Cytomegalovirus in Ulcerative Colitis: An Unwanted “Guest”
Abstract
1. Background
2. Case Reports
2.1. Case 1
2.2. Case 2
2.3. Case 3
3. Materials and Methods
4. Discussion and Narrative Literature Review
4.1. Why UC?
4.2. Onset and Risk Factors
4.3. Serology
4.4. Endoscopy and Biopsies Prelevation
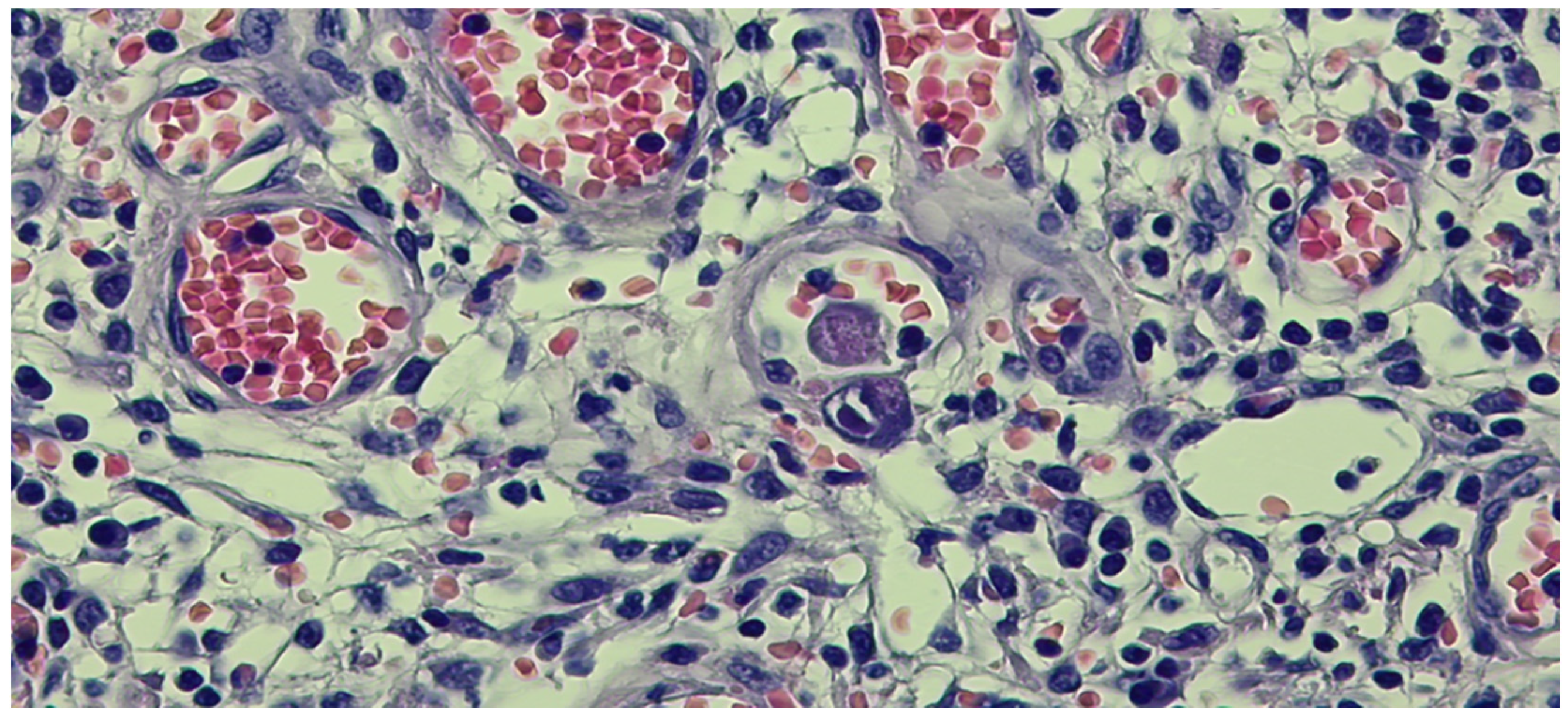
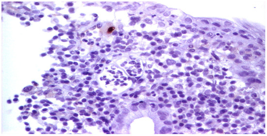
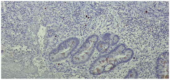
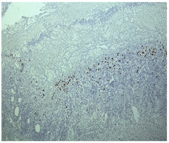
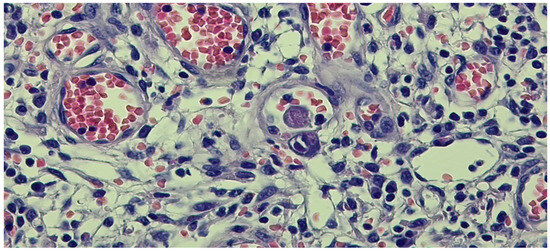
4.5. Histhological Examination
4.6. Treatment
5. Conclusions
Author Contributions
Funding
Institutional Review Board Statement
Informed Consent Statement
Data Availability Statement
Conflicts of Interest
References
- Varani, S.; Landini, M.P. Cytomegalovirus-induced immunopathology and its clinical consequences. Herpesviridae 2011, 2, 6. [Google Scholar] [CrossRef]
- Nakase, H.; Honzawa, Y.; Toyonaga, T.; Yamada, S.; Minami, N.; Yoshino, T.; Matsuura, M. Diagnosis and treatment of ulcerative colitis with cytomegalovirus infection: Importance of controlling mucosal inflammation to prevent cytomegalovirus reactivation. Intest. Res. 2014, 12, 5–11. [Google Scholar] [CrossRef][Green Version]
- Fisher, M.A.; Lloyd, M.L. A Review of Murine Cytomegalovirus as a Model for Human Cytomegalovirus Disease—Do Mice Lie? Int. J. Mol. Sci. 2021, 22, 214. [Google Scholar] [CrossRef]
- Sandford, G.R.; Brock, L.E.; Voigt, S.; Forester, C.M.; Burns, W.H. Rat Cytomegalovirus Major Immediate-Early Enhancer Switching Results in Altered Growth Characteristics. J. Virol. 2001, 75, 5076–5083. [Google Scholar] [CrossRef][Green Version]
- Krech, U. Complement-Fixing Antibodies against Cytomegalovirus in Different Parts of the World. Bull. World Health Organ. 1973, 49, 103. [Google Scholar]
- Maresca, R.; Varca, S.; Di Vincenzo, F.; Ainora, M.E.; Mignini, I.; Papa, A.; Scaldaferri, F.; Gasbarrini, A.; Giustiniani, M.C.; Zocco, M.A.; et al. Cytomegalovirus Infection: An Underrated Target in Inflammatory Bowel Disease Treatment. J. Clin. Med. 2023, 13, 130. [Google Scholar] [CrossRef]
- Nolan, N.; Halai, U.A.; Regunath, H.; Smith, L.; Rojas-Moreno, C.; Salzer, W. Primary cytomegalovirus infection in immunocompetent adults in the United States—A case series. IDCases 2017, 10, 123–126. [Google Scholar] [CrossRef]
- Zahid, M.; Ali, N.; Saad, M.; Kelly, P.; Ortiz, A. Acute Cytomegalovirus (CMV) Hepatitis in an Immunocompetent Adult. Am. J. Case Rep. 2020, 21, e925495. [Google Scholar] [CrossRef]
- Gilmore, R.B.; Taylor, K.M.; Morrissey, C.O.; Gardiner, B.J. Cytomegalovirus in Inflammatory Bowel Disease: A clinical approach. Intern. Med. J. 2022, 52, 365–368. [Google Scholar] [CrossRef]
- Hirayama, Y.; Ando, T.; Hirooka, Y.; Watanabe, O.; Miyahara, R.; Nakamura, M.; Yamamura, T.; Goto, H. Characteristic endoscopic findings and risk factors for cytomegalovirus-associated colitis in patients with active ulcerative colitis. World J. Gastrointest. Endosc. 2016, 8, 301. [Google Scholar] [CrossRef]
- Schwartz, M.; Stern-Ginossar, N. Rethinking human cytomegalovirus latency reservoir. Ann. N. Y. Acad. Sci. 2023, 1524, 30–36. [Google Scholar] [CrossRef] [PubMed]
- CDC ETC about Cytomegalovirus. Available online: https://www.cdc.gov/cytomegalovirus/about/ (accessed on 1 June 2024).
- Park, S.C.; Jeen, Y.M.; Jeen, Y.T. Approach to cytomegalovirus infections in patients with ulcerative colitis. Korean J. Intern. Med. 2017, 32, 383–392, Erratum in: Korean J. Intern. Med. 2021, 36, 751. [Google Scholar] [CrossRef]
- Jentzer, A.; Veyrard, P.; Roblin, X.; Saint-Sardos, P.; Rochereau, N.; Paul, S.; Bourlet, T.; Pozzetto, B.; Pillet, S. Cytomegalovirus and Inflammatory Bowel Diseases (IBD) with a Special Focus on the Link with Ulcerative Colitis (UC). Microorganisms 2020, 8, 1078. [Google Scholar] [CrossRef] [PubMed]
- Cytomegalovirus (CMV). Available online: https://www.pathologyoutlines.com/topic/coloncmv.html (accessed on 1 June 2024).
- Lawlor, G.; Moss, A.C. Cytomegalovirus in inflammatory bowel disease: Pathogen or innocent bystander? Inflamm. Bowel Dis. 2010, 16, 1620–1627. [Google Scholar] [CrossRef]
- Pillet, S.; Pozzetto, B.; Roblin, X. Cytomegalovirus and ulcerative colitis: Place of antiviral therapy. World J. Gastroenterol. 2016, 22, 2030–2045. [Google Scholar] [CrossRef] [PubMed]
- Nguyen, M.; Bradford, K.; Zhang, X.; Shih, D.Q. Cytomegalovirus Reactivation in Ulcerative Colitis Patients. Ulcers 2011, 2011, 282507. [Google Scholar] [CrossRef]
- Mourad, F.H.; Hashash, J.G.; Kariyawasam, V.K.; Leong, R. Ulcerative Colitis and Cytomegalovirus Infection: From A to Z. J. Crohn’s Colitis 2020, 14, 1162–1171. [Google Scholar] [CrossRef] [PubMed]
- Bontà, J.; Zeitz, J.; Frei, P.; Biedermann, L.; Sulz, M.C.; Vavricka, S.R.; Scharl, S.; Fried, M.; Rogler, G.; Scharl, M. Cytomegalovirus disease in inflammatory bowel disease: Epidemiology and disease characteristics in a large single-centre experience. Eur. J. Gastroenterol. Hepatol. 2016, 28, 1329–1334. [Google Scholar] [CrossRef]
- Qin, Y.; Wang, G.; Kong, D.; Li, G.; Wang, H.; Qin, H.; Wang, H. Risk Factors of Cytomegalovirus Reactivation in Ulcerative Colitis Patients: A Meta-Analysis. Diagnostics 2021, 11, 1952. [Google Scholar] [CrossRef]
- Kishore, J.; Ghoshal, U.; Ghoshal, U.C.; Krishnani, N.; Kumar, S.; Singh, M.; Ayyagari, A. Infection with cytomegalovirus in patients with inflammatory bowel disease: Prevalence, clinical significance and outcome. J. Med. Microbiol. 2004, 53, 1155–1160. [Google Scholar] [CrossRef]
- Sanat, Z.M.; Siami, Z.; Alatab, S.; Vahedi, H.; Fanni, Z. Cytomegalovirus Infection in Adult Patients with Inflammatory Bowel Disease: A Literature Review. Arch. Iran. Med. 2024, 27, 277–286. [Google Scholar] [CrossRef]
- Shukla, T.; Singh, S.; Loftus, E.V.; Bruining, D.H.; McCurdy, J.D. Antiviral Therapy in Steroid-refractory Ulcerative Colitis with Cytomegalovirus: Systematic Review and Meta-analysis. Inflamm. Bowel Dis. 2015, 21, 2718–2725. [Google Scholar] [CrossRef]
- Onişor, D.; Boeriu, A.; Pascarenco, O.; Brusnic, O.; Dobru, D. Role of fecal calprotectin as a biomarker of intestinal inflammation in ulcerative colitis: A prospective study. Rev. Romana Med. Lab. 2018, 26, 335–343. [Google Scholar] [CrossRef]
- Kim, J.W.; Boo, S.J.; Ye, B.D.; Kim, C.L.; Yang, S.K.; Kim, J.; Kim, S.A.; Park, S.H.; Park, S.K.; Yang, D.H.; et al. Clinical utility of cytomegalovirus antigenaemia assay and blood cytomegalovirus DNA PCR for cytomegaloviral colitis patients with moderate to severe ulcerative colitis. J. Crohn’s Colitis 2014, 8, 693–701. [Google Scholar] [CrossRef]
- Zidar, N.; Ferkolj, I.; Tepeš, K.; Štabuc, B.; Kojc, N.; Uršič, T.; Petrovec, M. Diagnosing cytomegalovirus in patients with inflammatory bowel disease-by immunohistochemistry or polymerase chain reaction? Virchows Arch. 2015, 466, 533–539. [Google Scholar] [CrossRef]
- Yangzhen, S.; Liu, K.; Xu, T.; Yang, Y.; Zhang, Y. Synchronous Onset of Cytomegalovirus Colitis and Ulcerative Colitis in an Immunocompetent Patient: A Case Report. West Indian Med. J. 2015, 65, 229–231. [Google Scholar] [CrossRef][Green Version]
- Ciccocioppo, R.; Racca, F.; Paolucci, S.; Campanini, G.; Pozzi, L.; Betti, E.; Riboni, R.; Vanoli, A.; Baldanti, F.; Corazza, G.R. Human cytomegalovirus and Epstein-Barr virus infection in inflammatory bowel disease: Need for mucosal viral load measurement. World J. Gastroenterol. 2015, 21, 1915–1926. [Google Scholar] [CrossRef]
- Gauss, A.; Rosenstiel, S.; Schnitzler, P.; Hinz, U.; Rehlen, T.; Kadmon, M.; Ehehalt, R.; Stremmel, W.; Zawierucha, A. Intestinal cytomegalovirus infection in patients hospitalized for exacerbation of inflammatory bowel disease: A 10-year tertiary referral center experience. Eur. J. Gastroenterol. Hepatol. 2015, 6, 712–720. [Google Scholar] [CrossRef]
- McCurdy, J.D.; Enders, F.T.; Jones, A.; Killian, J.M.; Loftus, E.V.; Bruining, D.H.; Smyrk, T.C. Detection of Cytomegalovirus in Patients with Inflammatory Bowel Disease: Where to Biopsy and How Many Biopsies? Inflamm. Bowel Dis. 2015, 21, 2833–2838. [Google Scholar] [CrossRef]
- Jones, A.; McCurdy, J.D.; Loftus, E.V., Jr.; Bruining, D.H.; Enders, F.T.; Killian, J.M.; Smyrk, T.C. Effects of antiviral therapy for patients with inflammatory bowel disease and a positive intestinal biopsy for cytomegalovirus. Clin. Gastroenterol. Hepatol. 2015, 13, 949–955. [Google Scholar] [CrossRef]
- Lee, H.S.; Park, S.H.; Kim, S.H.; Kim, J.; Choi, J.; Lee, H.J.; Kim, W.S.; Lee, J.M.; Kwak, M.S.; Hwang, S.W.; et al. Risk Factors and Clinical Outcomes Associated with Cytomegalovirus Colitis in Patients with Acute Severe Ulcerative Colitis. Inflamm. Bowel Dis. 2016, 22, 912–918. [Google Scholar] [CrossRef] [PubMed]
- Paul, M.; Gupta, E.; Jain, P.; Rastogi, A.; Bhatia, V. Diagnostic utility of quantitative cytomegalovirus DNA polymerase chain reaction in intestinal biopsies from patients with inflammatory bowel disease. J. Lab. Phys. 2018, 10, 38–43. [Google Scholar] [CrossRef]
- Yadav, S.C.; Zhang, B. Cytomegalovirus colitis and Comparing the Treatment of Ulcerative Colitis, CMV Colitis, and Co-Colitis. Med. Clin. Rev. 2020, 7, 119. [Google Scholar]
- Yokoyama, Y.; Yamakawa, T.; Hirano, T.; Kazama, T.; Hirayama, D.; Wagatsuma, K.; Nakase, H. Current Diagnostic and Therapeutic Approaches to Cytomegalovirus Infections in Ulcerative Colitis Patients Based on Clinical and Basic Research Data. Int. J. Mol. Sci. 2020, 21, 2438. [Google Scholar] [CrossRef]
- Bonfanti, E.; Bracco, C.; Biancheri, P.; Falcetta, A.; Martini, M.B.; Melchio, R.; Fenoglio, L. Fever During Anti-integrin Therapy: New Immunodeficiency. Eur. J. Case Rep. Intern. Med. 2020, 7, 001288. [Google Scholar]
- Essen, S.; Saglik, I.; Dolar, E.; Cesur, S.; Ugras, N.; Agca, H.; Merdan, O.; Ener, B. Diagnostic Utility of Cytomegalovirus (CMV) DNA Quantitation in Ulcerative Colitis. Viruses 2024, 16, 691. [Google Scholar] [CrossRef]
- Pillet, S.; Pozzetto, B.; Jarlot, C.; Paul, S.; Roblin, X. Management of cytomegalovirus infection in inflammatory bowel diseases. Dig. Liver Dis. 2012, 44, 541–548. [Google Scholar] [CrossRef] [PubMed]
- Roblin, X.; Pillet, S.; Oussalah, A.; Berthelot, P.; Del Tedesco, E.; Phelip, J.M.; Chambonnière, M.L.; Garraud, O.; Peyrin-Biroulet, L.; Pozzetto, B. Cytomegalovirus load in inflamed intestinal tissue is predictive of resistance to immunosuppressive therapy in ulcerative colitis. Am. J. Gastroenterol. 2011, 106, 2001–2008. [Google Scholar] [CrossRef]
- Strober, W.; Fuss, I.J. Proinflammatory cytokines in the pathogenesis of inflammatory bowel diseases. Gastroenterology 2011, 140, 1756–1767. [Google Scholar] [CrossRef]
- Chiba, M.; Abe, T.; Tsuda, S.; Ono, I. Cytomegalovirus infection associated with onset of ulcerative colitis. BMC Res. Notes 2013, 6, 40. [Google Scholar] [CrossRef]
- Wang, S.; Dou, Y.; Yang, H.; Ni, A.; Zhang, R.; Qian, J. Alteration of Glucocorticoid Receptors and Exacerbation of Inflammation during Lytic Cytomegalovirus Infection in THP-1 Cells. FEBS Open Bio 2017, 7, 1924–1931. [Google Scholar] [CrossRef] [PubMed]
- Kucharzik, T.; Ellul, P.; Greuter, T.; Rahier, J.F.; Verstockt, B.; Abreu, C.; Albuquerque, A.; Allocca, M.; Esteve, M.; Farraye, F.A.; et al. ECCO Guidelines on the Prevention, Diagnosis, and Management of Infections in Inflammatory Bowel Disease. J. Crohn’s Colitis 2021, 15, 879–913, Erratum in: J. Crohn’s Colitis. 2023, 17, 149. [Google Scholar] [CrossRef] [PubMed]
- Hommel, C.; Pillet, S.; Rahier, J.-F. Comment on: “Resolution of CMV Infection in the Bowel on Vedolizumab Therapy”. J. Crohns Colitis 2020, 14, 148–149. [Google Scholar] [CrossRef] [PubMed]
- Ljungman, P.; Griffiths, P.; Paya, C. Definitions of cytomegalovirus infection and disease in transplant recipients. Clin. Infect. Dis. 2002, 34, 1094–1097. [Google Scholar] [CrossRef]
- Suzuki, H.; Kato, J.; Kuriyama, M.; Hiraoka, S.; Kuwaki, K.; Yamamoto, K. Specific endoscopic features of ulcerative colitis complicated by cytomegalovirus infection. World J. Gastroenterol. 2010, 16, 1245–1251. [Google Scholar] [CrossRef] [PubMed]
- Omiya, M.; Matsushita, M.; Tanaka, T.; Kawamata, S.; Okazaki, K. The Absence of Large Ulcer Predicts Latent Cytomegalovirus Infection in Ulcerative Colitis with Positive Mucosal Viral Assay. Intern. Med. 2010, 49, 2277–2282. [Google Scholar] [CrossRef] [PubMed]
- Iida, T.; Ikeya, K.; Watanabe, F.; Abe, J.; Maruyama, Y.; Ohata, A.; Teruyuki, S.; Sugimoto, K.; Hanai, H. Looking for Endoscopic Features of Cytomegalovirus Colitis: A Study of 187 Patients with Active Ulcerative Colitis, Positive and Negative for Cytomegalovirus. Inflamm. Bowel Dis. 2013, 19, 1156–1163. [Google Scholar] [CrossRef] [PubMed]
- Wada, Y.; Matsui, T.; Matake, H.; Sakurai, T.; Yamamoto, J.; Kikuchi, Y.; Yorioka, M.; Tsuda, S.; Yao, T.; Yao, S.; et al. IntractableUlcerative Colitis Caused by Cytomegalovirus Infection: A Prospective Study on Prevalence Diagnosis, and Treatment. Dis. Colon Rectum 2003, 46, S59–S65. [Google Scholar] [PubMed]
- Ng, S.C.; Shi, H.Y.; Hamidi, N.; Underwood, F.E.; Tang, W.; Benchimol, E.I.; Panaccione, R.; Ghosh, S.; Wu, J.C.Y.; Chan, F.K.L.; et al. Worldwide incidence and prevalence of inflammatory bowel disease in the 21st century: A systematic review of population-based studies. Lancet Lond. Engl. 2018, 390, 2769–2778. [Google Scholar] [CrossRef]
- Kandiel, A.; Lashner, B. Cytomegalovirus colitis complicating inflammatory bowel disease. Am. J. Gastroenterol. 2006, 101, 2857–2865. [Google Scholar] [CrossRef]
- Ghione, S.; Sarter, H.; Fumery, M.; Armengol-Debeir, L.; Savoye, G.; Ley, D.; Spyckerelle, C.; Pariente, B.; Peyrin-Biroulet, L.; Turck, D.; et al. Dramatic Increase in Incidence of Ulcerative Colitis and Crohn’s Disease (1988–2011): A Population-Based Study of French Adolescents. Am. J. Gastroenterol. 2018, 113, 265–272. [Google Scholar] [CrossRef]
- Kuwabara, A.; Okamoto, H.; Suda, T.; Ajioka, Y.; Hatakeyama, K. Clinicopathologic characteristics of clinically relevant cytomegalovirus infection in inflammatory bowel disease. J. Gastroenterol. 2007, 42, 823–829. [Google Scholar] [CrossRef]
- Asberg, A.; Humar, A.; Rollag, H.; Jardine, A.G.; Mouas, H.; Pescovitz, M.D.; Sgarabotto, D.; Tuncer, M.; Noronha, I.L.; Hartmann, A. Oral valganciclovir is noninferior to intravenous ganciclovir for tretreatment of cytomegalovirus disease in solid organ transplant recipients. Am. J. Transplant. 2007, 7, 2106–2113. [Google Scholar] [CrossRef]
- Pfau, P.; Kochman, M.L.; Furth, E.E.; Lichtenstein, G.R. Cytomegalovirus colitis complicating ulcerative colitis in the steroid-naive patient. Am. J. Gastroenterol. 2001, 96, 895–899. [Google Scholar] [CrossRef]









| Studies by Chronological Order | No. of Patients Type of Study | Main Results |
|---|---|---|
| Nakase et al. (2014) [2] | Focused review | HCMV infection could spread from perivascular stromal cells to endothelial and epithelial cells |
| Kim et al. (2014) [26] | 229 UC patients/83 with HCMV Original article | HCMV antigenemia assays and blood DNA PCR seem to have low sensitivities for diagnosing HCMV colitis in patients with moderate to severe UC |
| Skula et al. (2015) [24] | 333 patients UC-HCMV colitis Clinical review article | Antiviral therapy is not required for all patients with UC-HCMV colitis |
| Zidar et al. (2015) [27] | 10UC and 2CD/ 12 with HCMV Original article | The highest densities of HCMV-positive cells were found in the base of ulcers (qPCR 10–3809 viral copies/mg) or the edge of ulcers (qPCR 35–1049 viral copies/mg). |
| Yangzhen et al. (2015) [28] | Case report | HCMV colitis and UC synchronously developed |
| Ciccocioppo et al. (2015) [29] | 24UC, 16CD, and 40 controls /30 with HCMV Original article | Antiviral therapy is more effective in refractory patients with a high viral load |
| Gauss et al. (2015) [30] | 297 IBD patients/ 21 with HCMV Original article | HCMV reactivation in patients with risk factors is associated with a longer hospital stay (p < 0.001) |
| McCurdy et al. (2015) [31] | 45UC, 21 CD, and 2 undifferentiated colitis/68 with HCMV Original article | HCMV reactivation is associated with refractory disease (OR = 3.69, p < 0.001) and endoscopic ulcers (OR = 2.95, p < 0.001) |
| Jones et al. (2015) [32] | 1111 IBD patients/ 68 with HCMV article | Antiviral therapy improved the surgical-free survival outcome |
| Hirayama et al. (2016) [10] | 149 UC patients/ 34 with HCMV Original article | Corticosteroid dose > 400 mg for 4 wks, extensive colitis, and a specific endoscopic finding of a punched-out ulcer are risk factors for HCMV colitis |
| Pillet et al. (2016) [17] | Review | Antiviral therapy and anti-TNF should be started in patients with risk factors, whatever the density of infection |
| Bonta et al. (2016) [20] | 1023 IBD patients/12UC and 2CD with HCMV Original article | All IHC -positive biopsies for HCMV were obtained from inflamed mucosa. The average number of biopsies was eight |
| Lee et al. (2016) [33] | 149 patients with acute severe UC (ASUC)/50 with HCMV Original article | Hospitalized patients with ASUC should be appropriately assessed for HCMV colitis. |
| Nolan et al. (2017) [7] | Case study | HCMV can affect immunocompetent adults, producing an illness with fever, fatigue, and myaligias |
| Paul et al. (2018) [34] | 132 IBD patients/ 41 with HCMV Original article | Dual CMV DNA qPCR (biopsy + plasma) is a better diagnostic method than histopathology and CMV IgM serology. |
| Jenzer et al. (2020) [14] | Review | Antiviral therapy combined with anti-TNF should be preferred in cases of moderate or high viral loads |
| Mourad et al. (2020) [19] | Review | High-grade HCMV disease indicates that the virus is acting as a pathogen |
| Yadav et al. (2020) [35] | Review | UC, HCMV-colitis, and UC-HCMV-colitis are symptomatically and endoscopically similar |
| Yokoyama et al. (2020) [36] | Review | In histological negative cases, the quantitative PCR method is a promising alternative approach |
| Bonfanti et al. (2020) [37] | Case report | Vedolizumab therapy seems to be associated with a low side-effects profile |
| Park et al. (2021) [13] | Review | Anti-TNF agents may be useful for treating HCMV colitis complicating UC |
| Qin et al. (2021) [21] | Review | Patients with risk factors should be proactively screened for HCMV reactivation |
| Gilmore et al. (2022) [9] | Review | Antiviral therapy should be started in patients with steroid-refractory colitis, particularly where serum viral loads are high or multiple inclusions |
| Maresca et al. (2023) [6] | Review | CMV colitis is a possible determinant of a lack of a response to new biological drugs |
| Essen et al. (2024) [38] | 81 patients with UC/51 with HCMV Article | The presence of steroid resistance associated with blood HCMV-DNA and IHC positivity increases the specificity of tissue HCMV-DNA positivity. |
| Momayaz Sanat et al. (2024) [23] | Review | The approach to HCMV colitis should be based on individualized assessment |
Disclaimer/Publisher’s Note: The statements, opinions and data contained in all publications are solely those of the individual author(s) and contributor(s) and not of MDPI and/or the editor(s). MDPI and/or the editor(s) disclaim responsibility for any injury to people or property resulting from any ideas, methods, instructions or products referred to in the content. |
© 2024 by the authors. Licensee MDPI, Basel, Switzerland. This article is an open access article distributed under the terms and conditions of the Creative Commons Attribution (CC BY) license (https://creativecommons.org/licenses/by/4.0/).
Share and Cite
Onisor, D.; Brusnic, O.; Mocan, S.; Stoian, M.; Avram, C.; Boicean, A.; Dobru, D. Cytomegalovirus in Ulcerative Colitis: An Unwanted “Guest”. Pathogens 2024, 13, 650. https://doi.org/10.3390/pathogens13080650
Onisor D, Brusnic O, Mocan S, Stoian M, Avram C, Boicean A, Dobru D. Cytomegalovirus in Ulcerative Colitis: An Unwanted “Guest”. Pathogens. 2024; 13(8):650. https://doi.org/10.3390/pathogens13080650
Chicago/Turabian StyleOnisor, Danusia, Olga Brusnic, Simona Mocan, Mircea Stoian, Calin Avram, Adrian Boicean, and Daniela Dobru. 2024. "Cytomegalovirus in Ulcerative Colitis: An Unwanted “Guest”" Pathogens 13, no. 8: 650. https://doi.org/10.3390/pathogens13080650
APA StyleOnisor, D., Brusnic, O., Mocan, S., Stoian, M., Avram, C., Boicean, A., & Dobru, D. (2024). Cytomegalovirus in Ulcerative Colitis: An Unwanted “Guest”. Pathogens, 13(8), 650. https://doi.org/10.3390/pathogens13080650

