, J.Y.; Kim, J.H. Morphological and molecular characterization of Trichodina (Ciliophora: Peritrichia) species from cultured starry flounder (Platichthys stellatus). J. Fish Pathol. 2023, 36, 117–124. [Google Scholar] [CrossRef]
  8. Shin, S.P.; Lee, J. Infection of Enteromyxum leei in cultured starry flounder Platichthys stellatus. Fish. Aquat. Sci. 2023, 26, 234–240. [Google Scholar] [CrossRef]
  9. Rouleau, F.D.; Vincent, A.T.; Charette, S.J. Genomic and phenotypic characterization of an atypical Aeromonas salmonicida strain isolated from a lumpfish and producing unusual granular structures. J. Fish Dis. 2018, 41, 673–681. [Google Scholar] [CrossRef]
  10. Xiu, Y.; Guo, B.; Yang, Z.; Yi, J.; Guo, H.; Munang’andu, H.M.; Xu, C.; Zhou, S. Transcriptome analysis of turbot (Scophthalmus maximus) kidney responses to inactivated bivalent vaccine against Aeromonas salmonicida and Edwardsiella tarda. Fish Shellfish Immunol. 2023, 143, 109174. [Google Scholar] [CrossRef]
  11. Xue, T.; Liu, Y.; Cao, M.; Li, J.; Tian, M.; Zhang, L.; Wang, B.; Liu, X.; Li, C. Transcriptome analysis reveals deep insights into the early immune response of turbot (Scophthalmus maximus) induced by inactivated Aeromonas salmonicida vaccine. Fish Shellfish Immunol. 2021, 119, 163–172. [Google Scholar] [CrossRef]
  12. Bricknell, I.R.; Bowden, T.J.; Bruno, D.W.; MacLachlan, P.; Johnstone, R.; Ellis, A.E. Susceptibility of Atlantic halibut, Hippoglossus hippoglossus (L.) to infection with typical and atypical Aeromonas salmonicida. Aquaculture 1999, 175, 1–13. [Google Scholar] [CrossRef]
  13. Magariños, B.; Devesa, S.; González, A.; Castro, N.; Toranzo, A.E. Furunculosis in Senegalese sole (Solea senegalensis) cultured in a recirculation system. Vet. Rec. 2011, 168, 431. [Google Scholar] [CrossRef] [PubMed]
  14. Lian, Z.; Bai, J.; Hu, X.; Lü, A.; Sun, J.; Guo, Y.; Song, Y. Detection and characterization of Aeromonas salmonicida subsp. salmonicida infection in crucian carp Carassius auratus. Vet. Res. Commun. 2020, 44, 61–72. [Google Scholar] [CrossRef]
  15. Diamanka, A.; Loch, T.P.; Cipriano, R.C.; Faisal, M. Polyphasic characterization of Aeromonas salmonicida isolates recovered from salmonid and non-salmonid fish. J. Fish Dis. 2013, 36, 949–963. [Google Scholar] [CrossRef]
  16. Grøntvedt, R.N.; Espelid, S. Vaccination and immune responses against atypical Aeromonas salmonicida in spotted wolffish (Anarhichas minor Olafsen) juveniles. Fish Shellfish Immunol. 2004, 16, 271–285. [Google Scholar] [CrossRef]
  17. Imbeault, S.; Parent, S.; Lagacé, M.; Uhland, C.F.; Blais, J.F. Using bacteriophages to prevent furunculosis caused by Aeromonas salmonicida in farmed brook trout. J. Aquat. Anim. Health 2006, 18, 203–214. [Google Scholar] [CrossRef]
  18. Zorrilla, I.; Chabrillón, M.; Arijo, S.; Dıaz-Rosales, P.; Martınez-Manzanares, E.; Balebona, M.C.; Morinigo, M.A. Bacteria recovered from diseased cultured gilthead sea bream (Sparus aurata L.) in southwestern Spain. Aquaculture 2003, 218, 11–20. [Google Scholar] [CrossRef]
  19. Han, H.J.; Kim, D.Y.; Kim, W.S.; Kim, C.S.; Jung, S.J.; Oh, M.J.; Kim, D.H. Atypical Aeromonas salmonicida infection in the black rockfish, Sebastes schlegeli Hilgendorf, in Korea. J. Fish Dis. 2011, 34, 47–55. [Google Scholar] [CrossRef]
  20. Yang, Y.; Mao, T.; Xu, B.; Zhu, X.; Zhang, L.; Huang, Y.; Zhang, H.; Xu, J.; Ai, X. Aeromonas salmonicida subsp. Masoucida causes an emerging infectious diseases and immune response in red swamp crayfish (Procambarus clarkii). Aquaculture 2024, 578, 740121. [Google Scholar] [CrossRef]
  21. Torres-Corral, Y.; Girons, A.; González-Barreiro, O.; Seoane, R.; Riaza, A.; Santos, Y. Effect of Bivalent Vaccines against Vibrio anguillarum and Aeromonas salmonicida Subspecie achromogenes on Health and Survival of Turbot. Vaccines 2021, 9, 906. [Google Scholar] [CrossRef]
  22. Yan, Y.; Liu, Y.; Mo, Z.; Li, J.; Liu, S.; Gao, Y.; Li, G. Development of Aeromonas salmonicida subsp. masoucida vaccine in turbot and evaluation of protection efficacy under field conditions. Aquaculture 2021, 544, 737035. [Google Scholar] [CrossRef]
  23. Borrell, N.; Acinas, S.; Figueras, M.; Martinez-Murcia, A. Identification of Aeromonas clinical isolates by restriction fragment length polymorphism of PCR-amplified 16S rRNA genes. J. Clin. Microbiol. 1997, 35, 1671–1674. [Google Scholar] [CrossRef] [PubMed]
  24. Soler, L.; Yáñez, M.A.; Chacon, M.R.; Aguilera-Arreola, M.G.; Catalán, V.; Figueras, M.J.; Martínez-Murcia, A.J. Phylogenetic analysis of the genus Aeromonas based on two housekeeping genes. Int. J. Syst. Evol. Microbiol. 2004, 54, 1511–1519. [Google Scholar] [CrossRef]
  25. Nhung, P.H.; Hata, H.; Ohkusu, K.; Noda, M.; Shah, M.M.; Goto, K.; Ezaki, T. Use of the novel phylogenetic marker dnaJ and DNA–DNA hybridization to clarify interrelationships within the genus Aeromonas. Int. J. Syst. Evol. Microbiol. 2007, 57, 1232–1237. [Google Scholar] [CrossRef]
  26. Hall, T.A. BioEdit: A user-friendly biological sequence alignment editor and analysis program for windows 95/98/NT. Nucleic Acids Symp. Ser. 1999, 41, 95–98. [Google Scholar]
  27. Kumar, S.; Stecher, G.; Li, M.; Knyaz, C.; Tamura, K. MEGA X: Molecular evolutionary genetics analysis across computing platforms. Mol. Biol. Evol. 2018, 35, 1547–1549. [Google Scholar] [CrossRef]
  28. CLSI. Methods for Antimicrobial Broth Dilution and Disk Diffusion Susceptibility Testing of Bacteria Isolated from Aquatic Animals, 2nd ed.; Clinical and Laboratory Standards Institute: Wayne, PA, USA, 2020. [Google Scholar]
  29. Woo, S.J.; Kim, M.S.; Jeong, M.G.; Do, M.Y.; Hwang, S.D.; Kim, W.J. Establishment of epidemiological cut-off values and the distribution of resistance genes in Aeromonas hydrophila and Aeromonas veronii isolated from aquatic animals. Antibiotics 2022, 11, 343. [Google Scholar] [CrossRef]
  30. Baron, S.; Granier, S.A.; Larvor, E.; Jouy, E.; Cineux, M.; Wilhelm, A.; Gassilloud, B.; Bouquin, S.L.; Kempf, I.; Chauvin, C. Aeromonas diversity and antimicrobial susceptibility in freshwater—An attempt to set generic epidemiological cut-off values. Front. Microbiol. 2017, 8, 503. [Google Scholar] [CrossRef]
  31. CLSI. Performance Standards for Antimicrobial Susceptibility Testing of Bacteria Isolated from Aquatic Animals, 3rd ed.; Clinical and Laboratory Standards Institute: Wayne, PA, USA, 2020. [Google Scholar]
  32. Bolger, A.M.; Lohse, M.; Usadel, B. Trimmomatic: A flexible trimmer for Illumina sequence data. Bioinformatics 2014, 30, 2114–2120. [Google Scholar] [CrossRef]
  33. Chin, C.S.; Peluso, P.; Sedlazeck, F.J.; Nattestad, M.; Concepcion, G.T.; Clum, A.; Dunn, C.; O’Malley, R.; Figueroa-Balderas, R.; Morales-Cruz, A.; et al. Phased diploid genome assembly with single-molecule real-time sequencing. Nat. Methods 2016, 13, 1050–1054. [Google Scholar] [CrossRef]
  34. Walker, B.J.; Abeel, T.; Shea, T.; Priest, M.; Abouelliel, A.; Sakthikumar, S.; Cuomo, C.A.; Zeng, Q.; Wortman, J.; Young, S.K.; et al. Pilon: An integrated tool for comprehensive microbial variant detection and genome assembly improvement. PLoS ONE 2014, 9, e112963. [Google Scholar] [CrossRef] [PubMed]
  35. Alonge, M.; Lebeigle, L.; Kirsche, M.; Jenike, K.; Ou, S.; Aganezov, S.; Wang, X.; Lippman, Z.B.; Schatz, M.C. Automated assembly scaffolding using RagTag elevates a new tomato system for high-throughput genome editing. Genome Biol. 2022, 23, 258. [Google Scholar] [CrossRef] [PubMed]
  36. Seppey, M.; Manni, M.; Zdobnov, E.M. BUSCO: Assessing genome assembly and annotation completeness. Gene Predict. Methods Protoc. 2019, 1962, 227–245. [Google Scholar] [CrossRef]
  37. Marçais, G.; Kingsford, C. A fast, lock-free approach for efficient parallel counting of occurrences of k-mers. Bioinformatics 2011, 27, 764–770. [Google Scholar] [CrossRef]
  38. Seemann, T. Prokka: Rapid prokaryotic genome annotation. Bioinformatics 2014, 30, 2068–2069. [Google Scholar] [CrossRef]
  39. Aleksander, S.A.; Balhoff, J.; Carbon, S.; Cherry, J.M.; Drabkin, H.J.; Ebert, D.; Zarowiecki, M. The gene ontology knowledgebase in 2023. Genetics 2023, 224, iyad031. [Google Scholar] [CrossRef]
  40. Kanehisa, M.; Sato, Y.; Kawashima, M.; Furumichi, M.; Tanabe, M. KEGG as a reference resource for gene and protein annotation. Nucleic Acids Res. 2016, 44, D457–D462. [Google Scholar] [CrossRef]
  41. UniProt Consortium. Reorganizing the protein space at the Universal Protein Resource (UniProt). Nucleic Acids Res. 2012, 40, D71–D75. [Google Scholar] [CrossRef]
  42. Cantalapiedra, C.P.; Hernández-Plaza, A.; Letunic, I.; Bork, P.; Huerta-Cepas, J. eggNOG-mapper v2: Functional annotation, orthology assignments, and domain prediction at the metagenomic scale. Mol. Biol. Evol. 2021, 38, 5825–5829. [Google Scholar] [CrossRef]
  43. Feldgarden, M.; Brover, V.; Gonzalez-Escalona, N.; Frye, J.G.; Haendiges, J.; Haft, D.H.; Hoffmann, M.; Pettengill, J.B.; Prasad, A.B.; Tillman, G.E.; et al. AMRFinderPlus and the Reference Gene Catalog facilitate examination of the genomic links among antimicrobial resistance, stress response, and virulence. Sci. Rep. 2021, 11, 12728. [Google Scholar] [CrossRef]
  44. Liu, B.; Zheng, D.; Jin, Q.; Chen, L.; Yang, J. VFDB 2019: A comparative pathogenomic platform with an interactive web interface. Nucleic Acids Res. 2019, 47, D687–D692. [Google Scholar] [CrossRef] [PubMed]
  45. An, H.S.; Byun, S.G.; Kim, Y.C.; Lee, J.W.; Myeong, J.I. Wild and hatchery populations of Korean starry flounder (Platichthys stellatus) compared using microsatellite DNA markers. Int. J. Mol. Sci. 2011, 12, 9189–9202. [Google Scholar] [CrossRef] [PubMed]
  46. Shim, J.D.; Hwang, S.D.; Jang, S.Y.; Kim, T.W.; Jeong, J.M. Monitoring of the mortalities in olive flounder (Paralichthys olivaceus) farms of Korea. J. Fish Pathol. 2019, 32, 29–35. [Google Scholar] [CrossRef]
  47. Ujvari, B.; Klaassen, M.; Raven, N.; Russell, T.; Vittecoq, M.; Hamede, R.; Thomas, F.; Madsen, T. Genetic diversity, inbreeding and cancer. Proc. R. Soc. B 2018, 285, 20172589. [Google Scholar] [CrossRef]
  48. Singh, B.K.; Delgado-Baquerizo, M.; Egidi, E.; Guirado, E.; Leach, J.E.; Liu, H.; Trivedi, P. Climate change impacts on plant pathogens, food security and paths forward. Nat. Rev. Microbiol. 2023, 210, 640–656. [Google Scholar] [CrossRef]
  49. Wang, P.; Li, J.; He, T.T.; Li, N.; Mo, Z.L.; Nie, P.; Xie, H.X. Pathogenic characterization of Aeromonas salmonicida subsp. masoucida turbot isolate from China. J. Fish Dis. 2020, 43, 1145–1154. [Google Scholar] [CrossRef]
  50. Guo, S.L.; Yang, Q.H.; Feng, J.J.; Duan, L.H.; Zhao, J.P. Phylogenetic analysis of the pathogenic genus Aeromonas spp. isolated from diseased eels in China. Microb. Pathog. 2016, 101, 12–23. [Google Scholar] [CrossRef]
  51. Küpfer, M.; Kuhnert, P.; Korczak, B.M.; Peduzzi, R.; Demarta, A. Genetic relationships of Aeromonas strains inferred from 16S rRNA, gyrB and rpoB gene sequences. Int. J. Syst. Evol. Microbiol. 2006, 56, 2743–2751. [Google Scholar] [CrossRef]
  52. Saavedra, M.J.; Figueras, M.J.; Martínez-Murcia, A.J. Updated phylogeny of the genus Aeromonas. Int. J. Syst. Evol. Microbiol. 2006, 56, 2481–2487. [Google Scholar] [CrossRef]
  53. Martinez-Murcia, A.J.; Benlloch, S.; Collins, M.D. Phylogenetic interrelationships of members of the genera Aeromonas and Plesiomonas as determined by 16S ribosomal DNA sequencing: Lack of congruence with results of DNA-DNA hybridizations. Int. J. Syst. Evol. Microbiol. 1992, 42, 412–421. [Google Scholar] [CrossRef]
  54. Yanez, M.A.; Catalán, V.; Apráiz, D.; Figueras, M.J.; Martínez-Murcia, A.J. Phylogenetic analysis of members of the genus Aeromonas based on gyrB gene sequences. Int. J. Syst. Evol. Microbiol. 2003, 53, 875–883. [Google Scholar] [CrossRef] [PubMed]
  55. Gulla, S.; Bayliss, S.; Björnsdóttir, B.; Dalsgaard, I.; Haenen, O.; Jansson, E.; McCarthy, U.; Scholz, F.; Vercauteren, M.; Verner-Jeffreys, D.; et al. Biogeography of the fish pathogen Aeromonas salmonicida inferred by vapA genotyping. FEMS Microbiol. Lett. 2019, 366, fnz074. [Google Scholar] [CrossRef] [PubMed]
  56. Xu, Z.; Jin, P.; Zhou, X.; Zhang, Y.; Wang, Q.; Liu, X.; Shao, S.; Liu, Q. Isolation of a virulent Aeromonas salmonicida subsp. masoucida bacteriophage and its application in phage therapy in turbot (Scophthalmus maximus). Appl. Environ. Microbiol. 2021, 87, e01468–21. [Google Scholar] [CrossRef]
  57. Sun, X.N.; Wang, Q.; Wang, Y.F.; Tao, Y.; Zheng, C.L.; Wang, M.H.; Che, M.Y.; Cui, Z.H.; Li, X.L.; Zhang, Q.; et al. Isolation and identification of vapA-absent Aeromonas salmonicida in diseased snakehead Channa argus in China. Int. Microbiol. 2024, 27, 1137–1150. [Google Scholar] [CrossRef]
  58. Gulla, S.; Lund, V.; Kristoffersen, A.B.; Sørum, H.; Colquhoun, D.J. vapA (A-layer) typing differentiates Aeromonas salmonicida subspecies and identifies a number of previously undescribed subtypes. J. Fish Dis. 2016, 39, 329–342. [Google Scholar] [CrossRef]
  59. Piotrowska, M.; Przygodzińska, D.; Matyjewicz, K.; Popowska, M. Occurrence and variety of β-lactamase genes among Aeromonas spp. isolated from urban wastewater treatment plant. Front. Microbiol. 2017, 8, 863. [Google Scholar] [CrossRef]
  60. da Silva, G.C.; Rossi, C.C.; Santana, M.F.; Langford, P.R.; Bossé, J.T.; Bazzolli, D.M.S. p518, a small floR plasmid from a South American isolate of Actinobacillus pleuropneumoniae. Vet. Microbiol. 2017, 204, 129–132. [Google Scholar] [CrossRef]
  61. Reverter, M.; Tapissier-Bontemps, N.; Lecchini, D.; Banaigs, B.; Sasal, P. Biological and ecological roles of external fish mucus: A review. Fishes 2018, 3, 41. [Google Scholar] [CrossRef]
  62. Cone, R.A. Barrier properties of mucus. Adv. Drug Deliv. Rev. 2009, 61, 75–85. [Google Scholar] [CrossRef]
  63. Coscelli, G.A.; Bermúdez, R.; Losada, A.P.; Faílde, L.D.; Santos, Y.; Quiroga, M.I. Acute Aeromonas salmonicida infection in turbot (Scophthalmus maximus L.). Histopathological and immunohistochemical studies. Aquaculture 2014, 430, 79–85. [Google Scholar] [CrossRef]
  64. Du, Y.; Liu, P.; Meng, L.; Sharawy, Z.; Liu, Y. Colonization of Aeromonas salmonicida subsp. masoucida strains in Atlantic salmon (Salmo salar L.) during infection. Aquac. Res. 2018, 49, 1826–1833. [Google Scholar] [CrossRef]
  65. Ferguson, R.M.; Merrifield, D.L.; Harper, G.M.; Rawling, M.D.; Mustafa, S.; Picchietti, S.; Balcázar, J.L.; Davies, S.J. The effect of Pediococcus acidilactici on the gut microbiota and immune status of on-growing red tilapia (Oreochromis niloticus). J. Appl. Microbiol. 2010, 109, 851–862. [Google Scholar] [CrossRef] [PubMed]
  66. Kong, W.G.; Li, S.S.; Chen, X.X.; Huang, Y.Q.; Tang, Y.; Wu, Z.X. A study of the damage of the intestinal mucosa barrier structure and function of Ctenopharyngodon idella with Aeromonas hydrophila. Fish Physiol. Biochem. 2017, 43, 1223–1235. [Google Scholar] [CrossRef]
  67. Coscelli, G.A.; Bermúdez, R.; Silva, A.R.S.; de Ocenda, M.V.R.; Quiroga, M.I. Granulomatous dermatitis in turbot (Scophthalmus maximus L.) associated with natural Aeromonas salmonicida subsp. salmonicida infection. Aquaculture 2014, 428, 111–116. [Google Scholar] [CrossRef]
  68. Marcoux, P.É.; Attéré, S.A.; Paquet, V.E.; Paquet, M.F.; Girard, S.B.; Farley, J.; Frenette, M.; Vincent, A.T.; Charette, S.J. Host dependent-transposon for a plasmid found in Aeromonas salmonicida subsp. salmonicida that bears a catB3 gene for chloramphenicol resistance. Antibiotics 2023, 12, 257. [Google Scholar] [CrossRef]
  69. Citterio, B.; Biavasco, F. Aeromonas hydrophila virulence. Virulence 2015, 6, 417–418. [Google Scholar] [CrossRef]
  70. Rangel, L.T.; Marden, J.; Colston, S.; Setubal, J.C.; Graf, J.; Gogarten, J.P. Identification and characterization of putative Aeromonas spp. T3SS effectors. PLoS ONE 2019, 14, e0214035. [Google Scholar] [CrossRef]
  71. Tekedar, H.C.; Abdelhamed, H.; Kumru, S.; Blom, J.; Karsi, A.; Lawrence, M.L. Comparative genomics of Aeromonas hydrophila secretion systems and mutational analysis of hcp1 and vgrG1 genes from T6SS. Front. Microbiol. 2019, 9, 3216. [Google Scholar] [CrossRef]
  72. Singh, V.; Rathore, G.; Kapoor, D.; Mishra, B.N.; Lakra, W.S. Detection of aerolysin gene in Aeromonas hydrophila isolated from fish and pond water. Indian J. Microbiol. 2008, 48, 453–458. [Google Scholar] [CrossRef]
  73. Ran, C.; Qin, C.; Xie, M.; Zhang, J.; Li, J.; Xie, Y.; Wang, Y.; Li, S.; Liu, L.; Fu, X.; et al. Aeromonas veronii and aerolysin are important for the pathogenesis of motile aeromonad septicemia in cyprinid fish. Environ. Microbiol. 2018, 20, 3442–3456. [Google Scholar] [CrossRef]
  74. Talagrand-Reboul, E.; Colston, S.M.; Graf, J.; Lamy, B.; Jumas-Bilak, E. Comparative and evolutionary genomics of isolates provide insight into the pathoadaptation of Aeromonas. Genome Biol. Evol. 2020, 12, 535–552. [Google Scholar] [CrossRef] [PubMed]
  75. Ackermann, H.W. 5500 Phages examined in the electron microscope. Arch. Virol. 2007, 152, 227–243. [Google Scholar] [CrossRef] [PubMed]
  76. Park, S.Y.; Han, J.E.; Kwon, H.; Park, S.C.; Kim, J.H. Recent insights into Aeromonas salmonicida and its bacteriophages in aquaculture: A comprehensive review. J. Microbiol. Biotechnol. 2020, 30, 1443. [Google Scholar] [CrossRef] [PubMed]
  77. Paquet, V.E.; Vincent, A.T.; Moineau, S.; Charette, S.J. Beyond the A-layer: Adsorption of lipopolysaccharides and characterization of bacteriophage-insensitive mutants of Aeromonas salmonicida subsp. salmonicida. Mol. Microbiol. 2019, 112, 667–677. [Google Scholar] [CrossRef]
  78. Vale, F.F.; Lehours, P.; Yamaoka, Y. The role of Mobile genetic elements in bacterial evolution and their adaptability. Front. Microbiol. 2022, 13, 849667. [Google Scholar] [CrossRef]
Figure 1. Map showing the location of the starry flounder farms where the epizootic disease outbreak occurred in Korea. The black boxes are islands from Korea.
Figure 1. Map showing the location of the starry flounder farms where the epizootic disease outbreak occurred in Korea. The black boxes are islands from Korea.
Pathogens 14 00257 g001
Figure 2. Clinical signs of Aeromonas salmonicida subsp. masoucida infection in starry flounders. (A) Severe hemorrhage of the eyes and jaws; (B) exophthalmia and hemorrhages of the gills; (C) hemorrhages in the gills; (D) spleen enlargement and congestion.
Figure 2. Clinical signs of Aeromonas salmonicida subsp. masoucida infection in starry flounders. (A) Severe hemorrhage of the eyes and jaws; (B) exophthalmia and hemorrhages of the gills; (C) hemorrhages in the gills; (D) spleen enlargement and congestion.
Pathogens 14 00257 g002
Figure 3. Phylogenetic tree analysis of Aeromonas species based on vapA sequences. A phylogenetic tree was generated using the neighbor-joining method using MEGA-X software. The numbers next to the branches indicate the percentage values for 1000 bootstrap replicates.
Figure 3. Phylogenetic tree analysis of Aeromonas species based on vapA sequences. A phylogenetic tree was generated using the neighbor-joining method using MEGA-X software. The numbers next to the branches indicate the percentage values for 1000 bootstrap replicates.
Pathogens 14 00257 g003
Figure 4. Histopathological changes in the gills (A,B), kidney (C), spleen (D), heart (E), and intestinal (F) tissues of the diseased starry flounders. (A) Epithelial hyperplasia (white arrow) and bacterial colonies (black arrow) in the gills, H&E × 400; (B) inflammatory cell infiltrates (white circle) and mucous cell hyperplasia (white arrow) in the gills, H&E × 400; (C) atrophy and lysis of glomerular tuft (white arrow) in the kidneys. H&E × 400; (D) congestion (white circle) in the spleen. H&E × 100; (E) focal myocardial degeneration (white circle), inflammatory cell infiltrates (white arrow), and bacterial colonies (black arrow) in the heart. H&E × 400; (F) inflammatory cell infiltrates (white circle) in the intestine. H&E × 200.
Figure 4. Histopathological changes in the gills (A,B), kidney (C), spleen (D), heart (E), and intestinal (F) tissues of the diseased starry flounders. (A) Epithelial hyperplasia (white arrow) and bacterial colonies (black arrow) in the gills, H&E × 400; (B) inflammatory cell infiltrates (white circle) and mucous cell hyperplasia (white arrow) in the gills, H&E × 400; (C) atrophy and lysis of glomerular tuft (white arrow) in the kidneys. H&E × 400; (D) congestion (white circle) in the spleen. H&E × 100; (E) focal myocardial degeneration (white circle), inflammatory cell infiltrates (white arrow), and bacterial colonies (black arrow) in the heart. H&E × 400; (F) inflammatory cell infiltrates (white circle) in the intestine. H&E × 200.
Pathogens 14 00257 g004
Figure 5. Whole genome atlas of the Aeromonas salmonicida subsp. masoucida ASM3 strain. (A) Distribution of unique k-mer depths. The peak of the k-mer depth distribution was 17, 19, and 21, respectively; (B) genome map of the ASM3 strain and 4 plasmids. Genomic features marked from the outer to the inner circle represent the following: CDS, rRNA, tRNA, prophages, GC content, and GC skew; (C) Venn diagram showing annotated functional genes in different databases; (D) CARD-annotated drug classification statistics; (E) functional annotation determined using the CARD; (F) classification of virulence factors annotated using the VFBD; (G) subclassification of virulence factors determined using the VFBD.
Figure 5. Whole genome atlas of the Aeromonas salmonicida subsp. masoucida ASM3 strain. (A) Distribution of unique k-mer depths. The peak of the k-mer depth distribution was 17, 19, and 21, respectively; (B) genome map of the ASM3 strain and 4 plasmids. Genomic features marked from the outer to the inner circle represent the following: CDS, rRNA, tRNA, prophages, GC content, and GC skew; (C) Venn diagram showing annotated functional genes in different databases; (D) CARD-annotated drug classification statistics; (E) functional annotation determined using the CARD; (F) classification of virulence factors annotated using the VFBD; (G) subclassification of virulence factors determined using the VFBD.
Pathogens 14 00257 g005
Table 1. Information of the sample sources.
Table 1. Information of the sample sources.
TimeLocationSpeciesFishOrgansStrain No.
2023.4.Pohang-si, Republic of KoreaA. salmonicida subsp. masoucidaStarry flounderKidneyASM1
2023.4.Pohang-si, Republic of KoreaA. salmonicida subsp. masoucidaStarry flounderSpleenASM2
2023.4.Pohang-si, Republic of KoreaA. salmonicida subsp. masoucidaStarry flounderJawASM3
Table 2. Comparison of Aeromonas salmonicida subsp. masoucida isolates using 16s rRNA, gyrB, dnaJ, and vapA genes.
Table 2. Comparison of Aeromonas salmonicida subsp. masoucida isolates using 16s rRNA, gyrB, dnaJ, and vapA genes.
Strain16s rRNAgyrBdnaJvapA
ASM1A. salmonicidaA. salmonicidaA. salmonicidaA. salmonicida subsp. masoucida
ASM2A. salmonicidaA. salmonicidaA. salmonicidaA. salmonicida subsp. masoucida
ASM3A. salmonicidaA. salmonicidaA. salmonicidaA. salmonicida subsp. masoucida
Table 3. MIC distribution and ECVs of antimicrobial agents for Aeromonas salmonicida subsp. masoucida isolates.
Table 3. MIC distribution and ECVs of antimicrobial agents for Aeromonas salmonicida subsp. masoucida isolates.
AntimicrobialsMIC Distribution (μg mL−1)ECV (μg mL−1)NWT (%)WT (%)Reference
ASM1ASM2ASM3
Amoxicillin16<16<16<ND--
Ampicillin128<128<128<ND--
Doxycycline121ND--
Enrofloxacin111≥0.0621000[30]
Erythromycin222ND--
Florfenicol166464≥81000[31]
Flumequine448≥0.0621000[30]
Oxolinic acid8816≥0.251000[31]
Oxytetracycline1612816≥21000[31]
ECV, epidemiological cut-off value; MIC, minimum inhibitory concentration; ND, not possible to determine the ECV; NWT, non-wild type; WT, wild type.
Table 4. Key genome features of the Aeromonas salmonicida subsp. masoucida ASM3 strain.
Table 4. Key genome features of the Aeromonas salmonicida subsp. masoucida ASM3 strain.
FeaturesValue
Genome size (bp)4,746,503
GC content (%)58.67
N content (%)0
Number of contigs1
Plasmids4
CDS4876
Total genes5031
Protein-coding genes4876
rRNA genes31
tRNA genes123
tmRNA(transfer-messenger RNA, SsrA)1
BUSCO (proteobacteria_odb10)C: 99.54%, F: 0.46%, M: 0%
BUSCO (gammaproteobacteria_odb10)C: 100%, F: 0%, M: 0%
Table 5. Functional annotation of protein-coding genes.
Table 5. Functional annotation of protein-coding genes.
DBCDSPercent
No Hits127(2.52%)
GO3510(69.77%)
KEGG3304(60.31%)
SwissProt3680(73.15%)
EggNOG2194(43.61%)
Pfam0(0%)
Total5031(100%)
Table 6. Virulence factor annotation of protein-coding genes in the Aeromonas salmonicida subsp. masoucida ASM3.
Table 6. Virulence factor annotation of protein-coding genes in the Aeromonas salmonicida subsp. masoucida ASM3.
GenusVFDB# of Proteins
Category 1Category 2ASM3
AeromonasAdherence (VFC0001)Type IV pili (VF0082)27
Tap type IV pili (VF0475)18
Flp type IV pili (VF0476)14
MAM7 (VF0512)12
MSHA type IV pili (VF0477)10
Biofilm (VFC0271)Alginate (VF0091)15
BopD (VF0362)13
Effector delivery system (VFC0086)T3SS (VF0479)43
Dot/Icm T4SS secreted effectors (VF0798)26
T6SS (VF0480)22
Exe T2SS (VF0478)15
T6SS secreted effectors (VF0651)ND
Exotoxin (VFC0235)Colibactin (VF0573)19
Aerolysin (VF0481)3
RtxA (VF0482)2
Immune modulation (VFC0258)LOS (VF0044)35
LPS (VF0171)10
Motility (VFC0204)Polar flagella (VF0473)77
Lateral flagella (VF0474)38
Nutritional/metabolic factor (VFC0272)Pyoverdine (VF0094)45
FbpABC (VF0272)26
Acinetobactin (VF0467)21
HitABC (VF0268)21
Allantion utilization (VF0572)15
Ent (VF0562)11
Enterobactin (VF0228)11
Others (VFC0346)ACF (VF0127)29
Regulation (VFC0301)CdpA (VF0432)23
LetA/S (VF0262)11
SalmonellaFur (VF0113)1
LegionellaCsrA (VF0261)1
#, The numbers of the proteins.
Table 7. Antimicrobial resistance and stress factor annotation of protein-coding genes in the Aeromonas salmonicida subsp. masoucida ASM3.
Table 7. Antimicrobial resistance and stress factor annotation of protein-coding genes in the Aeromonas salmonicida subsp. masoucida ASM3.
Protein IDStart–End (Strand)Gene SymbolElement TypeCov (%)ID (%)Accession
KFIIMLHA_00514524,007–524,624 (+)cphAAMR75.9897.93WP_063865210.1
KFIIMLHA_011481,162,385–1,163,533 (+)ampCAMR10084.55WP_096807445.1
KFIIMLHA_039654,109,601–4,110,032 (−)arsCSTRESS (METAL)99.2976.43BAA24824.1
KFIIMLHA_039684,113,077–4,113,520 (−)arsDSTRESS (METAL)10043.54AAA93060.1
KFIIMLHA_045884,725,375–4,726,169 (+)blaOXAAMR10099.62WP_021139936.1
NA152,547–153,743 (−)tet(A)AMR100100WP_000804064.1
NA160,003–160,554 (+)aac(6′)-Ib-cr5AMR100100WP_063840321.1
KFIIMLHA_04774160,688–161,518 (+)blaOXA-1AMR100100WP_001334766.1
KFIIMLHA_04775161,656–162,288 (+)catB3AMR100100WP_000186237.1
KFIIMLHA_04778164,046–164,687 (−)catA2AMR100100WP_011751353.1
NA167,154–167,603 (+)arr-3AMR100100WP_001749986.1
NA167,829–168,173 (+)qacEdelta1STRESS(BIOCIDE)100100WP_000679427.1
KFIIMLHA_04781168,170–169,009 (+)sul1AMR100100WP_000259031.1
KFIIMLHA_04800191,799–193,013 (−)floRAMR10096.29WP_001747811.1
+ strand, top(forward) strand; −strand, bottom(reverse) strand.
Table 8. Bacterial genomic prophage regions of the Aeromonas salmonicida subsp. masoucida ASM3 strain.
Table 8. Bacterial genomic prophage regions of the Aeromonas salmonicida subsp. masoucida ASM3 strain.
ContigLength (kb)Completeness (Score) *ProteinStartEndGC%
Contig 126.4Incomplete (30)10718,565744,98356.42
6.2Incomplete (40)82,824,6402,830,91754.57
32.8Intact (140)433,226,1073,259,00260.15
6.7Incomplete (30)73,510,6113,517,40358.81
13.6Incomplete (40)113,685,9023,699,58954.70
35.3Intact (150)533,957,8653,993,39459.30
Contig 219.9Questionable (70)18152,528172,50856.54
8Incomplete (30)8180,622188,72055.96
Contig 311Questionable (70)10197613,00653.12
* Intact (score > 90); questionable (score 70–90); incomplete (score < 70).
Disclaimer/Publisher’s Note: The statements, opinions and data contained in all publications are solely those of the individual author(s) and contributor(s) and not of MDPI and/or the editor(s). MDPI and/or the editor(s) disclaim responsibility for any injury to people or property resulting from any ideas, methods, instructions or products referred to in the content.

Share and Cite

MDPI and ACS Style

Woo, S.-J.; Kim, S.-S.; Kim, A.; Cho, M.-Y.; Do, J.-W. Isolation, Identification, and Characteristics of Aeromonas salmonicida subsp. masoucida from Diseased Starry Flounder (Platichthys stellatus). Pathogens 2025, 14, 257. https://doi.org/10.3390/pathogens14030257

AMA Style

Woo S-J, Kim S-S, Kim A, Cho M-Y, Do J-W. Isolation, Identification, and Characteristics of Aeromonas salmonicida subsp. masoucida from Diseased Starry Flounder (Platichthys stellatus). Pathogens. 2025; 14(3):257. https://doi.org/10.3390/pathogens14030257

Chicago/Turabian Style

Woo, Soo-Ji, So-Sun Kim, Ahran Kim, Mi-Young Cho, and Jeong-Wan Do. 2025. "Isolation, Identification, and Characteristics of Aeromonas salmonicida subsp. masoucida from Diseased Starry Flounder (Platichthys stellatus)" Pathogens 14, no. 3: 257. https://doi.org/10.3390/pathogens14030257

APA Style

Woo, S.-J., Kim, S.-S., Kim, A., Cho, M.-Y., & Do, J.-W. (2025). Isolation, Identification, and Characteristics of Aeromonas salmonicida subsp. masoucida from Diseased Starry Flounder (Platichthys stellatus). Pathogens, 14(3), 257. https://doi.org/10.3390/pathogens14030257

Note that from the first issue of 2016, this journal uses article numbers instead of page numbers. See further details here.

Article Metrics

Back to TopTop